Кардиосклероз

Оглавление

  1. Дорога к бессмертию
  2. Бессмертие и религия
  3. Философия бессмертия
  4. Бессмертие и наука
  5. История анабиоза
  6. Смерть
  7. Кора головного мозга
  8. Бессмертие и анабиоз
  9. Анабиоз, медицина и биология
  10. Анабиоз и экономика
  11. Анабиоз и закон
  12. Анабиоз в Антарктиде
  13. Техническое обеспечение анабиоза
  14. Бессмертие и вера
  15. Библиотека Ordo Deus
  16. Контактная страница Ordo Deus

Кардиосклероз

Кардиосклероз (греческий kardia сердце + sklerosis уплотнение; синонимы: миокардиосклероз, миофиброз, склероз сердца, фиброз сердца) — разрастание соединительной ткани в сердечной мышце, наступающее обычно вслед за гибелью мышечных волокон или параллельно ей.

Кардиосклероз, как правило, процесс вторичный, является исходом различных по своей этиологии и патогенезу процессов в миокарде. Кардиосклероз может быть проявлением ишемической болезни сердца (смотри полный свод знаний). Первичный Кардиосклероз встречается крайне редко. Морфологически различают постинфарктный Кардиосклероз, заместительный Кардиосклероз, миокардитический Кардиосклероз и Кардиосклероз вследствие кардиомиопатий (смотри полный свод знаний) различной этиологии; Кардиосклероз развивается также при базедовой болезни.

Постинфарктный кардиосклероз (крупноочаговый Кардиосклероз, мозоль миокарда, рассеянный очаговый Кардиосклероз, постинфарктный рубец) возникает вследствие нарушения коронарного кровообращения, приводящего к инфаркту миокарда (смотри полный свод знаний) как проявлению ишемической болезни сердца. Значительно реже постинфарктный Кардиосклероз является следствием некроза участка миокарда в результате эмболии венечных артерий тромботическими массами при эндокардите митрального клапана или пристеночных тромбах в левой половине сердца; поражения ветвей коронарных артерий при ревматизме или артериитах различной природы (например, при генерализованном неспецифическом артериите, или болезни Такаясу, нодозном панартериите), при сужении их устьев в результате сифилитического мезаортита, стенозе аортального отверстия при сифилитическом пороке сердца или при изолированном кальцинозе аортальных клапанов. По-видимому, следствием эмболии является также крупноочаговый Кардиосклероз, наблюдающийся избирательно в области верхушки сердца при кардиомегалиях, связанных с болезнью Шагаса, и при идиопатической гипертрофии сердца, сопровождающихся, как правило, образованием пристеночных тромбов в левом желудочке сердца.

Формирование Кардиосклероз при крупноочаговом инфаркте миокарда происходит путём замещения погибшего участка мышцы сердца молодой соединительной тканью. Погибшие мышечные волокна подвергаются коагуляции и последующему распаду сначала с участием лейкоцитов, а затем макрофагов, поглощающих продукты распада. Одновременно происходит размножение фибробластов, новообразование капилляров, тонкостенных синусоидальных сосудов из сохранившихся участков стромы, особенно вокруг сосудов, накопление гликозаминогликанов и формирование молодой соединительной ткани с образованием сети аргирофильных и коллагеновых волокон. Количество коллагеновых волокон по мере созревания соединительной ткани увеличивается, они приобретают упорядоченное расположение параллельно друг другу, количество гликозаминогликанов и клеточных элементов уменьшается, часть сосудов запустевает и образуется плотный соединительнотканный рубец (цветной таблица, ст. 144, рисунок 1) с небольшим количеством клеточных элементов и сосудов, иногда в дальнейшем с отложением солей извести. Эластические волокна в рубце представлены то очень скудно в виде отдельных беспорядочно расположенных волоконец, то в большом количестве в виде густых сетей, расположенных между пучками коллагеновых волокон. Иногда в рубец, особенно по периферии или вокруг сохранившихся интрамуральных артерий, могут быть включены небольшие группы сохранившихся миокардиальных клеток, часто с различными проявлениями дистрофических изменений. В полях постинфарктного Кардиосклероз после обширных инфарктов в центре иногда в течение длительного времени сохраняются участки некротизированного миокарда.

Заживление мелкоочаговых инфарктов миокарда протекает аналогичным образом, отличаясь лишь размерами образовавшегося рубца и скоростью его формирования.

Постинфарктный Кардиосклероз соответственно размерам перенесённого инфаркта может захватывать всю толщу миокарда или отдельные его слои; после повторных инфарктов могут наблюдаться обширные рубцы разной локализации, протяжённости, изолированные или смыкающиеся друг с другом. Наиболее частой локализацией Кардиосклероз являются верхушка сердца, передняя, несколько реже задняя стенка левого желудочка, межжелудочковая перегородка, папиллярные мышцы. Постинфарктный Кардиосклероз правого желудочка в ряде случаев наблюдается одновременно с постинфарктным Кардиосклероз левого желудочка, обычно являясь продолжением изменений в левом желудочке. Изолированное поражение правого желудочка наблюдается очень редко. Постинфарктный Кардиосклероз предсердий обнаруживается, как правило, одновременно с рубцовыми изменениями в левом желудочке, но обычно не является их продолжением; изолированный постинфарктный Кардиосклероз предсердий встречается редко.

Сердце при постинфарктном Кардиосклероз увеличено, полости его расширены; на разрезе в стенке видны белесоватые поля соединительной ткани различной протяжённости и формы. В зависимости от размеров инфаркта они могут иметь вид прослоек или распространяться на всю толщу миокарда — так называемый мозоль миокарда (цветной рисунок 4). В последнем случае стенка желудочка истончена, кожистого вида, иногда вследствие отложения солей извести хрустит при разрезе. В результате истончения стенки образуется так называемый внутренняя аневризма сердца, не изменяющая его наружных контуров. Рубцовые поля лишены сократительной способности и под влиянием систолического давления в дальнейшем могут подвергаться растяжению с образованием аневризм («наружная аневризма»), размеры которых могут варьировать в широких пределах. Полость аневризм часто выполнена тромботическими наложениями, могущими служить источником эмболий. После субэндокардиальных инфарктов миокарда развивается Кардиосклероз, локализующийся непосредственно под эндокардом. При обширных поражениях такого рода полость левого желудочка на большом протяжении оказывается как бы окружённой футляром из рубцовой ткани, со склерозом трабекулярных мышц, запустеванием межтрабекулярных пространств и облитерацией устьев наименьших вен сердца (тебезиевы вены). Мелкоочаговые инфаркты миокарда ведут к образованию рубцов, число, размеры и локализация которых могут варьировать в широких пределах — так называемый рассеянный очаговый Кардиосклероз (цветной рисунок 5). Он может образовываться также в исходе повреждений миокарда, обычно сопровождающихся лизисом мышечных клеток и коллапсом стромы с последующим гиалинозом при минимальном размножении стромальных клеточных элементов.



Информация об Ordo Deus Перейти в оглавление сайта

Рис. 1.
Диффузное огрубение аргирофильных волокон миокарда (чёрного цвета) при гипертонической болезни (серебрение по Тибор—Паппу).





Информация об Ordo Deus Перейти в оглавление сайта

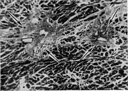
Рис. 2.
Характерные околососудистые рубчики в миокарде (указаны стрелками) после перенесённого ревматизма (окраска по Массону).



При стенозирующем атеросклерозе венечных артерий сердца может также наблюдаться заместительный кардиосклероз (миофиброз), возникающий без очаговых некротических изменений в миокарде в силу постепенной, медленно развивающейся дистрофии, атрофии и гибели отдельных мышечных волокон в связи с гипоксией и нарушением метаболизма миокарда, сопровождаемых диффузным огрубением стромы. Большое значение при этом придаётся явлению лимфостаза.

При гипертонической болезни исходным моментом развития Кардиосклероз является гиперплазия, содружественная с гипертрофией миокарда, и огрубение аргирофильного каркаса стромы (рисунок 1); в дальнейшем происходит формирование коллагеновых волокон и развитие диффузного миофиброза. Характерным для этого вида Кардиосклероз является также наличие в миокарде микроскопических рубчиков (цветной рисунок 2) вследствие гибели отдельных миоцитов или небольших групп их.



Информация об Ordo Deus Перейти в оглавление сайта

Рис
Грубый соединительнотканный рубец (1) после перенесённого инфаркта миокарда, бедный клеточными элементами и сосудами, на границе с ним — сохранившийся миокард (2). Окраска гематоксилин-эозином. Рис. 2. Мелкоочаговый кардиосклероз (мелкие рубчики в миокарде указаны стрелками) при гипертонической болезни. Окраска по Ван-Гизону. Рис. 3. Диффузный интерстициальный ревматический миофиброз (очаги фиброза указаны стрелками). Рис. 4. Обширный старый рубец стенки левого желудочка сердца и межжелудочковой перегородки (так называемая мозоль миокарда — указана стрелкой). Рис. 5. Множественные мелкие рубцы в стенке левого желудочка сердца (рассеянный очаговый кардиосклероз).



Миокардитический кардиосклероз — исход миокардитов (смотри полный свод знаний) инфекционно-аллергической, бактериальной или вирусной этиологии, сопровождающихся экссудативными и пролиферативными процессами в строме миокарда и деструктивными изменениями миоцитов. К этим процессам относится Кардиосклероз после перенесённого ревматизма, дифтерии, скарлатины, заражения Коксаки-вирусом или энцефаломиокардитическим вирусом, изредка вирусом полиомиелита или оспенной вакцинации; чрезвычайной редкостью является Кардиосклероз после туберкулёзного или сифилитического интерстициального миокардита. Миокардитический Кардиосклероз может носить характер диффузного миофиброза, локализующегося преимущественно в левом желудочке, и выражается в распространённом огрубении аргирофильной стромы миокарда и образовании коллагеновых волокон, что придаёт строме вид грубой решётки, в ячейках которой заключены отдельные мышечные волокна или группы их. Такой Кардиосклероз называют стромогенным. В случае же гибели небольших групп миоцитов возникают небольшие рубчики, или очажки Кардиосклероз. При диффузном ревматическом интерстициальном миокардите с мукоидной дезорганизацией стромы наблюдается диффузный интерстициальный миофиброз (цветной таблица, ст. 144, рисунок 3) и одновременно как исход ревматических гранулем около сосудов возникают овальные или звездчатые рубчики, являющиеся важным диагностическим признаком ревматизма (рисунок 2). Кардиосклероз (диффузный миофиброз) наблюдается также после аллергических миокардитов неясной этиологии (миокардита Фидлера, аллергического миокардита, описанного Я. Л. Рапопортом).



Информация об Ordo Deus Перейти в оглавление сайта

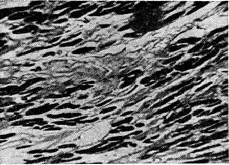
Рис. 3.
Заместительный миофиброз (светлые участки) при идиопатической гипертрофии миокарда (окраска по Массону).



Кардиосклероз как следствие кардиомиопатий в большинстве своём неясной этиологии, развивается при болезни Фредерика, группе мышечных дистрофий, болезни накопления гликогена, гаргоилизме, семейной идиопатической болезни сердца, кардиомиопатии неясной этиологии ненаследственного характера (несемейная идиопатическая гипертрофия миокарда, застойная и гипертрофическая обструктивная кардиомиопатия, идиопатический эндомиофиброз и кардиомегалия жителей. Южной Африки), а также при кардиомиопатиях, связанных с недостатком тиамина и хронический отравлением кобальтом. В этих случаях Кардиосклероз носит характер диффузного миофиброза, иногда называемого заместительным миофиброзом: фиброзной тканью замещаются дистрофически изменённые, атрофирующиеся и гибнущие мышечные волокна (рисунок 3).

По данным Кардиосклероз М. Даниловой, близкие коронарогенные и нейрогуморальные механизмы лежат в основе заместительного Кардиосклероз при возрастной инволюции.

Довольно редко Кардиосклероз наблюдается при базедовой болезни вследствие тиреотоксического поражения миокарда и при микседеме как исход метахроматического отёка стромы миокарда.

Первичный кардиосклероз как проявление основного заболевания наблюдается крайне редко. К этому виду относят Кардиосклероз при некоторых коллагеновых болезнях, при врождённом фиброэластозе вследствие порока развития неясной этиологии или перенесённого внутриутробного эндокардита. Однако в случаях так называемый первичного Кардиосклероз трудно исключить влияние на строму каких-либо патогенных факторов.

В условиях эксперимента Кардиосклероз можно получить в исходе метаболических некрозов миокарда, в частности при электролитно-стероидной кардиопатии, у животных при содержании их на диете, бедной калием, и так далее

Клиническая характеристика кардиосклероза. В клинический, практике различают атеросклеротический (диффузный или крупноочаговый постинфарктный) и миокардитический кардиосклероз. A. Л. Мясников (1965) различал три варианта атеросклеротического Кардиосклероз: ишемический, развивающийся медленно с диффузным поражением сердечной мышцы; постнекротический (постинфарктный) на месте бывшего некроза; переходный, или смешанный, при котором на фоне медленного диффузного развития соединительной ткани периодически образуются крупные фиброзные очаги после повторных инфарктов миокарда.

Клин, симптоматика атеросклеротического Кардиосклероз длительное время может оставаться скудной. Жалоб на ранних этапах его развития нет, а исследование сердечно-сосудистой системы физикальными методами обычно выявляет незначительное количество патологический симптомов. При появлении признаков сердечной недостаточности и аритмии регистрируется изменение анатомической структуры сердца, сократительной функций миокарда, ритма и проводимости.



Информация об Ordo Deus Перейти в оглавление сайта

Рис. 4.
Эхокардиограмма больного с постинфарктным кардиосклерозом (инфаркт задней стенки левого желудочка): выражен гиперкинез межжелудочковой перегородки (J) и почти полное отсутствие амплитуды сокращений задней стенки левого желудочка (2).



В результате развития соединительной ткани функциональный требования к оставшимся интактным волокнам миокарда значительно возрастают, происходит компенсаторная гипертрофия, а затем и дилатация сердца. Чаще увеличивается левый желудочек сердца. При гипертрофии сердца отмечается разлитой верхушечный толчок. Рубцовые процессы у основания клапанов могут вызвать в отдельных случаях развитие аортального или митрального стеноза или недостаточность клапанов различной степени. Нарушение движения створок митрального клапана может наступить вследствие рубцовых процессов в папиллярных мышцах и сухожильных нитях.

Аускультативная картина при атеросклеротическом Кардиосклероз характеризуется ослаблением сердечных тонов, особенно I тона на верхушке сердца;

систолический шум (смотри полный свод знаний Сердечные шумы) прослушивается на аорте и может иметь различный тембр, вплоть до очень грубого при склерозе аортального клапана. Систолический шум на верхушке сердца вследствие относительной недостаточности митрального клапана прослушивается довольно часто. При развитии аневризмы в области сердца выявляется парадоксальная пульсация и выслушивается резкий систолический шум. артериальное давление может быть повышено. На рентгенограмме в переднезаднем положении ясно выступает увеличение левого желудочка, верхушка которого закруглена. При рентгенокимографии могут выявляться участки со сниженной амплитудой зубцов — постинфарктные рубцы или аневризма желудочков. Эхокардиография выявляет парадоксальное движение межжелудочковой перегородки в систолу при локализации аневризмы в перегородке в направлении от задней стенки, а не к ней, как в норме. Во время диастолы перегородка остаётся неподвижной. В случаях аневризмы или рубцовых изменений задней стенки левого желудочка иногда удаётся записать парадоксальное движение в систолу или асистолические сегменты, а также гиперкинез перегородки (рисунок 4). Для выявления локализации и объёма поражённых участков миокарда применяют ультразвуковое сканирование. Объем информации значительно возрастает при применении секторального сканирования. Регистрация в режиме реального масштаба времени, двухмерное изображение структур сердца облегчают выявление рубцовых изменений в области верхушки (рисунок 5) и передней стенки, обычно распознаваемых с трудом.



Информация об Ordo Deus Перейти в оглавление сайта

Рис. 5.
Ультразвуковые сканограммы сердца в фазах систолы (слева) и диастолы (справа): при наложении их контуров видна зона акинезии верхушки (указана стрелкой); пунктирной линией обозначена систола, сплошной — диастола.



Недостаточность кровообращения развивается в результате снижения сократительной функции сердца. Важным и ранним проявлением её является одышка (смотри полный свод знаний), тахикардия (смотри полный свод знаний), вначале появляющиеся при или после нагрузки, а затем и в покое. Увеличивается печень, позднее выявляются отеки ног, водянка полостей (смотри полный свод знаний Отёк). На фоне хронический недостаточности кровообращения при атеросклеротическом Кардиосклероз может развиться острая сердечная недостаточность.

Нарушения ритма и проводимости — мерцательная аритмия, экстрасистолия, блокады разной степени и различных участков проводящей системы — частые и существенные симптомы атеросклеротического Кардиосклероз



Информация об Ordo Deus Перейти в оглавление сайта



Клинической, проявления миокардитического Кардиосклероз варьируют в зависимости от этиологического форм миокардита, его морфологический особенностей и с известной трудностью дифференцируются с хронический и затяжными миокардитами (смотри полный свод знаний). Для миокардитического Кардиосклероз характерны инфекционные заболевания в анамнезе, наличие хронический очагов инфекции, чаще молодой возраст больных, на ЭКГ изменения диффузного характера или преимущественно правого желудочка; Нарушения ритма и проводимости встречаются чаще, чем симптомы сердечной недостаточности. Дифференциально-диагностические признаки атеросклеротического и миокардитического Кардиосклероз представлены в таблице.

Лечение больных атеросклеротическим Кардиосклероз включает мероприятия, нормализующие липидный обмен, свёртывающую систему крови, ликвидацию недостаточности кровообращения, нарушений ритма и проводимости. Лечение миокардитического Кардиосклероз заключается в ликвидации инфекционного процесса в миокарде, если он не завершён; производится тщательная санация хронический очагов воспаления. При отсутствии воспалительного процесса лечение миокардитического Кардиосклероз не отличается от лечения при атеросклеротическом Кардиосклероз

Прогноз определяется обширностью поражений миокарда, а также наличием и видом нарушений ритма сокращения сердца и проводимости. При мелкоочаговом Кардиосклероз и отсутствии аритмий прогноз вполне благоприятен: при обширных рубцовых полях и диффузном Кардиосклероз с развитием сердечной недостаточности, толерантной к лечению,— прогноз плохой. Наличие желудочковой экстрасистолии, желудочковой тахикардии и нарушений предсердно-желудочковой проводимости чревато опасностью внезапной смерти.

Профилактика — смотри полный свод знаний Атеросклероз, Миокардит.

Вихерт А.М.; Мухарлямов H.М.; Чарчоглян P.А.

⇐ Перейти на главную страницу сайта

⇑ Вернуться в начало страницы ⇑

Библиотека Ordo Deus ⇒

⇐ Ordo_Deus12_Kardiomiopatii.html

⇓ Полный свод знаний. Том первый А. ⇓

Кардиоспазм ⇒

Все статьи в полном изложении, Вы можете найти в большой медицинской энциклопедии — Главный редактор: академик АН СССР (РАН) и АМН СССР (РАМН) Б.В. Петровский. — Москва издательство «Советская энциклопедия» 1989г.

Внимание! Вы находитесь в библиотеке «Ordo Deus». Все книги в электронном варианте, содержащиеся в библиотеке «Ordo Deus», принадлежат их законным владельцам (авторам, переводчикам, издательствам). Все книги и статьи взяты из открытых источников и размещаются здесь только для чтения.

Библиотека «Ordo Deus» не преследует никакой коммерческой выгоды.

Все авторские права сохраняются за правообладателями. Если Вы являетесь автором данного документа и хотите дополнить его или изменить, уточнить реквизиты автора, опубликовать другие документы или возможно вы не желаете, чтобы какой-то из ваших материалов находился в библиотеке, пожалуйста, свяжитесь с нами по e-mail:
info @ ordodeus. ru
Формы для прямой связи с нами находятся в нижней части страниц: контакты и устав «Ordo Deus», для перехода на эти страницы воспользуйтесь кнопкой контакты вверху страницы или ссылкой в оглавлении сайта.

Вас категорически не устраивает перспектива безвозвратно исчезнуть из этого мира? Вы не желаете закончить свой жизненный путь в виде омерзительной гниющей органической массы пожираемой копошащимися в ней могильными червями? Вы желаете вернувшись в молодость прожить ещё одну жизнь? Начать всё заново? Исправить совершённые ошибки? Осуществить несбывшиеся мечты? Перейдите по ссылке: «главная страница».

© Ordo Deus, 2010. При копировании ссылка на сайт http://www.ordo-deus.ru обязательна.