Мезенхимома

Оглавление

  1. Дорога к бессмертию
  2. Бессмертие и религия
  3. Философия бессмертия
  4. Бессмертие и наука
  5. История анабиоза
  6. Смерть
  7. Кора головного мозга
  8. Бессмертие и анабиоз
  9. Анабиоз, медицина и биология
  10. Анабиоз и экономика
  11. Анабиоз и закон
  12. Анабиоз в Антарктиде
  13. Техническое обеспечение анабиоза
  14. Бессмертие и вера
  15. Библиотека Ordo Deus
  16. Контактная страница Ordo Deus

Мезенхимома

Мезенхимома (mesenchymoma; мезенхима + -oma; синонимы: ангиофибролипома, рабдомиофиброангиолипома) — опухоль, состоящая из двух или более тканевых мезенхимальных компонентов, сочетающихся с фиброзной тканью. Термин введён в 1948 год Стаутом (А. P. Stout).

Мезенхимома располагается главным образом в толще мышц конечностей и шеи, реже в забрюшинной клетчатке. Встречается в любом возрасте, чаще у мужчин.

Возникновение Мезенхимома, по мнению некоторых патологоанатомов, происходит из плюрипотентных клеток мезенхимы, по мнению других — из метаплазированных её дериватов.

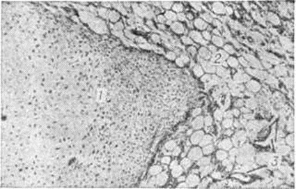
Макроскопически Мезенхимома, как правило, достигает больших размеров, имеет чаще серо-жёлтый цвет, плотноэластическую консистенцию. Микроскопически тканевые компоненты Мезенхимома могут соответствовать зрелым опухолям типа липомы (смотри полный свод знаний), миомы (смотри полный свод знаний), капиллярной ангиомы (смотри полный свод знаний) и другие, иногда могут быть близкими к миосаркоме (смотри полный свод знаний), липосаркоме (смотри полный свод знаний) и некоторым другим опухолям. Наряду с различными сочетаниями жирового, мышечного, хрящевого, костного и других компонентов ткани (рисунок) в Мезенхимома встречаются низкодифференцированные участки эмбрионального вида, построенные из полиморфных клеток овальной, веретенообразной и звездчатой формы, иногда с признаками липобластической дифференцировки, расположенных в миксоматозном основном веществе с небольшим количеством волокон и сосудов капиллярного типа.

Малигнизация Мезенхимома, по данным некоторых патологоанатомов, может наступать за счёт одного или нескольких тканевых компонентов. Метастазирование злокачественных Мезенхимома главным образом гематогенное.



Информация об Ordo Deus Перейти в оглавление сайта

Рис
Микропрепарат доброкачественной мезенхимомы: видны миксохондроматозный (1), Липоматозный (2) и сосудистый (3) компоненты опухолевой ткани; × 130.



Клинические, картина зависит от локализации опухоли и состава её тканевых компонентов.

Лечение оперативное. Прогноз чаще неблагоприятный, после операции возможны рецидивы.

Петровичев H.H.


⇐ Перейти на главную страницу сайта

⇑ Вернуться в начало страницы ⇑

Библиотека Ordo Deus ⇒

⇐ Мезаденит

⇓ Полный свод знаний. Том первый А. ⇓

Мезонефрома ⇒

Все статьи в полном изложении, Вы можете найти в большой медицинской энциклопедии — Главный редактор: академик АН СССР (РАН) и АМН СССР (РАМН) Б.В. Петровский. — Москва издательство «Советская энциклопедия» 1989г.

Внимание! Вы находитесь в библиотеке «Ordo Deus». Все книги в электронном варианте, содержащиеся в библиотеке «Ordo Deus», принадлежат их законным владельцам (авторам, переводчикам, издательствам). Все книги и статьи взяты из открытых источников и размещаются здесь только для чтения.

Вся информация на сайте Ordo Deus находится в свободном доступе. Ordo Deus не предоставляет информацию на платной основе.

Все авторские права сохраняются за правообладателями. Если Вы являетесь автором данного документа и хотите дополнить его или изменить, уточнить реквизиты автора, опубликовать другие документы или возможно вы не желаете, чтобы какой-то из ваших материалов находился в библиотеке, пожалуйста, свяжитесь с нами по e-mail:
info @ ordodeus. ru
Формы для прямой связи с нами находятся в нижней части страниц: контакты и устав «Ordo Deus», для перехода на эти страницы воспользуйтесь кнопкой контакты вверху страницы или ссылкой в оглавлении сайта.

Вас категорически не устраивает перспектива безвозвратно исчезнуть из этого мира? Вы не желаете закончить свой жизненный путь в виде омерзительной гниющей органической массы пожираемой копошащимися в ней могильными червями? Вы желаете вернувшись в молодость прожить ещё одну жизнь? Начать всё заново? Исправить совершённые ошибки? Осуществить несбывшиеся мечты? Перейдите по ссылке: «главная страница».

© Ordo Deus, 2010. При копировании ссылка на сайт http://www.ordo-deus.ru обязательна.