Невринома

Оглавление

  1. Дорога к бессмертию
  2. Бессмертие и религия
  3. Философия бессмертия
  4. Бессмертие и наука
  5. История анабиоза
  6. Смерть
  7. Кора головного мозга
  8. Бессмертие и анабиоз
  9. Анабиоз, медицина и биология
  10. Анабиоз и экономика
  11. Анабиоз и закон
  12. Анабиоз в Антарктиде
  13. Техническое обеспечение анабиоза
  14. Бессмертие и вера
  15. Библиотека Ordo Deus
  16. Контактная страница Ordo Deus

Невринома

Невринома (neurinoma; греческий neuron нерв + oma; синонимы: шваннома, шванноглиома, неврилеммома, нейринома. леммобластома, периневральная фибробластома) — опухоль, исходящая из клеток невролеммы (шванновской оболочки) нервных стволов. Термин «невринома» предложен Верокаи (J. Verocay, 1910), широко распространён, но не может считаться правильным. Расселл, Рубинстайн (D. S. Russell, L. J. Rubinstein, 1959, 1972) считают, что следует отказаться от этого термина и предлагают заменить его термином «шваннома». В гистологический классификации опухолей центральная нервная система ВОЗ (1979) Невринома обозначена термином «неврилеммома».

Невринома— доброкачественная опухоль, наблюдается в любом возрасте, чаще у женщин. Наиболее частой локализацией Невринома является пред дверно-улитковый нерв (смотри полный свод знаний), значительно реже — другие черепные нервы. Невринома встречается также на спинномозговых корешках (смотри полный свод знаний Спинной мозг, опухоли), на нервах конечностей (особенно верхних), шеи, кожи волосистой части головы, лица, языка, сосудистой оболочки глазного яблока, средостения, желудка, мозгового вещества надпочечников. По данным Уиллиса (R. Willis), Невринома не встречается на стопах, в мочеполовых органах, пищеводе, прямой кишке, лёгких. Существует мнение, основанное на гистологический сходстве и нередком сочетании, что Невринома области мостомозжечкового угла является абортивной формой болезни Реклингхаузена (смотри полный свод знаний Нейрофиброматоз).

Патологическая анатом и я. Макроскопически Невринома имеет вид плотного, отграниченного узла округлой, овальной или неправильной формы, с неровной, бугристой поверхностью, покрытого соединительнотканной капсулой. Ткань опухоли на разрезе бледно-серая, с участками, имеющими жёлтый, ржавый оттенок (отложение жира) или буро-коричневый (старые кровоизлияния) цвет. Окраска ткани может меняться в зависимости от условий кровоснабжения опухоли; при венозном застое она приобретает синюшный оттенок. В Невринома часто встречаются кисты различных размеров, заполненные буро-коричневой жидкостью. Кистозное перерождение может захватывать всю массу опухоли или только часть её. Часто наблюдаются обширные поля фиброза.

Гистологически клетки опухоли образуют фасцикулярные структуры, располагающиеся параллельными рядами (рисунок 1) или в виде завитков. Встречаются особые палисады из палочковидных ядер (рисунок 2), между которыми расположена нежная волокнистость. Последняя образована цитоплазмой этих клеток и тонкими аргирофильными фибриллами, выявляемыми по способу Фута (смотри полный свод знаний Серебрения методы). Раньше предполагали, что эти фибриллы нервного или глиального происхождения. В современной литературе считается, что они скорее всего представляют собой ретикулярные волокна. По методу Ван-Гизона (смотри полный свод знаний Ван-Гизона метод) фибриллы окрашиваются в желтоватый или розоватый цвет. В длительно растущих и рецидивирующих Невринома количество коллагеновых волокон возрастает. Они могут подвергаться гиалинозу (смотри полный свод знаний).

Традиционно различают два гистологический типа Невринома: тип Верокаи, или тип А, и тип Антони, или тип Б. Однако это разделение условно и практического значения для диагностики не имеет. Б. Г. Егоров при исследовании Невринома преддверно-улиткового нерва обнаружил, что их структурное многообразие зависит не от изначальных свойств опухолевой ткани, а от деструктивных и рубцовых процессов. Микроскопическое строение опухоли на разных стадиях роста может быть различным в зависимости от интенсивности дистрофических процессов и нарушений кровообращения, которые характерны для Невринома и приводят к утрате типичного гистологический строения: ядерноплазматические ленты исчезают, появляются сетчатые структуры, напоминающие ткань астроцитомы, наблюдается отложение в цитоплазме жира и появление обширных полей ксантомных клеток. Нарушение кровообращения сопровождается скоплениями гемосидерина и разрастанием фиброзной ткани. Все это создаёт пёструю гистологический картину. Количество сосудов в ткани опухоли значительно колеблется. Периферические отделы обычно окружены богатой сосудистой сетью; в центральных участках количество сосудов варьирует от одиночных, расположенных среди фасцикулярных структур, до сосудистых клубков, напоминающих по строению кавернозную ангиому. Стенки сосудов тонкие, иногда образованы одним слоем эндотелия, но могут встречаться сосуды с резко утолщёнными гиалинизированными стенками.

Многообразные изменения, возникающие в результате присущих Невринома дистрофических процессов, послужили поводом для выделения различных гистологический типов: эпителиоидного (с плотным расположением клеток и слабой выраженностью волокнистой ткани), ангиоматозного (с образованием кавернозных полостей), ксантоматозного (со значительными скоплениями ксантомных клеток) и так далее.



Информация об Ordo Deus Перейти в оглавление сайта

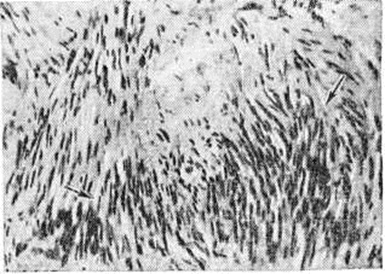
Рис. 1.
Микропрепарат невриномы: клетки опухоли образуют фасцикулярные структуры, располагающиеся параллельными рядами (указаны стрелками); окраска гематоксилин-эозином, × 120.





Информация об Ordo Deus Перейти в оглавление сайта

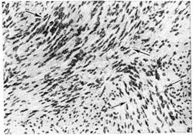
Рис. 2.
Микропрепарат невриномы типа Верокаи (тип А): палисадообразные структуры из палочковидных ядер (указаны стрелками); окраска гематоксилин-эозином, × 100



Невринома, как правило, не инфильтрирует окружающие ткани, но вызывает их интенсивное сдавление. Неоднократные рецидивы Невринома преддверно-улиткового нерва обусловлены не злокачественным перерождением, а ростом нерадикально удалённой опухоли. К так называемый центральным Невринома иногда относят опухоли головного мозга типа полярной спонгиобластомы, в которых также встречается палисадообразное расположение ядер.

Существование злокачественных Невринома доказано, хотя они и редки. По данным Уиллиса, малигнизация Невринома сопровождается видоизменением их морфологический картины, которая приобретает сходство с так называемый неврогенными саркомами (смотри полный свод знаний Саркома).

При гистологический исследовании Невринома мостомозжечкового угла нередко возникает необходимость дифференциальной диагностики с арахноидэндотелиомой (смотри полный свод знаний Менингиома) и астроцитомой (смотри полный свод знаний): для Невринома характерна связь с нервами, арахноидэндотелиома в большинстве случаев связана с твёрдой мозговой оболочкой. Гистологический диагностика этих опухолей не представляет особых трудностей, за исключением фибробластической арахноидэндотелиомы, для которой также характерны пучковые структуры. В таких случаях следует учитывать всю совокупность гистологический признаков: вытянутые клетки арахноидэндотелиомы отличаются от таковых при Невринома более развитой цитоплазмой, более чёткими границами и никогда не образуют характерных палисадообразных структур. При врастании астроцитом мозжечка в мостомозжечковый угол дифференциальная диагностика их с Невринома обычно проводится при окраске срезов по золото-сулемовому методу Рамон-и-Кахаля (смотри полный свод знаний Рамон-и-Кахаля методы).

Клиническая картина зависит от локализации Невринома При наиболее часто встречающихся Невринома преддверно-улиткового нерва она проявляется сначала постепенным снижением слуха на одно ухо по нейросенсорному типу. В дальнейшем присоединяются стволовые и мозжечковые нарушения, больше выраженные на стороне опухоли. Явления повышения внутричерепного давления развиваются относительно поздно (смотри полный свод знаний Мостомозжечковый угол, патология).

При Невринома корешков спинного мозга имеют место симптомы их раздражения и медленного сдавления спинного мозга, характерного для экстрамедуллярных опухолей. При Невринома периферических нервов клинические, картина складывается из симптомов раздражения или выпадения функций соответствующих нервов. При типичных формах Невринома течение процесса медленное, доброкачественное.

Лечение оперативное, Прогноз при тотальном удалении Невринома благоприятный. Возможны рецидивы.

Авцын А.П.; Вихерт Ч.М.

⇐ Перейти на главную страницу сайта

⇑ Вернуться в начало страницы ⇑

Библиотека Ordo Deus ⇒

⇐ Неврастения

⇓ Полный свод знаний. Том первый А. ⇓

Невриты ⇒

Все статьи в полном изложении, Вы можете найти в большой медицинской энциклопедии — Главный редактор: академик АН СССР (РАН) и АМН СССР (РАМН) Б.В. Петровский. — Москва издательство «Советская энциклопедия» 1989г.

Внимание! Вы находитесь в библиотеке «Ordo Deus». Все книги в электронном варианте, содержащиеся в библиотеке «Ordo Deus», принадлежат их законным владельцам (авторам, переводчикам, издательствам). Все книги и статьи взяты из открытых источников и размещаются здесь только для чтения.

Вся информация на сайте Ordo Deus находится в свободном доступе. Ordo Deus не предоставляет информацию на платной основе.

Все авторские права сохраняются за правообладателями. Если Вы являетесь автором данного документа и хотите дополнить его или изменить, уточнить реквизиты автора, опубликовать другие документы или возможно вы не желаете, чтобы какой-то из ваших материалов находился в библиотеке, пожалуйста, свяжитесь с нами по e-mail:
info @ ordodeus. ru
Формы для прямой связи с нами находятся в нижней части страниц: контакты и устав «Ordo Deus», для перехода на эти страницы воспользуйтесь кнопкой контакты вверху страницы или ссылкой в оглавлении сайта.

Вас категорически не устраивает перспектива безвозвратно исчезнуть из этого мира? Вы не желаете закончить свой жизненный путь в виде омерзительной гниющей органической массы пожираемой копошащимися в ней могильными червями? Вы желаете вернувшись в молодость прожить ещё одну жизнь? Начать всё заново? Исправить совершённые ошибки? Осуществить несбывшиеся мечты? Перейдите по ссылке: «главная страница».

© Ordo Deus, 2010. При копировании ссылка на сайт http://www.ordo-deus.ru обязательна.