Медуллобластома

Оглавление

  1. Дорога к бессмертию
  2. Бессмертие и религия
  3. Философия бессмертия
  4. Бессмертие и наука
  5. История анабиоза
  6. Смерть
  7. Кора головного мозга
  8. Бессмертие и анабиоз
  9. Анабиоз, медицина и биология
  10. Анабиоз и экономика
  11. Анабиоз и закон
  12. Анабиоз в Антарктиде
  13. Техническое обеспечение анабиоза
  14. Бессмертие и вера
  15. Библиотека Ordo Deus
  16. Контактная страница Ordo Deus

Медуллобластома

Медуллобластома (medulloblastoma; латынь medulla костный мозг + греческий blastos росток, зародыш + -oma; синонимы: саркоматозная глиома, эмбриональная нейроглиоцитома, нейроспонгиома, нейроспонгиобластома, изоморфная глиобластома, сферобластома, гранулобластома) — злокачественная нейроэктодермальная опухоль центральной нервной системы.

Медуллобластома встречается преимущественно у детей; в возрасте до 10 лет обнаруживается в 70% случаев всех внутричерепных опухолей; при этом в 2— 3 раза чаще наблюдается у мальчиков. У взрослых Медуллобластома составляет около 4% от внутричерепных опухолей. Медуллобластома чаще всего располагается в черве мозжечка, прорастая в полушария мозжечка и IV желудочек.

Медуллобластома— дизонтогенетическая опухоль (смотри полный свод знаний), в генезе которой играют роль два фактора: эмбриональный зачаток и малигнизация эмбриональных клеток с утратой ими способности к дифференцировке. По мнению многих патологоанатомов, Медуллобластома относится к глиомам, однако отдельные учёные высказываются за её соединительнотканное происхождение.



Информация об Ordo Deus Перейти в оглавление сайта

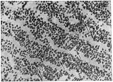
Рис. 1.
Микропрепарат медуллобластомы: ряды опухолевых клеток указаны стрелками; гематоксилин-эозин; × 400.



Макроскопически Медуллобластома имеет вид мягкого узла сероватого или серовато-розового цвета, довольно чётко отграниченного от окружающей ткани. Микроскопически опухоль состоит из густо расположенных недифференцированных клеток, образующих иногда своеобразные ритмические структуры в виде правильных или беспорядочных рядов, которые сравнивают с грядами и колоннами (рисунок 1). Особенно характерны микроскопические структуры в виде так называемый розеток, образованных кольцевидно расположенными опухолевыми клетками, отростки которых сходятся в центре розетки. Опухолевые клетки умеренно полиморфны, с многочисленными митозами. Наряду с гиперхромными мелкими округлыми ядрами в клетках Медуллобластома встречаются овальные и вытянуто-овальные, удлинённые, а также более крупные светлые округло-овальные ядра с чётким ядрышком. Строма опухоли скудная, с небольшим количеством преимущественно мелких, тонкостенных сосудов. Очаги некроза и кисты не типичны. Рост опухоли инфильтративный с прорастанием прилежащей ткани и мягкой оболочки мозга, нередко с вторичным врастанием из оболочки в подлежащую ткань. Медуллобластома метастазирует главным образом по ликворным пространствам, в мягкую оболочку и эпендиму желудочков мозга, в которых определяются плоские, сливающиеся между собой белесоватые узелки (рисунок 2), переходящие в диффузные разрастания. Иногда Медуллобластома даёт метастазы в лимф, узлы, кости, органы желудочно-кишечные тракта.



Информация об Ordo Deus Перейти в оглавление сайта

Рис. 2.
Макропрепарат головного мозга (базальная поверхность) с метастазами медуллобластомы в мягкую оболочку (стрелками обозначены наиболее крупные метастатические узлы).



Клиническая картина. Нередко первые клин, симптомы появляются после ангины, гриппа, детских инфекций, ушибов головы. Заболевание протекает с быстрым нарастанием симптомов повышения внутричерепного давления с преобладанием окклюзионно-гидроцефального синдрома (головные боли и рвота, чаще в утренние часы). При офтальмоскопии обнаруживают отёк дисков зрительных нервов, а на краниограммах, особенно в дошкольном возрасте — расхождение швов черепа и углубление пальцевых вдавлений. Выражены менингеальные симптомы и признаки интоксикации. Очаговая неврологический симптоматика такая же, как при опухолях червя мозжечка (смотри полный свод знаний) и IV желудочка (смотри, полный свод знаний Желудочки головного мозга). При прогрессировании процесса наблюдаются приступы, протекающие с потерей сознания, тоническими экстензионными судорогами, расстройствами дыхания и сердечной деятельности, которые могут быть причиной летального исхода.

Лечение главным образом комбинированное: проводят оперативное удаление опухоли и восстановление оттока цереброспинальной жидкости с последующей послеоперационной лучевой терапией.

Прогноз, как правило, неблагоприятный. Продолжительность жизни больных после лечения составляет от 1,5 до 5 лет.

Бродская И.А.

⇐ Перейти на главную страницу сайта

⇑ Вернуться в начало страницы ⇑

Библиотека Ordo Deus ⇒

⇐ Медленные вирусные инфекции

⇓ Полный свод знаний. Том первый А. ⇓

Мезаденит ⇒

Все статьи в полном изложении, Вы можете найти в большой медицинской энциклопедии — Главный редактор: академик АН СССР (РАН) и АМН СССР (РАМН) Б.В. Петровский. — Москва издательство «Советская энциклопедия» 1989г.

Внимание! Вы находитесь в библиотеке «Ordo Deus». Все книги в электронном варианте, содержащиеся в библиотеке «Ordo Deus», принадлежат их законным владельцам (авторам, переводчикам, издательствам). Все книги и статьи взяты из открытых источников и размещаются здесь только для чтения.

Вся информация на сайте Ordo Deus находится в свободном доступе. Ordo Deus не предоставляет информацию на платной основе.

Все авторские права сохраняются за правообладателями. Если Вы являетесь автором данного документа и хотите дополнить его или изменить, уточнить реквизиты автора, опубликовать другие документы или возможно вы не желаете, чтобы какой-то из ваших материалов находился в библиотеке, пожалуйста, свяжитесь с нами по e-mail:
info @ ordodeus. ru
Формы для прямой связи с нами находятся в нижней части страниц: контакты и устав «Ordo Deus», для перехода на эти страницы воспользуйтесь кнопкой контакты вверху страницы или ссылкой в оглавлении сайта.

Вас категорически не устраивает перспектива безвозвратно исчезнуть из этого мира? Вы не желаете закончить свой жизненный путь в виде омерзительной гниющей органической массы пожираемой копошащимися в ней могильными червями? Вы желаете вернувшись в молодость прожить ещё одну жизнь? Начать всё заново? Исправить совершённые ошибки? Осуществить несбывшиеся мечты? Перейдите по ссылке: «главная страница».

© Ordo Deus, 2010. При копировании ссылка на сайт http://www.ordo-deus.ru обязательна.