Гемангиоперицитома

Оглавление

  1. Дорога к бессмертию
  2. Бессмертие и религия
  3. Философия бессмертия
  4. Бессмертие и наука
  5. История анабиоза
  6. Смерть
  7. Кора головного мозга
  8. Бессмертие и анабиоз
  9. Анабиоз, медицина и биология
  10. Анабиоз и экономика
  11. Анабиоз и закон
  12. Анабиоз в Антарктиде
  13. Техническое обеспечение анабиоза
  14. Бессмертие и вера
  15. Библиотека Ordo Deus
  16. Контактная страница Ordo Deus

Гемангиоперицитома

Гемангиоперицитома (haemangiopericytoma; греческий haima кровь+ angeion сосуд + peri- возле, около + kytos сосуд, клетка + -oma) — сосудистая опухоль, образованная множеством капилляров, окружённых веретенообразными и круглыми клетками — перицитами.

Термин «гемангиоперицитома» предложен Стаутом и Марри А. P. Stout, М. R. Murray). Существует мнение, что Гемангиоперицитома гистогенетически связана с хеморецепторным аппаратом, то есть относится к нейроэктодермальным опухолям типа параганглием (смотри). Различают дифференцированную и недифференцированную Гемангиоперицитома.

Информация об Ordo Deus Перейти в оглавление сайта

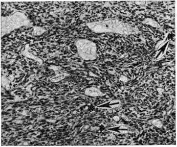
Рис. 2.
Микроскопическая картина недифференцированной гемангиоперицитомы: видны фигуры деления (указаны стрелками).

Дифференцированная Гемангиоперицитома встречается редко, может возникать в любом возрасте, часто у детей. Как правило, характеризуется медленным ростом, обычно достигает крупных размеров, сохраняя при этом чёткие контуры и подвижность. Локализуется преимущественно в коже, мягких тканях туловища и конечностей, реже — в забрюшинном пространстве, средостении, сальнике, языке и внутренних органах (печень, кишечник, мозг и другие.). Макроскопическое строение — опухоль узловатой формы, на разрезе розовато-красного цвета, пористого строения, с обилием подходящих к ней сосудов. Микроскопически характеризуется большим количеством капилляров, выстланных эндотелием и окружённых округлыми, овальными или веретенообразными клетками с темными ядрами и светлой цитоплазмой (рисунок 1). Клетки оплетены густой сетью аргирофильных волокон. Основным отличием Гемангиоперицитома от капиллярной ангиомы является массивная пролиферация периваскулярных клеток, которые большинство исследователей относит к перицитам.

Дифференцированные Гемангиоперицитома, как правило, отграничены от мягких тканей слоем гиалинизированной ткани, которая, однако, на многих участках проращена опухолевыми клетками, что свидетельствует о местнодеструирующем росте. Дифференцированные Гемангиоперицитома являются потенциально злокачественными опухолями, так как обладают высокой склонностью к рецидивам после недостаточно широкого хирургического иссечения. В редких случаях дифференцированные Гемангиоперицитома могут давать отдалённые метастазы.

Недифференцированная Гемангиоперицитома (синонимы: гемангиоперицитарная саркома, перителиальная саркома, перителиома, периэндотелиома) является злокачественной опухолью. На ранней стадии развития недифференцированную Гемангиоперицитома клинически и даже на основании морфологически исследования бывает трудно отличить от дифференцированной. Опухоль встречается редко, локализуется преимущественно в мягких тканях конечностей, реже в забрюшинной клетчатке, внутренних органах, костях.

В большинстве случаев недифференцированные Гемангиоперицитома, локализующиеся в мягких тканях, сохраняют чёткие контуры и только в поздних стадиях поражаются кожа, кости, сосудисто-нервные образования.

При микроскопическом исследовании наблюдается полиморфизм клеток; среди клеток преобладают веретенообразные формы, наблюдается обилие фигур деления (рисунок 2), прорастание клеток в просвет сосудов, инфильтрация окружающих тканей. Отличается агрессивным ростом, часто метастазирует (до 15% в регионарные лимфатических, узлы и до 50% в лёгкие) и рецидивирует (в 40—50% случаев).

Информация об Ordo Deus Перейти в оглавление сайта

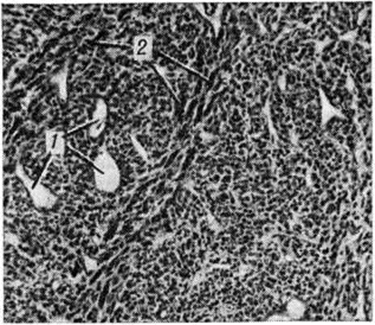
Рис. 1.
Микроскопическая картина дифференцированной гемангиоперицитомы: сосуды капиллярного типа (1), окружённые веретенообразными клетками (2).

Лечение обеих форм хирургическое, прогноз неблагоприятный — после лечения около 50% больных живут до 5 лет и лишь 20% — до 10 лет.

Клименков А.А.

⇐ Перейти на главную страницу сайта

⇑ Вернуться в начало страницы ⇑

Библиотека Ordo Deus ⇒

⇐ Гемангиома

⇓ Полный свод знаний. Том первый А. ⇓

Гемартроз ⇒

Все статьи в полном изложении, Вы можете найти в большой медицинской энциклопедии — Главный редактор: академик АН СССР (РАН) и АМН СССР (РАМН) Б.В. Петровский. — Москва издательство «Советская энциклопедия» 1989г.

Внимание! Вы находитесь в библиотеке «Ordo Deus». Все книги в электронном варианте, содержащиеся в библиотеке «Ordo Deus», принадлежат их законным владельцам (авторам, переводчикам, издательствам). Все книги и статьи взяты из открытых источников и размещаются здесь только для чтения.

Библиотека «Ordo Deus» не преследует никакой коммерческой выгоды.

Все авторские права сохраняются за правообладателями. Если Вы являетесь автором данного документа и хотите дополнить его или изменить, уточнить реквизиты автора, опубликовать другие документы или возможно вы не желаете, чтобы какой-то из ваших материалов находился в библиотеке, пожалуйста, свяжитесь с нами по e-mail:
info @ ordodeus. ru
Формы для прямой связи с нами находятся в нижней части страниц: контакты и устав «Ordo Deus», для перехода на эти страницы воспользуйтесь кнопкой контакты вверху страницы или ссылкой в оглавлении сайта.

Вас категорически не устраивает перспектива безвозвратно исчезнуть из этого мира? Вы не желаете закончить свой жизненный путь в виде омерзительной гниющей органической массы пожираемой копошащимися в ней могильными червями? Вы желаете вернувшись в молодость прожить ещё одну жизнь? Начать всё заново? Исправить совершённые ошибки? Осуществить несбывшиеся мечты? Перейдите по ссылке: «главная страница».

© Ordo Deus, 2010. При копировании ссылка на сайт http://www.ordo-deus.ru обязательна.