Дисгерминома
Дисгерминома (dysgerminoma; греческий dys + латинское germen, germin[is] росток, зародыш + -oma; синонимы: семинома яичника, гоноцитома, герминома) — редкая злокачественная опухоль яичника. Микроскопическая структура сходна с семиномой яичка (смотри полный свод знаний Семинома). Термин предложен Р. Мейером в 1931 год.
Гистогенез Дисгерминома изучен недостаточно. Возникновение опухоли связывают с задержкой в яичниках недифференцированных половых клеток — гоноцитов. В связи с этим Тайлум (G. Teilum, 1946) предложил называть опухоль гоноцитомой.
Макроскопически Дисгерминома имеет вид плотного округлого узла, иногда инкапсулированного, на разрезе серо-розового цвета, часто с участками некроза и кровоизлияний. Размеры колеблются в значительных пределах. Обычно Дисгерминома бывает односторонней.
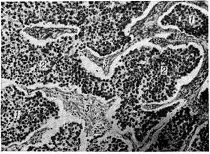
Микроскопически Дисгерминома состоит из крупных круглых или полигональных клеток с большими ядрами, содержащих гликоген и образующих ячейки и поля, разграниченные соединительнотканными прослойками, которые обильно инфильтрированы лимфоцитами (рисунок). Иногда видны многоядерные гигантские клетки типа Пирогова — Лангханса. Цитоплазма клеток Дисгерминома содержит щелочную фосфатазу. Опухоль рано метастазирует по лимфатический, и кровеносным сосудам. Морфологически Дисгерминома идентична атипическим тератомам эпифиза мозга (шишковидного тела) и гипоталамуса.
Дисгерминома наблюдается преимущественно у девочек и молодых женщин (в возрасте от 11 до 30 лет), часто на фоне инфантилизма с поздним появлением менструаций или аменореей, при наличии признаков неправильного полового развития (псевдогермафродитизм, синдром Тернера, отсутствие женского полового хроматина), возникает при наличии нормально протекающей беременности. Опухоль нередко сочетается с хорионэпителиомой, гонадобластомой и тератобластомой. Клиническая картина крайне скудна: больные жалуются на ощущение тяжести внизу живота, боли, расстройство деятельности желудочно-кишечного тракта, в редких случаях имеются признаки маскулинизации. Опухоль растёт, как правило, быстро и обнаруживается в первые месяцы болезни. Дисгерминома не отличается гормональной активностью, однако изредка наблюдается увеличение гонадотропинов в моче больных, исчезающее после удаления опухоли.
Лечение — оперативное в сочетании с лучевой или химиотерапией.
|