Лимфосаркома

Оглавление

  1. Дорога к бессмертию
  2. Бессмертие и религия
  3. Философия бессмертия
  4. Бессмертие и наука
  5. История анабиоза
  6. Смерть
  7. Кора головного мозга
  8. Бессмертие и анабиоз
  9. Анабиоз, медицина и биология
  10. Анабиоз и экономика
  11. Анабиоз и закон
  12. Анабиоз в Антарктиде
  13. Техническое обеспечение анабиоза
  14. Бессмертие и вера
  15. Библиотека Ordo Deus
  16. Контактная страница Ordo Deus

Лимфосаркома

Лимфосаркома (lymphosarcoma; латинское lympha чистая вода, влага + саркома; синонимы: лимфоцитарная лимфома, лимфобластома, неходжкинская лимфоцитарная лимфома) — злокачественная опухоль, развивающаяся из лимфоидной ткани. Чаще всего, почти в половине всех случаев, первично поражаются лимфатических, узлы, реже желудочно-кишечные тракт, миндалины, кости, кожа, селезёнка, мягкие ткани. Лимфосаркома наблюдается в любом возрасте, чаще у лиц мужского пола.

Макроскопически Лимфосаркома может иметь вид отдельных или множественных опухолевых узлов, массивных конгломератов и сплошных инфильтратов.

Лимфосаркома по гистологический строению выделяют нодулярный тип Лимфосаркома (смотри полный свод знаний Лимфома гигантофолликулярная) и диффузный, при котором опухолевая ткань равномерно инфильтрирует поражённые органы и ткани, замещая их нормальную структуру.

Диффузный тип Лимфосаркома, по классификации ВОЗ (1976), подразделяют на шесть цитоморфологический вариантов.

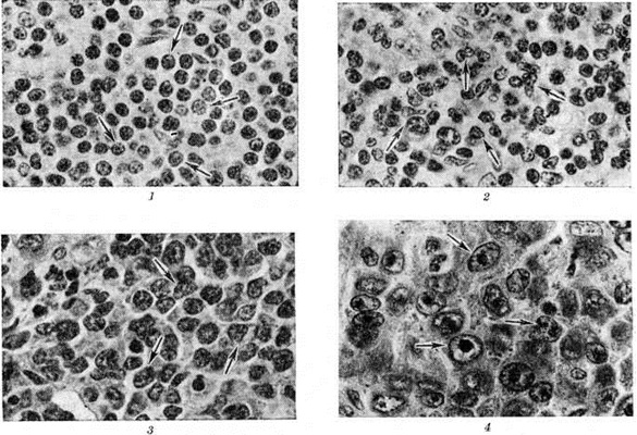
1. Лимфоцитарная Лимфосаркома, ткань которой построена из опухолевых клеток, неотличимых от нормальных лимфоцитов (рисунок 1, 1). Считают, что такое строение имеют лимфатических, узлы и другие экстрамедуллярные опухоли у больных хронический лимфолейкозом.

2. Лимфоплазмоцитарная Лимфосаркома, в ткани которой, наряду с лимфоцитами, встречается большое количество плазматических клеток. Лимфосаркома подобного строения сопутствуют первичной макроглобулинемии Вальденстрема (смотри полный свод знаний Вальденстрема болезнь) и некоторым другим моноклоновым гаммапатиям. 3. Пролимфоцитарная Лимфосаркома построена главным образом из клеток промежуточного типа между лимфоцитами и лимфобластами (рисунок 1, 2), ядра которых могут иметь выемку или выглядят расколотыми; ядерный хроматин в них более нежный, чем в лимфоцитах, но более грубый, чем в лимфобластах. Клетки пролимфоцитарной Лимфосаркома имеют большое сходство с лейкемическими элементами пролимфоцитарного варианта хронический лимфолейкоза и так называемый лимфосаркомно-клеточной лейкемии. 4. Лимфобластная Лимфосаркома состоит из клеток, аналогичных бластным клеткам при остром лимфобластном лейкозе (рисунок 1, 3), имеющих в некоторых случаях более базофильную цитоплазму. К этому варианту относят опухоли с так называемый скрученными ядрами клеток, которые чаще встречаются у детей и располагаются в средостении. 5. Иммунобластная Лимфосаркома, клетки которой имеют большие размеры, обильную базофильную вакуолизированную цитоплазму и ядра разной, часто неправильной, формы с нежной сетью хроматина и хорошо заметными ядрышками (рисунок 1, 4). 6. Лимфома Беркитта, или африканская лимфома (смотри полный свод знаний Беркитта лимфома).

По данным некоторых авторов, большинство Лимфосаркома по иммуно л. признакам относятся к производным В-лимфоцитарной клеточной линии. Наряду с этим описано большое число Лимфосаркома, происходящих из Т и О-лимфоцитов. Характерной цитохимический особенностью Лимфосаркома является обнаружение в опухолевых клетках ШИК-положительного вещества в виде гранул. Распространение Лимфосаркома лимфогенное и гематогенное; аутохтонный рост большинством авторов отрицается.

Этиология не известна; исключение составляет лимфома Беркитта, происхождение которой связывают с вирусной инфекцией.

Клиническая картина одного и того же типа Лимфосаркома обусловлена прежде всего первичной опухолью, которая может возникать в любом органе, содержащем лимфоидную ткань (смотри полный свод знаний). Лимфатических, узлы в начале заболевания редко бывают болезненными и не причиняют особого беспокойства, чем и объясняются случаи позднего обращения больных к врачу. Увеличенные лимфатических, узлы имеют вид отдельных округлых образований разной плотности или конгломератов; они могут быть спаяны в сплошной опухолевый инфильтрат (рисунок 2), иногда с прорастанием кожи и изъязвлением. Увеличение за брюшинных и брыжеечных лимфатических, узлов довольно долго протекает бессимптомно; увеличение размеров лимфатических, узлов средостения может вызвать выраженный синдром сдавления; Лимфосаркома миндалин — чувство инородного тела в горле и затруднения глотания; Лимфосаркома носовой части глотки — снижение слуха и затруднение носового дыхания.

Лимфосаркома костей — резкий болевой синдром; при поражении кожи, помимо косметических дефектов, наблюдаются боли при изъязвлении; при Лимфосаркома желудочно-кишечные тракта — диспепсические расстройства и синдром нарушения всасывания.



Информация об Ordo Deus Перейти в оглавление сайта

Рис. 1.
Микропрепараты лимфатических узлов при различных цитоморфологических вариантах лимфосаркомы: 1 — лимфоцитарном; 2 пролимфоцитарном, 3 лимфобластном; 4 —иммунобластном (все поле зрения занято опухолевыми клетками, некоторые из них показаны стрелками); × 1000.



Генерализация Лимфосаркома наступает обычно рано, местный характер поражения дольше других сохраняют Лимфосаркома желудочно-кишечные тракта и некоторых других локализаций. Самой частой зоной метастазирования при Лимфосаркома любой первичной локализации являются лимфатических узлы. При первичном поражении лимфатических, узлов и селезёнки последующее распространение Лимфосаркома происходит преимущественно по лимфатических, узлам смежных и отдалённых областей; при первичном поражении лимфоидной ткани кольца Вальдейера и желудочно-кишечные тракта, как правило, первые метастазы появляются в регионарных лимфатических, узлах. Лимфосаркома кожи и мягких тканей вначале распространяются по коже и мягким тканям (рисунок 3), затем вовлекаются лимфатических, узлы и другие органы. В метастатический опухолевый процесс, помимо лимфатических, узлов, вовлекаются печень, костный мозг, селезёнка, плевра, миндалины, кожа, лёгкие, мягкие ткани, кости и другие органы. Особое место в клинические, картине Лимфосаркома занимает поражение костного мозга, при вовлечении которого происходит лейкемизация с развитием картины острого лимфобластного, пролимфоцитарного или хронический лимфолейкоза соответственно форме исходной Лимфосаркома Поражение костного мозга наступает вторично, путём засева из экстрамедуллярных опухолевых узлов, поэтому процент лимфоидных клеток в периферической крови может быть выше, чем в костном мозге. Чаще всего лейкемизация наблюдается при первичном поражении селезёнки, миндалин, лимфатических, узлов и может развиться в любой период заболевания, иногда очень рано; бластная лейкемизация обычно проявляется на поздних этапах. Вне периода лейкемизации состав крови не имеет характерных особенностей. В сыворотке крови при Лимфосаркома иногда определяется повышение одного или, значительно реже, двух классов иммуноглобулинов. Характерно, что даже при распространённой Лимфосаркома, в отличие от лимфогранулематоза (смотри полный свод знаний), у большинства больных отсутствуют симптомы общей интоксикации, РОЭ не превышает 30 миллиметров в часов

Диагноз ставят на основании результатов морфологический исследования.

Лечение. Одиночные первичные Лимфосаркома желудочно-кишечные тракта подлежат оперативному лечению, которое обеспечивает в ряде случаев длительные ремиссии. Лучевая терапия показана при ограниченных первичных Лимфосаркома миндалин, носовой части глотки, медиастинальных и забрюшинных лимфатических, узлов, а также при медленно текущих вариантах Лимфосаркома. Во всех других случаях предпочтение отдаётся химиотерапии или комбинации химиотерапии с лучевым лечением. Химиотерапия — наиболее универсальный метод лечения Лимфосаркома: она показана во всех стадиях процесса, незаменима при генерализованном поражении. Из противоопухолевых средств наиболее эффективны сарколизин, циклофосфан, хлорбутин, винкристин, рубомицин, адриабластин, аспарагиназа. При лимфоцитарной и пролимфоцитарной Лимфосаркома чаще всего применяют хлорбутин по 10 — 15 миллиграмм в день; при лимфобластной и иммунобластной Лимфосаркома может быть назначен циклофосфан. Частота ремиссий при лечении Лимфосаркома одним каким-нибудь химиопрепаратом, в том числе циклофосфаном, по данным многих авторов, не превышает 50—60%. Поэтому лечение проводят комплексом препаратов, что даёт лучший эффект. Так, например, циклофосфан с винкристином (онковин) и преднизолоном обеспечивают наступление ремиссии в 70—80% случаев. Применяют и другие комплексы. В целях предотвращения рецидивов проводится поддерживающая терапия, назначают курсы реиндукции ремиссии.



Информация об Ordo Deus Перейти в оглавление сайта

Рис. 2.
Больная лимфосаркомой с поражёнными подчелюстными и шейными лимфатическими узлами, спаянными в сплошной инфильтрат. Рис. 3. Больная лимфосаркомой с генерализованным поражением кожи и мягких тканей: видны множественные опухолевые узлы на передней поверхности груди и в области левого надплечья.



Прогноз зависит от типа и варианта строения Лимфосаркома: при нодулярной Лимфосаркома он благоприятнее, чем при диффузной; лимфоцитарная и пролимфоцитарная Лимфосаркома протекают доброкачественнее, чем лимфобластная и иммунобластная Лимфосаркома

Круглова Г.В.

⇐ Перейти на главную страницу сайта

⇑ Вернуться в начало страницы ⇑

Библиотека Ordo Deus ⇒

⇐ Лимфорея

⇓ Полный свод знаний. Том первый А. ⇓

Лимфосаркоматоз кожи ⇒

Все статьи в полном изложении, Вы можете найти в большой медицинской энциклопедии — Главный редактор: академик АН СССР (РАН) и АМН СССР (РАМН) Б.В. Петровский. — Москва издательство «Советская энциклопедия» 1989г.

Внимание! Вы находитесь в библиотеке «Ordo Deus». Все книги в электронном варианте, содержащиеся в библиотеке «Ordo Deus», принадлежат их законным владельцам (авторам, переводчикам, издательствам). Все книги и статьи взяты из открытых источников и размещаются здесь только для чтения.

Вся информация на сайте Ordo Deus находится в свободном доступе. Ordo Deus не предоставляет информацию на платной основе.

Все авторские права сохраняются за правообладателями. Если Вы являетесь автором данного документа и хотите дополнить его или изменить, уточнить реквизиты автора, опубликовать другие документы или возможно вы не желаете, чтобы какой-то из ваших материалов находился в библиотеке, пожалуйста, свяжитесь с нами по e-mail:
info @ ordodeus. ru
Формы для прямой связи с нами находятся в нижней части страниц: контакты и устав «Ordo Deus», для перехода на эти страницы воспользуйтесь кнопкой контакты вверху страницы или ссылкой в оглавлении сайта.

Вас категорически не устраивает перспектива безвозвратно исчезнуть из этого мира? Вы не желаете закончить свой жизненный путь в виде омерзительной гниющей органической массы пожираемой копошащимися в ней могильными червями? Вы желаете вернувшись в молодость прожить ещё одну жизнь? Начать всё заново? Исправить совершённые ошибки? Осуществить несбывшиеся мечты? Перейдите по ссылке: «главная страница».

© Ordo Deus, 2010. При копировании ссылка на сайт http://www.ordo-deus.ru обязательна.