Карциноид

Оглавление

  1. Дорога к бессмертию
  2. Бессмертие и религия
  3. Философия бессмертия
  4. Бессмертие и наука
  5. История анабиоза
  6. Смерть
  7. Кора головного мозга
  8. Бессмертие и анабиоз
  9. Анабиоз, медицина и биология
  10. Анабиоз и экономика
  11. Анабиоз и закон
  12. Анабиоз в Антарктиде
  13. Техническое обеспечение анабиоза
  14. Бессмертие и вера
  15. Библиотека Ordo Deus
  16. Контактная страница Ordo Deus

Карциноид

Карциноид (греческий karkinos краб, рак + eidos вид; синонимы: аргентаффинома, карциноидная опухоль) — нейроэпителиальная, в большинстве своём доброкачественная опухоль различной локализации.

Карциноид локализуются преимущественно в желудочно-кишечного тракте: до 90% их обнаруживают в червеобразном отростке (рисунок 1), реже в желудке, тонкой (рисунок 2), толстой и прямой кишках. Кроме того, Карциноид может локализоваться в бронхах (рисунок 3), поджелудочной желёз е, печени, желчном пузыре, предстательной железе, яичках и яичниках, мочеточниках, брыжейке и других органах. Карциноид — относительно редкие, медленно растущие опухоли.

Информация об Ordo Deus Перейти в оглавление сайта

Рис. 1.
Микропрепарат стенки червеобразного отростка: гиперплазия энтерохромаффиноцитов (указано стрелками) на фоне хронического аппендицита; окраска гематоксилин-эозином; × 600.

Информация об Ordo Deus Перейти в оглавление сайта

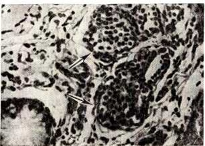
Рис. 2.
Микропрепарат слизистой оболочки тонкой кишки: стрелками указаны островки опухоли, состоящей из однородных округлых клеток.

Термин «карциноид» предложен Оберндорфером (S. Oberndorfer) в 1907 год для обозначения опухоли кишечника, имеющей сходство с карциномой, но обладающей меньшей злокачественностью, чем рак этой же локализации. Первоначальное значение термина, характеризующее промежуточное положение этой группы опухолей, не утрачено. Имеющиеся в литературе факты не противоречат представлению о Карциноид как об опухоли с многолетним и относительно доброкачественным течением (особенно для некоторых локализаций), но потенциально злокачественной и в том или ином проценте случаев постоянно обнаруживающей это качество. Поэтому нельзя принять изредка употребляемый термин «малигнизированный карциноид», а также безоговорочное включение Карциноид в группу доброкачественных опухолей.



Информация об Ordo Deus Перейти в оглавление сайта

Рис. 3.
Микропрепарат стенок бронха: островки опухоли, развивающейся из светлых клеток бронхиальных желёз (указаны стрелками); × 600.



В 1924 год Карциноид Л. П. Массон установил способность энтерохромаффиноцитов (клеток Кульчицкого) отъединяться от эпителия кишечных крипт (либеркюновых желёз) и погружаться в ткань кишечной стенки, оказываясь в тесной связи с элементами нервного сплетения слизистой оболочки. Основу возникшего таким образом Карциноид составляют энтерохромаффиноциты (смотри полный свод знаний Аргентаффинные клетки), способные продуцировать серотонин. В дальнейшем подобные клетки были обнаружены не только во всех отделах пищеварительного тракта, но и в других органах (лёгкие, щитовидная желёз а и другие) Сам термин «карциноид», по мнению Карциноид Л.П. Массона, должен напоминать о той двусмысленности, которую вложили в представление об этой опухоли описавшие её авторы, имея в виду, что эта опухоль обладает лишь некоторыми, но не всеми признаками рака. Исследование Карциноид Л. П. Массона было подтверждено сравнительным изучением нормальных энтерохромаффинных клеток Карциноид с использованием гистохимические реакций и флюоресцентной микроскопии. Другая точка зрения на эмбриогенез элементов, из которых впоследствии развиваются Карциноид, отражает нейроэндокринный характер этих опухолей. Её последователи относят Карциноид вместе с некоторыми другими опухолями к апудомам, образующимся из производных нейрального гребня.

Морфология. Макроскопически Карциноид представляет собой плотное округлое опухолевое образование, редко превышающее 2 сантиметров в диаметре, на разрезе желтоватого цвета. Опухоль бывает одиночной или множественной.

Микроскопически Карциноид имеет сходство с альвеолярным раком. Опухоль состоит из мелких однородных клеток округлой или полигональной формы с круглым центрально расположенным ядром и обильной цитоплазмой; фигуры митоза крайне редки, иногда встречаются фигуры амитотического деления. Клетки могут образовывать розетки или тяжи, которые иногда чередуются с островками солидного вида. Иногда клетки Карциноид, принимая призматическую форму, формируют по периферии таких островков розетки с круглой полостью, имеющей на внутренней поверхности кутикулярную каёмку. Строма опухоли выражена слабо, обильно снабжена кровеносными сосудами и аргирофильными волокнами; иногда в ней обнаруживаются гладкомышечные пучки и участки гиалиноза. Гормонально-активный Карциноид выделяет в кровь вещества, вызывающие значительный фиброз соединительной ткани в непосредственной близости от места локализации опухоли. Основным признаком Карциноид может служить наличие в протоплазме его клеток двоякопреломляющих липидов, которые при фиксации в жидкостях с хромовыми солями выявляются в виде жёлтой зернистости, а при импрегнации серебром по методу Массона — Фонтаны — в виде мелких аргирофильных зёрен. Для подтверждения диагноза Карциноид используют флюоресцентную микроскопию. Поскольку серотонин цельной крови содержится в основном в тромбоцитах, где он защищён от действия ферментов, некоторые авторы предложили определять флюоресцентным методом с диагностической целью содержание серотонина в изолированных тромбоцитах у больных с подозрением на Карциноид При этом сравнивают содержание серотонина в тромбоцитах больных с его содержанием в тромбоцитах здорового кролика (наиболее высокое содержание): при параллельном флюоресцентном и ультрамикроскопическом исследовании количество гранул серотонина при наличии Карциноид равно или выше, чем у кролика.

В случаях распространения опухоли оно происходит по кровеносным и лимфатических, путям: чаще всего Карциноид метастазируют в регионарные лимфатических, узлы и печень, однако описаны метастазы в кости, головной мозг, плевру и лёгкие, селезёнку и другие

Клиническая картина. Клинически Карциноид разделяют на спокойно текущие (немые) и Карциноид с эндокринными проявлениями; биологический активностью обладают и клетки метастатических узлов. В этом случае имеет место так называемый карциноидный синдром — комплекс клинический, проявлений, связанных с выделением клетками опухоли прежде всего серотонина (смотри полный свод знаний), а также гистамина (смотри полный свод знаний) и кининов (смотри полный свод знаний). Активность Карциноид и его метастазов оценивается по содержанию серотонина в крови и его метаболита — 5-оксииндолилуксусной кислоты в моче. Содержание гистамина в крови и моче больных, в особенности при Карциноид желудка, бывает значительно повышенным.

Карциноидный синдром развивается медленно; при наличии значительной массы опухоли наблюдается чаще всего при локализации Карциноид в бронхах, желудке, тонкой кишке, особенно с метастазами в печень. Жеффруа (Y. Geffroy) в 1964 год систематизировал проявления этого синдрома, разделив их на пароксизмальные и постоянные. Симптомы, связанные с вазомоторными эффектами выделяемых опухолью гуморальных веществ, обычно имеют пароксизмальный характер. Наиболее частым из них является внезапное диффузное или пятнистое покраснение кожи лица, груди и плеч. Часто при этом больные жалуются на ощущение жара в коже верхней половины тела; обычно к этому присоединяется гиперемия глотки и конъюнктивит. Краснота у некоторых больных сменяется цианозом, а затем резкой бледностью. Вазомоторные приступы могут появляться спонтанно, но чаще связаны с эмоциональными факторами, приёмом пищи или алкогольных напитков, пальпацией опухоли и т. Иногда при этом наблюдаются учащение пульса, падение артериальное давление вплоть до коллапса; в некоторых случаях артериальное давление повышается. Во многих случаях приступы сопровождаются спастическими болями в подложечной области или в животе, поносом. У некоторых больных во время приступа возникает стеснение в груди и горле, астматоидный кашель. Продолжительность приступа от нескольких секунд до нескольких часов.

Постоянные или длительно наблюдаемые симптомы также имеют в основном характер кожных, сердечнососудистых проявлений и энтеропатий. Расширение поверхностных сосудов кожи, сопровождаемое отёчной инфильтрацией, может привести к образованию телеангиэктазий на лице и других частях тела. На поздних стадиях заболевания, сопровождаемого карциноидным синдромом, наблюдается пигментация кожи, свойственная больным пеллагрой. Весьма характерная особенность карциноидного синдрома — повреждение эндокарда трёхстворчатого и лёгочного клапанов сердца, приводящее к стенозу лёгочной артерии и недостаточности трёхстворчатого клапана. Это поражение развивается только при длительном течении заболевания как результат эндокринно-метаболической активности Карциноид Нередко у больных возникают явления психического возбуждения.

Карциноид желудочно-кишечные тракта также могут проявляться симптомами, свойственными карциноидному синдрому, но выраженными несравненно слабее и протекающими в виде отдельных приступов. Эти Карциноид часто являются находкой на секции, при аппендэктомии.

При локализации в червеобразном отростке Карциноид сопровождается симптомами хронический или острого аппендицита (смотри полный свод знаний), а в случаях крупного Карциноид тонкой кишки могут развиться явления кишечной непроходимости (смотри полный свод знаний Непроходимость кишечника). При локализации Карциноид в бронхе может развиться ателектаз лёгкого, наблюдаются кровотечения.

Лечение оперативное. Удаление первичной опухоли показано даже при наличии метастазов. В этом случае применяется послеоперационная химиотерапия в сочетании с симптоматическим лечением.

Прогноз относительно благоприятный в связи с медленным опухолевым ростом и радикальностью оперативного лечения.

Пухальская E.Ч.

⇐ Перейти на главную страницу сайта

⇑ Вернуться в начало страницы ⇑

Библиотека Ordo Deus ⇒

⇐ Картагенера триада

⇓ Полный свод знаний. Том первый А. ⇓

Карцинома ин ситу ⇒

Все статьи в полном изложении, Вы можете найти в большой медицинской энциклопедии — Главный редактор: академик АН СССР (РАН) и АМН СССР (РАМН) Б.В. Петровский. — Москва издательство «Советская энциклопедия» 1989г.

Внимание! Вы находитесь в библиотеке «Ordo Deus». Все книги в электронном варианте, содержащиеся в библиотеке «Ordo Deus», принадлежат их законным владельцам (авторам, переводчикам, издательствам). Все книги и статьи взяты из открытых источников и размещаются здесь только для чтения.

Библиотека «Ordo Deus» не преследует никакой коммерческой выгоды.

Все авторские права сохраняются за правообладателями. Если Вы являетесь автором данного документа и хотите дополнить его или изменить, уточнить реквизиты автора, опубликовать другие документы или возможно вы не желаете, чтобы какой-то из ваших материалов находился в библиотеке, пожалуйста, свяжитесь с нами по e-mail:
info @ ordodeus. ru
Формы для прямой связи с нами находятся в нижней части страниц: контакты и устав «Ordo Deus», для перехода на эти страницы воспользуйтесь кнопкой контакты вверху страницы или ссылкой в оглавлении сайта.

Вас категорически не устраивает перспектива безвозвратно исчезнуть из этого мира? Вы не желаете закончить свой жизненный путь в виде омерзительной гниющей органической массы пожираемой копошащимися в ней могильными червями? Вы желаете вернувшись в молодость прожить ещё одну жизнь? Начать всё заново? Исправить совершённые ошибки? Осуществить несбывшиеся мечты? Перейдите по ссылке: «главная страница».

© Ordo Deus, 2010. При копировании ссылка на сайт http://www.ordo-deus.ru обязательна.