Бешенство

Оглавление

  1. Дорога к бессмертию
  2. Бессмертие и религия
  3. Философия бессмертия
  4. Бессмертие и наука
  5. История анабиоза
  6. Смерть
  7. Кора головного мозга
  8. Бессмертие и анабиоз
  9. Анабиоз, медицина и биология
  10. Анабиоз и экономика
  11. Анабиоз и закон
  12. Анабиоз в Антарктиде
  13. Техническое обеспечение анабиоза
  14. Бессмертие и вера
  15. Библиотека Ordo Deus
  16. Контактная страница Ordo Deus

Бешенство

Бешенство (rabies; син.: водобоязнь, hydrophobia, lyssa) — острая инфекционная болезнь из группы зоонозов, вызываемая вирусами из семейства рабдовирусов и характеризующаяся поражением нервной системы.

Оглавление

История

Этиология

Эпидемиология

Патологическая анатомия

Патогенез

Иммунитет

Клиническая картина

Психические расстройства при бешенстве

Диагноз

Прогноз

Лечение

Профилактика

История

Еще Аристотель (384— 322 до н. э.) обращал внимание на распространение Б. среди собак. Цельс (1 в. н. э.) указывал на частое заболевание собак, иногда других животных. Он же заметил и другие факты: заболевание Б. людей, возможность передачи болезни со слюной животного в момент укуса. В 1271 г. описана крупная эпизоотия Б. среди собак и волков в Германии, в 1500 г. — в Бельгии и Испании. В 1590 г. во Франции отмечена эпизоотия Б. среди волков. Можно полагать, что до 17 в. эпизоотии Б. имели ограниченное распространение.

С развитием капитализма и ростом крупных городов из-за концентрации в них значительного количества собак в Европе широкое развитие получают эпизоотии Б. городского типа. В течение 18 и 19 вв. эпизоотии Б. среди собак поражают почти все страны Европы, Америки, Азии и Африки, особенно сильно — столицы ряда государств: на Париж приходилась 7з всей заболеваемости во Франции, на Москву и Петербург — соответственно 50 и 80% всей заболеваемости в Московской и Петербургской губерниях. Наиболее крупные эпизоотии Б., охватившие многие страны мира, были зарегистрированы в середине 19 и в первой четверти 20 в.

Изучение Б. в 19 в. связано с выдающимися достижениями Пастера, Ру, Шамберлана, И. И. Мечникова, Н. Ф. Гамалеи. К 1885 г. Пастер наложил основы специфической профилактики, применив антирабические прививки у человека. Уже в 1886 г. в Одессе Мечников и Гамалеи создали первую пастеровскую станцию в России.

Этиология

Возбудитель — вирус, к-рый по особенностям репродукции и морфологии вириона включен в семейство рабдовирусов (см.). Вирусную природу возбудителя Б. доказал Гемленже (P. Remlinger) и 1903 г., произведя фильтрование заразного материала через бактериальные фильтры. Известны два варианта вируса Б.: уличный («дикий») и фиксированный, полученный Пастором при адаптации уличного вируса к организму кролика в измененных условиях заражения. Вирус Б. патогенен для человека и всех видов теплокровных животных, в также птиц, однако степень восприимчивости человека и различных видов животных к инфекции различна. Согласно экспериментальным данным, наибольшей восприимчивостью к Б. обладают лисицы, а среди лабораторных животных — сирийский хомяк.

Штаммы вируса Б., циркулирующие в различных географических зонах мира, обладают рядом общих биологических и антигенных характеристик (вариабельность инкубационного периода, поражение при периферическом введении ц. п. с, выделение вируса со слюной, тождественная антигенная структура и т. д.). Наряду с этим установлено существование естественных биовариантов вируса Б. (вирус «дпкования», вирус Б. летучих мышей, вирус «безумной собаки»), а также представителей из рода рабдовирусов (вирус Лагос, IbAn27377, М1056 и др.).

Биоварианты вируса Б. различаются по степени патогенной активности при внемозговом заражении, распределению в органах зараженных животных, способности формировать включения (тельца Бабеша — Негри) и т. д. Вирусы, подобные возбудителю Б., имеют частичное антигенное с ним родство, а также сходный тип репродукции, но отличаются по комплексу биол. характеристик.

Вирион Б. в препаратах инфицированного мозга и культур ткани под электронным микроскопом имеет пулевидную форму с одним плоским и одним закругленным концом. Размеры вириона 80—180 нм. В поперечных срезах вириона Б. виден центральный стержень, окруженный плотной оболочкой. Для морфогенеза вируса Б. характерно первоначальное формирование матрикса: фила-ментозной субстанции в цитоплазме инфицированных клеток. В последующем из матрикса образуется нуклеокапсид вириона. Синтез вириона происходит как в веществе матрикса, так и в окружающих его интрацитоплазматических мембранах. В цитоплазме нейронов зрелые вирионы освобождаются путем почкования от поверхности филаментозного матрикса. В культуре клеток зрелые вирионы отпочковываются от клеточной поверхности.

Очистка и концентрация культурального вируса позволили изучить хим. структуру и биол. активность субвирусных компонентов. В состав вириона Б. входят: РНК (1%), белки (72%), липиды (24%) и углеводы (1%). Белки вириона Б. представлены 4 высокомолекулярными и 1 низкомолекулярным полипептидами. Нуклеокапсид вириона содержит 96% белка; представляет собой однонитчатую правовращающую спираль РНК длиной 1-мкм и наружным диам. 15—16 нм, окруженную оболочкой, состоящей из гликопротеина и глюколипидов. Нуклеокапсид вириона Б. обладает константой седиментации 200S, плавучей плотностью 1,32 г/см3 и молекулярным весом 1,5 × 108 дальтонов. РНК вириона Б. имеет молекулярный вес 4,6 × 106 дальтонов и константу седиментации 45S.

Вирус Б. обладает антигенными, иммуногенными и гемагглютинирующими свойствами, однако биол. и антигенная активность различных субвирусных структур неодинакова. Белки оболочки обладают выраженной иммуногенной активностью, в то время как белки «ядра» вириона мало иммуногенны. Гликопротеин оболочки вириона обладает гемагглютинирующей активностью. Очищенная вирусная РНК, нуклеокапсид и вирусные компоненты «ядра» вириона не инфекциозны, что может быть связано с отсутствием в их составе гликопротеина оболочки, необходимого для адсорбции вируса на поверхности клетки.

В составе вириона Б. обнаружены собственные ферментные системы: протеинкиназа, ДНК-полимераза. Схематическое изображение структуры вириона Б. представлено на рисунке 1.

Размножение вируса Б. in vivo и in vitro сопровождается формированием специфических включений — телец Бабеша — Негри. Тельца Бабеша — Негри размером 0,5— 25 мкм расположены в цитоплазме нейронов, имеют округлую, овальную, реже веретенообразную форму, базофильную внутреннюю структуру, окрашиваются кислыми красками в рубиновый цвет. При цитохимическом исследовании телец установлено, что они содержат РНК. Электронномикроскопическое исследование телец выявило, что их эозинофильная. основа соответствует специфическому филаментозному матриксу инфицированных клеток, а внутренние базофильные структуры состоят из вирусных нуклеокапсидов, связанных с компонентами клеток. Степень формирования телец Бабеша — Негри при заражении различных штаммов вируса Б. определяется численностью и интенсивностью локальных очагов вирусного синтеза в цитоплазме инфицированных клеток.

Информация об Ordo Deus Перейти в оглавление сайта

Рис. 1.
Действие детергентов на вирион бешенства. Вверху — вирион до воздействия. Слева внизу — вирион после воздействия дезоксихолата Na (ДОХ): полный распад вириона. Справа внизу — вирион после воздействия нонидет Р-40 (НР40): распад только внешней оболочки.

Устойчивость вируса Б. невелика. Нек-рые детергенты вызывают распад вирионов (рис. 1). Кипячение в течение 2 мин. убивает вирус Б. Растворы лизола или хлорамина (2—3%), 0,1% раствор сулемы быстро и надежно обеззараживают загрязненные вирусом материалы. Вирус хорошо сохраняется лишь при низкой температуре и после вакуумного высушивания в замороженном состоянии.

Эпидемиология

Б.— типичный зооноз; от человека к человеку инфекция передается исключительно редко (описано лишь несколько случаев). Основным источником и резервуаром вируса Б. являются дикие плотоядные животные, гл. обр. лисицы, а также собаки, кошки, а в странах Америки — летучие мыши. Различают эпизоотии Б. природного и городского типов.

Естественными являются природные эпизоотии Б., поддерживаемые дикими плотоядными животными из семейства собачьих (волки, енотовидные собаки, лисицы, шакалы), куньих (скунсы, куницы, барсуки, ласки, хорьки, горностаи), кошачьих (дикая кошка, рысь и др.), виверровых (генетты, мангусты, виверры) и рукокрылых (вампиры, насекомоядные и плотоядные летучие мыши). В городских очагах источником Б. являются домашние животные (собаки, кошки и др.).

Во многих странах Азии, Америки, Африки в 19 и 20 вв. встречаются эпизоотии обоих типов. Наряду с природными эпизоотиями вспышки Б. среди собак сохраняются в ряде стран Азии (Индия, Шри Ланка, Бирма, Таиланд, Пакистан и др.)? Африки (Алжир, Марокко, Ливия, Гана, Нигерия, Тунис, Судан, Камерун, Эфиопия и др.), Южной Америки (Аргентина, Мексика, Гватемала, Перу, Гондурас и др.). Б. отсутствует гл. обр. на нек-рых островных территориях: в Океании — Гуам, о-ва Фиджи, Новые Гебриды, Новая Каледония, Самоа и др.; в Азии — Япония, Сингапур, Гонконг, Бруней. Отсутствуют также заболевания Б. в нек-рых государствах Африки (Мавритания), Америки (Французская Гвиана, Ямайка, Мартиника, Виргинские о-ва). В Австралии и Новой Зеландии Б. никогда не было.

В Европе в конце 19 и начале 20 вв. эпизоотии городского типа были ликвидированы в скандинавских странах, Англии, Венгрии, Австрии, Бельгии, Швейцарии, Франции и после второй мировой войны — в нек-рых республиках СССР, Болгарии, Румынии, Италии, Испании, Португалии, Югославии.

Начиная с 40-х годов 20 в. в Европе и Америке наблюдалось изменение основных эпизоотологических особенностей Б.: исключительно широкое распространение получили эпизоотии среди лисиц. В 1967— 1970 гг. в ФРГ, Австрии, Дании, Швейцарии и Чехословакии 70— 85% заболеваний Б. приходилось на лисиц. В ФРГ за 1967—1970 гг. Б. болели лисицы в 70% случаев, с.-х. животные — в 10%, собаки и кошки — в 8%, олени, косули, серны и муфлоны — в 7,3%, куницы, барсуки, хорьки, дикие кабаны, ласки — в 4,6% и грызуны — 0,1%.

Информация об Ordo Deus Перейти в оглавление сайта

Рис. 2.
Заболеваемость бешенством среди животных в СССР за 1948 — 1970 гг.

В дореволюционной России заболеваемость Б. регистрировалась в 55,2% случаев у собак и кошек и в 44,2% у с.-х. животных (Г. И. Турин, 1923). В начале 40-х годов эпизоотии Б. среди лисиц были зарегистрированы в центральных, северных и южных районах РСФСР, в начале 50-х годов — в Казахстане, на Украине, в Молдавии, Поволжье, на Северном Кавказе, в нек-рых районах Урала, Западной Сибири, в Прибалтике, Средней Азии и Закавказье. Природные эпизоотии Б. в СССР с нек-рыми колебаниями продолжают регистрироваться (рис. 2). Полагают, что эпизоотии среди лисиц объясняются нарушением биол. равновесия: увеличение лисиц из-за обилия питания, сокращение охоты на них, ограничение численности естественных врагов (волков, золотистых орлов). Возможно, что среди лисиц циркулируют генетически измененные штаммы уличного вируса Б. Эпизоотии среди лисиц имеют повсеместное распространение, среди скунсов — только в Северной Америке, мангустов — в Южной Африке, на островах Индийского океана, на Кубе, в Пуэрто-Рико, Гренаде, Домини¬канской республике, Панаме. Для Америки характерны также эпизоотии среди летучих мышей. Число диагностированных случаев Б. у некровососущих летучих мышей в Канаде и США с 1953 по 1966 г. увеличилось с 8 до 484; зарегистрировано 6 заболеваний людей Б. после инфицирования некровососущими летучими мышами. Большее значение имеют эпизоотии Б. среди вампиров, встречающиеся только в Южной Америке. В результате нападения вампиров ежегодно погибает от Б. ок. 1 млн. с.-х. животных. До 1966 г. зарегистрировано 160 заболеваний людей Б. после укусов вампирами [Эрвин (A. D. Irvin), 1970J. В Европе, Азии и Африке летучие мыши не имеют эпидемиол. значения, хотя отдельные случаи выделения от них вируса Б. известны. Заболеваемость грызунов в очагах Б. варьировала от 1 до 3%, однако их роль в формировании природных очагов Б. остается еще не доказанной.

В связи с эпизоотиями Б. сохраняется неблагополучие по заболеваемости Б. и людей. По неполным данным ВОЗ за 1969 и 1970 гг., по поводу явного или подозреваемого инфицирования подвергались антирабическим прививкам соответственно 544 253 и 382 517 человек, зарегистрировано 472 и 698 заболеваний Б. За 1970 г. умерло от Б. в Бразилии 111 человек, Мексике — 63, Аргентине — 13, Венесуэле — 13, Перу — 11, Марокко — 20, Тунисе — 20, Малайзии — 7, Таиланде— 311. Высока заболеваемость Б. в странах Азии (Индия, Филиппины, Шри Ланка и др.). Несмотря на крупные эпизоотии Б. природного типа, во многих странах Европы заболевания людей отсутствуют. Б. у человека все еще регистрируется в Турции, Греции, где основным источником инфекции являются собаки. Единичные заболевания людей регистрируются в ФРГ, ГДР, Дольше;

В СССР после 1951 г. наблюдалось значительное снижение заболеваемости Б. (рис. 3). За 1964 — 1971 гг. не было заболеваний Б. в Эстонской ССР, редки заболевания в Латвийской, Литовской, Бе¬лорусской, Армянской, Грузинской, Туркменской ССР. Неблагополучными по заболеваемости Б. остаются Узбекская, Украинская ССР и нек-рые районы РСФСР.

Анализ материалов показывает, что 53,5% заболевших Б. в нашей стране людей своевременно не обращались за медпомощью и не получали антирабические прививки. Локализация укуса имеет решающее значение в частоте заболеваемости. За 1964—1971 гг. 67% заболевших были укушены в верхние конечности, 19,1% — в голову или лицо, 12% — в нижние конечности и 1,9% — в туловище.

Анализ данных по заболеваемости Б. с 1946 по 1956 г. показал, что основным источником инфекции для человека являлись собаки (87,1%), с 1957 по 1968 г. роль собак как источника инфекции снизилась до 37,5%. Вместе с тем повысилась роль лисиц с 2,1 до 37,5%, а также кошек с 5,3 до 14,2%. В 1971 г. заболевшие Б. были инфицированы собаками в 39,6% случаев, лисицами - в 37,8%, кошками — в 20,7%, енотовидной собакой— в 1,9%. В течение 1964—1968 гг. волки оказались источником инфекции в 1,1— 7,1%) случаев.

Для эпизоотии Б. городского типа незыблемыми остаются следующие зпидемиол. положения: всегда острое клиническое течение болезни со смертельным исходом, выделение вируса в окружающую среду лишь через слюнные железы в последние 10 дней инкубационного периода и в продолжении болезни, передача инфекции путем укуса. В процессе длительной естественной эволюции вирус Б. адаптировался к избирательному па-разитированию в организме плотоядных животных. Константин (D. Сопstantine, 1971) установил возможность передачи возбудителя Б. среди летучих мышей и аэрогенным путем. Имеются наблюдения, что эпизоотиям Б. среди лисиц предшествует нашествие грызунов. Известны отдельные сообщения об абортивной или бессимптомной форме Б. у мышей, крыс и птиц. Однако эти сообщения не подтверждены убедительными экспериментами: динамикой накопления вируса в мозге и слюнных железах, высокими титрами антител после перенесенной инфекции.

Мировая практика назначения антирабических прививок только при укусах бешеными животными или животным и, находящимися в инкубационном периоде в последние 10 дней, свидетельствует об отсутствии бессимптомной формы Б. у собак, кошек, лисиц и других животных.

Информация об Ordo Deus Перейти в оглавление сайта

Рис. 3.
Динамика заболеваемости бешенством у людей в СССР за 1940—1970 гг.

См. также Эпизоотические болезни, Эпизоотия.

Патологическая анатомия

У людей, погибших от Б., выявляют отек и набухание головного и спинного мозга с выраженной гиперемией, сопровождающейся петехиальными кровоизлияниями. Однако воспалительные процессы в оболочках и в ткани мозга часто являются ограниченными.

Микроскопически воспалительный процесс обнаруживают в тройничных нервах, гассеровых узлах, межпозвоночных и верхних шейных симпатических ганглиях и в сером веществе головного мозга, гл. обр. в его стволовой части. В периферических нервах отмечают лимфоидные и моноцитарные инфильтраты, локализующиеся около расширенных сосудов. Вокруг гибнущих или распавшихся ганглиозных клеток возникает гиперплазия олигодендроглиальных элементов, в результате чего образуются так наз. узелки бешенства. Они, однако, не являются специфичными для Б., т. к. встречаются и при других заболеваниях (эпидемический энцефалит, острый передний полиомиелит).

При микроскопическом исследовании рубца на месте укуса наряду с изменениями нервов выявляется воспаление с обильными лейкоцитарными инфильтратами и выраженным отеком.

В сером веществе спинного мозга наблюдают пролиферацию микроглии, околососудистые инфильтраты, кровоизлияния. Нервные клетки передних рогов, реже боковых участков задних рогов подвергаются дистрофии.

В стволе мозга наибольшие изменения отмечают в оливах и в сером веществе вокруг IV желудочка. В оболочках полушарий часто наблюдаются явления ограниченного менингита. В более глубоких слоях коры головного мозга имеются периваскулярные инфильтраты.

Дистрофические изменения нейронов наиболее часто отмечаются в спинальных ганглиях, спинном мозге, в стволе головного мозга и характеризуются вакуолизацией ядра и цитоплазмы, лизисом клетки, набуханием и сморщиванием ядер. Нейроны подвергаются зернистожировому перерождению, заканчивающемуся распадом клетки.

Во внутренних органах особых изменений не возникает. Слюнные железы иногда увеличиваются. В них обнаруживают периваскулярные инфильтраты. Отмечается полнокровие и нек-рая вздутость легких. Селезенка не увеличена.

Характерным для Б. считают появление цитоплазматических включений — телец Бабеша — Негри (цветн. рис. 4 и 5 и рис. 4—9), к-рые чаще всего обнаруживают в клетках гиппокампа — pes hippocampi (аммонова рога), особенно в секторе Зоммера и в грушевидных нейроцитах (клетках Пуркинье) мозжечка.

Информация об Ordo Deus Перейти в оглавление сайта

Рис. 4.
Многочисленные тельца Бабеша — Негри (в виде гранул черного цвета) в секторе Зоммера гиппокампа (окраска по Манну; ×Х400).

Информация об Ordo Deus Перейти в оглавление сайта

Рис. 5.
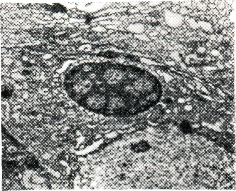
Тельце Бабеша — Негри (в центре препарата) в цитоплазме гиппокампа (электронограмма; ×10000).

Патогенез

Вирус Б. попадает в организм человека при укусе либо ослюнении бешеным животным через рану или микроповреждения кожи, реже слизистые оболочки. Далее наблюдается центростремительное движение вируса по периневральным пространствам. Ряд исследователей допускает лимфогематогенный путь распространения вируса. Однако вирус из крови не выделяется.

Дальнейшее размножение и накопление его происходит гл. обр. в головном и спинном мозге. Неоднократно предпринимались попытки связать клинические явления Б. с выявляемыми морфологическими изменениями. Если нарушения соматической нервной системы (парезы, параличи) можно объяснить соответствующими поражениями спинного мозга и мозгового ствола, то другие клинические явления трудно связать с конкретной локализацией вируса. Пароксизмы бешенства Н. М. Кроль объясняет учением Ухтомского о доминанте, по которому повышенная возбудимость высших вегетативных центров гипоталамуса, продолговатого мозга и подкорковых образований создает доминанту, поглощающую все другие раздражения. Поэтому на любое раздражение следует ответ в виде пароксизма Б.

Иммунитет

Естественный иммунитет к Б. существует у холоднокровных животных. Редко наблюдающаяся невосприимчивость человека и теплокровных животных свидетельствует о наличии естественного иммунитета и у теплокровных, более выраженного у птиц, чем у млекопитающих. Естественный приобретенный иммунитет к Б. не известен, т. к. случаи выздоровления от Б. достоверно не доказаны.

Иммунология Б. связана гл. обр. с изучением прививочного иммунитета, в природе к-рого несомненная роль принадлежит вируснейтрализующим антителам; это подтверждается высоким содержанием в крови антител, что соответствует состоянию резистентности; пассивная иммунизация антирабическим гамма-глобулином является эффективным методом леч. проф. иммунизации. Однако нельзя прививочный иммунитет связывать только с наличием антител. Так, после экстраневральной активной или пассивной иммунизации животные становятся резистентными даже к непосредственному введению вируса Б. в мозг. При этом в мозге вируснейтрализующие антитела либо не определяются совсем, либо определяются в очень низком титре. После интрацеребральной иммунизации штаммом Флюри у мышей развивается напряженный иммунитет к интрацеребральному заражению, а антитела в мозге не обнаруживаются.

В генезе антирабического иммунитета еще многое не ясно. Кроме гуморального и тканевого факторов, возможно, играют роль различные ингибиторы типа интерферона. Показано, что вирус Б. вызывает продукцию интерферона в культуре ткани и организме лабораторных животных. Большой интерес вызывают опыты ва лабораторных животных по профилактическому и лечебному действию эндогенного интерферона, индуцированного синтетическими полинуклеотидами.

Клиническая картина

Продолжительность инкубационного периода при Б. обычно колеблется, но чаще составляет 30—90 дней; короче 10 дней он бывает исключительно редко. Инкубационный период от 12 до 99 дней А. И. Саватеев (1927) наблюдал в 84% случаев, от 100 до 200 дней — в 10,4%, от 200 дней до 1 года — в 3,7%, более года — в 1,1%. Инкубационный период, равный 2—3 годам, описанный рядом авторов, маловероятен. По данным М. А. Селимова (1963), инкубационный период у привитых составляет в среднем 54 дня, а у непривитых — 77 дней. Наиболее короткий инкубационный период наблюдается при укусах в лицо, голову, наиболее длинный — при одиночных укусах туловища и нижних конечностей. Он короче также при тяжелых повреждениях тканей и у детей. Вместе с тем при экспериментальном заражении нет связи между длительностью инкубационного периода и местом инокуляции.

Во время инкубационного периода самочувствие у укушенных обычно не страдает.

В течении заболевания выделяют продромальную стадию, стадию развившейся болезни, или стадию возбуждения, и стадию параличей, заканчивающуюся летальным исходом.

Первые признаки болезни проявляются почти всегда на месте укуса, где ощущается зуд, тянущие и ноющие боли, невралгические боли по ходу нервов, ближайших к месту укуса. Рубец на месте укуса иногда слегка воспаляется и становится болезненным.

Отмечаются субфебрильная температура, общее недомогание, головная боль. Может наблюдаться сухость во рту. Аппетит снижен, язык обложен. Появляется повышенная чувствительность к зрительным и слуховым раздражителям, гиперестезия, иногда чувство стеснения в груди и глотке. Рано нарушается сон: появляются страшные сновидения, затем устанавливается бессонница. Самочувствие ухудшается. Больные испытывают беспричинный страх, тревогу, чувство тоски, появляются мысли о смерти.

Продромальные явления усиливаются. Появляется тошнота, нередко рвота, потливость, мидриаз, но реакция зрачков при этом сохраняется. Первый клинически выраженный приступ болезни («пароксизм бешенства») большей частью развивается внезапно под влиянием какого-либо раздражения. Приступ характеризуется внезапным вздрагиванием всего тела, руки вытягиваются вперед и дрожат, голова и туловище отклоняются назад. Приступ длится несколько секунд, сопровождаясь чрезвычайно болезненными спазмами мышц глотки, приводящими к одышке инспираторного типа. В дыхании принимают участие все вспомогательные мышцы. Вдох затруднен, сопровождается свистом, выдох поверхностный. Лицо цианотично, выражает страх и страдание, взгляд устремлен в одну точку, заметен экзофтальм. Больной мечется, умоляет о помощи. Часто наблюдаются икота и рвота. Во рту скапливается густая вязкая слюна, выделяется липкий пот, сохраняется тахикардия. Такие приступы длятся несколько секунд, но они часто следуют друг за другом и могут быть вызваны самыми незначительными раздражителями, среди к-рых Н. М. Кроль на первое место ставит t° колебания воздуха. Малейшее дуновение (открывание двери, ходьба даже на расстоянии 3—4 м от больного) вызывает описанные пароксизмы (аэрофобия).

Аналогичные явления вызывает и попытка сделать глоток воды. Затем судороги начинают возникать только при виде воды или даже упоминании о ней (гидрофобия).

Вызвать приступ могут любые раздражители: яркий свет (фотофобия), громкий разговор (акустикофобия), прикосновения к коже, поворот головы, кашель, натуживание во время мочеиспускания и др. Через день-два слюна становится более жидкой и обильной, к-рую больной не заглатывает, а непрерывно отплевывает или она стекает по подбородку. Усиливается потоотделение, учащается рвота. Паралича глотательных мышц в этой стадии, как правило, нет. Больные могут проглатывать мелко нарезанные куски пищи: хлеб, фрукты и т. п.

Поражения периферической нервной системы могут наблюдаться как I в стадии развившейся болезни, так и изредка возникать в продромальном периоде. Если больной не скончался во второй стадии болезни от внезапно наступившего паралича дыхательного или сосудодвигательною центров, то заболевание за 1 — 3 дня до смерти переходит в последнюю, паралитическую стадию.

Поражения нервной системы при Б. не имеют строгой специфичности и чрезвычайно разнообразны по локализации, распространенности и срокам появления. Они носят характер парезов, параличей черепных нервов или конечностей, параплегии. В одних случаях эти явления развиваются на верхних конечностях, далее распространяются на нижние, за тем на бульбарные отделы, в других — наоборот. Часто развитие параличей идет по типу восходящего паралича Ландри (см. Ландри восходящий паралич).

Возбуждение проходит. Больной лежит неподвижно. Крупные капли пота покрывают лицо, руки, тело. Продолжается обильное слюнотечение. В результате резкого обезвоживания черты лица заостряются, больной быстро теряет в весе, мочи выделяет мало. С прекращением возбуждения и судорог состояние улучшается. Больной может пить и есть, дыхание становится более свободным. У больного и окружающих появляется надежда на выздоровление. «Успокоение» продолжается 1 — 3 дня. Однако сердечно-сосудистая деятельность продолжает ухудшаться. Нарастает тахикардия, падает артериальное давление.

Информация об Ordo Deus Перейти в оглавление сайта

Бешенство.
Рис. 4—9. Выявление телец Бабеша—Негри (т. Б. —Н.) в цитоплазме нервных клеток при различных методах окраски. Рис. 4 и 8. Крупные т. Б. —Н. (рис. 4—темно-красного цвета, окраска по Селлерсу; ×900 и рис. 8—оранжевого цвета, окраска сафронином, импрегнация серебром; ×900) с множеством базофильных гранул (черные точки). Рис. 5—7 и 9. Т. Б. —Н. (красного цвета). Рис. 5—окраска по Манну; ×680. Рис. 6—окраска по Гимзе; ×680. Рис. 7—окраска фуксин - сафронином; ×680. Рис. 9—окраска по Гимзе; ×900.

Смерть обычно наступает внезапно. В развитии клинической картины Б. не всегда отмечается постоянство. Может отсутствовать продромальный период, не наблюдаться буйства, гидро- и аэрофобии.

Значительно реже наблюдается картина паралитического, или «тихою», Б. Последнее протекает без явлений возбуждения и характеризуется в основном развитием параличей различной распространенности, чаще протекающих по типу восходящего паралича Ландри. Гидро- и аэрофобии отсутствуют или слабо выражены. Течение болезни более длительное, смерть наступает вследствие бульбарных расстройств. Эта форма Б. встречается чаще в Южной Америке и при укусах вампиров.

Психические расстройства при бешенстве

Психические расстройства при бешенстве постоянны. Они могут появляться раньше всех остальных симптомов болезни. Вначале развивается состояние астении: появляется общее недомогание, чувство дискомфорта, неопределенное беспокойство, раздражительность, истощаемость, постоянно выраженная гиперестезия различных органов чувств. Вскоре появляются выраженные аффективные расстройства, в к-рых преобладает тоска, сопровождаемая тревогой, страхом, а в ряде случаев ощущением ужаса. Аффективные расстройства интенсивнее в тех случаях, когда они сочетаются с сознанием болезни. Через нек-рое время на фоне резко усиливающейся гиперестезии всех органов чувств возникают спонтанно при незначительных внешних раздражителях пароксизмы резчайшего возбуждения: больной мечется ПО палате, рвет белье, постельные принадлежности, бьется о стены, издает хриплые звуки, испытывает неописуемый страх смерти. Зрачки резко расширены, изо рта обильное слюноотделение. Лицо выражает страдание. Пароксизмы бешенства сменяются состоянием резкой астении и адинамии, близкими к прострации. Сознание обычно сохраняется. В ряде случаев отмечаются кратковременные периоды делириозного или аментивного помрачения сознания с отрывочными зрительными, иногда слуховыми галлюцинациями устрашающего характера, нестойкими бредовыми идеями, двигательной речевой бессвязностью.

Диагноз

Диагноз устанавливается на основании комплекса эпидемиол., клинического и лабораторного исследований. При сборе анамнеза необходимо обратить внимание на возможность ослюнения без укуса, болевые ощущения в месте бывшего укуса в продромальном периоде болезни, эмоционально-психическое состояние больного в этом периоде. Выясняется дальнейшая судьба животного (пало, находится под ветеринарным наблюдением, скрылось). При осмотре больного обращают внимание на наличие рубцов от бывших укусов, состояние зрачков, потливость, слюнотечение. Следует учитывать, что из-за длительного инкубационного периода больной может забыть о незначительных повреждениях или их осложнениях, особенно если контакт был с внешне здоровым животным в течение короткого промежутка времени. Наибольшее значение для диагноза имеет общая возбудимость, приступы гидро-, аэро-, акустикофобий, приступы бурного аффективного возбуждения с двигательным беспокойством, яростью, склонностью к агрессии. На 2—3-й день болезни начинают развиваться вялые параличи и парезы различного характера и локализации. Для диагноза очень существенна динамика клинических проявлений болезни, ее цикличность. Преобладание симпатикотонических симптомов, на фоне к-рых развиваются припадки Б., сменяется гиперваготоническими явлениями с ослаблением и прекращением пароксизмов и развитием параличей.

При дифференциальном диагнозе необходимо учитывать столбняк, истерию, отравление атропином, энцефалиты, лиссофобию.

Для столбняка характерен тонический спазм мускулатуры, на фоне к-рого под влиянием различных раздражений возникают приступы тонических судорог, тризм и опистотонус. После приступа тонус мышц остается повышенным. Мышцы кистей рук и стоп в судорожный припадок не вовлекаются. Сознание сохранено, бредовых высказываний и галлюцинаций нет.

Лиссофобия (боязнь заболеть Б.) возникает чаще у психопатических личностей. Основным отличием лиссофобии от Б. является отсутствие вегетативных расстройств (мидриаза, потливости, тахикардии и т. д.) и динамики клинических проявлений. Аэрофобии, как правило, нет. В состоянии наркоза все клинические симптомы полностью исчезают.

Для лабораторной диагностики Б. используется комплекс методов исследования.

Метод флуоресцирующих антител — наиболее быстрый и точный метод лабораторной диагностики Б. Для выявления вирусного антигена в отпечатках мозга и слюнных желез погибших людей или павших животных, а также при обследовании отпечатков роговицы (прижизненный корнеальный тест) используют прямой метод флуоресцирующих антител. Для выявления антител к вирусу Б. в сыворотках больных людей и животных применяют непрямой метод флюоресцирующих антител. Основным условием успешного применения его является наличие конъгогированных с флюоресцеин-изоцианатом специфических или видовых сывороток. Достоверность полученных результатов необходимо контролировать, используя: а) препараты нормальной ткани того же вида; б) подавление флюоресценции при помощи предварительного насыщения антигенсодержащего препарата немечеными специфическими антителами. При соблюдении указанных методических условий данный метод обеспечивает постановку лабораторного диагноза в 100% случаев Б. и не требует применения других методов исследования.

Гистологический метод. Диагностика Б. путем выявления телец Бабеша — Негри в отпечатках и срезах мозга и слюнных желез животных при просмотре в световом микроскопе является быстрым методом. Для фиксации материала пользуются ацетоном, этиловым и метиловым спиртами, смесью Дюбоска — Бразиля — Буэна и др. Окрашивание отпечатков производят по методу Муромцева, Селлерса, при окраске срезов ткани используют методы Гимзы, Манна, Туревича. Метод обнаружения телец Бабеша — Негри для Б. специфичен, но менее чувствителен, чем метод флюоресцирующих антител, поскольку эти включения отсутствуют во многих случаях Б. диких животных и не всегда обнаруживаются при типичном Б. человека и домашних животных. Поэтому в случае отрицательного результата необходимо применение других методов исследования.

Биопроба — выделение вируса Б. из мозга и слюнных желез путем интрацеребрального заражения мышей. Для постановки биол. пробы следует использовать сосунков или молодых мышей. Использование метода флюоресцирующих антител с отпечатками мозга зараженных мышей позволяет ставить диагноз до появления клинических симптомов заболевания животного. Результаты биопробы и диагностики Б. по методу флюоресцирующих антител обычно совпадают в 100% случаев.

Реакция нейтрализации вируса также точный метод определения специфичности вируса, выявляемого в биопробе, и титра антител в сыворотках людей и животных. Для идентификации вируса различные его разведения титруют с постоянной дозой антирабического гаммаглобулина. Для определения титра антирабических антител различные разведения исследуемой сыворотки смешивают с постоянной дозой (в среднем 100 LD50) вируса Б. Смесь вирус — сыворотка выдерживают 1½ часа при t 37° и вводят в мозг белым мышам. Наблюдения за зараженными животными продолжаются 21—30 дней. Разница в титре вируса в присутствии антирабического гаммаглобулина по сравнению с контролем (индекс нейтрализации 100 и выше) свидетельствует о том, что выделенный вирус идентичен в антигенном отношении вирусу Б. Титром антирабических антител в исследуемой сыворотке является ее последнее разведение, нейтрализующее 100 LD50 вируса Б.

Метод иммунодиффузии в агаровом геле, обладающий высокой специфичностью, может быть использован в диагностике Б., однако для его осуществления необходимо наличие высоких концентраций вируса в исходном материале и высокая специфичность применяемых иммунных сывороток.

Для титрования вируса Б. и антител успешно применяют методику бляшкообразования в культуре ткани, реакцию пассивной гемагглютинации и подавления ее, РСК, радиоиммунный тест и реакцию лизиса инфицированных клеток.

Прогноз

Прогноз — неблагоприятный, достоверных случаев выздоровления при развившейся болезни не известно.

Лечение

Эффективных методов терапии Б. пока нет. Применяют симптоматическое лечение, имеющее целью защитить больного от внешних раздражителей, снять повышенную возбудимость, поддержать нормальный водный баланс. В последние годы делаются попытки применения реанимационной терапии.

Больного Б. госпитализируют в отдельную палату, максимально ограждают от различных внешних раздражителей: от шума, движений воздуха, яркого света и др. За больным устанавливается постоянное наблюдение.

Профилактика

Профилактика включает выявление и уничтожение животных — источников возбудителя инфекции и предупреждение заболевания человека Б. после инфицирования (см. Антирабические прививки).

Комплекс мер по борьбе с эпизоотией Б. среди домашних плотоядных составляет; обязательная регистрация собак и профилактическая их иммунизация, отлов бродячих собак и кошек, лабораторная диагностика каждого случая заболевания, карантин и другие меры в очаге заболевания, санитарно-ветеринарная пропаганда.

Борьба с эпизоотиями природного типа Б. имеет целью сокращение числа животных, являющихся резервуаром инфекции. В нек-рых районах Европы при сокращении числа лисиц до 1 животного на 4—5 км2 удалось искоренить природные очаги инфекции. Для сокращения числа диких плотоядных животных проводят окуривание нор, отравление ядами, вылов капканами, отстрел и др. Наиболее эффективно окуривание нор синильной к-той (циклон В), цианистым натрием, фтористым водородом или сульфурдиоксидом. В Дании окуривание нор, примененное в период спаривания и появления выводков, обеспечило снижение количества лисиц до 80%. Капсулы с цианистым калием или натрием, кубики или пилюли со стрихнином, вареные яйца или тушки животных, начиненные стрихнином, фторацетатом натрия, успешно были применены для уничтожения волков, койотов, лисиц и скунсов в очагах Б. в Канаде и США. Для уничтожения койотов и волков рекомендуется также использование патронов с цианистым калием (coyote-getter). Нашли применение также различные системы пружинных капканов, проволочная западня, проволочная петля, ловушки. Обращается внимание на необходимость проведения этой работы в периоды наибольшей миграции диких плотоядных, а также на ис-пользование приманок, правильное расположение капканов.

Ванаг К.А.; Канторович Р.А.; Посвянский П.Б.; Селимов М. А.

⇐ Перейти на главную страницу сайта

⇑ Вернуться в начало страницы ⇑

Библиотека Ordo Deus ⇒

⇐ Бехчета болезнь

⇓ Полный свод знаний. Том первый А. ⇓

Биссиноз ⇒

Все статьи в полном изложении, Вы можете найти в большой медицинской энциклопедии — Главный редактор: академик АН СССР (РАН) и АМН СССР (РАМН) Б.В. Петровский. — Москва издательство «Советская энциклопедия» 1989г.

Внимание! Вы находитесь в библиотеке «Ordo Deus». Все книги в электронном варианте, содержащиеся в библиотеке «Ordo Deus», принадлежат их законным владельцам (авторам, переводчикам, издательствам). Все книги и статьи взяты из открытых источников и размещаются здесь только для чтения.

Библиотека «Ordo Deus» не преследует никакой коммерческой выгоды.

Все авторские права сохраняются за правообладателями. Если Вы являетесь автором данного документа и хотите дополнить его или изменить, уточнить реквизиты автора, опубликовать другие документы или возможно вы не желаете, чтобы какой-то из ваших материалов находился в библиотеке, пожалуйста, свяжитесь с нами по e-mail:
info @ ordodeus. ru
Формы для прямой связи с нами находятся в нижней части страниц: контакты и устав «Ordo Deus», для перехода на эти страницы воспользуйтесь кнопкой контакты вверху страницы или ссылкой в оглавлении сайта.

Вас категорически не устраивает перспектива безвозвратно исчезнуть из этого мира? Вы не желаете закончить свой жизненный путь в виде омерзительной гниющей органической массы пожираемой копошащимися в ней могильными червями? Вы желаете вернувшись в молодость прожить ещё одну жизнь? Начать всё заново? Исправить совершённые ошибки? Осуществить несбывшиеся мечты? Перейдите по ссылке: «главная страница».

© Ordo Deus, 2010. При копировании ссылка на сайт http://www.ordo-deus.ru обязательна.