Хенда — Шюллера — Крисчена болезнь

Оглавление

  1. Дорога к бессмертию
  2. Бессмертие и религия
  3. Философия бессмертия
  4. Бессмертие и наука
  5. История анабиоза
  6. Смерть
  7. Кора головного мозга
  8. Бессмертие и анабиоз
  9. Анабиоз, медицина и биология
  10. Анабиоз и экономика
  11. Анабиоз и закон
  12. Анабиоз в Антарктиде
  13. Техническое обеспечение анабиоза
  14. Бессмертие и вера
  15. Библиотека Ordo Deus
  16. Контактная страница Ordo Deus

Хенда — Шюллера — Крисчена болезнь

Хенда — Шюллера — Крисчена болезнь (A. Hand, американский педиатр, 1868 — 1949; A. Schuller, австрийский невропатолог и психиатр, 1874 — 1958; Н. A. Christian, американский врач, 1876 — 1951; синонимы: липоидный гранулематоз, болезнь Крисчена — Шюллера, липогранулематоз, хронический системный прогрессирующий гистиоцитоз) — болезнь из группы гистиоцитозов X, характеризующаяся инфильтрацией различных органов и тканей атипичными гистиоцитарными элементами.

Заболевание впервые описал Хенд в 1893 год; он наблюдал у трёхлетнего ребёнка поражения кожи, костей черепа, увеличение печени и селезёнки. Шюллер (1916) и Крисчен (1919) выделили триаду симптомов при этой болезни: дефекты плоских костей, экзофтальм (смотри полный свод знаний) и несахарный диабет (смотри полный свод знаний: Диабет несахарный).

В 1953 год Л. Лихтенстайн предложил термин гистиоцитозы X, объединяющий болезнь Хенда — Шюллера — Крисчена, болезнь Леттерера — Сиве (смотри полный свод знаний: Леттерера — Сиве болезнь) и эозинофильную гранулему (смотри полный свод знаний). По классификации ВОЗ (1976), эти болезни относятся к опухолевым заболеваниям кроветворной и лимфоидной ткани, входящим в подгруппу хроническая моноцитоидная лейкемия и системные гистиоцитарные заболевания (смотри полный свод знаний: Гистиоцитозы).

Заболевание наиболее часто встречается у детей в возрасте 4—5 лет, значительно реже у взрослых.

Этиология и патогенез до конца не изучены. Ряд исследователей относят изменения при болезни Хенда — Шюллера — Крисчена к реактивным, а само заболевание — к инфекционные болезням, возможно, вирусной этиологии. Pao (Rao) и сотрудники (1970) считают, что возникновению заболевания способствует неадекватный ответ организма на какую-либо инфекцию; Несбит и Кривит (М. Nesbit, W. Krivit, 1975) связывают развитие болезни с иммунологический недостаточностью. Другие исследователи полагают, что в основе заболевания лежит расстройство функции системы мононуклеарных фагоцитов и нарушение жирового обмена; они относят его к ксантоматозу (смотри полный свод знаний).

Патологическая анатомия. При макроскопическом исследовании в костях, особенно в костях черепа, выявляются множественные различной величины дефекты, заполненные мягкими, иногда крошащимися опухолевидными гранулематозными разрастаниями жёлто-серого цвета. При поражении глазницы возникает экзофтальм, при поражении костей основания черепа возможно разрушение височной кости, а в ряде случаев турецкого седла, сдавление гипофиза или распространение в него и гипоталамическую область гранулематозных разрастаний. При вовлечении в пато л. процесс центральная нервная система наблюдается утолщение мозговых оболочек и инфильтрация вещества головного мозга. В лёгких обнаруживаются узелки и тяжи гранулематозных разрастаний, которые располагаются субплеврально, вокруг сосудов и бронхов, по ходу межальвеолярных перегородок, что часто сопровождается диффузным интерстициальным склерозом и признаками легочно-сердечной недостаточности (смотри полный свод знаний: Лёгочное сердце). Отмечается увеличение печени, селезёнки, лимфатических, узлов. Могут наблюдаться гипертрофия дёсен, выпадение зубов, очаговые утолщения и изъязвления слизистой оболочки желудочно-кишечные тракта. Поражение кожи проявляется папулезными высыпаниями, возможны кровоизлияния, изъязвления.

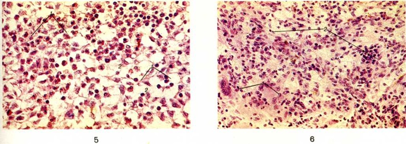
Микроскопически опухолевидные гранулематозные разрастания состоят из гистиоцитов с примесью рассеянных или лежащих в виде скоплений лимфоцитов, плазматических клеток, эозинофильных лейкоцитов, главным образом сегментоядерных. Могут встречаться сидерофаги (смотри полный свод знаний: Бурое уплотнение лёгких). Характерно наличие большого числа ксантомных (нередко гигантских многоядерных) клеток-макрофагов с пенистой вакуолизированной за счёт накопления холестерина и холестерин-эстеров цитоплазмой (цветной рисунок 5 и 6).Соотношение клеточных элементов может варьировать, что отражает разные стадии процесса. Цитоплазма гистиоцитов характеризуется суданофилией, диффузной ШИК-положительной реакцией (смотри полный свод знаний: ШИК-реакция), высокой активностью гидро лаз. При электронно-микроскопическом исследовании в цитоплазме гистиоцитов выявляются так называемый тельца X — удлинённые включения, связанные с мембраной клеток, сходные с лизосомоподобными гранулами клеток Лангерганса шиповатого слоя эпидермиса. Как правило, имеются очаги некроза, кровоизлияния и в поздней стадии — поля склероза.



Информация об Ordo Deus Перейти в оглавление сайта

Рис. 5 —6. Микропрепараты опухолевидных гранулематозных разрастаний в костной ткани при болезни Хенда—Шюллера—Крисчена (соотношение клеточных элементов отражает различные стадии процесса); окраска гематоксилин-эозином; X 400.
Рис. 5. На более ранней стадии процесса в гранулематозных разрастаниях преобладают гистиоциты (1) и ксантомные клетки (2). Рис. 6. На более поздней стадии процесса появляются многоядерные гигантские клетки (1) и участки склероза (2).





Информация об Ordo Deus Перейти в оглавление сайта

Рис. 1.
Внешний вид ребёнка с болезнью Хенда — Шюллера — Крисчена: двусторонний экзофтальм, поражение кожи в виде ксантом на передней поверхности туловища.





Информация об Ordo Deus Перейти в оглавление сайта

Рис. 2.
Рентгенограмма черепа при болезни Хенда — Шюллера — Крисчена: чёткий очерченный дефект костной ткани в лобной кости.





Информация об Ordo Deus Перейти в оглавление сайта

Рис. 3.
Рентгенограмма голени при болезни Хенда—Шюллера —Крисчена: обширный участок деструкции в метадиафизе большеберцовой кости.



Клиническая картина. При поражении костей черепа и таза частый симптом болезни — боли в костях. При поражении височной кости может развиваться неинфекционный средний отит (смотри полный свод знаний), устойчивый к антибактериальной терапии. Вследствие деструкции костей глазницы возникает экзофтальм (рисунок 1), при разрушении турецкого седла отмечается нарушение функции гипофиза, гипоталамуса с явлениями несахарного диабета (смотри полный свод знаний: Диабет несахарный). Деструкция костей челюстей способствует расшатыванию зубов, их выпадению, оголению корней зубов, развитию вторичного гингивита (смотри полный свод знаний), стоматита (смотри полный свод знаний).

У 50—60% больных наблюдаются поражения кожи в виде ксантом, окрашенных в жёлто-коричневый цвет (смотри полный свод знаний: Ксантома), везикул, изъязвлений, геморрагий. При вовлечении в процесс лёгких отмечаются кашель, одышка. Заболевание может иметь хронический течение и медленно прогрессировать. Возможна диссеминация процесса с поражением лимфатических, узлов, печени, селезёнки и других органов.

В крови иногда отмечается умеренная анемия (смотри полный свод знаний), панцитопения (смотри полный свод знаний: Гипопластическая анемия); в костномозговом пунктате — сохранность мегакарноцитов, иногда инфильтрация гистиоцитарными элементами.

В редких случаях осложнениями являются патологический переломы. Так, поражение позвоночника может привести к компрессионному перелому позвонков (смотри полный свод знаний: Позвоночник), вызвать сдавление спинного мозга и корешковые симптомы (смотри полный свод знаний: Спинной мозг).

Диагноз устанавливают на основании клинические, картины, результатов цитологический и гистологический исследования очагов поражения, а также рентгенологическое исследования костей.

В пунктате опухолевых образований кожи и мягких тканей выявляют инфильтрацию атипичными гистиоцитарными клетками с макрофагальной функцией, признаки эритрофагоцитоза; по мере прогрессирования заболевания такие инфильтраты обнаруживают в костном мозге.

Рентгенологические картина характеризуется преимущественным поражением костей черепа (рисунок 2), таза, реже в процесс вовлекаются позвонки, ребра и длинные трубчатые кости (бедренные, плечевые, кости голени). В костях свода черепа образуются множественные дефекты неправильно округлой или овальной формы с чётко очерченными изъеденными контурами без признаков остеопороза и реактивных склеротических изменений по периферии. Размеры очагов варьируют, иногда очаги занимают обширные участки кости. Деструктивные процессы в области пирамиды, сосцевидного отростка и других отделов височной кости являются причиной поражения уха. Турецкое седло, как правило, не изменено. В ряде случаев выявляется небольшое его уплотнение. Из костей лицевого черепа изменения чаще обнаруживаются в челюстях, особенно в верхней. При поражении альвеолярных отростков наблюдается расширение зубных альвеол. В области таза очаги деструкции локализуются преимущественно в крыльях подвздошных костей. Поражение позвонков чаще бывает одиночным, встречается преимущественно в средней и нижней части грудного отдела позвоночника. Иногда развивается компрессия тел позвонков с образованием платибрахиспондилии (смотри полный свод знаний: Позвоночник) при сохранных межпозвоночных дисках. В редких случаях патологический перелом позвонка может быть первым клинические, признаком болезни. Трубчатые кости вздуваются изнутри, содержат множественные очаги деструкции различной величины, корковое (компактное) вещество истончено, секвестров не наблюдается. При субкортикальном расположении очагов могут возникнуть периоститы (смотри полный свод знаний).

У взрослых рентгенологическое проявления несколько отличаются. Чаще поражаются длинные трубчатые кости, в которых развиваются обширные периостозы (смотри полный свод знаний: Рахит). Деструктивные процессы в костях конечностей (рисунок 3) могут быть причиной их патологический переломов. Изменения в лёгких характеризуются чаще двусторонними мелкоочаговыми тенями, а иногда и гиперплазией внутригрудных лимфатических, узлов.

Дифференциальную диагностику проводят с другими формами гистиоцитоза X, например, с болезнью Леттерера — Сиве (смотри полный свод знаний: Леттерера — Сиве болезнь).

Лечение комплексное и зависит от особенностей распространения инфильтратов. При очаговых поражениях костей применяют лучевую терапию и оперативное вмешательство. Показанием к операции является быстрое увеличение одного или нескольких очагов (наиболее часто увеличиваются очаги в бедренной, большеберцовой, плечевой, тазовых костях, рёбрах, позвонках), значительная деструкция кости, истончение кортикального вещества, опасность патологический перелома, нарастающие боли в поражённой кости, появление контрактур в суставе, хромота, мышечная атрофия.

Объем оперативного вмешательства зависит от локализации очага, его размеров, возраста и общего состояния больного. Операция заключается в выскабливании или резекции поражённого участка кости. В качестве костно-пластического материала для замещения дефекта используют аутокость или аллокость в виде стружки, щебёнки, кортикальных пластин (смотри полный свод знаний: Костная пластика). При мелких краевых дефектах пластику не производят. Дефекты большого размера (в длинных трубчатых костях, надацетабулярной области таза) заполняют кортикальными аллотрансплантатами. В трубчатых и плоских костях дефекты, не превышающие 2—4 сантиметров в диаметре, тщательно тампонируют аутостружкой. При поражении позвоночника показана реклинация (смотри полный свод знаний: Кифоз) и фиксация с помощью металлических скоб. В костях свода черепа пластику осуществляют пластинами из аллокости или из перфорированной пластмассы. В послеоперационном периоде (смотри полный свод знаний) показана иммобилизация гипсовой повязкой до перестройки или репарации кости. Отмечено, что оперативное лечение одного из очагов нередко приводит к самопроизвольному закрытию нескольких очагов в других костях. Рецидивов после оперативного вмешательства обычно не отмечается.

При генерализованных поражениях костной системы назначают противоопухолевые средства — винкристин, винбластин, циклофосфан (циклофосфамид), хлорбутин (лейкеран), преднизон, меркаптопурин, метотрексат; в ряде случаев — их комбинации.

Прогноз в большинстве случаев благоприятный. Он ухудшается при поражении лёгких и присоединении интеркуррентных заболеваний.

Профилактика не разработана.

Махонова Л.А.; Новикова Э.З.; Самойлова Л.И.; Хохлова М.П.

⇐ Перейти на главную страницу сайта

⇑ Вернуться в начало страницы ⇑

Библиотека Ordo Deus ⇒

⇐ Хейлит

⇓ Полный свод знаний. Том первый А. ⇓

Хержманского — Пудлака болезнь ⇒

Все статьи в полном изложении, Вы можете найти в большой медицинской энциклопедии — Главный редактор: академик АН СССР (РАН) и АМН СССР (РАМН) Б.В. Петровский. — Москва издательство «Советская энциклопедия» 1989г.

Внимание! Вы находитесь в библиотеке «Ordo Deus». Все книги в электронном варианте, содержащиеся в библиотеке «Ordo Deus», принадлежат их законным владельцам (авторам, переводчикам, издательствам). Все книги и статьи взяты из открытых источников и размещаются здесь только для чтения.

Вся информация на сайте Ordo Deus находится в свободном доступе. Ordo Deus не предоставляет информацию на платной основе.

Все авторские права сохраняются за правообладателями. Если Вы являетесь автором данного документа и хотите дополнить его или изменить, уточнить реквизиты автора, опубликовать другие документы или возможно вы не желаете, чтобы какой-то из ваших материалов находился в библиотеке, пожалуйста, свяжитесь с нами по e-mail:
info @ ordodeus. ru
Формы для прямой связи с нами находятся в нижней части страниц: контакты и устав «Ordo Deus», для перехода на эти страницы воспользуйтесь кнопкой контакты вверху страницы или ссылкой в оглавлении сайта.

Вас категорически не устраивает перспектива безвозвратно исчезнуть из этого мира? Вы не желаете закончить свой жизненный путь в виде омерзительной гниющей органической массы пожираемой копошащимися в ней могильными червями? Вы желаете вернувшись в молодость прожить ещё одну жизнь? Начать всё заново? Исправить совершённые ошибки? Осуществить несбывшиеся мечты? Перейдите по ссылке: «главная страница».

© Ordo Deus, 2010. При копировании ссылка на сайт http://www.ordo-deus.ru обязательна.

Документ без названия