Ниманна — Пика болезнь

Оглавление

  1. Дорога к бессмертию
  2. Бессмертие и религия
  3. Философия бессмертия
  4. Бессмертие и наука
  5. История анабиоза
  6. Смерть
  7. Кора головного мозга
  8. Бессмертие и анабиоз
  9. Анабиоз, медицина и биология
  10. Анабиоз и экономика
  11. Анабиоз и закон
  12. Анабиоз в Антарктиде
  13. Техническое обеспечение анабиоза
  14. Бессмертие и вера
  15. Библиотека Ordo Deus
  16. Контактная страница Ordo Deus

Ниманна — Пика болезнь

Ниманна — Пика болезнь (A. Niemann, нем. педиатр, 1880— 1921; L. Pick, немецкий патологоанатом, 1868—1935; синонимы: липоидоз фосфатидный, липоидно-клеточная спленогепатомегалия, сфингомиелиновый липоидоз, гистиоцитоз липоидный) — заболевание, обусловленное наследственным нарушением обмена липидов (сфингофосфолипидов), при котором происходит накопление сфингомиелина в печени, головном мозге, селезёнке, надпочечниках, почках, лимфатических узлах, коже и мононуклеарных клетках крови.

Впервые описана Ниманном в 1914 год; Пик в 1922 год дал клинические, и цитологический характеристику болезни, указав на её отличия от других липидозов (смотри полный свод знаний).

Этиология и патогенез. Ниманна — Пика болезнь— наследственное заболевание с аутосомно-рецессивным типом наследования (смотри полный свод знаний). Частота заболевания мальчиков и девочек одинакова.

Патогенез Ниманна — Пика болезнь связан с недостаточностью в тканях сфингомиелиназы — кислой лизосомной гидролазы, осуществляющей гидролитическое расщепление сфингомиелина (смотри полный свод знаний). При недостаточности сфингомиелиназы нарушается нормальный катаболизм сфингомиелина и происходит накопление его в тканях. Возможность избыточного синтеза сфингомиелина при Ниманна — Пика болезнь экспериментально не подтвердилась, но полностью пока не исключена. Содержание сфингомиелина у больных в коре и белом веществе головного мозга может повышаться в 1½—2 раза по сравнению с нормой. Увеличение содержания этого липида обнаруживается и в цереброспинальной жидкости.

Патологическая анатомия. На вскрытии обнаруживают резкое увеличение размеров печени, селезёнки, лимфатических узлов, надпочечников с окрашиванием их ткани в жёлтый цвет. Иногда отмечается депигментация или желтовато-коричневое окрашивание кожи.

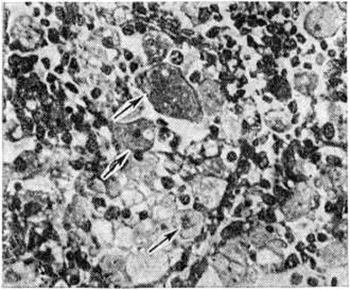
Гистологически в тканях внутренних органов выявляются крупные (диаметром 30—60 микрометров), овальной формы макрофаги — так называемый клетки Пика. Они содержат от одного до четырёх ядер, цитоплазма их пенистая за счёт накопления мелких капель сфингомиелина (рисунок). Клетки Пика хорошо окрашиваются суданом III, осмием, нильблаусульфатом и другими красителями, дают положительную реакцию Смита — Дитриха, окрашиваясь в черно-синий цвет. Большое количество клеток Пика обнаруживают в печени; они представлены звездчатыми ретикулоэндотелиоцитами (купферовскими клетками), увеличенными в размерах, цитоплазма их заполнена каплями жира. В селезёнке лимфатических, фолликулы не определяются, пульпа её диффузно инфильтрирована клетками Пика, встречаются кровоизлияния, зоны некроза на различных стадиях организации, участки рубцевания. В надпочечниках скопления клеток Пика обнаруживают главным образом в мозговом слое. В почках клетки Пика встречаются редко, в нефротелии выражена жировая дистрофия.

В нейронах и глиальных клетках головного мозга, особенно в мозжечке, откладывается сфингомиелин, что придаёт этим клеткам не свойственное им в норме морфологический сходство. Сфингомиелин может быть обнаружен вне клеток Пика, например, в сердечных мышечных волокнах и клапанах сердца, в альвеолах и в перибронхиальной клетчатке лёгких, поперечнополосатых мышцах, связках, суставах.

В некоторых случаях отмечается преимущественное поражение костной ткани, в результате которого возникают краевые узуры и сквозные дефекты в костях свода черепа. Гистологически выявляется диффузная инфильтрация костного мозга клетками Пика и истончение компактного вещества кости.

Клиническая картина. Ниманна — Пика болезнь проявляется в грудном возрасте, преимущественно в первом полугодии; единичные случаи описаны в более старшем возрасте (ювенильная форма Ниманна — Пика болезнь, при которой ведущим признаком является гепато и спленомегалия без выраженных церебральных проявлений). Начальными симптомами являются отказ ребёнка от пищи и периодическая рвота. Затем наступает резкое похудание с развитием гипотрофии, отмечается задержка психофизического развития. Постепенно увеличиваются размеры печени и селезёнки, при пальпации они плотные, с гладкой поверхностью, безболезненные; позднее развивается асцит. Периферические лимфатических, узлы также могут быть увеличены. Кожные покровы имеют восковой оттенок с участками усиленной пигментации.

Часто возникают признаки нарушения пирамидной системы в результате поражения центральная нервная система (двигательные расстройства, например, спастические парезы конечностей, повышение тонуса мышц и сухожильных рефлексов). В дальнейшем развивается гипотония мышц, гипорефлексия, выражено резкое отставание ребёнка в психическом развитии, развиваются идиотия, слепота, глухота. У многих больных отмечается атрофия сосков зрительного нерва и обнаруживается вишнёво-красное пятнышко овальной формы в макулярной области. Ниманна — Пика болезнь может протекать с преимущественным поражением нервной системы, печени, селезёнки.

В крови часто отмечается гипохромная анемия умеренной степени, тромбоцитопения, лейкопения с наличием вакуолизированных лимфоцитов; содержание свободного холестерола повышено, отмечаются колебания концентрации сфингомиелина; активность щелочной фосфатазы в пределах нормы.



Информация об Ordo Deus Перейти в оглавление сайта

Рис
Микропрепарат лимфатического узла при болезни Ниманна — Пика: клетки Пика указаны стрелками; окраска азаном по Гейденгайну; × 400.



Диагноз устанавливают на основании клинические, картины (поражение печени, селезёнки, нервной системы, характерные изменения глазного дна) и данных лабораторного исследования. При цитологический исследовании материала, полученного при пункции селезёнки, печени, костного мозга и лимфатических, узлов, обнаруживают клетки Пика.

Рентгенологически в костях отмечается разрежение костной ткани (смотри полный свод знаний Остеопороз). Окончательный диагноз Ниманна — Пика болезнь может быть поставлен только после выявления недостаточности сфингомиелиназы в тканях больного. Обычно для этого используют культуру фибробластов кожи, в которой определяют степень расщепления меченного 140 сфингомиелина.

Дифференциальный диагноз проводят с болезнью Гоше, при которой в селезёнке, печени и костях откладывается глюкоцереброзид (смотри полный свод знаний Гоше болезнь), с болезнью Тея — Сакса, при которой происходит накопление ганглиозидов в нервной ткани (смотри полный свод знаний Амавротическая идиотия), с болезнью Леттерера — Сиве (смотри полный свод знаний Леттерера—Сиве болезнь), циррозом печени (смотри полный свод знаний Циррозы печени), лимфогранулематозом (смотри полный свод знаний).

Лечение. Специфическое лечение не разработано. Применение гормональных препаратов, витаминов, переливание крови и плазмы даёт только симптоматический эффект.

Прогноз неблагоприятный. Заболевание быстро приводит к истощению и летальному исходу вследствие интеркуррентных заболеваний (чаще пневмонии). Выживание позднее пятилетнего возраста крайне редко.

Профилактика: при отягощённой по Ниманна — Пика болезнь наследственности необходимо при каждой беременности исследовать амниотическую жидкость с целью пренатальной диагностики Ниманна — Пика болезнь или воздержаться от деторождения.

Махонова Л.А.; Могилевский Г.М.

⇐ Перейти на главную страницу сайта

⇑ Вернуться в начало страницы ⇑

Библиотека Ordo Deus ⇒

⇐ Нефротический синдром

⇓ Полный свод знаний. Том первый А. ⇓

Ноготь вросший ⇒

Все статьи в полном изложении, Вы можете найти в большой медицинской энциклопедии — Главный редактор: академик АН СССР (РАН) и АМН СССР (РАМН) Б.В. Петровский. — Москва издательство «Советская энциклопедия» 1989г.

Внимание! Вы находитесь в библиотеке «Ordo Deus». Все книги в электронном варианте, содержащиеся в библиотеке «Ordo Deus», принадлежат их законным владельцам (авторам, переводчикам, издательствам). Все книги и статьи взяты из открытых источников и размещаются здесь только для чтения.

Вся информация на сайте Ordo Deus находится в свободном доступе. Ordo Deus не предоставляет информацию на платной основе.

Все авторские права сохраняются за правообладателями. Если Вы являетесь автором данного документа и хотите дополнить его или изменить, уточнить реквизиты автора, опубликовать другие документы или возможно вы не желаете, чтобы какой-то из ваших материалов находился в библиотеке, пожалуйста, свяжитесь с нами по e-mail:
info @ ordodeus. ru
Формы для прямой связи с нами находятся в нижней части страниц: контакты и устав «Ordo Deus», для перехода на эти страницы воспользуйтесь кнопкой контакты вверху страницы или ссылкой в оглавлении сайта.

Вас категорически не устраивает перспектива безвозвратно исчезнуть из этого мира? Вы не желаете закончить свой жизненный путь в виде омерзительной гниющей органической массы пожираемой копошащимися в ней могильными червями? Вы желаете вернувшись в молодость прожить ещё одну жизнь? Начать всё заново? Исправить совершённые ошибки? Осуществить несбывшиеся мечты? Перейдите по ссылке: «главная страница».

© Ordo Deus, 2010. При копировании ссылка на сайт http://www.ordo-deus.ru обязательна.