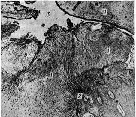
Длительная подвижность может привести к преобразованию кости в зоне перелома вначале в фиброзную, а затем и хрящевую ткань. Подвижность и нагрузка по оси при соприкосновении отломков и сохранившейся репаративной способности в них приводят к костеобразованию по боковым поверхностям отломков с их значительным утолщением, но без костной спайки между собой. Таким образом, формируются гипертрофические или гиперваскулярные Ложный сустав (рисунок 1). Общим для них является преобладание костеобразования и перестройки над рассасыванием кости. Обнажение отломков на значительном протяжении, их расхождение, исключающее соприкосновение и нагрузку с самого начала, массивное разрушение окружающих мягких тканей, приводит к недостаточному кровоснабжению концов отломков. Интенсивность репаративной реакции при этих условиях снижается и постепенно затухает, начинают преобладать процессы рассасывания. Концы отломков истончаются и заостряются. Так формируются атрофические или гиповаскулярные Ложный сустав, в которых рассасывание кости преобладает над костеобразованием (рисунок 2). По патогенезу врождённые Ложный сустав чаще всего относятся к атрофическому типу. Патологическая анатомия различна и определяет клинико-рентгенологический тип Ложный сустав При гипертрофическом типе Ложный сустав щель между отломками заполнена грубоволокнистой соединительной тканью (рисунок 3). При гиповаскулярном атрофическом типе Ложный сустав щель между отломками более значительна, она сначала также заполнена соединительной тканью (смотри полный свод знаний), однако при длительном (более 2—3 лет) существовании Ложный сустав в ткани между отломками может возникнуть щель, заполненная синовиальной жидкостью (смотри полный свод знаний), а по краям рубцовая ткань растягивается и приобретает характер суставной капсулы. Концы отломков при этом покрываются волокнистым хрящом, иногда с участками гиалинового хряща (рисунок 4). Так образуется «типичный» Ложный сустав с большой степенью подвижности (неоартроз), чаще всего развивающейся в зоне диафиза кости (рисунок 5).
Общим анатомическим признаком всех Ложный сустав является закрытие костномозговых полостей так называемый замыкательной пластинкой. При гипертрофических Ложный сустав костномозговая полость закрыта на протяжении до 5 сантиметров губчатой костью, что вместе с периостальными наслоениями приводит к утолщению концов. Гистологически при этом невозможно отдифференцировать корковое вещество, так как происходит спонгизация его. При атрофических Ложный сустав канал закрыт с конца тонкой пластинкой коркового типа, периостальных наслоений нет. Клиническая картина. Наблюдается пассивная патологический подвижность от качательной (при фиброзных Ложный сустав) до полной подвижности во всех плоскостях (при обширных дефектах). При отсутствии нагрузки на конечность болезненности в области Ложный сустав нет или она незначительна. Это отличает Ложный сустав от несросшихся переломов, при которых подвижность незначительна и всегда возникает болезненность. Формирование признаков Ложный сустав обычно происходит к двойному среднему сроку сращения отломков; до этого следует расценивать патологию как несросшийся перелом, являющийся возможным предшественником Ложный сустав К этому времени начинает возникать и постепенно увеличиваться деформация и укорочение конечности. Для врождённого Ложный сустав голени характерна угловая деформация нижней трети голени с углом, открытым кзади. Деформации при приобретённых Ложный сустав могут быть самые разнообразные, но для определённых локализаций они типичны. Так, при Ложный сустав костей голени характерна рекурвация в сочетании с варусным или вальгусным её искривлением; для бедра — антекурвация и варусная деформация («галифе»); для предплечья при дефектах лучевой кости — травматическая косорукость с вальгусным отклонением кисти и вывихом головки локтевой кости. При Ложный сустав после перелома Монтеджи развивается деформация локтевого сустава за счёт вывиха головки лучевой кости и деформации локтевой кости под углом, открытым кзади. Укорочение сегмента конечности при Ложный сустав может быть различным. При формировании Ложный сустав в детском возрасте укорочение всегда больше. Патологический подвижность, деформация и укорочение определяют и основные функциональный нарушения: для нижних конечностей — это нарушение опорности, заставляющее больного пользоваться дополнительными средствами опоры (костылями, тростью, ортопедическими аппаратами); для верхних конечностей — ослабление мышечной силы за счёт сближения точек начала и прикрепления мышц, рубцового их перерождения и возникновения вторичных контрактур. В результате самой травмы, оперативных вмешательств по поводу перелома и Ложный сустав, гнойных осложнений, изменений статики из-за деформации и укорочения возникают физиологический и морфологический изменения во всех тканях повреждённой конечности, составляющие патологический симптомокомплекс (рубцовое изменение кожи, дистрофическое изменение мышц, нервов, циркуляторные нарушения, в том числе стойкие Отёки, спазм магистральных и мелких сосудов, вегетативно-трофические изменения, атрофия кости от бездействия, контрактуры и анкилозы суставов). Частым симптомом Ложный сустав костей нижней конечности является болезненность в его области при ходьбе. Особое место занимают Ложный сустав, осложнённые остеомиелитом (смотри полный свод знаний). Чаще всего имеет место концевой остеомиелит отломков с образованием секвестров различной величины (смотри полный свод знаний Секвестр, секвестрация). При наличии секвестров в большей части случаев имеются свищи в области Ложный сустав Секвестры небольших размеров могут располагаться между отломками, большие секвестры занимают значительную часть одного или обоих отломков и длительно поддерживают гноетечение. Диагноз ставят на основании анамнестических данных и клинические, проявлений (патол. подвижность, искривление оси конечности, укорочение её, болезненность при нагрузке). Однако все эти симптомы не обязательны для Ложный сустав и у ряда больных могут отсутствовать. Это чаще бывает при фиброзных гипертрофических «тугих» Ложный сустав, то есть суставах с малой подвижностью отломков, например, при Ложный сустав большеберцовой кости и сросшейся малоберцовой. Наиболее информативным диагностическим приёмом при Ложный сустав является рентгеновское исследование. Рентгенограммы производят обязательно в двух взаимно перпендикулярных проекциях. Иногда при необходимости более подробного изучения структурных особенностей Ложный сустав применяют добавочные косые проекции, а также томографию (смотри полный свод знаний). Основные рентгенологическое признаки Ложный сустав: отсутствие костной мозоли, соединяющей концы обоих отломков; закругление и сглаживание концов отломков, иногда их коническая форма, развивающаяся в результате резорбции кости и отсутствия процессов новообразования костного вещества (атрофический Ложный сустав); заращение костномозговой полости на концах отломков (развитие замыкательной пластинки), свидетельствующее о прекращении регенеративных процессов со стороны костного мозга и эндоста. Заращение костномозговой полости происходит в результате новообразования плотного костного вещества, сходного с компактным веществом кости, толщина и плотность которого зависят от длительности существования Ложный сустав и его функциональный нагрузки. Таким образом, Ложный сустав в рентгеновском изображении приобретает характерную картину: «суставные» концы отломков несколько расширены, структура их склеротически перестроена. Нередко конец одного отломка имеет полусферическую форму и напоминает суставную головку, а конец другого вогнут наподобие суставной впадины. При этом на рентгенограммах в обеих проекциях отчётливо видна «суставная щель». Утолщение костных отломков в зоне щели Ложный сустав, неровные контуры самой щели, её небольшая ширина характерны для гипертрофического типа Ложный сустав (рисунок 1.). Щель Ложный сустав этого типа часто имеет сложную форму поверхности, и не все участки щели параллельны ходу рентгеновских лучей. На снимке в таких случаях щель прослеживается далеко не вся, создаётся иллюзия сращения перелома; в подобных случаях помогает диагностике Ложный сустав томография. Рентгенологические исследование позволяет проводить дифференциальную диагностику между Ложный сустав и замедленной консолидацией перелома. Об интенсивности процессов костеобразования в зоне Ложный сустав судят по данным радиоизотопного исследования (смотри полный свод знаний Кость) они различны при атрофическом и гипертрофическом типе Ложный сустав Рентгенологическое и радиоизотопное исследования играют особую роль в изучении динамики Ложный сустав и его исхода. Отдельные островки костной мозоли в области Ложный сустав и первые признаки приживления трансплантата при костной пластике можно видеть на рентгенограмме спустя лишь 8—12 недель после оперативного вмешательства. Повторные рентгенологическое исследования через каждые 2—3 месяцев позволяют установить постепенное развитие плотного массива костной мозоли вокруг отломков, сращение их и восстановление нормальной структуры, а в дальнейшем и перестройку структуры костной мозоли с рассасыванием её излишков. Радиоизотопное исследование обнаруживает усиленное накопление радионуклида в остеогенной ткани, образующейся вокруг отломков и трансплантата, что является прямым признаком начавшегося процесса заживления перелома и приживления костного штифта. Лечение. В задачи лечения входят восстановление непрерывности кости и устранение имеющихся деформаций для возвращения нормальной функции конечности. План лечения разрабатывают с учётом всего симптомокомплекса, характерного для длительно существующих Ложный сустав Лечение Ложный сустав состоит из общих и местных мероприятий. Общие лечебный мероприятия направлены на укрепление организма, повышение тонуса мускулатуры, сохранение и восстановление функции суставов повреждённой конечности, восстановление гемодинамики в области Ложный сустав и включают соответствующие виды лечебной физкультуры, массажа, физиотерапии (смотри полный свод знаний Переломы). Местное лечение состоит в создании условий для нормального течения регенерации путём сближения и обездвиживания отломков (в необходимых случаях в её стимуляции), для нормализации циркуляции и нервной трофики, в профилактике и рациональном лечении гнойных осложнений. Этим принципам отвечают три основные группы методов лечения Ложный сустав: компрессионно-дистракционный остеосинтез, устойчивый остеосинтез металлическими конструкциями, костная пластика. Компрессионно дистракционный (чрескостный внеочаговый) остеосинтез позволяет осуществить сближение и взаимодавление отломков в условиях неподвижности, а также устранение деформации и укорочения (смотри полный свод знаний Дистракционно-компрессионные аппараты). Поскольку имеется возможность закрытого остеосинтеза (без обнажения отломков), операция не усугубляет сопутствующие Ложный сустав патологический изменения мягких тканей и течение гнойно-воспалительного процесса. Иммобилизация, компрессия и дистракция отломков способствуют нормализации кровообращения в области Ложный сустав, нормализации репаративного процесса, стиханию воспаления. В результате дозированной дистракции растягивающиеся рубцовые межотломковые ткани постепенно преобразуются в костный регенерат губчатого, а затем трубчатого строения с ориентацией костных балок (пластинок) по направлению дистракции. Компрессионно-дистракционный остеосинтез является методом выбора при Ложный сустав, осложнённых остеомиелитом, он показан при фиброзных Ложный сустав, осложнённых рубцовыми изменениями кожи, при гипертрофических Ложный сустав с укорочением более 3 сантиметров, при замещении дефектов кости после остеомиелита. Устойчивый остеосинтез интра и экстрамедуллярными фиксаторами позволяет также получить соприкосновение, плотный контакт и неподвижность отломков, но требует оперативного обнажения отломков, что ограничивает применение метода. При гипертрофических Ложный сустав этот метод позволяет получить консолидацию и без дополнительной костной пластики, которая при атрофических Ложный сустав необходима. Для осуществления устойчивого остеосинтеза используют четырёхгранные гвозди ЦПТО, гвозди Кюнчера, пластины с приспособлениями для одномоментной компрессии и другие (смотри полный свод знаний Остеосинтез). Костная пластика (смотри полный свод знаний) ауто и аллотрансплантатами при Ложный сустав, считавшаяся методом выбора, применяется значительно реже. Тем не менее при атрофических Ложный сустав она необходима при любом виде остеосинтеза для стимуляции остеогенеза. Условием для её применения является ликвидация гнойных осложнений, предварительное иссечение рубцов с кожной пластикой, достаточно длительный срок после стихания инфекции (8—12 месяцев). Таким образом, разделение Ложный сустав на гипертрофические и атрофические, продиктованное особенностями их патогенеза, анатомии, рентгенологии и клиники, важно также и с точки зрения терапии этих состояний. Если при гипертрофическом типе Ложный сустав, когда сохранены остеогенетические способности тканей, для лечения достаточно внеочагового вмешательства — наложения компрессионно-дистракционного аппарата, то при атрофическом типе Ложный сустав внеочаговые операции дополняют костной пластикой в его зоне. При всех оперативных вмешательствах, требующих обнажения концов отломков (устойчивый остеосинтез, костная пластика, открытая репозиция и компрессионный остеосинтез), необходима особая техника. При гипертрофических Ложный сустав обязательна костно-надкостничная декортикация отломков, описанная Олби (F. Н. Albee), Т. Кохером, а затем братьями Жюде (R. L. Judet, J. Judet), Л. И. Шулутко. Иссечение межотломковой ткани при отсутствии смещения и возможности создать устойчивость производить не следует. Не применяется резекция концов с внедрением их друг в друга и создание различного рода «замков», так как это приводит к ещё большему укорочению и без того укороченной конечности. Использование замков целесообразно лишь для соединения аллотрансплантатов при замещении дефектов. При лечении Ложный сустав учитывают его локализацию: в случае Ложный сустав плечевой и большеберцовой костей наиболее целесообразен компрессионно-дистракционный остеосинтез преимущественно закрытым способом; на предплечье при дефектах лучевой кости с образованием косорукости показано двухэтапное вмешательство — дистракция аппаратом с последующей костной пластикой; на бедре в средней и верхней третях эффективен интрамедуллярный остеосинтез массивным штифтом с декортикацией или костной пластикой; при околосуставной локализации показан компрессионно-дистракционный остеосинтез. Особое место занимает Ложный сустав шейки бедренной кости, часто осложняющийся асептическим некрозом её головки. При этой патологии все более широкое применение находит эндопротезирование головки бедренной кости или всего тазобедренного сустава (смотри полный свод знаний Эндопротезирование). В молодом и среднем возрасте при отсутствии асептического некроза головки производят межвертельную остеотомию по Мак-Марри. Трудная задача лечения посттравматических дефектов получила новое решение с разработкой Г. А. Илизаровым методов несвободной костной пластики перемещением остеотомированного фрагмента одного из отломков до соприкосновения с другим отломком. При Ложный сустав и дефектах костей голени находят место модификации операции Гана, заключающиеся в различных видах перемещения малоберцовой кости к большеберцовой, или межберцовый синостоз по Стюарту — Богданову, Богданову — Антонюку (смотри полный свод знаний Синостоз). Прогноз. В целом современные методы лечения Ложный сустав позволяют получить более 95% положительных исходов.
Вас категорически не устраивает перспектива безвозвратно исчезнуть из этого мира? Вы не желаете закончить свой жизненный путь в виде омерзительной гниющей органической массы пожираемой копошащимися в ней могильными червями? Вы желаете вернувшись в молодость прожить ещё одну жизнь? Начать всё заново? Исправить совершённые ошибки? Осуществить несбывшиеся мечты? Перейдите по ссылке: «главная страница».
|
||||||||||||||||||||||||||||||||||||||||||||||||||||||||||||||||||