Базалиома

Оглавление

  1. Дорога к бессмертию
  2. Бессмертие и религия
  3. Философия бессмертия
  4. Бессмертие и наука
  5. История анабиоза
  6. Смерть
  7. Кора головного мозга
  8. Бессмертие и анабиоз
  9. Анабиоз, медицина и биология
  10. Анабиоз и экономика
  11. Анабиоз и закон
  12. Анабиоз в Антарктиде
  13. Техническое обеспечение анабиоза
  14. Бессмертие и вера
  15. Библиотека Ordo Deus
  16. Контактная страница Ordo Deus

Базалиома

Базалиома (basalioma; поз дне лат. basalis относящийся к основанию + -ота; син.: базальноклеточный рак, базальноклеточная эпителиома, множественная эритематозная эпителиома Литтла, поверхностная базалиома, кожный карциноид, ulcus rodens) — своеобразная опухоль кожи с местнодеструирующим ростом; метастазы весьма редки.


Рядом авторов и в Международной номенклатуре опухолей 1958 г. Б. отнесена к раку кожи.

Б. является одной из самых частых опухолей кожи; она составляет 50% всех раковых поражений кожи. Встречается одинаково часто у мужчин и женщин, гл. обр. в пожилом возрасте. Чаще Б. локализуется на коже лица и реже — туловища. В значительном числе случаев возникает на фоне старческих кератом.

Патологическая анатомия. Макроскопически Б. имеет вид либо плоской бляшки, узелка, либо поверхностной язвочки, а иногда обширного глубокого изъязвления с темнокрасным дном. Микроскопически для Б. характерно образование тяжей и комплексов, состоящих из мелких, интенсивно окрашенных клеток. Образуемые клеточные тяжи и комплексы по периферии обычно ограничены призматическими клетками с базально расположенными ядрами, длинные оси к-рых располагаются перпендикулярно к границе тяжа или комплекса, а клетки группируются параллельно друг другу. Клетки содержат небольшое количество цитоплазмы и темные округлые овальные или вытянутые ядра. Они напоминают клетки базального слоя эпителия кожи, но лишены межклеточных мостиков. Внутри тяжей и комплексов клетки имеют меньший размер, располагаются беспорядочно и более рыхло. В клетках Б. встречаются преимущественно правильные митозы и редко атипичные.

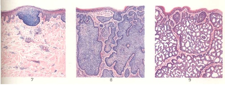
В зависимости от особенностей микроскопического строения различают несколько типов Б. (цветн. табл. рис. 7—9): поверхностную мультицентрическую, солидную, кистозную, аденоидную. Реже встречаются гиалинизированная, ослизненная, пигментированная и др.

Информация об Ordo Deus Перейти в оглавление сайта

Базалиома.
Рис. 7. Поверхностная базалиома. Рис. 8. Солидная базалиома. Рис. 9. Аденоидная базалиома (окраска гематоксилинэозином; × 100).

Поверхностная мультицентрическая базалиома выделяется отдельными авторами в самостоятельную форму; другие рассматривают ее как начальную фазу развития Б. Наблюдается чаще на коже туловища. Макроскопически характеризуется образованием плоской поверхностной овальной или округлой бляшки с каймой из узелков по периферии и слегка западающим центром, покрытым сухими чешуйками, под к-рыми виден истонченный кожный покров с телеангиэктазиями. Очаги часто множественные. Микроскопически представлена множественными небольшими очагами мелких темных клеток, как бы сползающих из базальных слоев эпидермиса в дерму и располагающихся в поверхностных отделах дермы.


Солидная базалиома наблюдается наиболее часто. Отличительной особенностью в микроскопической картине являются разрастания в дерме мелких темных клеток в виде сплошных тяжей и комплексов, имеющих фестончатые очертания и часто сливающихся в массивные образования.

Кистозная базалиома является вариантом солидной, в к-рой клетки центральных отделов опухолевых комплексов подвергаются некрозу и лизису с образованием кист.

Аденоидная базалиома характеризуется формированием своеобразных железистоподобных и кистозных структур, напоминающих кружево. Клетки располагаются правильными рядами, окаймляя мелкие кисты, выполненные базофильным содержимым.

Почти в каждой Б. можно встретить участки солидного, кистозного и железистого строения. Из редко встречающихся видов Б. пигментированные (или пигментные) Б. характеризуются наличием в клетках и строме меланина; ослизыенные отличаются резким ослизнением стромы и паренхимы; гиалинизированные характеризуются резким склерозом и гиалинозом стромы. Эта форма, в отличие от других видов, обычно не изъязвляется.

Большинство авторов считает Б. дисэмбриогенетической опухолью, полагая, что гистогенетически она связана с различными придатками кожи.

Клиническая картина. Клинические проявления базалиомы многообразны. Первоначально она представлена узелком размером с чечевичное зерно, выступающим над поверхностью кожи (рис., 1), плотной консистенции, розоватого, розово-желтоватого или матово-белого циста, напоминающим жемчужину. Подобных узелков может быть несколько, они сливаются, образуя бляшку дольчатого вида. На ее поверхности могут быть телеангиэктазии. Отдельные узелки в центре бляшки могут спонтанно исчезать или изъязвляться, а по периферии образуется валик, состоящий из патово-беловатых узелков. В дальнейшем в одних случаях наступает (после довольно длительного периода) изъязвление, при этом в центре образуется эрозия с неровнымдном или язва с кратерообразными краями (рис., 2). Постепенно язва распространяется по площади и в глубину, разрушая подлежащие ткани (хрящ, кость). В других случаях происходит образование неизъязвленыой опухоли, покрытой истонченной блестящей кожей с телеангивктазиями. Иногда образуется опухоль в виде выступающего над поверхностью кожи образования дольчатого строения (имеет вид цветной капусты) на широком или узком основании. Наблюдается и плоская рубцующаяся форма Б., при к-рой первоначально образовавшаяся в центре узелка эрозия самопроизвольно рубцуется, а по периферии продолжается рост узелков и образование новых эрозированных участков. При пигментированной Б. узелки имеют более темную окраску (синевато-коричневую, коричневато-черную). Течение Б. длительное, торпидное, особенно при поверхностной форме. При изъязвлении Б. течение осложняется присоединением инфекции с появлением признаков воспаления в окружности опухоли. Деструирующий рост первичной и рецидивирующей опухоли проявляется разрушением подлежащих хрящей, кости, прорастанием в близлежащие полости (переход с кожи крыла носа в полость носа, разрушение хрящей ушной раковины и др.).

Информация об Ordo Deus Перейти в оглавление сайта

Рис 2.
Базалиома кожи внутреннего угла глаза: 1 — узелковая форма; 2 — язвенная форма.

Включение Б. в группу рака кожи новело к учету этой формы опухоли среди рака кожи и к выделению клинических стадий. Т. к. при Б. практически не бывает метастазов, стадия процесса определяется степенью местного распространения и деструкцией подлежащих тканей. I стадия характеризуется наличием опухоли или язвы кожи до 2 см в диаметре, ограниченной собственно дермой без перехода на окружающие ткани. II стадия — опухоль или язва больше 2 см в диаметре, прорастающая всю толщу кожи, но не распространяющаяся на подкожную клетчатку. III стадия — опухоли больших размеров или любой величины, распространяющаяся на подлежащие мягкие ткани, без прорастания хряща и кости. IV стадия — опухоль или язва, прорастающая подлежащие мягкие ткани, хрящи и кости.

Диагноз базалиомы клинически иногда затруднен. В начальных стадиях развития Б. следует дифференцировать с неопухолевыми дерматозами (см.), кератоакантомой (см.), старческим кератозом (см.), болезнью Боуэна (см. Боуэна болезнь), доброкачественными опухолями придатков кожи (себорейная бородавка, эккринная порома, цилиндрома, трихоэпителиома и др.), красной волчанкой (см.), сифилитической гуммой и др. В поздних стадиях Б. трудно отличить от плоскоклеточного рака кожи (см. Кожа). Поэтому в каждом сомнительном случае для подтверждения диагноза необходима биопсия (при небольших неизъязвленных опухолях — в виде полного иссечения, а при изъязвленных — иссечение кусочка на границе с неизмененной кожей). Для подтверждения диагноза может быть произведено и цитологическое исследование отпечатков или соскоба, а также пункция.

Прогноз при ранних стадиях в большинстве случаев благоприятный. Стойкое излечение достигается в 95—97% случаев. При распространенном процессе (III — IV стадии) излечение достигается в 40—60% наблюдений.

Лечение. При обширных поражениях применяют комбинированное лечение (лучевое и хирургическое). В начальных стадиях и при поверхностных формах, при противопоказаниях или невозможности применить лучевое лечение можно прибегать к лекарственной терапии. Для этого используется омаиновая мазь в виде ежедневных аппликаций. Назначают и противоопухолевые антибиотики — блеомицины, которые вводят внутривенно по 15 мг 2—3 раза в неделю. Суммарная доза 300—400 мг. Лучевое лечение применяют в виде внутритканевой гамма-терапии (обкалывание опухоли радиоактивными препаратами) и аппликационной гамма-терапии (см.). Наиболее широко распространена близкофокусная рентгенотерапия. При I — II стадиях Б. одинаково эффективен как лучевой, так и хирургический методы, но косметические результаты лучше при лучевом, особенно при локализации опухолей на лице, вблизи естественных отверстий. При экзофитных формах Б. на лице в III стадии также можно с успехом использовать внутритканевую гамма-терапию; суммарная доза—5000—6000 рад. При инфильтративных формах Б. в III — IV стадиях более радикальным является комбинированное лечение. При этом лучевое лечение осуществляется путем дистанционной гамма-терапии или электронной терапии (см.) с энергией излучения ок. 15 Мэв. Суммарные дозы составляют 4000 — 5000 рад. После стихания реактивных явлений предпринимается хирургическое (или электрохирургическое) иссечение с пластическим закрытием дефекта. Хирургическое или электрохирургическое иссечение применяется также при рецидивах после лучевого или комбинированного лечения. При хирургическом иссечении Б. удаляют отступя на 1—2 см от очага поражения. Глубина иссечения определяется степенью инфильтрации. При распространенных инфильтративных формах удаляются подлежащие хрящ и кость. Опухоли угла глаза, проникающие в клетчатку глазницы, требуют экзен-терации (см. Экзентерация глазницы). При локализации в ушной раковине предпочтение следует отдавать хирургическому лечению (иссечение). В зонах регионарного мета-стазирования при Б. хирургического вмешательства не производят.

Фалилеев Г.В.

⇐ Перейти на главную страницу сайта

⇑ Вернуться в начало страницы ⇑

Библиотека Ordo Deus ⇒

⇐ Багассоз

⇓ Полный свод знаний. Том первый А. ⇓

Бактериохолия ⇒

Все статьи в полном изложении, Вы можете найти в большой медицинской энциклопедии — Главный редактор: академик АН СССР (РАН) и АМН СССР (РАМН) Б.В. Петровский. — Москва издательство «Советская энциклопедия» 1989г.

Внимание! Вы находитесь в библиотеке «Ordo Deus». Все книги в электронном варианте, содержащиеся в библиотеке «Ordo Deus», принадлежат их законным владельцам (авторам, переводчикам, издательствам). Все книги и статьи взяты из открытых источников и размещаются здесь только для чтения.

Библиотека «Ordo Deus» не преследует никакой коммерческой выгоды.

Все авторские права сохраняются за правообладателями. Если Вы являетесь автором данного документа и хотите дополнить его или изменить, уточнить реквизиты автора, опубликовать другие документы или возможно вы не желаете, чтобы какой-то из ваших материалов находился в библиотеке, пожалуйста, свяжитесь с нами по e-mail:
info @ ordodeus. ru
Формы для прямой связи с нами находятся в нижней части страниц: контакты и устав «Ordo Deus», для перехода на эти страницы воспользуйтесь кнопкой контакты вверху страницы или ссылкой в оглавлении сайта.

Вас категорически не устраивает перспектива безвозвратно исчезнуть из этого мира? Вы не желаете закончить свой жизненный путь в виде омерзительной гниющей органической массы пожираемой копошащимися в ней могильными червями? Вы желаете вернувшись в молодость прожить ещё одну жизнь? Начать всё заново? Исправить совершённые ошибки? Осуществить несбывшиеся мечты? Перейдите по ссылке: «главная страница».

© Ordo Deus, 2010. При копировании ссылка на сайт http://www.ordo-deus.ru обязательна.