Мошкович болезнь

Оглавление

  1. Дорога к бессмертию
  2. Бессмертие и религия
  3. Философия бессмертия
  4. Бессмертие и наука
  5. История анабиоза
  6. Смерть
  7. Кора головного мозга
  8. Бессмертие и анабиоз
  9. Анабиоз, медицина и биология
  10. Анабиоз и экономика
  11. Анабиоз и закон
  12. Анабиоз в Антарктиде
  13. Техническое обеспечение анабиоза
  14. Бессмертие и вера
  15. Библиотека Ordo Deus
  16. Контактная страница Ordo Deus

Мошкович болезнь

Мошкович болезнь (Е. Moschcowitz, американский врач, 1879—1964; синонимы: микроангиопатическая гемолитическая анемия, тромботическая тромбоцитопеническая пурпура, тромботический микроангиотромбоз, микроангиопатия тромботическая, гемолитическая анемия с микроангиотромбозом, синдром Мошкович) — редкое заболевание, проявляющееся лихорадкой, гемолитической анемией, тромбоцитопенической пурпурой, поражением почек и центральной нервной системы.

В 1925 год Мошкович описала заболевание у 16-летней девушки, сопровождающееся высокой лихорадкой, острым внутрисосудистым гемолизом и геморрагической пурпурой; больная умерла через две недели от начала заболевания. В отечественной литературе Мошкович болезнь описана М. И. Теодори и другими. Поданным Хилла и Купера (J. В. Hill, W. Н. Cooper), к 1968 год было описано более 300 случаев Мошкович болезнь Заболевание может развиться в любом возрасте.

Этиология и патогенез не известны; существуют различные теории о происхождении и развитии заболевания (вирусная, бактериально-аллергическая, токсическая, аутоиммунная). По своим гематологические и патогистологические особенностям Мошкович болезнь близка к системной красной волчанке, синдрому Фишера — Эванса, гемолитико-уремическому синдрому и, повидимому, может быть отнесена к группе иммунопатий. Однако И. Е. Тареева (1972) указывает, что при наблюдении за 268 больными системной красной волчанкой ни разу не удалось отметить развития Мошкович болезнь Антитела у больных Мошкович болезнь обнаруживаются очень редко. В основе заболевания лежит распространённое поражение мелких сосудов с пролиферацией эндотелия, фибриноидным некрозом, образованием в участках повреждения пристеночных и обтурирующих фибриновых и гиалиновых тромбов. Фибрин откладывается сначала субэндотелиально, что сопровождается набуханием эндотелия, сужением просвета сосудов. Прохождение эритроцитов через суженный просвет капилляров, повторный контакт эритроцитов с патологически изменёнными сосудами приводят к фрагментации эритроцитов и к внутрисосудистому гемолизу (смотри полный свод знаний). Даси (J. Y. Dacie,( 1967) считает, Что повреждение эндотелия сосудов и разрушение эритроцитов сопровождается высвобождением тканевого и клеточного тромбопластина с последующим повышением содержания тромбина, агрегацией тромбоцитов, диссеминированным внутрисосудистым свёртыванием, тромбоцитопенией.

Отсутствие комплемента в стенках поражённых сосудов, в клубочковой базальной мембране почек и во внутрисосудистых тромбах, частое обнаружение в участках поражения только фибрина без иммуноглобулина свидетельствуют, по-видимому, о том, что реакция антиген — антитело не играет роли в пусковом механизме болезни. Однако полностью исключить значение иммунных комплексов в патогенезе болезни Мошкович не представляется возможным. грамм

Патологическая анатомия характеризуется микроангиопатией, дистрофическими и некротическими изменениями в различных органах, обусловленными сосудистыми нарушениями, общим гемосидерозом вследствие гемолиза эритроцитов и изменений в органах иммунитета. Макроскопически выявляется геморрагическая пурпура кожи и слизистых оболочек, малокровие органов и тканей, на разрезе — буроватый оттенок ткани печени, селезёнки, лимфатических, узлов и костного мозга вследствие отложений в них гемосидерина. Отмечается увеличение в 1½—2 раза всех лимфатических, узлов и селезёнки с небольшим соскобом пульпы, гиперплазия костного мозга. Инфаркты могут встречаться наиболее часто в головном мозге и почках. На створках клапанов сердца нередко находят бородавчатые наложения с развитием картины эндокардита Либмана — Сакса (смотри полный свод знаний Красная волчанка). Характерны изменения почек: они увеличены, капсула легко снимается, обнажая гладкую поверхность с обильным красным крапом.

Микроскопически во всех органах обнаруживают характерное поражение капилляров, артериол и мелких артерий, которое наиболее выражено в почках и зависит от длительности течения заболевания. При кратковременном течении (до 1 месяца) и обострении процесса преобладают фибриноидное набухание с плазматическим пропитыванием (рисунок 1) с последующим фибриноидным некрозом сосудов и окклюзией просвета эозинофильными PAS-положительными массами, дающими положительную реакцию на фибрин.

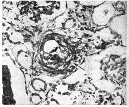
При длительности заболевания более 2 месяцев наряду с фибриноидными изменениями выражены пролиферативные и склеротические. Гематоксилинофильные зернистые массы в сосудах, дающие отрицательную реакцию Коссы на известь и названные Прокшом и Томси (P. Proks, F. Tomsi, 1955) ложноизвестковыми зёрнами, могут быть скоплением микробов или продуктами гемолиза. Они часто встречаются в капиллярах почечных клубочков наряду с фибриноидным некрозом капиллярных петель и окклюзией их эозинофильными массами (рис, 2). В печени, почках, селезёнке, костном мозге, лимфатических, узлах с помощью реакции Перльса обнаруживают скопления гемосидерина. В костном мозге п селезёнке количество плазматических клеток увеличено.



Информация об Ordo Deus Перейти в оглавление сайта

Рис. 1.
Микропрепарат почки при болезни Мошкович: стрелкой указано фибриноидное набухание и плазматическое пропитывание стенки мелкой артерии; окраска гематоксилин-эозином-, × 200.





Информация об Ordo Deus Перейти в оглавление сайта

Рис. 2.
Микропрепарат почки при болезни Мошкович: почечный клубочек (указан стрелкой) с участками фибриноидного некроза (I), окклюзией просветов капиллярных петель (2) эозинофильными массами и скоплением гематоксилинофильных ложноизвестковых зёрен (3); окраска гематоксилин-эозином, × 200.



Клиническая картина. Начало заболевания острое, иногда ему предшествует острое респираторное заболевание, непереносимость лекарственных средств. Первыми признаками . обычно; являются лихорадка, боли в животе, рвота, головные боли. Вскоре появляется резкая бледность и умеренная иктеричность кожных покровов, на коже отмечаются петехии и экхимозы. Может быть мелена, гематурия, маточные кровотечения. Затем присоединяются симптомы поражения головного мозга в виде головных болей, возбуждения, бреда, галлюцинаций, клонических судорог, локальной неврологический симптоматики, спутанного сознания, комы. Почки в связи со множественным поражением сосудов и острым внутрисосудистым гемолизом вовлекаются в процесс особенно часто. Почечный синдром проявляется гипертензией, протеинурией, гематурией, цилиндрурией. Характерно развитие острой почечной недостаточности (смотри полный свод знаний) с появлением олигурии и даже анурии, азотемии, нарушений водно-электролитного баланса.

В крови отмечается лейкоцитоз со сдвигом влево в лейкоцитарной формуле (смотри полный свод знаний), выраженная тромбоцитопения, анемия с ретикулоцитозом. Особенно характерно резкое изменение формы эритроцитов— анизоцитоз, пойкилоцитоз; встречаются обломки эритроцитов и так называемый шлемовидные эритроциты. Содержание билирубина повышено незначительно или нормальное. Прямая проба Кумбса (смотри полный свод знаний Кумбса реакция), как правило, отрицательная.

Течение заболевания может быть бурное, острое или подострое. Различия в клинических проявлениях Мошкович болезнь у взрослых и детей отсутствуют. Продолжительность заболевания от 1—2 недель до нескольких месяцев. Описаны случаи, когда болезнь Мошкович длилась несколько лет.

Диагноз устанавливают на основании характерной клинические, картины и результатов биопсии почек, кожи, слизистой оболочки дёсен, мышц, лимфатических, узлов и трепанобиопсии костного мозга, позволяющих обнаружить характерную морфологическую картину.

Дифференциальный диагноз следует проводить с узелковым периартериитом (смотри полный свод знаний Периартериит узелковый), системной красной волчанкой (смотри полный свод знаний), гемолитико-уремическим синдромом (смотри полный свод знаний т. 15, доп. материалы), затяжным септическим эндокардитом (смотри полный свод знаний), болезнью Верльгофа (смотри полный свод знаний Пурпура тромбоцитопеническая), синдромом Фишера — Эванса (смотри полный свод знаний Фишера — Эванса синдром).

Лечение. Считают целесообразным раннее назначение антикоагулянтной терапии, поскольку в патогенезе заболевания ведущая роль отводится диссеминированному внутрисосудистому свёртыванию. Бернсток и Хирсон (L. Bernstock, С. Hirson, 1960) отмечают ремиссии при лечении гепарином, причём чем раньше начато лечение, тем благоприятнее результаты. Кваан (Н. С. Kwaan, 1968) рекомендует использовать стрептокиназу. Широкое распространение нашли дезагреганты (ацетилсалициловая кислота, дипиридомол). Применяется также ацетилсалициловая кислота в сочетании с преднизолоном, хотя многие гематологи сдержанно относятся к назначению преднизолона. Наиболее эффективным методом терапии считают плазмаферез (смотри полный свод знаний). Гемотрансфузии следует назначать только по жизненным показаниям.

Лечение острой почечной недостаточности проводят с использованием гемодиализа (смотри полный свод знаний) или перитонеального диализа (смотри полный свод знаний). Показания к гемодиализу устанавливаются индивидуально,, в зависимости от клинических симптомов уремической интоксикации, нарушений азотистого, водного и электролитного обмена. В ряде случаев рекомендуют спленэктомию (смотри полный свод знаний).

Прогноз неблагоприятный.

Смотри полный свод знаний Гемолитическая анемия.

Дрозд Т.H.; Скачилова H.H.

⇐ Перейти на главную страницу сайта

⇑ Вернуться в начало страницы ⇑

Библиотека Ordo Deus ⇒

⇐ Мочеполовые свищи

⇓ Полный свод знаний. Том первый А. ⇓

Мраморная болезнь ⇒

Все статьи в полном изложении, Вы можете найти в большой медицинской энциклопедии — Главный редактор: академик АН СССР (РАН) и АМН СССР (РАМН) Б.В. Петровский. — Москва издательство «Советская энциклопедия» 1989г.

Внимание! Вы находитесь в библиотеке «Ordo Deus». Все книги в электронном варианте, содержащиеся в библиотеке «Ordo Deus», принадлежат их законным владельцам (авторам, переводчикам, издательствам). Все книги и статьи взяты из открытых источников и размещаются здесь только для чтения.

Вся информация на сайте Ordo Deus находится в свободном доступе. Ordo Deus не предоставляет информацию на платной основе.

Все авторские права сохраняются за правообладателями. Если Вы являетесь автором данного документа и хотите дополнить его или изменить, уточнить реквизиты автора, опубликовать другие документы или возможно вы не желаете, чтобы какой-то из ваших материалов находился в библиотеке, пожалуйста, свяжитесь с нами по e-mail:
info @ ordodeus. ru
Формы для прямой связи с нами находятся в нижней части страниц: контакты и устав «Ordo Deus», для перехода на эти страницы воспользуйтесь кнопкой контакты вверху страницы или ссылкой в оглавлении сайта.

Вас категорически не устраивает перспектива безвозвратно исчезнуть из этого мира? Вы не желаете закончить свой жизненный путь в виде омерзительной гниющей органической массы пожираемой копошащимися в ней могильными червями? Вы желаете вернувшись в молодость прожить ещё одну жизнь? Начать всё заново? Исправить совершённые ошибки? Осуществить несбывшиеся мечты? Перейдите по ссылке: «главная страница».

© Ordo Deus, 2010. При копировании ссылка на сайт http://www.ordo-deus.ru обязательна.