Лейомиосаркома

Оглавление

  1. Дорога к бессмертию
  2. Бессмертие и религия
  3. Философия бессмертия
  4. Бессмертие и наука
  5. История анабиоза
  6. Смерть
  7. Кора головного мозга
  8. Бессмертие и анабиоз
  9. Анабиоз, медицина и биология
  10. Анабиоз и экономика
  11. Анабиоз и закон
  12. Анабиоз в Антарктиде
  13. Техническое обеспечение анабиоза
  14. Бессмертие и вера
  15. Библиотека Ordo Deus
  16. Контактная страница Ordo Deus

Лейомиосаркома

Лейомиосаркома (leiomyosarcoma; греческий leios гладкий + mys, my os мышца + саркома) — злокачественная опухоль, развивающаяся из гладкой мышечной ткани. Источники развития и локализация те же, что и лейомиомы (смотри полный свод знаний). Развивается в любом возрасте у лиц обоего пола.

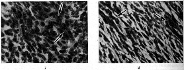
Макроскопически опухоль имеет вид узла диаметром до 20 см и более, мягкую или плотную консистенцию. Поверхность разреза опухоли серо-красного цвета, часто пестрая из-за наличия очагов кровоизлияний и некрозов. При микроскопическом исследовании Лейомиосаркома состоит из крупных вытянутых клеток с округлыми гиперхромными ядрами и большим количеством патологический митозов. Отмечается резкий полиморфизм клеток и ядер (рисунок, 1), встречаются гигантские многоядерные клетки. Опухолевые клетки складываются в пучки (рисунок, 2), нередко с ритмическим расположением ядер. Строма представлена неравномерной рыхлой сетью аргирофильных волокон, сгущающихся вокруг сосудов, синусоидного или капиллярного типа, часто с гиалинизированными стенками. На отдельных участках опухоль может напоминать лейомиому, отличаясь от неё резкой атипией клеток и инфильтрирующим ростом. Метастазирование Лейомиосаркома гематогенное, метастазы, как правило, возникают рано.

Информация об Ordo Deus Перейти в оглавление сайта

Рис
Микропрепараты лейомиосаркомы матки: 1 — выражен полиморфизм ядер опухолевых клеток (указаны стрелками); × 110; 2 — пучки полиморфных опухолевых клеток (указаны стрелками); × 40.

Клинические, проявления Лейомиосаркома определяются локализацией опухоли.

Лечение Лейомиосаркома оперативное. При наличии метастазов применяются противоопухолевые средства (смотри полный свод знаний).

Прогноз неблагоприятный. После удаления опухоль может рецидивировать.

Ольховская И.Г.

⇐ Перейти на главную страницу сайта

⇑ Вернуться в начало страницы ⇑

Библиотека Ordo Deus ⇒

⇐ Лейомиома

⇓ Полный свод знаний. Том первый А. ⇓

Лейшманиозы ⇒

Все статьи в полном изложении, Вы можете найти в большой медицинской энциклопедии — Главный редактор: академик АН СССР (РАН) и АМН СССР (РАМН) Б.В. Петровский. — Москва издательство «Советская энциклопедия» 1989г.

Внимание! Вы находитесь в библиотеке «Ordo Deus». Все книги в электронном варианте, содержащиеся в библиотеке «Ordo Deus», принадлежат их законным владельцам (авторам, переводчикам, издательствам). Все книги и статьи взяты из открытых источников и размещаются здесь только для чтения.

Вся информация на сайте Ordo Deus находится в свободном доступе. Ordo Deus не предоставляет информацию на платной основе.

Все авторские права сохраняются за правообладателями. Если Вы являетесь автором данного документа и хотите дополнить его или изменить, уточнить реквизиты автора, опубликовать другие документы или возможно вы не желаете, чтобы какой-то из ваших материалов находился в библиотеке, пожалуйста, свяжитесь с нами по e-mail:
info @ ordodeus. ru
Формы для прямой связи с нами находятся в нижней части страниц: контакты и устав «Ordo Deus», для перехода на эти страницы воспользуйтесь кнопкой контакты вверху страницы или ссылкой в оглавлении сайта.

Вас категорически не устраивает перспектива безвозвратно исчезнуть из этого мира? Вы не желаете закончить свой жизненный путь в виде омерзительной гниющей органической массы пожираемой копошащимися в ней могильными червями? Вы желаете вернувшись в молодость прожить ещё одну жизнь? Начать всё заново? Исправить совершённые ошибки? Осуществить несбывшиеся мечты? Перейдите по ссылке: «главная страница».

© Ordo Deus, 2010. При копировании ссылка на сайт http://www.ordo-deus.ru обязательна.