|
Капоши саркома множественная геморрагическая |
|
|
|
|
Оглавление
-
Дорога к бессмертию
-
Бессмертие и религия
-
Философия бессмертия
-
Бессмертие и наука
-
История анабиоза
-
Смерть
-
Кора головного мозга
-
Бессмертие и анабиоз
-
Анабиоз, медицина и биология
-
Анабиоз и экономика
-
Анабиоз и закон
-
Анабиоз в Антарктиде
-
Техническое обеспечение анабиоза
-
Бессмертие и вера
-
Библиотека Ordo Deus
-
Контактная страница Ordo Deus
|
Капоши саркома множественная геморрагическая
Капоши саркома множественная геморрагическая (М. К. Kaposi; венгерский дерматолог, 1837—1902; синонимы: ангиоретикулез Капоши, ангиоматоз Капоши, ангиоретикулематоз, идиопатическая геморрагическая саркома Капоши, гемангиосаркома Капоши, телеангиэктатический саркоматоз, болезнь Капоши, множественная ангиопластическая пигментная саркома, акросаркома Унны — Капоши и другие) — злокачественное опухолевое заболевание ретикулогистиоцитарной системы с преимущественным поражением кожи. Впервые описана М. Капоши в 1872 год
Капоши саркома множественная геморрагическая распространена среди коренного населения Африки; в других частях света встречается реже. Наблюдается преимущественно у пожилых мужчин, однако описаны случаи Капоши саркома множественная геморрагическая у детей. Случаи семейной заболеваемости единичны.
Этиология и предрасполагающие факторы не известны. Имеются сообщения о сочетании Капоши саркома множественная геморрагическая с лимфогранулематозом, грибовидным микозом, лимфосаркомой, ретикулосаркоматозом, лимфо и миелолейкозом, миеломной болезнью. Существует гипотеза о вирусном происхождении Капоши саркома множественная геморрагическая.
Макроскопически поражения кожи представлены различными элементами и их сочетанием — пятнами, бляшками, узлами с очагами кровоизлияния (рисунок 1). Пятна красновато-синюшного или красновато-бурого цвета, обычно множественные, до 5 сантиметров в диаметре, различных очертаний. Они резко отграничены от окружающей кожи, поверхность их, как правило, гладкая, иногда отмечается небольшое шелушение. С течением времени цвет пятен приобретает все более синюшный и тёмный оттенок. У части больных ранним проявлением Капоши саркома множественная геморрагическая являются полусферические или плоские узелки размером до горошины, розоватого, а затем красновато-синюшного или бурого цвета, безболезненные. Постепенно увеличиваясь в размерах и количестве, узелки группируются в виде дуг и колец, центр отдельных узелков западает, они становятся более плотными. В процессе дальнейшего прогрессирования на месте пятен и узелков развиваются бляшки и опухолевые узлы. Бляшки диаметром около 5 см имеют округлые или овальные очертания, поверхность их чаще неровная (типа апельсиновой корки), видны телеангиэктазии (смотри полный свод знаний). Цвет бляшек от буровато-красного до коричневато-синюшного, реже он приближается к цвету нормальной кожи. Опухолевые узлы диаметром от 1 до 5 сантиметров имеют полушаровидную форму, плотно-эластическую консистенцию, значительно возвышаются над уровнем кожи. Покрывающая их кожа гладкая, блестящая, красновато-синюшного цвета. Опухоли могут оставаться изолированными или сливаться между собой, способны изъязвляться.
Наряду с перечисленными характерными для Капоши саркома множественная геморрагическая поражениями кожи у небольшой части больных первичные элементы могут наблюдаться в виде буллезных и везикулярных высыпаний.
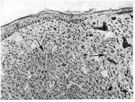
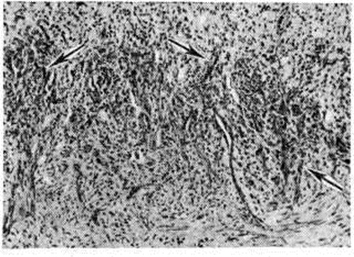
Микроскопически в опухоли всегда обнаруживают большое количество кровеносных сосудов, чаще капиллярного типа. Эндотелиальные клетки сочные, набухшие, местами сгруппированы в небольшие тяжи; вокруг сосудов — неспецифический воспалительный инфильтрат, состоящий из лимфоцитов, гистиоцитов, плазматических клеток и другие. На отдельных участках эндотелиальные клетки с явлениями атипизма и единичными фигурами деления ядер; встречаются разрастания веретенообразных клеток, среди которых видны сосудистые щели. В пределах опухоли определяются также участки грануляционной ткани различной степени зрелости (рисунок 2), некрозы, массивные кровоизлияния и скопления гемосидерина. Характерны связанные с сосудами пучки веретенообразных клеток, не полностью сформированные сосуды, нарушение целостности стенок и кровоизлияния вокруг сосудов (рисунок 3). В опухоли обнаруживают все указанные структуры в различных сочетаниях, что и создаёт разнообразие гистологический картины. Выделяют воспалительно-гранулематозную и позднюю опухолевую стадии развития Капоши саркома множественная геморрагическая.
В воспалительно-гранулематозной стадии отмечают большое количество расширенных кровеносных сосудов в дерме, эндотелий их набухший, сочный; вокруг сосудов — инфильтрация из лимфоидных элементов, плазматических клеток, гистиоцитов, фибробластов.
|
Характерной гистологический особенностью является наличие в соединительной ткани эндотелиальных клеток, из которых образуются новые сосуды, а также эритроцитов вне просвета сосудов и увеличение содержания гемосидерина. В ранних стадиях гистологический картина не всегда характерна: Капоши саркома множественная геморрагическая трудно дифференцировать от ангиомы и богатой сосудами грануляционной ткани. Правильному диагнозу помогает обнаружение в гранулематозной ткани экстравазатов и гемосидерина.
Поздняя опухолевая стадия (рисунок 4) характеризуется пролиферацией веретенообразных клеток различной формы — длинных, коротких, с изменёнными и часто палочковидными гиперхромными ядрами. Клетки располагаются в виде пучков, окрашивающихся пикрофуксином в розовато-красный цвет. Многие авторы относят их к мезенхимальным ангиобластическим элементам. Встречаются немногочисленные митотические фигуры. Участки подобного строения весьма напоминают картину фибросаркомы, отличаясь от неё наличием экстравазатов и зёрнышек гемосидерина. На других участках имеется большое количество сосудистых щелей, происходит интенсивная пролиферация сосудов и развивается соединительная ткань различной степени зрелости; число экстравазатов резко возрастает, образование гемосидерина более выражено. Взгляды на происхождение веретенообразных клеток при Капоши саркома множественная геморрагическая различны. Их относят к фибробластам, клеткам эндотелия, ретикулярным клеткам, нейромиодермальным и мезенхимальным элементам. На основании гистологический и гистохимические данных можно предположить, что источником роста является ангиобластическая мезенхима, и опухоль, по-видимому, развивается из незрелых мезенхимных перицитарных эмбриональных сосудистых клеток. Одни авторы считают, что новообразование связано с пролиферацией гладкомышечных элементов, другие предполагают его нейрососудистое происхождение. Есть основания полагать, что Капоши саркома множественная геморрагическая является системным первично множественным ангиолейомиоматозом, гистогенетически связанным с гладкомышечными элементами клеток мелких сосудов мышечного типа.
Наиболее распространён взгляд на заболевание как на ангиобластоз, способный к генерализации и аутохтонному развитию вторичных очагов поражения. Трансформация Капоши саркома множественная геморрагическая в истинную саркому, по-видимому, возможна; в редких случаях такого превращения могут развиваться метастазы в различные внутренние органы и лимфатических узлы.
Гистологический дифференциальный диагноз при Капоши саркома множественная геморрагическая следует проводить с капиллярной гемангиомой (смотри полный свод знаний), ангиокератомой Мибелли (смотри полный свод знаний Ангиокератома), ангиолейомиомой, фибросаркомой (смотри полный свод знаний), злокачественной лейомиомой (смотри полный свод знаний).
Излюбленной локализацией Капоши саркома множественная геморрагическая являются конечности, особенно передние поверхности голеней. Редкие первичные локализации Капоши саркома множественная геморрагическая — ушные раковины, область живота, половой член, веки и конъюнктива глаз. Характерны многоочаговость и симметричность поражения. По мере прогрессирования процесса у части больных происходит изъязвление опухолевидно-инфильтративных очагов с образованием глубоких язв неправильных очертаний; при локализации на конечностях развивается слоновость. Опухолевидные образования чаще безболезненны, изредка чувствительны или сопровождаются зудом, в отдельных случаях мучительно болезненны. Иногда наблюдается генерализация процесса с появлением кровоточащих опухолевых узлов во внутренних органах (в желудочно-кишечного тракте, печени, лёгких, лимфатических, узлах, костях). Вопрос о возможности самопроизвольной инволюции части высыпаний при Капоши саркома множественная геморрагическая, в частности узелковых и опухолевидных, остаётся спорным.
При ограниченных формах Капоши саркома множественная геморрагическая целесообразно лучевое лечение, реже оперативное удаление опухолевых узлов или криодеструкция. После удаления узлов, как правило, возникают рецидивы. При распространённых формах показана химиотерапия цитостатиками, иногда в сочетании с кортикостероидами. Заболевание в 75% случаев имеет хронический течение с медленным, в течение 6— 10, реже 15—20 лет, прогрессированием процесса. При подостром течении Капоши саркома множественная геморрагическая больные гибнут в течение двух-трёх лет после начала заболевания. Наконец, в редких случаях острого, преимущественно висцерального, варианта Капоши саркома множественная геморрагическая больные быстро погибают. Смерть наступает вследствие кровоизлияний во внутренние органы в случае генерализации процесса или прогрессирующего истощения.
|
Паршикова С.М.; Рабен А.С.
|
|
Все статьи в полном изложении, Вы можете найти в большой медицинской энциклопедии — Главный редактор: академик АН СССР (РАН) и АМН СССР (РАМН) Б.В. Петровский. — Москва издательство «Советская энциклопедия» 1989г.
|
|
Внимание! Вы находитесь в библиотеке «Ordo Deus». Все книги в электронном варианте, содержащиеся в библиотеке «Ordo Deus», принадлежат их законным владельцам (авторам, переводчикам, издательствам). Все книги и статьи взяты из открытых источников и размещаются здесь только для чтения.
|
|
Библиотека «Ordo Deus» не преследует никакой коммерческой выгоды.
|
|
Все авторские права сохраняются за правообладателями. Если Вы являетесь автором данного документа и хотите дополнить его или изменить, уточнить реквизиты автора, опубликовать другие документы или возможно вы не желаете, чтобы какой-то из ваших материалов находился в библиотеке, пожалуйста, свяжитесь с нами по e-mail: info @ ordodeus. ru Формы для прямой связи с нами находятся в нижней части страниц: контакты и устав «Ordo Deus», для перехода на эти страницы воспользуйтесь кнопкой контакты вверху страницы или ссылкой в оглавлении сайта.
|
Вас категорически не устраивает перспектива безвозвратно исчезнуть из этого мира? Вы не желаете закончить свой жизненный путь в виде омерзительной гниющей органической массы пожираемой копошащимися в ней могильными червями? Вы желаете вернувшись в молодость прожить ещё одну жизнь? Начать всё заново? Исправить совершённые ошибки? Осуществить несбывшиеся мечты? Перейдите по ссылке:
«главная страница».
|