Липома

Оглавление

  1. Дорога к бессмертию
  2. Бессмертие и религия
  3. Философия бессмертия
  4. Бессмертие и наука
  5. История анабиоза
  6. Смерть
  7. Кора головного мозга
  8. Бессмертие и анабиоз
  9. Анабиоз, медицина и биология
  10. Анабиоз и экономика
  11. Анабиоз и закон
  12. Анабиоз в Антарктиде
  13. Техническое обеспечение анабиоза
  14. Бессмертие и вера
  15. Библиотека Ordo Deus
  16. Контактная страница Ordo Deus

Липома

Липома (lipoma; греческий lipos жир + -oma; синонимы: жировик, липобластома) — доброкачественная опухоль, развивающаяся из жировой ткани.

Липома чаще наблюдается у женщин в возрасте от 30 до 50 лет; локализуется в коже, подкожной, межмышечной, забрюшинной, околопочечной клетчатке, молочной железе, органах желудочно-кишечные тракта, лёгких, средостении, миокарде, мозговых оболочках, по ходу нервных стволов, в костях. Гетеротопическая Липома встречается в полости черепа, печени, матке; развивается из дисэмбриогенетических зачатков жировой ткани (смотри полный свод знаний).

Липома нередко бывает множественной, иногда развивается симметрично, что некоторые авторы объясняют нейротрофическими изменениями (смотри полный свод знаний Липоматоз). Рост Липома не связан с общим состоянием организма; так, при истощении они продолжают накапливать жир. Липома иногда достигает больших размеров. В этих случаях опухоль отвисает, её основание вытягивается в тонкую ножку из кожи (lipoma pendulum), что создаёт условия для застоя крови, Отёка, некроза и изъязвления. Забрюшинные Липома чаще встречаются у женщин от 40 до 50 лет; большие размеры позволяют иногда пальпировать их через брюшную стенку. По мнению некоторых авторов, большинство забрюшинных Липома являются медленно развивающимися липосаркомами.

Макроскопически Липома имеет узловатую форму — узел дольчатого строения окружён капсулой; реже встречается так называемый диффузная Липома с разлитыми, лишёнными соединительнотканной капсулы разрастаниями жировой ткани — при болезни Деркума, синдроме Маделунга (смотри полный свод знаний Деркума болезнь, Маделунга синдром). Микроскопически Липома построена по типу жировой ткани и отличается от неё различными размерами долек и жировых клеток. Последние то очень малы, то достигают гигантских размеров (рисунок 1, 1). Между обычными жировыми клетками встречаются группы клеток с несколькими жировыми вакуолями — так называемый мультилокулярные клетки (рисунок 1, 2). Эти клетки некоторые авторы считают камбиальными.

Обычно Липома мягкой консистенции (lipoma molle); при выраженном развитии соединительной ткани она становится более плотной (lipoma durum). В зависимости от преобладания жировой или фиброзной ткани говорят о липофиброме или фибролипоме. При обильном развитии кровеносных сосудов в опухоли её называют ангиолипомой, при обнаружении в Липома ослизнённо ткани — миксолипомой, гладких мышечных волокон — миолипомой. Редкой разновидностью Липома является миелолипома, в которой зрелая жировая ткань находится в смеси с кроветворной. Миелолипома встречается в клетчатке забрюшинного пространства и малого таза, а также в надпочечниках; носит доброкачественный характер и не сочетается с нарушениями кроветворения.

Интрамуральная (инфильтрирующая) Липома располагается в толще мышц, не имеет чётких границ.,

Большим своеобразием отличается так называемая гибернома (смотри полный свод знаний) — весьма редкое новообразование в подкожной клетчатке, напоминающее гибернационный орган некоторых впадающих в зимнюю спячку животных. Особую форму представляет lipoma arborescens, которая наблюдается обычно на фоне различных хронический воспалений в тканях коленного сустава в виде множественных разветвлённых липоматозных образований. Опухоль растет медленно и вызывает незначительные функциональный расстройства. Липома долгое время может оставаться неизменённой или расти очень медленно. Под влиянием травмы или без ясной причины Липома приобретает характер злокачественной опухоли с инфильтрацией соседних тканей (смотри полный свод знаний Липосаркома).

Распознавание поверхностных Липома основано на их местоположении, мягкоэластической консистенции, псевдофлюктуации, подвижности, безболезненности при пальпации и типичных втяжениях при растягивании кожи над опухолью. Множественные мелкие Липома, располагающиеся по ходу нервных стволов, иногда болезненны вследствие давления на нерв.

Диагноз глубоколежащих Липома затруднителен, устанавливается только при гистологическом исследовании. Дифференциальная диагностика Липома проводится в основном со злокачественными опухолями, в сомнительных случаях применяют цитологический исследование пунктата и ангиографию.

Рентгенологические диагностика Липома мягких тканей основана на применении длинноволнового («мягкого») рентгеновского излучения. «Жёсткость» излучения и экспозицию подбирают в зависимости от толщины исследуемого участка мягких тканей, величины и плотности пальпируемого образования. Изучение кожи, подкожной клетчатки проводится на более «мягком» снимке; рентгенография Липома, залегающих, например, в мышечной ткани, требует увеличения «жёсткости» пучка рентгеновских лучей.

При Липома, расположенной в тканях конечностей, шеи или туловища, рекомендуется рентгенография «мягкими» лучами (35—40 киловольт) или «жёсткими» лучами (от 90 киловольт и выше) с применением отсеивающей решётки.



Информация об Ordo Deus Перейти в оглавление сайта

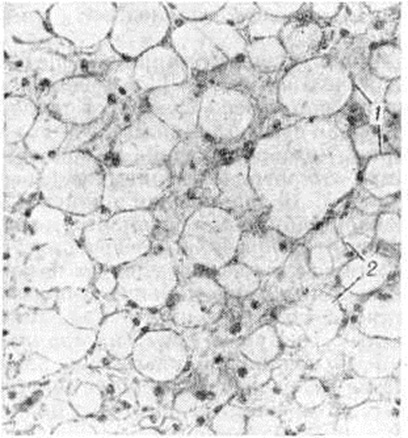
Рис. 1.
Микроскопическая картина липомы: видны жировые клетки различной величины (1), среди которых встречаются единичные мультилокулярные клетки (2); окраска гематоксилин-эозином; × 240.





Информация об Ordo Deus Перейти в оглавление сайта

Рис. 2.
Рентгенограмма левой половины грудной клетки с липомой мягких тканей грудной стенки (прямая проекция): видна большая полуовальная тень опухоли с чёткими границами (указана стрелками).



При локализации Липома в грудной клетке, брюшной полости или забрюшинном пространстве рентгенологическое исследование проводится только «жёсткими» лучами с решёткой в условиях искусственного контрастирования газом (пневмомедиастинум, пневморетроперитонеум и другие).

На рентгенограммах Липома представляет гладко-очерченное просветление обычно правильной формы. Просветление, образуемое Липома, как правило, гомогенное, но изредка в нем встречаются мелкие участки обызвествления. Форма просветления зависит от плотности органов, между которыми заключена Липома Подкожная узловатая Липома проявляется в виде чётко очерченного округлой формы образования, интенсивность тени которого одинакова с окружающей жировой тканью (рисунок 2). Большие, длительно существующие Липома вызывают смещение окружающих тканей.

Дифференциальный диагноз при рентгенодиагностике глубоких Липома туловища, шеи или конечностей проводят с натёчным абсцессом, гематомой, кистой, лимфаденитом, гемангиомой, мио или фибросаркомой.

Лечение Липома оперативное. Удаление узлов Липома, окружённых капсулой, как правило, не вызывает затруднений; оперативные вмешательства при диффузных Липома представляют значительные технические трудности. Показаниями к операции являются большой размер Липома и локализация, при которой возникают функциональные расстройства или косметический дефект.

Прогноз хороший. После нерадикальных операций наблюдаются рецидивы Липома

Трапезников H.H.

⇐ Перейти на главную страницу сайта

⇑ Вернуться в начало страницы ⇑

Библиотека Ordo Deus ⇒

⇐ Липодистрофия

⇓ Полный свод знаний. Том первый А. ⇓

Липоматоз ⇒

Все статьи в полном изложении, Вы можете найти в большой медицинской энциклопедии — Главный редактор: академик АН СССР (РАН) и АМН СССР (РАМН) Б.В. Петровский. — Москва издательство «Советская энциклопедия» 1989г.

Внимание! Вы находитесь в библиотеке «Ordo Deus». Все книги в электронном варианте, содержащиеся в библиотеке «Ordo Deus», принадлежат их законным владельцам (авторам, переводчикам, издательствам). Все книги и статьи взяты из открытых источников и размещаются здесь только для чтения.

Вся информация на сайте Ordo Deus находится в свободном доступе. Ordo Deus не предоставляет информацию на платной основе.

Все авторские права сохраняются за правообладателями. Если Вы являетесь автором данного документа и хотите дополнить его или изменить, уточнить реквизиты автора, опубликовать другие документы или возможно вы не желаете, чтобы какой-то из ваших материалов находился в библиотеке, пожалуйста, свяжитесь с нами по e-mail:
info @ ordodeus. ru
Формы для прямой связи с нами находятся в нижней части страниц: контакты и устав «Ordo Deus», для перехода на эти страницы воспользуйтесь кнопкой контакты вверху страницы или ссылкой в оглавлении сайта.

Вас категорически не устраивает перспектива безвозвратно исчезнуть из этого мира? Вы не желаете закончить свой жизненный путь в виде омерзительной гниющей органической массы пожираемой копошащимися в ней могильными червями? Вы желаете вернувшись в молодость прожить ещё одну жизнь? Начать всё заново? Исправить совершённые ошибки? Осуществить несбывшиеся мечты? Перейдите по ссылке: «главная страница».

© Ordo Deus, 2010. При копировании ссылка на сайт http://www.ordo-deus.ru обязательна.