Лучевая болезнь

Оглавление

  1. Дорога к бессмертию
  2. Бессмертие и религия
  3. Философия бессмертия
  4. Бессмертие и наука
  5. История анабиоза
  6. Смерть
  7. Кора головного мозга
  8. Бессмертие и анабиоз
  9. Анабиоз, медицина и биология
  10. Анабиоз и экономика
  11. Анабиоз и закон
  12. Анабиоз в Антарктиде
  13. Техническое обеспечение анабиоза
  14. Бессмертие и вера
  15. Библиотека Ordo Deus
  16. Контактная страница Ordo Deus

Лучевая болезнь

Лучевая болезнь — заболевание, развивающееся в результате действия ионизирующего излучения в дозах, превышающих допустимые. В зависимости от характера воздействия (однократное массивное или длительное повторное в относительно малых дозах) различают соответственно острую и хронический формы Лучевая болезнь различной степени тяжести с преобладанием местных или общих изменений.

Впервые лучевые повреждения (смотри полный свод знаний) с общими и местными проявлениями описаны у больных, подвергшихся воздействию ионизирующего излучения с лечебный целью, а также у рентгенологов и радиологов. В дальнейшем стали известны случаи нарушения здоровья у лиц, изготовлявших препараты радия и работающих с источниками ионизирующего излучения в промышленности. Применение США в 1945 год ядерного оружия привело к массовым лучевым поражениям. Описаны острые лучевые повреждения в результате несчастных случаев, главным образом при грубом нарушении правил обращения с различными источниками ионизирующего излучения.

Л. б.— завершающий этап в цепи процессов, развивающихся в результате воздействия ионизирующего излучения на ткани, клетки и жидкие среды целостного организма (смотри полный свод знаний Ионизирующие излучения, биологическое действие). Изменения на молекулярном уровне и образование химически активных соединений в тканях и жидких средах ведёт к появлению в крови продуктов патологический обмена (смотри полный свод знаний Азотистый обмен, Водно-солевой обмен, Жировой обмен, Углеводный обмен), что при облучении в высоких дозах является основой лучевой токсемии (смотри полный свод знаний).

Изменения функции нервной, эндокринной систем и нарушение регуляции деятельности других систем организма вместе с клеточно-тканевыми поражениями формируют клинические, проявления Лучевая болезнь.

Повреждающее действие ионизирующих излучений особенно сказывается на стволовых клетках кроветворной ткани, эпителии яичек, тонкого кишечника и кожи; оно зависит от уровня и распределения дозы излучения во времени и объёме тела. В первую очередь поражаются системы, находящиеся во время облучения в состоянии активного органогенеза и дифференцировки (смотри полный свод знаний Критический орган). При облучении, особенно в малых дозах, имеет значение индивидуальная реактивность и функциональный состояние нервной и эндокринной систем.

Острая лучевая болезнь

Патологическая анатомия. Большинство публикаций представляет собой описания патологоанатомической картины острой Лучевая болезнь у различных экспериментальных животных и лишь отдельные из них касаются людей, погибших при взрыве атомной бомбы в Японии и при несчастных случаях. Наиболее полно изучена патологическая анатомия так называемый костномозговой формы острой Лучевая болезнь с преимущественным поражением кроветворной ткани (смотри полный свод знаний Кроветворение), развивающейся при воздействии ионизирующего излучения в дозах до 1000 рад. Характерные для этой формы острой Лучевая болезнь морфологический изменения проявляются ещё в латентном периоде и становятся выраженными в периоде разгара заболевания. При этом макроскопически обнаруживаются признаки геморрагического диатеза: кровоизлияния в кожу, серозные и слизистые оболочки, в паренхиматозные органы. Степень выраженности геморрагического диатеза колеблется в широких пределах в зависимости от тяжести поражения; дополнительные травмы усиливают явления кровоточивости. Обильные кровизлияния в желудок и кишечник, в лёгкие, в надпочечники с их разрушением, обширные кровоизлияния в миокард, захватывающие проводящую систему сердца, могут иметь решающее значение в исходе заболевания (цветной рисунок 2—4). Деятельный костный мозг теряет обычную консистенцию и становится жидким, его цвет определяется примесью крови; лимфатических, узлы выглядят увеличенными за счёт геморрагического пропитывания ткани. Глубокие нарушения в кроветворной системе определяют склонность к кровотечениям и частоту развития инфекционные осложнений, которые, как правило, обнаруживаются в период разгара заболевания. К их числу относятся язвенно-некротические гингивиты, некротические ангины (цветной рисунок 1), пневмонии, воспалительные изменения тонкого и толстого кишечника. В других органах обнаруживаются признаки нарушения кровообращения и дистрофические изменения.

Кожные поражения (выпадение волос, лучевые ожоги) могут отчётливо проявляться при значительном облучении; у жертв атомного взрыва они сочетались, как правило, с термическими ожогами.

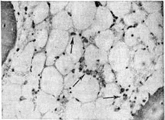
При микроскопическом исследовании наиболее характерны изменения органов кроветворения, начальные признаки поражения которых обнаруживаются в латентном периоде задолго до ярких клинические, проявлений острой Лучевая болезнь В лимфатических, узлах в первые часы после облучения можно видеть распад лимфоцитов, особенно в центральной части фолликулов, то есть в зоне расположения В-лимфоцитов; несколько позже выявляются изменения в паракортикальном слое (зона Т-лимфоцитов). В период разгара заболевания на фоне резкой гиперемии различимы в основном элементы стромы лимфатических, узла и плазматические клетки. Аналогичные изменения наблюдаются в миндалинах, селезёнке, групповых фолликулах (пейеровых бляшках) и солитарных фолликулах желудочно-кишечные тракта. В костном мозге быстро развивается аплазия: к третьим суткам в нем остаётся, по данным некоторых авторов, лишь около 10% клеточного состава, что объясняется усиленным выбросом в периферическое русло зрелых форм, прекращением деления и распадом клеток (интерфазная гибель); в последующем митотическая активность на некоторое время возобновляется, но делящиеся клетки погибают в процессе митоза. Быстрое и значительное клеточное опустошение сопровождается как бы викарным полнокровием сосудов костного мозга с разрывами сосудистых стенок и образованием полей кровоизлияний. В периоде разгара острой Лучевая болезнь в костном мозге почти не остаётся обычной кроветворной ткани, видны преимущественно элементы стромы и плазматические клетки (рисунок). Поражение лимфоидной ткани и костного мозга приводит к снижению иммунобиологический реактивности организма и создаёт благоприятные условия для развития разнообразных осложнений, главным образом аутоинфекционного характера.



Информация об Ordo Deus Перейти в оглавление сайта

Рис
Микропрепарат костного мозга животного в период разгара острой лучевой болезни: клетки кроветворной ткани указаны стрелками; × 100.





Информация об Ordo Deus Перейти в оглавление сайта

Макропрепараты внутренних органов при лучевой болезни.
Рис. 1. Макропрепарат гортани и ротовой части глотки с некротическими изменениями миндалин (очаги некроза указаны стрелками). Рис. 2. Макропрепарат лёгких и трахеи с апоплексией отдельных долей лёгкого, кровоизлияниями под плевру, в слизистую оболочку трахеи и в области корня лёгкого (указаны стрелками). Рис. 3. Макропрепарат сердца с множественными кровоизлияниями под эпикард левого желудочка и левого предсердия (указаны стрелками). Рис. 4. Макропрепарат тонкого и толстого кишечника с обширными кровоизлияниями в брыжейку тонкого кишеч¬ника, под серозную оболочку и в толстый кишечник (указаны стрелками).



При выздоровлении обнаруживаются явления регенерации кроветворных клеток, но даже спустя длительное время на фоне снижения общего числа клеток костного мозга, как правило, обнаруживается задержка дифференцировки и созревания клеток; в гематологические препаратах преобладают более молодые клеточные элементы. Регенерация лимфоидной ткани наступает позднее, чем восстановление костного мозга: в лимфатических, узлах формируется корковый слой с диффузным расположением клеточных элементов, затем образуются фолликулы и позже наступает восстановление паракортикального слоя (зона Т-лимфоцитов).

При Лучевая болезнь развиваются типичные изменения половых желёз, особенно мужских. В латентном периоде обнаруживаются прекращение митотического деления и распад эпителия яичек, появление отдельных уродливых крупных и гигантских клеток; в период разгара заболевания в канальцах яичек отсутствует герминативный эпителий, сохраняются лишь отдельные сперматогонии и клетки Сертоли. В яичниках наблюдаются дистрофические и некробиотические изменения, которые первоначально наступают в более зрелых фолликулах и заключаются в гибели яйцеклеток, а несколько позже — клеток внутреннего слоя зернистой оболочки.

Высокочувствительна к ионизирующему излучению слизистая оболочка тонкого кишечника, ранние изменения которой проявляются деструкцией и подавлением митотической активности клеток эпителия крипт с появлением патологический форм митоза. К моменту развития выраженных клинические, признаков заболевания эти изменения, как правило, исчезают. Терминальные изменения связаны с расстройством крово и лимфообращения, аутоинфекционными процессами: слизистая оболочка отёчна, имеются участки изъязвлений и некроза, на поверхности которых видны расплавленные массы фибрина, слизь и колонии микроорганизмов; почти полностью отсутствуют лейкоцитарная инфильтрация, пролиферация местных соединительнотканных и эпителиальных клеток. Крупные пищеварительные железы относятся к категории малочувствительных к ионизирующему излучению органов, однако при микроскопическом исследовании, например, в печени, обнаруживаются нарушения кровообращения и признаки дистрофии, а к моменту гибели — значительные деструктивные изменения с признаками микробной и вирусной инвазии (смотри полный свод знаний Гепатит, лучевой).

В сердечно-сосудистой системе при острой Лучевая болезнь глубокие изменения локализуются главным образом в мелких сосудах, что имеет значение в патогенезе геморрагического диатеза. Морфологически признаки увеличивающейся проницаемости сосудов в виде отёка стенки, некоторого набухания и отслойки эндотелия, нарастающего периваскулярного отёка и разволокнения сосудистых стенок обнаруживаются ещё до возникновения кровоизлияний. В период разгара Лучевая болезнь видны диапедезные кровоизлияния, диффузное пропитывание стенок сосудов эритроцитами и явления плазморрагии. В сердце имеются дистрофические изменения мышечных волокон, кровоизлияния под эндокард, в миокард и особенно под эпикард.

В лёгких при острой Лучевая болезнь обнаруживаются изменения, связанные с нарушением кровообращения и инфекционные осложнениями, среди которых особого внимания заслуживает так называемый агранулоцитарная пневмония, сопровождающаяся выпадением серозно-фибринозно-геморрагического экссудата, формированием очагов некроза с колониями микроорганизмов без перифокальной воспалительной реакции.

В почках при острой Лучевая болезнь наблюдаются главным образом нарушение кровообращения и высокая проницаемость сосудов: в их ткани видны кровоизлияния, в просветах капсул клубочков накапливается белковая жидкость с примесью эритроцитов, отмечаются дистрофические изменения эпителия извитых канальцев.

Для острой Лучевая болезнь характерно глубокое нарушение деятельности желёз внутренней секреции, которое первоначально оценивается как проявление усиленной функции; в дальнейшем наступает относительная нормализация, а в периоде разгара заболевания выявляются признаки функциональный истощения желёз. После лучевого воздействия в летальных дозах в гипофизе наступает дегрануляция хромофильных клеток; в щитовидной железе уменьшаются размеры фолликулов, гипертрофируется фолликулярный эпителий, отмечается вакуолизация и рассасывание коллоида. В коре надпочечников происходит перераспределение жировых включений, в мозговом слое наблюдается уменьшение количества и иногда полный выход из клеток хромаффинных включений.

В рыхлой соединительной ткани — дистрофические изменения, распад клеток, резкое уменьшение количества и сдвиг соотношения клеточных форм в пользу зрелых, деструкция волокон и межуточного вещества. В костной ткани — явления резорбции костного вещества.

Изменения в нервной системе при острой Лучевая болезнь в форме реактивных явлений или деструкции развиваются параллельно с сосудистыми расстройствами, имеют очаговый характер и локализуются в нервных клетках, волокнах и окончаниях.

При дозах облучения 1000—2000 рад доминируют лучевые повреждения тонкого кишечника (кишечная форма острой Лучевая болезнь): слизистая оболочка истончена, покрыта немногочисленными, грубо изменёнными эпителиальными клетками, местами обнажена подслизистая основа стенки кишки. Эти изменения обусловлены гибелью и прекращением физиологический обновления кишечного эпителия в условиях продолжающегося слущивания клеток с поверхности ворсин слизистой оболочки в соответствии с жизненным циклом ткани. Аналогичные изменения стенки кишки могут также развиваться при локальном облучении области живота или даже отдельных петель кишечника.

При дозе облучения от 2000 до 5000 рад, особенно при неравномерном воздействии, преобладают выраженные нарушения гемодинамики, главным образом в кишечнике и печени, с резким переполнением кровью капилляров, венозных сосудов и появлением кровоизлияний. Слизистая оболочка тонкого кишечника выглядит умеренно набухшей, в печени отмечаются микронекрозы и дискомплексация паренхимы.

Так называемый нервная форма острой Лучевая болезнь развивается при облучении в дэзах свыше 5000 рад. При этом в головном мозге превалируют нарушения кровообращения и ликворообращения с развитием отёка мозга.

Клиническая картина. В клинические, течении острой Лучевая болезнь (главным образом костномозговой формы) различают четыре периода: начальный, или период первичной общей реакции; скрытый, или латентный, период видимого клинические, благополучия; период разгара, или выраженных клинические, проявлений; период восстановления.

Период первичной общей реакции продолжается от нескольких часов до 1—2 суток, характеризуется преобладанием нервно-регуляторных сдвигов, главным образом рефлекторных (диспептический синдром); перераспределительными сдвигами в составе крови (чаще нейтрофильный лейкоцитоз); нарушениями деятельности анализаторных систем. Обнаруживаются симптомы прямого повреждающего действия ионизирующего излучения на лимфоидную ткань и костный мозг: уменьшение числа лимфоцитов, гибель молодых клеточных элементов, возникновение хромосомных аберраций в клетках костного мозга и лимфоцитах. Характерные клинические, симптомы в начальном периоде — тошнота, рвота, головная боль, повышение температуры, общая слабость, эритема. В период первичной общей реакции на фоне развивающейся общей слабости и вазовегетативных сдвигов появляются повышенная сонливость, заторможенность, чередующиеся с состоянием эйфорического возбуждения. При острой Лучевая болезнь тяжёлой и крайне тяжёлой степени возникают менингеальные и общемозговые симптомы с нарастающим помрачением сознания (от гиперсомнии до сопора и комы), что в период восстановления может сказываться на структуре формирующегося психоневрологического синдрома.

Латентный период продолжается в зависимости от дозы облучения от 10—15 дней до 4—5 недель и характеризуется постепенным нарастанием патологический изменений в наиболее поражаемых органах (продолжающееся опустошение костного мозга, подавление сперматогенеза, развитие изменений в тонком кишечнике и коже) при некотором стихании общих нервно-регуляторных нарушений и, как правило, удовлетворительном самочувствии больных.

Переход к периоду выраженных клинические, проявлений наступает в различные сроки для отдельных тканевых элементов, что связано с длительностью клеточного цикла, а также неодинаковой их адаптацией к действию ионизирующего излучения. Ведущими патогенетическими механизмами являются: глубокое поражение системы крови и ткани кишечника, угнетение иммунитета (смотри полный свод знаний Иммунология радиационная), развитие инфекционных осложнений и геморрагических проявлений, интоксикация. Продолжительность периода выраженных клинические, проявлений не превышает 2—3 недель. К концу этого срока на фоне ещё выраженной цитопении возникают первые признаки регенерации костного мозга. В этом периоде острой Лучевая болезнь, вызванной ионизирующим излучением в дозе, превышающей 250 рад, без проведения лечебный мероприятий возможен смертельный исход, непосредственными причинами которого является костномозговой синдром с присущими ему геморрагическими проявлениями и инфекционные осложнениями.

В периоде восстановления общее состояние больных заметно улучшается, температура снижается до нормальных цифр, исчезают геморрагические проявления, происходит отторжение некротических масс и заживление неглубоких эрозий на коже и слизистых оболочках; со 2—5-го месяцев нормализуется функция потовых и сальных желёз кожи, возобновляется рост волос. В целом период восстановления охватывает 3—6 месяцев и характеризуется, особенно при путём формах Лучевая болезнь, тем, что наряду с регенерацией в повреждённых органах длительное время сохраняется повышенная истощаемость и функциональный недостаточность регуляторных процессов, особенно в сердечно-сосудистой и нервной системах. Полное завершение восстановительных процессов в зависимости от тяжести Лучевая болезнь может затягиваться на 1—3 года.

Решающее влияние на течение Лучевая болезнь оказывают условия лучевого воздействия и величина поглощённой дозы. Так, при пролонгированном облучении от нескольких часов до 3—4 суток первичная реакция в виде тошноты, рвоты, слабости возникает позже, чем при кратковременном (импульсивном) воздействии в той же дозе, хотя других различий в течении и тяжести заболевания не выявляется. При пролонгированном фракционированном облучении длительностью более 10 суток чёткая цикличность в формировании заболевания исчезает, первичная реакция может отсутствовать, период разгара растягивается; замедленно протекает период восстановления. У больных развивается костномозговая форма Лучевая болезнь с подострым течением различной степени тяжести; общая тяжесть заболевания при этом ниже, чем при одномоментном облучении в той же дозе. При неравномерном облучении общая тяжесть поражений снижается, основные закономерности течения заболевания (цикличность, угнетение кроветворения) выявляются менее отчётливо, на первый план выступают симптомы поражения наиболее облучённых органов и тканей. При Лучевая болезнь, возникающей в результате облучения с преобладанием нейтронного компонента, возможна несколько большая интенсивность первичной реакции и раннее появление местных лучевых повреждений кожи, подкожной клетчатки, слизистой оболочки полости рта; характерно более частое и раннее возникновение желудочно-кишечные расстройств. При сочетанном гамма и бета-облучении клинические, картина поражения складывается из симптомов острой Лучевая болезнь, сочетающейся с бета-поражением открытых участков кожи и бета-эпителиитом кишечника. Общая первичная реакция при этом сопровождается явлениями раздражения конъюнктивы и верхних дыхательных путей; более выражены диспептические расстройства. Поражения кожи менее глубоки, чем при гаммаоблучении, и отличаются относительно благоприятным течением. Типичными отдалёнными последствиями острой Лучевая болезнь являются лучевые катаракты (смотри полный свод знаний), при путём формах могут быть лейкоцитопения, тромбоцитопения, умеренная общая астенизация и вегетативная дисфункция, очаговые неврологический симптомы. В некоторых случаях встречаются нарушения со стороны эндокринной системы — гипофункция гонад и щитовидной железы. Спустя 6 —10 лет после однократного облучения, особенно в дозах, превышающих 100 рад, некоторые авторы отмечали рост числа случаев миелолейкоза (смотри полный свод знаний Лейкозы).

В зависимости от величины поглощённых доз облучения острую Лучевая болезнь по тяжести подразделяют на четыре степени:

I степень — лёгкая (доза 100—200 рад); II степень — средняя (доза 200—400 рад);

II степень — тяжёлая (доза 400— 600 рад); IV степень — крайне тяжёлая (доза более 600 рад). При острой Лучевая болезнь лёгкой степени у некоторых больных могут отсутствовать признаки первичной реакции, но у большинства через несколько часов после облучения отмечается тошнота, возможна однократная рвота. При острой Лучевая болезнь средней степени тяжести отмечается выраженная первичная реакция, проявляющаяся главным образом рвотой, которая наступает через 1—3 часа и прекращается через 5—6 часов после воздействия. При острой Лучевая болезнь тяжёлой степени рвота возникает через 30 минут— 1 час после облучения и прекращается через 6—12 часов; заканчивается первичная реакция через 6 —12 часов При крайне тяжёлой степени Лучевая болезнь первичная реакция начинается рано: рвота возникает через 30 минут после облучения, носит мучительный, неукротимый характер.

III степень — крайне тяжёлая степень острой Лучевая болезнь— в зависимости от уровня доз проявляется в нескольких клинические, формах: переходной, кишечной, токсической и нервной.

Переходная (между костномозговой и кишечной) форма (600— 1000 рад): в основе её патогенеза лежит депрессия кроветворения, однако в клинические, картине существенное место занимают признаки поражения кишечника; первичная реакция длится 3—4 дня (возможно развитие эритемы, жидкий стул), с 6—8-го дня могут выявляться энтероколит, энтерит, лихорадка. Общее течение заболевания тяжёлое, выздоровление возможно лишь при своевременном лечении.

Кишечная форма (1000—2000 рад): первичная реакция тяжёлая и длительная, наблюдается развитие эритемы, жидкий стул; в 1-ю недель возникают выраженные изменения слизистой оболочки полости рта и глотки, температура субфебрильная, стул нормализуется; резкое ухудшение состояния наступает на 6— 8-й день заболевания — лихорадка (до t° 40°), тяжёлый энтерит, обезвоживание, кровоточивость, инфекционные осложнения.

Токсемическая форма (2000—5000 рад): первичная реакция, как при кишечной форме; непосредственно после воздействия возможно кратковременное коллаптоидное состояние без потери сознания; на 3—4-е суток развивается тяжёлая интоксикация, гемодинамические нарушения (слабость, артериальная гипотония, тахикардия, олигурия, азотемия), с 3—5-х суток — общемозговые и менингеальные симптомы (отёк мозга).

Нервная форма (при облучении в дозе свыше 5000 рад): непосредственно после облучения возможен коллапс с потерей сознания, после восстановления сознания (при отсутствии коллапса — в первые минуты после воздействия) возникает изнуряющая рвота и понос с тенезмами; в дальнейшем нарушается сознание, возникают признаки отёка мозга, прогрессирует артериальная гипотония, анурия; смерть наступает на 1—3-и суток при явлениях отёка мозга.

Тяжёлая и крайне тяжёлая формы Лучевая болезнь осложняются местными лучевыми повреждениями (смотри полный свод знаний), которые возможны и при острой Лучевая болезнь меньшей тяжести с избирательным переоблучением отдельных участков тела. Местные лучевые повреждения имеют аналогичную общим фазность течения, однако латентный период их относительно короче и выраженные клин. проявления наблюдаются в первые 7—14 дней, то есть в сроки, когда общие признаки Лучевая болезнь выражены слабо.

Лечение. Первым мероприятием после получения информации об облучении и возможной его дозе является вывод поражённого из зоны воздействия ионизирующего излучения; при радиоактивном загрязнении — санитарный обработка, дезактивация кожных покровов и видимых слизистых оболочек, обильное промывание желудка. Для купирования первичной реакции используют противорвотные средства (дифенидол, этаперазин, атропин, аминазин, аэрон); при длительной неукротимой рвоте и связанной с ней гипохлоремии вводят внутривенно 10% раствор хлорида натрия, а при угрозе коллапса и понижения артериальное давление — реополиглюкин или глюкозу в сочетании с мезатоном или норадреналином; при явлениях сосудистой и сердечной недостаточности назначают коргликон, строфантин, кордиамин.

В латентном периоде Лучевая болезнь режим больного — щадящий. Применяют седативные средства, транквилизаторы. При острой Лучевая болезнь крайне тяжёлой степени показана трансплантация аллогенного или сингенного костного мозга, совместимого по системе АВО, Rh-фактору и типированного по НLA-антигенам под контролем MLC-теста (смотри полный свод знаний Трансплантация костного мозга), количество костномозговых клеток в трансплантате должно составлять не менее 10— 15 млрд. Трансплантация костного мозга может быть эффективна в диапазоне доз общего облучения 600— 1000 рад.

При острой Лучевая болезнь II — III степени уже в латентном периоде необходимо стремиться к созданию асептического режима — рассредоточение больных, помещение их в изолированные боксированные палаты, снабжённые бактерицидными лампами, или стерильные боксы (смотри полный свод знаний Палата стерильная). При входе в палату персонал надевает марлевые респираторы, дополнительный халат и обувь, находящуюся на коврике, смоченном 1% раствором хлорамина. Воздух и предметы, находящиеся в палате, подвергаются систематическому бактериологические контролю.

Профилактику инфекционные осложнений начинают на 8—15-й день в зависимости от прогнозируемой тяжести острой Лучевая болезнь и в любые сроки при снижении количества лейкоцитов крови до 1000 в 1 микролитров крови. С профилактической целью используют бактерицидные антибиотики широкого спектра действия (оксациллин, ампициллин) по 0,5 грамм внутрь четыре раза в сутки; ампициллин может быть заменён канамицином, который вводят внутримышечно два раза в сутки по 0,5 грамм в 3—4 миллилитров 0,25—0,5% раствора новокаина или в изотоническом растворе хлорида натрия. Возможно применение других антибактериальных препаратов, например, сульфаниламидов пролонгированного действия, которые менее целесообразны в профилактических целях при прогнозировании глубокой цитопении (менее 1000 лейкоцитов и менее 100—500 гранулоцитов в 1 микролитров крови). Важными мероприятиями, предупреждающими инфекционные осложнения у больных острой Лучевая болезнь, являются тщательный уход за полостью рта и гигиенические обработка кожного покрова растворами антисептиков. Для введения любых препаратов предпочтителен внутривенный путь с помощью постоянного катетера, установленного в подключичной вене. Показаны средства, уменьшающие патологический афферентацию от поражённых органов и тканей, особенно при развитии местных повреждений — внутривенное введение раствора новокаина, а также применение его в виде регионарных блокад. На поражённые участки кожи накладывают повязки, смачиваемые растворами риванола, фурацилина. Поражённые участки охлаждают доступными средствами; пузыри на коже сохраняют, уменьшая их напряжение путём прокола.

В период разгара острой Лучевая болезнь необходим постельный режим с максимальной изоляцией больного для предотвращения экзогенного инфицирования. В случаях с выраженным лучевым повреждением слизистой оболочки рта и глотки целесообразно назначать питание через носовой зонд полноценной по составу, специально обработанной пищей. Появление признаков инфекционных осложнений является показанием к применению максимальных терапевтических доз бактерицидных антибиотиков, которые назначают эмпирически ещё до определения вида возбудителя. Эффект оценивают по снижению температуры, клинические, признакам регрессии очага воспаления и улучшению общего состояния больного в течение ближайших 48 часов; при положительном эффекте продолжают вводить препараты в полной дозе до нормализации картины крови. При отсутствии очевидного улучшения указанные антибиотики заменяют цепорином (цефалоридин) в дозе 3—6 грамм в сутки и сульфатом гентамицина по 120—180 миллиграмм в сутки. По неотложным показаниям замену производят без учёта данных бактериологические исследования, при этом может быть добавлен ещё один бактерицидный антибиотик. Антибиотики для лечения инфекционные осложнений вводят с интервалами, не превышающими 6 часов. Через 7—8 дней при сохранении симптомов агранулоцитоза или возникновении нового очага воспаления меняют препараты. Для профилактики грибковой инфекции больным назначают нистатин. Проводят систематические бактериологические исследования с идентификацией микрофлоры, определением её чувствительности к антибиотикам.

Чем выше уровень лейкоцитов в крови, тем в большей мере оправдано применение бактериостатических антибиотиков и сульфаниламидов, а их парентеральное введение может быть заменено приёмом внутрь. Отмена антибиотиков возможна при клинические, признаках ликвидации очагов инфекции и достижении уровня гранулоцитов выше 2000 в 1 микролитров крови. При путём стафилококковых поражениях слизистой оболочки рта и глотки, при пневмонии и септицемии показано применение антистафилококковой плазмы или антистафилококкового гамма-глобулина.

Для борьбы с геморрагическим синдромом применяют средства, восполняющие дефицит тромбоцитов: нативная или свеже-заготовленная кровь, тромбоцитная масса (смотри полный свод знаний), а также средства, усиливающие коагулирующие свойства крови (аминокапроновая кислота, амбен, сухая плазма), влияющие на проницаемость сосудистой стенки (аскорутин). При кровотечениях из носа и раневых поверхностей назначают препараты местного действия: гемостатическую губку, фибринную плёнку (смотри полный свод знаний Фибринная губка, пленка), сухой тромбин и другие

При развитии анемии проводят переливание, в том числе и прямое, одногруппной резус-совместимой крови (смотри полный свод знаний Переливание крови), эритроцитной массы (смотри полный свод знаний), взвеси замороженных и отмытых эритроцитов. Для борьбы с токсемией используют внутривенное капельное введение изотонического раствора хлорида натрия, глюкозы, гемодеза, реополиглюкина и других жидкостей, иногда в сочетании с диуретиками — при прогнозировании и развитии отёка головного мозга. При выраженном желудочно-кишечные синдроме необходимо специальное питание (протёртая пища, обволакивающие средства), спазмолитики; при путём поражениях кишечника показано парентеральное питание (смотри полный свод знаний) с использованием белковых гидролизатов (смотри полный свод знаний).

Отёк и нарастающие боли в участках, подвергшихся значительному переоблучению, являются показанием к применению антиферментных препаратов: контрикала (трасилола) с последующим вливанием гемодеза, реополиглюкина, неокомпенсана и диуретиков. При этом благоприятный обезболивающий эффект наступает непосредственно в момент введения, противоотёчный — спустя некоторое время. Кроме того, применяют средства, улучшающие микроциркуляцию и обменные процессы: ангинин (пармидин), гливенол (трибенозид), солкосерил. При некрозе тканей и особенно появлении признаков тяжёлой интоксикации и сепсиса, поддерживаемых местным инфекционно-некротическим процессом, показана некрэктомия (смотри полный свод знаний). Ампутацию желательно проводить на 5—6-й неделе, то есть при улучшении показателей крови, причём объем операции должен быть максимально сокращён. Последующие реконструктивно-пластические операции проводят в зависимости от клинические, показаний и прогноза в несколько этапов по завершении периода восстановления.

В периоде восстановления при Лучевая болезнь с целью стабилизации кроветворения и функции центральная нервная система применяют небольшие дозы анаболических стероидов — метандростенолон (неробол), ретаболил, витамины, главным образом группы В; рекомендуется диета, обогащённая белковыми продуктами и железом. Двигательный режим под контролем общего самочувствия и реакции сердечно-сосудистой системы постепенно расширяется. Исключительно важна рациональная психотерапия и правильная ориентация пациента в трудовом и жизненном прогнозе. Сроки выписки из стационара при отсутствии местных поражений, как правило, не превышают 2—3 месяцев от момента облучения, возвращение к трудовой деятельности при острой Лучевая болезнь II — степени возможно через 4—6 месяцев. После стационарного лечения показано пребывание в общесоматическом санатории и последующее диспансерное наблюдение.

Этапное лечение. При применении ядерного оружия возможно большое количество поражённых гамма и нейтронным излучением. При этом в зависимости от степени защищённости людей облучение может быть равномерным и неравномерным. Острая Лучевая болезнь может возникнуть и в результате облучения людей, находящихся на местности, загрязненной продуктами ядерного взрыва (ПЯВ), где тяжесть радиационного поражения в основном определяет внешнее гамма-облучение, которое в период выпадения радиоактивных осадков может сочетаться с загрязнением кожи, слизистых оболочек и одежды ПЯВ, а в ряде случаев с их проникновением внутрь организма (смотри полный свод знаний Инкорпорирование радиоактивных веществ).

Первая медицинская помощь (смотри полный свод знаний) в очаге ядерного взрыва, а также на местности, загрязнённой ПЯВ (в том числе в условиях ГО), направлена на снятие диспептических симптомов первичной реакции на облучение с помощью противорвотного средства из индивидуальной аптечки (смотри полный свод знаний Аптечки). К этому сводятся и мероприятия доврачебной помощи на БМП.

При оказании первой врачебной помощи (смотри полный свод знаний) в ПМП и ОПМ поражённые с загрязнением ПЯВ кожи и одежды выше допустимого уровня подлежат частичной санитарной обработке (смотри полный свод знаний). Здесь же проводится медицинский сортировка (смотри полный свод знаний Сортировка медицинская), основанная на ранней диагностике и прогнозировании тяжести радиационного поражения, в том числе по данным индивидуальной дозиметрии (смотри, полный свод знаний Дозиметрия ионизирующих излучений), а также путём оценки времени появления и выраженности диспептического синдрома первичной реакции на облучение. При лёгкой первичной реакции ограничиваются дачей внутрь противорвотного средства, при выраженной — противорвотные средства вводят парентерально (2,5% раствор аминазина по 1 миллилитров внутримышечно, 0,1% раствор атропина 1 миллилитров подкожно). Поражённых из ПМП эвакуируют в МСБ (или ОМО), а в условиях ГО — в больницы больничной базы (смотри полный свод знаний) МСГО.

При оказании квалифицированной медицинской помощи (смотри полный свод знаний) в МСБ (или ОМО) учитывают тяжесть Лучевая болезнь, которую можно уточнить с помощью гематологические показателей. В условиях МСБ (или ОМО) это не всегда возможно, особенно при массовом поступлении поражённых. Первичные признаки лучевого поражения позволяют ориентировочно прогнозировать тяжесть заболевания и провести сортировку пострадавших с выделением следующих групп: легкопоражённых, которых направляют в госпиталь для легкораненых (смотри полный свод знаний); поражённых с Лучевая болезнь средней и тяжёлой степени, которые нуждаются в ближайшие часы и сутки в неотложной медпомощи в связи с необходимостью купирования явлений первичной реакции. Диагностика и прогнозирование тяжести радиационного поражения усложняются при неравномерном и пролонгированном облучении, а также при приёме радиопротекторов (смотри полный свод знаний). Для купирования диспептического синдрома используют противорвотные средства, при неукротимой рвоте и признаках обезвоживания организма вводят изотонический раствор хлорида натрия, для борьбы с тяжёлой сердечно-сосудистой недостаточностью применяют кардиотонические средства, при кровоточивости вводят антигеморрагические препараты, для борьбы с токсемией используют изотонический раствор хлорида натрия, глюкозу, гемодез.

При оказании специализированной медицинской помощи (смотри полный свод знаний) в специализированных госпиталях госпитальной базы (смотри полный свод знаний) и в больницах МСГО большое значение приобретает определение тяжести Лучевая болезнь с помощью гематологические показателей. Так, уровень лимфоцитов более 20% (св. 1000 клеток в 1 микролитров крови) через 2—3 суток наблюдается при острой Лучевая болезнь I степени; 6—20% лимфоцитов (около 500— 1000 клеток в 1 микролитров крови) — при острой Лучевая болезнь II степени; 2—5% лимфоцитов (100—400 клеток в 1 микролитров крови) — при острой Лучевая болезнь степени; 0,5—1% лимфоцитов (до 100 клеток в 1 микролитров крови) — при острой Лучевая болезнь крайне тяжёлой степени. Тяжесть Лучевая болезнь можно уточнить по уровню лейкоцитов в крови, при этом исходят из минимального их содержания в 1 микролитров крови в одном из трёх анализов на 7—10-е суток В этот период времени при острой Лучевая болезнь I степени общее число лейкоцитов составляет 4000—3000 в 1 микролитров крови, при острой Лучевая болезнь II степени — 3000—2000 в 1 микролитров крови, при острой Лучевая болезнь III степени — 2000—1000 в 1 микролитров крови, при острой Лучевая болезнь степени — менее 1000 в 1 микролитров крови.

В комплексной терапии лучевой болезни находят применение гемостимулирующие, противоинфекционные, антигеморрагические, десенсибилизирующие средства. Имеет большое значение витаминотерапия, а в необходимых случаях применяют симптоматические средства.

Хроническая лучевая болезнь

Патологическая анатомия. В морфологической картине при хронической Лучевая болезнь вначале отмечается сочетание одновременно протекающих процессов деструкции и регенерации; в кроветворной ткани нарастающая очаговая гипоплазия комбинируется с островковой гиперплазией. В условиях пролонгированного внешнего лучевого воздействия происходит оживление процессов регенерации; продолжающееся облучение на таком фоне приводит к нарушению и извращению регенерации, к задержке дифференцировки и созревания клеток, что может проявиться цитопенией.

В отдалённые сроки после радиационного воздействия различают возрастные изменения и органную патологию, обнаруживающуюся главным образом в тех органах, где преимущественно реализуется энергия ионизирующего излучения. При этом в случаях грубого повреждения происходит замещение соединительной тканью паренхимы органа. Так, например, развивается пневмосклероз при локальном облучении лёгких в больших дозах (смотри полный свод знаний Пневмосклероз, лучевой), цирроз печени при инкорпорации церия-144, склерозирующий нефроз при поражении полонием-210. Существенные нарушения выявляются в железах внутренней секреции, в центральной и периферической нервной системе. В других органах выявляются признаки атрофии, извращение процессов регенерации и морфологический проявления, свойственные естественному старению. Возрастные изменения под влиянием ионизирующего излучения наступают и проявляются в более ранние сроки.

Характерной особенностью воздействия ионизирующего излучения является высокая онкогенная эффективность, которая обусловлена мутагенным действием и общим подавлением иммунологический реактивности организма. В эксперименте опухоли можно получить при облучении любой ткани, при этом отличительной их особенностью является первичная множественность возникновения и мультицентричность развития. Под влиянием ионизирующего излучения может существенно меняться и спектр спонтанных новообразований.

Клиническая картина. Хронический Лучевая болезнь — заболевание с многообразными клинические, синдромами — развивается при длительном действии ионизирующего излучения в относительно малых, но превышающих допустимые уровни дозах. Характерными чертами хронический Лучевая болезнь являются поражение различных органов и систем, длительность и волнообразность течения, сочетание симптомов повреждения критических органов с восстановительными и приспособительными реакциями адаптивных и регуляторных систем. Выделяют хронический Лучевая болезнь, развивающуюся вследствие общего длительного облучения от внешних источников, а также в результате поступления в организм равномерно и неравномерно распределяющихся радиоактивных нуклидов.

Своеобразием хронический Лучевая болезнь при неравномерном облучении (поступление нуклидов радия, йода, фосфора и другие) является сочетание прогрессирующих глубоких местных изменений со слабо выраженными и поздно проявляющимися признаками общей реакции организма. В этих случаях имеются стёртые проявления заболевания, обнаруживаемые только при специальном исследовании (доклиническая стадия). При общем длительном облучении относительно рано возникают многообразные нарушения нервно-висцеральной, и в первую очередь нервно-сосудистой, регуляции, наблюдаются признаки функциональный недостаточности, а затем и структурного поражения наиболее радиочувствительных органов и систем (смотри полный свод знаний Радиочувствительность). Первоначальная неустойчивость показателей крови сменяется уменьшением числа лейкоцитов (нейтрофилы) и тромбоцитов вследствие нарушения физиологический регенерации клеток белого и мегакариоцитарного рядов костного мозга. Анемия в результате глубокого подавления красного ростка костного мозга наступает редко (лишь при интенсивном облучении) и свидетельствует о тяжёлом лучевом повреждении и неблагоприятном прогнозе. При уменьшении дозы или прекращении облучения в кроветворной системе, как правило, хорошо выражены восстановительные процессы, напряжённость которых таит в себе опасность перехода к патологический регенерации.

Нервно-регуляторные нарушения кровообращения и сердечной деятельности сменяются в дальнейшем более выраженной недостаточностью регионарной гемодинамики: несколько снижается артериальное давление, позднее выявляется умеренное расширение границ сердца, приглушение сердечных тонов, изменение ЭКГ, указывающие на развитие нерезких диффузных изменений миокарда.

Ранние нестойкие сдвиги ферментативной активности и секреторномоторной функции желудочно-кишечные тракта по мере возрастания суммарной дозы облучения сменяются стойким закономерным угнетением секреции. Восстановительные процессы в эпителии слизистой оболочки наблюдаются даже при относительно высоких дозах облучения, возможна патологический регенерация с развитием опухолей желудочно-кишечные тракта. В нервной системе при длительном воздействии ионизирующего излучения постепенно развиваются регуляторные сдвиги, ранее всего сказывающиеся в сфере вегетативно-сосудистой иннервации,— синдром нейроциркуляторной дистонии (смотри полный свод знаний), чаще гипотонического типа. Позднее возникает отчётливая функциональный недостаточность, формируется астенический синдром (смотри полный свод знаний), возможны микроструктурные изменения, обнаруживаемые при морфологический исследовании. В случаях, когда суммарная доза при длительном общем облучении превышает 200—300 рад, возможно появление симптомов, указывающих на лёгкие микронекротические и дистрофические изменения в центральная нервная система. Для хронический Лучевая болезнь характерна астения. Развитие астении происходит исподволь, с колебаниями в интенсивности и заметным утяжелением по мере продолжения воздействия ионизирующего излучения. Нарастают чувство усталости, разбитости, нарушения сна, аффективная несдержанность с повышенной ранимостью и гиперпатией к внешним раздражителям; головные боли приобретают более стойкий характер, иногда сопровождаясь нерезкими оптико-вестибулярными расстройствами и вазовегетативными кризами по типу диэнцефальных. Психозы в собственном смысле, вне состояния расстроенного сознания, наблюдаются редко; в их формировании существенна роль дополнительных факторов.

При действии радиоактивных нуклидов, избирательно накапливающихся в отдельных органах, изменения зависят от уровня доз и анатомо-функциональный особенностей ткани органов. Поражения костных структур (некрозы, опухоли) описаны при воздействии нуклидов стронция и радия; анемия — при путём поражениях нуклидами тория; пневмосклероз и рак лёгкого — от сочетанного пылерадиационного воздействия у работников урановых рудников. При высоких уровнях доз относительно рано возникают дистрофические и некробиотические процессы (остеонекроз, гипопластическая анемия, пневмосклероз); при меньших дозах в отдалённые сроки наблюдается развитие опухолей и лейкозов.

У больших групп людей (население городов Хиросима и Нагасаки), перенёсших Лучевая болезнь или облучение в дозах, превышающих 100 рад на все тело или достигающих 1000 рад на критические органы, выявляются сдвиги в структуре общей заболеваемости и смертности.

Лечение и профилактика. В ряде случаев возникает необходимость в стационарном лечении, при котором лечебный мероприятия зависят от ведущего клинические, синдрома. Общие рекомендации — дозированная физическая нагрузка, правильно организованный режим отдыха и питания, рациональная трудовая деятельность в условиях, исключающих переоблучение, что создаёт оптимальные условия для приспособления к нарушению функции сосудистой регуляции, повышенной мышечной и психической истощаемости, нарушенному взаимодействию различных анализаторных систем и стимулирует восстановительные процессы.

С целью выведения из организма радионуклидов используют механическое удаление путём промывания желудка, очистительных клизм с применением сорбентов, мочегонных и потогонных средств, получение избирательно прочных соединений радионуклидов с так называемый комплексобразователями. При поражении полонием-210 в качестве комплексобразователя используют 5% раствор оксатиола. Для ускорения выведения нуклидов плутония и редкоземельных элементов эффективен пентацин, который вводят внутривенно в виде 5% раствора по 5 мл, на курс лечения 10—20 инъекций или ингаляций того же раствора под контролем радиометрического анализа мочи и кала. При поступлении радиоактивных нуклидов радия и стронция показано назначение внутрь мелкодисперсного сульфата бария (25—50 грамм). Для профилактики поражения радиоактивным йодом используют стабильный йод или йодид калия — 100—300 миллиграмм одномоментно. Основное средство предупреждения хронический Лучевая болезнь— рациональная организация труда и строгое соблюдение принятых норм радиационной безопасности (смотри полный свод знаний Дозы ионизирующих излучений, Предельно допустимые дозы излучения). Регулярное целенаправленное медицинский обследование позволяет выявить начальные признаки Лучевая болезнь или распознать заболевание, при котором противопоказано продолжение работы с источниками ионизирующего излучения. Уменьшение или прекращение контакта с ионизирующим излучением, то есть рациональное трудоустройство, является первым и наиболее важным мероприятием, предупреждающим развитие хронический Лучевая болезнь Своевременно принятые меры могут обеспечить благоприятное течение восстановительных процессов и клинические, выздоровление у лиц, перенёсших хронический

Смотри, полный свод знаний Противолучевая защита.

Голодец Р.Г.; Гембицкий Е.В.; Гуськова А.К.; Краевский H.А.; Лебедев Б.И.

⇐ Перейти на главную страницу сайта

⇑ Вернуться в начало страницы ⇑

Библиотека Ordo Deus ⇒

⇐ Лоу синдром

⇓ Полный свод знаний. Том первый А. ⇓

Людвига ангина ⇒

Все статьи в полном изложении, Вы можете найти в большой медицинской энциклопедии — Главный редактор: академик АН СССР (РАН) и АМН СССР (РАМН) Б.В. Петровский. — Москва издательство «Советская энциклопедия» 1989г.

Внимание! Вы находитесь в библиотеке «Ordo Deus». Все книги в электронном варианте, содержащиеся в библиотеке «Ordo Deus», принадлежат их законным владельцам (авторам, переводчикам, издательствам). Все книги и статьи взяты из открытых источников и размещаются здесь только для чтения.

Вся информация на сайте Ordo Deus находится в свободном доступе. Ordo Deus не предоставляет информацию на платной основе.

Все авторские права сохраняются за правообладателями. Если Вы являетесь автором данного документа и хотите дополнить его или изменить, уточнить реквизиты автора, опубликовать другие документы или возможно вы не желаете, чтобы какой-то из ваших материалов находился в библиотеке, пожалуйста, свяжитесь с нами по e-mail:
info @ ordodeus. ru
Формы для прямой связи с нами находятся в нижней части страниц: контакты и устав «Ordo Deus», для перехода на эти страницы воспользуйтесь кнопкой контакты вверху страницы или ссылкой в оглавлении сайта.

Вас категорически не устраивает перспектива безвозвратно исчезнуть из этого мира? Вы не желаете закончить свой жизненный путь в виде омерзительной гниющей органической массы пожираемой копошащимися в ней могильными червями? Вы желаете вернувшись в молодость прожить ещё одну жизнь? Начать всё заново? Исправить совершённые ошибки? Осуществить несбывшиеся мечты? Перейдите по ссылке: «главная страница».

© Ordo Deus, 2010. При копировании ссылка на сайт http://www.ordo-deus.ru обязательна.