Педжета болезнь

Оглавление

  1. Дорога к бессмертию
  2. Бессмертие и религия
  3. Философия бессмертия
  4. Бессмертие и наука
  5. История анабиоза
  6. Смерть
  7. Кора головного мозга
  8. Бессмертие и анабиоз
  9. Анабиоз, медицина и биология
  10. Анабиоз и экономика
  11. Анабиоз и закон
  12. Анабиоз в Антарктиде
  13. Техническое обеспечение анабиоза
  14. Бессмертие и вера
  15. Библиотека Ordo Deus
  16. Контактная страница Ordo Deus

Педжета болезнь

Педжета болезнь (J. Paget, английский хирург и патолог, 1814—1899; синонимы: деформирующий остоз, деформирующий остит, фиброзная остеодистрофия, деформирующая остеодистрофия) — заболевание скелета диспластического характера с развитием патологической перестройки, что приводит к его характерной деформации.

Заболевание впервые описал Дж. Педжет в 1877 год и назвал его osteitis deformans, считая, что в его основе лежит воспалительный процесс. Современники Педжета стали называть заболевание его именем. Позднее Педжета болезнь была объединена в одну группу с болезнью Реклингхаузена (смотри полный свод знаний: Паратиреоидная остеодистрофия) в связи с некоторым сходством гисто л. данных и получила название фиброзного остита. Штенхольм (Т. Stenholm, 1924) доказал дистрофический, а не воспалительный характер процесса при этих заболеваниях и предложил новое название — фиброзная остеодистрофия. К. Шморль (1930) выделил Педжета болезнь в самостоятельную группу и назвал её деформирующей остеодистрофией. А. В. Русаков и другие исследователи считают Педжета болезнь постнатальным диспластическим процессом.

Частота Педжета болезнь составляет 0,1 — 3%. Заболевание встречается во всех странах света, чаще в Австралии, США, Западной Европе, реже в Китае, Японии, странах Ближнего Востока, Индии, Африке. Мужчины болеют чаще. Иногда Педжета болезнь возникает у нескольких членов семьи.

Этиология точно не определена. Существует много гипотез: воспалительная, высказанная впервые Дж. Педжетом, гипотеза о врождённом пороке биосинтеза соединительной ткани кости, эндокринная, аутоиммунная, сосудистая, неопластическая, диспластическая. Перспективной считают вирусную гипотезу, так как обнаруживают вирусоподобные включения в ядрах остеокластов поражённой кости.

Патогенез. Сущность процесса при Педжета болезнь обусловлена усиленной патологический перестройкой костной ткани, которая характеризуется многократно чередующейся сменой процессов резорбции кости и её новообразования, что приводит к своеобразной микроструктуре кости, названной К. Шморлем мозаичной. Этот процесс ведёт к понижению прочности костей и деформации их под влиянием нагрузки. В основе патогенеза при Педжета болезнь лежат глубокие нарушения метаболизма костной ткани, о чем говорят изменения некоторых биохимических констант крови и мочи больных (высокая активность щелочной фосфатазы, оксипролинурия).

Патологическая анатомия. Изменения могут развиваться в одной или нескольких костях скелета (монооссальиая и полиоссальная формы), но никогда не бывают генерализованными в отличие от гиперпаратиреоидной остео дистрофии. Наиболее частая локализация процесса — таз, позвоночник, череп, бедренные и большеберцовые кости. Начальные проявления болезни морфологически почти не изучены. В поздний период становится заметным утолщение, искривление, обезображивание костей, нарушение их внутренней архитектоники.

При поражении черепа процесс чаще начинается с лобной кости и распространяется на теменную, теменно-височную и затылочную области.

Кости лицевого черепа поражаются сравнительно редко. Заболевание характеризуется возникновением на ограниченном участке кости очага из волокнистой остеогенной ткани и простейших, слабо обызвествленных губчатых структур. Постепенное увеличение зоны поражения приводит к утолщению, спонгиозированию костей, изменению величины и формы черепа (рисунок 1). Выраженность патологический изменений у разных больных неодинакова. Поверхность поражённого отдела кости красноватая, под периостом видны множественные мелкие отверстия сосудистых каналов. Рисунок кровеносных сосудов на внутренней поверхности костей черепа сохранен. Изменённая кость достигает 3—6 сантиметров толщины. На распиле видны поля остеосклероза (смотри полный свод знаний), участки разрежения костных структур, островки кроветворной и жировой ткани. В костях черепа преобладают однородные мелкоячеистые структуры, в большем количестве располагающиеся на внутренней костной пластинке (рисунок 2). Анатомо-топографические соотношения между костями черепа постепенно нарушаются. Передняя черепная ямка, скат основания черепа уплощаются (платибазия), боковые отделы средней ямки и задняя черепная ямка прогибаются, затылочная кость оседает на заднюю дугу атланта.


Верхний отдел позвоночника смещает кверху скат основания черепа (базилярная импрессия). В итоге все отделы основания черепа провисают вокруг внедряющегося эндокраниально позвоночного столба (конвексобазия).



Информация об Ordo Deus Перейти в оглавление сайта

Рис. 1.
Сагиттальный распил черепа при болезни Педжета: утолщение, неравномерный склероз и разрежение костей мозгового черепа (1); головной мозг (2) сдавлен, «распластан» на уплощённом основании черепа; задняя черепная ямка резко углублена вследствие прогибания затылочной кости (3). Анатомо-топографические соотношения между костями черепа и головным мозгом нарушены.





Информация об Ordo Deus Перейти в оглавление сайта

Рис. 2.
Гистотопограмма сагиттального распила теменной кости при болезни Педжета: спонгизация компактных пластинок (1, 3), средний отдел кости (2) содержит жировую и кроветворную ткани, внутренняя пластинка заметно утолщена, состоит из однородной мелкоячеистой губчатой костной ткани (3); окраска гематоксилин-эозином, × 1,5.





Информация об Ordo Deus Перейти в оглавление сайта

Рис. 3.
Сагиттальный распил мацерированного препарата поясничного отдела позвоночника при болезни Педжета: изменение конфигурации и структуры тел и дуг позвонков — груботрабекулярные (1) и мелкоячеистые (2) структуры; преобразование заднего отдела позвоночника (3) в сплошной костный массив.



В позвоночнике изменения локализуются в теле и дуге одного или нескольких, смежных или близко расположенных позвонков. В процесс вовлекаются крестцовые, грудные или поясничные, реже шейные позвонки. Весь позвоночный столб никогда не поражается. Изменённые позвонки увеличиваются, передняя и боковые поверхности их сглаживаются. Нередко они сплющиваются, выдвигаясь за пределы нормальных границ позвоночного столба, деформируя позвоночный канал и межпозвоночные отверстия. На распилах (рисунок 3) структура позвонков неоднородная, участки разрежения чередуются с груботрабекулярными тяжами, более компактны их периферические отделы (рентгенологически — трабекуляризация, рисунок «рамы»). Местами костная ткань принимает вид мелкозернистой пемзы. Патологически изменённая костная ткань может замещать межпозвоночные диски, поверхность которых становится как бы изъеденной (рисунок 4). Возможно преобразование смежных сегментов в однородную функционально недифференцированную костную ткань. Опорная функция позвоночника снижается, возникают осложнения, обусловленные сдавлением спинного мозга и спинномозговых нервов.

Изменённые трубчатые кости утолщаются, искривляются, изгиб их иногда сочетается со скручиванием по оси (рисунок 5). Поверхность костей становится шероховатой, с отверстиями от мелких кровеносных сосудов. Корковое вещество расширяется, утрачивает компактность, приобретает неравномерно спонгиозированный вид (рисунок 6). Костномозговой канал сужен вплоть до облитерации. На продольных распилах костей выявляются мелкоячеистые и груботрабекулярные структуры (рентгенологически — «ланцетовидное» расслоение, разволокнение). Изменения чаще возникают в диафизах, распространяясь по длиннику кости, захватывают эпифизы. Хрящи суставов не изменяются.

Наиболее частое осложнение Педжета болезнь — переломы трубчатых костей, часто поперечные. Костная мозоль при них формируется в обычные сроки, но нередко подвергается патологический перестройке.

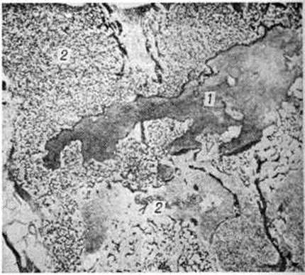
При микроскопическом исследовании в поражённых костях различают предсуществующую и новообразованную костную ткань. Предсуществующая ткань сохраняет функциональный характер архитектоники костных структур, в ней определяют специфичную для Педжета болезнь резкую мозаичность, хаотичность рисунка костных пластин, неравномерность окраски, явления аутолитического рассасывания костного вещества, наиболее выраженного по ходу сосудистых каналов (рисунок 7). В предсуществующем костном веществе нередки микропереломы. Возникновение этих изменений отражает характер перераспределения силовых нагрузок, интенсивность патологический перестройки в деформированном костном органе.



Информация об Ordo Deus Перейти в оглавление сайта

Рис. 4.
Гистотопограмма позвонка при болезни Педжета: межпозвоночный диск (1) истончён, его поверхностные отделы неровные, ткань диска частично замещена однородной, функционально недифференцированной губчатой костной тканью; 2— тела позвонков; × 2.





Информация об Ordo Deus Перейти в оглавление сайта

Рис. 5.
Фронтальный распил плечевой кости при болезни Педжета: дугообразное искривление кости, расширение и спонгизация кортикального слоя, особенно на внутренней стороне средней трети диафиза (указано стрелкой).





Информация об Ordo Deus Перейти в оглавление сайта

Рис. 6.
Гистотопограмма продольного распила кортикального слоя диафиза бедренной кости: расширение кортикального слоя, чередование груботрабекулярных тяжей (1) предсуществующей костной ткани и афункциональных костных губчатых структур (2), окраска гематоксилин-эозином, × 3.



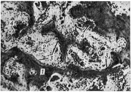
Новообразованная костная ткань лишена функциональный дифференцировки, однотипна при любой локализации процесса. Эта ткань разрастается среди предсуществующих костных структур, постепенно занимая все более значительные пространства кости. Она построена из мелких, примитивных афункциональных костных перекладин, частично сохраняющих остеоидный характер. Рисунок костных пластин неотчётливый. Количество и зрелость костных перекладин могут быть различными. Костные перекладины окружены нежно волокнистой остеогенно-потентной тканью (рисунок 8), содержащей большое количество кровеносных капилляров, вокруг которых располагаются мелкие одноядерные клетки с тёмно-базофильными ядрами и узким розоватым ободком цитоплазмы. Новообразованная костная ткань отличается признаками интенсивного костеобразования и резорбции неполноценного костного вещества — вблизи костных перекладин располагаются цепочки и скопления клеток остеобластического ряда, на поверхности костных перекладин в лакунах залегают многочисленные остеокласты.

Наиболее чётко топографические соотношения между новообразованной и предсуществующей тканью прослеживаются на гистотопограммах, приготовленных из целых костных органов или их крупных фрагментов, особенно при параллельном рентгенопатоморфологическом изучении. Характер сочетания предсуществующей и новообразованной ткани определяет разнообразие морфологический проявлений Педжета болезнь, а также степень активности патологический процесса.

Неуклонный рост, тканевой атипизм костных структур и афункциональность их архитектоники, интенсивность кровоснабжения новообразованной ткани дают основание некоторым патологам считать Педжета болезнь своеобразным опухолевым процессом.

Изменений внутренних органов и эндокринных желёз, специфичных для Педжета болезнь, не найдено.

Клиническая картина. Педжета болезнь встречается чаще в возрасте старше 40 лет, но, вероятно, до обнаружения длительное время протекает бессимптомно. Отдельные исследователи выделяют так называемый юношескую форму болезни (juvenilis Paget), другие обозначают это поражение как гиперфосфатазию.

В начале заболевания без видимой причины появляются боли в костях и суставах. В далеко зашедших случаях наступает деформация костей.



Информация об Ordo Deus Перейти в оглавление сайта

Рис. 7.
Микропрепарат предсуществующей костной ткани: мозаичные структуры (1) в компактном костном веществе, аутолитическое рассасывание костного вещества по ходу сосудистых каналов (2), окраска гематоксилин-эозином, × 80.





Информация об Ordo Deus Перейти в оглавление сайта

Рис. 8.
Микропрепарат новообразованной «педжетовской» ткани: афункциональные примитивные костные перекладины (1) окружённые остеогенно-потентной нежноволокнистой тканью (2), на поверхности перекладин цепочки остеобластов (3) и многочисленные остеокласты (4); окраска гематоксилин-эозином, × 120.





Информация об Ordo Deus Перейти в оглавление сайта

Рис. 9.
Рентгенограмма грудного отдела позвоночника больного с болезнью Педжета: структура нижних грудных позвонков имеет грубый вид, направление костных перекладин сохраняет вертикальную функциональную направленность.



Поражение скелета чаще асимметричное. Длинные трубчатые кости утолщаются, дугообразно искривляются. Череп увеличивается в размере за счёт утолщения костей свода и основания. Характерна гипертермия мягких тканей над больной костью, обусловленная её гиперваскуляризацией и расширением подкожных сосудов. Ограничение подвижности в суставах, хромота развиваются в далеко зашедших случаях.

Содержание кальция и фосфора в крови и моче может быть нормальным, нередко наблюдаются высокое содержание щелочной фосфатазы и высокое выделение оксипролина с мочой.

Осложнения. Невриты тройничного нерва (смотри полный свод знаний), лицевого нерва (смотри полный свод знаний), глухота (смотри полный свод знаний), атрофия зрительного нерва (смотри полный свод знаний), гипертензивный синдром (смотри полный свод знаний), ликворо динамические расстройства обусловлены утолщением костей основания и свода черепа, уплощением черепных ямок и сужением отверстий черепа. При поражении позвоночника может развиться компрессионный спинальный синдром.

Вовлечение в процесс тазобедренных суставов приводит к тяжёлым коксартрозам (смотри полный свод знаний: Артрозы) и иногда к протрузии головки в таз. Нередки патологический переломы (смотри полный свод знаний). На фоне Педжета болезнь могут развиться как доброкачественные опухоли — остеобластокластома (смотри полный свод знаний), так и злокачественные — остеогенная саркома (смотри полный свод знаний) и другие виды сарком (смотри полный свод знаний), миеломная болезнь (смотри полный свод знаний). Малигнизация — наиболее грозное осложнение Педжета болезнь Саркомы возникают в 3—15% наблюдений Педжета болезнь По строению это остеогенные, веретеноклеточные, полиморфно-клеточные саркомы, хондросаркомы, фибросаркомы, ретикулярные саркомы. Течение сарком, осложняющих Педжета болезнь, отличается особой злокачественностью.

Диагноз ставится преимущественно на основании рентгенологическое исследования. Из клинические, проявлений важное диагностическое значение имеет наличие дугообразной характерной деформации костей. Обычно для диагностики достаточно рентгенограмм в двух взаимно перпендикулярных проекциях. При диагностических затруднениях показана биопсия.

Ранние этапы болезни рентгенологически характеризуются изменениями внутренней архитектоники кости, затем к ним присоединяются утолщение и деформация кости. Наиболее характерна для Педжета болезнь видимая на снимках груботрабекулярная перестройка костной структуры. Костные перекладины утолщаются, группируются в пучки, вследствие чего вся структура кости приобретает грубый вид, ячейки между костными перекладинами становятся крупными, неправильной формы, костные перекладины в основном сохраняют свою функциональный направленность (рисунок 9—11). В процесс перестройки вовлекается и корковое вещество, которое приобретает волокнистый вид; в дальнейшем граница между корковым и губчатым веществом вовсе теряется, кость на уровне поражения утолщается, деформируется (рисунок 12). Целость контуров кости всегда сохраняется. Утолщение трубчатых костей сочетается с сужением костномозгового канала, а затем и полным его исчезновением. Структура поражённого участка кости по всей его толщине становится одинаковой. Кости черепа могут утолщаться в 2—3 раза. Структура их на рентгенограмме отличается своеобразным хлопьевидным рисунком вследствие неравномерной перестройки с чередованием участков уплотнения и разрежения костного вещества. В позвоночнике, как правило, поражается тело позвонка, но процесс перестройки может распространиться и на дугу. Структура позвонка становится грубой, крупноячеистой, основные пучки балок располагаются по сторонам в виде рамы. Тело позвонка всегда увеличено в боковых и переднезаднем направлениях, высота его снижается, реже остаётся обычной.

Перестраивающиеся длинные трубчатые кости постепенно искривляются, с выпуклой стороны нередко развиваются зоны патологической функциональной перестройки (смотри полный свод знаний: Лоозера зоны), на основе которых возникают характерные так называемый банановые переломы, проходящие поперечно к продольной оси кости и имеющие ровную, иногда изогнутую поверхность (рисунок 13).



Информация об Ordo Deus Перейти в оглавление сайта

Рис. 10.
Рентгенограмма тазобедренного сустава больного с болезнью Педжета: структура межвертельной области бедренной кости имеет грубый вид, ячейки (указаны стрелками) между костными перекладинами крупные, неправильной формы.





Информация об Ordo Deus Перейти в оглавление сайта

Рис. 11.
Рентгенограмма области симфиза больного с болезнью Педжета: груботрабекулярная перестройка костной структуры обеих лонных и седалищных костей.





Информация об Ordo Deus Перейти в оглавление сайта

Рис. 12.
Рентгенограмма предплечья больного с болезнью Педжета: лучевая кость утолщена, деформирована, кортикальный слой имеет волокнистый вид, граница между слоями не прослеживается.





Информация об Ordo Deus Перейти в оглавление сайта

Рис. 13.
Рентгенограмма проксимальной трети голени больного с болезнью Педжета: патологический «банановый» перелом (указан стрелкой) большеберцовой кости без осколков и смещения отломков (по С. А. Рейнбергу).



Рентгенологические признаки развивающейся на почве Педжета болезнь остеогенной саркомы и других опухолей те же, что и при развитии их в непоражённой кости: характерны очаги беспорядочного разрушения и такого же беспорядочного опухолевого эндостального костеобразования, разрушение кортикального слоя кости с образованием краевых деструктивных очагов, появление периостальных наслоений в виде так называемый козырька. Диагноз остеогенной саркомы подтверждается выявлением опухоли за пределами кости, в мягких тканях.

Педжета болезнь приходится дифференцировать с паратиреоидной остеодистрофией (смотри полный свод знаний), хронический остеомиелитом (смотри полный свод знаний), остеомаляцией (смотри полный свод знаний), мраморной болезнью (смотри полный свод знаний), диафизарным гиперостозом (смотри полный свод знаний: Камурати — Энгельманна болезнь), периостозом Бамбергера — Мари (смотри полный свод знаний: Бамбергера — Мари периостов), акромегалией (смотри полный свод знаний), метастатическим раком костей (смотри полный свод знаний: Кость), миеломной болезнью (смотри полный свод знаний), с изменением костей при третичном сифилисе (смотри полный свод знаний).

Лечение многообразно в связи с большим количеством гипотез о возникновении Педжета болезнь: препараты йода и салицилаты, витамины, гормоны (кортикостероидные, андрогены, анаболические), цитостатики (циклофосфан) и цитотоксические препараты (оливомицин), радиотерапия. В 70-е годы с положительным эффектом применяют гормон светлых клеток щитовидной железы — кальцитонин.

Оперативное вмешательство изредка показано при лечении осложнений: остеосинтез (смотри полный свод знаний) — при патологический переломах со смещением, декомпрессивная ламинэктомия (смотри полный свод знаний) — при спинальных синдромах, эндопротезирование — при тяжёлых коксартрозах.

Прогноз. Педжета болезнь длится десятилетиями, медленно прогрессируя. При отсутствии осложнений прогноз благоприятный. Больные Педжета болезнь должны находиться под диспансерным наблюдением с целью своевременного выявления возможных осложнений и борьбы с ними.

Смотри полный свод знаний: Кость, Остеодисплазия.

Жарков П.Л.; Кузьмина Л.П.; Некачалов В.В.

⇐ Перейти на главную страницу сайта

⇑ Вернуться в начало страницы ⇑

Библиотека Ordo Deus ⇒

⇐ Пахименингит

⇓ Полный свод знаний. Том первый А. ⇓

Педжета — Шреттера синдром ⇒

Все статьи в полном изложении, Вы можете найти в большой медицинской энциклопедии — Главный редактор: академик АН СССР (РАН) и АМН СССР (РАМН) Б.В. Петровский. — Москва издательство «Советская энциклопедия» 1989г.

Внимание! Вы находитесь в библиотеке «Ordo Deus». Все книги в электронном варианте, содержащиеся в библиотеке «Ordo Deus», принадлежат их законным владельцам (авторам, переводчикам, издательствам). Все книги и статьи взяты из открытых источников и размещаются здесь только для чтения.

Вся информация на сайте Ordo Deus находится в свободном доступе. Ordo Deus не предоставляет информацию на платной основе.

Все авторские права сохраняются за правообладателями. Если Вы являетесь автором данного документа и хотите дополнить его или изменить, уточнить реквизиты автора, опубликовать другие документы или возможно вы не желаете, чтобы какой-то из ваших материалов находился в библиотеке, пожалуйста, свяжитесь с нами по e-mail:
info @ ordodeus. ru
Формы для прямой связи с нами находятся в нижней части страниц: контакты и устав «Ordo Deus», для перехода на эти страницы воспользуйтесь кнопкой контакты вверху страницы или ссылкой в оглавлении сайта.

Вас категорически не устраивает перспектива безвозвратно исчезнуть из этого мира? Вы не желаете закончить свой жизненный путь в виде омерзительной гниющей органической массы пожираемой копошащимися в ней могильными червями? Вы желаете вернувшись в молодость прожить ещё одну жизнь? Начать всё заново? Исправить совершённые ошибки? Осуществить несбывшиеся мечты? Перейдите по ссылке: «главная страница».

© Ordo Deus, 2010. При копировании ссылка на сайт http://www.ordo-deus.ru обязательна.