Оглавление
-
Дорога к бессмертию
-
Бессмертие и религия
-
Философия бессмертия
-
Бессмертие и наука
-
История анабиоза
-
Смерть
-
Кора головного мозга
-
Бессмертие и анабиоз
-
Анабиоз, медицина и биология
-
Анабиоз и экономика
-
Анабиоз и закон
-
Анабиоз в Антарктиде
-
Техническое обеспечение анабиоза
-
Бессмертие и вера
-
Библиотека Ordo Deus
-
Контактная страница Ordo Deus
|
Хориоидпапилома
Хориоидпапилома [chorioidpapilloma; латынь (plexus) chorioideus сосудистое сплетение + папиллома; синонимы: папиллома сосудистого сплетения, плексус-папиллома, хориоидная папиллома] — доброкачественная нейроэктодермальная опухоль, исходящая из эпителия сосудистых сплетений желудочков головного мозга.
Хориоидиапиллома составляет, по данным различных исследователей, 0,3—0,6% всех внутричерепных опухолей. У детей хориоидиапиллома встречается чаще, чем у взрослых (1,1 —1,3% всех опухолей головного мозга и 1,5—1,6% всех нейроэктодермальных опухолей). Хориоидпапилома является наиболее частой внутричерепной опухолью у новорожденных и детей первого года жизни, чаще наблюдается у мальчиков. Крайне редко встречается злокачественный вариант хориоидпапилломы — хориоидкарцинома (смотри полный свод знаний).
Хориоидиапиллома растёт в полости желудочков головного мозга (смотри полный свод знаний), очень редко располагается в мостомозжечковом углу, развиваясь из бокового выворота сосудистого сплетения четвёртого желудочка, или в большой цистерне (мозжечково-мозговая цистерна. У детей хориоидпапиллома локализуется преимущественно в боковых желудочках мозга, у взрослых — в полости четвёртого желудочка.
Макроскопически хориоидпапиллома представляет собой округлый узел с мелкозернистой или ворсинчатой поверхностью. В редких случаях при наличии капсулы поверхность узла бывает гладкой. На разрезе ткань опухоли серо-розовая, мелкозернистая, несколько плотнее ткани мозга. Иногда содержит гладкостенные кисты с серозным, слизеподобным или кальцифицированным содержимым.
|
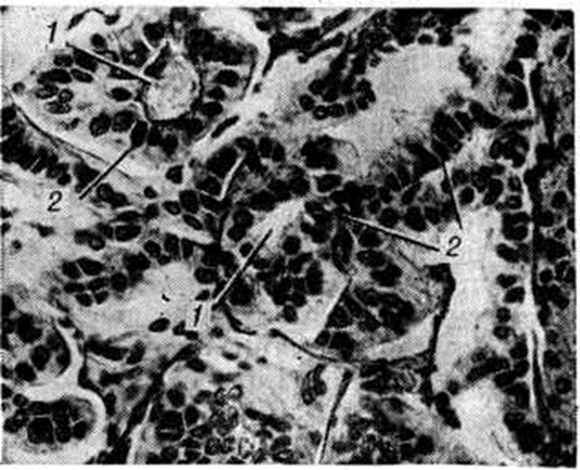
Микроскопически опухоль представлена разной величины и формы ворсинками, покрытыми цилиндрическим эпителием, сходным с эпителием нормального сосудистого сплетения (смотри рисунок). Изредка отмечается многослойное расположение опухолевых клеток. Строма ворсинок состоит из рыхлой соединительной ткани, окружающей тонкостенные сосуды. В некоторых ворсинках может обнаруживаться плотная соединительная ткань со значительным числом тонко и толстостенных, иногда спавшихся сосудов. В строме ворсинок возможны отложения солей кальция, гиалиноз, отёк, фиброз и другие
Хориоидиапиллома растёт медленно в виде довольно чётко отграниченного узла, заполняя просвет желудочка, иногда спаиваясь с его стенками, но не прорастая их. Из полости четвёртого желудочка через отверстие Мажанди (срединная апертура четвёртого желудочка опухоль может прорастать в мозжечково-мозговую цистерну, а через отверстие Лушки (боковая апертура четвёртого желудочка — в боковую цистерну варолиева моста, срастаясь с корешками черепно-мозговых нервов. В некоторых случаях отрыв отдельных ворсинок ведёт к развитию имплантационных метастазов на стенках желудочков мозга или в субарахноидальном пространстве. Симптоматика зависит от локализации хориоидпапилломы и проявляется общемозговыми симптомами, связанными с окклюзией путей оттока цереброспинальной жидкости, ведущей к возникновению закрытой гидроцефалии (смотри полный свод знаний). При вовлечении в процесс четвёртого желудочка мозга иногда появляются симптомы раздражения его дна.
Диагностика основывается на клинические, данных и результатах дополнительных методов исследования. Решающее значение имеют вентрикулография (смотри полный свод знаний), церебральная ангиография (смотри полный свод знаний), компьютерная томография (смотри полный свод знаний: Томография компьютерная), гамма-энцефалография (смотри полный свод знаний: Энцефалография) и вентрикулоскопия (смотри полный свод знаний).
Лечение оперативное. В случае полного удаления хориоидпапилломы и отсутствия имплантационных метастазов прогноз благоприятный.
Смотри полный свод знаний: Сосудистые сплетения, патология.
|
Все статьи в полном изложении, Вы можете найти в большой медицинской энциклопедии — Главный редактор: академик АН СССР (РАН) и АМН СССР (РАМН) Б.В. Петровский. — Москва издательство
«Советская энциклопедия» 1989г.
|
|
Внимание! Вы находитесь в библиотеке «Ordo Deus». Все книги в электронном варианте, содержащиеся в библиотеке «Ordo Deus», принадлежат их законным владельцам (авторам, переводчикам,
издательствам). Все книги и статьи взяты из открытых источников и размещаются здесь только для чтения.
|
|
Вся информация на сайте Ordo Deus находится в свободном доступе. Ordo Deus не предоставляет информацию на платной основе.
|
|
Все авторские права сохраняются за правообладателями. Если Вы являетесь автором данного документа и хотите дополнить его или изменить, уточнить реквизиты автора, опубликовать другие
документы или возможно вы не желаете, чтобы какой-то из ваших материалов находился в библиотеке, пожалуйста, свяжитесь с нами по e-mail: info @ ordodeus. ru Формы для прямой связи с
нами находятся в нижней части страниц: контакты и устав «Ordo Deus», для перехода на эти страницы воспользуйтесь кнопкой контакты вверху страницы или ссылкой в оглавлении сайта.
|
Вас категорически не устраивает перспектива безвозвратно исчезнуть из этого мира? Вы не желаете закончить свой жизненный путь в виде омерзительной гниющей органической массы пожираемой
копошащимися в ней могильными червями? Вы желаете вернувшись в молодость прожить ещё одну жизнь? Начать всё заново? Исправить совершённые ошибки? Осуществить несбывшиеся мечты? Перейдите
по ссылке:
«главная страница».
|