Остеогенез несовершенный

Оглавление

  1. Дорога к бессмертию
  2. Бессмертие и религия
  3. Философия бессмертия
  4. Бессмертие и наука
  5. История анабиоза
  6. Смерть
  7. Кора головного мозга
  8. Бессмертие и анабиоз
  9. Анабиоз, медицина и биология
  10. Анабиоз и экономика
  11. Анабиоз и закон
  12. Анабиоз в Антарктиде
  13. Техническое обеспечение анабиоза
  14. Бессмертие и вера
  15. Библиотека Ordo Deus
  16. Контактная страница Ordo Deus

Остеогенез несовершенный

Остеогенез несовершенный (osteogenesis imperfecta; греческий osteon кость + genesis зарождение, происхождение; синонимы: врождённая ломкость костей, периостальная дистрофия, внутриутробный рахит, остеопсатироз, болезнь Вролика, болезнь Лобштейна) — наследственное заболевание с преимущественным нарушением процесса костеобразования, проявляющееся генерализованным остеопорозом, мягкостью и повышенной ломкостью костей. В зависимости от тяжести патологический процесса, времени проявления клинические, признаков выделяют две формы: врождённый и поздний Остеогенез несовершенный


Заболевание наследуется по аутосомнодоминантному типу, однако существуют аутосомно-рецессивные формы. Частота заболевания 1 : 40 000—60 000 родов. По данным ВОЗ (1967), заболеваемость Остеогенез несовершенный сибсов (смотри полный свод знаний Пробанд) составляет 4,9%, что указывает на довольно большую распространённость этой патологии в семьях с отягощённой наследственностью по данному заболеванию.

Этиология и патогенез. Остеогенез несовершенный связывают с нарушениями белкового или минерального обмена, снижением функции остеобластов или повышением активности остеокластов. При Остеогенез несовершенный отмечают нормальное или даже повышенное количество остеобластов и остеоцитов при обычном количестве остеокластов, достаточную минерализацию и выраженную базофилию основного вещества кости, что свидетельствует о нормальном развитии процессов резорбционного моделирования кости (смотри полный свод знаний). А. В. Русаков обращал внимание на то, что речь при Остеогенез несовершенный идёт не об изменениях количественного состава клеточных элементов, а о качественных сдвигах их функциональный активности. Большое количество остеобластов, обладающих высокой пролиферативной активностью, вырабатывают мало костного вещества, быстро превращаясь в остеоциты. Этим Остеогенез несовершенный отличается от рахита, при котором, напротив, малое количество остеобластов вырабатывает значительные массы остеоидной субстанции, не подвергающейся достаточной минерализации. Высокая пролиферативная активность остеобластов обусловливает хорошее заживление костных переломов при Остеогенез несовершенный Так, Рамзер (L. R. Ramser, 1966) при исследовании кусочка ткани ребра больного Остеогенез несовершенный с помощью тетрациклиновой метки установил, что скорость формирования кости при данном заболевании в три раза превышает обычную, однако поперечный размер ребра остаётся при этом в два раза меньше нормального. Этот факт свидетельствует о том, что принципиальная возможность роста костного скелета при Остеогенез несовершенный не нарушена. В результате чрезмерной податливости костей черепа при Остеогенез несовершенный они не влияют на рост заключённых в них органов, поэтому происходит увеличение глазного яблока и через растянутую и истончённую склеру просвечивает сетчатка, придающая ей голубой оттенок; вследствие водянки желудочков увеличивается масса головного мозга, что придаёт голове характерную шаровидную форму. Дисгармонией роста костного каркаса внутреннего уха и остальных костей черепа объясняли и развитие прогрессирующей глухоты при Остеогенез несовершенный Это объяснение основано на том, что при Остеогенез несовершенный речь идёт о локальной несостоятельности мезенхимальной системы только костных органов. Однако некоторые исследователи показали, что неполноценность мезенхимы носит более генерализованный характер и проявляется слабой продукцией коллагена фибробластами кожи, связок, оболочек глазного яблока и другие Такая позиция позволяет объединить большую группу синдромов и заболеваний, в основе которых лежит общий генетический дефект мезенхимы с преимущественным поражением при каждом синдроме тех или иных её сегментов,— остеогенез несовершенный, десмогенез несовершенный (смотри полный свод знаний), хондрогенез несовершенный (смотри полный свод знаний), Марфана синдром (смотри полный свод знаний). Слабым образованием дентина в зачатках зубов при Остеогенез несовершенный объясняют, например, несовершенное развитие зубов, очень быстро подвергающихся кариесу.

Современные исследования показали, что при Остеогенез несовершенный происходит недостаточная выработка коллагена (смотри полный свод знаний). При Остеогенез несовершенный вырабатываются преимущественно преколлагеновые волокна, которые не подвергаются созреванию, или коллаген особого качественного состава.


Гистохимические исследования свидетельствуют о том, что коллагеновые волокна при Остеогенез несовершенный имеют необычно высокое содержание пролина и что такой коллаген угнетает in vitro процессы кальцификации, хотя определяемые светооптически процессы минерализации кости при Остеогенез несовершенный остаются неизмененными.

Патологическая анатомия. При

Остеогенез несовершенный у детей и у взрослых в костях обнаруживают одинаковые изменения. Различны лишь масштабы, глубина и локализация поражения костей.

Макроскопически у новорожденных обнаруживают старые сросшиеся внутриутробные переломы рёбер и длинных трубчатых костей в сочетании с псевдоартрозом (смотри полный свод знаний Ложный сустав) и свежими переломами (смотри полный свод знаний), возникшими во время родов. Сросшиеся переломы хорошо заметны из-за резкой деформации, искривления костей и наличия крупных хрящевых мозолей. Переломы могут быть обнаружены макроскопически во всех костях скелета. Исключением являются стопы и кисти, в костях которых можно обнаружить следы старых и свежие микропереломы только при тщательном микроскопическом исследовании.

Особенностью большинства переломов является отсутствие обширных кровоизлияний и перифокальной воспалительной инфильтрации мягких тканей, что в основном и определяет свойственную им безболезненность. Весьма характерны изменения костей крыши черепа, представляющих собой нередко тонкую фиброзную пластинку с заключёнными в ней островками костной ткани в виде перекладин. Такие изменения костей черепа, как правило, несовместимы с жизнью вследствие тяжёлой травматизации головного мозга в родах.

При позднем Остеогенез несовершенный макроскопически определяют обилие старых заживших переломов трубчатых костей и ложных суставов, а также значительные искривления позвоночника, костей таза и конечностей, обусловленные не только неправильным сопоставлением костных отломков в процессе заживления перелома, но и приспособительной перестройкой костей в условиях изменённой статической нагрузки. Например, при невозможности к передвижению в вертикальном положении больные приспосабливаются передвигаться на четвереньках или ползком, что приводит к значительному искривлению трубчатых костей верхних и нижних конечностей, а также костей таза. Кости отличаются необыкновенной хрупкостью и легко режутся ножом. На распилах длинных трубчатых костей корковое вещество резко истончено (рисунок 1), поэтому их костномозговая полость выглядит непропорционально широкой. А. В. Русаков обращал внимание на своеобразную форму черепа при позднем Остеогенез несовершенный: сравнительно слабо развитую лицевую его часть и крупные шаровидной формы мозговые отделы. Эти изменения нередко сочетаются с расширением боковых желудочков мозга, выбуханием из глазниц глазных яблок (глаза навыкате) и необычной круглоголовостью в сочетании с водянкой желудочков мозга.

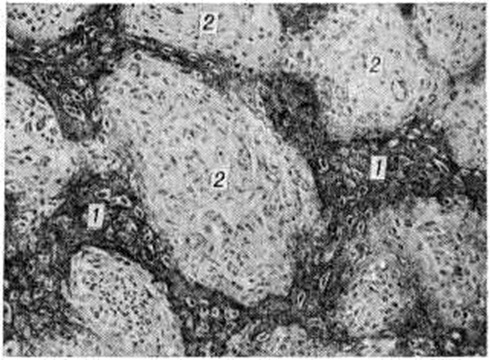
Микроскопически при врождённом и позднем Остеогенез несовершенный обнаруживают однотипные изменения: недостаточное развитие основного вещества (рисунок 2) во всех костях, развивающихся как на хрящевой, так и на соединительнотканной основе. Эпифизарные хрящи имеют нормальную структуру, зона предварительного обызвествления хряща и зона его рассасывания имеют обычные контуры, однако в очагах петрификации отмечается недостаточное костеобразование. Поэтому в субхондральной зоне образуются большие пространства, заполненные нежноволокнистой тканью. На первичных костных структурах в области метафизов в дальнейшем происходит слабое наслоение костного вещества последующих генераций, поэтому сеть костных пластинок приобретает широкопетлистый характер. Недостаточное развитие костного вещества отмечается и в диафизах (в зонах надкостницы и эндоста). Поэтому корковое вещество представляется чрезмерно тонким и как бы изъеденным широкими центральными (гаверсовыми) каналами. Корковое вещество диафиза длинных трубчатых костей достигает 1 —1,5 миллиметров, на большем протяжении оно состоит лишь из генеральной пластинки, отграничивающей костномозговую полость от периоста. Костномозговые полости—с тонкими костными перекладинами, образующими широкопетлистую сеть, открывающуюся во многих участках под периостом (смотри полный свод знаний Остеопороз).



Информация об Ordo Deus Перейти в оглавление сайта

Рис. 1.
Продольный гистотопографический срез метафиза большеберцовой кости при несовершенном остеогенезе: корковое вещество кости (1) резко истончено; губчатое вещество (2) состоит из. атрофичных костных пластинок, образующих широкопетлистые структуры.





Информация об Ordo Deus Перейти в оглавление сайта

Рис. 2.
Микропрепарат костной ткани при несовершенном остеогенезе: костные пластинки с увеличенным числом остеоцитов и недостаточным количеством основного вещества (I); межбалочные пространства заполнены разрастаниями остеогенной ткани (2); окраска гематоксилин-эозином; × 120.





Информация об Ordo Deus Перейти в оглавление сайта

Рис. 3.
Внешний вид детей с несовершенным остеогенезом: а — врождённая форма (конечности искривлены и укорочены); б — поздняя форма (дугообразная деформация бёдер вследствие переломов).



Кости крыши черепа при врождённом Остеогенез несовершенный образованы соединительнотканной оболочкой, содержащей различной величины островки обызвествления и тонкие костные пластинки с широкими пространствами между ними, заполненные нежноволокнистой соединительной тканью. Костные перекладины и их отломки окружены правильно сформированными остеобластами. При позднем Остеогенез несовершенный отмечается чрезвычайное истончение костей крыши черепа, микроскопически имеющих крупноячеистую структуру с весьма слабо развитыми наружными пластинками. Пространства между костными перекладинами заполнены нежноволокнистой соединительной тканью и островками миелоидного костного мозга. В губчатом веществе длинных и плоских костей также отмечается уменьшение массы костной субстанции, а костномозговые полости заполнены жировым и миелоидным костным мозгом. В зонах старых переломов обнаруживаются значительные разрастания фиброзно-ретикулярной ткани, представляющей собой эндостальные пролифераты; наблюдается также значительное разрастание волокнистого и гиалинового хрящей. В области несросшихся переломов длинных трубчатых костей (ложные суставы) отмечается разрастание фиброзной ткани, связывающей резко атрофичные с изъеденными краями костные отломки. Суставные хрящи бедренной и других костей при Остеогенез несовершенный значительно тоньше нормальных, поверхность их остаётся гладкой. Микроскопически в них отмечается почти полное отсутствие хондромукоида (смотри полный свод знаний Хондромукопротеиды). С помощью методов микрорадиографии, дифракции рентгеновских лучей и микроскопии в поляризованном свете выявляется дезорганизация коллагена, а также неупорядоченное распределение в нем кристаллов минеральных солей.

Электронно-микроскопически в периосте, коже, склере и роговице глаза обнаруживают коллагеновые волокна толщиной 400 нанометров (в норме 1000 нанометров) и периодическую исчерченность дисков от 200 до 400 нанометров (в норме 640—700 нанометров).

Клиническая картина зависит от формы заболевания, возраста и индивидуальных особенностей больного. Ведущими клинические, симптомами являются ломкость костей, голубые склеры и тугоухость, прогрессирующая глухота, водянка головного мозга. Реже отмечается изменение цвета эмали зубов, разболтанность суставов, атрофия мышц.

При врождённом Остеогенез несовершенный дети рождаются слабыми, часто нежизнеспособными. Кожа тонкая, бледная, подкожная клетчатка истончена. Характерна общая гипотония, переломы, возникшие внутриутробно или во время родов. Переломы чаще обнаруживаются в области диафизов бедренной кости, костей голени, плечевой кости и костей предплечья, реже грудины, ключицы, и тел позвонков. Мягкие и податливые кости головы плохо защищают головной мозг во время родов.

Многие дети погибают от внутричерепного кровоизлияния в результате родовой травмы. С возрастом возникает диспропорция костей свода черепа и лица. Зубы прорезываются позже обычного, приобретают жёлто-янтарный цвет, быстро подвергаются кариесу и разрушению. Слабость связочного аппарата приводит к разболтанности суставов и вывихам.

При позднем Остеогенез несовершенный клинические, проявления менее выражены. Переломы костей характеризуются более доброкачественным течением, проявляются местной болезненностью и небольшой припухлостью. Переломы могут быть полными и неполными, обычно бывают поднадкостничными. Отломки чаще смещаются под углом, в последующем развиваются дугообразные искривления (рисунок 3). Смещение по длине и ширине наблюдается редко. Консолидация происходит быстро с образованием большой костной мозоли. Вслед за одним переломом вскоре возникает другой, рядом с ранее происшедшим. Общее число переломов может достигать от 5 до 20 и более.

Вследствие преимущественного поражения длинных трубчатых костей развивается характерная картина микромелии: конечности становятся непропорционально короткими при нормальных размерах головы и туловища. Для Остеогенез несовершенный типичны нормальные размеры кистей и стоп, фаланги никогда не ломаются, а кости пясти и плюсны — лишь в редчайших случаях. Основание черепа, позвоночник и грудина при Остеогенез несовершенный не ломаются. К периоду полового созревания ломкость костей обычно значительно снижается.

Изменения внутренних органов, а также центральная нервная система и эндокринной системы для Остеогенез несовершенный считают нехарактерными. Описаны казуистические случаи гипергенитализма, раннего полового созревания и гипертрихоза.

Диагноз в типичных случаях не вызывает затруднений и основывается на данных анамнеза, клинические, картине и данных рентгенологическое исследования.

Рентгенодиагностика. Рентгенологические картина отражает основные морфологические и функциональные изменения при Остеогенез несовершенный Толщина всех костей меньше нормальной, корковое вещество в них резко истончено. Костномозговая полость в связи с этим эксцентрически увеличена в поперечнике, контуры её местами неровные. Губчатая структура разрежена и имеет широкопетлистый, сетчатый, а подчас и неправильный хаотический рисунок, отдельные костные трабекулы иногда едва видны. В наиболее тяжёлых случаях костная ткань по своей нежной гомогенной тени ничем не отличается от окружающих мягких тканей, так что кость становится доступной рентгенологическое определению лишь благодаря тонким линиям коркового вещества.

На рентгенограмме больного с Остеогенез несовершенный определяют множественные переломы длинных трубчатых костей, обычно симметричные, чаще всего в области средних отделов диафизов костей бедра и плеча, голени и предплечья (рисунок 4). Много переломов видно также по ходу рёбер. Переломы являются чаще полными поперечными, реже частичными, в виде поднадкостничных надломов. Из-за гипотонии мышц очень большого смещения отломков кости обычно не происходит. Более значительным и характерным является угловое смещение отломков в средней трети бедра и плеча, причём вершина угла смещения направлена в сторону и вверх. Множественные переломы больших трубчатых костей ведут к их значительному укорочению и искривлению. Иногда в них встречаются поперечные и клиновидные зоны перестройки. Деформации и утолщению способствуют старые и более свежие костные мозоли, достигающие подчас больших размеров. Они обычно имеют шаровидную форму и симметрично охватывают место перелома. Значительного обызвествления и окостенения мозоли при Остеогенез несовершенный не наблюдается. Если переломы расположены близко друг от друга (например, если одновременно видны 5 и более переломов диафиза), то мозоли различной давности и величины сливаются вместе и деформированная кость приобретает своеобразный узловатый вид. Поэтому иногда наблюдается парадоксальная рентгенологическое картина, то есть не крайнее истончение коркового вещества кости, а некоторое его утолщение. Деформация усугубляется в результате так называемый телескопического смещения отломков, вдвинутых друг в друга наподобие частей подзорной трубы. Это наблюдается главным образом на костях бедра, плеча и лишь изредка на костях голени и предплечья.



Информация об Ordo Deus Перейти в оглавление сайта

Рис. 4.
Рентгенограмма нижней конечности новорожденного с несовершенным остеогенезом: определяются множественные переломы костей голени и бедра с резкой их деформацией.



Тела позвонков в результате дистрофии костной ткани могут принимать двояковогнутую форму.

Так как Энхондральное окостенение при Остеогенез несовершенный не страдает, эпифизарные центры почти не изменены и лишь несколько разрыхлены. Вторичные остеогенные точки (эпифизарные ядра окостенения) появляются в срок, но они очень прозрачны.

Характерна рентгенологическое картина черепа. На фоне мягкой тени свода обрисовываются отдельные крапинки или лишь единичные мозаичные, ландкартообразные или округлые звездчатые островки обызвествления, либо изолированные, либо сливающиеся друг с другом, с неровными бахромчатыми краевыми контурами. Сильнее других обызвествлена чешуя затылочной кости. Покровные кости свода чрезвычайно истончены. Кости лица мало изменены.

Дифференциальный диагноз. Рентгенологическое исследование имеет решающее дифференциально-диагностическое значение. Необходимо исключить хондродиспгрофию (смотри полный свод знаний), которая может быть заподозрена из-за общего для обоих заболеваний симптома микромелии. На рентгенограмме легко отличить нормальную пропорциональную кисть при Остеогенез несовершенный от весьма характерных укороченных фаланг при хондродистрофии. Рахит (смотри полный свод знаний) исключается на основании неизменённых при Остеогенез несовершенный эпифизарных центров, в то время как при рахите основные патологический изменения сосредоточены именно в ростковых зонах. Дифференциальный диагноз проводят также с нефрогенными остеопатиями (смотри полный свод знаний Остеопатия нефрогенная), при которых показатели фосфорно-кальциевого обмена изменены. Остеогенез несовершенный дифференцируют с различными генетически обусловленными заболеваниями, например, синдромом Ван-дер-Хуве (смотри полный свод знаний Вандер-Хуве синдром).

Лечение, особенно при врождённой форме, малоэффективно и заключается в паллиативных мероприятиях: щадящий режим, профилактика переломов и предупреждение деформаций, лечебный гимнастика и массаж, бальнеотерапия. В комплексе лечения назначают УФО, поливитамины, спиртовые и масляные растворы витамина D, препараты кальция, фосфора, соляную кислоту с пепсином, метандростенолон (нерабол), кальцитонин.

Особое место занимает ортопедо-хирургическое лечение. Лечение патологический переломов у больных с Остеогенез несовершенный должно сводиться к тщательной репозиции отломков и надёжной фиксации гипсовой повязкой до полной консолидации отломков. Сроки фиксации в большинстве случаев не отличаются от сроков фиксации конечностей при обычных переломах (смотри полный свод знаний). Большое значение в профилактике образования вторичных деформаций имеет лечебный протезирование (смотри полный свод знаний Ортопедические аппараты). Оперативные методы лечения направлены прежде всего на исправление тяжёлых деформаций конечностей и на восстановление утраченной функции. Единой оперативной методики лечения нет; в отдельных случаях применяют остеоклазию (смотри полный свод знаний), остеотомию (смотри полный свод знаний) с использованием интра и экстраоссальных фиксаторов в виде аллотрансплантатов (смотри полный свод знаний Костная пластика) и металлического остеосинтеза (смотри полный свод знаний Остеосинтез); в некоторых случаях могут быть использованы дистракционно-компрессионные аппараты (смотри полный свод знаний). Оперативное лечение возможно после исполнения пяти лет. Показаниями к операции служат тяжёлые деформации нижних конечностей, не позволяющие подобрать ортопедические аппараты, в которых больные могли бы передвигаться. В качестве подготовки больного к операции проводится вышеуказанное консервативное лечение. Наиболее целесообразной методикой оперативного лечения является методика, предложенная М. В. Волковым (1964), которая включает декортикацию (отделение надкостницы на всем протяжении деформированной кости вместе с тонкими островками коркового вещества), сегментарную остеотомию и костную пластику с помощью аллотрансплантатов по типу «вязанка хвороста». Операция производится под общим обезболиванием в положении больного на спине. Проводят премедикацию: атропин и промедол в соответствующих дозировках в зависимости от возраста больного. Разрез кожи производят по выпуклой стороне искривления, мышцы раздвигают тупым путём, продольно раздвигают надкостницу и тонким долотом производят декортикацию на всем протяжении искривлённого диафиза кости, после чего на вершине искривления осуществляют сегментарную остеотомию кости: в зависимости от степени искривления выпиливают пилой Джильи, долотом, ультразвуковой пилой от 2 до 5 сегментов. Ось конечности исправляют путём перемещения и сопоставления сегментов, нанизанных на кортикальный аллотрансплантат или металлический стержень, введённый в костномозговую полость, которая при помощи электродрели расширяется. Дополнительно вокруг сегментов поднадкостнично укладывают длинные кортикальные аллотрансплантаты (5— 7 штук), которые фиксируют циркулярными кетгутовыми швами («вязанка хвороста»). Рану послойно зашивают; осуществляют иммобилизацию циркулярной гипсовой повязкой до полной консолидации отломков. Последовательные реконструктивные многоэтапные операции позволяют исправить деформацию конечностей, после чего рекомендуется изготовление беззамковых ортопедических аппаратов, иногда с упором на седалищный бугор. В качестве осложнения возможно несращение сегмента, то есть образование ложного сустава и некоторая потеря коррекции. В этих случаях хорошо себя зарекомендовал дистракционно-компрессионный остеосинтез, с помощью которого восстанавливается ось конечности, её длина и одновременно происходит сращение отломков.

Лечебная гимнастика проводится осторожно. Из приёмов массажа предпочтение отдаётся поглаживанию и растиранию. В предоперационном периоде применяют лечебный гимнастику и массаж, направленные на укрепление мышц. В послеоперационном периоде, когда конечность ещё фиксирована гипсовой повязкой, назначают упражнения изометрического характера. Широкое применение находят физические упражнения, проводимые в тёплой воде. Основное внимание должно быть направлено на достижение статической функции стояния в ортопедических аппаратах, отработки шаговых движений ног. Целью реабилитации при Остеогенез несовершенный является профилактика вторичных деформаций и совершенствование трудовых навыков.

Прогноз при врождённой форме неблагоприятный, дети погибают от интеркуррентных заболеваний. При поздней форме прогноз для жизни более благоприятный.

Волков М.В.; Нефедьева Н.Н.; Папаян А.В.; Пермяков Н.К.; Рейнберг С.А.

⇐ Перейти на главную страницу сайта

⇑ Вернуться в начало страницы ⇑

Библиотека Ordo Deus ⇒

⇐ Остеобластокластома

⇓ Полный свод знаний. Том первый А. ⇓

Остеогенная нефропатия ⇒

Все статьи в полном изложении, Вы можете найти в большой медицинской энциклопедии — Главный редактор: академик АН СССР (РАН) и АМН СССР (РАМН) Б.В. Петровский. — Москва издательство «Советская энциклопедия» 1989г.

Внимание! Вы находитесь в библиотеке «Ordo Deus». Все книги в электронном варианте, содержащиеся в библиотеке «Ordo Deus», принадлежат их законным владельцам (авторам, переводчикам, издательствам). Все книги и статьи взяты из открытых источников и размещаются здесь только для чтения.

Вся информация на сайте Ordo Deus находится в свободном доступе. Ordo Deus не предоставляет информацию на платной основе.

Все авторские права сохраняются за правообладателями. Если Вы являетесь автором данного документа и хотите дополнить его или изменить, уточнить реквизиты автора, опубликовать другие документы или возможно вы не желаете, чтобы какой-то из ваших материалов находился в библиотеке, пожалуйста, свяжитесь с нами по e-mail:
info @ ordodeus. ru
Формы для прямой связи с нами находятся в нижней части страниц: контакты и устав «Ordo Deus», для перехода на эти страницы воспользуйтесь кнопкой контакты вверху страницы или ссылкой в оглавлении сайта.

Вас категорически не устраивает перспектива безвозвратно исчезнуть из этого мира? Вы не желаете закончить свой жизненный путь в виде омерзительной гниющей органической массы пожираемой копошащимися в ней могильными червями? Вы желаете вернувшись в молодость прожить ещё одну жизнь? Начать всё заново? Исправить совершённые ошибки? Осуществить несбывшиеся мечты? Перейдите по ссылке: «главная страница».

© Ordo Deus, 2010. При копировании ссылка на сайт http://www.ordo-deus.ru обязательна.