Оглавление
-
Дорога к бессмертию
-
Бессмертие и религия
-
Философия бессмертия
-
Бессмертие и наука
-
История анабиоза
-
Смерть
-
Кора головного мозга
-
Бессмертие и анабиоз
-
Анабиоз, медицина и биология
-
Анабиоз и экономика
-
Анабиоз и закон
-
Анабиоз в Антарктиде
-
Техническое обеспечение анабиоза
-
Бессмертие и вера
-
Библиотека Ordo Deus
-
Контактная страница Ordo Deus
|
Кортикостерома
Кортикостерома (латынь cortex, cortic[is] кора + греческий stereos твёрдый + -oma; синонимы: глюкостерома, адренокортикальная аденома)— гормонально-активная опухоль коры надпочечника, продуцирующая избыточное количество глюкокортикоидных гормонов, главным образом кортизола.
Впервые Кортикостерома была описана в середине 18 в., первые операции удаления таких опухолей начали проводить спустя 150 лет. Из гормонально-активных опухолей надпочечника Кортикостерома встречается наиболее часто.
По статистике доброкачественные Кортикостерома встречаются в 43% случаев, а злокачественные — в 57%.
Патологическая анатомия. Кортикостерома чаще обнаруживается в пучковой зоне коркового вещества одного из надпочечников (смотри полный свод знаний). Возможно возникновение Кортикостерома из эктопированной ткани надпочечников в яичниках и почках. Доброкачественные Кортикостерома имеют размеры от 1 до 15 сантиметров и весят от 2 до 200 грамм; злокачественные Кортикостерома обычно бывают больших размеров, вес их может достигать 3 килограмм; гормональная активность не зависит от размера.
Большинство доброкачественных Кортикостерома покрыто плотной соединительнотканной капсулой, пронизанной сетью кровеносных сосудов. По микроскопическому строению они подразделяются на три типа. Первый тип — опухоль построена из светлых полигональных клеток различного размера, в цитоплазме которых содержатся капли нейтральных липидов и включения холестерина, в строме опухоли обнаруживается много кровеносных капилляров. Второй тип — опухоль состоит из светлых и темных ацидофильных клеток, в цитоплазме которых выявляется много липофусцина и небольшое количество мелких липидных капель; этот тин опухоли встречается наиболее часто. Третий тип — опухоль образована преимущественно темными клетками с эксцентрично расположенными ядрами, клетки образуют трабекулы и находятся в контакте с крупными синусоидными капиллярами. Деление клеток опухоли осуществляется преимущественно амитотическим путём. Ультраструктурные исследования показали, что в клетках опухоли хорошо развита агранулярная эндоплазматическая сеть и имеется значительное количество митохондрий, в которых нарушено трубчатое строение, а наружная мембрана образует пальцеобразные выросты.
У злокачественных Кортикостерома не всегда удаётся обнаружить чёткие границы; они чаще имеют плотную, бугристую поверхность с обилием сосудов; на разрезе выявляются очаги кровоизлияний и некрозов, опухоль пёстрая — от жёлтого до темно-вишнёвого цвета. При выраженном инфильтрирующем росте злокачественные Кортикостерома могут прорастать околопочечную клетчатку, поражая соседние органы. В половине случаев злокачественные Кортикостерома метастазируют лимфогенным и гематогенным путём с поражением забрюшинных и околоаортальных лимфатических, узлов и прорастанием стенок магистральных сосудов; часто метастазы обнаруживаются в лёгких и в печени. Особенностью метастазов Кортикостерома является их способность проявлять гормональную активность даже после удаления опухоли.
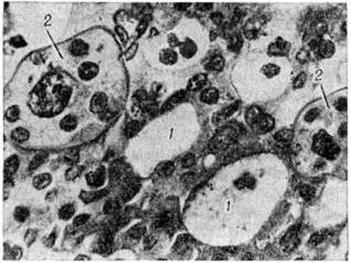
Микроскопическая картина злокачественной Кортикостерома характеризуется резко выраженным атипизмом клеток с гиперхромными ядрами и большим числом митозов. На периферии опухоли преобладают светлые клетки с пенистой вакуолизированной цитоплазмой (рисунок), а в центре чаще выявляются тёмные клетки и микроскопические очаги некрозов, иногда встречаются полиморфные двухъядерные и многоядерные гигантские клетки с крупными ядрышками и липидными включениями; опухолевые клетки ориентированы по направлению капилляров в виде тяжей. Клетки, находящиеся вблизи сосудов, не содержат липидов, а по мере удаления от сосудов в них происходит накопление липидных включений.
Клиническая картина при Кортикостерома проявляется синдромом Кушинга; заболевание начинается с округления лица, артериальной гипертензии, в дальнейшем развивается неравномерное ожирение, нарушение углеводного обмена, остеопороз (смотри полный свод знаний Кушинга синдром). Кортикостерома встречается в большинстве случаев в молодом возрасте, в основном у женщин; у детей чаще наблюдается злокачественный вариант опухоли. При злокачественной Кортикостерома, помимо синдрома Кушинга, развивается интоксикация, характерная для злокачественной опухоли.
|
Диагноз основывается на клинические, симптоматике, результатах рентгенологическое исследования надпочечников с использованием томографии (смотри полный свод знаний) в условиях пневморетроперитонеума (смотри полный свод знаний), а также на основе повышенного выделения с мочой 17-кетостероидов (смотри полный свод знаний), дегидроэпиандростерона и эстрогенов (смотри полный свод знаний). Дифференциальную диагностику Кортикостерома проводят с другими гормональноактивными опухолями коры надпочечника, а также с болезнью Иценко — Кушинга, при которой нарушение функции коркового вещества надпочечников является вторичным (смотри полный свод знаний Иценко — Кушинга болезнь).
Лечение в основном оперативное. При доброкачественной Кортикостерома производят энуклеацию опухоли, в случае злокачественной Кортикостерома— радикальное удаление опухоли вместе с надпочечником и окружающей клетчаткой по типу расширенной односторонней адреналэктомии (смотри полный свод знаний).
 |
|  |
Рис Микропрепарат злокачественной кортикостеромы, образованной преимущественно светлыми клетками (1) и гигантскими многоядерными клетками (2); × 250.
|
В иноперабельных случаях (обширные метастазы) проводят химиотерапию препаратом орто-пара-ДДД, что иногда позволяет добиться улучшения состояния больного; однако препарат токсичен.
В связи с тем, что при Кортикостерома развивается атрофия противоположного надпочечника и сохранившейся интактной части поражённого надпочечника (результат повышенной секреции гормонов), в послеоперационном периоде необходима заместительная терапия препаратами глюкокортикоидных гормонов (по жизненным показаниям) для борьбы с развивающимся гипокортицизмом. В течение первых суток после операции вводят внутримышечно каждые 4 часа по 50 миллиграмм гидрокортизона под контролем артериального давления (иногда доза может быть 75 и даже 100 миллиграмм), на 2—3-и сутки по 50 миллиграмм препарата через 6 часов, на 4-е сутки — через 8 часов, на 5-е — через 12 часов, на 6—7-е сутки — по 25—50 миллиграмм 1—2 раза. Затем назначают преднизолон перорально по 15—20 миллиграмм в сутки с постепенным снижением дозы и отменой препарата при отсутствии клинические, признаков гипокортицизма. При гипотонии после операции вводят внутримышечно ДОКСА по 10—15 миллиграмм в течение первых трёх суток. С целью стимуляции функции второго надпочечника назначают АКТГ по 20 единиц в сутки в течение 4—5 дней. В случаях развившейся тяжёлой острой надпочечниковой недостаточности с признаками коллапса (смотри полный свод знаний) после операции показано внутривенное введение 50—75 миллиграмм гидрокортизона. Введение хлорида калия в дозе 2—5 грамм в сутки компенсирует нарушение минерального обмена, в частности явления гипокалиемии (смотри полный свод знаний). Наряду с этим необходимо контролировать содержание сахара в крови для предупреждения и купирования гипогликемической комы (смотри полный свод знаний Гипогликемия, Кома).
Прогноз при доброкачественной форме Кортикостерома благоприятный в случае своевременного выявления и удаления Кортикостерома. При злокачественной Кортикостерома прогноз зависит от своевременности оперативного вмешательства; в иноперабельных случаях прогноз плохой.
|
Все статьи в полном изложении, Вы можете найти в большой медицинской энциклопедии — Главный редактор: академик АН СССР (РАН) и АМН СССР (РАМН) Б.В. Петровский. — Москва издательство «Советская энциклопедия» 1989г.
|
|
Внимание! Вы находитесь в библиотеке «Ordo Deus». Все книги в электронном варианте, содержащиеся в библиотеке «Ordo Deus», принадлежат их законным владельцам (авторам, переводчикам, издательствам). Все книги и статьи взяты из открытых источников и размещаются здесь только для чтения.
|
|
Библиотека «Ordo Deus» не преследует никакой коммерческой выгоды.
|
|
Все авторские права сохраняются за правообладателями. Если Вы являетесь автором данного документа и хотите дополнить его или изменить, уточнить реквизиты автора, опубликовать другие документы или возможно вы не желаете, чтобы какой-то из ваших материалов находился в библиотеке, пожалуйста, свяжитесь с нами по e-mail: info @ ordodeus. ru Формы для прямой связи с нами находятся в нижней части страниц: контакты и устав «Ordo Deus», для перехода на эти страницы воспользуйтесь кнопкой контакты вверху страницы или ссылкой в оглавлении сайта.
|
Вас категорически не устраивает перспектива безвозвратно исчезнуть из этого мира? Вы не желаете закончить свой жизненный путь в виде омерзительной гниющей органической массы пожираемой копошащимися в ней могильными червями? Вы желаете вернувшись в молодость прожить ещё одну жизнь? Начать всё заново? Исправить совершённые ошибки? Осуществить несбывшиеся мечты? Перейдите по ссылке:
«главная страница».
|