Ретикулосаркома кости первичная

Оглавление

  1. Дорога к бессмертию
  2. Бессмертие и религия
  3. Философия бессмертия
  4. Бессмертие и наука
  5. История анабиоза
  6. Смерть
  7. Кора головного мозга
  8. Бессмертие и анабиоз
  9. Анабиоз, медицина и биология
  10. Анабиоз и экономика
  11. Анабиоз и закон
  12. Анабиоз в Антарктиде
  13. Техническое обеспечение анабиоза
  14. Бессмертие и вера
  15. Библиотека Ordo Deus
  16. Контактная страница Ordo Deus

Ретикулосаркома кости первичная

Ретикулосаркома кости первичная (латынь reticulum сетка саркома; синонимы: моноцитома кости, ретикулоклеточная саркома кости) — солитарное злокачественное новообразование кости ретикулярно-клеточного происхождения. Локализуется обычно в длинных трубчатых костях, реже возникает в плоских костях или других отделах скелета. Впервые выделена как нозологическая форма в 1939 год Паркером и Джексоном (F. Parker, Н. Jackson).

Ретикулосаркома кости первичная составляет около 3% всех первичных опухолей скелета. Чаще заболевают лица мужского пола в возрасте 15—30 лет.

Этиология неизвестна. Описаны случаи возникновения Ретикулосаркома кости первичная на основе болезни Педжета (смотри полный свод знаний: Педжета болезнь).

Первоначально опухоль всегда расположена внутрикостно с последующим частичным или полным разрушением компактного вещества. Опухоль представлена очагом мягкой серо-розовой ткани, не имеющим чётких границ. Сравнительно часто при Ретикулосаркома кости первичная в зоне очага поражения наблюдается патологический перелом с признаками вторичного репаративно-реактивного остеогенеза.

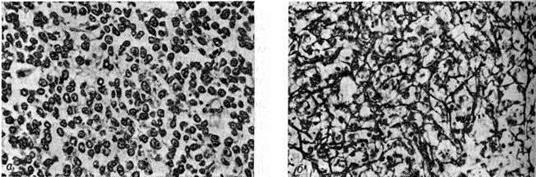
Микроскопически основным структурным элементом являются опухолевые клетки лимфоидно-ретикулярного типа с более или менее выраженными признаками полиморфизма и атипии с овальными, бобовидными или подковообразными ядрами и достаточно чётко контурированной цитоплазмой (рисунок 1, а), Клетки Ретикулосаркома кости первичная по размерам несколько крупнее клеток саркомы Юинга (смотри полный свод знаний: Юинга опухоль). Иногда клетки содержат два или три ядра, обычно с хроматином в виде грубых неправильной формы глыбок. Часто наблюдаются фигуры митоза.

В отличие от опухоли Юинга в Ретикулосаркома кости первичная почти постоянно удаётся выявить богатую сеть аргентофильных волокон, которые иногда оплетают почти каждую клетку (рисунок 1, б), В цитоплазме клеток Ретикулосаркома кости первичная не содержится гликоген. В периферических отделах опухоли часто наблюдаются признаки коллагенообразования иногда вплоть до формирования небольших фиброзных полей. В этих же участках опухоли можно видеть и очаги реактивного остеогенеза.

Клинически заболевание отличается постепенным началом. Первыми симптомами являются боли в зоне очага поражения с иррадиацией вдоль нервных стволов по типу неврита или корешковых болей. Вначале боли интермиттирующие, иногда возникают только при физической нагрузке и лишь через несколько месяцев приобретают постоянный характер. В некоторых случаях боли локализуются в ближайшем к очагу поражения суставе. Часть больных (около 30—40%) обращается за медпомощью уже при наличии патологический перелома. Поэтому воспалительные и реактивные изменения нередко затрудняют диагностику.

Ретикулосаркома кости первичная в 20—25% случаев метастазируют в костную систему, чаще всего в плоские кости черепа, лопатку, кости таза и ребра.

Диагноз устанавливают с помощью комплексного клинического, рентгенологическое, радиоизотопного и морфологический исследования.

Рентгенологические картина многообразна и зависит от фазы роста и локализации опухоли. Вначале появляется участок деструкции мелкозернистой, пористой, пятнистой структуры, который расположен в губчатом веществе (рисунок 2, а). В дальнейшем нарастает литический процесс, формируются очаги деструкции округлой или овальной формы с нечёткими очертаниями. Часто наблюдается несоответствие между мало выраженной клинические, симптоматикой и значительными рентгенологическое изменениями. Это обусловлено инфильтративным ростом опухоли, образованием внекостного её компонента, который не содержит известковых включений. Может выявляться пластинчатая деструкция компактного вещества (рисунок 2, б). Деструктивный процесс иногда характеризуется наличием крупных опухолевых узлов с плотными краями и различной степени «вздутием» кости, напоминающим костную кисту, а при наличии большого количества перекладин — остеобластокластому (рисунок 2, в, г).

Эндостальная реакция может быть в виде склеротической каёмки на границе крупного очага деструкции или очагового уплотнения при мелкоочаговой деструкции. Очень редко встречается резкое уплотнение кости, при котором костно-мозговой канал не дифференцируется.



Информация об Ordo Deus Перейти в оглавление сайта

Рис. 1.
Микропрепараты первичной ретикулосаркомы кости: а — все поле зрения занято опухолевыми клетками с выраженным атипизмом; окраска гематоксилин-эозином, ×250; б — видна сеть аргентофильных волокон, оплетающих опухолевые клетки; импрегнация серебром, ×250.





Информация об Ordo Deus Перейти в оглавление сайта

Рис. 2.
Рентгенограммы бедренной кости (а) и костей голени (б — г) при первичной ретикулосаркоме кости (прямая проекция): а — мелкие распространённые очаги деструкции в верхней части диафиза бедренной кости; б — деструкция и расслоение компактного вещества на протяжении всего диафиза малоберцовой кости со значительной эндостальной реакцией; в — кистовидные ячеистые очаги деструкции в метадиафизе большеберцовой кости (указаны стрелками); грамм — очаг деструкции в дистальном метадиафизе малоберцовой кости (1) с периостальными разрастаниями (2).



Деструктивные изменения сопровождаются разнообразной периостальной реакцией — слоистым, кружевным, бахромчатым и спикулообразным периостозом. Линейный периостит является ранним симптомом, выявляющимся до распространения опухоли в мягкие ткани.

Для выявления Ретикулосаркома кости первичная и её метастазов важное значение принадлежит радиоизотопному исследованию. При этом оно не тяжёлых представлений о характере патологический процесса, однако позволяет уточнить протяжённость опухоли в поражённой кости, а также установить наличие или отсутствие метастазов в других отделах скелета. С помощью радиоизотопного исследования метастазы выявляются раньше, чем при рентгенографии. Наиболее чёткая визуализация изменений возможна при использовании 99mТс-пирофосфата, который тяжёлых высокий уровень накопления в области опухоли и её метастазов. В сомнительных случаях целесообразно вначале провести исследование с 85Sr, обладающим меньшей чувствительностью (слабо положительный уровень накопления в поражённой кости), но более высокой специфичностью по сравнению с 99mТс-пирофосфатом. Результаты такого исследования могут иметь значение в дифференциальной диагностике с саркомой Юинга, лимфосаркомой, поражением костного мозга при миеломной болезни, а также другими злокачественными опухолями костей и метастазами в кости, при которых уровень накопления 85Sr выше.

При лечении Ретикулосаркома кости первичная предпочтение отдаётся лучевой терапии. Оптимальной очаговой суммарной дозой при этом считают 5000—6000 рад (50—60 Гр). Для предупреждения генерализации опухоли рекомендуют комбинированное лечение с применением наряду с лучевой терапией (на первичный очаг) системной химиотерапии препаратами типа сарколизина или циклофосфана. Оперативное вмешательство рекомендуется только в случаях недостаточного эффекта от консервативного лечения.

Прогноз неблагоприятный, 5-летняя выживаемость составляет, по данным разных исследователей, от 28 до 75%.

Смотри полный свод знаний: Кость (опухоли).

Новикова Э.З.; Соловьев Ю.H.

⇐ Перейти на главную страницу сайта

⇑ Вернуться в начало страницы ⇑

Библиотека Ordo Deus ⇒

⇐ Ретикулосаркома

⇓ Полный свод знаний. Том первый А. ⇓

Ретинит ⇒

Все статьи в полном изложении, Вы можете найти в большой медицинской энциклопедии — Главный редактор: академик АН СССР (РАН) и АМН СССР (РАМН) Б.В. Петровский. — Москва издательство «Советская энциклопедия» 1989г.

Внимание! Вы находитесь в библиотеке «Ordo Deus». Все книги в электронном варианте, содержащиеся в библиотеке «Ordo Deus», принадлежат их законным владельцам (авторам, переводчикам, издательствам). Все книги и статьи взяты из открытых источников и размещаются здесь только для чтения.

Вся информация на сайте Ordo Deus находится в свободном доступе. Ordo Deus не предоставляет информацию на платной основе.

Все авторские права сохраняются за правообладателями. Если Вы являетесь автором данного документа и хотите дополнить его или изменить, уточнить реквизиты автора, опубликовать другие документы или возможно вы не желаете, чтобы какой-то из ваших материалов находился в библиотеке, пожалуйста, свяжитесь с нами по e-mail:
info @ ordodeus. ru
Формы для прямой связи с нами находятся в нижней части страниц: контакты и устав «Ordo Deus», для перехода на эти страницы воспользуйтесь кнопкой контакты вверху страницы или ссылкой в оглавлении сайта.

Вас категорически не устраивает перспектива безвозвратно исчезнуть из этого мира? Вы не желаете закончить свой жизненный путь в виде омерзительной гниющей органической массы пожираемой копошащимися в ней могильными червями? Вы желаете вернувшись в молодость прожить ещё одну жизнь? Начать всё заново? Исправить совершённые ошибки? Осуществить несбывшиеся мечты? Перейдите по ссылке: «главная страница».

© Ordo Deus, 2010. При копировании ссылка на сайт http://www.ordo-deus.ru обязательна.