Дуоденит

Оглавление

  1. Дорога к бессмертию
  2. Бессмертие и религия
  3. Философия бессмертия
  4. Бессмертие и наука
  5. История анабиоза
  6. Смерть
  7. Кора головного мозга
  8. Бессмертие и анабиоз
  9. Анабиоз, медицина и биология
  10. Анабиоз и экономика
  11. Анабиоз и закон
  12. Анабиоз в Антарктиде
  13. Техническое обеспечение анабиоза
  14. Бессмертие и вера
  15. Библиотека Ordo Deus
  16. Контактная страница Ordo Deus

Дуоденит

Дуоденит (duodenitis; латинское duodenum двенадцатиперстная кишка + -itis) — воспалительно-дистрофический процесс, захватывающий все слои стенки двенадцатиперстной кишки или ограничивающийся её слизистой оболочкой. Различают также бульбит (bulbitis) — воспаление луковицы двенадцатиперстной кишки и оддит (odditis) — воспаление сфинктера общего желчного протока (Оддит) — кольцевидной мышцы, охватывающей общий желчный проток перед выходом его в полость двенадцатиперстной кишки.

Дуоденит впервые описан Ф. Бруссе в 1824 год. Введение в клин, практику дуоденоскопии (смотри полный свод знаний) и прицельной биопсии значительно расширило диагностические возможности в отношении этого заболевания. По данным ряда исследователей (А. В. Ефремов, К. Дуоденит Эристави, 1969), хронический Дуоденит встречается не реже хронический гастрита и составляет 22—30% по отношению ко всем желудочно-кишечного. заболеваниям. Болеют главным образом мужчины среднего возраста.

Этиология

Этиологического факторы, способствующие возникновению Дуоденит. У весьма разнообразны. Первичный Дуоденит — редкое заболевание, развивается в результате длительного воздействия на слизистую оболочку двенадцатиперстной кишки протеолитических ферментов кислого желудочного содержимого при дисфункциях желудка и двенадцатиперстной кишки, паразитов (лямблии, анкилостомы, аскариды), при избыточном употреблении раздражающей пищи, хронический алкоголизме и чрезмерном курении, а также при частых и длительных нервно-психических перенапряжениях и гормональных сдвигах. Вторичный — сопутствующий Дуоденит — может быть следствием целого ряда местных и общих заболеваний (гастрит, панкреатит, гепатит, уремия и так далее). Вопрос о связи Дуоденит и язвенной болезни (смотри полный свод знаний) в аспекте их причинно-следственных связей разрешается большинством исследователей в пользу того, что Дуоденит чаще является следствием язвенной болезни, хотя может быть морфологически субстратом формирования язвы.

Патогенез

Воспаление слизистой оболочки двенадцатиперстной кишки может возникать при непосредственном воздействии этиологического факторов, например, при желудочной гиперсекреции и гиперхлоргидрии, хронический алкоголизме, употреблении раздражающей пищи, изменении состава и ритма желудочной секреции. При этом важнейшим моментом является дуоденостаз (смотри полный свод знаний Двенадцатиперстная кишка), способствующий развитию процессов брожения и вторичной инфекции.

При общих инфекциях, интоксикациях, аутоинтоксикациях болезнетворные агенты, находящиеся в крови, выделяются с желчью или через слизистую оболочку двенадцатиперстной кишки и могут вызывать её воспаление — элиминационный Дуоденит Тесная нервно-рефлекторная связь двенадцатиперстной кишки с другими органами пищеварительной системы и некоторыми органами вне её способствует развитию Дуоденит висцеро-кортико-висцеральным путём. В редких случаях возможно сопряжённое действие нескольких патогенетических факторов (одновременное или поочерёдное), ведущих к Дуоденит.

Патологическая анатомия

Морфологически различают Дуоденит умеренно выраженный, резко выраженный и Дуоденит с атрофией слизистой оболочки. При умеренно выраженном Дуоденит слизистая оболочка двенадцатиперстной кишки гиперемирована, отёчна, местами покрыта слизью. Имеет место незначительное расширение зоны высоких клеток с узкой цитоплазмой и сдвинутым к центру ядром, некоторое увеличение бокаловидных энтероцитов; выраженная инфильтрация собственного слоя слизистой оболочки лимфоидными и плазматическими клетками; шаровидное расширение дуоденальных (бруннеровых) желёз и заполнение их слизью (рисунок 1).

При резко выраженном Дуоденит слизистая оболочка двенадцатиперстной кишки отёчна, складки ее утолщены, расположены беспорядочно, строма слизистой оболочки густо инфильтрирована лимфоидными клетками (рисунок 2). Выявляются дистрофические изменения в кишечном эпителии: цитоплазма клеток слизистой оболочки вакуолизирована (смотри полный свод знаний Вакуолизация), значительно увеличено количество бокаловидных энтероцитов (смотри полный свод знаний Бокаловидные клетки). Усиленная инфильтрация распространяется на глубже лежащие слои. Дуоденальные железы с расширенными просветами сливаются между собой, образуя крупные кисты. Дуоденит с атрофией слизистой оболочки характеризуется сглаженностью рельефа слизистой оболочки за счёт укорочения и расширения кишечных ворсин, уплотнением кишечного эпителия с резким уменьшением числа бокаловидных энтероцитов, увеличением глубоких крипт (рисунок 3). Установлено, что слизистая оболочка луковицы значительно чаще и в большей степени подвергается патологический изменениям (проксимальный Дуоденит), чем дистальные отделы двенадцатиперстной кишки (дистальный Дуоденит).

Клиническая картина

По клинической., течению различают острый и хронический дуоденит.

Острый дуоденит в большинстве случаев сочетается с воспалительными заболеваниями слизистой оболочки желудка и тонкой кишки (смотри полный свод знаний: Гастрит, Энтерит, энтероколит); он протекает по типу острой пищевой токсикоинфекции. Больные жалуются на тошноту, рвоту пищевыми массами с примесью желчи, головную боль, слабость, недомогание; характерны склонность к гипотензии и ортостатическому коллапсу (смотри полный свод знаний). При пальпации живота обнаруживается болезненность над пупком справа. При дуоденальном зондировании (смотри полный свод знаний) в кишечном содержимом обнаруживают слизь, слущённый эпителий, а в некоторых, особенно тяжёлых случаях — кровянистые массы.

Хронический дуоденит очень редко бывает следствием острого, чаще он развивается первично и характеризуется жалобами больного на постоянные боли в верхней части живота справа на уровне пупка и диспептические явления. Боли усиливаются натощак или спустя 1½—2 часа после приёма пищи, нередко беспокоят больных в ночное время («ночные» боли), иногда наиболее интенсивны во второй половине дня, к вечеру. У некоторых больных наблюдается чувство тяжести, «сосания» в животе, которое усиливается после еды. Наиболее частые диспептические явления — изжога, горечь во рту, отрыжка воздухом или кислым желудочным содержимым, тошнота и рвота. После отрыжки воздухом и рвоты иногда отмечается значительное облегчение. Больные Дуоденит часто страдают запорами (смотри полный свод знаний), их беспокоит головная боль, головокружение, приступы адинамии и усталости (для этих симптомов характерна периодичность появления — через 2—3 часа после приёма пищи). С течением времени больные теряют в весе, кожные покровы приобретают бледную окраску, отмечаются нарушения белкового, витаминного и электролитного обмена (смотри полный свод знаний: Азотистый обмен, Витаминная недостаточность, Водно-солевой обмен).

Течение хронический Дуоденит цикличное: фаза обострения сменяется фазой ремиссии. Обострение заболевания обычно длится от 1 до 2 месяцев, чаще наблюдается весной или осенью, хотя и с меньшей закономерностью, чем при язвенной болезни.



Информация об Ordo Deus Перейти в оглавление сайта

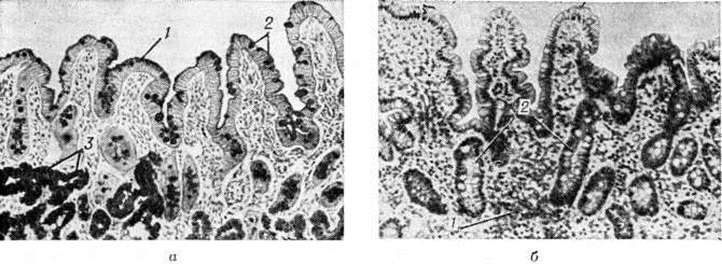
Рис. 1.
Микропрепараты слизистой оболочки двенадцатиперстной кишки: а — в норме — для сравнения (1 — щёточная каёмка; 2 — бокаловидные энтероциты; 3 — дуоденальные железы); б — при умеренно выраженном дуодените (1 — выраженная инфильтрация лимфоидными клетками собственного слоя слизистой оболочки; 2 — расширенные дуоденальные железы); окраска гематоксилинэозином; × 150.



Диагноз ставят на основании тщательного клин, обследования, включающего исследование секреторной функции желудка, дуоденального содержимого, рентгено л. исследование и особенно дуоденоскопию (смотри полный свод знаний), иногда с прицельной биопсией и последующим морфологически исследованием биопсированного материала.

Лечение определяется характером общих и местных анатомо-функциональных нарушений. Больным острым Дуоденит показано промывание желудка слабым р-ром перманганата калия с последующим введением 25—30 грамм сульфата магния, растворенного в стакане воды, постельный режим, голодная диета в течение 1 — 2 дней. При необходимости (при спазмах, болях) назначают атропин, метацин, а также ганглерон, кватерон. Постепенное расширение диеты рекомендуется со вторых-третьих суток.

При сопутствующих Дуоденит в первую очередь проводят лечение основного заболевания, при первичных — терапия направлена на сокращение фазы обострения процесса. Лечение может быть проведено амбулаторно, но при выраженной клин, картине показано пребывание в стационаре. В период обострения рекомендуется соблюдение механически и химически щадящей диеты, богатой белками, жирами, витаминами (смотри полный свод знаний: Лечебное питание, столы лечебного питания); медикаментозное лечение — назначение холинолитических (атропин, платифиллин, спазмолитин, арпенал, метацин, фубромеган) и ганглиоблокирующих (ганглерон, кватерон) средств. Ганглерон назначают в виде 1,5% раствора по 2 миллилитров внутримышечно 3 раза в день в течение 2—3 недель; кватерон — по 30—50 миллиграмм в порошках или в виде 0,2% раствора по 1 — 2 столовой ложке 3—4 раза в день в течение 4 недель.



Информация об Ordo Deus Перейти в оглавление сайта

Рис. 2.
Микропрепарат слизистой оболочки двенадцатиперстной кишки при резко выраженном дуодените: значительное утолщение складок слизистой оболочки; резкая инфильтрация стромы слизистой оболочки, распространяющаяся на глубокий слой; окраска гематоксилин-эозином; × 150.





Информация об Ordo Deus Перейти в оглавление сайта

Рис. 3.
Микропрепарат слизистой оболочки двенадцатиперстной кишки при хроническом атрофическом дуодените: 1 — укороченные и расширенные кишечные ворсины; 2 — склерозированная строма олизистой оболочки; 3 — кистозно расширенные дуоденальные железы; окраска гематоксилин-эозином; × 135.



Для стимуляции трофических процессов целесообразно назначение белковых гидролизатов и других биостимуляторов (аминопептид, аминокровин) в молодом возрасте —250 миллилитров внутривенно или подкожно капельно 2 раза в неделю в течение 2—3 недель в комбинации с нероболом, ретаболилом. В нетяжёлых случаях можно ограничиться инъекциями алоэ. Рекомендуется назначение парентерально витаминов группы В в комбинации с аскорбиновой кислотой. При выраженной активности секреторного аппарата желудка показано применение антацидных средств короткого и длительного действия (гидрокарбонат натрия, окись магния, гидроокись алюминия, трисиликат магния, алмагель, фосфалугель). Антацидные средства короткого действия целесообразно назначать после еды; алмагель и фосфалугель назначают за 20—30 минут до приёма пищи. Длительность применения антацидных средств 2—3 недель.

Больным хронический Дуоденит в фазе ремиссии или спустя 2—3 месяцев после последнего обострения показано курортное лечение с применением внутрь минеральных вод, грязелечение и минеральные ванны.

Больные хронический Дуоденит должны находиться под диспансерным наблюдением с периодическим рентгенологическое и эндоскопическим обследованием. Им показано проведение курсов противорецидивного лечения (смотри полный свод знаний Язвенная болезнь).

Прогноз

При адекватном лечении может наступить полное выздоровление, однако нередко Дуоденит принимает хронический рецидивирующий характер.

Профилактика—своевременная ликвидация очагов инфекции, соблюдение рационального режима питания, своевременное лечение заболеваний, способствующих развитию Дуоденит

Флегмонозный дуоденит (синонимы флегмона двенадцатиперстной кишки)— острое гнойное воспаление стенки двенадцатиперстной кишки. Впервые описано в 1905 год Дейтельмозером (Deutelmoser). Флегмонозный Дуоденит — редкое самостоятельное заболевание, составляет не более 15% всех флегмонозных поражений пищеварительного тракта.

Этиология и патогенез

Флегмонозный Дуоденит развивается у ослабленных больных со сниженной бактерицидной способностью желудочного сока. Различают первичные (энтерогенные) и вторичные флегмоны двенадцатиперстной кишки. Причиной первых служит микробная флора (стафилококки, стрептококки, кишечная палочка), проникающая через слизистую оболочку двенадцатиперстной кишки. Проникновению возбудителей инфекции способствуют язвы двенадцатиперстной кишки, повреждение слизистой оболочки инородными телами, желчными камнями, паразитами и другие, дивертикулы, рак. Возможно распространение инфекции по лимфатических, путям подслизистого слоя при наличии флегмоны желудка или тощей кишки. Вторичные флегмонозные Дуоденит возникают вследствие гематогенного заноса микробов из гнойного очага: фурункула, карбункула, бронхоэктазов. Вторичные флегмоны могут быть следствием общих инфекционных заболеваний (грипп, скарлатина, корь и другие), нагноения интрамуральной гематомы кишки.

Патологическая анатомия

Флегмонозный процесс чаще возникает в фиксированной забрюшинной части двенадцатиперстной кишки в области большого сосочка двенадцатиперстной кишки (фатерова соска), начинается в подслизистом слое и распространяется вдоль кишки на глубокие слои кишечной стенки. В процесс рано вовлекаются лимфатических пути. По характеру патологический процесса различают острый и хронический флегмонозный Дуоденит, по распространённости — диффузный и ограниченный; последний может закончиться самоизлечением вследствие прорыва гнойника в просвет кишки. В течении флегмонозного Дуоденит различают инфильтрирующую, абсцедирующую и грануляционно-рубцовую фазу флегмоны (смотри полный свод знаний:). Поражённая кишка ярко-красного или багрового цвета; стенка её на разрезе диффузно пропитана гноем; воспаление сопровождается выраженным лимфаденитом (смотри полный свод знаний:), иногда с абсцедированием. Процесс может завершиться расплавлением стенки кишки, переходом гнойной инфекции на забрюшинное пространство (смотри полный свод знаний) или прорывом гноя в свободную брюшную полость с развитием ограниченного или разлитого перитонита.

Клиническая картина

Заболевание чаще начинается бурно, с явлений непроходимости двенадцатиперстной кишки или перитонита (смотри полный свод знаний). Состояние больных быстро становится тяжёлым. Характерны схваткообразные боли в правой половине живота, сопровождающиеся частой рвотой; в результате отёка большого сосочка двенадцатиперстной кишки рано развивается желтуха (смотри полный свод знаний). Заболевание сопровождается высокой температурой с ознобами, частым пульсом, лейкоцитозом с преобладанием нейтрофильных лейкоцитов и появлением в их протоплазме токсической зернистости. При пальпации живота отмечается умеренное или слабовыраженное напряжение мышц брюшной стенки при резкой болезненности в правом подреберье или эпигастрии. Рано появляется положительный симптом Щеткина—Блюмберга (смотри полный свод знаний Щеткина — Блюмберга симптом). При переходе процесса на забрюшинную клетчатку возникают боли в пояснице и ряд симптомов, характерных для острого панкреатита (смотри полный свод знаний).

Флегмонозный Дуоденит осложняется перитонитом, поддиафрагмальным и подпечёночным абсцессами, флегмоной забрюшинной клетчатки, гнойным плевритом (смотри полный свод знаний), медиастинитом (смотри полный свод знаний:), сепсисом (смотри полный свод знаний). В случае ликвидации воспалительных явлений может развиться рубцовая стриктура двенадцатиперстной кишки.

Лечение оперативное: после лапаротомии — мобилизация двенадцатиперстной кишки по Кохеру (смотри полный свод знаний Двенадцатиперстная кишка), обкалывание забрюшинной клетчатки раствором антибиотиков, подведение тампонов и дренажей к двенадцатиперстной кишке и в забрюшинное пространство. При наличии перитонита — лечение его по общепринятым принципам. В некоторых случаях для отключения поражённой двенадцатиперстной кишки и раннего кормления накладывают еюностому (смотри полный свод знаний: Энтеростомия).

Прогноз, как правило, неблагоприятный.

Смотри, полный свод знаний Перидуоденит.

Белоусов А.С.; Стрекаловский В.П.

⇐ Перейти на главную страницу сайта

⇑ Вернуться в начало страницы ⇑

Библиотека Ordo Deus ⇒

⇐ Дуглас-абсцесс

⇓ Полный свод знаний. Том первый А. ⇓

Дыхательная недостаточность ⇒

Все статьи в полном изложении, Вы можете найти в большой медицинской энциклопедии — Главный редактор: академик АН СССР (РАН) и АМН СССР (РАМН) Б.В. Петровский. — Москва издательство «Советская энциклопедия» 1989г.

Внимание! Вы находитесь в библиотеке «Ordo Deus». Все книги в электронном варианте, содержащиеся в библиотеке «Ordo Deus», принадлежат их законным владельцам (авторам, переводчикам, издательствам). Все книги и статьи взяты из открытых источников и размещаются здесь только для чтения.

Библиотека «Ordo Deus» не преследует никакой коммерческой выгоды.

Все авторские права сохраняются за правообладателями. Если Вы являетесь автором данного документа и хотите дополнить его или изменить, уточнить реквизиты автора, опубликовать другие документы или возможно вы не желаете, чтобы какой-то из ваших материалов находился в библиотеке, пожалуйста, свяжитесь с нами по e-mail:
info @ ordodeus. ru
Формы для прямой связи с нами находятся в нижней части страниц: контакты и устав «Ordo Deus», для перехода на эти страницы воспользуйтесь кнопкой контакты вверху страницы или ссылкой в оглавлении сайта.

Вас категорически не устраивает перспектива безвозвратно исчезнуть из этого мира? Вы не желаете закончить свой жизненный путь в виде омерзительной гниющей органической массы пожираемой копошащимися в ней могильными червями? Вы желаете вернувшись в молодость прожить ещё одну жизнь? Начать всё заново? Исправить совершённые ошибки? Осуществить несбывшиеся мечты? Перейдите по ссылке: «главная страница».

© Ordo Deus, 2010. При копировании ссылка на сайт http://www.ordo-deus.ru обязательна.