|
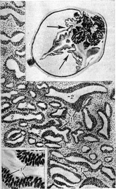
Опухоль не имеет определённой формы и представляет собой белую беспигментную массу, исходящую из плоской части реснитчатого тела. Гистологический картина напоминает строение эмбриональной сетчатки. Опухоль состоит из кубических или призматических клеток, расположенных в один или несколько рядов. Клетки формируют тяжи лентовидной формы, причудливо переплетающиеся между собой, создающие вид ажурной ткани (рисунок). У основания тяжей имеется тонкая мембрана, между складками их — нежная волокнистая ткань, встречаются митозы. Иногда в опухоли встречаются островки гиалинового хряща, что послужило основанием для некоторых авторов трактовать её как тератоневрому. В большинстве описанных случаев метастазов при Диктиома не наблюдалось.
Опухоль чаще всего встречается у детей в возрасте от 1 до 9 лет, но описаны случаи, наблюдаемые в более позднем возрасте — от 11 до 28 лет. Диктиома проникает в переднюю и заднюю камеру глаза, блокирует фильтрационный аппарат, вызывает повышение внутриглазного давления. В запущенных случаях может заполнить всю массу глазного яблока, приводя к увеличению его размеров. Клин, картина при этом напоминает буфтальм (смотри полный свод знаний Гидрофтальм). Нередко развивается стафилома склеры в переднем отделе глазного яблока (смотри полный свод знаний Стафилома), а в дальнейшем опухоль прорастает склеру и выходит под конъюнктиву.
Клин, диагноз чрезвычайно труден. Чаще всего Диктиома представляет собой патологоанатомическую находку. Её обнаруживают в глазах, удалённых по поводу буфтальма на почве высокого внутриглазного давления. В отличие от ретинобластомы (смотри полный свод знаний), опухоль не бывает двусторонней, не передаётся по наследству.
Лечение — энуклеация глазного яблока (смотри полный свод знаний Энуклеация глаза), а при наличии признаков прорастания опухоли через склеру — экзентерация глазницы (смотри полный свод знаний). Лучевая терапия при Диктиома не эффективна.
Прогноз для жизни, как правило, благоприятный, хотя описаны случаи гибели больных в связи с прорастанием опухоли в мозг. Нередки случаи рецидива опухоли в орбите, поскольку её удаляют, как правило, в запущенной стадии.
|
Все статьи в полном изложении, Вы можете найти в большой медицинской энциклопедии — Главный редактор: академик АН СССР (РАН) и АМН СССР (РАМН) Б.В. Петровский. — Москва издательство «Советская энциклопедия» 1989г.
|
|
Внимание! Вы находитесь в библиотеке «Ordo Deus». Все книги в электронном варианте, содержащиеся в библиотеке «Ordo Deus», принадлежат их законным владельцам (авторам, переводчикам, издательствам). Все книги и статьи взяты из открытых источников и размещаются здесь только для чтения.
|
|
Библиотека «Ordo Deus» не преследует никакой коммерческой выгоды.
|
|
Все авторские права сохраняются за правообладателями. Если Вы являетесь автором данного документа и хотите дополнить его или изменить, уточнить реквизиты автора, опубликовать другие документы или возможно вы не желаете, чтобы какой-то из ваших материалов находился в библиотеке, пожалуйста, свяжитесь с нами по e-mail: info @ ordodeus. ru Формы для прямой связи с нами находятся в нижней части страниц: контакты и устав «Ordo Deus», для перехода на эти страницы воспользуйтесь кнопкой контакты вверху страницы или ссылкой в оглавлении сайта.
|
Вас категорически не устраивает перспектива безвозвратно исчезнуть из этого мира? Вы не желаете закончить свой жизненный путь в виде омерзительной гниющей органической массы пожираемой копошащимися в ней могильными червями? Вы желаете вернувшись в молодость прожить ещё одну жизнь? Начать всё заново? Исправить совершённые ошибки? Осуществить несбывшиеся мечты? Перейдите по ссылке:
«главная страница».
|