Остеома
Остеома (osteoma; греческий osteon кость + -oma) — доброкачественное опухолеподобное костное образование.
Остеома локализуется главным образом в придаточных (околоносовых, часть) пазухах, особенно во фронтальных, реже в костях крыши черепа и в нижней челюсти.
В ряде случаев множественные Остеома нижней челюсти, крыши черепа и длинных трубчатых костей сочетаются с диффузным полипозом желудочно-кишечные тракта и доброкачественными опухолями кожи и других мягких тканей, что составляет синдром Гарднера (смотри полный свод знаний Гарднера синдром). Макроскопически Остеома может быть периостальной, кортикальной или эндостальной. Остеома придаточных пазух бывают множественными и располагаются в полости синусов.
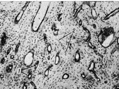
Остеома костей черепа имеет вид диффузного уплотнения или чётко ограниченного очага. Микроскопически различают Остеома компактную, губчатую и остеоид-остеому (смотри полный свод знаний). Компактная Остеома не имеет костных балок и образована почти сплошной костной массой волокнистого или пластинчатого строения с очень узкими сосудистыми каналами (рисунок 1). Губчатая Остеома состоит из беспорядочно расположенных костных балок, межбалочные пространства в ней заполнены клеточно-волокнистой тканью. Компактную Остеома большинство исследователей рассматривают как проявление нарушения тканевого развития или как костную гамартому (смотри полный свод знаний); губчатую остеому относят к опухолям или к фиброзной дисплазии.
Клинические, течение заболевания может быть долгое время бессимптомным, и иногда Остеома обнаруживают случайно при рентгенологическое исследовании. Клинические, симптоматика при локализации Остеома в придаточных пазухах обычно связана с нарушением оттока секрета или. появлением симптомов со стороны глазницы при разрушении её стенок.
При локализации остеомы на основании черепа могут возникнуть очаговые неврологический симптомы, наступить аррозия синусов твёрдой мозговой оболочки или внутричерепных сосудов.
Рентгенологические исследование позволяет не только обнаружить Остеома, но и спреде лить её форму, структуру, положение, размеры и взаимоотношение с соседними органами. Компактная Остеома на рентгенограмме имеет форму округло-овальной интенсивной бесструктурной тени (рисунок 2). Губчатая
|