Холангит

Оглавление

  1. Дорога к бессмертию
  2. Бессмертие и религия
  3. Философия бессмертия
  4. Бессмертие и наука
  5. История анабиоза
  6. Смерть
  7. Кора головного мозга
  8. Бессмертие и анабиоз
  9. Анабиоз, медицина и биология
  10. Анабиоз и экономика
  11. Анабиоз и закон
  12. Анабиоз в Антарктиде
  13. Техническое обеспечение анабиоза
  14. Бессмертие и вера
  15. Библиотека Ordo Deus
  16. Контактная страница Ordo Deus

Холангит

Холангит (cholangitis; греческий chole желчь + angeion сосуд + -itis; синонимы: ангиохолит, холангиит) — воспаление желчных протоков (внепеченочных и внутрипечёночных). Изолированный холангит встречается редко, чаще он сочетается с холециститом (холецистохолангит, или ангиохолецистит) и гепатитом (гепатохолангит).

По характеру течения холангиты подразделяют на острые и хронические. А. Я. Губергриц (1966) среди форм хронический холангита выделяет латентный, рецидивирующий и длительно текущий с септическим компонентом. К хроническому относят также склерозирующий холангит.

В большинстве случаев холангит имеет бактериальное происхождение. Бактериальная инфекция распространяется восходящим (из кишечника), гематогенным или энтерогематогенным (по воротной вене или по печёночной артерии) и лимфогенным путём. Возбудителем чаще является кишечная палочка (смотри полный свод знаний), реже — энтерококк (смотри полный свод знаний), протей (смотри полный свод знаний: Proteus), стафилококк (смотри полный свод знаний), брюшнотифозная палочка (смотри полный свод знаний: Брюшной тиф) и другие В развитии острого холангита в последнее время большое значение придаётся анаэробной инфекции (смотри полный свод знаний). Специфические холангиты (при туберкулёзе, сифилисе, микозе, сапе и другие) встречаются крайне редко. Воспаление желчных, преимущественно мелких междольковых проточков (холангиолит) возможно также при вирусном гепатите (смотри полный свод знаний: Гепатит вирусный). Холангит может развиться и при некоторых глистных инвазиях — клонорхозе (смотри полный свод знаний), описторхозе (смотри полный свод знаний), стронгилоидозе (смотри полный свод знаний), фасциолезе (смотри полный свод знаний). Причиной холангита может быть травмирование слизистой оболочки печёночных и общего желчного протоков камнем, а также повреждение их панкреатическим соком.

Развитию воспалительного процесса в желчных протоках способствуют застой желчи, наблюдающийся при закупорке камнем общего желчного протока, стриктурах фатерова соска (большого сосочка двенадцатиперстной кишки), опухолях желчных протоков и головки поджелудочной железы, а также кисты общего желчного протока, послеоперационные рубцы, холедохоеюнальный анастомоз, перихоледохеальный лимфаденит, язвы и дивертикулы двенадцатиперстной кишки, эндоскопические манипуляции на общем желчном протоке и другие Возможность инфицирования желчных протоков при дискинезиях желчных путей гипо и атонического типа является спорной. Воспаление общего желчного протока — холедохит — чаще всего возникает при желчнокаменной болезни (смотри полный свод знаний), а также при воспалительных заболеваниях близлежащих органов и тканей.

Причина склерозирующего холангита не известна. Предполагают, что ведущая роль принадлежит аллергизации, а также повреждению желчных протоков липохолевой кислотой (смотри полный свод знаний: Желчные кислоты).

По характеру воспалительных изменений выделяют холангит катаральный, гнойный, дифтеритический. При катаральном холангите наблюдаются полнокровие слизистой оболочки, участки десквамации эпителия, отёк стенок желчных протоков, примесь слизи и гноя в их просветах. При хронический катаральном холангите, развивающемся в результате обструкции желчных путей, отмечают расширение просветов желчных протоков с атрофией их стенок. Гистологически определяются разрастание рубцовой ткани, атрофия мышечного и слизистого слоёв, иногда участки гиперплазии в виде полипов слизистой оболочки печёночных и общего желчного протоков.

Гнойный холангит, как правило, сочетается с воспалительными изменениями желчного пузыря и печени. В просвете желчных протоков обнаруживают гноевидное содержимое, окрашенное желчью. При внутрипечёночном гнойном холангите и холангиолите печень дряблая, набухшая, со смазанным рисунком. При сдавлении её паренхимы с поверхности разреза из желчных протоков выделяется гной. Гистологически выявляют отёк и полнокровие слизистой оболочки, местами — десквамацию эпителия.

Дифтеритическая форма характеризуется некрозом, изъязвлением и десквамацией эпителия слизистой оболочки желчных протоков, в просвете которых обнаруживают полиморфно-ядерные лейкоциты, отложение желчных пигментов, слущённый покровный эпителий, детрит, иногда колонии бактерий.


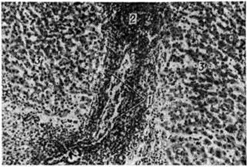
Прогрессирование воспалительного процесса ведёт к развитию перихолангита, при котором наблюдается разрушение стенок желчных протоков и обильная воспалительная инфильтрация окружающих тканей (рисунок). Распространение гнойного процесса на соединительную ткань и паренхиму печени завершается их гнойным расплавлением и образованием холангитических абсцессов; микроскопически они представляют собой полости различных размеров и локализации, заполненные гноем с примесью желчи. Холангитические абсцессы, локализующиеся преимущественно под капсулой, могут осложняться фибринозно-гнойным перигепатитом (смотри полный свод знаний) и перитонитом (смотри полный свод знаний). Гнойный холангит приводит к разрастанию грануляционной ткани и в дальнейшем — к фиброзу и вторичному билиарному циррозу печени (смотри полный свод знаний: Печень, заболевания; Цирроз печени).



Информация об Ordo Deus Перейти в оглавление сайта

Рис
Микропрепарат печени при перихолангите: 1 — разрушенные стенки мелкого желчного проточка; 2 — воспалительная инфильтрация окружающих тканей; 3 — печёночные дольки; окраска гематоксилин-эозином; ×60.



При брюшном тифе степень изменений желчных протоков может быть различной — от минимальных до флегмонозных. Иногда в стенках протоков (преимущественно мелких) обнаруживают характерные гранулемы, сформированные из крупных тифозных клеток, окружающих очаги некроза (холангиотиф).

Морфологически картина специфических холангитов зависит от вида возбудителя. Так, для милиарного туберкулёза характерно наличие в слизистой оболочке желчных протоков гранулем, содержащих микобактерии туберкулёза. При врождённом сифилисе могут наблюдаться фиброзные разрастания и гуммы по ходу желчных протоков и сосудов, приводящие в дальнейшем к стенозу и облитерации желчных протоков. Актиномикоз характеризуется признаками гнойного деструктивного холангита, при сапе отмечается дифтеритическое воспаление и язвенное поражение печёночных протоков.

Холангит, развившийся в результате повреждения желчных протоков ферментами поджелудочной железы, характеризуется так называемый некротическим воспалением, которое обычно сопровождается дистрофическими и очаговыми некротическими изменениями гепатоцитов.

При склерозирующем холангите обнаруживают неспецифическое воспаление и фиброзное утолщение стенок как внепеченочных, так и внутрипечёночных желчных протоков; процесс бывает сегментарный или диффузный. Общий желчный проток имеет вид плотного шнура (из-за плотности стенок его трудно вскрыть), наружный его диаметр не изменён, стенки утолщены, просвет резко сужен. Сфинктер Одди, как правило, не изменён. При гистологический исследовании отмечается утолщение стенки, хронический воспалительная инфильтрация и фиброз субсерозного и подслизистого слоя без перехода на слизистую оболочку желчных протоков, приводящий к окклюзии желчных путей. В печени обнаруживают признаки холестаза (смотри полный свод знаний), дистрофические изменения гепатоцитов, а также картину, характерную для вторичного билиарного цирроза печени (смотри полный свод знаний).

Острый холангит проявляется лихорадкой, ознобами и проливными потами, желтухой (смотри полный свод знаний). Желтуха обычно нарастает после каждого приступа лихорадки, иногда сопровождается зудом кожи. Часто больные жалуются на боли в правом верхнем квадранте живота или нижнем отделе грудной клетки справа с иррадиацией в надплечье. Боли бывают разной интенсивности, иногда приобретают характер желчной колики (смотри полный свод знаний: Желчнокаменная болезнь). Часто наблюдается рвота, иногда с примесью желчи. Описанные симптомы могут наблюдаться однократно или повторяются ежедневно. При пальпации определяется увеличение и уплотнение печени, болезненность в правом подреберье, увеличение селезёнки. Наблюдаются связанные с интоксикацией нарушения со стороны других органов вплоть до септического шока (смотри полный свод знаний).

Среди острых холангитов выделяют рецидивирующий острый холангит, возникающий обычно при наличии вентильного камня в терминальной части общего желчного протока. Эта форма характеризуется периодическими ознобами и повышением температуры, обусловленными ухудшением оттока желчи и активизацией инфекции, сравнительно длительным отсутствием болей и желтухи.

У лиц старческого возраста в связи с частой инфицированностью желчи нередко развивается гнойный холангит. При этом слабо выраженная клинические, картина (отсутствие температурной реакции, незначительные местные симптомы) может не соответствовать глубоким морфологический изменениям желчных протоков.

У детей острый холангит встречается редко, обычно возникает вторично как проявление другого заболевания, чаще стрептококковой этиологии, протекает тяжело, распознается с трудом.

Острый холангит нередко осложняется абсцедированием печени (смотри полный свод знаний: Печень, абсцессы печени), поддиафрагмальным абсцессом (смотри полный свод знаний), правосторонним плевритом (смотри полный свод знаний), реже — абсцессом лёгкого (смотри полный свод знаний), перикардитом (смотри полный свод знаний), панкреатитом (смотри полный свод знаний); при прорыве абсцесса печени в брюшную полость — перитонитом (смотри полный свод знаний), при генерализации процесса — сепсисом (смотри полный свод знаний). При неэффективном лечении он может также осложниться токсической дистрофией печени (смотри полный свод знаний) и гепато-ренальным синдромом (смотри полный свод знаний).

Диагноз острого холангита ставят на основании выраженной клинические, картины и данных лабораторный исследования. Отмечается умеренный или высокий (более 15 000 в 1 микролитров.) лейкоцитоз, ускорение РОЭ, гипербилирубинемия (смотри полный свод знаний), повышение активности щелочной фосфатазы (смотри полный свод знаний), иногда — аминотрансфераз (смотри полный свод знаний). Холангиография (смотри полный свод знаний) в остром периоде неинформативна.

Дифференциальную диагностику наиболее часто проводят с острым холециститом (смотри полный свод знаний), при котором местные симптомы более выражены, а желтуха менее характерна. Холангит дифференцируют также с правосторонней пневмонией (смотри полный свод знаний), поддиафрагмальным абсцессом, абсцессом печени, аппендикулярным абсцессом (смотри полный свод знаний: Аппендицит), острым панкреатитом (смотри полный свод знаний), раком печени (смотри полный свод знаний: Печень), паранефритом (смотри полный свод знаний), сепсисом, лимфогранулематозом (смотри полный свод знаний), коллагеновыми болезнями (смотри полный свод знаний).

Лечение острого холангита комплексное. Консервативную терапию применяют обычно в начальных стадиях. Она включает антибактериальные средства — антибиотики широкого спектра действия, сульфаниламиды (бисептол и другие); дезинтоксикационную терапию — форсированный диурез (смотри полный свод знаний: Отравления, общие принципы оказания неотложной помощи), гемосорбцию (смотри полный свод знаний), дренирование грудного лимфатического протока (смотри полный свод знаний: Катетеризация грудного протока) с лимфосорбцией (смотри полный свод знаний). При неэффективности консервативного лечения, а также больным с повышенным операционным риском (гнойная интоксикация, сепсис, печёночно-почечная недостаточность, тяжёлые сопутствующие заболевания) показана срочная декомпрессия желчных протоков. Для этого применяют временное наружное и постоянное внутреннее дренирование желчных протоков. Временное наружное дренирование включает чрескожную чреспечёночную гепатохолангиостомию (смотри полный свод знаний: Печень, операции), лапароскопическую или операционную холецистостомию (смотри полный свод знаний), эндоскопическое транспапиллярное дренирование общего желчного протока (смотри полный свод знаний: Xоледохоскопия), постоянное внутреннее дренирование желчных протоков — эндоскопическую или операционную папиллосфинктеротомию (смотри полный свод знаний: Фатеров сосок), наложение билиодигестивных анастомозов (смотри полный свод знаний: Xоледоходуоденостомия, Xолецистогастростомия, Холецистодуоденостомия, Холецистоэнтеростомия). При лечении острого гнойного холангита, сочетающегося с обтурационной желтухой, патогенетически наиболее оправдано наружное или внутреннее дренирование желчных протоков (смотри полный свод знаний: выше), способствующее ликвидации застоя желчи и желчной гипертензии, возникающих в результате острой непроходимости желчных протоков, а также уменьшению интоксикации и воспалительных изменений в желчных протоках. Декомпрессия желчных протоков значительно повышает эффективность антибактериальной терапии, так как делает возможным поступление антибактериальных средств в желчь, нарушенное при холестазе. Кроме того, антибактериальные средства (с учётом чувствительности к ним микрофлоры) можно вводить непосредственно в желчные протоки через оставленный дренаж или через пупочную вену.

Применяют также гипосенсибилизирующие средства, препараты, повышающие неспецифическую реактивность организма (ретаболил, пентоксил, метилурацил и другие). Гипербарическая оксигенация (смотри полный свод знаний) позволяет корригировать кислородное голодание, способствует улучшению микроциркуляции в паренхиматозных органах и повышает чувствительность микрофлоры к антибактериальным средствам.

При остром холангите, причиной которого является непроходимость желчных путей, необходима радикальная операция, направленная на устранение причин желчной непроходимости (камень, рубцовая стриктура) и восстановление оттока желчи. Её целесообразно выполнять после стихания острых воспалительных явлений и ликвидации желтухи. Отказ от радикальной операции приводит к рецидивам заболевания и дальнейшему ухудшению состояния больного.

Прогноз, как правило, благоприятный. При своевременно проведённом лечении острый холангит заканчивается выздоровлением. Исходом рецидивирующего острого холангита может быть вторичный билиарный цирроз печени. У лиц старческого возраста прогноз более серьёзный.

Профилактика острого холангита направлена на предупреждение нарушений оттока желчи.

Хронический холангит может развиваться первично или быть исходом острого холангита.

При латентной форме хронический холангита боли и болезненность при пальпации в правом подреберье выражены нерезко или совсем отсутствуют, наблюдается слабость, иногда субфебрильная температура, познабливание, изредка кожный зуд, постепенное увеличение печени. Исходом латентной формы может быть вторичный билиарный цирроз печени.

При рецидивирующей форме холангита боли и местные симптомы также выражены слабо (при холедохолитиазе боли могут быть сильными). Обострение процесса сопровождается лихорадкой, кожным зудом, иногда желтухой. Печень увеличена, уплотнена и болезненна. Отмечается утолщение дистальных фаланг пальцев, изменение ногтей в виде часовых стекол, гиперемия ладоней. В ряде случаев наблюдается увеличение селезёнки. Иногда присоединяется панкреатит. Исходом болезни может быть вторичный билиарный цирроз печени.

Редкой формой хронический холангита является длительно текущий с септическим компонентом холангит, однако наличие этой формы признается не всеми. Возбудителем его чаще всего считают зеленящий стрептококк (смотри полный свод знаний: Стрептококки). Заболевание протекает тяжело, сопровождается бактериемией (смотри полный свод знаний), поражением почек и напоминает подострый бактериальный эндокардит (смотри полный свод знаний: Эндокардит бактериальный подострый).

Склерозирующий (стенозирующий, первичный склерозирующий) холангит является очень редким заболеванием. Эта форма часто сочетается с язвенным неспецифическим колитом (смотри полный свод знаний), реже — с болезнью Крона (смотри полный свод знаний: Крона болезнь), тиреоидитом Риделя (смотри полный свод знаний: Тиреоидит), васкулитом (смотри полный свод знаний) и другие При склерозирующем холангите в одних случаях поражаются преимущественно внепеченочные желчные протоки, в других — внутрипечёночные, чаще — те и другие; склеротический процесс может иметь и сегментарный характер. Заболевание чаще встречается в возрасте до 40 лет, начинается обычно с недомогания, озноба и повышения температуры тела. Основными симптомами склерозирующего холангита являются желтуха и кожный зуд, у части больных неприятные ощущения в правом подреберье, тошнота. Симптомы болезни периодически появляются и исчезают. Печень увеличивается. В поздних стадиях появляются признаки билиарного цирроза печени.

Диагноз хронический холангита ставят на основании клинические, картины, данных лабораторный, рентгенологическое и инструментального исследований. В крови отмечается умеренный лейкоцитоз, незначительное ускорение РОЭ. Для оценки состояния желчных протоков применяют внутривенную холангиографию (смотри полный свод знаний), ретроградную панкреатохолангиографию (смотри полный свод знаний: Панкреатохолангиография ретроградная), чрескожную холангиографию, ультразвуковое исследование (смотри полный свод знаний: Ультразвуковая диагностика), лапароскопию с холангиографией и радиоизотопное исследование с препаратами типа HIDА. Последний метод позволяет получить чёткое изображение желчных протоков даже при желтухе (смотри полный свод знаний: Холеграфия радиоизотопная). Решающее значение при постановке диагноза имеют холангиография, холангиоманометрия (смотри полный свод знаний) и холедохоскопия (смотри полный свод знаний).

При склерозирующем холангите наряду с небольшим лейкоцитозом и незначительно ускоренной РОЭ отмечается повышение активности щелочной фосфатазы. Уровень билирубина варьирует. При эндоскопической или чрескожной холангиографии определяются внутрипечёночные желчные протоки в виде чёток, часто резко суженные с уменьшенной ветвистостью, а также сужение в некоторых отделах или на всем протяжении общего желчного протока. Решающее значение при постановке диагноза склерозирующего холангита имеет лапаротомия с последующей операционной холангиографией и гистологический исследованием материала биопсии.

Поскольку хронический холангит сопровождается субфебрильной температурой, признаками интоксикации, дифференциальный диагноз следует проводить с заболеваниями, сопровождающимися лихорадкой: туберкулёзом (смотри полный свод знаний), тиреотоксикозом (смотри полный свод знаний), ревматизмом (смотри полный свод знаний), подострым бактериальным эндокардитом и другие

Для лечения хронический холангитов в стадии обострения применяют антибиотики курсами по 2—3 недель, между которыми целесообразно назначать другие антибактериальные средства (сульфаниламиды, невиграмон, препараты нитрофуранового ряда), а также никодин. Применяют желчегонные, спазмолитические средства, витамины, тюбаж (смотри полный свод знаний). Физиотерапию и санаторное лечение проводят только при холангитах с невыраженной клинические, картиной в фазе ремиссии. В случае обтурации желчных протоков показано оперативное вмешательство, направленное на ликвидацию окклюзии или создание обходного билиодигестивного анастомоза. При склерозирующем холангите проводят бужирование суженных протоков или дренирование желчных протоков с помощью Т-образного или чреспечёночного дренажа в сочетании с введением глюкокортикостероидов парентерально и через дренаж. При сочетании склерозирующего холангита с язвенным неспецифическим колитом в ряде случаев эффективна гормональная терапия (смотри полный свод знаний: Гормонотерапия) и колэктомия (смотри полный свод знаний).

Прогноз при латентном хронический холангите, как правило, благоприятный; при рецидивирующем хронический холангите — зависит от своевременного восстановления оттока желчи. Прогноз склерозирующего холангита серьёзный.

Профилактика хронического холангита сводится к своевременному лечению острого холангита, а также заболеваний, приводящих к нарушению оттока желчи.

Зимина Л.H.; Иванов А.И.; Милонов О.Б.

⇐ Перейти на главную страницу сайта

⇑ Вернуться в начало страницы ⇑

Библиотека Ordo Deus ⇒

⇐ Хилурия

⇓ Полный свод знаний. Том первый А. ⇓

Холемия ⇒

Все статьи в полном изложении, Вы можете найти в большой медицинской энциклопедии — Главный редактор: академик АН СССР (РАН) и АМН СССР (РАМН) Б.В. Петровский. — Москва издательство «Советская энциклопедия» 1989г.

Внимание! Вы находитесь в библиотеке «Ordo Deus». Все книги в электронном варианте, содержащиеся в библиотеке «Ordo Deus», принадлежат их законным владельцам (авторам, переводчикам, издательствам). Все книги и статьи взяты из открытых источников и размещаются здесь только для чтения.

Вся информация на сайте Ordo Deus находится в свободном доступе. Ordo Deus не предоставляет информацию на платной основе.

Все авторские права сохраняются за правообладателями. Если Вы являетесь автором данного документа и хотите дополнить его или изменить, уточнить реквизиты автора, опубликовать другие документы или возможно вы не желаете, чтобы какой-то из ваших материалов находился в библиотеке, пожалуйста, свяжитесь с нами по e-mail:
info @ ordodeus. ru
Формы для прямой связи с нами находятся в нижней части страниц: контакты и устав «Ordo Deus», для перехода на эти страницы воспользуйтесь кнопкой контакты вверху страницы или ссылкой в оглавлении сайта.

Вас категорически не устраивает перспектива безвозвратно исчезнуть из этого мира? Вы не желаете закончить свой жизненный путь в виде омерзительной гниющей органической массы пожираемой копошащимися в ней могильными червями? Вы желаете вернувшись в молодость прожить ещё одну жизнь? Начать всё заново? Исправить совершённые ошибки? Осуществить несбывшиеся мечты? Перейдите по ссылке: «главная страница».

© Ordo Deus, 2010. При копировании ссылка на сайт http://www.ordo-deus.ru обязательна.