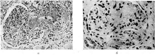
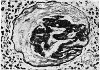
Доброкачественная форма характеризуется артериолосклерозом (рисунок 1), нередко в сочетании с атеросклерозом почечной артерии и её крупных ветвей, атрофическими изменениями групп нефронов с вторичным гиалинозом клубочков (рисунок 2), увеличением соединительнотканной стромы, гиалинозом сосочков пирамид. Макроскопически поверхность почек мелкозернистая, а при сочетании с атеросклерозом — крупнобугристая. По мере нарастания артериолосклеротических изменений, сочетающих плазморрагию (смотри полный свод знаний) и гиалиноз (смотри полный свод знаний), и выключения новых групп нефронов развивается почечная недостаточность (смотри полный свод знаний). Злокачественной форме свойственны фибриноидный некроз артериол (артериолонекроз) и капиллярных петель клубочков (рисунок 3, а), отёк стромы, кровоизлияния, белковая дистрофия эпителия канальцев. Очень быстро в ответ на некротические изменения развивается склероз почек (рисунок 3, б). Подобные изменения могут возникать и при эклампсии (злокачественный постэкламитический Нефросклероз).
Макроскопически поверхность почек пёстрая, мелкозернистая (рисунок 4); почки при этом мало чем отличаются от «большой пёстрой. почки» при гломерулонефрите (смотри полный свод знаний). Артериолонекроз почек ведёт к почечной недостаточности. По Лелейну (М. Lohlein), доброкачественная форма артериолосклеротического Нефросклероз соответствует первой стадии Нефросклероз (начальный Нефросклероз), протекающей клинически без проявлений со стороны почек, а злокачественная форма — второй стадии Нефросклероз (прогрессирующий Нефросклероз), для которой характерно быстрое течение с развитием почечной недостаточности. Однако такая последовательность процесса признается далеко не всеми. По мнению Н. Н. Аничкова, К. Г. Волковой, М. А. Захарьевской, морфология артериолосклеротического нефросклероза отражает особенности течения гипертонической болезни. Атеросклеротический Нефросклероз возникает при сужении (вызванном атеросклеротической бляшкой) почечной артерии у места её отхождения или деления на ветви первого и второго порядка. Чаще этот процесс односторонний, реже двусторонний. В почке развиваются клиновидные участки атрофии паренхимы с коллапсом стромы и замещением этих участков соединительной тканью или инфаркты с последующей их организацией и формированием рубцов (атеросклеротическая сморщенная почка, атеросклеротический нефроцирроз). Макроскопически при этом почка становится крупнобугристой, нередко её трудно отличить от почки при ностинфарктном Нефросклероз Функция такой ночки (почек) страдает мало, так как большая часть её паренхимы остаётся сохранной. В результате ишемии почечной ткани в ряде случаев при стенозирующем атеросклерозе почечных артерий развивается симптоматическая (почечная) гипертензия. Вторичный Нефросклероз, наиболее часто развивающийся при хронический гломерулонефрите, связан не только с гломерулонефритом как таковым (фибропластическая трансформация гломерулярных изменений), но и с теми изменениями сосудов почек, которые постоянно встречаются при этом заболевании, отражая состояние почечной аллергии (пролиферативный эндартериит), артериальную гипертензию (артериолосклероз, артериолонекроз), приспособление сосудистой системы к выключению «периферического русла» почек (прогрессирующий эластофиброз артерий с вторичным липоидозом). часть о., вторичный Нефросклероз всегда имеет черты ангиогенного. Поэтому морфологические критерии дифференциальной диагностики первичного (гипертонического) и вторичного (нефритического) сморщивания почек, как правило, нечёткие. Инволютивные изменения в почках выявляются начиная с 40—50 лет и к 70 годам приводят к сокращению массы действующих нефронов примерно на 40%. Возрастная атрофия почек сопровождается постепенным истончением коркового слоя обеих почек, атрофией канальцевого эпителия вплоть до гибели и замещения канальцев рубцовой тканью. Клубочки подвергаются гиалинозу, и их число постепенно уменьшается. Увеличивающаяся с возрастом резистентность сосудов приводит к запустеванию капилляров клубочков, формированию анастомозов между приводящей и отводящей артериями в обход клубочков. Нефросклероз в старческом возрасте связан прежде всего с возрастными изменениями сосудов почек, поэтому он приближается по механизму развития к первичному. Основные клинические признаки. Клинические, проявления первичного Нефросклероз возникают обычно в поздних стадиях гипертонической болезни как при доброкачественном, так pi злокачественном её течении. Одним из ранних признаков поражения почек могут быть полиурия (смотри полный свод знаний) и никтурия (смотри полный свод знаний), однако никтурия не всегда является следствием полиурии и может свидетельствовать о нарушении суточного ритма работы почек. Протеинурия (смотри полный свод знаний), наблюдаемая при Нефросклероз, обычно небольшая и непостоянная. Нередко при Нефросклероз наблюдается микрогематурия, в ряде случаев может быть макрогематурия (смотри полный свод знаний Гематурия). Уменьшение почечного клиренса (смотри полный свод знаний) при относительном увеличении фильтрационной фракции проявляется уменьшением концентрационной способности почек (гипостенурия), что выявляется с помощью пробы Зимницкого. Соответственно падает удельный вес мочи и её осмолярность. В случае выраженного сосудистого поражения почек, приводящего к значительному уменьшению почечного кровотока, возрастает их прессорное влияние на уровень АД, которое стабилизируется на высоком уровне и трудно поддаётся медикаментозной коррекции (смотри полный свод знаний Гипертензия артериальная). Особенно характерно повышение диастолического артериального давления, которое бывает всегда выше 120—130 миллиметров ртутного столба В связи с этим могут возникать явления перегрузки и недостаточности миокарда левого желудочка, коронарная недостаточность, церебральные геморрагии, отёк сосочка зрительного нерва, отслойка сетчатки, а в ряде случаев и прогрессирующая почечная недостаточность. На обзорных снимках выявляется уменьшение поражённой почки (всей или части), неровность её контуров. При урографии (смотри полный свод знаний) отмечается уменьшение объёма почки и величины коркового слоя. На ангиограммах (смотри полный свод знаний Почечная ангиография) наблюдается сближение и деформация мелких артериальных сосудов (в фазе нефрограммы отчётливо видны уменьшение коркового слоя и неровность очертаний поражённой почки). При радиоизотопной ренографии (смотри полный свод знаний Ренография радиоизотопная) отмечается замедленное накопление, а также замедленное выведение радиофармацевтического препарата из почек. При сцинтиграфии (смотри полный свод знаний) определяется неравномерное распределение радионуклида в ткани поражённой почки, в ряде случаев её изображение может отсутствовать или сохраняются отдельные участки паренхимы. Проявления вторичного Нефросклероз могут варьировать от незначительных нарушений функций почек (клинически не выраженных) до состояний, сопровождающихся тяжёлой артериальной гипертензией, отёками, нефротическим синдромом, существенным снижением функции почек, развитием тяжёлой почечной недостаточности. Общие принципы лечения и профилактики. При Нефросклероз без признаков почечной недостаточности и неустойчивом повышении артериальное давление лечение состоит главным образом в ограничении употребления в пищу поваренной соли (до 0,5 грамм в сутки) и применении гипотензивных средств (производных раувольфии, ганглиоблокаторов, допегита, салуретиков). При развитии почечной недостаточности при нефросклерозе также показано применение гипотензивных средств, однако интенсивная гипотензивная терапия может привести к падению почечного кровотока и нарастанию азотемии; применяют диету с ограничением соли и белков, анаболические средства, леспенефрил, салуретики. При злокачественном течении гипертонической болезни с быстрым развитием нефросклероза и прогрессированием почечной недостаточности, в целях выключения ренинангиотензивного механизма прибегают к эмболизации почечных артерий или нефрэктомии (смотри полный свод знаний), больных переводят на гемодиализ (смотри полный свод знаний) или производят трансплантацию почки (смотри полный свод знаний Пересадка почки). Профилактика нефросклероза заключается в своевременном лечении заболеваний, приводящих к его развитию. Лучевой нефросклероз относится к отдалённым последствиям действия на организм ионизирующего излучения (смотри полный свод знаний) и выявляется через многие месяцы или годы после облучения. Морфологически лучевой Нефросклероз выражается атрофией почечных канальцев, интерстициальным фиброзом и склерозом сосудов почек. Единого взгляда на развитие лучевого Нефросклероз нет. Доминирующей является гипотеза о первичном повреждении почечных клубочков, которое, по мнению ряда исследователей, может быть вызвано факторами иммунологический характера. Существует точка зрения, что лучевой Нефросклероз развивается в результате первичного повреждения ионизирующим излучением сосудов. Возможно, что в основе этого процесса лежит повреждение генетического аппарата эндотелия сосудов почек. Предполагают также, что причиной лучевого Нефросклероз является первичное повреждение почечных канальцев. Иногда лучевой Нефросклероз рассматривают как результат одновременного повреждения паренхимы почек и сосудистой системы. Существует мнение, что в основе лучевого Нефросклероз лежат взаимообусловленные сосудистые нарушения и изменения межуточного вещества почек. Основные сведения о лучевом Нефросклероз получены в экспериментах на животных, а также в результате наблюдений за пострадавшими от взрывов атомных бомб в Хиросиме и Нагасаки и больными, подвергавшимися локальному облучению по поведу опухолей поясничной области. Степень выраженности лучевого Нефросклероз зависит от вида ионизирующего излучения, его дозы и характера распределения дозы во времени и пространстве (смотри полный свод знаний Дозы ионизирующих излучений, Фактор времени облучения). После острого облучения в абсолютно смертельных дозах лучевой Нефросклероз не возникает, так как за короткий период, предшествующий гибели организма, склеротические процессы в почках не успевают развиться. Острая лучевая болезнь лёгкой и средней степени тяжести в отдалённые сроки может завершиться развитием лучевого Нефросклероз При тотальном облучении развитие лучевого Нефросклероз по крайней мере у 50% животных, по данным большинства исследователей, наступает при воздействии в дозе, близкой к 500 рад. Имеются сведения о возникновении лучевого Нефросклероз после тотального воздействия ионизирующего излучения в дозах 100— 300 рад. В условиях локального облучения почек может наблюдаться развитие Нефросклероз в диапазоне доз ионизирующего излучения от 1000 до 2500 рад. В радиол, практике почки рассматривают как критические органы (смотри полный свод знаний) при лучевой терапии по поводу метастазов рака в параортальные лимфатических, узлы, ребра или позвонки с ThXI по LIV, а также по поводу опухолей кишечника, матки, кардиального отдела пищевода и некоторых других органов. Наибольшую осторожность следует соблюдать при проведении нейтронной и протонной терапии, так как эти виды ионизирующего излучения обладают более выраженным эффектом в отношении лучевого Нефросклероз Высокой эффективностью в этом отношении характеризуется также альфа-излучение. В экспериментах показано, что при поражении полонием, выведение которого в основном осуществляется через почки, в отдалённые сроки лучевой Нефросклероз формируется на фоне развивающейся хронический лучевой болезни. Клинически лучевой Нефросклероз в лёгких случаях проявляется протеинурией, незначительной гипертензией; функция почек не нарушается. В тяжёлых случаях развивается гипертензия, не поддающаяся медикаментозному лечению, почечная недостаточность. Лечение симптоматическое (ограничение поваренной соли, гипотензивные средства).
Вас категорически не устраивает перспектива безвозвратно исчезнуть из этого мира? Вы не желаете закончить свой жизненный путь в виде омерзительной гниющей органической массы пожираемой копошащимися в ней могильными червями? Вы желаете вернувшись в молодость прожить ещё одну жизнь? Начать всё заново? Исправить совершённые ошибки? Осуществить несбывшиеся мечты? Перейдите по ссылке: «главная страница».
|
||||||||||||||||||||||||||||||||||||||||||||||||