Остеоид-остеома
Остеоид-остеома (греческий osteon кость + eidos вид; остеома; синонимы остеоидная остеома) — доброкачественная опухоль остеогенной природы, характеризующаяся образованием остеоида в центральных её отделах и зоной остеосклероза в прилежащей костной ткани. Описана впервые в 1935 год Яффе (Н. L. Jaffe). Остеоид-остеома встречается в 1—2% случаев всех новообразований костей. Чаще наблюдается у лиц мужского пола, встречается обычно в возрасте от 5 до 25 лет. Опухоль обычно локализуется в плотном веществе длинных трубчатых костей, преимущественно в диафизе бедренной или большеберцовой кости.
Этиология и патогенез Остеоид-остеома не выяснены. Неоднократно предпринимались попытки связать возникновение этого патологический процесса с воспалением, однако, по мнению большинства исследователей, Остеоид-остеома имеет опухолевую природу.
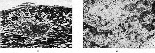
Остеоид-остеома имеет вид очага круглой или овальной формы величиной около 1 сантиметров в диаметром (рисунок 1, а), обозначаемого термином nidus (гнездо, ядро). В центральных отделах опухоли ткань красного или серо-красного цвета, рыхлой консистенции. Вокруг очага поражения видна характерная Остеосклеротическая зона или поясок ткани плотной или очень плотной консистенции в зависимости от степени остеосклероза (смотри полный свод знаний).
Микроскопически центр Остеоид-остеома образован остеогенной тканью с переплетающимися волокнами остеоида, которые подвергаются обызвествлению и превращаются в костные пластинки различной степени зрелости на периферии опухоли (рисунок 1, б). В некоторых случаях удаётся определить радиальную ориентировку костных пластинок, что, по-видимому, связано с особенностями кровоснабжения. В опухоли обычно обнаруживают большое количество клеток типа остеобластов, выстилающих новообразованные остеоидные и молодые костные пластинки, и остеокластов. Клетки костного мозга и жировая ткань в опухоли не обнаруживаются. Иногда могут встретиться отдельные лимфоциты и плазматические клетки.
Разновидностью Остеоид-остеома является так называемый остеобластома (гигантская остеоид-остеома), обычно локализующаяся в губчатом веществе тел позвонков, подвздошной кости, рёбер, костей кисти и стопы. Остеобластома превышает 4—5 сантиметров в диаметром и не имеет периферической зоны остеосклероза.
Основной клинические, симптом — постепенно нарастающие боли в зоне поражения, которые появляются или усиливаются в ночное время. В области поражения отмечают отёк ткани и повышение кожной температуры. При пальпации она может быть болезненной. Возможна атрофия мышц поражённой конечности, а при локализации Остеоид-остеома вблизи сустава иногда развивается синовит (смотри полный свод знаний).
Рентгенологические картина Остеоид-остеома обусловлена её морфологический особенностями и зависит от локализации опухоли, длительности заболевания и возраста больного. Количественное соотношение остеоидной и обызвествленной костной ткани в очаге поражения, а также характер реактивного костеобразования обусловливают различную рентгенологическое картину.
|