Сосудистые нарушения могут быть п первопричиной воспалительных изменений стенки желчного пузыря, например, при капилляротоксикозе, узелковом периартериите, перекруте желчного пузыря, гипертонических кризах, атеросклеротическом поражении сосудов органов брюшной полости, в том числе и желчного пузыря. Наличие в желчном пузыре конкрементов и их перемещение сопровождается травмированием его слизистой оболочки, способствует поддержанию воспалительного процесса и нарушению эвакуации содержимого из пузыря. Крупные конкременты могут вызвать эрозии и изъязвления слизистой оболочки желчного пузыря с последующим формированием перифокального спаечного процесса, деформацией желчного пузыря и нарушением оттока пузырной желчи. Кроме того, сами конкременты являются как бы резервуаром хронический инфекции. Причиной холецистита может быть также попадание в просвет желчного пузыря ферментов поджелудочной железы вследствие панкреатобилиарного рефлюкса (смотри полный свод знаний) — так называемый ферментативный холецистит. Такой холецистит протекает с бурной воспалительной реакцией и сопровождается развитием желчного перитонита без нарушения целости стенки желчного пузыря. М. П. Кончаловский (1936) и Р. А. Лурия (1935) допускали возможность аллергической природы некоторых форм холецистита. В возникновении заболевания установлена роль местной аллергизации стенки желчного пузыря (колибациллярного и аутоиммунного происхождения) и пищевой аллергии. Определённую роль в возникновении и развитии холецистита играет наследственность. Поражения желчевыводящих путей при паразитарных заболеваниях, например, лямблиозе (смотри полный свод знаний), амебиазе (смотри полный свод знаний), описторхозе (смотри полный свод знаний), аскаридозе (смотри полный свод знаний), могут способствовать возникновению заболевания или поддержанию воспалительного процесса в желчном пузыре. Экспериментальный холецистит. Большое значение в изучении этиологии и патогенеза холецистита имело (наряду с клинические, исследованиями) создание экспериментальной модели заболевания. Экспериментальный холецистит представляет собой искусственно вызванное у животных воспаление желчного пузыря, более или менее сходное с холециститом у человека. В соответствии с этиологическими и патогенетическими особенностями заболевания можно выделить три основных пути создания модели экспериментального холецистита: искусственное введение микробов в полость желчного пузыря (чаще всего через специально сформированную фистулу) или создание условий для поступления в желчный пузырь инфекционные агента; введение в полость желчного пузыря инородных тел, желчных камней, концентрированной желчи человека, повреждающих слизистую оболочку желчного пузыря; создание специальной диеты, способствующей образованию камней и развитию воспаления у экспериментальных животных. Одну из первых моделей экспериментального холецистита предложил в 1915 год П. С. Иконников. После предварительной перевязки пузырного протока он вводил в полость желчного пузыря собак и кроликов культуры кишечной палочки, стрептококков, стафилококков и получал гнойное воспаление пузыря с дальнейшим формированием камней. В. А. Галкин и А. С. Чечулин (1960) на основании этого метода разработали модель экспериментального бактериального некалькулёзного холецистита на собаках. Воспаление получали путём наложения на желчный пузырь животных фистулы по Павлову — Дастрому и введения через неё чистой культуры кишечной палочки. Данная модель позволяла проводить динамические наблюдения за развитием изменений биохимический состава желчи. Подобную методику применял и И. К. Смирнов (1962). Эти модели относительно просты, показывают роль инфекционные агента в развитии воспаления и позволяют дать морфологический характеристику экспериментального хронический некалькулёзного холецистита. В 1938 год Н. Н. Аничковым и М. А. Захарьевской была предложена следующая модель экспериментального холецистита: в результате повреждения сфинктера Одди у кроликов возникало воспаление в желчном пузыре, вызванное собственной кишечной палочкой, проникшей в пузырь восходящим путём. Исследователи предложили четыре способа нарушения функции концевого аппарата общего желчного протока: 1) наложение холедоходуоденостомы; 2) укрепление резиновой трубки в отверстии фатерова соска; 3) введение нити в отверстие фатерова соска; 4) удаление или разрушение сфинктера Одди. И. А. Ильинский, О. П. Храброва, В. В. Румянцева (1966), применившие эту модель на кошках, получили более быстрое и выраженное развитие холецистита. При гистологический исследовании на 3—4-й день отмечалось истончение слизистой оболочки желчного пузыря, слущивание эпителия, иногда небольшая инфильтрация нейтрофильными лейкоцитами; в просвете желчного пузыря между ворсинками обнаруживалось незначительное количество гнойного экссудата, на 6—7-й день — отёк, гнойная инфильтрация почти всех слоёв стенки желчного пузыря. К 21-му дню в стенке желчного пузыря наряду с гнойным воспалением возникали изменения, характерные для хронический воспаления, отмечалось разрастание соединительной ткани, гипертрофия мышечной оболочки и пролиферация клеток эпителия. Первые модели экспериментального холецистита с введением в полость желчного пузыря инородных тел были выполнены Барлоу (Barlow, 1918)., Н. Н. Петров и Н. А. Кроткина (1928) получили выраженные гиперпластические разрастания эпителия и слабую воспалительную реакцию в стенке желчного пузыря животных при введении в его полость желчных камней человека. Уомак, Бриккер (N. A. Womack, Е. М. Bricker, 1942) получали острый холецистит при введении в желчным пузырь концентрированной желчи или желчных камней. С. Ф. Юшков (1957) в экспериментах на морских свинках вызывал острое, а в дальнейшем хронический воспаление желчного пузыря, вводя в его просвет мелкие стеклянные шарики, скреплённые медной проволокой. Воспаление стенки желчного пузыря отмечалось также при воздействии на его слизистую оболочку различных повреждающих агентов (химических или физических), в том числе желудочного сока. Развитию холецистита в эксперименте при введении в полость желчного пузыря инородных тел или инфекционные агента способствовала искусственно вызываемая задержка эвакуации повреждающего фактора из полости желчного пузыря. Создание моделей экспериментального холецистита путём подбора диеты основано на нарушении соотношения в ней холестерина, желчных кислот и фосфолипидов, в результате чего происходит образование камней в желчном пузыре с дальнейшим развитием воспаления в его стенке X. Дам, Кристенсен (F. Christensen, 1952) содержали хомячков на диете, лишённой жиров; на 87-е сутки у них начинали формироваться камни в желчном пузыре, Робинс и Фазуло (S. J. Robins, J. Fasulo, 1973) получили тот же эффект, применив диету с ограничением незаменимых жирных кислот. Бреннеман, Коннор, Форкер, Ден-Бестен (D. Е. Brenneman, W. Е. Connor, Е. L. Forker, L. Den-Besten, 1972) достигли формирования желчных камней у собак путём кормления их пищей, содержащей большое количество холестерина. Осуга, Портмен (Т. Osuga, О. W. Portman, 1971) показали возможность образования камней в желчном пузыре у мартышек, получавших пищу, богатую жирами и холестерином. Добавление к пище хенодеоксихолиновой кислоты или D-тироксина ускоряло камнеобразование и приводило к увеличению количества камней в желчном пузыре. Кроме вышеописанных трёх основных путей создания моделей экспериментального холецистита, существовали и другие, Так, повреждение и воспалительная реакция в стенке желчного пузыря возникали у сенсибилизированных животных после введения им разрешающей дозы сыворотки в желчный пузырь. Разработка экспериментальных моделей холецистита служит для изучения патогенеза заболевания, а также поисков адекватных методов лечения. ОСТРЫЙ ХОЛЕЦИСТИТОстрый холецистит бывает калькулёзный и некалькулёзный, однако чаще он возникает на фоне желчнокаменной болезни. Патологическая анатомия. Для острого холецистита характерно неспецифическое воспаление. По характеру воспаления выделяют катаральный и деструктивный холецистит; последний бывает гнойным, флегмонозным, флегмонозно-язвенным, дифтеритическим и гангренозным. При остром катаральном холецистите желчный пузырь увеличен, напряжён, заполнен водянистой желчью (в связи с примесью серозного экссудата). Слизистая оболочка желчного пузыря гиперемирована, отёчна, покрыта мутной слизью. Микроскопически в стенке желчного пузыря на фоне полнокровия и отёка в слизистом и подслизистом слоях отмечаются инфильтраты, состоящие из полиморфно-ядерных лейкоцитов, макрофагов, и пласты десквамированного эпителия. Обычно острое катаральное воспаление желчного пузыря заканчивается полным восстановлением его структуры. Острый гнойный холецистит чаще всего развивается при наличии в желчном пузыре камней. Желчный пузырь при этом увеличен, напряжён, его серозная оболочка тусклая, покрыта налётом фибрина. В просвете желчного пузыря содержится гнойный экссудат, окрашенный желчью, иногда с примесью крови. Острый гнойный холецистит чаще протекает по типу флегмонозного воспаления. При флегмонозном холецистите в утолщённой стенке желчного пузыря отмечаются участки некроза (смотри полный свод знаний) и расплавления ткани. Слизистая оболочка полнокровная, набухшая, с кровоизлияниями, эрозиями или изъязвлениями. Микроскопически отмечается диффузная инфильтрация стенки желчного пузыря полиморфно-ядерными лейкоцитами. В случае массивного кровоизлияния в стенку желчного пузыря воспаление принимает гнойно-геморрагический характер. Нередко при гнойном холецистите в стенке желчного пузыря образуются абсцессы, которые в последующем могут вскрываться в просвет пузыря с образованием язв или в брюшную полость, что приводит к перитониту (смотри полный свод знаний). Некротизированные участки слизистой оболочки пропитываются фибрином (смотри полный свод знаний) и приобретают вид грязно-зелёных плёнок, что характерно для дифтеритического холецистита. При отторжении детрита на месте некроза слизистой оболочки образуются глубокие язвы. Если некротический процесс распространяется на всю толщу желчного пузыря, развивается гангренозный холецистит. При этом стенка желчного пузыря приобретает грязно-бурую окраску, становится тусклой, дряблой. Развитие гангренозного холецистита связано с нарушением гемодинамики в результате воспалительных и некротических изменений в стенке сосудов при гнойном холецистите и развития гнойных васкулитов и тромбоваскулитов, а также фибриноидного некроза. Гангренозный холецистит может развиваться также в результате первичного поражения кровеносных сосудов, например, при гипертонической болезни, узелковом периартериите. Клиническая картина. Острый холецистит, как калькулёзный, так и некалькулёзный, чаще начинается как обострение хронический холецистита, иногда внезапно на фоне кажущегося благополучия. Основным симптомом являются боли, которые носят характер печёночной (желчной) колики (смотри полный свод знаний: Желчнокаменная болезнь). Колика возникает внезапно, чаще ночью, проявляется резкими схваткообразными болями в правом подреберье с иррадиацией в поясницу справа, правое плечо и лопатку, правую половину шеи и лица. Боль обусловлена судорожными сокращениями пузыря, вызванными обтурацией пузырного протока камнем, воспалительным процессом, рубцовыми изменениями, дискинезией шейки пузыря. Боли сопровождаются тошнотой и рвотой, которая, как правило, не приносит облегчения, иногда брадикардией и повышением температуры. Боль бывает настолько сильной, что больные иногда теряют сознание. Боли могут иррадиировать в левую половину грудной клетки и сопровождаться аритмией (так называемый холецистокардиальный синдром). Болевой приступ при холецистите продолжительный; он может длиться от нескольких дней до 1—2 недель Интенсивность болей со временем несколько снижается; они становятся постоянными, тупыми, периодически усиливающимися. В случае возникновения острого холецистита на фоне хронического приступу болей в течение нескольких дней могут предшествовать тяжесть в эпигастральной области, тошнота. Приступ холецистита провоцируется, как правило, погрешностью в диете, физической или эмоциональной нагрузкой. При прогрессировании в желчном пузыре воспалительного процесса появляется озноб, температура повышается до 38—39°, ухудшается общее состояние, появляется слабость и другие симптомы интоксикации (смотри полный свод знаний). Острый холецистит может сопровождаться желтухой (смотри полный свод знаний) вследствие нарушения проходимости общего желчного протока (закупорка камнем, отёк головки поджелудочной железы при холецистопанкреатите), развития холангита (смотри полный свод знаний) или обострения гепатита (смотри полный свод знаний). В зависимости от характера воспалительного процесса течение острого холецистита имеет свои особенности. Так, острый катаральный холецистит отличается сравнительно доброкачественным течением: быстро исчезает боль, нормализуется температура; в ряде случаев катаральное воспаление может перейти в гнойное. Для гнойного флегмонозного холецистита характерны тяжёлое общее состояние, выраженная температурная реакция, продолжительный болевой синдром. Наиболее тяжёлой формой острого холецистита является гангренозный холецистит. При гангренозном холецистите локальный болевой синдром может отсутствовать в связи с некротическим процессом в стенке желчного пузыря и гибелью его нервного аппарата; при этом на первый план выступают симптомы общей интоксикации с перитонеальными явлениями (смотри полный свод знаний: Перитонит). Ферментативный холецистит начинается с типичной печёночной колики, вслед за которой быстро нарастают признаки интоксикации, усиливаются боли и присоединяются симптомы локального раздражения брюшины — ограничение подвижности брюшной стенки в области расположения желчного пузыря, защитное напряжение мышц. Боли и мышечное напряжение распространяются затем на другие отделы брюшной стенки. Длительность острого холецистита от 2—3 недель до 2—3 месяцев Острый холецистит может осложниться развитием эмпиемы желчного пузыря (проявляется тупыми болями в правом подреберье, лихорадкой, в области проекции желчного пузыря пальпируется опухолевидное образование), а также желчным перитонитом (смотри полный свод знаний), панкреатитом (смотри полный свод знаний), холангитом (смотри полный свод знаний). У лиц пожилого и старческого возраста преобладает калькулёзный холецистит. Заболевание часто протекает атипично. Клинические, картина характеризуется в основном диспептическими расстройствами, боли мало выражены, температурная реакция и изменения в крови в ряде случаев не соответствуют интенсивности воспалительного процесса, что связано с возрастными изменениями желчевыводящих путей (атонией, понижением концентрационной и сократительной функции желчного пузыря), снижением реактивности организма. Своеобразие течения холецистита в этом возрасте определяется частым сочетанием его с патологией других органов пищеварения и сердечно-сосудистой системы, что может затушёвывать симптомы холецистита; в ряде случаев даже при развитии желчного перитонита клинические, картина бывает стёртой. У детей острый холецистит встречается довольно часто; в большинстве случаев он бывает некалькулёзным. Клинические, картина характеризуется увеличением печени, явлениями острого живота — вздутием, болезненностью при пальпации, симптомами раздражения брюшины и другие (смотри полный свод знаний: Острый живот). У детей раннего возраста заболевание проявляется общей интоксикацией. Диагноз ставят на основании анамнеза, жалоб больного, данных осмотра и лабораторных исследований. При сборе анамнеза выявляют предрасполагающие к заболеванию условия труда и быта (гиподинамия), нарушение питания, сопутствующие заболевания органов пищеварения, наследственную отягощённость.
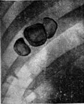
При пальпации живота отмечается болезненность в точке проекции желчного пузыря на переднюю брюшную стенку либо правее или левее, так как примерно в 20% случаев желчный пузырь располагается атипично. Выявляются положительные симптомы Кера (усиление болезненности при пальпации во время вдоха), Мерфи (больной не может глубоко вздохнуть из-за боли, возникающей при погружении пальцев исследующего в правое подреберье ниже края печени), Ортнера (боль при лёгком поколачивании по правой рёберной дуге ребром ладони), френикус-симптом (болезненность при надавливании в области прикрепления к ключице грудино-ключично-сосцевидной мышцы справа), Боаса — Свирского (болезненность при надавливании на остистые отростки IX — XII грудных позвонков или при поколачивании ребром кисти в этой области). Отмечается напряжённость мышц при пальпации живота в области правого подреберья. При развитии водянки или эмпиемы (смотри полный свод знаний: Желчный пузырь) наблюдается значительное увеличение желчного пузыря; дно его довольно отчётливо выступает из-под края печени, доступно для пальпации. При деструктивном, ферментативном холецистите и перфорации желчного пузыря появляются симптомы раздражения брюшины. В крови часто отмечается умеренный или выраженный лейкоцитоз, сдвиг лейкоцитарной формулы влево, ускоренная РОЭ. Из инструментальных методов исследования при остром холецистите применяют ультразвуковое исследование желчного пузыря, печени и поджелудочной железы (смотри полный свод знаний: Ультразвуковая диагностика), позволяющее выявить отёк, деформацию желчного пузыря, наличие конкрементов (рисунок 1), определить состояние протоков, печени и поджелудочной железы, и компьютерную томографию (смотри полный свод знаний: Томография компьютерная). Использование рентгенологическое методов исследования (холецистография, холангиография, ретроградная холангиография) и дуоденального зондирования при остром холецистите противопоказано. Дифференциальный диагноз при остром холецистите следует проводить с аппендицитом (смотри полный свод знаний), учитывая, что возможно атипичное расположение червеобразного отростка (выше подвздошной кости), с прободной язвой двенадцатиперстной кишки (смотри полный свод знаний: Язвенная болезнь), правосторонней пневмонией (смотри полный свод знаний) и плевритом (смотри полный свод знаний), поддиафрагмальным абсцессом (смотри полный свод знаний), внутрипечёночным абсцессом (смотри полный свод знаний: Печень), а также с инфарктом миокарда (смотри полный свод знаний). Об инфаркте миокарда всегда следует помнить ещё и потому, что он часто сочетается с заболеваниями желчных путей. Дифференциальная диагностика строится с учётом анамнеза и данных тщательного обследования больного. Так, при остром аппендиците боли возникают в эпигастральной области, но в последующем, как правило, локализуются и концентрируются в правой половине живота, не имеют характерной для холецистита иррадиации в область правой лопатки и надключичную область; отмечается усиление болезненности в правой половине живота при пальпации левой подвздошной области (симптом Ровсинга). О прободной язве двенадцатиперстной кишки свидетельствует отягощённый анамнез, отсутствие при перкуссии печёночной тупости, а также выявление на обзорной рентгенограмме брюшной полости газа под правым куполом диафрагмы в вертикальном положении больного. Для пневмонии и плеврита характерны кашель, боль в грудной клетке, связанная, как правило, с кашлем и дыхательными движениями. При постановке диагноза учитывают данные перкуссии, аускультации, а также результаты рентгенологическое исследования грудной клетки. Дифференциальная диагностика холецистита с поддиафрагмальным и внутрипечёночным абсцессами основывается на данных рентгенологическое исследования грудной клетки, а также ультразвукового исследования. Инфаркт миокарда диагностируется на основании данных электрокардиографического исследования. В сомнительных случаях приходится прибегать к лапароскопии (смотри полный свод знаний: Перитонеоскопия). Лечение. Больные с острым холециститом должны быть госпитализированы в хирургическое отделение. При деструктивных формах воспалительного процесса (флегмонозной, гангренозной), а также при развитии перитонита показано экстренное оперативное вмешательство. При относительно лёгком течении острого холецистита (катаральная форма) вначале проводят консервативное лечение. Больным назначают постельный режим, в течение 1—2 дней — голод, затем дробное (4—6 раз в день) питание, щадящую диету (отварные мясо и рыба, варёные овощи, паровой белковый омлет, творог, каша, отвары шиповника, чёрной смородины, фруктовые соки, печёные яблоки), антибиотики широкого спектра действия или (при их непереносимости либо нечувствительности к ним возбудителя) — сульфаниламиды, спазмолитические, седативные средства, при выраженном болевом синдроме — паранефральную новокаиновую блокаду (смотри полный свод знаний) или внутрикожное введение новокаина в болевую зону. В случае неэффективности консервативного лечения и отсутствия улучшения в состоянии больного через 24—72 часа после поступления в стационар производят срочную операцию. В. И. Стручков и А. В. Григорян (1976) отмечают, что по экстренным и срочным показаниям приходится оперировать около 26% больных, поступивших в хирургическое отделение по поводу острого холецистита. При решении вопроса об операции в острой стадии заболевания наличие или отсутствие камней в желчном пузыре, а также число предшествующих приступов во внимание не принимаются. Необходимость срочной операции диктуется степенью и распространённостью воспалительного процесса и наличием препятствия для оттока желчи. Длительная выжидательная тактика при остром холецистите не может считаться оправданной, поскольку часто воспалительный процесс прогрессирует, что нередко сопровождается деструктивными изменениями, образованием подпечёночного абсцесса (смотри полный свод знаний: Печень, патология) и других гнойных осложнений, усложняющих операцию, утяжеляющих послеоперационный период и увеличивающих число летальных исходов в послеоперационном периоде. Оперативному вмешательству предшествует интенсивная подготовка больного (смотри полный свод знаний: Предоперационный период), включающая проведение дезинтоксикационной и антибактериальной терапии, назначение антиспастических средств, коррекцию водно-электролитного баланса, профилактику холемического кровотечения и другие (смотри полный свод знаний: Желчные протоки; Желчный пузырь, операции). Оптимальным методом обезболивания является эндотрахеальный наркоз (смотри полный свод знаний: Ингаляционный наркоз) с применением мышечных релаксантов короткого действия. Разрез производят параллельно правой рёберной дуге (подрёберный), в диагностически неясных случаях используют срединный или параректальный доступы (смотри полный свод знаний: Лапаротомия). Чаще при холецистите производят холецистэктомию (смотри полный свод знаний), одним из обязательных условий которой является комплексное исследование желчных протоков во время операции, включая холангиографию (смотри полный свод знаний), а при необходимости и инструментальные методы — трансиллюминацию (смотри полный свод знаний), зондирование протоков (смотри полный свод знаний: Желчные протоки), холедохоскопию (смотри полный свод знаний) и другие Органосохраняющие операции — холецистостомия (смотри полный свод знаний), холецистолитотомия (смотри полный свод знаний: Холецистотомия), холецистохоледохостомия при холецистите, особенно калькулёзном, патогенетически не обоснованы, поскольку не устраняют причины заболевания. Однако при крайне тяжёлом состоянии больного или при невозможности выполнить холецистэктомию приходится прибегать к холецистостомии или холецистолитотомии, несмотря на то, что после этих операций, как правило, выздоровления не наступает и по ликвидации острых явлений приходится прибегать к повторному оперативному вмешательству. При холецистите, осложнённом холедохолитиазом, стриктурой фатерова соска, холангитом, перихоледохеальным лимфаденитом, желчным свищом и другие, наряду с удалением желчного пузыря во время операции устраняют препятствие оттоку желчи или производят коррекцию нарушений внепеченочных желчных протоков. С этой целью по показаниям производят холедохолитотомию (смотри полный свод знаний: Холедохотомия) с ушиванием наглухо отверстия в протоке или дренированием (смотри полный свод знаний) последнего с помощью Т-образной трубки либо через культю пузырного протока, а также холедоходуоденостомию (смотри полный свод знаний) или энтеростомию (наложение анастомоза между общим желчным протоком и тощей кишкой) с выключением сегмента тощей кишки по Ру или Брауну, трансдуоденальную папиллотомию, папиллосфинктеротомию или папиллосфинктеропластику (смотри полный свод знаний: Двенадцатиперстная кишка, Фатеров сосок). Рассечение стенозированного участка фатерова соска может быть осуществлено эндоскопически с помощью специального фибродуоденоскопа, что особенно показано больным пожилого и старческого возраста, состояние которых может быть отягощено сопутствующими заболеваниями сердечно-сосудистой системы, лёгких и других органов. У таких больных полостная операция (трансдуоденальная папиллосфинктеротомия) связана с большим риском. Осложнения, встречающиеся при холецистэктомии, в большинстве случаев возникают при ошибочной перевязке вместо пузырного протока и артерии других протоков или сосудов либо элементов печёночно-дуоденальной связки, а также при повреждениях или пересечении печёночного или общего желчного протока, печёночной артерии, воротной вены. Повреждения их во время операции обычно связаны с аномалиями развития желчных путей и сосудов данной области; они крайне опасны, так как могут явиться причиной желчного перитонита, обтурационной желтухи, некроза печени и поэтому требуют неотложного оперативного вмешательства. К хирургическим ошибкам относятся также не выявленные во время операции холедохолитиаз, стриктуры фатерова соска, неполное удаление желчного пузыря, длинная культя пузырного протока с оставшимися в ней конкрементами. После операции по поводу холецистита больного следует помещать в отделение реанимации или палату интенсивной терапии. Основными задачами раннего послеоперационного периода являются: полное выведение из наркоза, поддержание сердечной деятельности и кровообращения, функции внешнего дыхания, коррекция нарушения электролитного баланса и другие (смотри полный свод знаний: Послеоперационный период). При благоприятном течении послеоперационного периода на 2— 3-и сутки больного переводят в общую палату, разрешают вставать и ходить; контрольный дренаж при отсутствии отделяемого удаляют из брюшной полости на 2—3-и сутки, швы снимают на 7-е сутки, больных выписывают из стационара на 9— 10-й день. При осложнённом холецистите (холедохолитиаз, холангит, стриктуры желчных протоков и другие) либо осложнениях, возникающих во время или после операции, проводят соответствующее лечение. Послеоперационная летальность при неосложнённом холецистите, по данным Б. В. Петровского и О. Б. Милонова (1982), составляет 0,5%, а при осложнённом — 1,7%. Больные пожилого и старческого возраста, составляющие, по данным В. С. Маята и сотрудники (1976), половину всех больных с острым холециститом, должны привлекать повышенное внимание врачей. У этого контингента больных значительно чаще встречаются деструктивные формы холецистита, протекающие нередко без выраженных клинические, проявлений, а также осложнения (холедохолитиаз, холангит, внутренние желчные свищи, механическая желтуха, гепатит, панкреатит и другие) часто обусловленные длительным (на протяжении многих лет) течением заболевания. Большинство больных пожилого и старческого возраста страдают, кроме того, серьёзными сопутствующими заболеваниями сердечно-сосудистой системы и лёгких, сахарным диабетом и другие, что значительно отягощает течение острого холецистита и увеличивает риск оперативного вмешательства. Послеоперационная летальность среди лиц пожилого и старческого возраста в 8—10 раз выше, чем у остальных больных. Поэтому перед экстренной и срочной операцией больным пожилого и старческого возраста необходима особенно тщательная предоперационная подготовка, включающая ликвидацию интоксикации, коррекцию водно-солевого баланса, а также мероприятия, направленные на нормализацию сердечно -сосудистой деятельности, предупреждение тромбоэмболических осложнений, печёночно-почечной недостаточности, нарушений внешнего дыхания и лечение сопутствующих заболеваний. В связи с повышенным риском операции на высоте приступа у больных пожилого и старческого возраста с сопутствующими заболеваниями в отдельных случаях может быть предпринята транспариетальная декомпрессионная пункция желчного пузыря, осуществляемая через ткань печени или сальник под контролем лапароскопа (смотри полный свод знаний: Перитонеоскопия). При этом удаляют жидкое инфицированное содержимое желчного пузыря и в его полость вводят смесь, состоящую из антибиотиков широкого спектра действия и кортикостероидов, что приводит к быстрому стиханию острого воспаления. В некоторых случаях в полости желчного пузыря временно оставляют тонкий дренаж (микрохолецистостомия). Одновременно выполняют лапароскопическую холецистохолангиографию (смотри полный свод знаний: Холангиография), позволяющую провести наиболее информативное исследование желчных путей, крайне важное для определения показаний к последующему оперативному вмешательству. При холедохолитиазе (особенно при наличии вколоченного камня фатерова соска), осложнённом обтурационной желтухой, методом выбора у больных пожилого и старческого возраста, находящихся в тяжёлом состоянии, является эндоскопическая папиллотомия, способствующая декомпрессии желчевыводящих путей и освобождению общего желчного протока от камней. Иногда с целью декомпрессии проводят эндоскопическое назобилиарное дренирование (в общий желчный проток через фатеров сосок с помощью эндофиброскопа вводят тонкий зонд, который затем перемещают из полости рта в полость носа). В случае быстрого стихания острого процесса на фоне консервативной терапии всем больным с острым холециститом следует произвести клинико-лабораторное и рентгенологическое исследование (холецистохолангиографию). При выявлении у больных калькулёзного холецистита их следует оперировать через 2—3 недель, не выписывая из стационара (ранняя плановая операция), либо в состоянии полной ремиссии, спустя 4—6 месяцев после приступа. Операция в холодном периоде заболевания предпочтительна, так как сопровождается меньшим числом осложнений во время операции и в послеоперационном периоде, а также более низкой (в 5—6 раз) летальностью по сравнению с экстренными и срочными операциями. Своевременно произведённая операция позволяет добиться полного выздоровления больных и избежать осложнений со стороны других органов желудочно-кишечные тракта. Прогноз острого холецистита зависит от формы заболевания и своевременности лечения. Так, при катаральном холецистите рано начатое лечение может привести к выздоровлению, однако чаще заболевание принимает хронический характер. При остром гнойном холецистите (флегмонозном, гангренозном) в случае отсутствия осложнений со стороны печени, поджелудочной железы и желчных протоков после своевременного оперативного вмешательства прогноз чаще благоприятный. Прогноз острого гнойного холецистита у больных с сопутствующими заболеваниями сердечно-сосудистой системы, хронический заболеваниями лёгких, почек и другие, у лиц пожилого возраста, а также при присоединении осложнений серьёзный. Профилактика сводится к правильному питанию и режиму, борьбе с адинамией, ожирением, запорами, заболеваниями органов брюшной полости. ХРОНИЧЕСКИЙ ХОЛЕЦИСТИТХронический холецистит может возникнуть самостоятельно или явиться исходом острого холецистита. Он бывает калькулёзным и некалькулёзным. Определение формы заболевания имеет большое практическое значение при выборе тактики лечения больного. Патологическая анатомия. Хронический холецистит может быть катаральным и гнойным. При хронический катаральном холецистите стенка желчного пузыря плотная, склерозированная, отмечается атрофия слизистой оболочки и гипертрофия мышечного слоя. Микроскопически под эпителием выявляются многочисленные макрофаги, содержащие холестерин, а также лимфоплазмоцитарные инфильтраты в склерозированной строме. При рецидиве заболевания наблюдается полнокровие сосудов, отёк стенки желчного пузыря и инфильтрация её полиморфно-ядерными лейкоцитами. В ряде случаев макроскопически выявляют утолщение и полиповидные изменения складок слизистой оболочки с диффузной инфильтрацией стенок липидами, создающие характерное сетчатое её строение. Микроскопически эпителий на отдельных участках отсутствует, на других — разрастается с образованием мелких полипов. В строме и подслизистом слое отмечается большое количество ксантомных клеток (смотри полный свод знаний: Ксантома). При хронический гнойном холецистите процесс охватывает все слои стенки желчного пузыря, что приводит к её склерозированию. В толще стенки из синусов Рокитанского—Ашоффа образуются псевдодивертикулы и абсцессы, являющиеся источниками повторных обострений процесса. Слизистая оболочка атрофична, утолщена, под ней среди тяжей фиброзной ткани и гипертрофированных мышечных волокон определяются воспалительные инфильтраты, на её поверхности появляются изъязвления. Язвы на слизистой оболочке заполняются грануляционной тканью, рубцуются и в последующем эпителизируются за счёт сохранившихся клеток ходов Лушки. Последние разрастаются, ветвятся, достигают субсерозного слоя; часть из них кистозно расширена, заполнена муцином. Среди грануляционной ткани встречаются аденоматозные структуры. Местами в толще стенки откладываются соли кальция, которые в редких случаях могут инкрустировать весь желчный пузырь. Постепенно происходит деформация желчного пузыря, образование спаек с соседними органами (перихолецистит). Серозная оболочка в местах, свободных от спаек, имеет вид глазури. В результате этих изменений желчный пузырь утрачивает свои функции, превращается в очаг хронический инфекции. В далеко зашедших случаях он представляет собой склерозированный деформированный мешок, заполненный конкрементами и гноем. Микроскопически в стенке желчного пузыря отмечаются выраженные склеротические изменения, а также участки лимфоплазмоцитарной инфильтрации с примесью макрофагов и эозинофильных лейкоцитов. Иногда встречаются лимфоидные фолликулы со светлыми центрами размножения. Макропрепараты желчного пузыря при хроническом калькулёзном холецистите — смотри цветной рисунок 11, 12, 13. Воспалительный процесс в желчном пузыре при хронический холецистите может сопровождаться различными осложнениями как со стороны самого желчного пузыря, так и со стороны окружающих органов. При перфорации стенки желчного пузыря развивается разлитой желчный перитонит. Обтурация пузырного протока камнем, реже аденоматозными разрастаниями при шеечном некалькулёзном холецистите может привести к водянке желчного пузыря, при которой пузырь напряжён и заполнен белой желчью. При активизации воспалительного процесса может развиться эмпиема желчного пузыря (в просвете его содержится желчь с гноем). Длительное нахождение конкрементов в просвете пузыря может вызвать пролежень его стенки и развитие внутреннего желчного свища (смотри полный свод знаний: Желчные свищи), при котором возникает сообщение желчного пузыря с другими полыми органами (поперечной ободочной кишкой, двенадцатиперстной кишкой, желудком). При обострении процесса возможно образование паравезикулярного подпечёночного, поддиафрагмального абсцессов, при прорыве абсцесса через переднюю брюшную стенку может образоваться наружный желчный свищ. В связи с тем, что желчный пузырь находится в анатомической и физиологической связи с печенью, желчными протоками и поджелудочной железой, изолированный хронический холецистит наблюдается редко. Воспалительный процесс может распространяться на желчные протоки с развитием холецистоангиохолита (ангиохолецистита), на печень с развитием реактивного гепатита, а в ряде случаев и билиарного цирроза печени. В поджелудочной железе могут возникнуть токсический отёк, очаговый некроз, хронический интерстициальный панкреатит с переходом в фиброз. Это обусловлено панкреатобилиарным рефлюксом (смотри полный свод знаний) в результате холестаза, а также лимфогенным распространением инфекции на ткань поджелудочной железы. При попадании инфицированной желчи в проток поджелудочной железы может развиться острый геморрагический некроз поджелудочной железы (при лимфогенном распространении инфекции воспалительный процесс в поджелудочной железе носит хронический характер). Редко развивается специфическое воспаление желчного пузыря. Туберкулёз желчного пузыря (смотри полный свод знаний: Туберкулёз внелёгочный) характеризуется появлением в его стенке милиарных бугорков и крупных узлов с очагами творожистого некроза, на месте которых в последующем образуются язвы. При третичном сифилисе (смотри полный свод знаний) в стенке желчного пузыря могут обнаруживаться гуммы. Клиническая картина. При хронический холецистите больной длительное время ощущает горечь во рту, умеренную болезненность или чувство тяжести в области правого подреберья. Интенсивность болей зависит от степени и длительности воспалительного процесса в желчном пузыре (наличие перихолецистита) и сопутствующей дискинезии. При сопутствующей дискинезии по гипотоническому типу (смотри полный свод знаний: Желчный пузырь, патология) боль незначительная, монотонная, постоянная; при сопутствующей дискинезии по гипертоническому типу — резкая, приступообразная, напоминающая желчную колику. При перихолецистите боль отличается постоянством и связана с изменением положения тела. Боли иррадиируют в правую поясничную область, правое плечо и лопатку, иногда отмечается иррадиация болей влево, в область сердца. Больные жалуются на диспептические расстройства (отрыжку, тошноту, рвоту). Температура может повышаться до субфебрильных, реже — до более высоких цифр. Хронический холецистит протекает с периодическими обострениями, сопровождающимися усилением описанных выше симптомов. Обострения чаще бывают вызваны погрешностями в диете, чрезмерной физической нагрузкой, острыми воспалительными заболеваниями других органов. Хронический холецистит чаще протекает доброкачественно. В зависимости от особенностей течения выделяют латентную и рецидивирующую формы заболевания. Диагноз устанавливают на основании анамнеза, клинические картины, данных лабораторного, рентгенологического и инструментального исследований. При осмотре выявляются те же симптомы, что и при остром холецистите (смотри полный свод знаний: выше Острый холецистит), но менее выраженные. В крови может быть незначительный лейкоцитоз, небольшое ускорение РОЭ, в ряде случаев отмечается нестойкая уробилинурия (смотри полный свод знаний). При вовлечении в процесс поджелудочной железы обнаруживают амилорею, креаторею (смотри полный свод знаний: Кал), стеаторею (смотри полный свод знаний). Достаточно информативным и широко доступным методом лабораторной диагностики при некалькулёзном хронический холецистите, который можно проводить как в стационаре, так и в условиях поликлиники, является исследование желчи путём хроматического фракционного дуоденального зондирования. Преимущество этого метода перед обычным (нехроматическим) дуоденальным зондированием (смотри полный свод знаний) заключается в окрашивании пузырной порции желчи (порции В) в синий цвет, что позволяет отличить эту порцию от других. Хроматическое фракционное дуоденальное зондирование позволяет точно установить время выделения и количество желчи в разных порциях; это даёт возможность более чётко диагностировать сопутствующую гипотоническую или гипертоническую дискинезию. Так, если в норме желчный пузырь обычно содержит 30—50 миллилитров желчи, то при хронический холецистите, сочетающемся с гипотонической дискинезией, в желчном пузыре скапливается до 150— 200 миллилитров желчи и более, причём выделяется она значительно медленнее, чем в норме. Хроматическое фракционное дуоденальное зондирование проводят по общепринятой методике, но предварительно за 12 часов до процедуры больной принимает внутрь 0,15—0,3 грамм метиленового синего в желатиновой или крахмальной капсуле. Часто даже при многократном зондировании порцию В желчи не получают, что может быть связано с облитерацией или сморщиванием желчного пузыря и является признаком хронический холецистита. Порцию В не удаётся получить также при перихолецистите в связи с нарушением сократительной способности желчного пузыря. Микроскопическое исследование желчи позволяет обнаруживать в ней скопление клеток цилиндрического эпителия, слизи, кристаллов билирубината кальция, холестерина, а иногда и паразитов. При бактериологические исследовании для посева следует брать желчь отдельно из разных порций. Чаще при хронический холецистите выявляют смешанную колибациллярную и кокковую микрофлору. По мере развития воспалительного процесса в желчи понижается содержание холевой кислоты, билирубина, липопротеинового комплекса, изменяется холатохолестериновый индекс.
Окончательный диагноз хронический холецистита устанавливают после проведения рентгенологическое и инструментального обследований. Важным методом исследования при хронический холецистите является рентгенологический. Начинать обследование следует с обзорной рентгенографии (смотри полный свод знаний) области правого подреберья, при которой можно обнаружить тени рентгеноконтрастных камней (рисунок 2) или обызвествление стенок желчного пузыря (рисунок 3). После этого производят холецистографию (смотри полный свод знаний) или сочетанную холецистохолангиографию, позволяющие установить наличие в желчном пузыре камней, что проявляется дефектом наполнения (рисунок 4), а также выявить деформацию желчного пузыря (рисунок 5) и нарушение его функции при некалькулёзном холецистите. С помощью ультразвукового исследования определяют состояние стенки пузыря, наличие в нем конкрементов, а также сократительную способность желчного пузыря. Все большее распространение получают метод радиоизотопного исследования желчного пузыря (смотри цветной рисунок 12 и 13), а также компьютерная томография печени, желчного пузыря (рисунок 6) и поджелудочной железы, которые применяются прежде всего у больных с желтухой и у лиц, которым противопоказано (например, в связи с аллергией) обычное рентгенологическое исследование. У больных с желтухой и (или) при непереносимости контрастного вещества (при его внутривенном введении) для уточнения диагноза можно произвести ретроградную холангиографию (смотри полный свод знаний) во время фибродуоденоскопии. Это даёт возможность получить прямое контрастирование желчного пузыря, позволяющее при некалькулёзном холецистите выявить его деформацию (рисунок 7) и нарушение оттока желчи, при калькулёзном холецистите — конкременты в просвете желчного пузыря, а иногда в общем желчном протоке. Дифференциальный диагноз. Хронический холецистит следует дифференцировать с язвенной болезнью, хронический воспалительными заболеваниями мочевыводящих путей и толстой кишки. Дифференциальную диагностику между хронический холециститом и язвенной болезнью проводят на основании особенностей болевого синдрома, сезонности обострений, данных рентгенологического и эндоскопического исследований (смотри полный свод знаний: Язвенная болезнь). При хронический заболеваниях мочевыводящих путей боли иррадиируют в паховую область, отмечаются дизурические явления, изменения в моче. Хронический воспалительные заболевания кишечника исключаются на основании данных рентгенологического и эндоскопического исследования (смотри полный свод знаний: Колит). Лечение. Хронический калькулёзный холецистит и осложнённые формы хронический некалькулёзного холецистита подлежат оперативному лечению (смотри полный свод знаний: Желчнокаменная болезнь, Холецистэктомия). Консервативно лечат неосложнённые формы некалькулёзного холецистита и обострения других форм хронический холецистита, когда больной категорически отказывается от оперативного лечения или проведение его невозможно из-за тяжёлых сопутствующих заболеваний. Консервативные мероприятия направлены на ликвидацию воспалительного процесса, борьбу с застоем желчи и дискинезией желчных путей. Больным назначают постельный или полупостельный режим, дробное питание, щадящую диету (смотри полный свод знаний: выше Острый холецистит), которую расширяют при улучшении самочувствия через 2 недель, противовоспалительные средства (антибиотики или сульфаниламиды) в течение 2—3 недель Применение желчегонных средств зависит от типа сопутствующей дискинезии. При дискинезии по гипотоническому типу показаны холецистокинетики — сульфат магния, карловарская соль, оливковое масло, гипофизин, сорбит, ксилит и другие При дискинезии по гипертоническому типу целесообразно применять холеретики (холагол, холосас), а а также спазмолитические средства (атропин, препараты белладонны, ношпа, платифиллин и другие). При затруднении в определении типа дискинезии, а также в случаях смешанных дискинезий рекомендуют желчегонные средства растительного происхождения (отвар кукурузных рылец, шиповника и другие), обладающие сочетанным (в большей степени холеретическим) умеренным эффектом. При сочетании холецистита с дискинезией по гипертоническому типу рекомендуют также седативные средства (препараты валерианы, пустырника, бром и другие). В случае вовлечения в патологический процесс поджелудочной железы в комплекс лечебный мероприятий включают ферментную терапию (смотри полный свод знаний: Панкреатит). При хронический некалькулёзном холецистите с упорным течением и наличием у больного аллергических реакций рекомендуются антигистаминные средства (димедрол, супрастин и другие), в случае иммунной недостаточности — левамизол. Эффективным при хронический холецистите является дуоденальное зондирование или беззондовый тюбаж (смотри полный свод знаний), а также водолечение. При дискинезии по гипотоническому типу назначают щелочные воды с высокой минерализацией (Ессентуки № 17, Арзни, Баталинская), при дискинезии по гипертоническому типу — подогретую минеральную воду с меньшей концентрацией солей и более низким содержанием газа (Ессентуки № 4, № 20, Славяновская, Смирновская, Железноводская). При назначении минеральной воды следует учитывать состояние секреторной функции желудка. Физиотерапевтические процедуры показаны при хронический холецистите вне обострения. Наиболее эффективны: диатермия (смотри полный свод знаний), индуктотермия (смотри полный свод знаний), УВЧ (смотри полный свод знаний: У ВЧ-терапия), ультразвук (смотри полный свод знаний: Ультразвуковая терапия), грязевые, озокеритовые или парафиновые аппликации на область желчного пузыря (смотри полный свод знаний: Грязелечение, Озокеритолечение, Парафинолечение), радоновые и сероводородные ванны (смотри полный свод знаний: Ванны, Радоновые воды, Сульфидные воды). В стадии ремиссии больным целесообразно назначать санитарно-курортный лечение на курортах Ессентуки, Боржоми, Железноводск, Трускавец, Моршин, Дорохово и другие Лечение хронический холецистита длительное. Больные должны находиться под диспансерным наблюдением. Для предупреждения обострений им назначают диету, щадящий режим труда, проводят санацию очагов хронический инфекции, а также 2—3 раза в год профилактическое противорецидивное лечение. Прогноз, как правило, благоприятный. Профилактика заключается в правильном питании и режиме, борьбе с адинамией, ожирением, заболеваниями органов брюшной полости, в своевременном и правильном лечении острого холецистита. Смотри полный свод знаний: Желчнокаменная болезнь.
Вас категорически не устраивает перспектива безвозвратно исчезнуть из этого мира? Вы не желаете закончить свой жизненный путь в виде омерзительной гниющей органической массы пожираемой копошащимися в ней могильными червями? Вы желаете вернувшись в молодость прожить ещё одну жизнь? Начать всё заново? Исправить совершённые ошибки? Осуществить несбывшиеся мечты? Перейдите по ссылке: «главная страница».
|
||||||||||||||||||||||||||||||||||||||||||||||||||||||||||||||||||