Периодонтит

Оглавление

  1. Дорога к бессмертию
  2. Бессмертие и религия
  3. Философия бессмертия
  4. Бессмертие и наука
  5. История анабиоза
  6. Смерть
  7. Кора головного мозга
  8. Бессмертие и анабиоз
  9. Анабиоз, медицина и биология
  10. Анабиоз и экономика
  11. Анабиоз и закон
  12. Анабиоз в Антарктиде
  13. Техническое обеспечение анабиоза
  14. Бессмертие и вера
  15. Библиотека Ordo Deus
  16. Контактная страница Ordo Deus

Периодонтит

Периодонтит (periodontitis; греческий peri вокруг, около + odus, odontos зуб + -itis; синонимы перицементит) — воспаление периодонта.

В зависимости от локализации патологический процесса в периодонте (смотри полный свод знаний) различают верхушечный (апикальный) Периодонтит, при котором воспаление развивается между верхушкой корня зуба и стенкой зубной альвеолы, и 2 краевой (маргинальный) Периодонтит, при котором воспаление начинается с края десны. Наиболее частым вариантом воспалительного поражения периодонта является верхушечный Периодонтит

Согласно наиболее распространённой клинико-анатомической классификации, предложенной И. Г. Лyкомским (1955), Периодонтит делится на острый (серозный, гнойный), хронический (гранулирующий, гранулематозный, фиброзный) и обострившийся хронический.

По степени распространения патологический процесса Периодонтит делят на очаговые и диффузные.

Этиология и патогенез. Причинами Периодонтит чаще всего являются инфекция, травма, токсическое действие лекарственных средств. В его патогенезе большое значение придаётся аллергической перестройке реактивности периодонта под влиянием сенсибилизации стрептококками, микробными токсинами и продуктами распада пульпы. Верхушечный Периодонтит может развиться в результате непосредственного проникновения патогенных микроорганизмов из канала корня зуба в периодонт при пульпите (смотри полный свод знаний) или кариесе (смотри полный свод знаний Кариес зуба). Воспаление может переместиться в периодонт из рядом расположенных очагов воспаления при остеомиелите челюсти (смотри полный свод знаний), гайморите (смотри полный свод знаний) или из пародентального кармана при пародонтозе (смотри полный свод знаний). При Периодонтит обнаруживают обычно не отдельные виды микробов, а различные их ассоциации. В составе флоры преобладают грамположительные кокки (в основном стрептококки и стафилококки), также высеваются лактобактерии, коринебактерии, дрожжеподобные грибки.

Периодонтит возникает при повреждении периодонта в результате удара, перфорации корня зуба, оперативных вмешательств на зубе и в области периодонта (цистэктомия, удаление опухоли, обточка зуба) или в результате длительного воздействия на периодонт травмирующих факторов (профессиональная травма, неправильно изготовленные пломбы и зубные протезы, ошибки при проведении ортодонтического лечения, окклюзионная травма). Периодонтит в результате травмы чаще всего встречается в области резцов и клыков, так как они наиболее подвержены травматическим воздействиям.

Периодонтит может возникнуть в результате токсического воздействия на периодонт сильнодействующих лекарственных средств (мышьяковистой пасты, параформальдегида, антиформина, формалина, фенола, крепких кислот), а также в ответ на введение в периодонт при лечении пульпита штифтов, фосфат-цемента, парацина, резорцин-формалиновой пасты или под влиянием вредных ингредиентов других пломбировочных материалов.

Краевой Пиодермия развивается в результате механической травмы (плохо контурированная или глубоко продвинутая под десну коронка, избытки пломбировочного материала или инородное тело в межзубном промежутке, травма зубочисткой) или химической травмы (крепкими кислотами, щелочами) края десны и последующего инфицирования. Краевой Периодонтит всегда сопровождает генерализованные заболевания пародонта (смотри полный свод знаний).

Патологическая анатомия. В морфологический отношении верхушечный периодонтит представляет собой острое или хроническое воспаление периодонтальной связки (периодонта), заполняющей щель между корнем зуба и стенкой зубной альвеолы. В патологический процесс в той или иной степени могут вовлекаться и прилежащие к периодонту ткани — твёрдые ткани зуба (цемент, дентин), костная стенка зубной альвеолы, надкостница и так далее.

В зависимости от характера воспаления острый Периодонтит может быть серозным или гнойным. При серозном Периодонтит макроскопически отмечается некоторое набухание и покраснение периодонта в области верхушки корня зуба. Микроскопически выявляют умеренное полнокровие и отёк тканей периодонта.

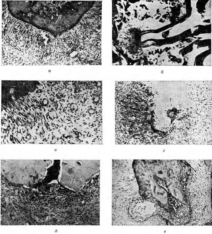
Как правило, периодонт в отдельных участках пропитан серозным экссудатом с небольшой примесью лейкоцитов и круглоклеточных элементов. Лишь местами обнаруживают преимущественно периваскулярные компактные скопления лейкоцитов (рисунок 1, а). Прогрессирование серозного Периодонтит обусловливает его переход в гнойный Периодонтит, при котором макроскопически в утолщённом и полнокровном периодонте видны желтоватые очажки — гнойнички. В случае гнойного расплавления периодонта на поверхности корня зуба сохраняются лишь отдельные его фрагменты, остальная часть корня обнажена, покрыта гноем. Нередко в области больного зуба наблюдают воспалительную гиперемию и отёк надкостницы альвеолярного отростка и слизистой оболочки десны. Микроскопически в толще периодонта, окружающего верхушку корня зуба, на фоне резкой гиперемии видны очаговые и диффузные лейкоцитарные инфильтраты. Как правило, наблюдаются множественные микроабсцессы, в результате слияния которых в около-верхушечной области образуются более крупные абсцессы (рисунок 1, б). Обычно вокруг абсцесса формируется зона перифокального серозного воспаления, которая в виде пояса отграничивает абсцесс от окружающих тканей. В других случаях отмечается распространение серозно-гнойного и гнойного процесса на прилежащие участки костной ткани. При этом патологический процесс сопровождается незначительной либо умеренной резорбцией костной стенки зубной альвеолы, а также цемента корня зуба. Острый Периодонтит в некоторых случаях переходит в хронический.

В зависимости от характера тканевой реакции различают гранулирующий, гранулематозный, фиброзный и обострившийся хронический Периодонтит При гранулирующем Периодонтит макроскопически на отдельных участках верхушки корня удалённого зуба видны обрывки сочной темно-красного цвета грануляционной ткани. Поверхность корня неровная, шероховатая, с единичными либо множественными узурами. Микроскопически в окружности верхушки корня зуба обнаруживается не имеющее чётких границ разрастание грануляционной ткани на различных стадиях созревания (рисунок 1, в). В области разрастания грануляционной ткани наблюдается интенсивная резорбция твёрдых тканей корня зуба (цемента и дентина), а также костной стенки зубной альвеолы (рисунок 1, г). Грануляции замещают собой костную ткань и в отдельных случаях, резорбировав компактное вещество кости челюсти и разрушая надкостницу, прорастают в около-челюстные мягкие ткани. Наряду с рассасыванием твёрдых тканей зуба и кости но периферии воспалительного очага наблюдается и их новообразование. В прилежащих к воспалительному очагу участках костной ткани повсеместно выявляют гиперемию, отёк, очаговые и диффузные лимфогистиоцитарные инфильтраты. Происходит замещение костного мозга соединительной тканью.

Гранулематозный периодонтит по морфологический признакам делят на простую зубную гранулему, сложную зубную гранулему и кистогранулему.



Информация об Ordo Deus Перейти в оглавление сайта

Рис. 1.
Микропрепараты верхушечного периодонта: а — при остром серозном экспериментальном периодонтите: 1 — ткани периодонта, пропитанные серозным экссудатом, 2 — верхушка корня зуба, 3 — периваскулярные скопления лейкоцитов; окраска гематоксилин-эозином; × 90; б — при гнойном экспериментальном периодонтите; стрелкой указан крупный абсцесс у верхушки корня зуба; окраска гематоксилин-эозином; × 40; в — при хроническом гранулирующем экспериментальном периодонтите: 1 — грануляционная ткань с хорошо развитыми сосудами капиллярного типа, 2 — узурированный край цемента корня зуба; окраска гематоксилин-эозином; × 90; грамм — при хроническом гранулирующем экспериментальном периодонтите: 1 — резорбция верхушки корня зуба, 2 — грануляционная ткань, замещающая твёрдые ткани зуба; окраска гематоксилин-эозином; × 90; д — при хроническом гранулематозном экспериментальном периодонтите: 1 — простая гранулема, 2 — верхушка корня зуба, 3 — фиброзная капсула; окраска гематоксилин-эозином; × 90; е — при хроническом гранулематозном периодонтите: 1 — сложная гранулема, 2 — формирующаяся эпителиальная киста; окраска гематоксилин-эозином; × 90.



Макроскопически зубные гранулемы имеют вид шаровидного или овального образования, окружённого плотной фиброзной оболочкой, обычно с гладкой поверхностью, припаянного к верхушке корня зуба, благодаря чему гранулема нередко извлекается вместе с удалённым корнем. Окраска зубных гранулем различна — от светло-жёлтой до темно-красной. Простая зубная гранулема микроскопически характеризуется образованием фокуса созревающей грануляционной ткани, отграниченного по периферии фиброзной капсулой различной толщины (рисунок 1,д). Усиление продуктивного компонента патологический процесса в периодонте сопровождается стиханием перифокальной воспалительной реакции в прилежащей костной ткани. В окружности зубной гранулемы наблюдается построение новых костных трабекул.

В сложной зубной гранулеме формирование фокуса грануляционной ткани сопровождается разрастанием в ней тяжей эпителия. В некоторых случаях эпителиальный компонент развит настолько интенсивно, что начинает превалировать в гистологический картине зубной гранулемы.

Кистогранулема (околокорневая киста) образуется из сложной зубной гранулемы в результате вакуольной дистрофии и распада эпителиальных клеток в центральных отделах эпителиальных тяжей, где наблюдается развитие мелких щелевидных просветов, при слиянии которых постепенно образуется полость, обычно выстланная изнутри эпителием, расположенным на подлежащей грануляционной ткани (рисунок 1, е). Фиброзная стенка кистогранулемы спаяна с периодонтом поражённого зуба (смотри полный свод знаний Зубная киста).

При фиброзном Периодонтит периодонт утолщён, имеет светло-розовую окраску. Иногда эти изменения развиваются на ограниченном участке периодонта в окружности верхушки корня зуба, в других случаях процесс носит диффузный характер и утолщение периодонта определяется по всей поверхности корня зуба. В ряде случаев в результате значительного новообразования цемента корень зуба в области верхушки или на всем протяжении утолщён. Микроскопически при фиброзном Периодонтит наблюдается картина, характерная для вялотекущего, преимущественно продуктивного воспалительного процесса, сопровождающегося перестройкой и склерозом ткани периодонта. При этой форме воспаления в периодонте резко сокращается количество клеточных элементов, коллагеновые фибриллы и их пучки теряют функционально обусловленную ориентировку. Образующиеся в результате продуктивных реакций беспорядочно ориентированные грубоволокнистые структуры замещают ткань периодонта, в результате чего периодонт приобретает характер рубцовой ткани. Во многих участках периодонта обнаруживают лимфогистиоцитарные инфильтраты (рисунок 2), чаще мелкоочаговые периваскулярные реже диффузного характера. Резко уменьшается количество кровеносных сосудов, стенки которых утолщаются и подвергаются склерозу. Эта форма хронический Периодонтит часто сопровождается гипертрофией цемента зуба. Избыточные массы новообразованного цемента локализуются либо в области верхушки корня зуба, либо по всей его поверхности.



Информация об Ordo Deus Перейти в оглавление сайта

Рис. 2.
Микропрепарат периодонта межкорневой области при хроническом фиброзном экспериментальном периодонтите: незначительная лимфогистиоцитарная инфильтрация (указана стрелкой) межкорневого периодонта; окраска гематоксилинэозином; × 90.





Информация об Ordo Deus Перейти в оглавление сайта

Рис. 3.
Микропрепарат верхушечного периодонта при обострении хронического гранулирующего экспериментального периодонтита: микроабсцесс (1), грануляционная ткань (2); окраска гематоксилин-эозином; × 90.



Обострившийся хронический Периодонтит характеризуется развитием в периодонте, поражённом хронический воспалительным процессом, плотного лейкоцитарного инфильтрата, в котором формируются очаги некроза и гнойного расплавления (рисунок 3). Иногда лейкоцитарный инфильтрат пенетрирует грубоволокнистые структуры периодонта, а при наличии зубной гранулемы — её фиброзную капсулу, и распространяется в окружающие ткани: губчатое вещество костной ткани альвеолярного отростка челюсти, надкостницу, прилежащие к челюсти мягкие ткани.

Краевой периодонтит представляет собой особый тип поражения околозубных тканей, характеризующийся развитием в краевом периодонте нисходящего воспалительного процесса (сначала острого, затем хронического), возникающего, как правило, вследствие повреждения зубодесневого соединения и сопровождающегося деструкцией опорного аппарата зуба: разрушением периодонтальной связки, резорбтивными изменениями в стенке зубной альвеолы.

Клиническая картина разнообразна и зависит от локализации и вида воспалительного процесса в периодонте.

Верхушечный периодонтит, как правило, протекает на фоне патологический изменений в коронке или пульпе зуба.

Острый серозный Периодонтит характеризуется возникновением самопроизвольных ноющих болей, усиливающихся при накусывании на больной зуб. Десна чаще не изменена, реже отёчна. Зуб имеет кариозную полость, безболезненную при зондировании. Перкуссия зуба, пальпация десны и переходной складки болезненны, зуб слегка подвижен. Отмечается увеличение и болезненность регионарных лимфатических, узлов.

Острый гнойный Периодонтит сопровождается нарастанием самопроизвольных постоянных болей, особенно при прикосновении к зубу, боль при этом иррадиирует по ходу ветвей тройничного нерва. При накусывании на зуб у больных возникает ощущение «выросшего зуба». Зуб может иметь неповреждённую кариозным процессом коронку или запломбированную кариозную полость. При осмотре отмечается подвижность зуба, гиперемия и отёчность десны и переходной складки. Пальпация десны и перкуссия зуба резко болезненны. На термические и электрические раздражители зуб не реагирует. Регионарные лимфатических, узлы увеличены, в крови отмечается лейкоцитоз, ускорение РОЭ. Возможны осложнения гнойного Периодонтит в виде периостита (смотри полный свод знаний) и остеомиелита челюсти, флегмоны и абсцессов челюстно-лицевой области (смотри полный свод знаний Лицо, заболевания), одонтогенного гайморита (смотри полный свод знаний), медиастинита (смотри полный свод знаний) (рисунок 4).

Хронический Периодонтит возникает из острого Периодонтит или развивается первично. Гранулирующий Периодонтит — наиболее активная по течению форма хронический Периодонтит Он может протекать бессимптомно, но нередко имеется болезненность при накусывании на больной зуб, иногда в области верхушки корня зуба периодически открывается свищевой ход с гнойным отделяемым и выбухающей разросшейся грануляционной тканью. Отмечается гиперемия и отёчность слизистой оболочки десны около больного зуба. Пальпация десны в области верхушки корня зуба и перкуссия зуба болезненны. Гранулирующий Периодонтит протекает с выраженной резорбцией костной ткани зубной альвеолы, цемента и дентина корня зуба, особенно в участках разрастания грануляционной ткани.

Морфологически формы гранулематозного Периодонтит (зубная гранулема простая, сложная, кистогранулема) клинически неразличимы. Течение их чаще бессимптомное, реже больные жалуются на неприятную ноющую боль и незначительную болезненность при накусывании. Зуб может иметь коронку изменённого цвета, некачественно запломбированные каналы либо кариозную полость с распадом пульпы в каналах корней зуба. Перкуссия зуба чаще безболезненна, при пальпации десны может отмечаться небольшое болезненное выбухание костной стенки зубной альвеолы с вестибулярной поверхности, соответственно локализации зубной гранулемы.



Информация об Ordo Deus Перейти в оглавление сайта

Рис. 4.
Схематическое изображение возможных путей распространения инфекции при остром гнойном периодонтите (фронтальный разрез): в гайморову полость (1), в краевой периодонт и десну (2) через апикальное отверстие, пародонтальный карман (маргинальный путь); через канал корня зуба в полость рта (3), под надкостницу альвеолярного отростка (4), через костномозговые пространства (5) в околочелюстные ткани (6). Слюнная железа (7), альвеолярная часть нижней челюсти (8), язык (9), зубы (10), альвеолярный отросток верхней челюсти (11).



Фиброзный Периодонтит относится к наиболее благоприятным по течению формам хронический Периодонтит Обычно он протекает бессимптомно. Коронка зуба может быть интактной, иногда наблюдается изменение цвета зуба или глубокая кариозная полость, зондирование которой безболезненно. Кариозная полость и каналы корней зуба могут быть пломбированы. Перкуссия зуба чаще безболезненна, реакция на холод и тепло отсутствует.

Обострившийся хронический Периодонтит развивается на фоне уже имеющихся значительных деструктивных изменений в периодонте и стенке зубной альвеолы, поэтому протекает тяжелее. Обострения могут возникать под влиянием разнообразных причин: переохлаждения, перенесённых заболеваний, травмы периодонта во время лечения и так далее Клинически он имеет много общего с острым Периодонтит: постоянная острая боль, отёк окружающих мягких тканей, недомогание, головная боль, нередко повышение температуры тела до 38—39°, увеличение регионарных лимфатических, узлов. Часто в зубе имеется глубокая кариозная полость, безболезненная при зондировании. Зуб подвижен, цвет его нередко изменён. Однако зуб может быть не повреждён кариозным процессом или быть пломбирован. При осмотре отмечают отёчность и гиперемию слизистой оболочки десны и нередко кожи лица, переходная складка сглажена, при пальпации болезненна. Отмечается резкая боль при вертикальной перкуссии, в меньшей степени — при горизонтальной. Реакция пульпы на температурные и электрические раздражители отсутствует. В крови наблюдается лейкоцитоз, ускорение РОЭ.

Краевой периодонтит наблюдается значительно реже верхушечного. Для острого краевого Периодонтит характерно появление болей, отёк и гиперемия десневого края в области одного или нескольких зубов. Пальпация десны и горизонтальная перкуссия зуба болезненны. Электровозбудимость пульпы зуба в пределах нормы, однако проявления краевого Периодонтит могут отмечаться вокруг депульпированных зубов. Наиболее частый исход острого краевого Периодонтит без лечения — переход в хронический Периодонтит

При хронический Периодонтит отмечается атрофия десневого края, образование пародонтального кармана, поддесневого зубного камня, обнажение шейки зуба и появление гиперестезии.

Диагноз ставится на основании клинические, картины, а также с помощью рентгенографии. Рентгенологические метод занимает ведущее место в диагностике, оценке клинические, течения и результатов лечения Периодонтит Чаще используют внутриротовую контактную рентгенографию. При повышенном рвот ном рефлексе, тризме, а также в детской практике прибегают к внутриротовой рентгенографии в прикус. При невозможности выполнения внутриротовой рентгенографии используют внеротовую рентгенографию или пантомографию (смотри полный свод знаний).



Информация об Ordo Deus Перейти в оглавление сайта

Рис. 5.
Внутриротовые рентгенограммы нижних боковых зубов при хроническом периодонтите: а — компактное вещество зубной альвеолы шестого зуба склерозировано (I), корень его (2) утолщён — гиперцементоз (признаки хронического фиброзного периодонтита); у верхушки корня пятого зуба очаг деструкции (3) костного вещества с нечёткими границами (хронический гранулирующий периодонтит), верхушка межальвеолярной перегородки (4) между пятым и шестым зубами разрушена; б — у верхушки корня пятого зуба очаг деструкции (указан стрелкой) с ровными контурами (гранулема).



Рентгенологические картина Периодонтит характеризуется следующими признаками: увеличением ширины и деформацией периодонтальной щели, разрушением или склерозом компактного вещества стенки зубной альвеолы, изменением структуры костной ткани зубной альвеолы, неровностью контуров и гиперцементозом корня зуба.

Острый верхушечный Периодонтит, несмотря на выраженную клинические, картину, беден рентгенологическое признаками. Лишь в некоторых случаях при значительном скоплении экссудата в периодонтальной щели на рентгенограмме заметно её расширение в области верхушки корня зуба.

Хронический формы верхушечного Периодонтит имеют характерные особенности рентгенологическое картины. Гранулирующий Периодонтит рентгенологически проявляется как очаг деструкции костной ткани у верхушки корня зуба (рисунок 5, а). Компактное вещество стенки зубной альвеолы в этом месте разрушено. Контуры очага неровные, нечёткие. В результате резорбции цемента и дентина верхушки корня зуба контуры его становятся неровными. При гранулематозном Периодонтит (зубной гранулеме) в около верхушечной области определяется округлый очаг просветления с ровными, чёткими, иногда склерозированными контурами (рисунок 5, б). У детей и подростков зубную гранулему не следует смешивать с зоной роста зуба в области верхушки несформировавшегося корня (в ростковой зоне периодонтальная щель сохраняет равномерную ширину, компактное вещество стенки зубной альвеолы сохранено, зуб имеет широкий корневой канал).

Фиброзный Периодонтит распознается по расширению периодонтальной щели у верхушки корня зуба. Компактное вещество стенки зубной альвеолы сохранено, иногда отмечается его склероз.

Верхушка корня зуба вследствие гиперцементоза утолщена (рисунок 5, а). При обострении хронического Периодонтит рентгенологическая картина существенно не меняется.

Рентгенологические проявления острого краевого Периодонтит обычно отсутствуют. Хронический краевой Периодонтит на рентгенограммах проявляется остеопорозом вершины межальвеолярной перегородки, который в последующем переходит] в постепенное её разрушение с частичным или почти полным её исчезновением.

Лечение верхушечного Периодонтит включает эндодонтические (внутриканальные), физиотерапевтические и оперативные методы.

Инструментальная эндодонтическая обработка канала корня зуба (расширение его, удаление распавшихся тканей) является важным этапом лечения. С целью воздействия на микрофлору канала корня зуба проводится его антимикробная обработка. Для этого применяют декамин, декаметоксин, йодинол, хлорамин, перекись водорода, желудочный сок, препараты нитрофуранового ряда (фурацилин, фурагин и другие), бактрим, димексид.

Пломбирование канала корня зуба расценивается как самый важный этап лечения Периодонтит Выбор пломбировочного материала (смотри полный свод знаний) зависит от формы Периодонтит, особенностей строения канала корня зуба, возраста больного. При этом широко используются штифты.

Гипосенсибилизирующая терапия при Периодонтит предусматривает трансканальное введение глюкокортикоидов (эмульсия гидрокортизона) или назначение внутрь антигистаминных средств.

Лечение острого серозного Периодонтит заключается в удалении пломбы или трепанации коронки зуба, быстрой эвакуации некротических масс из канала корня зуба. В случаях токсического повреждения периодонта применяют антидоты (например, унитиол, йодинол), используют средства, обладающие антиэкссудативным действием (раствор фуразолина, эмульсия гидрокортизона и другие)Все указанные средства вводят внутрь канала корня зуба. Затем производят пломбирование канала в пределах отверстия верхушки зуба твердеющими пастами.

При лечении острого гнойного и обострившегося хронический Периодонтит необходимо создать условия для оттока гнойного экссудата через канал корня зуба, при отсутствии такой возможности прибегают к разрезу десны по переходной складке или удалению зуба. Канал корня зуба остаётся открытым в течение 7—10 дней. Внутрь назначают сульфаниламиды, антибиотики, обезболивающие, гипосенсибилизирующие средства, проводят курс физиотерапии. Все манипуляции на зубе при остром и обострившемся хронический Периодонтит осуществляют под местной анестезией. После стихания воспалительных явлений проводится медикаментозная и инструментальная эндодонтическая обработка канала корня зуба, пломбирование его твердеющими пастами (при остром гнойном Периодонтит), цементами (при обострении хронический Периодонтит). Целесообразно использование гуттаперчевых или серебряных штифтов.

Хронический инфекционные очаги в области однокорневых зубов лучше ликвидировать оперативным путём. Для оперативного лечения Периодонтит предложено несколько методов: резекция верхушки корня зуба (апикотомия), реплантация зуба, гемисекция, ампутация корня зуба, коронорадикулярная сепарация. Многокорневые зубы с хронический гранулематозными формами Периодонтит следует удалять.



Информация об Ordo Deus Перейти в оглавление сайта

Рис. 6.
Схема резекции верхушки корня зуба при хроническом периодонтите (этапы операции): а — дугообразный разрез десны в области оперируемого корня зуба; б — формирование слизисто-периостального лоскута; в — стенка зубной альвеолы трепанирована, корень зуба обнажён; грамм — резекция корня зуба (1) фиссурным бором (2); д — расширение канала зуба (1) обратноконусовидным бором (2); е — корень зуба запломбирован амальгамой (I), костная полость заполнена костными опилками и формализированной костью (2); ж — слизисто-периостальный лоскут уложен на место и фиксирован швами.



Резекция верхушки корня зуба показана при наличии длительно существующих свищей, недопломбировании канала корня зуба, поломке инструмента в канале, избыточном выведении штифта и пломбировочного материала за верхушку корня зуба, кистогранулеме, а также во всех случаях, когда трансканальное эндодонтическое лечение Периодонтит невозможно (облитерация, искривление канала корня зуба). Операция проводится под местной инфильтрационной или проводниковой анестезией с выполнением следующих этапов: разрез (дугообразный или трапециевидный), формирование слизисто-периостального лоскута, трепанация стенки зубной альвеолы или расширение дефекта при его наличии с целью обнажения верхушки корня зуба, резекция корня зуба, удаление грануляционной ткани и эпителия, формирование полости в корне зуба (расширение просвета канала корня зуба обратноконусовидным бором) и пломбирование её амальгамой, наложение швов (рисунок 6).

Реплантация зуба (смотри полный свод знаний Реплантация) выполняется под местной анестезией, при этом каналы корней удалённого зуба пломбируются амальгамой или цементом (нередко ретроградно). После такой обработки зуб помещают в физиологический раствор, осторожно обрабатывают зубную альвеолу кюреткой, промывают её тёплым физиологическим раствором и вводят в неё зуб, после чего накладывают шину. Приживление зуба зависит от типа сращения реплантированного зуба с тканями, а сроки его сохранения, по данным В. А. Козлова (1974), варьируют в пределах от 4 до 12 лет.

Гемисекция и ампутация корня зуба показаны при наличии глубоких костных карманов, обнажении корня зуба, кариесе цемента и дентина одного из корней, перфорации корня зуба, непроходимости канала корня зуба, прогрессирующем воспалительно-деструктивном процессе у верхушки корня зуба. Гемисекция — удаление одного из корней (чаще медиального корня нижних моляров) и коронки зуба с использованием второй половины зуба под мостовидный протез — проводится с формированием или без формирования слизисто-периостального лоскута. После пломбирования канала корня зуба и кариозной полости зуб под местной анестезией рассекают и половину его удаляют. Оставшаяся часть зуба служит опорой для мостовидного протеза.

Ампутация корня зуба заключается в удалении одного или двух корней зуба с сохранением или переформированием коронки, то есть удалении бором той части коронки, которая соответствует ампутированному корню. Ампутация осуществляется на больших коренных зубах (молярах) верхней челюсти, причём могут быть удалены один или два щёчных или только нёбный корень зуба. Операцию лучше проводить без выкраивания слизисто-надкостничного лоскута, при этом бором проводится клиновидное иссечение небольшой части коронки зуба и таким образом обнажается область отхождения корня зуба, подлежащего удалению. После рассечения зоны бифуркации корень легко удаляется элеватором или щипцами.

Коронорадикулярная сепарация заключается в рассечении зуба на части с последующим соединением корней зуба под одной общей коронкой. Операция показана при наличии перфорации дна полости зуба, деструктивных изменений, идиопатической резорбции в области бифуркации корней нижних моляров. Под местной анестезией алмазным бором зуб рассекают на две половины, удаляют навесы, проводят кюретаж (выскабливание) в области бифуркации. В последующем на каждый из корней изготавливают спаянные коронки.

Осложнения при лечении: ожог периодонта при диатермокоагуляции, выведение избыточного количества цемента или штифта за верхушку корня зуба, перфорация дна полости зуба или стенки канала корня зуба, недопломбирование канала корня зуба, поломка инструмента в канале.



Информация об Ordo Deus Перейти в оглавление сайта

Рис. 7.
Внутриротовые рентгенограммы верхних переднебоковых зубов при хроническом периодонтите до лечения (а) и спустя 2 года после лечения (б): а — кистогранулема (указана стрелкой) у верхушки корня второго премоляра непосредственно после пломбирования зуба; б — очаг разрешения (указан стрелкой) сократился после эндодонтического лечения.



Отдалённые результаты эндодонтического лечения верхушечных Периодонтит зависят от стерилизации и инструментальной обработки канала корня зуба, характера пломбировочного материала, клинические, форм Периодонтит, размера очага деструкции, адекватности пломбирования канала корня зуба (рисунок 7, а, б).

Лечение краевого Периодонтит предусматривает устранение действия этиологического фактора (коррекция коронки или пломбы, удаление зубного камня и избытка пломбировочного материала из межзубного промежутка). Хорошие результаты даёт обработка края десны антисептиками (перекись водорода, йодинол и другие), производными нитрофурана (фурацилин, фурагин), ферментами, комбинированными лекарственными средствами (ингалипт, бактрим). Лечение хронический краевого Периодонтит сводится к проведению кюретажа (выскабливанию) пародонтального кармана под инфильтрационной (1—2% раствором новокаина, тримекаина, лидокаина) или аппликационной анестезией (с применением эмульсии лидокаина, пиромекаиновой мази с коллагеном).

Прогноз при своевременной лечении Периодонтит благоприятный; зубы в большинстве случаев удаётся сохранить.

Профилактика. К профилактическим мероприятиям относится своевременное лечение кариозных зубов, тщательное наложение защитной прокладки при пломбировании зубов с целью предупреждения токсического повреждения периодонта.

Особенности периодонтита у детей. Периодонтит у детей проявляется преимущественно в виде первичного хронический гранулирующего Периодонтит молочных и постоянных зубов. Наиболее частой локализацией хронический гранулирующего Периодонтит многокорневых молочных зубов является область бифуркации корней зуба. Воспалительный процесс может распространяться на зачаток постоянного зуба, при этом разрушаются оболочки фолликула постоянного зуба, эпителий зубного органа прорастает в грануляции воспалительного очага и хронический гранулирующий Периодонтит приобретает характер эпителиальной гранулемы. По мере распространения воспалительного процесса из периодонта в кость челюсти, на зачаток постоянного зуба и на корни рядом стоящих зубов формируется хронический гранулирующий остит, который может обусловить локальную гипоплазию тканей формирующегося постоянного зуба или даже гибель его зачатка, преждевременное прорезывание сформированного постоянного зуба, патологический резорбцию корней рядом стоящего молочного зуба, формирование фолликулярной кисты и другие

Периодонтит постоянных зубов при сформированных корнях преимущественно развиваются как гранулирующие. У верхушек сформированных корней развиваются также фиброзные и гранулематозные Периодонтит

При диагностике Периодонтит молочных зубов следует иметь в виду наличие физиологический резорбции корней молочных зубов, которую необходимо отличать от патологической. При физиологический резорбции к резорбированным корням молочных зубов плотно прилегает кость нормальной структуры.

Для диагностики Периодонтит постоянных зубов у детей имеет значение рентгенологическое исследование, так как под влиянием патологический процесса разрушаются ткани, формирующие корни зуба и периодонт.

Лечение Периодонтит у детей может быть как консервативным, так и оперативным. При консервативном лечении Периодонтит молочных зубов производят эндодонтическую обработку каналов корня зуба и пломбирование их твердеющими пастами. Распространение патологический процесса на зачаток постоянного зуба является показанием к оперативному лечению.

Особенности лечения Периодонтит постоянных зубов у детей существуют только в случаях, когда не закончен рост корней зуба. Для лечения таких зубов рекомендуется эндодонтическая обработка канала корня зуба, предусматривающая максимальное удаление с его стенок инфицированной необызвествленной ткани и пломбирование канала антисептическими пастами. Дети, которым проведено лечение Периодонтит постоянных зубов с сформированным корнем, должны находиться под наблюдением врача. Если через 6—8 месяцев в области корней таких зубов отсутствуют репаративные процессы, что устанавливается рентгенологически, рекомендуются резекция верхушки корня зуба, гемисекция, ампутация корня зуба, коронорадикулярная сепарация или удаление зуба.

Виноградова Т.Ф.; Воробьёв Ю.И.; Иванов В.С.; Паникаровский В.В.

⇐ Перейти на главную страницу сайта

⇑ Вернуться в начало страницы ⇑

Библиотека Ordo Deus ⇒

⇐ Периодические психозы

⇓ Полный свод знаний. Том первый А. ⇓

Периорхит ⇒

Все статьи в полном изложении, Вы можете найти в большой медицинской энциклопедии — Главный редактор: академик АН СССР (РАН) и АМН СССР (РАМН) Б.В. Петровский. — Москва издательство «Советская энциклопедия» 1989г.

Внимание! Вы находитесь в библиотеке «Ordo Deus». Все книги в электронном варианте, содержащиеся в библиотеке «Ordo Deus», принадлежат их законным владельцам (авторам, переводчикам, издательствам). Все книги и статьи взяты из открытых источников и размещаются здесь только для чтения.

Вся информация на сайте Ordo Deus находится в свободном доступе. Ordo Deus не предоставляет информацию на платной основе.

Все авторские права сохраняются за правообладателями. Если Вы являетесь автором данного документа и хотите дополнить его или изменить, уточнить реквизиты автора, опубликовать другие документы или возможно вы не желаете, чтобы какой-то из ваших материалов находился в библиотеке, пожалуйста, свяжитесь с нами по e-mail:
info @ ordodeus. ru
Формы для прямой связи с нами находятся в нижней части страниц: контакты и устав «Ordo Deus», для перехода на эти страницы воспользуйтесь кнопкой контакты вверху страницы или ссылкой в оглавлении сайта.

Вас категорически не устраивает перспектива безвозвратно исчезнуть из этого мира? Вы не желаете закончить свой жизненный путь в виде омерзительной гниющей органической массы пожираемой копошащимися в ней могильными червями? Вы желаете вернувшись в молодость прожить ещё одну жизнь? Начать всё заново? Исправить совершённые ошибки? Осуществить несбывшиеся мечты? Перейдите по ссылке: «главная страница».

© Ordo Deus, 2010. При копировании ссылка на сайт http://www.ordo-deus.ru обязательна.