Липомеланотический ретикулёз

Оглавление

  1. Дорога к бессмертию
  2. Бессмертие и религия
  3. Философия бессмертия
  4. Бессмертие и наука
  5. История анабиоза
  6. Смерть
  7. Кора головного мозга
  8. Бессмертие и анабиоз
  9. Анабиоз, медицина и биология
  10. Анабиоз и экономика
  11. Анабиоз и закон
  12. Анабиоз в Антарктиде
  13. Техническое обеспечение анабиоза
  14. Бессмертие и вера
  15. Библиотека Ordo Deus
  16. Контактная страница Ordo Deus

Липомеланотический ретикулёз

Липомеланотический ретикулёз (греческий lipos жир + melas, melanos чёрный; латинское reticulum сеточка + -osis; синонимы: синдром Потрие—Воренже, липомеланотический гиперпластический ретикулит, липомеланотическая лимфаденопатия, пигментированная лимфогранулема с генерализованными кожными явлениями, доброкачественный гиперпластический ретикулогистиоцитоз с меланодермией, лимфаденическая эритродермия, дерматопатическая лимфаденопатия, дерматопатический лимфаденит) — неспецифическая доброкачественная реактивная ретикулярная гиперплазия поверхностных лимфатических узлов, сопровождающая различные хронические болезни кожи.

В 1932 год Потрие и Воренже (L. М. Pautrier, F. Woringer) сообщили о своеобразной гистопатологической структуре лимфатических, узлов у больных генерализованными зудящими дерматозами, которую они в 1937 год на основании наиболее характерного признака (гиперплазии ретикулярных клеток с накоплением в них липидов и меланина) назвали липомеланотическим ретикулезом. В 1942 год Хервитт (Е. S. Hurwitt) описал аналогичный синдром как дерматопатический лимфаденит. Последнее название представляется более целесообразным, так как оно отражает сущность патологический процесса, который не является ретикулезом в истинном смысле слова.

Этиология и патогенез. Причинами развития Липомеланотический ретикулёз являются различные хронический дерматозы (смотри полный свод знаний), особенно протекающие с явлениями эритродермии и сопровождающиеся упорным зудом. Так, Липомеланотический ретикулёз наблюдается у больных эритродермией, развившейся при рецидивах экземы, нейродермита, красного плоского лишая, псориаза, а также при упорном генерализованном зуде, грибовидном микозе и другие

Развитие Липомеланотический ретикулёз связывают с проникновением в лимфатических, узлы меланина, что подтверждается в экспериментах при парентеральном введении морским свинкам экстракта меланина, вызывающего у них трансформацию лимфатических, узлов по типу дерматопатического лимфаденита. По мнению Потрие и Воренже, при развитии Липомеланотический ретикулёз в поражённой коже активизируются меланофаги и усиливается транспортировка меланина по лимфатических, сосудам в регионарные узлы. Происхождение жировых веществ, обнаруживаемых в лимфатических, узлах, остаётся неясным. Однако накопление липидов и меланина в лимфатических, узлах не является строго обязательным.

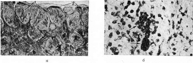
Патогистология. Капсула лимфатических, узла сохранена, периаденит отсутствует. Структура узла, как правило, не нарушена. Иногда она может быть стёртой. В корковом веществе — скопление ретикулярных клеток с веерообразно расположенными новообразованными капиллярами. Синусы сохранены, хотя нередко бывают замаскированы воспалительным инфильтратом, состоящим из лимфоцитов и в меньшей степени эозинофилов, нейтрофилов и плазматических клеток. Лимф, фолликулы могут быть гиперплазированы (рисунок, а), однако в периферических зонах лимфатических, узла они чаще кажутся атрофичными в результате их сдавливания ретикулярными клетками. В большинстве случаев часть ретикулярных клеток содержит фагоцитированные меланин, липиды, иногда гемосидерин. Меланин обнаруживается и внеклеточно (рисунок, б).

Описаны случаи трансформации Липомеланотический ретикулёз в лейкоз, лимфогранулематоз, лимфосаркому. Блюфарб и Уэбстер (S. М. Bluefarb, G. R. Webster, 1950) отождествляли Липомеланотический ретикулёз с фолликулярной лимфомой Брилла—Симмерса. Ряд исследователей, например Раппопорт (Н. Rappoport, 1966) и Добреску (G. Dobrescu) с соавторами (1975), рассматривает Липомеланотический ретикулёз как процесс, который не малигнизируется даже в тех случаях, когда сопровождает злокачественно текущие заболевания.

Некоторые авторы полагают, что дерматопатический лимфаденит, развивающийся при системных опухолевых или лейкемических поражениях кожи, относить к Липомеланотический ретикулёз не следует.

Понятие «липомеланотический ретикулез» они ограничивают лишь аденопатией, сопровождающей «банальные» дерматозы.

Клинические проявления. В наибольшей степени страдают подмышечные и шейные лимфатические узлы. При локализации дерматоза на нижних конечностях Липомеланотический ретикулёз ограничивается пахово-бедренной областью. С другой стороны, Липомеланотический ретикулёз может проявляться полиаденопатией.

Глубокие лимфатических, узлы в процесс не вовлекаются. Лимфатических, узлы увеличиваются до размеров 3—4 сантиметров в диаметре, плотные, безболезненные, друг с другом не спаиваются и не нагнаиваются. С разрешением причинного дерматоза аденопатия регрессирует.

Ряд авторов отмечает как характерный признак Липомеланотический ретикулёз гиперпигментацию кожного покрова, подчёркивая параллелизм её развития с отложением меланина в лимфатических, узлах.

Диагноз основывается на клин. проявлениях, обязательно подтверждённых гистологический исследованием лимфатических, узлов.

Липомеланотический ретикулёз дифференцируют с лимфогранулематозом (смотри полный свод знаний), фолликулярной лимфомой Брилла—Симмерса (смотри полный свод знаний Лимфома гигантофолликулярная) и специфическим поражением лимфатических, узлов при грибовидном микозе (смотри полный свод знаний Микоз грибовидный). Для Липомеланотический ретикулёз характерна сохранность структуры и капсулы лимфатических, узлов и интенсивный фагоцитоз меланина и липидов ретикулярными клетками, для лимфогранулематоза — клетки Березовского—Штернберга, для грибовидного микоза — «микозные» клетки. Ретикулярные клетки при Липомеланотический ретикулёз обычно крупнее, чем опухолевые клетки грибовидного микоза, и имеют чётко выраженную вакуолизированную и часто пенистую цитоплазму.



Информация об Ordo Deus Перейти в оглавление сайта

Рис
Микропрепараты лимфатического узла больного липомеланотическим ретикулематоза — обширная ретикулярная гиперплазия (1) и сохранившаяся капсула (2), × 13; б — отложения меланина внутри и внеклеточно (указан стрелками), × 750.



Лечение и прогноз зависят от характера дерматоза, на фоне которого развился Липомеланотический ретикулёз (например, экзема, нейродермит, псориаз и другие).

Профилактика состоит в своевременном лечении дерматозов, сопровождающихся Липомеланотический ретикулёз

Самцов В.И.

⇐ Перейти на главную страницу сайта

⇑ Вернуться в начало страницы ⇑

Библиотека Ordo Deus ⇒

⇐ Липоматоз

⇓ Полный свод знаний. Том первый А. ⇓

Липосаркома ⇒

Все статьи в полном изложении, Вы можете найти в большой медицинской энциклопедии — Главный редактор: академик АН СССР (РАН) и АМН СССР (РАМН) Б.В. Петровский. — Москва издательство «Советская энциклопедия» 1989г.

Внимание! Вы находитесь в библиотеке «Ordo Deus». Все книги в электронном варианте, содержащиеся в библиотеке «Ordo Deus», принадлежат их законным владельцам (авторам, переводчикам, издательствам). Все книги и статьи взяты из открытых источников и размещаются здесь только для чтения.

Вся информация на сайте Ordo Deus находится в свободном доступе. Ordo Deus не предоставляет информацию на платной основе.

Все авторские права сохраняются за правообладателями. Если Вы являетесь автором данного документа и хотите дополнить его или изменить, уточнить реквизиты автора, опубликовать другие документы или возможно вы не желаете, чтобы какой-то из ваших материалов находился в библиотеке, пожалуйста, свяжитесь с нами по e-mail:
info @ ordodeus. ru
Формы для прямой связи с нами находятся в нижней части страниц: контакты и устав «Ordo Deus», для перехода на эти страницы воспользуйтесь кнопкой контакты вверху страницы или ссылкой в оглавлении сайта.

Вас категорически не устраивает перспектива безвозвратно исчезнуть из этого мира? Вы не желаете закончить свой жизненный путь в виде омерзительной гниющей органической массы пожираемой копошащимися в ней могильными червями? Вы желаете вернувшись в молодость прожить ещё одну жизнь? Начать всё заново? Исправить совершённые ошибки? Осуществить несбывшиеся мечты? Перейдите по ссылке: «главная страница».

© Ordo Deus, 2010. При копировании ссылка на сайт http://www.ordo-deus.ru обязательна.