Ателектаз

Оглавление

  1. Дорога к бессмертию
  2. Бессмертие и религия
  3. Философия бессмертия
  4. Бессмертие и наука
  5. История анабиоза
  6. Смерть
  7. Кора головного мозга
  8. Бессмертие и анабиоз
  9. Анабиоз, медицина и биология
  10. Анабиоз и экономика
  11. Анабиоз и закон
  12. Анабиоз в Антарктиде
  13. Техническое обеспечение анабиоза
  14. Бессмертие и вера
  15. Библиотека Ordo Deus
  16. Контактная страница Ordo Deus

Ателектаз

Ателектаз (atelectasis; греческое ateles несовершившийся, неполный + ektasis растягивание) — патологическое состояние легкого или какой-либо его части, при котором легочные альвеолы не содержат воздуха или содержат его в уменьшенном количестве и представляются спавшимися.

Ателектаз следует отличать от участков физиологической гиповентиляции в легких, иногда неверно называемых физиологическим ателектазом, практически всегда имеющихся у здоровых людей в состоянии физического покоя. Эти участки представляют физиологический резерв дыхания для условий нагрузки, но при патологии легче других могут стать основой для развития функционального ателектаза.

Различают врожденный ателектаз — недышавшие легкие или их части у новорожденного (ателектаз в собственном смысле) и приобретенный ателектаз — вторичное спадение альвеол в легком, до того дышавшем. Приобретенный ателектаз иногда называют, особенно в зарубежной литературе, «коллапсом» легкого; этим термином А. И. Струков (1971) обозначает компрессионный ателектаз.

Ателектаз полиэтиологичен и имеет различные патогенетические варианты с общим патогенетическим звеном — отсутствие или ограничение поступления воздуха в альвеолы.

Общепринятой классификации ателектаза не существует. Чаще всего используются патогенетический и анатомический принципы деления.

Врожденный ателектаз

Этиология и патогенез

Врожденный ателектаз чаще наблюдается при следующих патологических состояниях: 1) у мертворожденных детей в связи с отсутствием дыхания; 2) при аспирации новорожденным околоплодных вод или их примесей во время асфиксии в родах (преждевременное возбуждение дыхательного центра или заполнение рта и дыхательных путей водами до первого вдоха); 3) у недоношенных новорожденных детей вследствие недостаточного образования или отсутствия антиателектатического фактора — сурфактанта, секретируемого альвеолярным эпителием; 4) при пороках развития бронхов, недоразвитии респираторных отделов легкого и гипоплазии легочной артерии; такие ателектазы обозначаются как дизонтогенетические; 5) при угнетении дыхательного центра в результате травмы или ишемии центральной нервной системы при патологических родах. Ателектаз, вызванный последней причиной, правильнее называть анэктазами, ибо при этом наблюдается задержка расправления легких.

Патологическая анатомия

У мертворожденных обнаруживается тотальный ателектаз, при котором оба легких не содержат воздуха, объем их значительно уменьшен, ткань легкого не крепитирует, тонет в воде. Типичная локализация частичного ателектаза у новорожденных — I, II, IX и X сегменты в обоих легких и IV— V сегменты в левом легком, что объясняется неодинаковой степенью дифференцировки бронхо-легочных сегментов. В просветах альвеол и мелких бронхов находят аспирированные элементы околоплодных вод, меконий, слизь, кровь. На внутренней поверхности альвеол нередко обнаруживаются гиалиновые мембраны (смотри Гиалиново-мембранная болезнь новорожденных).

Рентгенологическое исследование

На рентгенограммах мертворожденных определяется интенсивное однородное затемнение обоих легочных полей; на его фоне совершенно отсутствует изображение сердца и легочного рисунка. У новорожденных различают две основные формы ателектаза: массивный и рассеянный. В первом случае все легкое (обычно левое) или доля легкого уменьшена в объеме, не содержит воздуха и обусловливает на снимках интенсивную однородную тень. Если ателектаз связан с нерасправлением легочной ткани и бронхи не заполнены жидким содержимым, то на фоне затемнения выявляются светлые полоски бронхов, заполненных воздухом.

При массивном ателектазе всегда происходит резкое перемещение органов средостения в сторону нерасправившегося легкого. Межреберные промежутки на той же стороне сужены, а купол диафрагмы стоит выше обычного. Как правило, отмечается гиперпнев-матоз противоположного легкого, иногда с образованием медиастинальных грыж. При рассеянной форме ателектаза новорожденных на снимках видны округлые тени размером 0,1 — 0,3 см, обусловленные мелкими множественными участками ателектаза. Для различения их с пневмоническими очагами приходится учитывать анамнестические данные, клиническую картину, состояние легочного рисунка, смещение органов средостения в сторону поражения, эволюцию процесса.

Приобретенный ателектаз

Этиология и патогенез

Приобретенный ателектаз патогенетически классифицируется на три основных варианта: обтурационный (закупорка бронха), компрессионный (внешнее сдавление ткани легкого) и дистензионный, или функциональный (нарушение условий растяжения легкого на вдохе).

Наряду с указанными патогенетическими вариантами ателектазов различают еще ателектаз рефлекторный и так называемый ателектаз аллергический.

Обтурационный ателектаз обусловлен полным или почти полным закрытием просвета бронха при аспирации инородных тел (аспирационный ателектаз), при закупорке бронха слизью, вязкой мокротой, при эндобронхиально растущей опухоли, при сдавлении бронха опухолью или рубцовой тканью извне. Степень нарушения вентиляционной и дренажной функции бронха определяет стадийность и темпы развития ателектаза, а калибр пораженного бронха определяет величину ателектазированного участка (ателектаз дольки, сегмента, доли, целого легкого). При полной закупорке бронха темп развития ателектаза обусловлен скоростью абсорбции альвеолярных газов: полное поглощение кислорода из невентилируемого участка происходит в первые 30 минут после закупорки, углекислый газ поглощается через 2 часа, азот — в течение 6—8 часов. В участке спадения легочной ткани развивается застойное полнокровие, которое сопровождается пропотеванием отечной жидкости в просвет альвеол; снижается активность окислительно-восстановительных ферментов эпителия бронхов и альвеол, в бронхиальном секрете увеличивается содержание нейтральных и уменьшается количество кислых мукополисахаридов. Уменьшение объема легкого приводит к нарастанию отрицательного давления в той же плевральной полости, что способствует смещению органов средостения в сторону ателектаза. Возникающие при этом нарушения лимфо-и кровообращения могут вызывать значительный отек легких («наводнение легкого»). Прогрессирующее разрушение митохондрий бронхиального и альвеолярного эпителия ведет к дальнейшему уменьшению окислительно-восстановительных ферментов в очаге ателектаза. Указанные изменения способствуют развитию пневмонии на месте ателектаза и процессов склерозирования. Если обтурация бронхов ликвидируется позже чем через трое суток, вероятность полного восстановления участка спавшегося легкого значительно снижается.

Компрессионный ателектаз (коллапс) развивается вследствие внешнего сдавления легочной ткани при объемных патологических процессах в грудной полости (аневризмы, опухоли плевры или средостения), при гидро-, пневмогемотораксе. Внутриплевральное давление на стороне компрессионного ателектаза не снижается, а повышается, поэтому в зоне ателектаза нет выраженной задержки лимфы и полнокровия, как при обтурационном ателектазе. Отсутствие эндобронхиальных патогенных факторов способствует более благоприятному течению компрессионного ателектаза по сравнению с обтурационным. При компрессионном ателектазе полное восстановление функций спавшегося легкого возможно после снятия даже многомесячной компрессии.

Дистензионный (функциональный) ателектаз чаще развивается в нижних легочных сегментах вследствие нарушений механики диафрагмального дыхания или снижения активности дыхательного центра обычно у ослабленных лежачих больных. Нередко такие ателектазы выявляются после наркоза и при отравлении барбитуратами (вследствие угнетения дыхательного центра) и наблюдаются также при заболеваниях, сопровождающихся ограничением глубины вдоха вследствие повышения внутрибрюшного давления (асцит, метеоризм), из-за болей (фибринозный плеврит, перитонит и другие) или вследствие паралича диафрагмы. Непосредственной причиной гипопневматоза нижних сегментов легкого во всех этих случаях является малая дыхательная подвижность диафрагмы, что нарушает дыхательное растяжение отдельных долек. Определенную роль в возникновении функциональных (в частности, дисковидных) ателектазов играют рефлекторные сокращения мышечных элементов в легком, обусловленные кардио-пульмональными, абдомиио-пульмональными и другими висцеральными рефлексами на легочные сегменты.

Кроме того, в окружности пневмонических фокусов, абсцессов легкого, туберкулезных каверн могут развиться парапневмонические ателектазы, в возникновении которых ведущее значение имеет местная обтурация бронхов в сочетании с компрессией воспалительным экссудатом. Этому особенно способствует быстрое увеличение размеров полости, например, при туберкулезных кавернах с клапанным механизмом их вентиляции.

Выделение рефлекторного ателектаза основано на том, что в развитии ателектаза, полученного на экспериментальной модели раздражением плевры или бронхов, была показана ведущая роль активного сокращения мышечных элементов легкого. Однако обозначение ателектаза, возникающего после тяжелых травмирующих операций, как рефлекторного не всегда оправдано, так как его происхождение обычно обусловлено сочетанием вышеперечисленных механизмов с ведущим значением одного из них, чаще обтурационного. Вместе с тем во время хирургических вмешательств иногда наблюдаются случаи тотального или субтотального ателектаза обоих легких при полной проходимости бронхиального дерева. Данные морфологического исследования в этих случаях могут свидетельствовать только о рефлекторном происхождении ателектаза. Косвенным доказательством рефлекторной природы подобных ателектазов является также моментальное спадение паренхимы легких после прекращения аппаратного дыхания.

Ателектаз может возникнуть при аллергических заболеваниях и связан со спазмом бронхов и отеком слизистой оболочки. Он характеризуется внезапным появлением и относительно быстрым исчезновением, что вообще свойственно аллергическим процессам. При дифференциальной диагностике ателектазов различной этиологии необходимо помнить о возможности ателектаза аллергического происхождения, что дает возможность своевременно применить антиаллергическую терапию.

Патологическая анатомия

Отмечаются признаки спадения легочной ткани, а также воспаления с нарушением кровообращения в безвоздушных участках. Макроскопически ткань легких в зоне ателектаза приобретает мясистую консистенцию, при ощупывании не крепитирует, тонет в воде. При тотальном двустороннем ателектазе объем легких значительно уменьшен, при очаговых ателектазах спавшиеся участки легко различимы на фоне воздушной легочной ткани; мелкие периферические ателектазы. имеют вид несколько западающих инфарктоподобных очагов красного цвета. В первые часы развития ателектаза в его зоне отмечается полнокровие сосудов всех калибров, в просвете альвеол — отечная жидкость, бронхиолы нередко сиазмированы.

При обтурационном ателектазе в ближайшие 2—3 суток выявляются признаки воспаления. Просветы альвеол заполнены макрофагами, нейтрофилами, слущенными клетками альвеолярного эпителия, в просветах бронхов — слизь с примесью слущенного эпителия и лейкоцитов. Десквамация бронхиального эпителия приводит к «облысению» бронхов. В последующие 7—14 суток альтеративно-пролиферативные изменения могут прогрессировать по типу ателектатической пневмонии. В исходе ателектаз развивается пневмосклероз, бронхоэктазы, нередко в виде ретенционных кист бронхов. Через 8—12 месяцев ателектазированная доля уплотняется до 1/8 — 1/10 первоначального размера. Однако исход в пневмоцирроз, по-видимому, не является правилом. А. И. Струков, В. Д. Фирсов доказали возможность реаэрации очага ателектаза через много месяцев после его формирования. А. И. Клембовский считает возможным коллатеральное межсегментарное перемещение воздуха по альвеолярной ткани в обход закупоренных бронхов и бронхиол. Эволюция ателектаза может ограничиться периваскулярным склерозом и перестройкой сосудистой системы — утолщением субинтимального слоя внутридольковых вен, склерозом крупных артериальных стволов, перестройкой мелких ветвей легочной артерии по типу замыкающих артерий.

Патологоанатомические изменения легких при компрессионном ателектазе принципиально не отличаются от описанных выше, особенно в стадии ателектатической пневмонии, но темпы его развития более медленны и не отмечается начального полнокровия, как при обтурационном ателектазе.

Дистензионные ателектазы локализуются чаще в задне-базальных сегментах легких, отличаются неполным спадением участков легкого и мозаичной патоморфологической картиной. Расстройства крово-и лимфообращения при них выражены мало вплоть до фазы осложнения пневмонией, протекающей обычно по типу альвеолита.

Т. М. Дарбинян и В. Н. Шляпников полагают, что топография ателектаза, возникающего после травматических операций, определяется, по-видимому, рефлекторными механизмами. При операциях на желчном пузыре, поджелудочной железе и желудке ателектазнаблюдается чаще в IX — X сегментах, при операциях на головном мозге — в сегментах верхних долей и в IV, V, VI сегментах обоих легких. Гистологически обнаруживают спазм бронхиол, указывающий на контракционную природу ателектаза.

Клиническая картина неоднородна, определяется основным патогенетическим механизмом, локализацией, размером и темпом развития ателектаза. Целесообразно разделение ателектазов по течению на острый и развивающийся постепенно.

Обтурационный ателектаз доли или всего легкого при его остром развитии вызывает пароксизмальную одышку, тахикардию, цианоз. При постепенном развитии эти симптомы выражены меньше. На стороне обтурационного ателектаза грудная клетка несколько западает, отстает в акте дыхания; повышается резистентность межреберных промежутков. Нижняя граница легкого на стороне ателектаза перкуторно определяется выше, чем на здоровой стороне; дыхательная экскурсия нижней границы уменьшена; перкуторный звук над зоной ателектаза укорочен или тупой. Перкуссия органов средостения выявляет их смещение в сторону ателектаза, особенно заметное при массивном правостороннем ателектазе, когда сердечный толчок может сместиться вправо от грудины. При аускультации над областью ателектаза отмечается резкое ослабление везикулярного дыхания или дыхание совсем не прослушивается.

Над обтурационным ателектазом верхней доли легкого может выслушиваться ослабленное проводное трахеальное дыхание. Даже при осложнении ателектаза пневмонией появляющееся жесткое или бронхиальное дыхание остается резко ослабленным; иногда дыхательные шумы не прослушиваются, но на максимальном вдохе или выдохе удается прослушать сухие или влажные хрипы. Перкуторная тупость и ослабление дыхания, обусловленные ателектазом, нередко ошибочно расцениваются как признаки наличия плеврального выпота. Особенно часто такая ошибка допускается при ателектазе нижней доли справа, когда перкуторная тупость над ателектазом сливается с тупостью печени. При дифференциальной диагностике следует иметь в виду, что при ателектазе перкуторная тупость наиболее высоко определяется у позвоночника (а не по линии Дамуазо, как при плеврите) и средостение смещено в сторону перкуторной тупости.

При тотальном или субтотальном ателектазе, развивающемся в первые сутки после травматичных хирургических операций (чаще на правом легком), выявляются признаки острого массивного обтурационного ателектаза и признаки пневмонии: лихорадка, одутловатость и цианоз лица, тахикардия, тахипноэ, кашель. Нередко над зоной перкуторной тупости выслушивается бронхиальное дыхание, крепитация при выслушивании больного в сидячем положении и после откашливания, позднее — влажные хрипы. Наличие при описанном симптомокомплексе лейкоцитоза и ускоренной РОЭ обычно ведет к ошибочному диагнозу пневмонии. От обычной пневмонии ателектаз клинически отличается только смещением средостения в больную сторону, которое выявляется перкуторно и с помощью рентгенологического исследования.

Компрессионный ателектаз

Жалобы больного и клинические проявления обусловлены основным заболеванием. При исследовании обнаруживают отставание больной половины грудной клетки при дыхании; западения грудной клетки и сужения межреберных промежутков не наблюдается. Перкуторный звук притуплённый, причем зона притупления определяется не только, а иногда и не столько самим ателектазом, сколько основным процессом, его обусловившим (плевральный выпот, опухоль и так далее). Органы средостения смещены в сторону здорового легкого, так как при компрессионном ателектазе на стороне поражения внутри-плевральное давление повышено. При аускультации определяется бронхиальное дыхание, хрипов нет. Субкрепитирующие хрипы выслушиваются в участках неполного компрессионного ателектаза или в начальной стадии его расправления. Последнее необходимо учитывать при дифференциации ателектаза с пневмонией.

Дистензионный ателектаз чаще бывает небольших размеров, не отражается на функции дыхания и редко распознается, но при значительной величине или множественности очагов ателектаза появляются клинические признаки, достаточные для постановки диагноза. Больные могут жаловаться на одышку. Дыхание обычно поверхностное, нижняя граница легких — на одно-два ребра выше нормы. По периметру грудной клетки на уровне нижней границы легких выслушивается ослабленное везикулярное дыхание; при глубоком вдохе выявляются трескучие хрипы, связанные с расправлением спавшейся легочной ткани. Они часто исчезают после нескольких глубоких вдохов, в отличие от хрипов при очаговой пневмонии, не изменяющихся от перемены положения больного и после глубокого дыхания. Дистензионный ателектаз не сопровождается температурной реакцией, лейкоцитозом и ускорением РОЭ, он чаще распознается рентгенологически (в виде дисковидного ателектаза), чем клинически.

Смотри также Бронхоэктазы, Легкие, Пневмония, Туберкулез.

Рентгенодиагностика осуществляется с помощью рентгеноскопии и рентгенографии легких в двух проекциях, а в более трудных случаях — на основании данных томографии. Рентгенологическая картина ателектаза характеризуется четырьмя группами симптомов: а) изменением структуры и плотности тени легкого в зоне ателектаза и за его пределами; б) изменением положения, формы и размеров спавшихся отделов с одновременным расширением и перемещением соседних отделов легкого; в) перемещением органов средостения, корней легких, диафрагмы, под-диафрагмальных органов; г) функциональным симптомом бронхостеноза (смотри Бронхостеноз, Голъцкнехта — Якобсона симптом).

В большинстве случаев при ателектазе наблюдается равномерное затемнение соответствующих отделов легочного поля (рис. 1), смещение органов средостения и корня легкого в сторону поражения, высокое расположение купола диафрагмы и поддиафрагмальных органов на стороне ателектаза, вздутие неизмененных отделов легкого, а иногда — противоположного легкого.

При максимальном спадении какой-нибудь доли почти вся полость грудной клетки на стороне ателектаза может быть заполнена только расширенными соседними долями. Небольшое уменьшение спавшейся части легкого может компенсироваться расширением соседних его отделов без изменений топографии органов грудной клетки. По Ван-Аллену (Van-Allen), для ателектаза характерна полная однородность тени, так называемый симптом матового стекла, который, однако, не патогномоничен для ателектаза, так как наблюдается также при циррозе легкого, иногда — при массивной острой пневмонии; в части случаев тень ателектаза представляется негомогенной из-за наложения изображения окружающей легочной ткани. Интенсивность тени ателектаза обычно велика, в особенности при больших его размерах, при значительной гиперемии и отечности спавшейся легочной ткани. Интенсивность затемнения зависит не только от плотности ателектаза, но и от степени вздутия (просветления) соседних отделов легкого. При значительном расширении последних тень ателектаза в силу известных закономерностей суммации теней обусловливает лишь картину понижения прозрачности легочного поля. Истинный характер затемнения может быть в этих условиях установлен только при исследовании грудной клетки в боковом положении (рис. 2). Выше и ниже затемнения легочное поле представляется в различной степени просветленным, более значительно в непосредственной окружности ателектаза. Соответственно растянутым отделам легкого обедняется легочный рисунок: промежутки между тенями сосудистых стволов увеличиваются, число мелких сосудистых теней уменьшается.

Информация об Ordo Deus Перейти в оглавление сайта

Рис. 1.
Ателектаз верхней доли правого легкого. Массивное затемнение справа рентгенограмма).

Информация об Ordo Deus Перейти в оглавление сайта

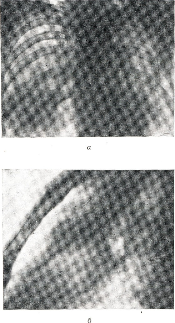
Рис. 2.
Ателектаз верхней доли левого легкого со смещением средостения влево при центральном раке левого легкого (рентгенограммы: а — прямая проекция; б — боковая проекция; выражено затемнение в области ателектаза).

При тотальном ателектазе (рис. 3, 1 и 2) спавшееся легкое обычно уменьшено, интенсивно и равномерно затемнено. В большинстве случаев тени ребер сближены (соответственно западению грудной стенки), иногда наблюдается сколиоз грудного отдела позвоночника, выпуклостью обращенный в сторону поражения. Купол диафрагмы и тени поддиафрагмальных органов на стороне ателектаза приподняты; слева необычно высоко и медиально проецируется газовый желудочный пузырь. Срединная тень, в частности трахея, значительно перетянута в сторону ателектаза, бифуркация трахеи проецируется сбоку от тени позвоночника. Непораженное второе легкое вздуто, и его тень частично перемещена в противоположную половину грудной клетки. Такое перемещение испытывают главным образом передне-верхние позадигрудинные отделы противоположного легкого, давая в рентгенологическом отображении картину так называемой медиастинальной грыжи, то есть ограниченное дугообразной линией просветление на фоне верхне-медиальных отделов затемненного легочного поля на стороне ателектаза. Такие «грыжи» могут достигать больших размеров, в особенности при ателектазе левого легкого. Рентгенологическая картина при долевых ателектазах типична (рис. 3, 3—12). Как известно, доли легких как бы фиксированы в двух местах: у корня и из-за отрицательного внутриплеврального давления у грудной стенки. В силу эти особенностей спадение и перемещение долей легких при ателектазе происходит в случае отсутствия плевральных сращений закономерно в определенном направлении. Верхняя доля правого легкого смещается при ателектазе кверху, кнутри и кпереди в направлении передне-медиальных отделов грудной клетки. Нижняя граница тени спавшейся доли (линия малой междолевой щели) перемещается кверху, задняя (линия главной междолевой щели) — кпереди. На боковой рентгенограмме определяется треугольная тень с несколько втянутыми гладкими контурами, вершина которой примыкает к тени корня, а основание — к грудной стенке. На фоне этой тени хорошо видна линия косой междолевой щели, переместившейся кпереди. При нарастающем спадении доли последняя приближается к грудной стенке и исчезает. Спадение верхней доли может быть столь значительным, что на прямой рентгенограмме ее тень представляется узкой боковой полоской у средостения, а в боковой проекции — симулирует уплотнение легочного сегмента. Ателектаз верхней доли сопровождается расширением нижней и средней долей, наибольшему вздутию подвергаются задне-верхние отделы нижней и верхне-передние отделы средней доли. Тень корня легкого перемещается, как правило, кверху. При ателектазе правой верхней доли, как и при ателектазах других долей, наблюдаются и атипичные картины, нередко симулирующие на передней рентгенограмме картину медиастинальной «грыжи», что обусловлено главным образом плевральными сращениями, фиксирующими легкое. Рентгенологическая картина ателектаза верхней доли левого легкого отличается большим объемом, более отвесным расположением левой косой междолевой щели и не всегда четкой нижней границей тени: в части случаев она дугообразно втянута.

Средняя доля при ателектазе смещается кнутри и кпереди. Верхняя граница ее перемещается книзу, нижняя, соответствующая косой междолевой щели, — кверху и несколько кпереди. На прямой рентгенограмме спавшаяся доля проецируется в нижне-медиальных отделах легочного поля; тень ее обычно треугольной формы, имеет вогнутые верхний и нижний контуры или же втянутый или прямолинейный нижний и слегка выпуклый верхний контур. В боковой проекции тень имеет также форму треугольника с ровными и чаще втянутыми контурами либо форму полосы, овала, полуовала с выпуклой верхней и прямолинейной или втянутой нижней границей. При резком уменьшении средней доли она может быть представлена на прямой рентгенограмме нехарактерным малоинтенсивным затемнением, и лишь исследование в боковом или лордотическом положении позволяет выявить тень, характерную для ателектаза средней доли. Тень корня перемещается обычно книзу.

Информация об Ordo Deus Перейти в оглавление сайта

Рис. 3.
Рентгенологическая картина тотальных и долевых ателектазов обоих легких (на схеме изображены черным цветом): 1 — ателектаз всего правого легкого; 2 — ателектаз всего левого легкого; 3—12 — ателектаз отдельных долей правого и левого легких. Правое легкое: ателектаз верхней доли (3 и 4); ателектаз средней доли (5 и 6); ателектаз нижней доли при небольшом (7) и значительном (8) ее спадении. Левое легкое: ателектаз верхней доли при небольшом (9) и значительном (10) ее спадении; ателектаз нижней доли при небольшом (11) и значительном (12) ее спадении, (а — прямая проекция, б — боковая проекция.)

Информация об Ordo Deus Перейти в оглавление сайта

Рис. 4.
Рентгенологическая картина сегментарных ателектазов (на схеме изображены черным цветом): 1 — верхушечного сегмента; 2 — заднего сегмента; 1 + 2 —верхушечно-заднего слева; 3 — переднего; 4 — наружного справа, верхнего язычкового слева; 5 — внутреннего справа, нижнего язычкового слева; 6 — верхнего нижней доли; 7 — нижне-внутреннего; 8 — нижне-переднего; 9 — нижне-наружного; 10 — нижне-заднего. (а — прямая проекция, б — боковая проекция.)

Информация об Ordo Deus Перейти в оглавление сайта

Рис. 4 продолжение.
Рентгенологическая картина сегментарных ателектазов (на схеме изображены черным цветом): 1 — верхушечного сегмента; 2 — заднего сегмента; 1 + 2 —верхушечно-заднего слева; 3 — переднего; 4 — наружного справа, верхнего язычкового слева; 5 — внутреннего справа, нижнего язычкового слева; 6 — верхнего нижней доли; 7 — нижне-внутреннего; 8 — нижне-переднего; 9 — нижне-наружного; 10 — нижне-заднего. (а — прямая проекция, б — боковая проекция.)

Нижние доли обоих легких смещаются при ателектазе книзу, кнутри и кзади. На прямой рентгенограмме уменьшенная доля имеет форму треугольной тени, вершиной обращенной к корню и основанием к диафрагме. Наружная граница тени несколько втянута, иногда — выпуклая или прямолинейная. При большом уменьшении доли определяется небольших размеров треугольная тень у контура позвоночника, которая может быть перекрыта слева тенью сердца. В боковой проекции тень спавшейся доли частично наслаивается на тень позвоночника; видна линия переместившейся кзади косой междолевой щели. Спадение нижней доли сопровождается вздутием верхней, а справа — и средней доли; тень корня смещается книзу и кнутри.

Сегментарный ателектаз имеет менее характерную рентгенологическую картину, тень его нередко симулирует картину сегментарного уплотнения воспалительной природы. Вторичные симптомы обычно не выражены. Как правило, сегментарный ателектаз не вызывает западения грудной стенки и изменений противоположного легкого. Обычно спадение сегмента сопровождается перемещением лишь граничащих с ним отрезков междолевых щелей, вздутием соседних отделов легкого. Симптом Гольцкнехта — Якобсона при сегментарном ателектазе выражен недостаточно отчетливо. Иногда диагноз может быть установлен лишь с помощью томо¬графии или бронхографии. Рентгенологическая картина ателектаза отдельных сегментов легкого представлена на схеме (рис. 4).

Дольковые и ацинозные ателектазы обычно бывают множественными. Рентгенологически они не отличимы от теней очаговой пневмонии, с которой нередко сочетаются. При большом числе дольковых ателектазов, занимающих большую часть легкого, наблюдаются вторичные симптомы ателектаза, в частности положительный симптом Гольцкнехта—Якобсона.

Дисковидные, или пластинчатые, ателектазы, расположены обычно низко над диафрагмой; рентгенологически имеют форму поперечно расположенных полосовидных теней (рис. 5) шириной существовании дисковидного ателектаза соответствующий участок легкого может подвергнуться рубцовому превращению.

Информация об Ordo Deus Перейти в оглавление сайта

Рис. 5.
Дисковидный ателектаз правого легкого (полоса затемнения обозначена черным цветом).

При рентгенологическом исследовании ателектаза необходимо дифференцировать с секвестрацией легкого, заполненными кистами легких, опухолью легкого и средостения, диафрагмальиой грыжей и плевритом.

Но задача рентгенолога не ограничивается выявлением ателектаза. С помощью рентгенограмм, томограмм, электрокимограмм и особенно комплексного бронхологического исследования он должен способствовать установлению причины ателектаза и в первую очередь дифференциальной диагностике таких заболеваний, как опухоль бронха, туберкулезный бронхостеноз, поражение бронха на почве хронического воспаления, а также инородное тело бронха.

Прогноз

Массивные ателектазы одного или обоих легких, развивающиеся после тяжелых хирургических операций, заканчиваются, как правило, смертью на операционном столе или в ближайшем послеоперационном периоде. При ателектазе другой природы прогноз в отношении жизни и выздоровления в значительной степени определяется не самим ателектазом, а основным заболеванием, обусловившим его развитие. Наиболее благоприятный прогноз имеют дистензионный и компрессионный ателектаз при гидротораксе; устранение причин, вызвавших появление этих ателектазов, приводит к полному восстановлению структуры и функции легкого. Обтурационный ателектаз часто осложняется пневмонией; прогноз его особенно неблагоприятен при обтурации бронха раковой опухолью. Имеет значение также локализация поражения. Так, в связи с особенностями среднедолевого бронха — длинного, узкого, отходящего почти под прямым углом и окруженного группой лимфатических, узлов — реаэрация ателектаза средней доли более затруднена, чем ателектаза другой локализации. Нередко ателектаз средней доли рано осложняется инфекционным воспалением, принимающим хроническое течение с образованием бронхоэктазов и развитием фиброза в легочной ткани («синдром средней доли»).

Лечение должно быть направлено на восстановление аэрации невентилируемых участков легкого, что достигается каузальной либо патогенетической терапией. Каузальная терапия определяется основным заболеванием (хирургическое, лучевое или консервативное лечение опухоли бронха, антибактериальная терапия пневмонии, удаление инородного тела из просвета бронха). Патогенетическая терапия обтурационного ателектаза при пневмонии состоит в удалении из бронхов продуктов воспаления (слизи, гноя, крови и другого) через бронхоскоп (смотри Бронхоскопия), промывании бронхов раствором антисептиков, антибиотиков, инстилляции бронхолитиков и средств, способствующих отхождению мокроты. Используется дренаж положением (активный кашель больного в положении на здоровом боку). Компрессионный ателектаз при плевральных выпотах устраняется своевременной плевральной пункцией или назначением средств, уменьшающих выпот. При дистензионном ателектазе назначается дыхательная гимнастика, вдыхание 5% смеси углекислого газа с воздухом (или кислородом), дыхательные аналептики (кордиамин, камфора, кофеин и другие).

Информация об Ordo Deus Перейти в оглавление сайта

Рис. 6.
Врожденный ателектаз нижней доли правого легкого у ребенка 13 лет. Справа над диафрагмой массивный клиновидный участок затемнения (рентгенограмма).

Информация об Ordo Deus Перейти в оглавление сайта

Рис. 7.
Ателектаз верхней доли левого легкого у ребенка 5 лет после удаления нижней доли (рентгенограмма)

Профилактика

Для профилактики дистензионного ателектаза у лежачих больных необходимо раннее применение лечебной физкультуры, устранение факторов, ограничивающих диафрагмальное дыхание (ликвидация метеоризма применением диеты, назначение очистительных клизм и слабительных средств при задержке стула; назначение анальгетиков при болях, связанных с дыханием).

Ателектаз у детей

Ателектаз у детей наиболее часто локализуется в нижней и средней долях правого легкого (рис. 6), однако может развиться и в других отделах, в частности в верхних долях обоих легких, особенно при пневмонии и бронхиальной астме. Сравнительная узость трахео-бронхиального дерева и склонность к гиперергическим реакциям со стороны слизистой оболочки трахеи и бронхов у детей создают благоприятные условия для развития А.

К возникновению ателектаза у детей ведет попадание инородных тел в трахео-бронхиальное дерево, различные формы острой пневмонии, бронхоспазм при бронхиальной астме. Ателектаз легкого у детей может развиваться постепенно. Врачебная тактика при ателектазе у детей должна быть особенно активной, так как морфологические изменения в ателектазированных отделах легкого у ребенка развиваются быстрее, чем у взрослых. Ателектаз оперированного легкого является частым осложнением операции на легких у детей (рис. 7). С целью профилактики послеоперационных ателектазов проводятся следующие мероприятия: обучение ребенка правильному дыханию до операции, полноценная санация трахео-бронхиального дерева до и во время операции, укладывание ребенка на здоровый бок, применение эффективного обезболивания, комплекса лечебных упражнений, а при необходимости ми-ротрахеостомии (смотри Трахеостомия) и аппарата «искусственный кашель» в послеоперационном периоде. Хорошему расправлению легкого способствует отсасывание с помощью катетера содержимого из бронхов в первые сутки после операции. При отсутствии эффекта показана лечебная бронхоскопия.

Жмуркин В.П., Замотаев И.П., Лернер И.П., Линденбратен Л.Д., Пермяков Н.К., Рошаль Л.М.

⇐ Перейти на главную страницу сайта

⇑ Вернуться в начало страницы ⇑

Библиотека Ordo Deus ⇒

⇐ Атаксия

⇓ Полный свод знаний. Том первый А. ⇓

Атеросклероз ⇒

Все статьи в полном изложении, Вы можете найти в большой медицинской энциклопедии — Главный редактор: академик АН СССР (РАН) и АМН СССР (РАМН) Б.В. Петровский. — Москва издательство «Советская энциклопедия» 1989г.

Внимание! Вы находитесь в библиотеке «Ordo Deus». Все книги в электронном варианте, содержащиеся в библиотеке «Ordo Deus», принадлежат их законным владельцам (авторам, переводчикам, издательствам). Все книги и статьи взяты из открытых источников и размещаются здесь только для чтения.

Библиотека «Ordo Deus» не преследует никакой коммерческой выгоды.

Все авторские права сохраняются за правообладателями. Если Вы являетесь автором данного документа и хотите дополнить его или изменить, уточнить реквизиты автора, опубликовать другие документы или возможно вы не желаете, чтобы какой-то из ваших материалов находился в библиотеке, пожалуйста, свяжитесь с нами по e-mail:
info @ ordodeus. ru
Формы для прямой связи с нами находятся в нижней части страниц: контакты и устав «Ordo Deus», для перехода на эти страницы воспользуйтесь кнопкой контакты вверху страницы или ссылкой в оглавлении сайта.

Вас категорически не устраивает перспектива безвозвратно исчезнуть из этого мира? Вы не желаете закончить свой жизненный путь в виде омерзительной гниющей органической массы пожираемой копошащимися в ней могильными червями? Вы желаете вернувшись в молодость прожить ещё одну жизнь? Начать всё заново? Исправить совершённые ошибки? Осуществить несбывшиеся мечты? Перейдите по ссылке: «главная страница».

© Ordo Deus, 2010. При копировании ссылка на сайт http://www.ordo-deus.ru обязательна.