Гиалиново-мембранная болезнь новорожденных

Оглавление

  1. Дорога к бессмертию
  2. Бессмертие и религия
  3. Философия бессмертия
  4. Бессмертие и наука
  5. История анабиоза
  6. Смерть
  7. Кора головного мозга
  8. Бессмертие и анабиоз
  9. Анабиоз, медицина и биология
  10. Анабиоз и экономика
  11. Анабиоз и закон
  12. Анабиоз в Антарктиде
  13. Техническое обеспечение анабиоза
  14. Бессмертие и вера
  15. Библиотека Ordo Deus
  16. Контактная страница Ordo Deus

Гиалиново-мембранная болезнь новорожденных

Гиалиново-мембранная болезнь новорожденных – неинфекционное поражение лёгких новорожденных, преимущественно недоношенных детей, характеризующееся отложением гиалиноподобного вещества на внутренней поверхности альвеол и альвеолярных ходов.

Гиалиново-мембранная болезнь новорожденных впервые описана в 1903 год. Хохгеймом (К. Hochheim), который определил гиалиновые отложения как хитиновые мембраны. В 1925 год Джонсон и Майер (W. Johnson, J. Meyer) на основании тщательного морфологического изучения Гиалиново-мембранная болезнь новорожденных впервые назвали эти отложения гиалиновыми мембранами. В 1953 год Доналд и Стайнер (J. Donald, R. Steiner) дали рентгенологическое описание Гиалиново-мембранная болезнь новорожденных. В отечественной литературе Гиалиново-мембранная болезнь новорожденных с морфологических позиций описана А. Н. Сержаниной и К. Ю. Гулькевичем (1963). Рентгенологическая характеристика Гиалиново-мембранная болезнь новорожденных дана А. 3. Гингольд и Н. А. Пановым (1965).

По данным разных авторов, основанных на аутопсии умерших новорожденных, Гиалиново-мембранная болезнь новорожденных наблюдается довольно часто (от 15 до 47%). Ещё чаще (от 39 до 75%) она обнаруживается у недоношенных детей, умерших в первые дни жизни. У мертворождённых плодов Гиалиново-мембранная болезнь новорожденных не наблюдается.

Этиология и патогенез

В основе возникновения Гиалиново-мембранная болезнь новорожденных лежат нарушения, которые формируются в условиях острого или хронический заболевания матери, патологический течения беременности и родов. Возникновению Гиалиново-мембранная болезнь новорожденных способствуют внутриутробная гипоксия, нарушения внутриутробного развития плода, незрелость организма, родовая травма центральной нервной системы, внутриутробная аспирация. Эти причины, часто сочетающиеся между собой, обусловливают нарушения всех жизненно важных функций и сложный комплекс морфологически изменений в лёгких.

Патогенез Гиалиново-мембранная болезнь новорожденных окончательно не выяснен. Распространена гипотеза об эндогенном происхождении гиалиновых мембран в связи с изменением состояния лёгочных капилляров и повышенной сосудистой проницаемостью, обусловленными гипоксией, гиперкапнией и ацидозом, нарушением процессов свёртывания крови и образования сурфактанта (смотри), которое приводит к нарушению стабильности лёгочной аэрации.

Сурфактант — сложный фосфолипид — входит в состав поверхностно-активной плёнки, покрывающей внутреннюю поверхность альвеол. Действуя как антиателектатический фактор, он меняет свою активность в зависимости от расширения или сокращения площади дыхательной поверхности. У детей с Гиалиново-мембранная болезнь новорожденных ферментативные процессы образования сурфактанта значительно изменены.

Патологическая анатомия

Легкие обычно безвоздушны, плотные, красновато-фиолетового цвета, немного увеличены по весу и объёму. На поверхности разреза лёгких определяется кровянистая жидкость с пузырьками воздуха.

Выделяют три стадии развития гиалиновых мембран. Первая стадия — вскоре после рождения гиалиновые мембраны имеют вид небольших рыхлых эозинофильных лент, глыбчатых скоплений на фоне плазморрагии и отёка. Вторая стадия — у детей старше 6 часов гиалиновые мембраны имеют вид плотной эозинофильной массы, покрывающей стенки альвеол, альвеолярных ходов и иногда респираторных бронхиол; альвеолярный эпителий нередко находится в состоянии некробиоза. Третья стадия — у детей в конце 1—3-х суток гиалиновые мембраны под влиянием макрофагальной реакции очищения подвергаются фрагментации и лизису.


При электронной микроскопии выявляется зернистое или фибриллярное строение гиалиновых мембран с пластинчатыми тельцами, которые вместе с эпителиальными клетками образуют осмиофильный поверхностный слой в лёгких, отмечается некроз альвеолярных клеток и генерализованные утолщения эндотелия лёгочных капилляров. Гиалиновые мембраны состоят из различных субстанций — плазматических компонентов, гемоглобина, фибрина, нуклео- и мукопротеина.



Информация об Ordo Deus Перейти в оглавление сайта

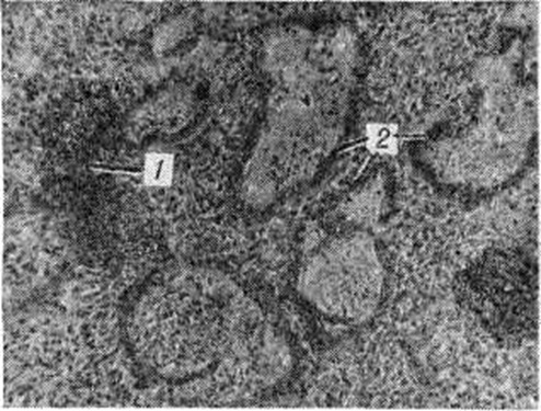
Рисунок 1.
Микропрепарат ткани лёгкого ребёнка двух дней, умершего от гиалиново- мембранной болезни новорожденных: в лёгких ателектазы (I) и гиалиновые мембраны (2)\ окраска гематоксилин-эозином.



Гиалиновые мембраны почти всегда сочетаются с рассеянными ателектазами лёгких (рисунок 1) и отечногеморрагическим синдромом.

Клиническая картина. Дети с Гиалиново-мембранная болезнь новорожденных могут родиться с незначительными патологический явлениями. Однако через 1½—2 часа после рождения появляются одышка, бледность и цианоз, достигающие к 24—48 часов жизни крайней степени. Дыхание учащается до 80—140 в 1 минут, сопровождается западением грудины, втяжением межрёберных промежутков и звучным выдохом. Дыхательные усилия велики, а дыхание ослаблено. Перкуторный звук умеренно укорочен, выслушиваются непостоянные мелкие влажные хрипы. Неблагоприятными признаками являются остановки дыхания, нарастающие цианоз и гипотермия, периферические отеки, судороги, которые сменяются адинамией, снижением физиологический рефлексов.



Информация об Ordo Deus Перейти в оглавление сайта

Рисунок 2.
Рентгенограмма грудной клетки ребёнка 15 часов жизни, страдающего гиалиново-мембранной болезнью: на всем протяжении правого лёгкого видна характерная сетчатость лёгочного рисунка, ателектазы в левом лёгком.



При благоприятном течении заболевания выздоровление наступает через 48—72 часа, иногда через 5—6 дней после рождения. Наиболее частым осложнением является пневмония.

Диагноз ставится на основании данных анамнеза, клинической, наблюдения и главным образом рентгенологическое исследования ребёнка.

Рентгенодиагностика

Основной методикой исследования является рентгенография грудной клетки. Рентгенологическое признаками Гиалиново-мембранная болезнь новорожденных на рентгенограмме лёгких (рисунок 2) являются: 1) характерная патологическая сетчатость лёгочного рисунка; иногда наблюдаются беспорядочно расположенные участки уплотнения лёгочной ткани (ателектазы), чередующиеся с участками просветления за счёт локального вздутия лёгких; 2) наличие светлых полосок бронхиальных разветвлений, различимых на фоне малопрозрачного лёгкого; 3) в тяжёлых случаях имеется диффузное понижение прозрачности лёгочных полей (так называемый белое лёгкое). Отмечается необычная форма грудной клетки — с опущенными рёбрами. Иногда на рентгенограмме могут наблюдаться пневмоторакс (смотри), интерстициальная и медиастинальная эмфизема (смотри), возникающие в связи с разрывом бронхиол.

Лечение детей с Гиалиново-мембранная болезнь новорожденных должно быть комплексным. Оно включает наряду с адекватными условиями выхаживания восстановление проходимости дыхательных путей, оксигенотерапию, ре- и дегидратационные мероприятия, гормонотерапию, парентеральное питание, применение кровезаменителей, плазмы крови, десенсибилизирующих и сердечных препаратов, антибиотиков с учётом анамнеза новорожденного и сопутствующей инфекции.

Прогноз неблагоприятный. Летальность достигает 40—50%. Смерть наступает через 48—72 часа, иногда на 5—6-е сутки после рождения.

Профилактика: проведение мероприятий по антенатальной охране плода (смотри), предупреждение невынашивания беременности и внутриутробной гипоксии (смотри Асфиксия плода и новорожденного), организация специализированной помощи женщинам с патологией беременности и родов.

Сотникова К.А.; Фрейдин Л.М.

⇐ Перейти на главную страницу сайта

⇑ Вернуться в начало страницы ⇑

Библиотека Ordo Deus ⇒

⇐ Гёртвига — Мажанди симптом

⇓ Полный свод знаний. Том первый А. ⇓

Гиалиноз ⇒

Все статьи в полном изложении, Вы можете найти в большой медицинской энциклопедии — Главный редактор: академик АН СССР (РАН) и АМН СССР (РАМН) Б.В. Петровский. — Москва издательство «Советская энциклопедия» 1989г.

Внимание! Вы находитесь в библиотеке «Ordo Deus». Все книги в электронном варианте, содержащиеся в библиотеке «Ordo Deus», принадлежат их законным владельцам (авторам, переводчикам, издательствам). Все книги и статьи взяты из открытых источников и размещаются здесь только для чтения.

Библиотека «Ordo Deus» не преследует никакой коммерческой выгоды.

Все авторские права сохраняются за правообладателями. Если Вы являетесь автором данного документа и хотите дополнить его или изменить, уточнить реквизиты автора, опубликовать другие документы или возможно вы не желаете, чтобы какой-то из ваших материалов находился в библиотеке, пожалуйста, свяжитесь с нами по e-mail:
info @ ordodeus. ru
Формы для прямой связи с нами находятся в нижней части страниц: контакты и устав «Ordo Deus», для перехода на эти страницы воспользуйтесь кнопкой контакты вверху страницы или ссылкой в оглавлении сайта.

Вас категорически не устраивает перспектива безвозвратно исчезнуть из этого мира? Вы не желаете закончить свой жизненный путь в виде омерзительной гниющей органической массы пожираемой копошащимися в ней могильными червями? Вы желаете вернувшись в молодость прожить ещё одну жизнь? Начать всё заново? Исправить совершённые ошибки? Осуществить несбывшиеся мечты? Перейдите по ссылке: «главная страница».

© Ordo Deus, 2010. При копировании ссылка на сайт http://www.ordo-deus.ru обязательна.