Риноспоридиоз

Оглавление

  1. Дорога к бессмертию
  2. Бессмертие и религия
  3. Философия бессмертия
  4. Бессмертие и наука
  5. История анабиоза
  6. Смерть
  7. Кора головного мозга
  8. Бессмертие и анабиоз
  9. Анабиоз, медицина и биология
  10. Анабиоз и экономика
  11. Анабиоз и закон
  12. Анабиоз в Антарктиде
  13. Техническое обеспечение анабиоза
  14. Бессмертие и вера
  15. Библиотека Ordo Deus
  16. Контактная страница Ordo Deus

Риноспоридиоз

Риноспоридиоз (rhinosporidiosis; синонимы: granuloma rhinosporidioticum, morbus Seeber) — редко встречающийся хронический глубокий микоз.

Впервые заболевание и возбудителя описал в 1900 год Зибер (G. R. Seeber), ссылаясь при этом на исследование Мальбрана (Malbran, 1892). Риноспоридиоз встречается в странах Юго-Восточной Азии, иногда в Иране, в странах Южной Америки. Случаи заболевания описаны в США, Великобритании, Италии и СССР риноспоридиоз

Возбудитель — Rhinosporidium seeberi [синонимы: Coccidiuni seeberi Wernicke (1900), Rhinosporidium kinealyi, Minchin, Fanthum (1905) и другие; относится к классу Phycomycetes, порядку Chytridiales, роду Rhinosporidium.

Патогенез неясен. Предполагают, что возбудитель попадает в организм через повреждённые слизистые оболочки. Чаще болеют лица, имеющие контакт с домашними животными (лошади, коровы, мулы), а также работающие на рисовых полях. Возможна гематогенная диссеминация.

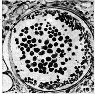
В поражённых тканях на фоне хронический воспаления, наряду с плазматическими клетками, эозинофилами, лимфоцитами и иногда гигантскими клетками типа Лангханса, видны спорангии — толстостенные округлые образования диаметром до 350 микрометров, наполненные эндоспорами (рисунок), а также отдельные споры (диаметром 7—9 микрометров). Возможны микроабсцессы с некрозами в очагах.



Информация об Ordo Deus Перейти в оглавление сайта

Рис
Микропрепарат полипозного разрастания на слизистой оболочке носа при риноспоридиозе: в центре спорангий грибка с эндоспорами; окраска гематоксилинэозином, ×400.



Клинические, картина Риноспоридиоз характеризуется появлением рыхлых красных, с вязким гнойным отделяемым, кровоточащих из-за обилия сосудов полипозных разрастаний на слизистой оболочке носа, носоглотки, миндалин, мягкого неба, язычка, гортани, иногда на конъюнктиве, слизистой оболочке уретры, влагалища и прямой кишки, сопровождающихся зудом. Описаны также поражения кожи наружного слухового прохода и полового члена в виде папиллом (смотри полный свод знаний: Папиллома, папилломатоз) и бородавок (смотри полный свод знаний).

Диагноз устанавливают на основании клинические, картины и данных гистологический исследования патологический материала (биопсийного, операционного, гнойных выделений, кусочков грануляций). Дифференциальную диагностику проводят с другими микозами (смотри полный свод знаний).


Лечение: оперативное удаление полипозных разрастаний (с электрокоагуляцией основания), внутривенное введение 5% раствора солюсурьмина от 3 до 10 миллилитров в сутки, ежедневно увеличивая дозу на 1,5 миллилитров (на курс 30 вливаний), или внутримышечные (подкожные) инъекции 2% раствора эметина гидрохлорида по 1,5 миллилитров 2 раза в сутки в течение 6 дней с 10-дневными перерывами (3—4 курса).

Прогноз при лечении благоприятный.

Профилактика не разработана.

Лещенко В.М.

⇐ Перейти на главную страницу сайта

⇑ Вернуться в начало страницы ⇑

Библиотека Ordo Deus ⇒

⇐ Риносинусопатия

⇓ Полный свод знаний. Том первый А. ⇓

Ринофима ⇒

Все статьи в полном изложении, Вы можете найти в большой медицинской энциклопедии — Главный редактор: академик АН СССР (РАН) и АМН СССР (РАМН) Б.В. Петровский. — Москва издательство «Советская энциклопедия» 1989г.

Внимание! Вы находитесь в библиотеке «Ordo Deus». Все книги в электронном варианте, содержащиеся в библиотеке «Ordo Deus», принадлежат их законным владельцам (авторам, переводчикам, издательствам). Все книги и статьи взяты из открытых источников и размещаются здесь только для чтения.

Вся информация на сайте Ordo Deus находится в свободном доступе. Ordo Deus не предоставляет информацию на платной основе.

Все авторские права сохраняются за правообладателями. Если Вы являетесь автором данного документа и хотите дополнить его или изменить, уточнить реквизиты автора, опубликовать другие документы или возможно вы не желаете, чтобы какой-то из ваших материалов находился в библиотеке, пожалуйста, свяжитесь с нами по e-mail:
info @ ordodeus. ru
Формы для прямой связи с нами находятся в нижней части страниц: контакты и устав «Ordo Deus», для перехода на эти страницы воспользуйтесь кнопкой контакты вверху страницы или ссылкой в оглавлении сайта.

Вас категорически не устраивает перспектива безвозвратно исчезнуть из этого мира? Вы не желаете закончить свой жизненный путь в виде омерзительной гниющей органической массы пожираемой копошащимися в ней могильными червями? Вы желаете вернувшись в молодость прожить ещё одну жизнь? Начать всё заново? Исправить совершённые ошибки? Осуществить несбывшиеся мечты? Перейдите по ссылке: «главная страница».

© Ordo Deus, 2010. При копировании ссылка на сайт http://www.ordo-deus.ru обязательна.