Хондроматоз суставов

Оглавление

  1. Дорога к бессмертию
  2. Бессмертие и религия
  3. Философия бессмертия
  4. Бессмертие и наука
  5. История анабиоза
  6. Смерть
  7. Кора головного мозга
  8. Бессмертие и анабиоз
  9. Анабиоз, медицина и биология
  10. Анабиоз и экономика
  11. Анабиоз и закон
  12. Анабиоз в Антарктиде
  13. Техническое обеспечение анабиоза
  14. Бессмертие и вера
  15. Библиотека Ordo Deus
  16. Контактная страница Ordo Deus

Хондроматоз суставов

Хондроматоз суставов (chondromatosis articularis; греческий chondros хрящ + -oma, omatos + -osis) — заболевание, характеризующееся образованием внутрисуставных хрящевых, реже — костных телец.

Хондроматоз суставов встречается сравнительно редко. Среди больных Хондроматоз суставов несколько преобладают мужчины. Наиболее часто поражаются коленный и локтевой суставы, реже — плечевой, голеностопный, лучезапястный, дистальный лучелоктевой и другие суставы.

Этиология и патогенез этого заболевания неизвестны. По-видимому, Хондроматоз суставов возникает вследствие реактивного процесса, обусловливающего хрящевую метаплазию (смотри полный свод знаний) отдельных клеток синовиальной оболочки (смотри полный свод знаний). Образующиеся при этом хрящевые островки вначале связаны с синовиальной оболочкой, а затем отшнуровываются и становятся свободными внутрисуставными телами.

Макроскопически при Хондроматоз суставов ограниченные или обширные участки синовиальной оболочки покрыты узелками и диффузными возвышениями плотной консистенции. Отдельные узелки выступают над поверхностью синовиальной оболочки в виде полипов на ножке. Некоторые из них отшнуровываются и располагаются в полости сустава в виде свободных внутрисуставных телец величиной от нескольких миллиметров до 1—2 сантиметров в диаметре. Внутрисуставные тельца имеют округлую и овальную форму, гладкую поверхность белого или желтоватого цвета. Количество таких телец в суставе может достигать десятков и сотен. При опухолевидной форме Хондроматоз суставов внутрисуставные тела имеют вид крупных (до 3—5 сантиметров в диаметре) бугристых образований, состоящих из сливающихся узлов и долек хрящевой ткани. Микроскопически синовиальная оболочка утолщена, с гиперплазированными ворсинками. В ней отмечается инфильтрация лимфоидными и плазматическими клетками, обусловленная реактивным синовитом (смотри полный свод знаний). Отдельные ворсинки или вся толща синовиальной оболочки содержат очаги хрящевой ткани (смотри полный свод знаний) в виде мелких узелков и островков (рисунок 1). Хондроматозные очаги состоят из межуточного вещества с беспорядочно расположенными в нем хрящевыми клетками. Иногда архитектоника хондроматозных очагов отдалённо напоминает суставной хрящ, реже — хондрому (смотри полный свод знаний). В крупных очагах часто обнаруживают зоны обызвествления (смотри полный свод знаний: Кальциноз) и костеобразования (смотри полный свод знаний: Оссификаты). Могут встречаться очаги, состоящие только из костной ткани, представленной отдельными костными перекладинами или сетью перекладин пластинчатого строения с жёлтым, реже красным, костным мозгом в межбалочных пространствах. Свободные внутрисуставные тельца состоят из гиалинового хряща, реже — из гиалиновой и волокнистой хрящевой ткани. Поверхность внутрисуставных телец покрыта слоем волокнистой соединительной ткани, образующей капсулу. Иногда эта ткань напоминает перихондр и, видимо, служит источником образования хрящевого вещества. Обызвествление наблюдается в форме очагов или полос, что указывает на периодичность отложения солей кальция.

Клинически Хондроматоз суставов проявляется болью во время и после физической нагрузки, при движениях в поражённом суставе, ограничением движений в суставе, хромотой, периодическими блокадами сустава, скоплением синовиальной жидкости, увеличением сустава в объёме, крепитацией при движениях, атрофией мышц конечности. При Хондроматоз суставов, как правило, наблюдается деформирующий артроз.

Важную роль в диагностике Хондроматоз суставов играет рентгенологическое исследование. На рентгенограмме поражённого сустава обнаруживают множество плотных теней шаровидной или овальной формы с чёткими контурами (рисунок 2). При тщательном изучении, особенно на рентгенограммах с прямым увеличением изображения и при томографии (смотри полный свод знаний), во внутрисуставных тельцах можно выявить более прозрачную центральную часть, которая соответствует их хрящевой основе. Расположение хрящевых телец определяется анатомическими особенностями суставной капсулы и строением её заворотов. В случаях значительного растяжения суставной капсулы внутрисуставные тельца могут располагаться на значительном удалении от обычных анатомических границ сустава (рисунок 3).

На обзорных рентгенограммах могут быть выявлены лишь те внутрисуставные тельца, которые содержат соли кальция.

Косвенными признаками наличия хрящевых телец, не видимых на обзорной рентгенограмме, являются краевые узуры в сочленяющихся костях. Достоверный диагноз Хондроматоз суставов в таких случаях может быть установлен только при артрографии и артроскопии (смотри полный свод знаний: Суставы).



Информация об Ordo Deus Перейти в оглавление сайта

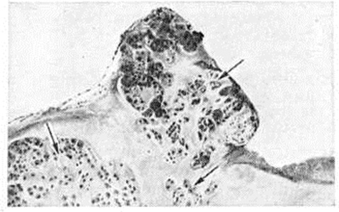
Рис. 1.
Микропрепарат синовиальной оболочки при хондроматозе сустава: стрелками указаны островки хрящевой ткани; окраска гематоксилин-эозином; ×100.





Информация об Ordo Deus Перейти в оглавление сайта

Рис. 2,
Рентгенограмма локтевого сустава при хондроматозе (прямая проекция): стрелками обозначены множественные частично обызвествлённые внутрисуставные тельца.





Информация об Ordo Deus Перейти в оглавление сайта

Рис. 3.
Артропневмограмма коленного сустава при хондроматозе (боковая проекция): в верхнем завороте суставной сумки, заполненной газом, определяется конгломерат обызвествленных внутрисуставных телец (обозначен стрелкой).



Лечение оперативное, заключается в артротомии (смотри полный свод знаний) с удалением свободных внутрисуставных телец и иссечением метаплазированных участков синовиальной оболочки или тотальной синовэктомии (смотри полный свод знаний) при опухолевидном суставном хондроматозе. Оперативный доступ должен обеспечивать широкий подход ко всем отделам сустава. При наличии сопутствующего выраженного деформирующего артроза (смотри полный свод знаний) проводят артропластику (смотри полный свод знаний), при резко выраженном деформирующем артрозе — эндопротезирование сустава либо артродез (смотри полный свод знаний).

Прогноз для жизни благоприятный. Восстановление функции конечности зависит от распространённости процесса и радикальности оперативного вмешательства.

Зацепин С.Т.; Королюк И.П.; Липкин С.И.

⇐ Перейти на главную страницу сайта

⇑ Вернуться в начало страницы ⇑

Библиотека Ordo Deus ⇒

⇐ Хондроматоз костей

⇓ Полный свод знаний. Том первый А. ⇓

Хондромиксоидная фиброма ⇒

Все статьи в полном изложении, Вы можете найти в большой медицинской энциклопедии — Главный редактор: академик АН СССР (РАН) и АМН СССР (РАМН) Б.В. Петровский. — Москва издательство «Советская энциклопедия» 1989г.

Внимание! Вы находитесь в библиотеке «Ordo Deus». Все книги в электронном варианте, содержащиеся в библиотеке «Ordo Deus», принадлежат их законным владельцам (авторам, переводчикам, издательствам). Все книги и статьи взяты из открытых источников и размещаются здесь только для чтения.

Вся информация на сайте Ordo Deus находится в свободном доступе. Ordo Deus не предоставляет информацию на платной основе.

Все авторские права сохраняются за правообладателями. Если Вы являетесь автором данного документа и хотите дополнить его или изменить, уточнить реквизиты автора, опубликовать другие документы или возможно вы не желаете, чтобы какой-то из ваших материалов находился в библиотеке, пожалуйста, свяжитесь с нами по e-mail:
info @ ordodeus. ru
Формы для прямой связи с нами находятся в нижней части страниц: контакты и устав «Ordo Deus», для перехода на эти страницы воспользуйтесь кнопкой контакты вверху страницы или ссылкой в оглавлении сайта.

Вас категорически не устраивает перспектива безвозвратно исчезнуть из этого мира? Вы не желаете закончить свой жизненный путь в виде омерзительной гниющей органической массы пожираемой копошащимися в ней могильными червями? Вы желаете вернувшись в молодость прожить ещё одну жизнь? Начать всё заново? Исправить совершённые ошибки? Осуществить несбывшиеся мечты? Перейдите по ссылке: «главная страница».

© Ordo Deus, 2010. При копировании ссылка на сайт http://www.ordo-deus.ru обязательна.