Олигодендроглиома

Оглавление

  1. Дорога к бессмертию
  2. Бессмертие и религия
  3. Философия бессмертия
  4. Бессмертие и наука
  5. История анабиоза
  6. Смерть
  7. Кора головного мозга
  8. Бессмертие и анабиоз
  9. Анабиоз, медицина и биология
  10. Анабиоз и экономика
  11. Анабиоз и закон
  12. Анабиоз в Антарктиде
  13. Техническое обеспечение анабиоза
  14. Бессмертие и вера
  15. Библиотека Ordo Deus
  16. Контактная страница Ordo Deus

Олигодендроглиома

Олигодендроглиома (oligodendroglioma; греческий oligos малый -dendron дерево -глиома; синонимы олигодендроцитома) — относительно доброкачественная опухоль, исходящая из клеток олиго дендроглии.

Олигодендроглиома встречается в среднем возрасте, реже в детском. Олигодендроглиома, по данным различных исследователей, наблюдается в 1,3—12,6% случаев внутричерепных опухолей. Локализуется Олигодендроглиома в белом веществе полушарий большого мозга, преимущественно передних его отделов, паравентрикулярной области с врастанием в полость желудочков, реже подкорковых ганглий, мозжечка, ствола мозга и спинного мозга.

Макроскопически Олигодендроглиома имеет вид узла, чаще нечётко отграниченного от окружающего мозгового вещества (рисунок 1). Ткань опухоли однородного сероватого, серовато-розового, реже красноватого цвета, консистенция либо соответствует мозговому веществу, либо студенистая с наличием мелких кист.


Информация об Ordo Deus Перейти в оглавление сайта

Рис. 1.
Макропрепарат фронтального среза больших полушарий головного мозга с узловой олигодендроглиомой (указана стрелкой) паравентрикулярной области.


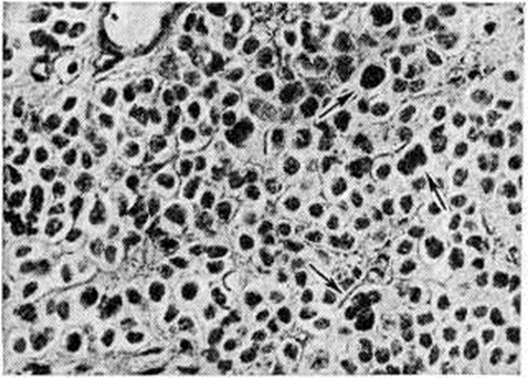
Микроскопически различают Олигодендроглиома типической и атипической структуры. Типические Олигодендроглиома состоят из густо и равномерно расположенных клеток со скудной цитоплазмой и ядрами сферической формы с нежными глыбками хроматина и чётким ядрышком (рисунок 2), напоминающих обычный олигодендроглиоцит. Нередко ткань опухоли приобретает мелкоячеистую (напоминающую соты) структуру, в центре ячейки располагается по нескольку ядер, окружённых светлой неокрашенной зоной (рисунок 3). Иногда в ткани Олигодендроглиома наряду с клетками, напоминающими олигодендроглиоциты, обнаруживают пучки веретенообразных клеток с отростками и ядрами вытянутой формы. В ряде случаев в Олигодендроглиома встречаются участки астроцитомы (смотри полный свод знаний), которая содержит глиальные волокна, импрегнирующиеся методом Рамон-и-Кахаля. Подобные опухоли диагностируются как олигодендроастроцитомы.. В Олигодендроглиома имеется небольшое или умеренное количество мелких сосудов. Характерным является отложение солей извести в ткани опухоли, сосудах и прилежащем мозговом веществе. Нередки мелкие кисты.

Атипические Олигодендроглиома характеризуются умеренным клеточным полиморфизмом, причём дедифференцировка отдельных клеток наблюдается в сторону изменения величины ядра и содержания в нем хроматина, а также увеличения цитоплазматического тела (появляются крупные, даже гигантские, клетки); нарушается равномерность распределения опухолевых клеток, нередко возможна активация и гиперплазия эндотелия сосудов. В случаях дедифференцировки преобладающего числа опухолевых клеток и наличия иных признаков злокачественности опухоли диагностируются как глиобластомы олигодендроглиального происхождения (смотри полный свод знаний Глиобластома).



Информация об Ordo Deus Перейти в оглавление сайта

Рис. 2.
Микропрепарат олигодендроглиомы типической структуры: все поле зрения покрыто округлой формы опухолевыми клетками со скудной цитоплазмой; окраска гематоксилин-эозином; × 400.





Информация об Ordo Deus Перейти в оглавление сайта

Рис. 3.
Микропрепарат олигодендроглиомы с наличием «сотовидных» структур: стрелками указаны ячейки, которые содержат несколько ядер, окружённых светлой зоной; окраска гематоксилин-эозином; × 400.



Ультраструктурными органоспецифическими признаками Олигодендроглиома различной степени злокачественности являются плотное расположение темных и светлых клеток, наличие тонких ворсиноподобных клеточных отростков, внутрицитоплазматических концентрических мембранных структур, синаптоподобных образований между телами клеток и их отростками. У большинства клеток глиофибриллы отсутствуют.

Рост Олигодендроглиома инфильтративный, чаще с неглубоким прорастанием прилежащей нервной ткани (0,1—0,5 миллиметров), реже на значительную глубину. Внутри-желудочковые Олигодендроглиома, врастая из вещества мозга в просвет желудочка, могут расти в виде узла либо стелиться по стенкам желудочков. Диффузные Олигодендроглиома встречаются крайне редко. Также редко наблюдается метастазирование по ликворным путям в пределах центральная нервная система

Как и для всей группы доброкачественных внутримозговых опухолей, характерны длительное течение заболевания и очаговая симптоматика, определяющаяся локализацией Олигодендроглиома (смотри полный свод знаний Головной мозг, Спинной мозг).

Лечение оперативное — удаление опухоли. Лучевая терапия не эффективна. Часто через 1 — 2 года после операции наблюдаются рецидивы.

Бродская И.А.

⇐ Перейти на главную страницу сайта

⇑ Вернуться в начало страницы ⇑

Библиотека Ordo Deus ⇒

⇐ Оливопонтоцеребеллярная атрофия

⇓ Полный свод знаний. Том первый А. ⇓

Олигофрении ⇒

Все статьи в полном изложении, Вы можете найти в большой медицинской энциклопедии — Главный редактор: академик АН СССР (РАН) и АМН СССР (РАМН) Б.В. Петровский. — Москва издательство «Советская энциклопедия» 1989г.

Внимание! Вы находитесь в библиотеке «Ordo Deus». Все книги в электронном варианте, содержащиеся в библиотеке «Ordo Deus», принадлежат их законным владельцам (авторам, переводчикам, издательствам). Все книги и статьи взяты из открытых источников и размещаются здесь только для чтения.

Вся информация на сайте Ordo Deus находится в свободном доступе. Ordo Deus не предоставляет информацию на платной основе.

Все авторские права сохраняются за правообладателями. Если Вы являетесь автором данного документа и хотите дополнить его или изменить, уточнить реквизиты автора, опубликовать другие документы или возможно вы не желаете, чтобы какой-то из ваших материалов находился в библиотеке, пожалуйста, свяжитесь с нами по e-mail:
info @ ordodeus. ru
Формы для прямой связи с нами находятся в нижней части страниц: контакты и устав «Ordo Deus», для перехода на эти страницы воспользуйтесь кнопкой контакты вверху страницы или ссылкой в оглавлении сайта.

Вас категорически не устраивает перспектива безвозвратно исчезнуть из этого мира? Вы не желаете закончить свой жизненный путь в виде омерзительной гниющей органической массы пожираемой копошащимися в ней могильными червями? Вы желаете вернувшись в молодость прожить ещё одну жизнь? Начать всё заново? Исправить совершённые ошибки? Осуществить несбывшиеся мечты? Перейдите по ссылке: «главная страница».

© Ordo Deus, 2010. При копировании ссылка на сайт http://www.ordo-deus.ru обязательна.