Паратиреоидная остеодистрофия

Оглавление

  1. Дорога к бессмертию
  2. Бессмертие и религия
  3. Философия бессмертия
  4. Бессмертие и наука
  5. История анабиоза
  6. Смерть
  7. Кора головного мозга
  8. Бессмертие и анабиоз
  9. Анабиоз, медицина и биология
  10. Анабиоз и экономика
  11. Анабиоз и закон
  12. Анабиоз в Антарктиде
  13. Техническое обеспечение анабиоза
  14. Бессмертие и вера
  15. Библиотека Ordo Deus
  16. Контактная страница Ordo Deus

Паратиреоидная остеодистрофия

Паратиреоидная остеодистрофия (латынь parathyreoideus относящийся к околощитовидной железе; греческий osteon кость + dys + trophe питание; синонимы фиброзная генерализованная остеодистрофия, болезнь Реклингхаузена, болезнь Энгеля — Реклингхаузена) — заболевание скелета вследствие гиперпаратиреоза — гиперфункции паращитовидных желёз.

Впервые клинику заболевания описал Энгель (G. Engel) в 1864 год, затем в 1891 год Ф. Реклингхаузен, который считал этот процесс воспалительным. Позднее, в 1904 год, Асканази (М. Askanazy) указал на взаимосвязь костных изменений с опухолью паращитовидных желёз. А. В. Русаков в 1925 год обосновал показания для удаления аденомы паращитовидных желёз и предложил называть заболевание паратиреоидной остеодистрофией. Мандль (F. Mandl) в 1926 год впервые удалил аденому паращитовидных желёз при Паратиреоидная остеодистрофия, что привело к выздоровлению больного. В последующем в трудах многих исследователей была доказана взаимосвязь Паратиреоидная остеодистрофия с гиперпаратиреозом (смотри полный свод знаний), в связи с чем Паратиреоидная остеодистрофия правильнее называть гиперпаратиреоидной остеодистрофией.

По данным из различных источников, Паратиреоидная остеодистрофия встречается у 10—25% больных с гиперпаратиреозом, хотя в действительности этот процент, очевидно, выше, так как остеопороз, который является основным проявлением Паратиреоидная остеодистрофия, рентгенологически определяется лишь при потере костной тканью не менее 20% минеральных веществ (С. А. Рейнберг). Поэтому при меньших потерях минеральных веществ болезнь может быть не диагностирована.

Этиология и патогенез обусловлены нарушением в организме минерального, в основном фосфорно-кальциевого, и коллагенового обмена в результате поступления в кровь больших количеств паратгормона (смотри полный свод знаний), вырабатываемого аденомой паращитовидных желёз, что ведёт к гиперкальциемии и потере скелетом минеральных и коллагеновых структур. Рассасывание костных структур приводит, по данным А. В. Русакова и Т. Паратифы Виноградовой, к истончению компактного вещества и полной перестройке внутренней архитектоники костей с замещением рассосавшейся кости активно пролиферирующим эндостом. Следствием этого являются патологический переломы и деформации скелета. Нередко в костях образуются кисты и так называемый бурые опухоли.

Патологическая анатомия. Обычно при Паратиреоидная остеодистрофия обнаруживают гиперплазию или аденому паращитовидных желёз, в которых наблюдается гиперплазия главных клеток (смотри полный свод знаний: Гиперпаратиреоз, Паращитовидные железы). При Паратиреоидная остеодистрофия наблюдается генерализованное поражение скелета, заключающееся в интенсивной перестройке костных структур (т. е. в замене предсуществующей костной ткани новообразованной) , значительно превышающей по своему темпу физиологический перестройку. Это обусловливает разнообразие наблюдаемых при заболевании изменений в костях и других органах. Изменения, как макроскопические, так и микроскопические, зависят от тяжести заболевания, его длительности и характера осложнений. Не все кости и не все их части поражаются в одинаковой степени. Плоские кости, например, кости свода черепа, могут утолщаться (рисунок 1). В длинных костях значительно изменяются проксимальные метафизы и эпифизы. В выраженных случаях выявляется повышенная порозность и хрупкость, а также гибкость костей. Характерно истончение компактного вещества трубчатых костей (рисунок 2) и продольное расслоение его, обусловленное резким расширением гаверсовых каналов (каналов остеона, Т.). Плоские кости довольно легко режутся ножом, однако размягчение наблюдается далеко не всегда. Нередко имеются признаки свежих и бывших патологический переломов и надломов костей, а также так называемый зоны перестройки Лоозера (смотри полный свод знаний: Лоозера зоны), в костях обнаруживают остеобластокластомные разрастания — так называемый бурые опухоли и кисты, заполненные кровью, серозной или кровянистой жидкостью (рисунок 2). Эти образования в длинных костях обычно располагаются в диафизах центрально или эксцентрически. Часто при Паратиреоидная остеодистрофия возникают деформации костей, обусловленные развитием незрелых костных структур, патологический переломами, опухолевидными разрастаниями и кистами, а также остеомалятическим синдромом, осложняющим Паратиреоидная остеодистрофия (смотри полный свод знаний: Остеомаляция).

Диафизы длинных трубчатых костей умеренно дугообразно искривляются. Грудная клетка может по форме напоминать колокол, физиологический изгибы позвоночника усиливаются. Позвонки могут принимать вид рыбьих позвонков, а таз — карточного сердца. Патологический переломы костей при Паратиреоидная остеодистрофия обычно медленно срастаются, так как костная мозоль долго не созревает. В случаях Паратиреоидная остеодистрофия при гормонально малоактивных аденомах паращитовидных желёз макроскопические изменения в костях минимальные или вообще не выявляются. Аналогичная картина наблюдается в начальном периоде Паратиреоидная остеодистрофия Однако микроскопическое исследование костей и в таких случаях обнаруживает характерные изменения.



Информация об Ordo Deus Перейти в оглавление сайта

Рис. 1.
Гистотопограмма фрагмента затылочной кости при паратиреоидной остеодистрофии: кость имеет спонгиозную структуру, отсутствуют наружная и внутренняя компактные пластинки; окраска гематоксилин-эозином; × 2,5.





Информация об Ordo Deus Перейти в оглавление сайта

Рис. 2.
Макропрепараты плечевой кости (вверху) и дистального отдела бедренной кости (внизу) при паратиреоидной остео дистрофии (продольный распил): компактное вещество костей истончено, видна киста (1) плечевой кости вблизи очага опухолевидного остеобластокластомного разрастания (2); киста (3) бедренной кости заполнена свернувшейся кровью.





Информация об Ordo Deus Перейти в оглавление сайта

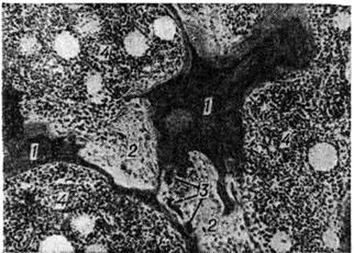
Рис. 3.
Микропрепарат тела позвонка при паратиреоидной остеодистрофии: рассасывание предсуществующей костной ткани (2); разрастание клеточно-волокнистой ткани (2), содержащей остеокласты (3); в межбалочных пространствах — преимущественно кроветворный костный мозг (4); окраска гематоксилин-эозином; × 105.





Информация об Ordo Deus Перейти в оглавление сайта

Рис. 4.
Микропрепарат компактной пластинки диафиза бедренной кости при паратиреоидной остеодистрофии: спонгизация и замена компактных структур новообразованными незрелыми костными балками 1), межбалочные пространства (2) заполнены остеогенной клеточно-волокнистой тканью; окраска гематоксилин-эозином; × 17.



При микроскопическом исследовании в случаях выраженной Паратиреоидная остеодистрофия выявляется интенсивное остеокластическое рассасывание предсуществующих костных структур (рисунок 3). Значительно активизируется костеобразование. Новообразованные костные структуры отличаются незрелостью (рисунок 4) и уменьшенным содержанием минерального компонента, что документируется микрорентгенографией (смотри полный свод знаний). В результате перестройки компактное вещество трубчатых костей теряет компактную организацию и становится спонгиозированным (рисунок 4). Исчезает чётко выраженная в норме граница между компактным и губчатым веществом кости. Характерным для Паратиреоидная остеодистрофия является массивное разрастание в межкостных пространствах (в межбалочных пространствах губчатого вещества и в расширенных гаверсовых каналах компактного) клеточно-волокнистой ткани, на основе которой происходит новообразование костных структур (рисунок 3, 4). А. В. Русаков доказал, что эта ткань является производной эндоста, то есть дериватом остеогенных элементов, а не кроветворных (нередко употребляемое наименование этой ткани «фиброзный костный мозг» нельзя считать правильным). В ходе перестройки рассасыванию подвергаются и новообразованные костные структуры, в свою очередь замещаемые новыми, часто ещё более примитивными. Несмотря на интенсивную перестройку, костная ткань не теряет функциональной архитектоники. Исключение составляют зоны с наличием опухолевидных разрастаний и кист. Эти разрастания по гистологический структуре идентичны истинным опухолям — остеобластокластомам (смотри полный свод знаний), но в отличие от последних являются реактивными и исчезают при ликвидации гиперпаратиреоза (после удаления опухоли паращитовидной железы). В лёгких случаях заболевания, то есть при гормонально малоактивной аденоме паращитовидной железы, признаки повышенной перестройки чётко выявляются, в частности, по наличию многочисленных «обломочных» структур и линий склеивания, свидетельствующих о многократных чередованиях процессов рассасывания и образования костного вещества.

В ряде случаев при Паратиреоидная остеодистрофия наблюдается отложение солей кальция (смотри полный свод знаний: Кальциноз) в желудочно-кишечные тракте, лёгких, почках. В последнем случае возможно развитие выделительного нефроза, нефрокальциноза или калькулёзного пиелонефрита с явлениями почечной недостаточности.

При гистохимическом исследовании костной ткани при Паратиреоидная остеодистрофия в ней обнаруживают довольно много (по сравнению со зрелой костной тканью) нейтральных и несколько меньше кислых мукополисахаридов (гликозаминогликанов).

Клиническая картина. Проявляется Паратиреоидная остеодистрофия болями в костях и суставах. На ранних стадиях заболевания местные изменения могут отсутствовать или выражаться в виде припухлостей в области поражённых костей. В дальнейшем наблюдаются патологический переломы (смотри полный свод знаний) костей (могут быть многократными), приводящие к грубым деформациям скелета. Иногда на месте переломов возникают ложные суставы (смотри полный свод знаний). При активизации процесса происходит почти полное рассасывание отдельных сегментов кости. Паратиреоидная остеодистрофия обычно сопровождается изменениями в сердечнососудистой, выделительной, пищеварительной, нервной системах. В некоторых случаях в области щитовидной железы прощупывают утолщение — аденому паращитовидных желёз.

Осложнения. У больных с нефрокальцинозом может развиться почечная колика и острая почечная недостаточность (смотри полный свод знаний) в результате закупорки мочеточника камнем, ацидоз (смотри полный свод знаний), вторичный гиперпаратиреоз, развитие которого связано с нарушением функции почек.

Диагноз основан на характерной клинические, картине: боли в костях, патологический переломы, деформации скелета, рост костной «опухоли» у истощённого, ослабленного, адинамичного больного с сухой кожей, страдающего жаждой, полиурией, диспептическими и дизурическими явлениями, имеющего в анамнезе почечную колику. Чаще больной акцентирует внимание на какой-либо одной жалобе, что может быть причиной ошибочной диагностики, особенно в ранней фазе Паратиреоидная остеодистрофия Биохимический исследование крови и мочи больного способствует установлению правильного диагноза. Биохимический изменения выражаются высоким содержанием кальция и щелочной фосфатазы и низким содержанием фосфора в сыворотке крови, повышенным выделением с мочой кальция, фосфора, аминоазота и оксипролина. В сомнительных случаях, при неясных клинико-рентгенологических данных, определяют паратгормон крови, а также проводят радиоизотопное исследование паращитовидных желёз с селенметионином (смотри полный свод знаний: Паращитовидные железы) и термографию (смотри полный свод знаний).

Начальные изменения в костях проявляются на рентгенограммах патологической перестройкой костного вещества пока ещё без нарушения формы костей. Эта перестройка выражается исчезновением однородности компактного вещества диафиза и его разволокнением. Эндостальная поверхность изображается нечётко. В участках с преобладанием губчатого вещества кости определяется неравномерное мелкоочаговое разрежение в виде густо расположенных, частично сливающихся между собой без чётких контуров очажков. В отдельных местах скелета могут обнаруживаться довольно крупные участки бесструктурного разрежения. Изменения не бывают строго симметричными, но они проявляются, как правило, в обеих половинах скелета и во многих костях. В черепе изменения могут выражаться истончением костей и смазанностью их структуры либо утолщением костей и структурным рисунком, характерным для рентгенологическое картины болезни Педжета (рисунок 5).

В развитой стадии болезни отдельные очаги в трубчатых костях имеют сходство с очагами при местной фиброзной остеодистрофии, но они значительно разнообразнее и сложнее. К кистозно-очаговым структурным изменениям кости и к веретенообразному её утолщению присоединяются деформации статического характера: в трубчатых костях они выражаются дугообразным искривлением, а в костях таза изменением входа в малый таз в форме так называемый карточного сердца. Характерна деформация верхнего конца бедренной кости в виде так называемый пастушьей палки (рисунок 6). Не менее показательна деформация грудной клетки, которая вследствие западения средних рёбер обеих её половин внутрь (из-за бывших множественных патологический переломов) по форме напоминает колокол. Более наглядным доказательством бывшего патологический перелома или переломов в одной трубчатой кости служит угловое искривление продольной её оси. Одним из признаков Паратиреоидная остеодистрофия является лоозеровская зона перестройки, возникающая обычно на выпуклой стороне дугообразно изогнутой длинной трубчатой кости, но встречающаяся иногда и при отсутствии искривления. Зоны перестройки определяются также в костях таза, в периферических трубчатых и в других костях.



Информация об Ordo Deus Перейти в оглавление сайта

Рис. 5.
Рентгенограмма черепа при паратиреоидной остеодистрофии: диффузное утолщение и перестройка костей.





Информация об Ordo Deus Перейти в оглавление сайта

Рис. 6.
Рентгенограмма части таза, тазобедренного сустава и верхнего конца бедра при паратиреоидной остеодистрофии: характерная картина деформации бедренной кости в виде «пастушьей палки» на фоне остеопороза и кистозного изменения в костях.





Информация об Ordo Deus Перейти в оглавление сайта

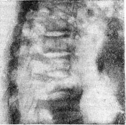
Рис. 7.
Боковая рентгенограмма нижнегрудного отдела позвоночника при паратиреоидной остеодистрофии: видно чередование зон разрешения костного вещества в центральных участках тел позвонков с более интенсивными тенями костного вещества вдоль межпозвоночных дисков.



В позвонках наблюдаются структурные изменения в виде неравномерного разрежения костного вещества, выраженного преимущественно в центральных отделах тел; вдоль верхних и нижних площадок тел позвонков остеопороз почти не отмечается. Из-за этой неравномерности структуры тел позвонков на рентгенограмме позвоночника в боковой проекции наблюдается своеобразная картина чередования зон разрежения с более интенсивными тенями костного вещества вдоль межпозвоночных дисков (рисунок 7).

После, операции удаления аденомы происходит восстановление структуры костного вещества, получающее своё отражение на рентгенограммах, при сохранении деформаций костей, возникших ещё до оперативного вмешательства.

В целях полноты исследования больных при Паратиреоидная остеодистрофия проводят рентгенологическое исследование почек, в которых иногда обнаруживаются известковые конкременты.

К современный методам диагностики и исследования Паратиреоидная остеодистрофия, помимо уже упомянутых, относится пункционная биопсия костей. Однако небольшое количество , материала, получаемое при этом, а также возможное сходство гисто л. изменений при Паратиреоидная остеодистрофия и некоторых других процессах, например, при нефрогенной и других видах остеодистрофии, болезни Педжета, позволяет поставить лишь предположительный диагноз Паратиреоидная остеодистрофия Более определённое заключение можно сделать при сопоставлении выявленных изменений с клинические, картиной и данными биохимический и рентгенологическое исследований. В ряде современных работ показано, что при Паратиреоидная остеодистрофия число остеокластов и участков рассасывания костного вещества в общем прямо пропорционально уровню паратиреоидного гормона в крови.

Дифференциальная диагностика Паратиреоидная остеодистрофия проводится с такими заболеваниями, как остеопатия нефрогенная (смотри полный свод знаний), остеодисплазия (смотри полный свод знаний), остеомаляция (смотри полный свод знаний), генерализованный остеопороз (смотри полный свод знаний), метастазы злокачественных опухолей и миеломная болезнь (смотри полный свод знаний).

При Паратиреоидная остеодистрофия в отличие от фиброзной остеоплазии рентгенологически наблюдаются более выраженная деформация костей, более заметная ячеистость их рисунка, чаще встречаются лоозеровские зоны, при повторных наблюдениях отмечают нарастание патологический изменений. В некоторых случаях провести дифференциальную диагностику между обоими заболеваниями только рентгенологически бывает затруднительно.

Лечение оперативное. Показана ревизия паращитовидных желёз и удаление их аденомы (смотри полный свод знаний: Паратиреоидэктомия). Предоперационное радиоизотопное исследование помогает определить место расположения аденомы. У некоторых больных аденома располагается атипично — в ткани щитовидной железы или в переднем средостении. В последнем случае показана стернотомия с ревизией средостения.

Больные с Паратиреоидная остеодистрофия после удаления аденомы паращитовидных желёз нуждаются в тщательном наблюдении, так как вследствие снижения уровня кальция в крови могут наступить явления тетании (смотри полный свод знаний) с патологический переломами. Первые признаки гипокальциемии — парестезии в дистальных отделах конечностей, сильные, иногда нестерпимые головные боли, боли в области дёсен, положительный симптом Хвостека (сокращение мимических мышц при ударе молоточком в проекции ствола лицевого нерва над нижнечелюстным суставом кпереди от наружного слухового прохода). Иногда наряду с кальциевой возникает резкая недостаточность калия и магния. Нередко развивается ацидоз. Для нормализации минерального и ионного обмена, кислотно-щелочного равновесия больному переливают растворы, содержащие кальций, магний, фосфор, калий, натрий, хлор (глюконат и глицерофосфат кальция, лактасол, гемодез, полиглюкин, белковые препараты), растворы глюкозы, аскорбиновой кислоты, витамины группы В.

Большое внимание уделяют профилактике патологический переломов и лечению уже имеющихся несросшихся и неправильно сросшихся переломов. Патологический переломы при Паратиреоидная остеодистрофия до удаления аденомы паращитовидных желёз срастаются медленно. После удаления аденомы сращение отломков происходит быстрее, чем при обычном переломе. При больших дефектах кости показана дополнительная костная пластика (смотри полный свод знаний) пристеночными аллотрансплантатами, возможно применение электростимуляции костеобразования. У большинства больных удаётся добиться консолидации отломков консервативными способами. При неправильно сросшихся переломах и ложных суставах иногда показано оперативное лечение: корригирующие остеотомии (смотри полный свод знаний), остеосинтез (смотри полный свод знаний), эндопротезирование тазобедренного сустава при ложных суставах шейки бедра (смотри полный свод знаний: Эндопротезирование) и др.

С первых дней послеоперационного периода начинают функциональное лечение с применением ЛФК, массажа мышц спины и конечностей. Больным с выраженным остеопорозом нередко показано ношение ортопедических аппаратов (смотри полный свод знаний) и корсетов. В позднем послеоперационном периоде назначают анаболические стероиды (смотри полный свод знаний).

Лечение больных с Паратиреоидная остеодистрофия должно проводиться с участием эндокринолога и нефролога; при обтурации мочеточника камнем требуются срочные урологические мероприятия. Больные с Паратиреоидная остеодистрофия нуждаются в диспансеризации с регулярным рентгенологическим и биохимическим контролем.

Прогноз зависит от своевременности лечения. В запущенных случаях успешное удаление аденомы паращитовидных желёз не ведёт к излечению из-за выраженных изменений внутренних органов и деформации костей. Лечение, начатое в ранних стадиях Паратиреоидная остеодистрофия, даёт хорошие анатомические и функциональные результаты.

Смотри полный свод знаний: Остеодистрофия.

Зацепин С.Т.; Кузьмина Л.П.; Свиридов С.А.; Ягодовский В.С.

⇐ Перейти на главную страницу сайта

⇑ Вернуться в начало страницы ⇑

Библиотека Ordo Deus ⇒

⇐ Парапсориаз

⇓ Полный свод знаний. Том первый А. ⇓

Паратифы ⇒

Все статьи в полном изложении, Вы можете найти в большой медицинской энциклопедии — Главный редактор: академик АН СССР (РАН) и АМН СССР (РАМН) Б.В. Петровский. — Москва издательство «Советская энциклопедия» 1989г.

Внимание! Вы находитесь в библиотеке «Ordo Deus». Все книги в электронном варианте, содержащиеся в библиотеке «Ordo Deus», принадлежат их законным владельцам (авторам, переводчикам, издательствам). Все книги и статьи взяты из открытых источников и размещаются здесь только для чтения.

Вся информация на сайте Ordo Deus находится в свободном доступе. Ordo Deus не предоставляет информацию на платной основе.

Все авторские права сохраняются за правообладателями. Если Вы являетесь автором данного документа и хотите дополнить его или изменить, уточнить реквизиты автора, опубликовать другие документы или возможно вы не желаете, чтобы какой-то из ваших материалов находился в библиотеке, пожалуйста, свяжитесь с нами по e-mail:
info @ ordodeus. ru
Формы для прямой связи с нами находятся в нижней части страниц: контакты и устав «Ordo Deus», для перехода на эти страницы воспользуйтесь кнопкой контакты вверху страницы или ссылкой в оглавлении сайта.

Вас категорически не устраивает перспектива безвозвратно исчезнуть из этого мира? Вы не желаете закончить свой жизненный путь в виде омерзительной гниющей органической массы пожираемой копошащимися в ней могильными червями? Вы желаете вернувшись в молодость прожить ещё одну жизнь? Начать всё заново? Исправить совершённые ошибки? Осуществить несбывшиеся мечты? Перейдите по ссылке: «главная страница».

© Ordo Deus, 2010. При копировании ссылка на сайт http://www.ordo-deus.ru обязательна.