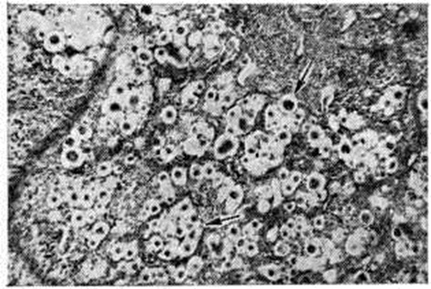
При первой — в центре поражённого участка лёгкого обнаруживают лейкоциты, окружённые эпителиоидными, плазматическими и единичными гигантскими клетками; для второй стадии характерно разрастание грануляционной ткани в очагах поражения; в третьей стадии превалируют фиброзные изменения. Клинически кандидоз лёгких может протекать в лёгкой, средней тяжести и тяжёлой формах; тяжесть течения зависит от распространённости деструктивных изменений в лёгких. В начальной стадии болезни и в легко протекающих случаях кандидоз лёгких напоминает бронхит (бронхомикоз). Отмечаются сухие и влажные крупно и среднепузырчатые хрипы, мучительный кашель со скудной, сероватого цвета мокротой, иногда имеющей запах дрожжей. Больные жалуются на слабость, недомогание, понижение работоспособности, головную боль. Температура тела, как правило, нормальная. В ряде случаев заболевание начинается внезапно с подъёма температуры до высоких цифр. Затем появляется кашель, обычно сухой, «царапающий», сопровождающийся болями в груди. Рентгенологически при этом определяется небольшое усиление лёгочного рисунка. В поздние стадии и при тяжёлом течении кандидоз лёгких проявляется очаговой или лобарной пневмонией (смотри полный свод знаний). Общее состояние больных обычно тяжёлое, наблюдается высокая или умеренно повышенная температура, почти всегда постоянный кашель, сопровождающийся отделением обильной мокроты, кровохарканьем и часто болями в груди. В затяжных случаях кандидапневмония осложняется плевритом (смотри полный свод знаний) с соответствующей симптоматикой. Рентгенография при затяжном течении процесса выявляет неясную пятнистость, небольшие бронхопновмонические очаги и ателектазы, более крупные очаги локализуются, как правило, в нижних долях лёгких. Нередко при кандидапневмонии рентгенологически определяются милиарные затемнения («снеговые хлопья»), тяжистые тени от очагов затемнения к бронхолёгочным (корневым) лимфатических, узлам, нередки случаи распада инфильтратов с образованием единичных крупных или множественных мелких каверн. В этом случае рентгенологическое картина кандидапневмонии напоминает кавернозный туберкулёз лёгких, однако для неё характерно быстрое возникновение тонкостенных полостей, увеличивающихся в размерах и сравнительно быстрый их регресс вплоть до полного исчезновения йод влиянием противомикотической терапии. Рентгенологические данные о распаде лёгочной ткани, связанном с действием самого грибка кандида, должны всегда подкрепляться исследованием всего «микробного пейзажа», так как распад может быть обусловлен другими микроорганизмами, ассоциирующимися с грибком кандида. Изменение картины крови при кандидозе может отсутствовать, в тяжёлых случаях наблюдаются лейкопения, базофилия, эозинофилия, нейтрофилез, лимфопения с моноцитозом, ускорение РОЭ. При вторичном кандидозе лёгких, несмотря на терапию основного заболевания, изменения в лёгких прогрессируют, температура тела становится гектической, возникают озноб, ночные поты, общее состояние больных резко ухудшается. Для постановки диагноза кандидоза недостаточно одних клинические, симптомов. Необходимы микроскопические, культуральные, серологический исследования. При кандидозе лёгких материалом для исследования могут быть мокрота, бронхиальный секрет, аспирированный через бронхоскоп. Лечение кандидоза лёгких проводят с помощью амфоглюкамина, микогептина, нистатина, при тяжёлом течении применяют натриевую соль леворина и амфоглюкамина в виде ингаляций. Прогноз при своевременной терапии благоприятный, однако при тяжёлом течении он зависит от тяжести сопутствующей патологии. Криптококкоз лёгких — заболевание лёгких, вызываемое грибком Cryptococcus neoformans (смотри полный свод знаний Криптококкоз). Верхние дыхательные пути и лёгкие являются воротами проникновения криптококков, однако поражение лёгких при криптококкозе наблюдается реже, чем поражение головного мозга и его оболочек, кожи и слизистых оболочек, а первичный лёгочный криптококкоз — редкость. Вторичный криптококкоз лёгких встречается в бессимптомной, субклинической, острой, подострой (наиболее часто) и хронический формах. Изменения в лёгких при криптококкозе носят очаговый характер. Очаги могут быть одиночными или множественными с вовлечением в патологический процесс одной или нескольких долей лёгкого и представляют собой желатинозные уплотнённые участки диаметром до 7—10 сантиметров, не подвергающиеся казеозному некрозу, склонные к фиброзированию. При острой криптококкозной пневмонии грибки, заполняющие альвеолы, имеют округлую форму с чёткими контурами, диаметром от 5 до 20 микрометров с темным центром и широким светлым ободком. При хронический течении процесса по периферии очагов поражения развивается грануляционная ткань. Такие ограниченные, стационарные очаги называются криптококкомами (рисунок 1), по старой классификации — торулемами. В некоторых случаях острый криптококкоз лёгких начинается с озноба, повышения температуры тела до 38—40°, болей в грудной клетке. Чаще заболевание начинается исподволь, причём в начальные стадии — без выраженных клинические, проявлений; может возникнуть сухой кашель, у ряда больных появляется скудная слизистая мокрота, иногда с прожилками крови. Умеренные клинические, проявления сопровождаются выраженными рентгено л. изменениями в виде плотных массивных теней, сходных с туберкуломами. Каверны образуются редко. На рентгенограмме также определяются криптококкомы — одиночные псевдо-опухолевые очаги затемнения умеренной плотности, обычно без расширения тени корней лёгких.
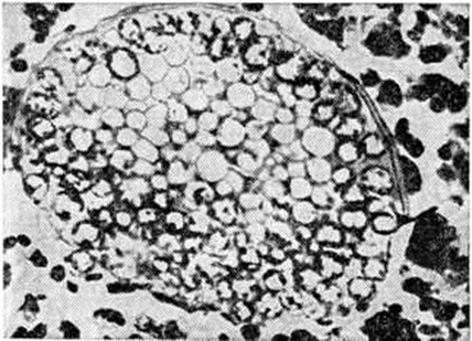
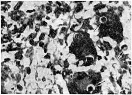
Диагноз криптококкоза при цитологический исследовании мокроты и гистологический исследовании биоптатов ткани лёгкого становится убедительным после постановки PAS-реакции (смотри полный свод знаний ШИК-реакция) и применения других методик, позволяющих выявить располагающуюся вокруг грибка желатинозную капсулу, богатую глюкозаминогликанами. Этиотропная терапия криптококкоза лёгких предполагает использование амфотерицина В под контролем функции почек. Прогноз при локализованном лёгочном криптококкозе благоприятный. Гематогенная диссеминация процесса сопровождается развитием энцефаломиеломенингита с плохим прогнозом. Известны рецидивы лёгочного криптококкоза. Североамериканский бластомикоз с локализацией первичного патологический процесса в лёгких развивается в результате аэрогенного заражения грибком Blastomyces dermatitidis (смотри полный свод знаний Бластомикозы) и является редкой формой заболевания. Очаги поражения при североамериканском бластомикозе имеют сходство с таковыми при раке или туберкулёзе, так как подвергаются творожистому некрозу или гнойному расплавлению. При гистологический исследовании обнаруживают очаги некроза с разрастанием грануляционной ткани в их окружности, которая содержит гигантские клетки. PAS реакция выявляет Blastomyces dermatitidis среди клеток инфильтрата или в гигантских клетках (рисунок 2). Лёгочная форма североамериканского бластомикоза начинается незаметно и в ранний период может протекать под маской острого респираторного заболевания с небольшим повышением температуры тела, незначительным кашлем, который обычно сопровождается отделением небольшого количества слизистой или слизисто-гнойной мокроты, у некоторых больных наблюдаются боли в грудной клетке. В дальнейшем состояние больных прогрессивно ухудшается, температура тела достигает высоких цифр, сопровождается ночными потами, ознобами, постепенно развиваются слабость, анорексия, истощение. Кашель становится почти постоянным и мучительным, мокрота — обильной и гнойной, часто с прожилками крови. Физикальное исследование выявляет признаки очаговых изменений в лёгких (локальное притупление перкуторного звука, разнокалиберные хрипы). Иногда очаговые лёгочные поражения остаются изолированными в течение всего своего развития, в некоторых случаях принимают распространённый (диссеминированный) характер. Длительное и прогрессирующее течение болезни может сопровождаться поражением тел позвонков и компрессией спинного мозга. В крови отмечается гипохромная анемия, лейкоцитоз, нейтрофилез, ускорение РОЭ. При рентгенологическое исследовании в начальной стадии болезни обнаруживают увеличение медиастинальных лимфатических, узлов без заметных изменений в ткани лёгкого, в дальнейшем выявляются плотные тени с неправильными контурами, расположенные чаще в области корней лёгких, симулирующие новообразование. Образование каверн нехарактерно, однако иногда они встречаются у лиц пожилого возраста. Лечение осуществляется с помощью амфотерицина В. Прогноз серьёзный, в случае диссеминированного процесса плохой. Паракокцидиоидоз вызывается грибком Paracoccidioides brasiliensis (смотри полный свод знаний Паракокцидиоидоз) и в 80% случаев протекает с первичным поражением лёгких. Паракокцидиоидоз характеризуется хронический прогрессирующим течением и гранулематозным процессом в лёгочной ткани и нередко гнойным воспалением. Общее состояние больных постепенно ухудшается, развиваются астения, анорексия, гектическая лихорадка, ночные поты. Кардинальным симптомом заболевания является кашель со слизистой мокротой, которая со временем становится гнойной с прожилками крови. Как правило, лёгочные поражения сопровождаются повреждением других внутренних органов: желудка, кишечника, печени и так далее, в которых развиваются гранулемы или абсцессы. Рентгенологические исследование выявляет расширение корней лёгких и признаки, сходные с симптомами инфильтративно-кавернозного туберкулёза лёгких (смотри полный свод знаний Туберкулёз органов дыхания). Нередко имеет место сочетание туберкулёза и паракокцидиоидоза. Установление диагноза заболевания возможно только при обнаружении почкующихся дрожжевых клеток в мокроте, соскобах с поверхности грануляций, в выделениях из свищевых ходов. При лечении используется амфотерицин В. Прогноз при своевременной диагностике и терапии благоприятный. Геотрихоз. Возбудитель — грибок рода Geotrichum. Наиболее частой клинические, формой первичного геотрихоза органов дыхания является бронхит. Симптомы интоксикации не выражены. Характерен мучительный кашель, сопровождающийся выделением слизистой или желеобразной мокроты, в которой можно видеть серые комочки мицелия грибка или прожилки крови. При физикальном обследовании больного выявляются грубые свистящие хрипы над областью поражения, преимущественно в базальных сегментах лёгких. Рентгенологические картина характеризуется усилением бронхиального рисунка и наличием нежных пятен затемнения, в основном в нижних долях лёгких. Геотрихоз с преимущественным поражением ткани лёгкого обычно является вторичным. Очаги поражения локализуются в верхних отделах лёгких и могут захватывать целую долю. При гистологический исследовании ткани лёгкого характерных морфологический особенностей, кроме обнаружения грибка, не выявляется. При наличии тонкостенных каверн, являющихся следствием туберкулёзного процесса, осложнившегося геотрихозом, на их стенках находят разросшиеся мицелиальные формы грибка. Заболевание протекает с нерегулярным повышением температуры, одышкой и тахипноэ, тахикардией и явлениями интоксикации. Характерен кашель с выделением светлой мокроты, иногда с прожилками крови. Кровохарканье наблюдается редко. При физикальном исследовании определяется притупление перкуторного звука над очагами поражения, выслушиваются мелкопузырчатые и среднепузырчатые хрипы. Рентгенологически обнаруживают тяжистость лёгочного рисунка, гладко-очерченные плотные тени, в которых могут быть тонкостенные каверны. В крови сегментоядерный лейкоцитоз, ускорение РОЭ. Этиотропное лечение геотрихоза включает амфотерицин В, а также амфоглюкамин в виде ингаляций. Прогноз при своевременном лечении благоприятный. Гистоплазмоз лёгких вызывается Histoplasma capsulatum Darling (смотри полный свод знаний Гистоплазмоз). Первичный гистоплазмоз лёгких в большинстве случаев протекает бессимптомно, но иногда может симулировать грипп и другие острые респираторные заболевания. Вторичный гистоплазмоз лёгких протекает в виде хронический процесса, который периодически обостряется, а иногда переходит в диссеминированный системный гистоплазмоз. Кокцидиоидоз лёгких, вызываемый грибком Coccidioides immitis (смотри полный свод знаний Кокцидиоидоз), чаще встречается в форме первичного и обычно протекает доброкачественно. Морфологически изменения в лёгких при кокцидиоидозе разнообразны: очаги уплотнения лёгочной ткани, обширные студенистые очаги или очаги нагноения, некротический язвенный бронхит, гранулематозные поражения без некроза и очаги обызвествления с некрозом в центре. Реже встречающийся вторичный кокцидиоидоз лёгких имеет сходство с туберкулёзом. При этом наблюдаются казеозная пневмония, абсцессы, в которых обнаруживают сферулы грибка (рисунок 3). Клинические, проявления болезни могут ограничиваться признаками острого респираторного заболевания. Спустя несколько недель наступает выздоровление. У 4—5% инфицированных лиц кокцидиоидоз с поражением лёгких протекает в тяжёлой форме, сопровождается высокой температурой, одышкой, кашлем с гнойной мокротой, иногда кровохарканьем. Наблюдаются резкие колебания температуры в течение суток, сопровождающиеся ознобами и потами. Больные жалуются на головную боль, боль в мышцах, пояснично-крестцовой области. В последующем развиваются анорексия, астения, снижается вес (масса) тела больных. Над лёгкими выслушиваются сухие и влажные хрипы, иногда — шум трения плевры. В течении болезни отмечаются длительные периоды ремиссии. Иногда наблюдается диссеминация возбудителя инфекции и развитие грибкового сепсиса с образованием множественных абсцедирующих инфильтратов в различных органах и тканях.
При рентгенологическое исследовании находят расширение и уплотнение корней лёгких, единичные или множественные инфильтраты различной плотности и величины, расположенные обычно в нижних и средней долях лёгких. На месте распадающихся инфильтратов образуются тонкостенные каверны. Для лечения кокцидиоидомикоза применяют амфотерицин В. При первичных формах поражения лёгких исход благоприятный. Прогноз при генерализованных формах болезни плохой. Аспергиллез лёгких— наиболее частая форма висцерального аспергиллёза. Заражение происходит при вдыхании спор грибка рода Aspergillus (смотри полный свод знаний Аспергиллез). Первичный аспергиллез лёгких встречается редко, вторичный развивается у ослабленных лиц на фоне тяжёлых болезней (туберкулёз и рак лёгкого бронхоэктазы и так далее), а также при длительном лечении антибиотиками, глюкокортикостероидами, цитостатиками. Первичный острый бронхолёгочный аспергиллез может протекать по типу тяжёлой пневмонии, бронхита. На лёгочную ткань процесс переходит вследствие радиарного роста концевых отделов мицелия грибка, который проникает через стенки бронхов, Межальвеолярные перегородки, стенки капилляров, артерий и вен (рисунок 4, я, б). В участках секвестрации аспергиллёзной пневмонии иногда формируется аспергиллома лёгкого, которая представляет собой шарообразное разрастание грибка (Fungus ball), с последующим образованием полости. Внедрение мицелия в стенку полости, сопровождающееся фиброзно-гнойной экссудацией, обозначается как инвазивная аспергиллома. В начале болезни наблюдают сухой мучительный кашель, одышку, озноб и лихорадку. В дальнейшем присоединяется кровохарканье, нарастает слабость, астения, анорексия, над поверхностью лёгких выслушиваются множественные разнокалиберные хрипы. Рентгенологически определяются участки инфильтрации лёгочной ткани, склонные к распаду с образованием полостей, увеличиваются бронхолёгочные (корневые) лимфатических узлы. При отсутствии лечения заболевание принимает хронический течение с ремиссиями и обострениями. Постепенно увеличивается количество мокроты, которая становится кровянисто-гнойной. Периоды обострения сопровождаются гектической лихорадкой, ознобом, ночными потами, снижением веса тела больного. Перкуторно определяют коробочный звук и его притупление при субплевральном расположении очага поражения, аускультативно — сухие и мелкопузырчатые влажные хрипы. При вторичном аспергиллёзе лёгких довольно часто (в 70% случаев) развивается аспергиллома, которая формируется в санированных туберкулёзных кавернах, бронхоэктазах, полостях, образовавшихся после абсцессов, гангрены или инфарктов лёгких, вскрывшейся эхинококковой кисты. Аспергиллома представляет собой полость, сообщающуюся с просветом бронха и содержащую плотные сплетения нитей грибка в виде тяжей серого цвета и наложений на стенках полости. Изнутри полость выстлана эпителием и грануляционной тканью, легко кровоточащей при перемещении её содержимого. Заболевание проявляется постепенным нарастанием слабости, понижением аппетита, неправильной лихорадкой, ознобом и повышенной потливостью. Характерный признак — приступообразный кашель с отделением обильной мокроты без запаха, содержащей зеленовато-серые хлопья (скопления мицелия грибка) и прожилки крови. Могут возникать повторное кровохарканье, иногда значительное, боли в груди, одышка. При отсутствии бронхолёгочного дренажа характерные симптомы не наблюдаются. Физикальное обследование больного выявляет признаки имеющейся в лёгком полости. Рентгенологически вначале определяется утолщение стенок полости, затем секвестроподобное затемнение, окружённое серповидным просветлением («нимб», «ореол», «полумесяц» и тому подобное), которое может смещаться при перемещении тела больного («симптом погремушки») или всплывать при заполнении полости рентгеноконтрастным веществом («симптом поплавка»). Аспергиллез лёгких может протекать с поражением плевры. Иногда разросшийся мицелий грибка выполняет плевральную полость, в других случаях развивается выпотной плеврит. При постоянном вдыхании спор грибка может наблюдаться аспергиллезный аллергический альвеолит (смотри полный свод знаний Пневмония). Для лечения аспергиллёза лёгких применяют амфотерицин В, препараты йода в постепенно возрастающих дозах, нистатин, леворин в виде ингаляций; в ряде случаев используют оперативные методы лечения. Прогноз при своевременном лечении аспергиллёзного пневмомикоза благоприятный. Пенициллиоз лёгких — основная форма этого редкого заболевания, вызываемого различными видами грибков рода Penicillium и протекающего в виде вторичного процесса. Патологический процесс локализуется чаще в бронхах, где развивается картина гнойно-некротического бронхита. Заболевание характеризуется длительно существующим кашлем со слизисто-гнойной, иногда кровянистой мокротой, субфебрильной температурой, похуданием. Рентгенологически выявляются фиброзные узлы в области корней лёгких, реже — инфильтраты с абсцедированием и образованием каверн. Для лечения применяют амфотерицин В, нистатин, леворин в виде ингаляций натриевой соли; в ряде случаев применяют оперативное лечение (смотри полный свод знаний Пенициллиоз). Прогноз серьёзный. Мукороз. Возбудителями заболевания являются различные виды грибков из семейства Mucoracea (смотри полный свод знаний Плесневые микозы). Мукороз лёгких развивается в виде эндогенной инфекции без специфической симптоматики. Морфологически характеризуется поражением бронхов, лёгочной ткани и сосудов. В бронхах чаще наблюдаются язвенные изменения со слабо выраженной воспалительной реакцией. Для мукорозной пневмонии характерны некрозы, окружённые небольшим скоплением лейкоцитов, плазматических клеток и эозинофилов. Типично раннее прорастание мицелия грибка в стенки сосудов, что способствует тромбообразованию. Возбудителей обнаруживают в зоне некроза и в гигантских клетках. Клинически наблюдают очаговую пневмонию, плеврит, инфаркты лёгкого, проявляющиеся кашлем со скудной слизисто-гнойной мокротой, кровохарканьем, лихорадкой, сегментоядерным лейкоцитозом. Рентгенологически выявляют пятнистые тени различного размера и плотности, нередко — каверны. Возможна генерализация процесса с формированием абсцессов в надпочечниках, головном мозге, сердце, что приводит к быстрой гибели больных. Лечение больных мукорозом предусматривает применение амфотерицина В. Адиаспоромикоз — редкая форма пневмомикоза, вызываемая Emmonsia crescens и реже Etmonsia parva (Haplosporangium). Единичные случаи болезни описаны в Швеции, Норвегии, Финляндии, Франции, ЧССР и СССР. Различают две формы поражения лёгких при адиаспоромикозе: с одиночными гранулемами или с милиарной диссеминацией, вероятно, в результате гематогенной диссеминации и скопления большого числа адиаспор, диаметр которых может достигать 300—700 микрометров. Клиническая картина болезни изучена недостаточно. Споротрихоз лёгких, или споротрихозный пневмомикоз,— редкая форма висцерального споротрихоза (смотри полный свод знаний), вызываемого грибком Sporotrichium schenckii. Наблюдается преимущественно у мужчин в возрасте 20—40 лет, занимающихся сельско-хозяйственным трудом. Споротрихозный Пневмомикозы может носить первичный или вторичный характер и протекать как с преимущественным поражением трахеобронхиальных лимфатических, узлов или лёгочной ткани, так и с их сочетанным поражением. В лёгких развивается гранулематозное воспаление с последующим некрозом и формированием тонкостенных каверн. Процесс может быть как односторонним, так и двусторонним. Клинические, картина лёгочного споротрихоза нехарактерна. Субъективные и объективные изменения весьма напоминают таковые при лёгочном туберкулёзе. Часто лёгочный споротрихоз сочетается с поражением кожи, слизистых оболочек и костей, а также других внутренних органов (печени, почек, половых желёз и так далее). Лечение проводят с применением препаратов йода, иммунных препаратов (аутовакцина и другие), антибиотиков — амфотерицина В, нистатина, леворина. Прогноз при генерализованных формах болезни серьёзный.
Вас категорически не устраивает перспектива безвозвратно исчезнуть из этого мира? Вы не желаете закончить свой жизненный путь в виде омерзительной гниющей органической массы пожираемой копошащимися в ней могильными червями? Вы желаете вернувшись в молодость прожить ещё одну жизнь? Начать всё заново? Исправить совершённые ошибки? Осуществить несбывшиеся мечты? Перейдите по ссылке: «главная страница».
|
||||||||||||||||||||||||||||||||||||||||||||||||