Кератома старческая

Оглавление

  1. Дорога к бессмертию
  2. Бессмертие и религия
  3. Философия бессмертия
  4. Бессмертие и наука
  5. История анабиоза
  6. Смерть
  7. Кора головного мозга
  8. Бессмертие и анабиоз
  9. Анабиоз, медицина и биология
  10. Анабиоз и экономика
  11. Анабиоз и закон
  12. Анабиоз в Антарктиде
  13. Техническое обеспечение анабиоза
  14. Бессмертие и вера
  15. Библиотека Ordo Deus
  16. Контактная страница Ordo Deus

Кератома старческая

Кератома старческая (keratoma; греческий keras, keratos рог, роговое вещество + -oma; синонимы: кератома себорейная, кератопапиллома, старческая бородавка и другие) — разрастания эпидермиса, наблюдающиеся преимущественно у пожилых и старых людей и являющиеся результатом нарушения процессов нормального рогообразования в коже. Впервые описана И. Нейманном в 1869 год.

Кератома старческая представляет собой резко отграниченную от окружающей кожи бляшку неправильной овальной формы, мягкой консистенции, 1—2 сантиметров в диаметре; в некоторых случаях Кератома старческая имеет ножку или тонкое основание. Поверхность бляшки чаще неровная, сального вида, цвет бляшки от желтоватого до темно-коричневого. Иногда на поверхности Кератома старческая видна легко снимающаяся корочка, представляющая собой грубые кератические массы; реже поверхность бородавчата.

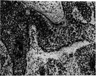
Микроскопически обнаруживают разрастания многослойного плоского эпителия с выраженными явлениями акантоза (смотри полный свод знаний), гипер и паракератоза (смотри полный свод знаний Гиперкератоз, Порокератоз). Гиперкератоз часто сопровождается папилломатозом различной степени выраженности. Эти морфологический проявления встречаются в различных сочетаниях, что обусловливает многообразие строения отдельных Кератома старческая и различных участков одного и того же образования. В отдельных Кератома старческая наиболее выражены явления гиперкератоза с неравномерным утолщением рогового слоя Гиперкератоз особенно бывает выражен в области устьев волосяных фолликулов и протоков потовых желёз, где возникают роговые пробки. Кератома старческая подобного типа гистологически напоминает кожный рог (смотри полный свод знаний). Клетки шиповидного слоя могут быть атипичными, с гиперхромными полиморфными ядрами, иногда встречаются многоядерные крупные клетки (рис.), в ряде случаев со светлой вакуолизированной цитоплазмой; встречаются митозы. Иногда картина напоминает таковую при болезни Боуэна (смотри полный свод знаний Боуэна болезнь). В дерме вокруг опухоли обнаруживают массивную лимфоидно-плазмоцитарную инфильтрацию.



Информация об Ordo Deus Перейти в оглавление сайта

Рис
Микропрепарат старческой кератомы: 1— разрастания многослойного плоского эпителия с явлениями акантоза, 2— гиперкератоз, 3— полиморфизм клеток акантотических тяжей в зоне волосяного фолликула; окраска гематоксилин-эозином; × 135.





В подавляющем большинстве случаев Кератома старческая бывает одиночная, локализуется на открытых поверхностях тела, встречается несколько чаще у женщин, иногда наблюдается у людей моложе 40 лет. Кератома старческая у престарелых часто сочетаются с множественными себорейными папилломами. Субъективных расстройств Кератома старческая обычно не вызывает, жалобы большинства больных вызваны косметическим дефектом. Рост медленный, иногда продолжается годами, реже месяцами.

Редкая разновидность Кератома старческая — актиническая кератома, локализуется преимущественно на открытых участках дистрофически изменённой кожи у моряков, работников сельского хозяйства и другие. Относится к предраку кожи.

Лечение — криотерапия жидким азотом; при выраженной бородавчатости поверхности может оказаться целесообразной электрокоагуляция. Возможно также применение мазей с цитотоксическими агентами (омаин и 5-фторурацил и другие) В случаях изъязвления поверхности, кровоточивости и другие показано иссечение в пределах здоровых тканей.

Прогноз благоприятный.

Смотри полный свод знаний также Кератозы.

⇐ Перейти на главную страницу сайта

⇑ Вернуться в начало страницы ⇑

Библиотека Ordo Deus ⇒

⇐ Кератозы

⇓ Полный свод знаний. Том первый А. ⇓

Кефалгеметома ⇒

Все статьи в полном изложении, Вы можете найти в большой медицинской энциклопедии — Главный редактор: академик АН СССР (РАН) и АМН СССР (РАМН) Б.В. Петровский. — Москва издательство «Советская энциклопедия» 1989г.

Внимание! Вы находитесь в библиотеке «Ordo Deus». Все книги в электронном варианте, содержащиеся в библиотеке «Ordo Deus», принадлежат их законным владельцам (авторам, переводчикам, издательствам). Все книги и статьи взяты из открытых источников и размещаются здесь только для чтения.

Библиотека «Ordo Deus» не преследует никакой коммерческой выгоды.

Все авторские права сохраняются за правообладателями. Если Вы являетесь автором данного документа и хотите дополнить его или изменить, уточнить реквизиты автора, опубликовать другие документы или возможно вы не желаете, чтобы какой-то из ваших материалов находился в библиотеке, пожалуйста, свяжитесь с нами по e-mail:
info @ ordodeus. ru
Формы для прямой связи с нами находятся в нижней части страниц: контакты и устав «Ordo Deus», для перехода на эти страницы воспользуйтесь кнопкой контакты вверху страницы или ссылкой в оглавлении сайта.

Вас категорически не устраивает перспектива безвозвратно исчезнуть из этого мира? Вы не желаете закончить свой жизненный путь в виде омерзительной гниющей органической массы пожираемой копошащимися в ней могильными червями? Вы желаете вернувшись в молодость прожить ещё одну жизнь? Начать всё заново? Исправить совершённые ошибки? Осуществить несбывшиеся мечты? Перейдите по ссылке: «главная страница».

© Ordo Deus, 2010. При копировании ссылка на сайт http://www.ordo-deus.ru обязательна.