Почечная недостаточность

Оглавление

  1. Дорога к бессмертию
  2. Бессмертие и религия
  3. Философия бессмертия
  4. Бессмертие и наука
  5. История анабиоза
  6. Смерть
  7. Кора головного мозга
  8. Бессмертие и анабиоз
  9. Анабиоз, медицина и биология
  10. Анабиоз и экономика
  11. Анабиоз и закон
  12. Анабиоз в Антарктиде
  13. Техническое обеспечение анабиоза
  14. Бессмертие и вера
  15. Библиотека Ordo Deus
  16. Контактная страница Ordo Deus

Почечная недостаточность

Почечная недостаточность — синдром, развивающийся в результате нарушения почечного кровотока, клубочковой фильтрации, канальцевой реабсорбции и секреции, а также концентрационной способности почек и характеризующийся азотемией нарушением электролитно-водного баланса и кислотнощелочного равновесия.

По течению различают острую и хронический Почечная недостаточность Острая Почечная недостаточность возникает внезапно вследствие острого, чаще всего обратимого, поражения почек. Хронический Почечная недостаточность развивается постепенно вследствие прогрессирующей необратимой утраты функционирующей паренхимы почек.

Острая почечная недостаточность может возникнуть в любом возрасте, но чаще всего в 20—40 лет.

Этиология. Причинами острой Почечная недостаточность являются нарушение общей и почечной гемодинамики, острое воздействие на почки экзогенных ядов, инфекционных агентов, острая окклюзия и повреждение сосудов почек, обтурация и компрессия мочевых путей, редко травма почек.

Этиологического факторы острой почечной недостаточности могут быть объединены в группы. 1. Преренальные факторы — резкое уменьшение объёма циркулирующей крови и снижение АД при шоке или кровотечении, потеря значительного количества воды и электролитов при профузном поносе, длительной рвоте, ожогах, вследствие применения (особенно длительного) диуретиков. 2. Ренальные факторы — экзогенное отравление нефротоксическими ядами (солями тяжёлых металлов, хлорированными углеводородами), спиртами, крепкими кислотами; ядами растительного происхождения, например, грибным ядом, змеиным ядом, ядом насекомых; некоторыми лекарственными препаратами (при их передозировке), а также поражение почек при окклюзии почечных сосудов (тромбоэмболия), при острых воспалительных заболеваниях (остром гломерулонефрите, остром пиелонефрите), некоторых острых инфекционные заболеваниях. 3. Постренальные факторы — окклюзия мочевых путей камнем, сдавление мочеточника опухолью, гематомой, лигатурой и другие

Острая Почечная недостаточность может также возникнуть после двусторонней нефрэктомии по витальным показаниям и при травматической утрате обеих почек (так называемый аренальное состояние).

Ок. 90% случаев острой Почечная недостаточность связано с поражением почек вследствие гемоциркуляторных нарушений и отравлений нефротоксическими ядами.

Патогенез. Некротические изменения канальцев при острой Почечная недостаточность обусловлены гипоксией, развивающейся в результате гемодинамических нарушений или гистотоксических воздействий. Нарушение почечного кровотока и снижение клубочковой фильтрации — важнейшие механизмы острой Почечная недостаточность В происхождении олигурии (смотри полный свод знаний) или анурии (смотри полный свод знаний) значительную роль играет неизбирательное всасывание клубочкового фильтрата через стенку повреждённого почечного канальца и отёк интерстиция. Сдавление почечных канальцев и закупорка их пигментными цилиндрами — лишь дополнительные факторы развития олигурии. Большая роль в патогенезе острой Почечная недостаточность принадлежит гуморальным влияниям, особенно со стороны системы ренин — ангиотензин, (смотри полный свод знаний: Ангиотензин), способным вызвать спазм сосудов почек и ишемию. Существует мнение, что повреждение канальцев влечёт за собой нарушение реабсорбции натрия и повышение его концентрации в области плотного пятна, на что юкстагломерулярный комплекс реагирует повышением секреции ренина (смотри полный свод знаний). Высокая активность ренина обусловливает спазм приводящих клубочковых артериол (приносящих сосудов) и снижение клубочковой фильтрации. Определённое значение в патогенезе острой Почечная недостаточность имеют такие вазоактивные вещества, как гистамин, серотонин, вазопрессин, а также некоторые стероиды, повышающие чувствительность тканей к гипоксии. Установлено, что при этой форме заболевания наблюдается шунтирование почечного кровотока: кровь, минуя корковое вещество почки, поступает в систему прямых артериол мозгового вещества через клубочки почечных телец юкстамедуллярных нефронов. По-видимому, спазму междольковых артерий и ишемии коркового вещества почек также принадлежит определённая роль в патогенезе кортикального некроза.


Патологическая анатомия. Морфологически изменения почек при острой Почечная недостаточность зависят от этиологии, периода болезни, своевременности, характера и объёма лечебный мероприятий. Макро и микроскопическая картина ишемических изменений почек, или так называемый шоковая почка (побледнение коркового вещества при полнокровии юкстамедуллярной зоны), чаще наблюдается при травматическом шоке, кровопотере и не характерна для процессов экзо и эндотоксического происхождения. При гистологический исследовании обнаруживают очаговые поражения эпителия канальцев с преобладанием гидропической дистрофии нефроцитов (рисунок 1). Электронно-микроскопическое исследование свидетельствует о выраженном и глубоком повреждении почечных канальцев: вакуолизации цитоплазмы вследствие расширения цистерн эндоплазматической сети; отёке или набухании митохондрий с появлением хлопьевидных уплотнений и фрагментацией крист; очаговой деструкции щёточной каёмки с парциальным отёком и секвестрацией апикальных отделов цитоплазмы. Реже развивается распространённый колликвационный некроз нефроцитов извитых почечных канальцев проксимальных и дистальных отделов нефрона. Все эти повреждения сопровождаются ферментными изменениями нефроцитов. Разрыв почечных канальцев (тубулорексис) считают типичным при шоке, хотя некоторые патологи считают это артефактом. При шоке, сопровождающемся гемолизом и миолизом, морфологический изменения в почках соответствуют гемоглобинурийному и миоглобинурийному нефрозу (смотри полный свод знаний: Миоглобинурия). После инфузионной терапии морфологический картина поражения почечных канальцев может изменяться: вследствие осмотического нефроза происходит вакуолизация, увеличиваются пиноцитозные пузырьки и наступает растяжение щёточной каёмки нефроцитов. В клубочках почечных телец отмечают малокровие, слущивание отдельных эндотелиоцитов с оголением базальных мембран, иногда субэндотелиальные отложения фибрина.

Тромбоз капилляров клубочков как проявление диссеминированного внутрисосудистого свёртывания крови наблюдается чаще при бактериемическом шоке и патологически протекающей беременности. К проявлениям диссеминированного внутрисосудистого свёртывания крови с развитием генерализованного феномена Швартцмана— Санарелли (смотри полный свод знаний: Швартцмана феномен) относят также симметричный кортикальный некроз почек (смотри полный свод знаний: Геморрагический кортикальный некроз почек). Различают тотальную, субтотальную, сегментарную и малую формы некроза. При тотальной форме сохраняются почечные пирамиды; при субтотальной — в корковом веществе встречаются островки непоражённой ткани; при сегментарной — очаги некроза имеют вид инфарктов, окружённых геморрагиями; малые формы удаётся выявить только при микроскопическом исследовании. При затянувшейся острой Почечная недостаточность некротизованное корковое вещество почки истончается. Отравление этиленгликолем влечёт за собой симметричный кортикальный некроз почек, сочетающийся с гликолевым нефрозом, а при патологии беременности — с острой гемоглобинурией, апоплексией и некрозом коркового вещества надпочечников, некрозом передней доли гипофиза. Гистологически отмечается коагуляционный некроз коркового вещества почки. В клубочковых кровеносных капиллярах и артериолах обнаруживают фибриновые тромбы (рисунок 2, а). Зона некроза ограничена демаркационным валом из полиморфно-ядерных лейкоцитов. Аргирофильный каркас разрушен. В дальнейшем некротизированные участки подвергаются организации, фиброзу и кальцинозу.



Информация об Ordo Deus Перейти в оглавление сайта

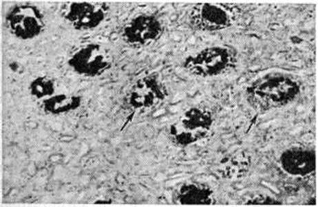
Рис. 1.
Микропрепарат (а) и электронограмма (б) почки при острой почечной недостаточности (шоковая почка): а — в эпителии проксимального отдела нефрона отмечается выраженная гидропическая дистрофия нефроцитов (указаны стрелками); окраска метиленовым синим и азуром II; × 400; б — вакуолизация, парциальный отёк и секвестрация апикальных отделов цитоплазмы нефроцита; 1 — ядро, 2 — ядрышко, 3 — секвестр, 4 — просвет канальца, 5 — вакуоль, 6 — митохондрии, 7 — отёк, 8 — щёточная каёмка; × 10 000.





Информация об Ordo Deus Перейти в оглавление сайта

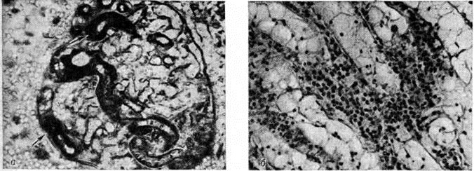
Рис. 2.
Микропрепараты почки при острой почечной недостаточности (отравление этиленгликолем): а — в клубочковых кровеносных капиллярах видны пристеночные тромбы (указаны стрелками); окраска по Маллори; × 110; б — баллонная дистрофия эпителия канальцев; окраска гематоксилин-эозином; × 100.





Информация об Ordo Deus Перейти в оглавление сайта

Рис. 3.
Микропрепарат почки при остром гемоглобинурийном нефрозе: пигментные цилиндры (указаны стрелками) в дистальных отделах нефрона; реакция Лeпене; × 60.



Характер поражения почек при отравлении некоторыми химический веществами, лекарственными средствами, ядами растительного и животного происхождения (так называемый экзотоксическая почка) во многом зависит от свойств ядов и их метаболитов. Нефротоксический эффект ядов тиоловой группы (соединения тяжёлых металлов и другие) в виде характерного коагуляционного некроза эпителия почечных канальцев обусловлен блокадой сульфгидрильных групп ферментных и структурных белков. Классическим примером некронефроза является так называемый сулемовая почка. Характерные для неё макро и микроскопические изменения дают в начале 1-й недели в связи с резким полнокровием сосудов большую красную сулемовую почку; к концу 1-й недели — малую бледную сулемовую почку с распространённым коагуляционным некрозом эпителия, отторжением секвестров и регенерацией нефроцитов почечных канальцев; на 2-й неделе — большую бледную сулемовую почку (на разрезе широкое бледно-серое корковое вещество почки контрастирует с ярко-розовыми влажными почечными пирамидами). Гистологически наблюдается: расширение почечных канальцев, регенерация эпителия (эндотелиоподобные гетерохромные клетки с уродливыми ядрами, митозами, амитозами); образование симпластов; в почечных пирамидах— круглоклеточные инфильтраты вокруг цилиндров.

При гликолевом нефрозе почка увеличена, на разрезе влажная; гистологически определяется баллонная дистрофия эпителия канальцев проксимальных и дистальных отделов нефрона(рисунок 2, б) с кристаллами оксалатов в их просвете и внутри клеток. Электронно-микроскопическое исследование выявляет образование вакуолей в результате резкого расширения цистерн эндоплазматической сети. Нефроциты в состоянии баллонной дистрофии могут длительно не отторгаться, замедляя регенерацию ткани почки.

Поражение почек при отравлениях хлорированными углеводородами имеет некоторые особенности. При отравлении дихлорэтаном отмечается жировая дистрофия нефроцитов почечных канальцев проксимальных и дистальных отделов нефрона. Четыреххлористый углерод и хлороформ вызывают гидропическую дистрофию нефроцитов извитых почечных канальцев с образованием крупных вакуолей вследствие расширения цистерн эндоплазматической сети.

Острый гемоглобинурийный нефроз развивается при отравлении гемолитическими ядами (уксусной кислотой, мышьяковистым водородом, медным купоросом, аминосоединениями, нитросоединениями и другие). При этом морфологический изменения отражают транспорт гемоглобина по системе нефрона; для макроскопической картины типична черно-бурая радиальная исчерченность почечных пирамид, обусловленная наличием пигментных цилиндров (рисунок 3), дающих положительную реакцию Лепене (смотри полный свод знаний: Лепене способ) с бензидином. При отравлении уксусной кислотой гистологически обнаруживается поражение эпителия канальцев проксимальных отделов нефрона, обусловленное реабсорбцией гемоглобина, который выявляется в виде бензидин-положительных гранул в цитоплазме; при электронно-микроскопическом исследовании обнаруживается резорбция гемоглобина в вакуолях клеток с парциальным некрозом апикальных отделов, «перегруженных» пигментом, процесс сопровождается разрывом канальцев дистальных отделов нефрона с выходом в строму содержимого канальца, воспалительной реакцией вокруг него и последующей его облитерацией. Отравление гемолитическими ядами тиоловой группы (мышьяковистый водород, соединения меди и другие) проявляется острым гемоглобинурийным нефрозом в сочетании с коагуляционным некрозом нефроцитов.

Клиническая картина. В течении острой Почечная недостаточность различают четыре периода: начального действия этиологического фактора, олигурии или анурии, восстановления диуреза, выздоровления.

В период начального действия этиологического фактора наблюдаются проявления, вызванные конкретной причиной болезни; например, при неполном инфицированном аборте развивается анаэробный сепсис, бактериемический шок, внутрисосудистый гемолиз и острая Почечная недостаточность Общие признаки заболевания: озноб, повышение температуры, снижение АД, бледность и цианоз кожных покровов в сочетании с быстро нарастающей желтухой; моча приобретает тёмный цвет, в ней появляются белок, эритроциты, лейкоциты, цилиндры, кровяной пигмент и детрит. Независимо от причины острой Почечная недостаточность в этом периоде всегда превалируют изменения гемодинамики, иногда со значительным падением АД; лишь после выведения из шока (коллапса) начинают преобладать признаки нарушения функций почек.

Период олигурии или анурии характеризуется снижением диуреза (меньше 500 миллилитров за сутки) и нарушением почечных функций — в крови нарастает уровень продуктов белкового метаболизма, нелетучих кислот, изменяется водно-электролитный баланс. Больные жалуются на слабость, потерю аппетита, головную боль, становятся апатичными, сонливыми. Нарастает тошнота, появляется рвота. По мере повышения уровня мочевины, креатинина, мочевой кислоты увеличивается концентрация сульфатов, фосфатов, наблюдается гиперкалиемия, снижается концентрация натрия, хлора и кальция в плазме. Чем более выражены эти сдвиги, тем отчётливее проявляются признаки уремии (смотри полный свод знаний). Появляются симптомы поражения нервной системы: анизокория, нистагм, снижение корнеального, сухожильных и периостальных рефлексов, анизорефлексия, патологический рефлексы, адинамия, снижение памяти, иногда возбуждение, судороги, параличи. Сонливость может смениться коматозным состоянием.

В этом периоде могут возникнуть психические расстройства, которые носят преимущественно характер реакций экзогенного типа (смотри полный свод знаний: Бонгеффера экзогенные типы реакций, т. 10, доп. материалы), чаще в виде различных делириозных состояний. Делирий имеет обычно фантастическое содержание (смотри полный свод знаний: Делириозный синдром). Реже встречается аментивный синдром (смотри полный свод знаний), оглушение, развитие которых свидетельствует об утяжелении острой почечной недостаточности. Могут иметь место эпилептические припадки (единичные или серийные) вплоть до развития эпилептического статуса.

Нарушения функций сердечно-сосудистой системы и гемодинамики различны, но почти всегда наблюдаются тахикардия, расширение границ сердца влево, систолический шум на верхушке сердца. Высокое АД — непостоянный симптом, но существенно влияющий на течение этого периода; он может быть причиной появления болей в области сердца, сердечной недостаточности, приступа эклампсии (смотри полный свод знаний). Иногда возникает перикардит (смотри полный свод знаний), при этом больной отмечает боли в области сердца, появляется шум трения перикарда; по мере нарастания выпота в его полости шум трения уменьшается, но нарастают симптомы сердечной недостаточности, расширяются границы сердца, развивается характерная для перикардита рентгенологическое картина. Особенно опасна возможная при острой Почечная недостаточность гиперкалиемия, нарушающая электрическую активность миокарда. В зависимости от степени гиперкалиемии на ЭКГ выявляется в различной мере выраженное замедление предсердно-желудочковой и внутрижелудочковой проводимости, увеличение амплитуды и остроконечная форма зубца Г, снижение потенциала зубца R.

Учащение дыхания часто связано с ацидозом (смотри полный свод знаний); при тяжёлом ацидозе (ацидемии) дыхание становится шумным. Иногда возникает отёк лёгких (смотри полный свод знаний), на фоне которого нередко развивается пневмония. Основными причинами отёка лёгких являются гипергидратация, недостаточность левого желудочка, снижение онкотического давления крови, повышение капиллярной проницаемости.

Постоянно при острой Почечная недостаточность наблюдается анемия (смотри полный свод знаний) — результат угнетения кроветворения в костном мозге, кровопотери и гемолиза. Поражение желудочно-кишечные тракта, кроме тошноты и рвоты, проявляется болью в животе, поносом. Из-за повышенной кровоточивости в рвотных массах и в кале нередко обнаруживают кровь. Иногда развивается серозный перитонит.

Период олигурии или анурии продолжается в среднем 2 недель, однако известны случаи более длительной олигурии (до 5—6 недель).

Период восстановления диуреза (смотри полный свод знаний) имеет две фазы: начального диуреза, когда за сутки выделяется около 500 миллилитров мочи, и полиурии — диурез превышает 1800 мл. В фазу начального диуреза симптоматика острой Почечная недостаточность существенно не меняется или продолжает нарастать. Эта фаза длится лишь 2—3 дня и сменяется полиурией. Фаза полиурии иногда развивается бурно, количество мочи может достигать нескольких литров, в связи с чем возникает дегидратация, больные теряют в весе, кожа становится сухой, шелушащейся, язык сухим, отмечается жажда, слабость, боли в области сердца. Экстрасистолия и боли в сердце — чаще всего признаки гипокалиемии, которая на ЭКГ проявляется снижением сегмента ST, снижением и инверсией зубца Т, появлением волны U. Полиурия сопровождается постепенным снижением азотемии (смотри полный свод знаний), содержания креатинина и мочевины в плазме, нормализацией её электролитного состава.

Период восстановления диуреза продолжается в среднем 20 дней, но может быть и более длительным.

Началом выздоровления принято считать нормализацию содержания в крови креатинина и мочевины. Этот период, в течение которого восстанавливаются почечный кровоток, клубочковая фильтрация и концентрационная способность почек, продолжается от 6 месяцев до 2 лет.

Наиболее частым осложнением острой Почечная недостаточность в период анурии является отёк лёгких (смотри полный свод знаний), а также пиелонефрит (смотри полный свод знаний), который может возникнуть в любой период заболевания.

Диагноз основывается на клинические, картине, наблюдениях за диурезом и на данных лабораторный исследований (кислотно-щелочного состава и электролитов плазмы, биохимический изменений азотистого обмена). Для диагностики нарушений со стороны сердца и лёгких проводят рентгенологическое исследование. При подозрении на обструкцию верхних мочевых путей показана ретроградная уретеропиелография (смотри полный свод знаний: Пиелография).

Лечение. Характер лечебный мероприятий определяется причиной, вызвавшей острую Почечная недостаточность При нарушении гемоциркуляции, шоке (коллапсе) проводят противошоковые мероприятия (смотри полный свод знаний: Шок), при острых отравлениях — наряду с противошоковой терапией мероприятия по удалению яда из организма: промывание желудка, инфузионную терапию (смотри полный свод знаний), форсированный диурез, гемодиализ (смотри полный свод знаний), гемосорбцию (смотри полный свод знаний), гемофильтрацию (смотри полный свод знаний), перитонеальный диализ (смотри полный свод знаний) и другие При массивном внутрисосудистом гемолизе показано обменное переливание крови (смотри полный свод знаний), плазмаферез (смотри полный свод знаний) с замещением раствором альбумина или плазмой. Если причиной острой Почечная недостаточность является бактериемический шок, кроме противошоковых мероприятий назначают антибиотики. В начале периода олигурии или анурии диурез стимулируют внутривенным введением фуросемида по 160 миллиграмм 4 раза в сутки (до 1000 миллиграмм в сутки). Если диурез при этом увеличивается, применение фуросемида продолжают. В дальнейшем терапия направлена на регулирование гомеостаза. Назначают калорийную диету с повышенным содержанием углеводов и жиров (с ограничением белка и калия). Объем вводимой жидкости должен превышать диурез и количество воды, теряемой больным с рвотой и испражнениями, не более чем на 500 миллилитров; при этом обязательно вводят 400 миллилитров 20% раствора глюкозы с 20 ЕД инсулина. При гиперкалиемии (смотри полный свод знаний), кроме глюкозы, назначают внутривенно 10— 20 миллилитров 10% раствора глюконата кальция и 200 миллилитров 5% раствора гидрокарбоната натрия. Применяются также анаболические стероиды. При развившихся психических расстройствах показаны транквилизаторы, нейролептики. Если олигурия продолжается и нарастают симптомы уремии, бального следует перевести в отделение гемодиализа, где может быть применена искусственная почка (смотри полный свод знаний) или перитонеальный диализ. Показаниями к внепочечному очищению крови являются: повышение содержания мочевины в крови свыше 200 миллиграмм/100 миллилитров (33,3 милимоль/литров), калия плазмы свыше 6,5 милимоль/литров, ацидемия с дефицитом оснований 10 милимоль/литров, гипергидратация с клиническими и рентгенологическое проявлениями отёка лёгких, симптомы острой уремии.

Прогноз при острой Почечная недостаточность в значительной степени определяется вызвавшей её причиной и тяжестью структурных изменений в почках. Посттравматическая и послеоперационная острая Почечная недостаточность имеют более тяжёлый прогноз (летальность около 50%), чем острая Почечная недостаточность вследствие других причин (летальность около 10%). После перенесённой острой Почечная недостаточность в большинстве случаев наступает полное выздоровление. Лишь у некоторых больных сохраняется изменённая функция почек, что ведёт в последующем к артериальной гипертензии, иногда развивается хронический пиелонефрит или нефрокальциноз. После обширного ишемического инфаркта, симметричного кортикального некроза почек возможен исход в хронический Почечная недостаточность

Хроническая почечная недостаточность возникает чаще у лиц молодого и среднего возраста.

Этиология. Хроническая Почечная недостаточность является исходом многих длительно текущих (от 2 до 10 лет) заболеваний почек и мочевых путей с постепенным снижением функциональной способности почек. К их числу относятся хронический гломерулонефрит, хронический пиелонефрит, интерстициальный нефрит, системные заболевания, сопровождающиеся поражением почек, диабетический гломерулосклероз, почечнокаменная болезнь, туберкулёз почек, гидронефроз, атония и обструкции мочевых путей, кистозные дисплазии, гипоплазия, врождённые тубулопатии, амилоидоз и другие

Патогенез. Хроническая Почечная недостаточность характеризуется прогрессирующим поражением большинства или всех нефронов, чаще всего замещающихся соединительной тканью. Согласно теории интактных нефронов, предложенной Бриккером (N. S. Bricker, 1969), при хронической Почечная недостаточность часть нефронов погибает, а часть остаётся интактными, гипертрофируется и длительно поддерживает гомеостаз (смотри полный свод знаний); сохранившиеся нефроны функционируют подобно нефронам здоровой почки. Однако исследования М. Я. Ратнер, В. В. Серова, Н. А. Томилиной (1977) выявили гетерогенность и вариабельность поражений нефронов и происходящих в них процессов при развитии хронической почечной недостаточности.

Патологическая анатомия. Морфологически изменения почек зависят от характера заболевания, приведшего к развитию Почечная недостаточность В основном это уменьшение массы функционирующих нефронов вследствие их атрофии и склероза паренхимы органа. Патологические изменения при уремии разнообразны. Уремическая энцефалопатия выражается дистрофией нейронов, кровоизлияниями и отёком. При продолжительной и тяжёлой уремии наблюдается демиелинизация нервов вследствие действия токсинов. При уремической миокардиопатии находят гипертрофию и дистрофию миокарда, дилатацию полостей сердца, атеросклероз коронарных сосудов, субэндокардиальные кровоизлияния, перикардит, признаки хронический пневмонии и отёка лёгких. При хронической Почечная недостаточность наблюдается хронический фарингит и эзофагит с микро и макрогеморрагиями. В желудке и кишечнике наряду с отёком слизистой оболочки и подслизистой основы обнаруживают кровоизлияния и эрозии. Дистрофия, полнокровие, кровоизлияния развиваются и в печени, которая нередко бывает увеличенной. Для хронический уремии характерна гиперплазия паращитовидных желёз и остеодистрофия (смотри полный свод знаний: Остеопатия нефрогенная). Более подробно сведения о морфологический изменениях при хронический Почечная недостаточность— см. Гломерулонефрит, Гломерулосклероз диабетический, Нефросклероз, Пиелонефрит, Уремия.

Клиническая картин а. Наиболее распространённые клинические, классификации хронической Почечная недостаточность построены с учётом тяжести её течения и данных лабораторный исследований. Е. М. Тареев (1972) предложил в клинические, течении хронической Почечная недостаточность, вызванной заболеваниями нехирургического профиля, выделять две стадии: консервативную и терминальную. При урологический заболеваниях, отличающихся интермиттирующим течением, наиболее признанной является классификация Н. А. Лопаткина (1972), согласно которой выделяют 4 стадии Почечная недостаточность: латентную, компенсированную, интермиттирующую, терминальную.

Хроническая Почечная недостаточность развивается постепенно, что связано с медленным нарастанием содержания в крови креатинина, мочевины, производных гуанидина, сульфатов, фосфатов и других метаболитов. В консервативной стадии, когда диурез сохранен (часто наблюдается полиурия), уровень натрия, хлора, магния и калия в плазме не повышается. Постоянная гипокальциемия связана с нарушением обмена витамина D3 и всасывания кальция в кишечнике. Полиурия может привести к гипокалиемии. Часто наблюдается метаболический ацидоз. Совокупность гуморальных нарушений обусловливает симптомы хронический уремии. Больные жалуются на быструю утомляемость, понижение работоспособности, головную боль, снижение аппетита, иногда отмечают неприятный вкус во рту. Появляются тошнота, рвота. Отмечается бледность, кожа сухая, дряблая. Мышцы теряют тонус, появляются их мелкие подёргивания, тремор пальцев и кистей. Иногда возникают боли в костях и суставах. Развивается анемия, нарастает лейкоцитоз. Повышена кровоточивость. Часто наблюдающаяся артериальная гипертензия приводит к сердечным расстройствам. Границы сердца расширены, тоны его приглушены, отмечаются изменения на ЭКГ (иногда они связаны с дискалиемией). В ранние сроки хронической Почечная недостаточность развивается астения с преобладанием раздражительности, вегетативными расстройствами и ипохондрическими жалобами.

Консервативная стадия может длиться несколько лет. Состояние позволяет больному работать, но увеличение физической нагрузки, психическое напряжение, погрешности в диете, ограничение питья, инфекционные болезни, операции могут привести к ухудшению функции почек и усугублению уремических симптомов.

При снижении клубочковой фильтрации ниже 10 миллилитров/минут консервативная коррекция гомеостаза невозможна. Наступает терминальная стадия: постепенно развивается олигурия, нарастает азотемия, ацидоз, гипергидратация; возникает гипонатриемия, гипохлоремия, гипермагниемия, возможна гиперкалиемия. Для терминальной стадии характерны эмоциональная лабильность, заторможенность и неадекватность поведения, психические расстройства, характер которых зависит от степени уремии. В ранние сроки возникает астения. Её особенностью является преобладание резкой утомляемости, гиперестезии, нарушения ритма сна (бессонница ночью и сонливость днём). По мере нарастания тяжести состояния возникает адинамия, астения в одних случаях сменяется оглушением различной степени, вплоть до комы (смотри полный свод знаний), в других могут развиться психозы. Чаще возникает гипнагогический делирий. Его особенностью является обыденность содержания галлюцинаций, созерцательность, отсутствие двигательного возбуждения. Реже развивается аменция и сумеречное помрачение сознания. Развитие психозов в терминальной стадии хронической Почечная недостаточность всегда свидетельствует о неблагоприятном прогнозе основного заболевания. Соматические изменения разнообразны. Лицо одутловатое, серо-жёлтого цвета. Появляется кожный зуд. На коже расчёсы. Волосы тусклые, ломкие. Нарастает дистрофия, характерна гипотермия. Голос хриплый. Ощущается аммиачный запах изо рта. Возникает афтозный стоматит, иногда паротит. Язык обложен. Живот вздут. Часто повторяются рвота, срыгивания, нередко понос; кал зловонный, тёмного цвета. Нарастают анемия и геморрагии. Мышечные подёргивания становятся частыми и мучительными. При длительном развитии уремии появляются боли в костях и суставах, отмечается ломкость костей. Шумное дыхание часто обусловлено ацидозом, отёком лёгких или пневмонией. Уремия осложняется перикардитом, плевритом (смотри полный свод знаний), асцитом (смотри полный свод знаний), псевдоперитонитом, развиваются энцефалопатия и уремическая кома (смотри полный свод знаний: Уремия).

Терминальная стадия длится от нескольких недель до нескольких месяцев.

Диагноз устанавливается на основании данных анамнеза о хронический заболевании почек, характерных симптомов — уремии, азотемии и других типичных биохимический нарушений.

Лечение. В консервативной стадии лечебный мероприятия направлены в основном на восстановление гомеостаза, снижение азотемии и борьбу с проявлениями уремии. При падении клубочковой фильтрации ниже 50 миллилитров/минут и повышении креатинина выше 2 миллиграмм 100 миллилитров (177 микромоль/литров) целесообразно уменьшить количество поступающего в организм белка до 30—40 грамм в сутки, а при клубочковой фильтрации ниже 20 миллилитров/минут назначают малобелковую диету (содержание белка 20—24 грамм в сутки). Диета должна быть высококалорийной (около 3000 килокалорий) и содержать незаменимые аминокислоты (картофельно-яичная диета без мяса и рыбы). Пища готовится с ограниченным количеством соли (до 2—3 грамм), а для больных с высокой гипертензией — без соли. При нарушении кальциевого обмена и развитии остеодистрофии на длительное время назначают глюконат кальция и витамин D3 до 100 000 ME в сутки. Следует, однако, помнить, что применение витамина D3 в больших дозах при гиперфосфатемии может привести к кальцификации внутренних органов, поэтому для снижения уровня фосфора назначают альмагель по 1—2 чайная ложка 4 раза в день. Регулярно осуществляется контроль уровня кальция и фосфора в крови.

В зависимости от степени ацидоза внутривенно вводят 100—200 миллилитров 5% раствора гидрокарбоната натрия. При снижении диуреза показан фуросемид (лазикс) в дозах, вызывающих полиурию. С целью снижения АД используют обычные гипотензивные средства (смотри полный свод знаний: Гипертоническая болезнь) в сочетании с фуросемидом.

Лечение анемии комплексное: назначают 5% масляный раствор тестостерона пропионата по 1 миллилитров внутримышечно ежедневно или другие анаболические стероиды, препараты железа, переливание крови, витамин В12, фолиевую кислоту. Антибиотики и химиотерапевтические препараты используют осторожно. Только эритромицин назначают в обычных дозах; дозы пенициллина, ампициллина, метициллина, цепорина (цефалоридин) и сульфаниламидов уменьшают в 2—3 раза. Применение стрептомицина, мономицина, неомицина, полимиксина даже в уменьшенных дозах при хронической Почечная недостаточность может вызвать неврит слухового нерва и другие осложнения. Противопоказаны производные нитрофуранов. При развитии отёка лёгких вследствие гипергидратации можно назначить сорбит (50 грамм в растворе внутрь); он вызывает диарею и выделение значительного количества жидкости. Гликозиды по поводу сердечной недостаточности при хронической Почечная недостаточность применяют в уменьшенных дозах, особенно при гипокалиемии. При перикардите назначают небольшие дозы преднизолона или производят гемодиализ, который более эффективен; в тяжёлых случаях необходимо оперативное лечение. В качестве симптоматических средств могут быть использованы транквилизаторы, при психозах — нейролептики. Эффективны ноотропные препараты. Гемодиализ показан при обострении хронической Почечная недостаточность После улучшения состояния больного можно возобновить и в течение длительного времени проводить обычную консервативную терапию.

В терминальной стадии, когда консервативное лечение и оперативное вмешательство на почках и мочевых путях неэффективны, больного переводят на регулярное лечение (2— 3 раза в неделю) гемодиализом, перитонеальным диализом. Показания к внепочечному очищению крови при хронической Почечная недостаточность возникают обычно в тех случаях, когда клиренс креатинина падает ниже 10 миллилитров/минут, а его уровень в плазме превышает 10 миллиграмм 100 миллилитров (884 микромоль/литров).

Прогноз. Применение гемодиализа и пересадка почки (смотри полный свод знаний) улучшили результаты лечения больных хронической Почечная недостаточность, позволили продлить их жизнь и достигнуть реабилитации на многие годы. Благодаря гемодиализу к 1981 год в мире сохранена жизнь более 150 тысяч больных хронической Почечная недостаточность

При своевременном применении в поздних стадиях хронической Почечная недостаточность новых оперативных методов (гемодиализа и трансплантации почки) происходит редукция психических расстройств, однако астеническая симптоматика и явления психоорганического синдрома сохраняются. В неблагоприятных случаях при длительном использовании гемодиализа может развиваться так называемый диализно-уремическая деменция с вялостью и апатия. Длительное пребывание больного в состоянии уремии, выраженная дистрофия, энцефалопатия ухудшают результаты лечения гемодиализом и не позволяют производить пересадку почки.

Почечная недостаточность у детей протекает, как и у взрослых, в острой и хронический форме.

Основными этиологического факторами острой Почечная недостаточность у детей являются: шок после оперативных вмешательств и травм, токсико-инфекционные заболевания, особенно сопровождающиеся рвотой, поносом, дегидратацией, острые инфекции, сепсис, гемолитико-уремический синдром, острый внутрисосудистый гемолиз и липолиз, анафилактические реакции, отравление нефротоксическими ядами, врождённые поражения почек и почечных сосудов, тромбоз почечных вен. Недостаточное или избыточное введение воды и электролитов при различных тяжёлых заболеваниях и развитие на этой основе в короткий срок тяжёлой дегидратации или гипергидратации и дисэлектролитемии могут также привести к развитию острой Почечная недостаточность

При морфологический исследовании выявлено, что развитие острой Почечная недостаточность в постнатальном периоде нередко связано с кортикальным некрозом почек, распространённость которого обусловливает прогноз болезни.

Острая Почечная недостаточность у детей нередко носит стойкий характер, симптоматика нарастает на фоне общего тяжёлого состояния, особенно у новорождённых и детей первого года жизни. В старшем детском возрасте в течении острой Почечная недостаточность можно выделить те же четыре периода, что и у взрослых (начального действия этиологического фактора, олигурии или анурии, восстановления диуреза и выздоровления), с идентичными клиническими и биохимическими изменениями.

Острая Почечная недостаточность при диффузном гломерулонефрите развивается у детей постепенно. Вначале выявляется Почечная недостаточность, тем более выраженная, чем активнее протекает нефрит. В крови повышается содержание мочевины, мочевой кислоты, общих липидов, холестерина, фибриногена; в сыворотке крови незначительно возрастает уровень креатинина (2—4 миллиграмм 100 мл, или 177—354 микромоль/литров) и калия (до 5,6 милимоль). Диурез уменьшается до 200 миллилитров при нормальной или слегка сниженной клубочковой фильтрации. При неадекватном лечении развивается острая почечная недостаточность с азотемией, гиперкалиемией и ацидозом.

Лечение острой Почечная недостаточность у детей планируют в зависимости от её тяжести, длительности периода олигурии или анурии, степени азотемии и дисэлектролитемии. Консервативную терапию проводят с учётом возраста и веса (массы) ребёнка. Она направлена на нормализацию водно-солевого обмена и коррекцию кислотно-щелочного равновесия, торможение патологический катаболизма, восстановление объёма и реологических свойств крови. Инфузионная терапия состоит во введении гепарина, эуфиллина, глюкокортикоидов, глюкозы с инсулином, изотонического раствора хлорида натрия, кокарбоксилазы, строфантина. При гиперкалиемии назначают глюконат кальция, анаболические гормоны; при ацидозе — гидрокарбонат натрия; при алкалозе — глюкокортикоиды, верошпирон и гепарин, блокирующие действие и синтез альдостерона. Переливание крови, плазмы, альбумина производят по общим показаниям. При отсутствии признаков дегидратации инфузионную терапию дополняют введением лазикса в дозе до 20 миллиграмм/килограмм. При уровне в крови мочевины 200 миллиграмм/100 миллилитров (33,3 милимоль/литров), остаточного азота 150 миллиграмм/100 миллилитров (107,1 милимоль/литров), гиперкалиемии 6,5 милимоль/литров показан гемодиализ или перитонеальный диализ. Диализ по показаниям проводят детям с первых дней жизни.

Прогноз острой Почечная недостаточность у детей весьма серьёзен, особенно в первые два дня жизни. Это обусловлено относительно низкой толерантностью к острой Почечная недостаточность и несовершенством адаптационных механизмов у новорождённых и грудных детей. Для профилактики острой Почечная недостаточность у детей важное значение имеет раннее распознавание различных видов дисплазий почек (поликистоз III типа, сегментарная бескистозная дисплазия, гипоплазия с дисплазией, олигонефрония), а также врождённых и наследственных поражений почек (наследственный нефрит, оксалоз, оксалатный нефрит, цистиноз, ювенильный нефронофтиз Фанкони). Таких детей следует оберегать от различных стрессовых состояний, им противопоказаны прививки; необходимо активное лечение инфекционные осложнений.

Хроническая Почечная недостаточность в раннем детском возрасте крайне редко протекает типично. При хронических заболеваниях почек хроническая Почечная недостаточность у детей в своём развитии проходит обычно те же 4 стадии, что и у взрослых: латентную, компенсированную, интермиттирующую и терминальную. При благоприятных условиях, главным образом при заболеваниях с поражением в основном канальцевого аппарата (интерстициальном нефрите, пиелонефрите), длительное время наблюдается компенсированная стадия хронической Почечная недостаточность Комплексное лечение обострения хронической II. н., протекающего сравнительно бурно, проводят с применением больших доз диуретиков или временным применением гемодиализа, что нередко позволяет восстановить функцию почек и перевести процесс в компенсированную стадию.

Интеркуррентные заболевания, особенно инфекционные, способствуют раннему наступлению терминальной стадии, при которой показан гемодиализ или перитонеальный диализ. По специальным показаниям производят пересадку почки (смотри полный свод знаний).

Данилков А.П.; Зимина Л.Н.; Кулаков Г.П.; Лебедев В.П.; Лопаткин H.А.; Цивилька М.А.

⇐ Перейти на главную страницу сайта

⇑ Вернуться в начало страницы ⇑

Библиотека Ordo Deus ⇒

⇐ Потта перелом

⇓ Полный свод знаний. Том первый А. ⇓

Почечнокаменная болезнь ⇒

Все статьи в полном изложении, Вы можете найти в большой медицинской энциклопедии — Главный редактор: академик АН СССР (РАН) и АМН СССР (РАМН) Б.В. Петровский. — Москва издательство «Советская энциклопедия» 1989г.

Внимание! Вы находитесь в библиотеке «Ordo Deus». Все книги в электронном варианте, содержащиеся в библиотеке «Ordo Deus», принадлежат их законным владельцам (авторам, переводчикам, издательствам). Все книги и статьи взяты из открытых источников и размещаются здесь только для чтения.

Вся информация на сайте Ordo Deus находится в свободном доступе. Ordo Deus не предоставляет информацию на платной основе.

Все авторские права сохраняются за правообладателями. Если Вы являетесь автором данного документа и хотите дополнить его или изменить, уточнить реквизиты автора, опубликовать другие документы или возможно вы не желаете, чтобы какой-то из ваших материалов находился в библиотеке, пожалуйста, свяжитесь с нами по e-mail:
info @ ordodeus. ru
Формы для прямой связи с нами находятся в нижней части страниц: контакты и устав «Ordo Deus», для перехода на эти страницы воспользуйтесь кнопкой контакты вверху страницы или ссылкой в оглавлении сайта.

Вас категорически не устраивает перспектива безвозвратно исчезнуть из этого мира? Вы не желаете закончить свой жизненный путь в виде омерзительной гниющей органической массы пожираемой копошащимися в ней могильными червями? Вы желаете вернувшись в молодость прожить ещё одну жизнь? Начать всё заново? Исправить совершённые ошибки? Осуществить несбывшиеся мечты? Перейдите по ссылке: «главная страница».

© Ordo Deus, 2010. При копировании ссылка на сайт http://www.ordo-deus.ru обязательна.