Остеодисплазия

Оглавление

  1. Дорога к бессмертию
  2. Бессмертие и религия
  3. Философия бессмертия
  4. Бессмертие и наука
  5. История анабиоза
  6. Смерть
  7. Кора головного мозга
  8. Бессмертие и анабиоз
  9. Анабиоз, медицина и биология
  10. Анабиоз и экономика
  11. Анабиоз и закон
  12. Анабиоз в Антарктиде
  13. Техническое обеспечение анабиоза
  14. Бессмертие и вера
  15. Библиотека Ordo Deus
  16. Контактная страница Ordo Deus

Остеодисплазия

Остеодисплазия (греческий osteon кость + дисплазия) — порок развития костной ткани, обусловленный остановкой, замедлением или извращением остеогенеза на определённой стадии эмбрионального или постнатального развития. Клинически Остеодисплазия проявляется многообразными аномалиями и пороками развития костно-суставного аппарата.

Классификация: по распространённости процесса Остеодисплазия делят на локальные нарушения развития кости как органа и на генерализованные (системные) изменения всего костносуставного аппарата как целой системы.

Локальная Остеодисплазия проявляется в виде количественных или структурных изменений элементов костно-суставного аппарата. К ним относятся: врождённые дефекты костей (отсутствие сегмента кости или всей конечности, внутриутробные ампутации и другие); нарушение количества костей (отсутствие пальцев или фаланг, одной из парных костей, добавочные пальцы, сверхкомплектные кости стопы, шейные ребра и так далее); нарушение размеров отдельных костей (полный или частичный гигантизм, укорочение костей и другие); нарушение соотношения элементов костносуставного аппарата (врождённые вывихи и подвывихи); врождённые слияния смежных костных элементов (ассимиляция и конкресценция фаланг, позвонков и другие); задержка развития отдельных элементов костей (незаращение дужек позвонка, отсутствие синостоза эпифизов, незакрытие родничков черепа и другие); локальные нарушения структуры кости (фиброзный кортикальный дефект); отосклероз (смотри полный свод знаний).

К системным нарушениям остеогенеза при Остеодисплазия относятся: врождённая ломкость костей (смотри полный свод знаний Остеогенез несовершенный), мраморная болезнь (смотри полный свод знаний); деформирующий остоз — болезнь Педжета (смотри полный свод знаний Педжета болезнь), фиброзная остеодисплазия (смотри полный свод знаний) и фиброзно-хрящевая дисплазия; нарушения остеогенеза энхондрально-преформированных отделов скелета: врождённый гиперостоз (смотри полный свод знаний), болезнь Камурати—Энгельманна (смотри полный свод знаний Камурати—Энгельманна болезнь); остеопойкилия (смотри полный свод знаний), мелореостоз (смотри полный свод знаний), врождённая метафизарная дисплазия (смотри полный свод знаний Пайла болезнь), плеоностеоз; нарушение остеогенеза костей черепа, чаще покровных,— различные формы дизостозов (смотри полный свод знаний Дизостоз).

Этиология Остеодисплазия окончательно не установлена. Обнаружено, что в основе некоторых аномалий и пороков развития костей лежат нарушения хромосом — так называемый хромосомные аберрации.

При Остеодисплазия нарушается соотношение между процессами созидания и разрушения костной ткани, то есть извращаются остеобластическая и остеолитическая функции её. При торможении процесса костеобразования возникает ломкость костей, а при задержке резорбции кости развивается мраморная болезнь и её разновидности. Эти нарушения могут возникнуть в одной кости, в костях одной конечности или быть генерализованными.

Остеодисплазия представляет собой нарушение формообразовательных процессов в скелете и проявляется в виде отклонения от нормы развития костной или хрящевой ткани либо той и другой одновременно. Схематично все виды Остеодисплазия делят на Остеодисплазия структурно-качественного типа и Остеодисплазия количественного типа с нарушением развития на органном уровне.

К Остеодисплазия структурно-качественного типа относят врождённые системные или очаговые нарушения гисто и морфогенеза хрящевой ткани (хондроматозы) и костной ткани (остеоматозы — фиброзная дисплазия, деформирующий остоз, или болезнь Педжета, остеосклероз, остеопойкилия, мелореостоз, мраморная болезнь, несовершенный остеогенез, фиброзный кортикальный дефект).

К Остеодисплазия количественного типа относят дизостозы —врождённые нарушения развития тех или иных отделов скелета и врождённые уродства, среди которых особого внимания заслуживают амелии (отсутствие одной или нескольких конечностей) и агенезии костей предплечья и голени. Краниодизостозы связаны с нарушением развития костей черепа: акрания (порок развития черепа у нежизнеспособных плодов), дефекты покровных костей черепа, аномалии развития теменных костей и чешуи затылочной кости, черепно-лицевой и челюстно-лицевой дизостозы с недоразвитием верхней или нижней челюсти (рисунок 1), краниостеноз (преждевременное зарастание черепных швов, приводящее к резкой деформации головы).

Дизостозы могут проявляться в виде нарушений развития осевого скелета — полный дефект атланта, аплазия каудального отдела позвоночника, спондилолистез — смещение позвонков (рисунок 2), spina bifida и другие

Клиническая картина определяется локализацией, распространённостью морфологический изменений в скелете, длительностью течения патологический процесса. Остеодисплазия может быть впервые выявлена и в детском возрасте, и у взрослых. Течение медленное и обычно неуклонно прогрессирующее. Основные симптомы Остеодисплазия: деформация костей, нарушение функции суставов, смежных с поражённой костью, различной интенсивности боли. Основная роль в распознавании Остеодисплазия принадлежит рентгенологическое методу, позволяющему установить патологический изменения в костях, уточнить их характер и распространённость, определить характер заболевания и следить за его течением.

Лечение определяется характером заболевания, выраженностью деформации костей и локализацией патологический процесса.

Течение и прогноз заболевания зависят от вида Остеодисплазия Патологический переломы часто наблюдаются при несовершенном остеогенезе; при других формах Остеодисплазия они встречаются редко или совсем не наблюдаются (например, остеопойкилия). Малигнизация при Остеодисплазия, за исключением фиброзной и фиброзно-хрящевой дисплазии, не встречается.

Основные заболевания, в основе которых лежит остеодисплазия.



Информация об Ordo Deus Перейти в оглавление сайта

Рис. 1.
Голова человеческого эмбриона при черепно-лицевом дизостозе (а — спереди, 6 — сбоку).





Информация об Ordo Deus Перейти в оглавление сайта

Рис. 2.
Макропрепарат пояснично-крестцового отдела позвоночника (сагиттальный распил) при спондилолистезе: «соскальзывание» V поясничного позвонка (указан стрелкой).





Информация об Ordo Deus Перейти в оглавление сайта

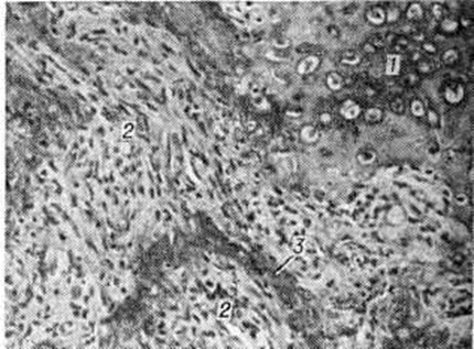
Рис. 3.
Микропрепарат кости при фиброзно-хрящевой остеодисплазии: 1 — хрящевая ткань; 2 — клеточно-волокнистая остеогенная ткань; 3 — незрелая костная балка; окраска гематоксилин-эозином; × 120.



Смешанная фибрознохрящевая дисплазия. Наличие в костях, поражённых фиброзной Остеодисплазия, крупных участков хрящевой ткани (рисунок 3) даёт основания для выделения самостоятельной формы — фиброзно-хрящевой дисплазии. Клинические Картина в основном сходна с таковой при фиброзной остео дисплазии. В отдельных случаях наблюдается сочетание фиброзно-хрящевой дисплазии с синдромом Олбрайта (смотри полный свод знаний Лайтвуда—Олбрайта синдром). Рентгенологические картина при смешанной фиброзно-хрящевой дисплазии характеризуется деформацией костей (искривления и утолщения, нередко выраженные выбухания за счёт центрально и периферически расположенных патологический очагов). В очагах на фоне различной величины участков разрежения выявляются участки крапчатого и пятнистого обызвествления. Густота расположения очагов различная — от отдельных разбросанных очагов до массивных конгломератов. Корковый слой на уровне локализации патологический изменений истончается и иногда едва дифференцируется.

В отличие от истинной фиброзной дисплазии при смешанной форме фиброзно-хрящевой дисплазии патологический очаги захватывают не только диафизы и метадиафизы, но и метаэпифизарные отделы костей. Наряду с трубчатыми поражаются плоские, губчатые и короткие трубчатые кости (рисунок 4 и 5, а, б).

Лечение больных определяется характером деформаций костей, степенью статико-функциональных нарушений. Рекомендуются различные виды резекции поражённого отдела кости с последующей ауто и аллопластикой (смотри полный свод знаний Костная пластика), корригирующие остеотомии (смотри полный свод знаний). Кюретаж очагов менее эффективен в связи с возможными рецидивами.

Плеоностеоз (pleonosteosis), описанный Лери (A. Leri), встречается крайне редко. Это наследственное заболевание, которое характеризуется симметричным поражением диафизов и эпифизов трубчатых костей в виде гиперостоза (смотри полный свод знаний). Особенно резко утолщаются пястные, плюсневые кости и фаланги. Задерживается рост скелета. Кости конечностей укорачиваются. Нарушается абдукция, пронация и сгибание в суставах. Коленные суставы находятся в вальгусном положении. Выражен поясничный лордоз (смотри полный свод знаний). Грудная клетка деформируется за счёт уплощения и утолщения рёбер и выбухания грудины. На рентгенограммах видно, что поражённые кости деформированы: они утолщены и укорочены, корковый слой их расширен, гипертрофирован. Периостальная реакция отсутствует. Виден груботрабекулярный рисунок структуры костей. Метафизы широкие, зона предварительного обызвествления неровная, неоднородной плотности. Эпифизы уплощены, с неровными чёткими очертаниями.

Лечение состоит в исправлении грубых деформаций скелета с помощью соответствующих ортопедических операций (смотри полный свод знаний Костная пластика, Остеотомия).



Информация об Ordo Deus Перейти в оглавление сайта

Рис. 4.
Боковые рентгенограммы голеней при смешанной форме фиброзно-хрящевой остеодисплазии: кости искривлены, утолщены и имеют резко изменённую структуру.





Информация об Ordo Deus Перейти в оглавление сайта

Рис. 5.
Прямые рентгенограммы тазобедренного сустава больных смешанной формой фиброзно-хрящевой дисплазии (а — мальчика 9 лет, б — мужчины): а — подвздошная и бедренная кости утолщены, корковый слой истончён, структура его пятнистая за счёт чередования участков разрежения и обызвествления; б — в метадиафизе бедренной кости крупный участок разрежения (1), вызывающий вздутие кости и истончение коркового слоя; на фоне разрежения участки обызвествления (2).





Информация об Ordo Deus Перейти в оглавление сайта

Рис. 6.
Рентгенограмма нижней трети голени и голеностопного сустава мальчика 11 лет с фиброзным кортикальным дефектом в метадиафизе большеберцовой кости в прямой (а) и боковой (б) проекциях. Дефект (указан стрелкой) имеет ячеистую структуру.





Информация об Ordo Deus Перейти в оглавление сайта

Рис. 7.
Прямые рентгенограммы костей верхней трети голеней и коленных суставов больной с фиброзным кортикальным дефектом: а — субпериостальный дефект с ячеистой структурой в метафизе большеберцовой кости (указан стрелкой); б — рентгенограмма той же больной через 2 года; дефект заполнился плотной костной тканью, корковый слой восстановился (указан стрелкой).



Фиброзный кортикальный дефект появляется в постнатальном периоде и бывает связан с повышенной статикофункциональной нагрузкой на определённый сегмент кости. Развитие фиброзных кортикальных дефектов характерно для детей со статико-функциональными нарушениями опорно-двигательного аппарата (сколиоз, плоскостопие, варусная и вальгусная деформация коленных и тазобедренных суставов и другие). Фиброзный кортикальный дефект проявляется развитием локальной зоны дегенеративно-дистрофической перестройки обычно в метафизарных отделах длинных трубчатых костей, у мест прикрепления связок и сухожилий. Очаг может быть одиночным, но нередко очаги возникают одновременно или последовательно в нескольких костях (например, на медиальной поверхности дистального метафиза бедра и медиально-задней поверхности большеберцовой кости). Возможно развитие фиброзных кортикальных дефектов в костях разных конечностей. Значительно реже очаги выявляются в субпериостальных отделах седалищной кости, лопатки и ключицы. Микроскопически очаг поражения представлен пучками коллагеновых волокон и вытянутых клеток фибробластического типа, среди которых можно встретить многоядерные гигантские формы.

Для клинические, картины фиброзного кортикального дефекта характерно медленное нарастание локальных болей и ограниченная припухлость мягких тканей. Нередко патологический процесс протекает бессимптомно, а очаги поражения обнаруживают случайно, при проведении рентгенологическое исследований по другому поводу.

Рентгенологические исследование почти всегда позволяет поставить правильный диагноз. Наблюдается характерное метафизарное расположение очагов. Очаги никогда не распространяются через зону метаэпифизарного росткового хряща на эпифиз. Фиброзный кортикальный дефект располагается в толще коркового слоя субпериостально и является краеобразующим. Он имеет сравнительно правильную овоидную или округлоовальную форму и всегда локализуется вдоль оси кости. Возможно истончение и незначительное вздутие прилежащего участка коркового слоя. Очертания кортикального дефекта чёткие, ровные или полициклические, фестончатые. Чаще всего структура очага равномерно прозрачная, иногда мелко или крупноячеистая. Со стороны прилежащих отделов очаг отграничен ободком остеосклероза (рисунок 6). Иногда на уровне кортикального дефекта определяется поперечно-расположенная лоозеровская зона (смотри полный свод знаний Лоозера зоны).

Яффе (Н. L. Jaffe) и Л.. Лихтенстайн расценивают фиброзный кортикальный дефект как изолированную форму фиброзной Остеодисплазия, которая подвергается самопроизвольному обратному развитию или стабилизируется, но в отдельных случаях может переходить в опухолевый процесс.

Для фиброзных кортикальных дефектов характерно самопроизвольное излечение, которое обычно наступает через 1½—2 года (рисунок 7). При более длительном восстановлении костной структуры показана краевая резекция поражённой кости. Фиброзные кортикальные дефекты следует дифференцировать с туберкулёзным оститом (смотри полный свод знаний Туберкулёз нелёгочный, туберкулёз костей и суставов), хондромиксоидной фибромой (смотри полный свод знаний), эозинофильной гранулемой костей (смотри полный свод знаний), изолированной кистой кости, остеоид-остеомой (смотри полный свод знаний), кортикальным абсцессом Броди (смотри полный свод знаний Броди абсцесс), остеобластокластомой (смотри полный свод знаний) и фиброзной остеодисплазией (смотри полный свод знаний).

Климова М.К.; Соловьев Ю.H.

⇐ Перейти на главную страницу сайта

⇑ Вернуться в начало страницы ⇑

Библиотека Ordo Deus ⇒

⇐ Остеогенная саркома

⇓ Полный свод знаний. Том первый А. ⇓

Остеодистрофия ⇒

Все статьи в полном изложении, Вы можете найти в большой медицинской энциклопедии — Главный редактор: академик АН СССР (РАН) и АМН СССР (РАМН) Б.В. Петровский. — Москва издательство «Советская энциклопедия» 1989г.

Внимание! Вы находитесь в библиотеке «Ordo Deus». Все книги в электронном варианте, содержащиеся в библиотеке «Ordo Deus», принадлежат их законным владельцам (авторам, переводчикам, издательствам). Все книги и статьи взяты из открытых источников и размещаются здесь только для чтения.

Вся информация на сайте Ordo Deus находится в свободном доступе. Ordo Deus не предоставляет информацию на платной основе.

Все авторские права сохраняются за правообладателями. Если Вы являетесь автором данного документа и хотите дополнить его или изменить, уточнить реквизиты автора, опубликовать другие документы или возможно вы не желаете, чтобы какой-то из ваших материалов находился в библиотеке, пожалуйста, свяжитесь с нами по e-mail:
info @ ordodeus. ru
Формы для прямой связи с нами находятся в нижней части страниц: контакты и устав «Ordo Deus», для перехода на эти страницы воспользуйтесь кнопкой контакты вверху страницы или ссылкой в оглавлении сайта.

Вас категорически не устраивает перспектива безвозвратно исчезнуть из этого мира? Вы не желаете закончить свой жизненный путь в виде омерзительной гниющей органической массы пожираемой копошащимися в ней могильными червями? Вы желаете вернувшись в молодость прожить ещё одну жизнь? Начать всё заново? Исправить совершённые ошибки? Осуществить несбывшиеся мечты? Перейдите по ссылке: «главная страница».

© Ordo Deus, 2010. При копировании ссылка на сайт http://www.ordo-deus.ru обязательна.