Онкоцитома

Оглавление

  1. Дорога к бессмертию
  2. Бессмертие и религия
  3. Философия бессмертия
  4. Бессмертие и наука
  5. История анабиоза
  6. Смерть
  7. Кора головного мозга
  8. Бессмертие и анабиоз
  9. Анабиоз, медицина и биология
  10. Анабиоз и экономика
  11. Анабиоз и закон
  12. Анабиоз в Антарктиде
  13. Техническое обеспечение анабиоза
  14. Бессмертие и вера
  15. Библиотека Ordo Deus
  16. Контактная страница Ordo Deus

Онкоцитома

Онкоцитома (oncocytoma; греческий onkos масса, опухоль + kytos вместилище, здесь — клетка + -oma) — опухоль, образованная из крупных светлых с эозинофильной зернистостью в цитоплазме клеток типа онкоцитов. Термин отражает гистогенетические и морфологический особенности опухоли, самостоятельного нозологический значения не имеет. Клинические, картина зависит от локализации опухоли.

Онкоциты (В-клетки, клетки Гюртле) впервые описаны в 1931 г.

Гамперлем (Н. Hamperl) в эпителии желёз пищевода, а позднее обнаружены во многих других органах и тканях: в гипофизе, щитовидной, околощитовидных и слюнных железах, трахее, гортани, лёгких, желудке, кишечнике, надпочечниках, почках. Онкоциты образуют мелкие группы, или фолликулы, могут выстилать выводные протоки желёз, кисты и сосочковые выросты. Долгое время считали, что онкоциты — клетки, утратившие функциональный активность. В последующем было установлено, что в онкоцитах постоянно определяется высокая активность фермента сукцинатдегидрогеназы; они вырабатывают и содержат биогенные моноамины, в частности серотонин, а совокупность этих клеток образует так называемый нейроэндокринную систему, или APUD-систему. Онкоциты могут стать источником развития Онкоцитома в различных органах. Наиболее подробно описана Онкоцитома слюнных желёз и развивающаяся из В-клеток Онкоцитома щитовидной железы.



Информация об Ordo Deus Перейти в оглавление сайта

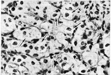
Рис
Микропрепарат онкоцитомы (трабекулярной аденомы) щитовидной железы: видны многочисленные онкоциты (указаны стрелками) с обильной зернистой цитоплазмой; окраска гематоксилин-эозином; × 240.



Микроскопически Онкоцитома слюнных желёз обычно имеет солидное строение и состоит из групп и тяжей онкоцитов, разделённых на неправильной формы дольки нежными соединительнотканными перегородками. Опухоль не имеет капсулы и диффузно распространяется в окружающей ткани железы.

В щитовидной железе Онкоцитома может носить характер фолликулярной, папиллярной или трабекулярной аденомы (рисунок), фолликулярной и папиллярной аденокарциномы или недифференцированного рака (смотри полный свод знаний). Эти разновидности Онкоцитома имеют различное строение, а их клеточные элементы в большей или меньшей степени сходны с нормальными онкоцитами. Единство гистогенетического источника этих опухолей, то есть связь, например, с В-клетками щитовидной железы, может быть установлена при гистохимическом и электронномикроскопическом исследованиях.

Лечение чаще оперативное; при злокачественной Онкоцитома иногда применяют комбинированное лечение. Подробнее лечение — см. статьи, посвящённые опухолям отдельных органов, например Желудок, опухоли; Легкие, опухоли; Околоушная железа, опухоли и так далее

Соловьев Ю.H.

⇐ Перейти на главную страницу сайта

⇑ Вернуться в начало страницы ⇑

Библиотека Ordo Deus ⇒

⇐ Онихомикоз

⇓ Полный свод знаний. Том первый А. ⇓

Онхоцеркоз ⇒

Все статьи в полном изложении, Вы можете найти в большой медицинской энциклопедии — Главный редактор: академик АН СССР (РАН) и АМН СССР (РАМН) Б.В. Петровский. — Москва издательство «Советская энциклопедия» 1989г.

Внимание! Вы находитесь в библиотеке «Ordo Deus». Все книги в электронном варианте, содержащиеся в библиотеке «Ordo Deus», принадлежат их законным владельцам (авторам, переводчикам, издательствам). Все книги и статьи взяты из открытых источников и размещаются здесь только для чтения.

Вся информация на сайте Ordo Deus находится в свободном доступе. Ordo Deus не предоставляет информацию на платной основе.

Все авторские права сохраняются за правообладателями. Если Вы являетесь автором данного документа и хотите дополнить его или изменить, уточнить реквизиты автора, опубликовать другие документы или возможно вы не желаете, чтобы какой-то из ваших материалов находился в библиотеке, пожалуйста, свяжитесь с нами по e-mail:
info @ ordodeus. ru
Формы для прямой связи с нами находятся в нижней части страниц: контакты и устав «Ordo Deus», для перехода на эти страницы воспользуйтесь кнопкой контакты вверху страницы или ссылкой в оглавлении сайта.

Вас категорически не устраивает перспектива безвозвратно исчезнуть из этого мира? Вы не желаете закончить свой жизненный путь в виде омерзительной гниющей органической массы пожираемой копошащимися в ней могильными червями? Вы желаете вернувшись в молодость прожить ещё одну жизнь? Начать всё заново? Исправить совершённые ошибки? Осуществить несбывшиеся мечты? Перейдите по ссылке: «главная страница».

© Ordo Deus, 2010. При копировании ссылка на сайт http://www.ordo-deus.ru обязательна.