Полиомиелитоподобные заболевания

Оглавление

  1. Дорога к бессмертию
  2. Бессмертие и религия
  3. Философия бессмертия
  4. Бессмертие и наука
  5. История анабиоза
  6. Смерть
  7. Кора головного мозга
  8. Бессмертие и анабиоз
  9. Анабиоз, медицина и биология
  10. Анабиоз и экономика
  11. Анабиоз и закон
  12. Анабиоз в Антарктиде
  13. Техническое обеспечение анабиоза
  14. Бессмертие и вера
  15. Библиотека Ordo Deus
  16. Контактная страница Ordo Deus

Полиомиелитоподобные заболевания

Полиомиелитоподобные заболевания — группа заболеваний, клинически сходных с паралитическими формами острого эпидемического полиомиелита, но этиологически связанных с другими, неполиомиелитными вирусами.

Понятие «полиомиелитоподобные заболевания» появилось после проведения массовых прививок против острого эпидемического полиомиелита (смотри полный свод знаний) и ликвидации этого заболевания как эпидемического. Именно эти прививки позволили установить, что существует определённая группа заболеваний, которые, как и острый эпидемический полиомиелит, характеризуются поражением передних рогов спинного мозга и двигательных ядер черепно-мозговых (черепных) нервов, но этиологически не связаны с вирусами полиомиелита. В ряде случаев этиологию Полиомиелитоподобные заболевания достоверно установить не удаётся, однако возникновение этих заболеваний связывают с энтеровирусами Коксаки (смотри полный свод знаний: Коксаки-вирусные болезни, этиология; Энтеровирусные болезни) и ECHO (смотри полный свод знаний: Кишечные вирусы), вирусами паротита (смотри полный свод знаний: Паротит эпидемический, этиология), кори (смотри полный свод знаний: Корь, этиология) и другие

Спорадические случаи Полиомиелитоподобные заболевания могут наблюдаться в разное время года. Определённой сезонности в их появлении обычно не отмечается. В большинстве случаев эти спорадические заболевания не имеют чётких эпидемиологические закономерностей и видимой связи между собой. Иногда Полиомиелитоподобные заболевания наблюдаются в виде небольших, локальных вспышек. Известна лишь одна крупная эпидемическая вспышка Полиомиелитоподобные заболевания, наблюдавшаяся в Болгарии в 1975 год и охватившая около 700 человек. Клинически эти заболевания почти полностью соответствовали известным формам полиомиелита, но этиологически были связаны с энтеровирусом 71, вызвавшим эту вспышку. Полиомиелитоподобные заболевания обычно наблюдаются у детей в возрасте до 2 лет. Однако во время эпидемической вспышки Полиомиелитоподобные заболевания в Болгарии, помимо детей раннего возраста, болели также дети других возрастных групп и взрослые.

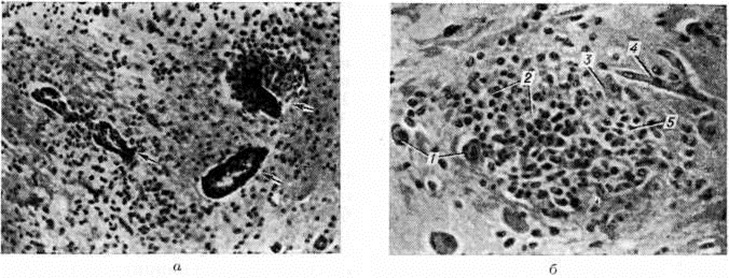
Патоморфология характеризуется развитием воспалительной реакции различной степени выраженности, обусловленной воздействием вирусов (Коксаки, ECHO и другие). При этом отмечают диффузные и очаговые изменения преимущественно в зоне мотонейронов спинного мозга. В редких случаях Полиомиелитоподобные заболевания, вызванные вирусами Коксаки В 3, В 5, В 1, ECHO и энтеровирусом 71, протекают как энцефаломиелиты с летальным исходом. Макроскопически в таких случаях обнаруживают полнокровие сосудов и отёк паутинной оболочки и вещества головного и спинного мозга. При микроскопическом исследовании, помимо резко выраженной гиперемии сосудов, выявляют диапедезные кровоизлияния, стаз и тромбы в мелких сосудах и капиллярах, инфильтрацию паутинной оболочки круглоклеточными элементами, периваскулярные инфильтраты (рисунок, а), диффузные и очаговые скопления моноцитов и нейтрофильных гранулоцитов в веществе головного и спинного мозга (рисунок, б). Инфильтраты, состоящие из этих клеток, особенно характерны для Полиомиелитоподобные заболевания; они чаще всего встречаются в передних рогах спинного мозга, нижних оливных ядрах продолговатого мозга, ядрах черепно-мозговых нервов и ретикулярной формации мозгового ствола, реже в зубчатых ядрах мозжечка, коре головного мозга и других отделах центральная нервная система В нейронах, расположенных на границе с инфильтратами, определяют хроматолиз и гиперхроматоз цитоплазмы, гиперхроматоз ядер (смотри полный свод знаний: Нервная клетка, патоморфология), нередко наблюдается отёчное изменение нейронов и цитолиз их, в капиллярах часто выявляют отёк эндотелиоцитов (рисунок, б). Нейронофагию (смотри полный свод знаний) обнаруживают редко, ей подвергаются лишь единичные нервные клетки. В спинном мозге наблюдается выпадение большого числа нейронов, местами встречаются участки полного некроза передних рогов. В головном и спинном мозге выявляют также умеренно выраженную гипертрофию астроцитов, их клазматодендроз (фрагментация отростков), пролиферацию глиальных макрофагов с образованием их палочковидных форм, гиперплазию и отёчное изменение олигодендроглиоцитов. Весь этот комплекс изменений, по данным Б. А. Ерман с соавторами (1965), расценивается как острейший энцефаломиелит. Морфологически изменения, развивающиеся в центральная нервная система при Полиомиелитоподобные заболевания, отличаются от изменений, наблюдаемых при полиомиелите, большей остротой патологический процесса и более тяжёлыми расстройствами кровообращения.



Информация об Ordo Deus Перейти в оглавление сайта

Рис
Микропрепараты нижнего оливного ядра продолговатого мозга при энцефаломиелите, вызванном вирусом Коксаки В 3: а — периваскулярные инфильтраты, состоящие из лимфоцитов и моноцитов (указаны стрелками); окраска гематоксилинэозином; × 120; б — инфильтрат, состоящий из моноцитов (1) и нейтрофильных лейкоцитов (2); хроматолиз цитоплазмы (5) и гиперхроматоз ядер (4) нейронов, отёк эндотелиоцитов (5) капилляра; окраска гематоксилин-эозином; × 400.



Полиомиелитоподобные заболевания по своим проявлениям в большинстве случаев не отличаются от паралитического полиомиелита и, как правило, характеризуются вялыми парезами или параличами мышц, преимущественно проксимальных отделов конечностей, с развитием моно или парапарезов (смотри полный свод знаний: Параличи, парезы). На паретичной конечности отмечают снижение или отсутствие сухожильных рефлексов, понижение мышечного тонуса и атрофию мышц, но без нарушений чувствительности. В большинстве случаев парезы развиваются на фоне удовлетворительного общего состояния и нормальной температуры тела. В некоторых случаях развитию парезов предшествует кратковременный (1—4 дня) период продромальных явлений (недомогание, общая слабость, отсутствие аппетита) с последующим появлением нерезко выраженного общеинфекционного синдрома, сопровождающегося повышением температуры тела (иногда по типу одно или двухволновой кривой), явлениями общей интоксикации, изредка корешковыми болями и симптомами менингизма (смотри полный свод знаний). Двигательные нарушения могут возникать на 2—5-й день лихорадки и нарастают обычно в течение 2—3 дней, реже дольше. Иногда Полиомиелитоподобные заболевания могут протекать по типу понтинной формы полиомиелита с симптомами поражения двигательных ядер черепно-мозговых нервов; при этом чаще других наблюдается периферический парез мышц, иннервируемых лицевым нервом (смотри полный свод знаний). В некоторых случаях Полиомиелитоподобные заболевания протекают с симптомами распространённого поражения спинного, продолговатого мозга и других отделов центральная нервная система и сопровождаются тяжёлыми параличами и бульбарными расстройствами (смотри полный свод знаний: Продолговатый мозг, патология; Бульбарный паралич).

Цереброспинальная жидкость (смотри полный свод знаний) при Полиомиелитоподобные заболевании чаще не изменена, но иногда в ней отмечают лимфоцитарный плеоцитоз (до нескольких сот элементов в 1 микролитров.) и увеличение белка (обычно не более 1‰) Санация цереброспинальной жидкости наступает довольно быстро.

Диагноз основывается на данных анамнеза, клинические, картины, результатах вирусологических и серологических исследований. Дифференциальную диагностику проводят прежде всего с острым эпидемическим полиомиелитом (смотри полный свод знаний), при этом решающее значение имеют данные вирусологический и иммунологический исследований. Полиомиелитоподобные заболевания дифференцируют также с полирадикулоневритом (смотри полный свод знаний: Полиневрит), очаговым миелитом (смотри полный свод знаний) и другими заболеваниями. В отличие от Полиомиелитоподобные заболевания для полирадикулоневрита характерно наличие симметричных поражений периферической нервной системы с нарушением чувствительности в дистальных отделах конечностей по корешковому типу. Очаговый миелит отличается от Полиомиелитоподобные заболевания проводниковыми расстройствами чувствительности и движений при сохранности или повышении сухожильных, периостальных рефлексов и тонуса мышц, наличием стойких нарушений функции тазовых органов. Иногда Полиомиелитоподобные заболевания дифференцируют с миопатиями (смотри полный свод знаний) и некоторыми другими наследственными заболеваниями нервной и мышечной системы, а также с травматическими повреждениями конечностей и плоскостопием (смотри полный свод знаний).

Лечение комплексное, в остром периоде такое же, как и при полиомиелите. Проводят медикаментозную терапию с применением лекарственных средств, улучшающих нервно-мышечную проводимость (прозерина и другие), биостимуляторов (стекловидного тела, алоэ, ФиБС и другие), витаминов группы В, аскорбиновой кислоты.

Назначают ЛФК, массаж; осуществляют правильную функциональную укладку парализованных конечностей; широко используется физиобальнеотерапия.

Прогноз при спорадически возникающих Полиомиелитоподобные заболевания более благоприятный, чем при остром эпидемическом полиомиелите. В большинстве случаев эти заболевания заканчиваются полным выздоровлением в течение двух месяцев. Иногда, как и при эпидемическом полиомиелите, могут оставаться стойкие явления в виде вялых парезов или параличей. В отдельных редких случаях, когда Полиомиелитоподобные заболевания сопровождаются распространёнными явлениями энцефаломиелита, возможен летальный исход.

При проведении профилактических мероприятий учитывают полиэтиологичность Полиомиелитоподобные заболевания Единой специфической профилактики Полиомиелитоподобные заболевания не существует, так как их вызывают различные вирусы.

Моргунов В.А.; Уманский К.Г.

⇐ Перейти на главную страницу сайта

⇑ Вернуться в начало страницы ⇑

Библиотека Ordo Deus ⇒

⇐ Полиомиелит

⇓ Полный свод знаний. Том первый А. ⇓

Полиэнцефалит ⇒

Все статьи в полном изложении, Вы можете найти в большой медицинской энциклопедии — Главный редактор: академик АН СССР (РАН) и АМН СССР (РАМН) Б.В. Петровский. — Москва издательство «Советская энциклопедия» 1989г.

Внимание! Вы находитесь в библиотеке «Ordo Deus». Все книги в электронном варианте, содержащиеся в библиотеке «Ordo Deus», принадлежат их законным владельцам (авторам, переводчикам, издательствам). Все книги и статьи взяты из открытых источников и размещаются здесь только для чтения.

Вся информация на сайте Ordo Deus находится в свободном доступе. Ordo Deus не предоставляет информацию на платной основе.

Все авторские права сохраняются за правообладателями. Если Вы являетесь автором данного документа и хотите дополнить его или изменить, уточнить реквизиты автора, опубликовать другие документы или возможно вы не желаете, чтобы какой-то из ваших материалов находился в библиотеке, пожалуйста, свяжитесь с нами по e-mail:
info @ ordodeus. ru
Формы для прямой связи с нами находятся в нижней части страниц: контакты и устав «Ordo Deus», для перехода на эти страницы воспользуйтесь кнопкой контакты вверху страницы или ссылкой в оглавлении сайта.

Вас категорически не устраивает перспектива безвозвратно исчезнуть из этого мира? Вы не желаете закончить свой жизненный путь в виде омерзительной гниющей органической массы пожираемой копошащимися в ней могильными червями? Вы желаете вернувшись в молодость прожить ещё одну жизнь? Начать всё заново? Исправить совершённые ошибки? Осуществить несбывшиеся мечты? Перейдите по ссылке: «главная страница».

© Ordo Deus, 2010. При копировании ссылка на сайт http://www.ordo-deus.ru обязательна.