Сепсис

Оглавление

  1. Дорога к бессмертию
  2. Бессмертие и религия
  3. Философия бессмертия
  4. Бессмертие и наука
  5. История анабиоза
  6. Смерть
  7. Кора головного мозга
  8. Бессмертие и анабиоз
  9. Анабиоз, медицина и биология
  10. Анабиоз и экономика
  11. Анабиоз и закон
  12. Анабиоз в Антарктиде
  13. Техническое обеспечение анабиоза
  14. Бессмертие и вера
  15. Библиотека Ordo Deus
  16. Контактная страница Ordo Deus

Сепсис

Сепсис (греческий sepsis гниение) — общее неспецифическое инфекционное заболевание нециклического типа, возникающее в условиях нарушенной реактивности организма при постоянном или периодическом проникновении из местного очага инфекции в кровеносное русло различных микроорганизмов и их токсинов. Сепсис, вызванный гноеродной микрофлорой, называют также общей гнойной инфекцией.

Оглавление

История

Статистика

Классификация

Этиология

Патогенез

Патологическая анатомия

Клиническая картина

Осложнения

Диагноз

Лечение

Прогноз

Профилактика

Особенности некоторых разновидностей сепсиса, обусловленные локализацией первичного септического очага

Сепсис у детей

История

Сепсис был известен уже в глубокой древности, до Гиппократа его возникновение связывали с нарушением соотношения или состава четырёх жидкостей (кровь, слизь, желчь жёлтая, желчь чёрная), определявших, по мнению древних философов, состояние здоровья или болезни человека (смотри полный свод знаний: Медицина). В трудах Гиппократа можно найти описание симптомов «гнилокровия» (как именовали долгое время все формы Сепсис), дифференциацию его от бешенства и летаргии. К. Гален понимал под «гнилокровием» любые изменения, способные вызвать лихорадку. Ибн-Сина, имея в виду «гнилокровие», описывает в «Каноне врачебной науки» различные виды лихорадки и подчёркивает необходимость точной характеристики состояния организма при этом заболевании. В дальнейшем, до эпохи Возрождения, практически не появлялось новых идей о сущности гнилостных процессов в организме человека и частного вида этих процессов — «гнилокровия». В 16—17 веков А. Паре, Парацельс, Сильвий [F. Sylvius (dele Воё) высказывали предположение о «гнилокровии» как интоксикации организма химическими веществами.

Лишь с начала 19 век в понятие «гнилокровие» стали включать только определённые виды продолжительных лихорадок. Французский врач

Гаспар (М. Н. В. Gaspard) установил, что гной, попадающий в кровеносные сосуды животного в малых дозах, может циркулировать в них и обезвреживаться, не причиняя смерти, тогда как даже малые количества его при повторных поступлениях в организм могут вызвать смерть. Р. Вирхов чётко дифференцировал пиемию, характеризующуюся гнойным метастазированием, с септицемией, для которой метастазы не характерны.

Большой вклад в учение о сепсисе был внесён Н. И. Пироговым, который считал, что пиемия есть миазматическое заболевание, отличающееся особой прилипчивостью, продукт общего заражения организма в обширнейшем значении этого слова. Заразное начало — гипотетические миазмы (роль микробов в развитии Сепсис ещё не была известна) образуется в тканях раны, подвергшихся обширному разрушению, а затем, при скоплении больных в закрытых помещениях госпиталя, накапливается в окружающей среде и начинает поражать всех, даже не раненых. Н. И. Пирогов впервые определил значение первичного очага инфекции в патогенезе раневого Сепсиса подробно описал общие и местные его проявления, классифицировал Сепсис и сформулировал передовые для своего времени принципы его лечения.

Он тоже выделял две основные клинические формы Сепсис— септицемию и пиемию, но рассматривал их как проявления одного и того же патологического процесса, считая, что септицемия лишь тогда протекает без гнойных метастазов, когда она развивается слишком быстро и приводит к смерти больного до их проявления. В воззрениях на природу и механизм развития сепсиса Н. И. Пирогов намного опередил своих современников, указав на роль и значение общего состояния организма в возникновении и развитии этого заболевания.

Вторая половина, особенно конец 19 век, ознаменовалась бурным развитием микробиологии и открытием возбудителей ряда инфекционных заболеваний. В этот период выдвигается бактериологическая концепция развития Сепсис, согласно которой Сепсис возникает и развивается в связи с бактериемией, способностью микробов размножаться в циркулирующей крови. Однако эти предположения не оправдались, возможность размножения бактерий в циркулирующей крови не получила подтверждения. Дальнейшим развитием бактериологической концепции Сепсис было учение о септическом очаге, выдвинутое Шоттмюллером (Н. Schottmuller), согласно которому основная роль в патогенезе Сепсис отводилась проникновению микробов из септического очага в кровь; однако при этом не учитывалось значение реактивности макроорганизма. В то же время многочисленные клинические наблюдения и экспериментальные исследования показали, что такая трактовка сущности Сепсис не может объяснить всей сложности этого патологического процесса. Стало известно, что даже очень интенсивная антимикробная химиотерапия довольно часто не тяжёлых положительных лечебных результатов. Поэтому внимание исследователей все чаще стало сосредотачиваться не только на изучении возбудителей Сепсис, но и состояния макроорганизма.

Советские учёные выдвинули хорошо аргументированное положение о решающей роли состояния больного организма в развитии сепсиса, который П. В. Давыдовский (1935 — 1936) определил как проблему прежде всего макробиологическую. В последующие годы макробиологический подход к изучению Сепсис стал основным и наиболее признанным. Изучение больного организма, особенно его реактивности, состояния иммунной системы, механизмов циркуляторных нарушений, интенсивные поиски наиболее эффективных средств коррекции выявленных нарушений, изыскание средств антибактериальной терапии — все это характеризует современный этап развития учения о сепсисе.

Статистика

Статистические данные о сепсисе довольно разноречивы, однако все они в целом характеризуют Сепсис как тяжелейшее заболевание с частым неблагоприятным исходом. По данным В. И. Стручкова (1967), Сепсис диагностировался в среднем у одного из 1000—1500 всех хирургических больных. В лечебных учреждениях с контингентом преимущественно тяжело больных данные резко отличаются: по материалам М. И. Кузина и соавторами (1982), частота Сепсис среди больных, лечившихся в травматологических отделениях в 1977—1981 годы, колебалась в пределах от 0,07 до 0,1%, а после больших торакальных операций с широким применением внутрисосудистых методов исследования и лечения достигала 10—20% к числу оперированных.

По данным И. В. Давыдовского и другие, до применения сульфаниламидов и антибиотиков (смотри полный свод знаний) летальность при Сепсис составляла 70—90%, а при криптогенном Сепсис она доходила до 100%. В период Великой Отечественной войны 1941—1945 годы, по данным И. М. Тальмана, летальность от Сепсис в некоторых госпиталях глубокого тыла колебалась от 30,8 до 67,6%. В послевоенные годы, по данным В. Я. Шлапоберского (1952), в связи с широким применением антибиотиков первого поколения летальность при Сепсис снизилась до 23—25%, по некоторым публикациям — до 15—20%. Однако в работах В. Сепсис Савельева, А. И. Терещинского (1974), Сепсис Попкирова (1977),

И. Юхтина (1979), Альтемейера (W. A. Altemeier, 1976), Нольте (J. Nolte) и соавторами (1977) отмечается, что уже в 1961—1968 годы летальность при сепсисе вновь поднялась (до 40—45%), причём при сепсисе, вызванном грамположительной микрофлорой, летальность составляла 20—29%, а грамотрицательной — 40—60%. По более поздним данным Б. М. Костюченка и А. М. Светухина (1981), в Институте хирургии им. А. В. Вишневского АМН СССР летальность при хирургическом сепсисе составила 30,1% (в фазе септицемии 24,3%, в фазе септикопиемии — 41,1%), причём среди больных в возрасте старше 50 лет она была равна 53,3%, а среди больных более молодого возраста — 21,1%. В случаях, когда лечение было начато в ранней стадии заболевания, летальных исходов не было.

Обмечаемые отечественными и зарубежными хирургами увеличение частоты Сепсис и определённый рост неблагоприятных его исходов связывают с увеличением числа антибиотико-устойчивых и антибиотико-зависимых штаммов возбудителей, сенсибилизацией к ним населения, расширением объёма и сферы применение оперативных вмешательств с интенсивной инфузионной терапией и широким применением внутрисосудистых методов исследования, резко расширивших контакт сосудистого русла с окружающей средой.

Классификация

По клиническому течению различают Сепсис молниеносный, острый, подострый, хронический и рецидивирующий. Как особая форма хронический выделяется sepsis lenta.

При наличии на месте входных ворот возбудителя инфекции первичного септического (гнойного) очага, обусловливающего развитие Сепсис, говорят о вторичном Сепсис; при отсутствии видимого септического очага Сепсис условно называют первичным или криптогенным.

По характеру входных ворот возбудителя заболевания различают Сепсис раневой и возникший на почве гнойно-воспалительных заболеваний различных органов; своеобразным видом Сепсис является ожоговый сепсис (смотри полный свод знаний: Ожоги).

В зависимости от локализации первичного очага инфекции различают: Сепсис ротовой, или стоматогенный (первичный очаг локализуется в полости рта); отогенный (возникающий как осложнение острого или хронического гнойного отита); риногенный (первичный очаг локализуется в полости носа и придаточных пазухах); тонзиллогенный (первичный очаг в миндалинах, чаще нёбных); уросепсис (первичный очаг в почках и мочевых путях); акушерско-гинекологический (первичный очаг в матке или её придатках); пупочный (наиболее частый у детей первого года жизни; первичный очаг локализуется в месте отделения культи пуповины); эндокардиальный (очаг инфекции локализуется в Эндокарде, гл. образом в клапанах сердца); ангиогенный (первичный очаг инфекции расположен внутри сосудов; нередко возникает как результат внутрисосудистых инструментальных исследований и длительных внутривенных вливаний); кожный (первичный очаг формируется в коже в виде пиодермии, гнойного пустулеза, фурункулов); кишечный (первичным очагом является язвенно-некротический энтерит, колит, энтероколит). Помимо перечисленных выше локализаций, септический очаг может находиться и в других органах при различных гнойных процессах, например, гнойно-деструктивных поражениях лёгких (смотри полный свод знаний), плевры (смотри полный свод знаний), гнойном перитоните, гнойном тромбофлебите (смотри полный свод знаний) и другие

Особую группу составляет так называемый хирургический Сепсис, который объединяет все случаи заболеваний Сепсис по признаку наличия первичного или метастатического гнойного очага, доступного оперативному вмешательству. Чаще всего сюда относятся раневой и послеоперационный Сепсис, когда входными воротами является рана (смотри полный свод знаний: Раны, ранения), а также Сепсис, возникающий на фоне или вследствие гнойных заболеваний, например, абсцесс (смотри полный свод знаний), карбункул (смотри полный свод знаний), остеомиелит (см), перитонит (смотри полный свод знаний), флегмона (смотри полный свод знаний), фурункул (смотри полный свод знаний), эмпиема плевры (смотри полный свод знаний: Плеврит) и другие

Септицемию (Сепсис без гнойных метастазов), пиемию (Сепсис с метастазами) и септикопиемию (смешанная форма Сепсис) большинство современных исследователей, как и Н. И. Пирогов, не считает принципиально различными формами Сепсис, а рассматривает скорее как различные фазы единого септического процесса, нередко переходящие одна в другую.

По бактериологическому признаку различают стафилококковый, стрептококковый, колибациллярный, псевдомонозный, анаэробный, гнилостный, грибковый и другие виды Сепсис

Этиология

Возбудителями Сепсис могут быть любые патогенные микроорганизмы, гл. образом из группы гноеродных и анаэробных бактерий (смотри полный свод знаний: Анаэробы, Гноеродные бактерии). Наиболее часто встречаются стафилококки, стрептококки, кишечная палочка, пневмококки, менингококки, синегнойная палочка, клебсиелла, протей, сальмонелла, анаэробы, иногда — грибки (смотри полный свод знаний: Актиномицеты, Аспергиллез, Кандидоз) и другие Чаще микробы попадают из окружающей среды, но могут быть перенесены и из тканей и органов самого больного — эндогенная или аутоинфекция (смотри полный свод знаний). Поэтому данные разных исследователей о частоте отдельных видов возбудителей Сепсис довольно разноречивы. В некоторых случаях возбудителем Сепсис может быть ассоциация микробов, имевшаяся в первичном очаге или возникшая в течении септического процесса. Такой Сепсис отличается особенно тяжёлым клиническим течением. По данным Сепсис Попкирова (1974), в качестве возбудителя Сепсис в современных условиях на первое место выдвигается грамотрицательная микрофлора и только в 30—40% случаев микробы, выделяемые из крови больного, относятся к грамположительным. Напротив, при Сепсис после кардиохирургических операций, вызванном, по-видимому, внутригоспитальной (так называемый нозокоминальной) микрофлорой (смотри полный свод знаний: Внутрибольничные инфекции), грамотрицательные возбудители, по данным Б. М. Костюченка (1981), были обнаружены лишь у 6,6% больных.

Патогенез

Возникновение Сепсис обычно связано с проникновением микробов и их токсинов непосредственно в кровяное русло или через лимфатические пути. Инвазия возбудителя, как правило, происходит через повреждённые кожу или слизистую оболочку, где образуется гнойно-инфекционный, так называемый первичный септический очаг. Возможность проникновения возбудителя в кровь через анатомически неповреждённые кожу или слизистую оболочку и при отсутствии местного инфекционно-воспалительного процесса допустима, по-видимому, лишь в условиях критического состояния организма и резкого снижения его барьерных функций (длительная глубокая артериальная гипотензия, гипоксия, поражение проникающей радиацией, иммунодепрессивными и цитотоксическими средствами, экзогенные и эндогенные интоксикации).

Из первичного септического очага микробы перманентно или периодически поступают в кровяное русло, обусловливая бактериемию (смотри полный свод знаний). Помимо этого, наличие первичного очага сопряжено с сенсибилизацией организма и изменением его реактивности. Сама по себе бактериемия обнаруживается почти у 30% больных с местными гнойными заболеваниями и примерно у одной трети из них она не имеет каких либо клинических проявлений, так как микробы, проникшие в кровяное русло, погибают в органах, богатых элементами системы мононуклеарных фагоцитов (смотри полный свод знаний), и быстро исчезают из циркулирующей крови. Благодаря иммунологическому гомеостазу (смотри полный свод знаний) к наиболее частым возбудителям Сепсис у человека имеется довольно высокий иммунитет, закреплённый в филогенезе и обычно созревающий в онтогенезе. Поэтому в подавляющем большинстве случаев попавшие в кровь болезнетворные микроорганизмы не вызывают общей гнойной инфекции.

И. В. Давыдовский считал, что только «прорыв иммунитета» или недостаточность его созревания в индивидуальной жизни могут породить наиболее древнюю и примитивную форму общей реакции, какой является сепсис. Прорыву иммунитета может способствовать целый ряд причин. Определённое значение имеет массивность инфекта. В работах Б. М. Костюченка и А. М. Светухина (1981) было показано, что в эксперименте микробная обсеменённость в 105 микробов на 1 грамм ткани гнойного очага является критической относительно вероятности генерализации инфекции. Очаг с критическим уровнем инфекта является мощным источником сенсибилизации и интоксикации организма бактериальными токсинами, продуктами нарушенного метаболизма и дезинтеграции девитализированных тканей.

Большое значение в развитии Сепсис имеют вид возбудителя и его биологические особенности. Так, проникновение в кровяное русло или лимфатические пути возбудителей циклических инфекций (например, микобактерии, бледные спирохеты) не сопровождается возникновением Сепсис, тогда как стафилококки, стрептококки, кишечная палочка, протей и синегнойная палочка являются наиболее частыми возбудителями Сепсис По данным В. Я. Шлапоберского (1952), сепсис, вызванный стафилококком (обладающим способностью свёртывать фибрин и оседать в тканях), часто сопровождается появлением метастатических гнойных очагов; стрептококк, обладающий фибринолитической активностью, в значительно меньшей степени вызывает появление таких очагов; кишечная палочка в основном обусловливает токсическое воздействие. Сепсис, вызванный грамположительной флорой, значительно чаще сопровождается возникновением метастатических гнойных очагов, тяжёлых меньшую летальность, чем вызванный грамотрицательной флорой, при которой более выражены явления интоксикации (смотри полный свод знаний). Со свойствами микрофлоры связывают и частоту осложнения Сепсис токсико-инфекционным (септическим) шоком (смотри полный свод знаний): по данным Баре (А. Е. Ваге, 1969), при грамотрицательной микрофлоре септический шок возникает у 20—25% больных, при грамположительной — только у 5%. Некоторым возбудителям свойственна определённая закономерность метастазирования. Например, гемолитические стрептококки, гонококки чаще обусловливают метастазирование гнойников в кожу, суставы; энтерококки, зеленеющие стрептококки — в эндокард; пневмококки — в мозговые оболочки, суставы, эндокард; бактероиды — в лёгкие, плевру, печень, мозг.

Имеют значение и пути диссеминации микрофлоры из первичного очага: при гематогенном распространении в кровяное русло проникает большое число бактерий и продуктов их жизнедеятельности (чаще одномоментно), что сопровождается потрясающими ознобами и высокой температурой; при лимфогенной диссеминации бактериемия менее выражена и более равномерна, так как часть микробов и продуктов их жизнедеятельности задерживается в лимфатических, узлах, вследствие чего температурная реакция часто носит тифоподобный характер. Нередко имеют место оба пути диссеминации; в этих случаях лихорадка тифоидного типа может сопровождаться периодическими ознобами.

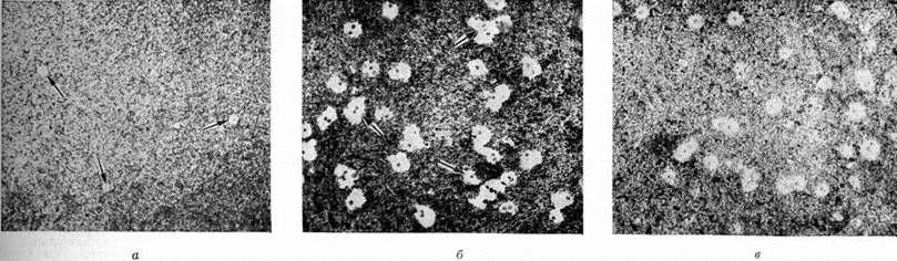
Наибольшее значение в развитии Сепсис имеет своеобразие реактивности организма (смотри полный свод знаний), в первую очередь нарушение иммунитета (смотри полный свод знаний) и неспецифических факторов защиты. От характера иммунной защиты в значительной степени зависит тип реакции организма при сепсисе, которая может быть нормергической (преобладание явлений воспаления), гиперергической (бурное, острое начало с преобладанием деструктивно-дегенеративных изменений) и анергической (характеризуется вялым течением). Иммунодефицитное состояние (смотри полный свод знаний: Иммунологическая, недостаточность) может иметь место до появления первичного септического очага или развиться вследствие интоксикации и бактериальной агрессии из этого очага. В последнем случае нарушаются ранние стадии иммунной реакции: хемотаксис лейкоцитов (смотри полный свод знаний: Таксисы), опсонизация (смотри полный свод знаний: Опсонины), фагоцитоз (смотри полный свод знаний), бактерицидная активность лейкоцитов (смотри полный свод знаний) и сыворотки крови. Подавление хемотаксиса полиморфно-ядерных лейкоцитов при развитии местной гнойной инфекции может быть обусловлено появлением в крови его ингибиторов или дефектом самих нейтрофилов. По данным М. И. Кузина и соавторами (1981), динамика изменений хемотаксиса расценивается как один из ранних и чувствительных признаков состояния и направленности изменений иммунной системы организма. Об изменениях хемотаксиса можно судить, в частности, по изменениям реакции везикуло-образования (рисунок 1), отражающей степень специфического повреждения сенсибилизированных лейкоцитов, в основном полинуклеаров, иммунными комплексами, образующимися из антигенов дезинтегрированных тканей и предсуществующих антител (смотри полный свод знаний: Антиген — антитело реакция). Сущность её состоит в дистрофических изменениях лейкоцитов, преимущественно сегментоядерных, и образовании вокруг них пустот — «везикул» различной величины, преимущественно вследствие «раздвигания» окружающих их эритроцитов.



Информация об Ordo Deus Перейти в оглавление сайта

Рис. 1.
Микропрепараты крови; реакция везикуло-образования (по В. Сепсис Кислякову в модификации В. И. Печерского) в норме (а) и при колибациллярном сепсисе (б и в): а в норме (дано для сравнения), стрелками указаны единичные мелкие везикулы; б — при развитии заболевания, стрелками указаны множественные крупные везикулы; в — при положительном эффекте проводимого лечения — количество крупных везикул уменьшилось; ×70.



Одновременно с подавлением хемотаксиса лейкоцитов снижается фагоцитарная и бактерицидная активность нейтрофилов, а также активация лимфоцитов, образование специфических иммунных антител, активация моноцитов и гранулоцитов. Эти нарушения выражаются в снижении бактерицидной активности сыворотки крови, кожи и слизистых оболочек, снижении иммуноглобулинов М, G (смотри полный свод знаний: Иммуноглобулины) и комплемента (смотри полный свод знаний). Недостаточность комплемента или его компонентов, в свою очередь, способствует снижению бактерицидной активности сыворотки крови и хемотаксиса. Относительно активации лимфоцитов (смотри полный свод знаний) известно, что увеличение активированных Ти В-лимфоцитов (смотри полный свод знаний: Иммунокомпетентные клетки), а также лимфоцитов, несущих рецепторы для микробного антигена, имеет положительное прогностическое значение, в то время как избыток Т-депрессоров, отмеченный у погибших от сепсиса больных, по-видимому, приводит к дефициту иммунитета.

Дефицит иммунитета при местной гнойной инфекции, как правило, углубляется от действия отягчающих факторов, к числу которых относится прежде всего инфекционная аллергия (смотри полный свод знаний). По мере развития аллергической реакции она утрачивает свою специфичность и становится полиаллергичной, возникая при появлении в организме не только возбудителя местной инфекции, но и других веществ, в том числе лекарственных средств. Нередко аллергия проявляется в понижении (гипергия) или отсутствии (анергия) реактивности организма; при таких состояниях инвазия даже небольших количеств микробов пли их токсинов обусловливает развитие Сепсис и приводит к смерти больного вследствие беспрепятственного размножения возбудителя в «термостатных условиях» организма. Это явление может быть расценено как иммунологическая толерантность к возбудителю (смотри полный свод знаний: Толерантность иммунологическая), возникающая при систематическом прорыве инфекта в кровяное русло. Так, нарушение ранней фазы иммунной реакции при Сепсис приводит к несостоятельности всей иммунной системы, что имеет решающее значение в генерализации инфекции и развитии септического процесса.

Возникновению иммунодефицитного состояния способствуют различные факторы (анемия, шок, частичное или полное голодание, переутомление, гиповитаминоз, повторная травма, переохлаждение, воздействие проникающей радиации, интоксикация, нарушения обмена веществ и функции эндокринных желёз); оно быстрее возникает в раннем детском и старческом возрасте.

Важным звеном в механизме формирования патологических реакций при Сепсис является интоксикация организма продуктами жизнедеятельности возбудителя и веществами, образующимися вследствие ферментативного распада и нарушенного метаболизма тканей. В исследованиях Г. А. Ивашкевича (1974, 1982) и другие было показано, что у больных Сепсис концентрация протеолитических ферментов в плазме циркулирующей крови значительно выше, чем в очагах гнойного воспаления. Это дало основание считать, что повышенное образование протеаз (смотри полный свод знаний: Пептид-гидролазы) возникает при Сепсис не только в очаге воспаления, но и в циркулирующей крови, где происходит гибель большого числа лейкоцитов, лизосомы которых богаты протеазами. Увеличению протеаз в крови, по-видимому, способствует также повышенное выделение ферментов лейкоцитами, ведущее к активированию кининов (смотри полный свод знаний), и активация кининов некоторыми антибиотиками. М. Ф. Камаев (1982) считает, что главную роль в активации протеолитических ферментов играет микрофлора септического очага, а влияние клеточных лизосомальных протеаз является вторичным и имеет меньшее значение. Гиперферментемия сама по себе обусловливает общую интоксикацию организма, а протеолитические ферменты высокой активности могут к тому же вызывать очаговый некроз в различных тканях и органах; участки некроза, обсеменяясь микробами и распадаясь, превращаются в метастатические гнойные очаги. По данным Г. Сепсис Ханес, Хендеса (I. Hendes) с соавторами, активация общего протеолиза при Сепсис ведёт к активации свёртывающей и фибринолитической систем крови с возникновением вторичного фибринолиза (смотри полный свод знаний) и внутрисосудистого диссеминированного свёртывания — так называемый синдрома ДВС (смотри полный свод знаний: Геморрагические диатезы). Возрастающая активность тромбообразования, обусловливающая повышение активности противосвёртывающих механизмов, способствует генерализации гнойного процесса.

По наблюдениям Сепсис Попкирова (1974), П. К. Дьяченко (1980), часто возбудители Сепсис как бы депонируются в сфере микроциркуляции (смотри полный свод знаний), обусловливая образование множественных микроочагов инфекции и формируя новый фактор в патогенезе Сепсис— фактор нарушений микроциркуляции, обычно сочетающихся с ухудшением реологических свойств крови.

Существенную роль в патогенезе Сепсис играет гипопротеинемия (смотри полный свод знаний: Протеинемия), обусловленная активацией катаболических процессов и угнетением белковообразовательной функции Печени, что приводит к резкому Нарушению азотистого баланса, снижению иммунологической защиты организма и угнетению репаративных процессов. Нарушения энергетического и электролитного обмена (смотри полный свод знаний: Водно-солевой обмен) при Сепсис выражаются в гиперкатаболизме с последующим метаболическим ацидозом (смотри полный свод знаний), в результате чего возникают глубокие изменения в клеточных мембранах и так называемый натрий-калиевом насосе: в клетках уменьшается содержание калия и увеличивается количество натрия и воды (отёк клетки), а в сыворотке крови увеличивается содержание калия и уменьшается количество натрия.

Глубокие изменения при Сепсис претерпевает углеводный обмен (смотри полный свод знаний): снижается толерантность к глюкозе и возникает резистентность к инсулину, что проявляется в относительной инсулинной недостаточности и гипергликемии (смотри полный свод знаний). Резистентность к инсулину при Сепсис может быть обусловлена, в частности, дефектом гормональной рецепции, в происхождении которого существенную роль играет повышенная продукция эндогенных субстанций, конкурирующих за места связывания инсулина (смотри полный свод знаний) с его рецепторами. В происхождении гипергликемии имеет значение торможение секреции инсулина, которое обусловлено соматотропным гормоном (смотри полный свод знаний), кортикотропином и кортизолом (смотри полный свод знаний: Гидрокортизон), продукция которых при Сепсис повышается. Тормозящее влияние на секрецию инсулина оказывает и активация симпатической системы, стимуляторами которой могут быть простагландины (смотри полный свод знаний), продукция которых при Сепсис возрастает. В экспериментах Сепсис А. Моренкова с соавторами (1978, 1981) введение ингибиторов простагландинов, например, индометацина, восстанавливало содержание сахара в крови до нормы и обеспечивало выживание 85—90% подопытных животных, в то время как в контрольной группе животные погибали в 100% случаев.

Развитие септического процесса обычно сопровождается нарушением сердечной деятельности, обусловленным интоксикацией, которая в сочетании с дыхательной недостаточностью (смотри полный свод знаний) приводит к тяжёлой гипоксии (смотри полный свод знаний). Ведущее значение в развитии дыхательной недостаточности при Сепсис имеет поражение лёгочной паренхимы и системы сурфактанта (смотри полный свод знаний). Существенную роль в в патогенезе Сепсис играют также нарушения функции почек, которые перестают справляться с элиминацией бактериальных токсинов, продуктов дезинтеграции тканей и нарушенного метаболизма; часто нарушается реабсорбционная способность почек, повышается потеря воды и солей с последующими тяжёлыми нарушениями водно-электролитного баланса и развитием почечной недостаточности (смотри полный свод знаний), нередко являющейся предвестницей критической фазы септического шока. У подавляющего большинства больных Сепсис обнаруживаются признаки инфекционного или иммунного гломерулонефрита, острого интерстициального нефрита (смотри полный свод знаний) вплоть до гнойного пиелонефрита (смотри полный свод знаний).

Патологическая анатомия

Наиболее часто Сепсис протекает с гнойными метастазами (септикопиемия). На первом месте по частоте в этой группе стоит стафилококковая септикопиемия, которая может протекать в виде молниеносной и острой формы. Для стафилококкового Сепсис характерно наличие множественных метастатических абсцессов жёлтого цвета, до 5—6 сантиметров в диаметре, нередко с зоной перифокальной геморрагии, локализующихся в лёгких (преимущественно под плеврой), почках (преимущественно под капсулой), сердце, мышцах, головном мозге и других органах, а также септических инфарктов. гнойных серозитов, апостематозного нефрита (смотри полный свод знаний), эндокардита (смотри полный свод знаний), диффузных воспалительных процессов в паренхиматозных органах; особенно характерны для стафилококкового сепсиса метастатические подкожные абсцессы (смотри полный свод знаний: Абсцесс) и флегмоны (смотри полный свод знаний: Флегмона). При макроскопическом исследовании паренхиматозные органы дряблые, умеренно полнокровные или, наоборот, бледные. Селезёнка обычно резко увеличена, дряблая, тяжёлых обильный соскоб пульпы. Лимф, узлы, миндалины, пейеровы бляшки набухшие. На слизистой оболочке желудка, тонкой и толстой кишки нередки многочисленные кровоизлияния, эрозии и единичные или множественные язвы размерами до 1,5 сантиметров в диаметре, с мягкими краями, неровным плоским дном. Надпочечники несколько увеличены в размерах, корковый слой их расширен. Слизистые и серозные оболочки полнокровны, с мелкоточечными или крупными кровоизлияниями. Чем острее течет сепсис, тем более выражен геморрагический компонент воспаления. При микроскопическом исследовании в паренхиматозных органах картина белковой или жировой дистрофии (смотри полный свод знаний: Белковая дистрофия, Жировая дистрофия), очажки некробиоза и некроза клеток (смотри полный свод знаний: Некроз). Помимо дистрофических изменений, возможно развитие диффузного серозного или серозно-гнойного интерстициального миокардита (смотри полный свод знаний), гепатита (смотри полный свод знаний) и другие В селезёнке отмечается выраженный лейкоцитоз, обильное скопление гистиоцитов-макрофагов (смотри полный свод знаний: Гистиоциты, Макрофаги) и клеток плазматического ряда (смотри полный свод знаний: Плазматические клетки), явления эритрофагоцитоза. В лимфатических, узлах, лимфоидном аппарате кишечника также наблюдается скопление лейкоцитов, пролиферация плазматических клеток, скопление макрофагов с развитием так называемый реактивного гистиоцитоза синусов, изредка — мелкие некротические фокусы. Корковый слой надпочечников гипертрофирован, преимущественно за счёт клеток пучковой зоны коры, клетки её бедны липоидами, содержание в них РНК и щелочной фосфатазы увеличено. Капилляры коркового слоя полнокровны, с явлениями стаза, часть клеток коры в состоянии цитолиза (смотри полный свод знаний). Вилочковая железа в состоянии инволюции: наблюдается уменьшение числа лимфоидных клеток, аплазия ретикулоэпителиальных элементов и их дистрофия. В других эндокринных органах отмечаются изменения, свидетельствующие либо об усилении их функциональной активности, либо о снижении её в зависимости от фазы развития процесса. Метастатические абсцессы формируются периваскулярно, обычно около мелкого сосуда или группы капилляров, содержащих септический эмбол (смотри полный свод знаний: Эмболия), сопровождаются явлениями гнойного васкулита (смотри полный свод знаний) и периваскулита, а также капиллярита (рисунок 2). В зоне септических инфарктов (преимущественно в лёгких, почках, селезёнке) ясно различимы эмболы в артерии и скопления микрофлоры в некротизированной, расплавленной лейкоцитами ткани. Септические эмболы в мелких и крупных артериях вызывают возникновение гнойного или гнойно-некротического васкулита, иногда с образованием так называемый острых микотических аневризм (смотри полный свод знаний: Аневризма). При септической стадии инфекционного эндокардита (смотри полный свод знаний), для которого характерно преимущественное поражение эндокарда левых камер сердца, аортального и митрального клапанов (особенно когда в лёгких, почках, печени и селезёнке встречаются вторичные септические очаги), микроскопически отмечается глубокое изъязвление эндокарда с образованием тромботических наложений, содержащих колонии стафилококков.



Информация об Ordo Deus Перейти в оглавление сайта

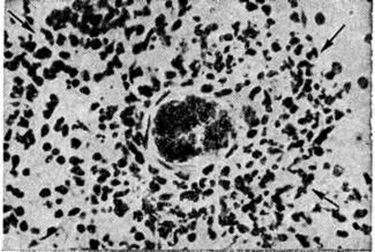
Рис. 2.
Микропрепарат почки при стафилококковом сепсисе: в центре поля зрения — септический эмбол в сосуде; вокруг сосуда — широкая зона воспалительной инфильтрации (отграничена стрелками); окраска гематоксилин-эозином; ×450.





Информация об Ordo Deus Перейти в оглавление сайта

Рис. 3.
Микропрепарат почки при синегнойном сепсисе: 1 — септический васкулит с некрозом стенки артерии; 2 — очаг некроза в периваскулярной ткани; окраска гематоксилин-эозином; ×260.



Стрептококковый Сепсис нередко проявляется в виде молниеносной формы септицемии (например, Сепсис при рожистом воспалении ран, тонзиллогенный Сепсис). Он характеризуется резкими дистрофическими изменениями органов, гиперплазией пульпы селезёнки. При пиемических формах в метастатических очагах отмечается некроз тканей, окружённый зоной серозно-фибринозного воспаления с умеренной лейкоцитарной инфильтрацией. Для стрептококкового Сепсис характерно развитие эндокардита, который при остро текущем процессе принимает характер язвенного. Язвенный эндокардит характеризуется сочетанием резко выраженных альтеративных и более слабых фибропластических процессов, причём чаще поражаются митральный и аортальный клапаны. На внутренней поверхности, по краю створок клапана появляются рыхлые грязно-жёлтые наложения, при снятии которых обнаруживаются язвы. В дальнейшем язвы увеличиваются в размерах, нередки разрывы и отрывы створок клапана. Типично распространение язвенного процесса на эндокард предсердия или интиму аорты. При микроскопическом исследовании среди тромботических и некротических масс, покрывающих язвенный дефект, видны колонии стрептококков. При рубцевании язв происходит сморщивание клапанов и формирование порока (смотри полный свод знаний: Пороки сердца приобретённые).

Пневмококковый Сепсис встречается редко, преимущественно у детей. Он может развиться при воспалительных процессах в верхних дыхательных путях и лёгких. В лёгких болезнь проявляется в виде типичных пневмонических очагов, окружённых зоной отёка, содержащей грамположительные диплококки (пневмококки). При пневмококковом Сепсис возможно развитие тромбоза синусов (смотри полный свод знаний: Тромбоз, сосудов головного мозга), гнойного отита (смотри полный свод знаний) и менингита (смотри полный свод знаний).

Менингококковый Сепсис обычно проявляется либо в виде острой или острейшей менингококкемии, либо в виде гнойного менингита (смотри полный свод знаний: Менингококковая инфекция).

Во второй половине 20 век значительно увеличился удельный вес Сепсис, вызванного грамотрицательной бактериальной флорой, в частности синегнойной палочкой. Синегнойный Сепсис является чаще результатом суперинфекции у ослабленных больных, например, после обширных операций на сердце, а также у больных, получающих иммунодепрессивную или гормональную терапию. Протекает он обычно в виде острой или подострой септикопиемии с прогрессирующими нагноительно-деструктивными процессами в первичном септическом очаге. В некротизированной ткани очага образуется фибрин, в очаге и за его пределами развиваются некротические или гнойно-некротические васкулиты, лимфадениты (смотри полный свод знаний: Лимфаденит) и лимфангииты (смотри полный свод знаний: Лимфангиит). Метастатические очаги в органах обычно немногочисленны, мелкие, зеленоватые, окружены красноватым ободком. Их образованию предшествует формирование некротических фокусов, вследствие чего при гистологическом исследовании они представляют собой очаг некроза, окружённый тонким демаркационным валом и зоной кровоизлияний. В центре очага некроза видны скопления грамотрицательных палочек. Метастатические абсцессы формируются вокруг сосудов, в которых имеет место септический васкулит (рисунок 3). Позднее мелкие абсцессы могут увеличиваться, достигая в диаметре 0,5 сантиметров и представляя собой гнойнички с небольшим количеством лейкоцитов и единичными микробами. Изменения внутренних органов характеризуются дистрофией, паретическим вздутием желудка и кишечника, слабо или умеренно выраженными геморрагическими реакциями. Тромбофлебиты, септические инфаркты, эндокардит, перикардит (смотри полный свод знаний) встречаются редко.

Нередко встречается Сепсис, обусловленный протейной инфекцией. Чаще всего входными воротами инфекции является кишечник или раны кожи и мягких тканей, в которых протей часто является причиной нагноительных процессов. Рана имеет характерный вид: она покрыта вялыми бледными водянистыми грануляциями (смотри полный свод знаний: Грануляционная ткань), отделяемое из раны с неприятным запахом. В головном мозге, лёгких, почках, костном мозге, подкожной клетчатке возможны метастатические очаги. В центре их нередко можно видеть участки некроза.

Сепсис, вызванный кишечной палочкой (колисепсис), наблюдается обычно у детей, особенно недоношенных, или у ослабленных больных с обширными травмами, ранами, ожогами. Колисепсис у взрослых протекает обычно по типу септицемии. Для него характерны парез кишечника, геморрагическая сыпь на коже, истощение, диффузные капилляростазы, пролиферативно-инфильтративные процессы в межуточной ткани органов. При затянувшихся формах колисепсиса могут возникать гнойный менингит (смотри полный свод знаний), септический эндокардит, отит, остеомиелит (смотри полный свод знаний) с наличием в этих очагах кишечной палочки.

Анаэробный Сепсис характеризуется жёлтым. цветом кожи с бронзовым оттенком, образованием. в подкожной клетчатке метастатических очагов, особенно в местах давления, уколов, ушибов. Наблюдаются явления гемолиза (смотри полный свод знаний), миолиза, воспалительные и дегенеративно-некротические изменения во внутренних органах.

Среди висцеромикотических (грибковых ) форм Сепсис наиболее часты кандидамикозный, аспергиллезный и реже актиномикозный сепсис. При грибковом Сепсис чаще наблюдается септикопиемия с абсцессами в лёгких, головном мозге и других органах. Увеличена селезёнка. При аспергиллёзе могут обнаруживаться так называемый аспергилломы — опухолевидные образования в лёгких, состоящие из плотных сплетений грибка.

В случаях Сепсис, вызванного смешанной микрофлорой, чаще всего имеет место присоединение к стафилококковому Сепсис грамотрицательной флоры (суперинфекция). Экзотоксин стафилококка в метастатическом очаге вызывает деструкцию ткани, после чего в зоне некроза активно вегетирует грамотрицательная флора, например, синегнойная палочка, усиливая процессы деструкции. При синегнойно-стафилококковом Сепсис чаще наблюдаются тромбофлебиты, язвенные эндокардиты, септические инфаркты. В дальнейшем синегнойная палочка подавляет размножение стафилококка и метастатические очаги становятся мономикробными.



Информация об Ordo Deus Перейти в оглавление сайта

Рис. 4.
Электронно-микроскопическая авторадиограмма цитоплазмы полиморфноядерного лейкоцита: при септицемии: 1 — меченные 3Н-уридином фагоцитированные стафилококки, содержащие множественные тёмные гранулы РНК, что указывает на продолжающийся синтез РНК, то есть на сохранённую жизнеспособность микроорганизмов (незавершённый фагоцитоз); 2—фагоцитированный стафилококк, не содержащий гранул РНК, что указывает на его гибель.



Сепсис без гнойных метастазов (септицемия) крайне труден для морфологической диагностики, так как специфической морфологической картины не имеет. К нему относятся обычно наиболее остро текущие формы Сепсис (в частности, молниеносные и острые). Они характеризуются сочетанием распространённых дистрофических изменений паренхиматозных органов, микроциркуляторных нарушений и геморрагий. Типичным является наличие септической селезёнки, однако нередко наблюдаются так называемый аспленореактивные формы Сепсис С помощью электронной микроскопии (смотри полный свод знаний), и электронной авторадиографии (смотри полный свод знаний) могут быть получены данные о прижизненном состоянии лейкоцитов крови; при септицемии в них можно обнаружить фагоцитированные микробы и оценить степень свойственного Сепсис незавершённого фагоцитоза (рисунок 4). Важно бактериологическое исследование крови и органов трупа, а также изучение первичного септического очага; при вторичном Сепсис всегда имеется обострение воспалительных и деструктивных процессов в первичном очаге. В некоторых случаях первичный септический очаг обнаружить не удаётся (так называемый криптогенный сепсис, сепсис без первичного очага).

Нередко при септицемии наблюдается так называемый септический или бактериальный шок (смотри полный свод знаний), при котором имеет место резкая эндотоксинемия или (преимущественно грамотрицательная) бактериемия. В основе его лежит сочетание микроциркуляторных нарушений, геморрагий и диссеминированного капилляротромбоза. В лёгких на фоне отёка и полнокровия отмечается рассеянный капилляротромбоз, мегакариоцитарная и жировая эмболия капилляров; в почках — шунтирование х почечного кровотока, тромбоз капилляров клубочков, дистрофия эпителия извитых канальцев, возможно развитие кортикальных некрозов; в печени — очаги лобулярного некроза, тромбоз кровеносных капилляров, холестаз (смотри полный свод знаний). В селезёнке, кишечнике, надпочечниках, гипофизе отмечаются рассеянный капилляротромбоз, периваскулярные и перикапиллярные кровоизлияния, очаги микронекрозов. В толще слизистой оболочки желудка и двенадцатиперстной кишки обнаруживаются множественные кровоизлияния, мелкие эрозии и острые язвы. В толще кожи наблюдаются герпетиформные геморрагии с отслойкой и некрозом эпидермиса, изредка с образованием кожных язв, а также тромбоз мелких сосудов и капилляров кожи.

К хроническим формам Сепсис относится хронический стафилококковый Сепсис и sepsis lenta. Хронический стафилококковый Сепсис протекает обычно в форме рецидивирующей болезни с повторными волнами метастазирования. Множественные метастатические абсцессы наблюдаются в подкожной клетчатке, лёгких, почках, реже в других органах; изредка развиваются эндокардит, миокардит. Характерна временная разнотипность гнойных очагов: наряду со свежими гнойно-некротическими очагами видны абсцессы с хорошо сформированной пиогенной капсулой и рубцы на месте бывших абсцессов.

Sepsis lenta—хроническая форма стрептококкового Сепсис — характеризуется развитием полипозно-язвенного эндокардита митрального и аортальных, реже одних аортальных клапанов. У этих больных обычно резко увеличена селезёнка в размерах и весе (в 2—3 раза и более). В сердце, почках, лёгких, нервной системе наблюдаются распространённые васкулиты с явлениями альтеративного воспаления вплоть до фибриноидного некроза, множественный тромбоз и эмболия, нередко с развитием инфарктов в органах.

Существенные морфологические изменения наблюдаются при Сепсис, возникающем в условиях массивной антибиотикотерапии и применения других лечебных факторов, обусловливающих терапевтический патоморфоз сепсиса. По данным Н. К. Пермякова, в этих случаях болезнь часто приобретает волнообразное пролонгированное течение, с периодами рецидивов и ремиссий. Наблюдается меньшая степень дистрофических изменений в паренхиматозных органах, меньшее количество гнойных метастазов. Меняется вид септических васкулитов: значительно снижается активность альтеративного и экссудативного компонентов воспаления в стенке сосуда, которое приобретает черты хронического неспецифического продуктивного воспаления, сравнительно быстро заканчивающегося склерозом (смотри полный свод знаний). Метастатические абсцессы обычно невелики, флора в них может быть не обнаружена.

Клиническая картина

Симптоматология Сепсис полиморфна; она зависит от клинической формы заболевания, наличия и локализации метастазов, степени и интенсивности декомпенсации функций органов и систем жизнеобеспечения. При молниеносной форме, которая наблюдается главным образом при стрептококковом, анаэробном и гнилостном Сепсис, заболевание развивается бурно, иногда в течение нескольких часов; септический процесс быстро прогрессирует, давая картину, свойственную клинике инфекционно-токсического шока (смотри полный свод знаний), чаще заканчивается смертью больного через 1—3 суток после начала заболевания.

Для острого Сепсис наиболее частыми симптомами, характеризующими нарушение общего состояния и деятельности нервной системы, являются головные боли, раздражительность, бессонница, угнетение нервной системы, помрачение или потеря сознания. Постоянным является повышение температуры, которая обычно держится на высоких цифрах (39— 40°) при Сепсис без метастазов и тяжёлых значительные колебания утром и вечером при наличии метастазов. Лихорадка часто сопровождается ознобом (смотри полный свод знаний); проливным потом; тахикардией (с превышением частоты пульса относительно температуры тела), которая продолжается и после нормализации температуры; артериальной гипотензией (смотри полный свод знаний: Гипотензия артериальная); аритмией сердца (смотри полный свод знаний). Часто наблюдаются увеличение печени и селезёнки, отеки (смотри полный свод знаний: Отёк) на фоне олигурии (смотри полный свод знаний), что свидетельствует о тяжёлом поражении паренхиматозных органов и плохом прогнозе. Этим изменениям нередко сопутствуют анорексия (смотри полный свод знаний), тошнота (смотри полный свод знаний), рвота (смотри полный свод знаний) и изнуряющие септические поносы (смотри полный свод знаний). Со стороны лёгких нередко отмечаются симптомы, характерные для очаговой пневмонии (смотри полный свод знаний) с множественным абсцедированием, иногда обширные метастатические абсцессы гангренозного характера и даже тотальная гангрена лёгкого. Имеются нарушения функции головного мозга, сердца и других органов, обусловленные появлением в них метастатических абсцессов.

Хронический Сепсис характеризуется вялым течением с малозаметными проявлениями клинические симптомов, свойственных острому Сепсис, и может продолжаться более трёх месяцев. Рецидивирующий Сепсис характеризуется сменой периодов обострения с образованием метастазов периодами ремиссий и продолжается многие месяцы, иногда годы.

Клиническая картина местного септического очага, доступного осмотру, обычно неярко выражена и часто не соответствует тяжести общих явлений. Она характеризуется бледностью, отёчностью, вялостью и сухостью грануляций, скудностью раневого отделяемого, которое имеет мутновато-грязный цвет и нередко гнилостный характер.

При Сепсис иногда возникают психические расстройства, которые относятся к группе инфекционных психозов (смотри полный свод знаний). В патогенезе психических нарушений большая роль принадлежит интоксикации и гипоксии мозга. В клинической картине этих психозов ведущее место занимают астенические расстройства (смотри полный свод знаний: Астенический синдром). На ранних стадиях процесса преобладает пониженное настроение с тревожными опасениями за своё состояние. При тяжёлом ареактивном Сепсис возникает адинамическая астения, близкая к апатическому ступору (смотри полный свод знаний: Ступорозные состояния). Иногда в начале Сепсис на фоне астении возникает эйфория: больной благодушен, беспечен, не сознает свою болезнь, многословен, переоценивает свои возможности. Такая эйфория может наблюдаться и в разгаре болезни на фоне кахексии. При улучшении соматического состояния эти расстройства сменяются пониженным настроением. Психозы с нарушением сознания при сепсисе не часты и проявляются преимущественно в виде делириозного, делириозно-онейроидного и аментивного состояний. Делирий (смотри полный свод знаний: Делириозный синдром) встречается чаще в начале послеродового Сепсис, при раневом Сепсис и септическом эндокардите. При тяжёлом Сепсис со снижением реактивности организма в период обострения чаще развивается гипнагогический делирий. Развитие аменции (смотри полный свод знаний: Аментивный синдром) свидетельствует о значительном ухудшении соматического состояния. При тяжёлом Сепсис с явлениями кахексии может развиваться оглушение (смотри полный свод знаний) с колебаниями ясности сознания (так называемый осциллирующее сознание). На этом фоне могут возникать расстройства схемы тела (смотри полный свод знаний) и онейроидные расстройства в виде ощущения полёта, вращения и так далее (смотри полный свод знаний: Онейроидный синдром). При улучшении соматического состояния психоз редуцируется. Иногда синдромы нарушенного сознания сменяются переходными синдромами, преимущественно с галлюцинаторно-параноидной симптоматикой (смотри полный свод знаний: Симптоматические психозы), которые в ряде случаев приходится дифференцировать с шизофренией (смотри полный свод знаний). При неблагоприятном затяжном течении Сепсис возможно развитие явлений психоорганического синдрома (смотри полный свод знаний).

Осложнения

Осложнения Сепсис нередко существенно изменяют его клиническую картину и определяют исход заболевания. Такие осложнения, как острая почечная и печёночно-почечная недостаточность (смотри полный свод знаний: Гепаторенальный синдром, Почечная недостаточность), дыхательная недостаточность (смотри полный свод знаний) и сердечно-сосудистая недостаточность (смотри полный свод знаний), кровотечение (смотри полный свод знаний), тромбоэмболия (смотри полный свод знаний), пролежни (смотри полный свод знаний), пневмония, пиелонефрит, эндокардит, являются следствием интоксикации и генерализации инфекции, особенно при наличии невосполнимой потери белков вследствие обильного гнойного отделяемого (смотри полный свод знаний: Травматическое истощение).

Наиболее тяжёлым и специфическим осложнением Сепсис является септический шок, который моет возникнуть при любом виде Сепсис и в любые периоды его течения. Клинические проявления септического шока полиморфны и определяются фазой развития и формой этого осложнения. Предвестниками его являются изменение поведения больного, его дезориентация, нарушение сознания и определяемая на глаз одышка (смотри полный свод знаний). Основной признак септического шока — быстро прогрессирующая недостаточность кровообращения, обычно сопровождаемая потрясающими ознобами и приводящая к глубоким расстройствам тканевого обмена. В поздней стадии возникают нарушения сознания вплоть до комы (смотри полный свод знаний), бледность кожи, акроцианоз (смотри полный свод знаний), выраженное тахипноэ (смотри полный свод знаний), олигурия, гипертермия, сменяемая снижением температуры тела при обильном потоотделении. Пульс учащается до 120—160 ударов в минуту, слабого наполнения, аритмичный; нередко наблюдается критическое падение АД, сочетающееся с признаками уменьшения венозного возврата. Летальность при септическом шоке остаётся высокой.

Диагноз

Диагноз Сепсис должен основываться на всестороннем анализе и сопоставлении имеющихся клинических симптомов и данных лабораторного исследования. При лабораторном исследовании в крови больных Сепсис отмечается нарастающая гипохромная анемия (смотри полный свод знаний), ускоренная РОЭ, лейкоцитоз (смотри полный свод знаний) со сдвигом ядерной формулы влево (смотри полный свод знаний: Лейкоцитарная формула). Бактериемия обнаруживается при Сепсис лишь в 70—80% случаев, что объясняется непостоянством её и трудностями выделения некоторых видов возбудителя (например, анаэробов). При эндокардиальном Сепсис исследуют не только венозную, но и артериальную кровь, из которой микробы при этом виде Сепсис выделяются значительно чаще. Более или менее уверенно Сепсис может быть распознан при наличии следующих признаков: несоответствие скудных местных изменений в очаге инфекции, тяжёлой общей реакции организма и прогрессирующее ухудшение общего состояния при отсутствии других отягощающих заболеваний и осложнений; возникновение гнойных метастазов, анатомически не связанных с имеющимся очагом гнойной инфекции; постоянно или периодически обнаруживаемая бактериемия при наличии других признаков генерализации инфекции; лихорадка, особенно с ознобами, сопровождающаяся лейкоцитозом с резким сдвигом лейкоцитарной формулы влево, прогрессирующим снижением содержания гемоглобина и эритроцитов в крови, прогрессирующей гипопротеинемией и гипоальбуминемией, снижением артериального давления, которые не могут быть объяснены другими причинами.

Дифференциальная диагностика обычно проводится с заболеваниями, сопровождающимися лихорадкой, например, брюшным тифом (смотри полный свод знаний), милиарным туберкулёзом (смотри полный свод знаний), малярией (смотри полный свод знаний), бруцеллезом (смотри полный свод знаний), острой гнойной интоксикацией (смотри полный свод знаний: Гнойно-резорбтивная лихорадка) и другие Наиболее трудной является дифференциальная диагностика Сепсис с гнойно-резорбтивной лихорадкой, несмотря на довольно чёткие дифференциально-диагностические признаки, сформулированные в работах И. В. Давыдовского, В. И. Стручкова, Т. Я. Арьева и другие В сомнительных случаях некоторые клиницисты придерживаются следующего правила: если после радикальной хирургической обработки очага инфекции и целенаправленной противобактериальной терапии в течение 7 дней температура тела не снижается, держится тахикардия, а из крови высевается микрофлора, такую лихорадку рассматривают как начальную стадию Сепсис и приступают к интенсивному комплексному лечению. При гнойно-резорбтивной лихорадке это лечение в подавляющем большинстве случаев приводит к снижению температуры и к ликвидации бактериемии; при отсутствии же положительного эффекта заболевание окончательно расценивается как сепсис. В затруднительных случаях при наличии показаний для диагностики используют ультразвуковое сканирование, обычную и цветную термографию, лапароскопию, эндоскопию и другие современные методы исследования.

Лечение

Лечение больного Сепсис должно проводиться комплексно. Лечебный процесс строго индивидуализируется; в то же время он должен основываться на некоторых общих принципах, соответствующих современным представлениям об этиологии, патогенезе и течении заболевания.

Прежде всего проводят интенсивные поиски, оперативное лечение (иссечение, вскрытие) и последующую адекватную санацию септического очага. Радикальная ликвидация гнойного очага (первичного или метастатического) целесообразна при всех формах сепсиса, поскольку без неё нельзя рассчитывать на выздоровление больного даже при самой интенсивной и квалифицированной консервативной терапии.

Противобактериальную терапию проводят целенаправленно (в соответствии с данными антибиотикограммы) массивными дозами антибиотиков бактерицидного действия (пенициллины); антибиотики бактериостатического действия (тетрациклины) в условиях иммунологической толерантности обычно неэффективны. Предпочтение должно быть отдано сочетанной противобактериальной терапии 2—3 препаратами, например, оксациллин и метициллин; гентамицин и линкомицин и другие Современные полусинтетические пенициллины и цефалоспорины, обладающие широким спектром антибактериального действия и быстрым бактерицидным эффектом, являются наиболее эффективными средствами этиотропной терапии сепсиса. В критических ситуациях до идентификации возбудителя рекомендуется сочетанное применение аминогликозидов (гентамицин, сизомицин, амикацин) с пенициллинами (карбенициллин, ампициллин) и цефалоспоринами (за исключением цепорина). При стафилококковом Сепсис наряду с полусинтетическими пенициллинами перспективным является применение фузидина и рифампицина. Сочетанное применение полусинтетических пенициллинов и аминогликозидов тяжёлых синергический эффект, что позволяет уменьшить дозу аминогликозидов и снизить опасность их токсического воздействия. Новые перспективы для антибактериальной терапии больных Сепсис открывает лечение их в условиях управляемой абактериальной среды (смотри полный свод знаний). Противобактериальная терапия при Сепсис должна проводиться до устойчивого улучшения общего состояния больного, подтверждаемого клиническими и лабораторными данными (исчезновение лихорадки и бактериемии, нормализация формулы крови). Нерациональное применение антибиотиков увеличивает летальность при сепсисе.

Даже при эффективной антибактериальной терапии окончательная ликвидация возбудителя в организме возможна лишь при участии его защитных сил. Поэтому необходимо добиваться повышения иммунобиологической (неспецифической и специфической) реактивности организма. Это достигается переливанием крови (смотри полный свод знаний), введением неспецифического гамма-глобулина (смотри полный свод знаний: Иммуноглобулины), белковых гидролизатов, гипериммунной антистафилококковой плазмы, антистафилококкового гамма-глобулина, стафилококкового анатоксина (смотри полный свод знаний: Анатоксины), специфической антитоксической сыворотки (смотри полный свод знаний) и другие

При сочетанной недостаточности Т и В-лимфоцитов или дефиците лишь Т-лимфоцитов вводят лейко-взвесь здорового или иммунного донора; при низкой активации В-лимфоцитов, особенно в начальных фазах Сепсис, применяют гипериммунную плазму или гамма-глобулин. По данным Ю. В. Жукова и соавторами (1977), если трёхкратное введение антистафилококковой плазмы при стафилококковом Сепсис не тяжёлых положительного эффекта, то дальнейшая пассивная иммунизация становится бесполезной. В этих случаях необходимы интенсивные поиски нераспознанного гнойного очага с последующей ликвидацией его оперативным путём. При проведении иммунотерапии (смотри полный свод знаний) необходимо избегать чрезмерной стимуляции иммунных систем и развития гиперергических реакций, для чего должен осуществляться постоянный и квалифицированный лабораторный контроль крови.

Поддержание водно-солевого обмена (смотри полный свод знаний) и кислотно-щелочного равновесия (смотри полный свод знаний), объёма и реологических свойств циркулирующей крови, энергетического баланса, проведение дезинтоксикационной терапии (смотри полный свод знаний) осуществляют с помощью средств и методов инфузионной терапии (смотри полный свод знаний) и форсированного диуреза (смотри полный свод знаний: Отравления). Применяют также ингибиторы протеолитических ферментов — контрикал, трасилол, гордокс; витаминотерапию (смотри полный свод знаний); коферменты — кокарбоксилазу, котиамин; анаболические стероиды — ретаболил, тестостерон-пропионат. Для снижения активности свёртывающей системы крови (особенно при синдроме диссеминированного внутрисосудистого свёртывания) используют гепарин.

Гипоксию и её последствия устраняют путём кислородной терапии (смотри полный свод знаний), включая и гипербарическую оксигенацию (смотри полный свод знаний), которая оптимально изменяет соотношение видов микроорганизмов на различных участках слизистой оболочки и кожи, положительно влияет на иммунологический статус больного.

При септическом шоке показано применение вазоактивных препаратов (стероидных гормонов, компламина), форсированного диуреза, средств и методов, улучшающих реологические свойства крови и коронарную перфузию, поддерживающих сократительные свойства миокарда и адекватный газообмен.

При психических расстройствах наряду с общеукрепляющим лечением, витаминотерапией применяют ноотропные средства — ноотропил, энцефабол, гаммалон и транквилизаторы — мепробамат, тазепам, седуксен, элениум; при психозах вводят внутримышечно нейролептические вещества — аминазин, стелазин, галоперидол и другие

В лечении больных Сепсис большое место занимают вопросы медицинского ухода за больным (смотри полный свод знаний: Уход за больным), питания, создания максимально благоприятных санитарно-гигиенических условий, а также применение по показаниям физиотерапевтических методов и лечебной физкультуры.

Прогноз

Прогноз при Сепсис зависит от вирулентности микрофлоры, состояния иммунобиологических сил организма больного, своевременной и адекватной комплексной терапии. В тех случаях, когда все эти факторы относительно благоприятны, прогноз также может быть благоприятным. В других случаях прогноз остаётся тревожным, особенно у больны преклонного возраста при наличии отягчающих сопутствующих заболеваний (например, сахарный диабет).

Профилактика

Предупреждение Сепсис состоит в своевременном лечении очагов хронической гнойной инфекции; квалифицированном консервативном и оперативном лечении ран, ожогов и местных гнойно-воспалительных процессов, которое включает обязательные меры повышения иммунно-биологических свойств организма; строжайшем соблюдении правил асептики (смотри полный свод знаний) и антисептики (смотри полный свод знаний) при хирургических операциях, инфузионной терапии, подкожных и внутримышечных инъекциях, при проведении искусственного дыхания, внутрисосудистых исследованиях и проведении интенсивной терапии; профилактике возникновения аллергических болезней (смотри полный свод знаний) при назначении лекарственных средств.

Особенности некоторых разновидностей сепсиса, обусловленные локализацией первичного септического очага

Ротовой сепсис (синонимы: стоматогенный сепсис). Причинами его возникновения являются верхушечный периодонтит, на долю которого приходится более 50% всех очагов ротового Сепсис, хронический пульпит, не удалённые околокорневые гранулемы, патологический зубодесневой карман, остеомиелит челюсти, гайморит и другие Патогенное действие зубного очага хронического воспаления связано с его сенсибилизирующим действием, обусловливающим развитие инфекционно-аллергических заболеваний стрептококковой (вероятно, аутоаллергенной) этиологии, а также аллергических реакций на лекарственные вещества, вводимые в полость зуба.

Для ротового Сепсис, протекающего хронически, характерны субфебрильная температура тела, несоответствие субъективных симптомов более выраженным объективно регистрируемым нарушениям, чувствительность к метеофакторам и неподатливость к действию лекарственных средств, в том числе антибиотиков. При длительном существовании очага поражаются сердце, почки, суставы и другие Очаг в полости рта поддерживает затяжное, часто рецидивирующее течение ревматизма (смотри полный свод знаний), с относительно ранним поражением миокарда и склонностью к формированию пороков сердца (смотри полный свод знаний).

Диагностика ротового Сепсис основывается на его клинической картине и оценке показателей, характеризующих сенсибилизацию организма. Выявлению стоматогенного очага способствует электрометрия, определяющая омертвение пульпы, и рентгенография (смотри полный свод знаний: Зубы, методы исследования), обнаруживающая деструкцию около-верхушечных тканей зуба, корневой канал которого не запломбирован, или запломбирован частично. Иногда при рентгенографии обнаруживается костный патологический карман.

Лечение наряду с общим лечением Сепсис предусматривает радикальное устранение всех выявленных очагов. Зубной очаг хронического воспаления ликвидируют удалением зуба (смотри полный свод знаний: Удаление зубов) или путём эндоканального его лечения, очаг лекарственной сенсибилизации — удалением лекарства-аллергена. При хроническом септическом состоянии, висцеральных инфекционно-аллергических заболеваниях и лекарственной сенсибилизации своевременное устранение очагов весьма эффективно. На течение аутоаллергических заболеваний устранение очага заметного влияния не оказывает.

Профилактика формирования очагов хронического воспаления в зубах и пародонте обеспечивается систематической санацией полости рта (смотри полный свод знаний).

Отогенный сепсис встречается относительно часто (примерно у 3—4% больных, оперированных по поводу гнойных заболеваний уха). Возбудителями отогенного сепсиса, как правило, являются гемолитические стрептококки и плазмокоагулирующие стафилококки, часто в сочетании с другими микробами (пневмококками, кишечной палочкой, протеем и другие); нередко встречаются анаэробы и вирусы, а также микоплазмы.

В патогенезе отогенного Сепсис существенное значение имеют анатомотопографические особенности уха, особенно наличие рядом с ним синусов твёрдой мозговой оболочки. Тонкие костные стенки полостей среднего и внутреннего уха на относительно большом протяжении граничат с твёрдой мозговой оболочкой и с венозным сигмовидным синусом. В этих стенках имеется большое количество отверстий и каналов для кровеносных и лимфатических сосудов, нервов, лабиринтной жидкости. Возникновение отогенного Сепсис чаще всего связано с тромбофлебитом сигмовидного синуса, реже поперечного, очень редко верхнего и нижнего каменистых и кавернозного синусов, развившегося на почве гнойного отита (смотри полный свод знаний). В этих случаях возбудители инфекции распространяются из гнойного очага в среднем ухе контактным или сосудистым путём на синус, обусловливая возникновение перифлебита, флебита, а затем и тромбоза синуса (смотри полный свод знаний: Тромбоз, сосудов головного мозга) с развитием сепсиса. При разрушении гнойным процессом задних отделов среднего уха вокруг сигмовидного синуса может образоваться так называемый перисинуозный абсцесс. Синус-тромбоз и сепсис могут развиться также при фурункуле слухового прохода, лица и черепа, ранах и роже той же локализации. Гнойное метастазирование при отогенном Сепсис возможно внутрь черепа, в глазницу, придаточные пазухи носа, глотку, лёгкие, средостение, сердце, в органы живота, мышцы, суставы, подкожную клетчатку.

Для клинической картины отогенного Сепсис в фазе пиемии характерно повышение температуры тела до высоких цифр (40°) с ознобом и критическое её падение, тахикардия. Иногда наблюдается постепенное нарастание температуры без критического её падения и ознобов. Для отогенной септицемии, которая обычно сочетается с тяжёлым синус-тромбозом, более характерны высокая (до 40°) температура постоянного типа без ознобов, быстро наступающие септические изменения внутренних органов (печени, почек, эндокарда, кишечника и другие) и развитие всей симптоматики острого Сепсис, который нередко заканчивается смертью.

Под влиянием антибактериальных препаратов клиническая картина отогенного Сепсис может оказаться стёртой, могут наступать длительные ремиссии, симулирующие выздоровление. Иногда встречается афебрильный тромбоз синуса и негнойные осложнения, такие как ограниченный энцефалит (смотри полный свод знаний: Энцефалиты), арахноидит (смотри полный свод знаний), гидроцефалия (смотри полный свод знаний) с отёком мозга (смотри полный свод знаний: Отёк и набухание головного мозга).

Местно, в септическом очаге, обнаруживается картина хронического или острого среднего отита и нередко болезненная припухлость (отёчность, инфильтрация) мягких тканей заднего края сосцевидного отростка (симптом Гризингера). Последний указывает на вовлечение в процесс задних клеток сосцевидного отростка и стенки синуса с образованием перисинуозного абсцесса. Отёчность и инфильтрация могут распространяться вниз по ходу яремной вены, что указывает на возможное воспаление её стенок или тромбоз. По ходу яремной вены прощупываются увеличенные и болезненные лимфатических, узлы. Появление боли в ухе может быть обусловлено острым процессом в полостях среднего уха или наличием перисинуозного абсцесса; болевые ощущения в шее могут зависеть от флебита яремной вены, мелких и глубоких вен в боковых и задних отделах шеи.

Диагноз отогенного Сепсис устанавливается на основании общих и местных симптомов заболевания. При подозрении на отогенный Сепсис через каждые 3 часа (кроме периода сна) измеряют температуру тела больного; на высоте подъёма температуры берут кровь из вены на наличие микрофлоры. Проводят лабораторные исследования функций почек, печени, селезёнки, систематически исследуют лейкоцитарную формулу крови. При тромбозе синуса может быть положительной проба Квеккенштедта (усиление истечения цереброспинальной жидкости при люмбальной пункции после сдавления яремной вены на здоровой стороне). На рентгенограммах височных костей, как правило, выявляется затемнение клеточных структур сосцевидного отростка на стороне поражения, а при хроническом, отите нередко и деструкция кости в аттико-антральной области.

Лечение отогенного Сепсис предусматривает проведение немедленной (по установлении диагноза) операции на среднем ухе и интенсивного общего лечения Сепсис При остром среднем отите производят мастоидотомию (смотри полный свод знаний: Мастоидит), при хроническом — радикальную (общеполостную) операцию на среднем ухе; при обоих видах вмешательств обязательны элиминация очага в среднем ухе и широкое обнажение сигмовидного синуса. С целью диагностики тромба пунктируют синус, направляя иглу кверху и книзу: поступление крови в шприц будет свидетельствовать об отсутствии обтурирующего тромба. При наличии тромба вскрывают синус и удаляют тромб из доступной части синуса. Консервативное лечение включает использование больших доз антибиотиков и других антибактериальных препаратов с учётом чувствительности к ним микрофлоры, а также других средств и методов, исходя из общих правил лечения Сепсис Ежедневно производят перевязки с ревизией операционной раны и обработкой её. Если в течение первых дней такое лечение оказывается недостаточно эффективным, решается вопрос о повторной операции с целью удаления из труднодоступных частей синуса тромба, перевязки яремной вены. При этом обычно возникает необходимость дополнительного снятия костной ткани над поперечным синусом по возможности до края тромба. Некоторые хирурги предпочитают производить такую радикальную операцию сразу при первом вмешательстве, однако убедительных данных преимущества такой тактики не получено.

Профилактика отогенного Сепсис заключается в своевременной ликвидации гнойных очагов в ухе.

Риногенный сепсис обычно возникает как осложнение обострившегося хронического гайморита, этмоидита, фронтита, сфеноидита, реже — острого воспаления придаточных пазух носа, фурункулов и травм носа. Возбудители (такого же характера, как при отогенном Сепсис— см. выше) могут поступать в кровь из очага воспаления контактным путём или по кровеносным и лимфатическим сосудам. Реже возникновение риногенного Сепсис связано с тромбозами. При этом чаще других поражаются(кавернозный синус, венозные сплетения глазницы и крылонёбной ямки, иногда продольный синус, таким образом, те венозные коллекторы, в которые попадает кровь из носа и его придаточных пазух.

Клиническая картина риногенного Сепсис мало чем отличается от отогенного. Местная симптоматика зависит от характера и локализации основного очага инфекции. Нередко имеются лишь обычные симптомы воспаления придаточных пазух носа (смотри полный свод знаний) или фурункула носа (смотри полный свод знаний).

При распространении воспаления на пещеристую пазуху может появиться так называемый симптом очков — синева и пастозность вокруг глаз. При поражении вен глазниц, каменистых синусов нередко отмечаются экзофтальм (смотри полный свод знаний), отёк и инфильтрация мягких тканей глазницы, нарушение функций тех или иных глазодвигательных нервов. Больные часто жалуются на головную боль разлитого характера или боль в области переносицы и затылка.

Диагноз риногенного Сепсис основывается на выявлении местных симптомов заболевания носа и его придаточных пазух и симптомов Сепсис

Лечение состоит в ликвидации оперативным путём очага инфекции и проведении консервативного лечения Сепсис по общим правилам. Операцию на придаточных пазухах носа (смотри полный свод знаний) производят радикально с полным удалением с их стенок слизистой оболочки и формированием широкого соустья с полостью носа.

Профилактика заключается в своевременном лечении заболеваний носа и его придаточных пазух.

Тонзиллогенный сепсис встречается относительно редко. Он возникает обычно как осложнение острого и хронического тонзиллита (смотри полный свод знаний), особенно — паратонзиллярного абсцесса (смотри полный свод знаний: Ангина). Возбудители заболевания в основном такого же характера, как при отогенном Сепсис, клиническая картина также без существенных особенностей.

Диагноз заболевания устанавливают на основании наличия симптомов Сепсис и воспалительных (особенно длительно существующих) процессов в нёбных миндалинах; при этом обращают внимание на обычно имеющиеся особенности течения последнего их воспаления.

В основе лечения тонзиллогенного Сепсис лежит полное удаление нёбных миндалин (смотри полный свод знаний) в сочетании с общим лечением Сепсис Профилактика заключается в своевременной санации очагов гнойной инфекции в миндалинах.

Уросепсис — сепсис, при котором входными воротами для возбудителей инфекции являются почки и мочевые пути. Впервые Вельпо (A. A. L. М. Velpeau), а затем Сивиаль (J. Civiale, 1833—1837) обратили внимание на лихорадочные приступы у больных после катетеризации и оперативных вмешательств на уретре. Ф. Гюйон (1899) определил это состояние как мочевую лихорадку. Он различал две формы данного заболевания — острую и хроническую и отметил, что у одного и того же больного они могут чередоваться.

Возбудителем уросепсиса может быть любая патогенная микрофлора, чаще грамотрицательная (кишечная палочка, синегнойная палочка, протей).

Уросепсис может быть экзогенного и эндогенного происхождения. Экзогенный уросепсис возникает при огнестрельных и закрытых повреждениях почек и мочевых путей, когда вследствие инфильтрации мочой и некроза размозжённых тканей быстро развиваются мочевая флегмона, перитонит и другие гнойно-инфекционные осложнения. Нередко уросепсис наблюдается в связи с эндовезикальными и эндоуретральными манипуляциями (бужирование уретры, цистоскопия, ретроградная пиелография и другие) В этих случаях в патогенезе уросепсиса заметную роль играет травма слизистой оболочки уретры, которая лишена подслизистого слоя и непосредственно контактирует с венозными синусами губчатой части уретры, что способствует возникновению при травме уретровенозного рефлюкса (смотри полный свод знаний) и проникновению в кровь микробов.

Склонность к уросепсису эндогенного происхождения наблюдается у больных с уростазом, обычно имеющих хроническую инфекцию мочевых путей и сниженные иммунобиологические свойства организма. Кроме того, у них в результате лоханочно-чашечной гипертензии образуется лоханочно-венозный шунт, через который в ток крови могут проникать бактериальная флора и токсины. Уросепсисом часто осложняется острый обтурационный пиелонефрит, особенно когда больному проводится антибактериальная терапия при невосстановленном оттоке мочи из почки.

Клиническая картина острого уросепсиса, который встречается наиболее часто, проявляется ремиттирующей лихорадкой с повторными потрясающим ознобом и проливным потом, снижением диуреза, тошнотой, рвотой, резкой слабостью, иногда коллапсом (смотри полный свод знаний). При проведении адекватной терапии в ряде случаев общее состояние больного быстро улучшается. Такой быстро проходящий уросепсис часто возникает после бужирования уретры или цистоскопии (смотри полный свод знаний) и известен под названием мочевой или уретральной лихорадки. В других случаях, несмотря на антибактериальное лечение, появляются гнойные метастатические очаги в почке с развитием апостематозного нефрита (смотри полный свод знаний), карбункула почки (смотри полный свод знаний: Почки) и гнойно-некротического процесса в околопочечной клетчатке (смотри полный свод знаний: Паранефрит). Одновременно могут наблюдаться гнойный цистит (смотри полный свод знаний), острый простатит (смотри полный свод знаний), везикулит (смотри полный свод знаний), тазовая гнойно-некротическая флегмона. Для уросепсиса характерен синдром диссеминированного внутрисосудистого свёртывания (смотри полный свод знаний: Геморрагические диатезы) и гемолиз с нарушением функции печени и почек и развитием печёночно-почечного синдрома (смотри полный свод знаний: Гепато-ренальный синдром). Упорное течение острого уросепсиса обычно обусловлено наличием неликвидированного инфекционного процесса в почке или мочевых путях и часто сопутствует уростазу.

Подострый уросепсис протекает при повышенной температуре тела, другие септические проявления выражены нерезко. Он наблюдается у больных с плохо дренируемым гнойным очагом, а также у больных ослабленных, страдающих сахарным диабетом.

Хронический уросепсис наблюдается часто при наличии хронического гнойного процесса в почке на фоне почечной недостаточности. Острое начало отсутствует. Температура тела субфебрильная с редким повышением до высоких цифр. У больных отмечается быстрая утомляемость, слабость, истощение, нарастает анемия. Течение болезни волнообразное — кратковременное улучшение сменяется ухудшением, что может быть связано с плохо функционирующей нефро или цистостомой, отхождением конкремента, который нарушает отток мочи из почки, и так далее

Диагноз уросепсиса основывается на наличии симптомов Сепсис и гнойно-воспалительных процессов в почках или мочевых путях. Наряду с другими данными для уросепсиса особенно характерно повышенное содержание в крови остаточного азота, мочевины и креатинина, а также лейкоцитурия (смотри полный свод знаний), бактериурия (смотри полный свод знаний), цилиндр ур ия. Существенное значение для диагноза может иметь бактериологическое исследование крови и мочи.

Лечение уросепсиса заключается в срочном удалении или дренировании гнойного очага, восстановлении нарушенного оттока мочи и общем лечении Сепсис При обтурации лоханки почки или мочеточника проводят декапсуляцию почки (смотри полный свод знаний), нефростомию (смотри полный свод знаний), вскрывают гнойнички и рассекают карбункулы почки. При затруднённом опорожнении мочевого пузыря (например, при опухоли или абсцессе предстательной железы, травматическом повреждении или рубцовой стриктуре уретры) показано отведение мочи через надлобковый мочепузырный свищ (смотри полный свод знаний: Цистотомия). Антибактериальную терапию проводят только при восстановленном оттоке мочи по общим правилам лечения G. Не всегда микрофлора в мочевых путях и ткани почки бывает идентична, поэтому во время операции на почке производят её биопсию и берут мазки из почечной ткани и лоханки для бактериологического исследования и определения чувствительности микрофлоры к антибиотикам. При почечной недостаточности необходима осторожность в выборе антибактериальных средств и их дозировки из-за опасности токсического воздействия некоторых из них на почки и печень. В этом отношении противопоказаны полимиксины, стрептомицины, циклосерин; требуется большая осторожность при применении тетрациклинов, нитрофуранов, пенициллина в больших дозах; предпочтительны пенициллин и его аналоги в обычных дозах, левомицетин, цефалоспорин, невиграмон, 5-нок. При проведении инфузионной терапии особое внимание уделяют предупреждению острой почечной недостаточности и нормализации азотистого обмена.

Профилактикой уросепсиса является быстрое восстановление оттока мочи при обтурационном остром пиелонефрите или острой задержке мочи, дренирование гнойных очагов в почке и мочевых затёков с последующей антибактериальной терапией, использование средств, повышающих иммунологическую реактивность организма.

Акушерско-гинекологический сепсис возникает на фоне первичного воспалительного процесса в женских половых органах. Он может развиться после родов (послеродовой Сепсис) или после аборта (послеабортный Сепсис); в этих случаях физиологические и анатомические изменения в организме женщины, наступающие во время беременности, родов и в послеродовом периоде, обусловливают некоторые особенности клинического течения Сепсис В тех же случаях, когда Сепсис возникает как осложнение гнойных гинекологических заболеваний (например, пиосальпинкса) или после гинекологических операций, он практически не отличается от хирургического Сепсис

Послеродовой сепсис (называвшийся раньше родильной горячкой) вплоть до середины 19 век уносил много человеческих жизней. По данным Леджера (W. J. Ledger), в 50-х годах 19 век от послеродового Сепсис в некоторых акушерских стационарах умирала каждая третья родильница. В 1843 год Холмс (О. W. Holmes) высказал предположение о контагиозности послеродовой лихорадки, а в 1847 год И. Земмельвейс доказал правильность этого предположения практически, значительно снизив летальность от послеродовых инфекционных заболеваний путём внедрения в акушерскую практику обработки рук акушера в антисептическом растворе перед каждым влагалищным исследованием рожениц. Научная разработка вопросов предупреждения послеродовой (как и других видов) инфекции началась после исследований Л. Пастера (1863) и Дж. Листера (1867).

Материнская смертность от акушерско-гинекологического Сепсис резко снизилась (в 10—20 раз) после внедрения в практику сульфаниламидных препаратов и антибиотиков. В нашей стране она стала редким явлением в клинической практике в связи с целенаправленной профилактической работой, осуществляемой женскими консультациями, широкой сетью акушерских стационаров, совершенствованием медицинской помощи беременным, роженицам и родильницам.

Акушерско-гинекологический Сепсис почти всегда вторичное заболевание, которое несёт в себе определённый отпечаток первичного очага (эндометрита, мастита, нагноившейся гематомы влагалища или параметрия и другие). Возбудителями его являются возбудители послеродовых заболеваний (смотри полный свод знаний), для которых характерна полимикробность. В этиологии послеродовых заболеваний все возрастающую роль играют грамотрицательные условно-патогенные бактерии. Золотистый стафилококк является доминирующим возбудителем послеродового мастита, аэробные грамотрицательные микроорганизмы — эндометрита, пиелонефрита, септического шока; перитонит (после кесарева сечения) может быть обусловлен как грамотрицательными, так и грамположительными микроорганизмами, а также их ассоциациями; анаэробные микроорганизмы выявляются при наиболее тяжёлых формах послеродовой гнойно-септической инфекции (септический шок, перитонит).

Акушерско-гинекологический Сепсис может развиться при занесении микроорганизмов из окружающей среды (в основном, госпитальных штаммов) или вследствие активизации собственной патогенной и условно-патогенной микрофлоры макроорганизма. Послеродовой и послеабортный Сепсис— преимущественно раневой. Первичный септический очаг при послеродовом и послеабортном Сепсис в большинстве случаев локализуется в матке, внутри которой после родов и аборта образуется обширная раневая поверхность; особенно благоприятна для инвазии микроорганизмов плацентарная площадка (смотри полный свод знаний), снабжённая многочисленными кровеносными и лимфатическими сосудами. При кесаревом сечении (смотри полный свод знаний) очаг инфекции может развиться также в месте рассечения матки и передней брюшной стенки. Септический очаг может сформироваться вследствие инфицирования разрывов промежности, влагалища, шейки матки, особенно если они остаются нераспознанными и незашитыми. Акушерско-гинекологический Сепсис эндогенного происхождения может возникать при аднексите (смотри полный свод знаний), параметрите (смотри полный свод знаний) и другие, которые, в свою очередь, могут развиваться при попадании микрофлоры из внегенитальных очагов (при гнойном отите, фарингите, аппендиците и другие).

Развитию акушерско-гинекологического Сепсис во время беременности способствуют кольпит, негенитальная бактериальная инфекция, поздние токсикозы беременных, кровотечение из половых органов, сахарный диабет, ожирение, а также проведение внутрисосудистых методов исследования функционального состояния плода, хирургическая коррекция истмико-цервикальной недостаточности; во время родов — преждевременное излитие околоплодных вод с продолжительным безводным промежутком, длительно продолжающиеся роды, многократные влагалищные исследования, родовая травма, акушерские операции, кровотечения из половых органов, проведение внутрисосудистых методов исследования функционального состояния плода и сократительной деятельности матки; в послеродовом периоде — субинволюция матки, задержка частей плаценты, наличие экстрагенитальных очагов гнойной инфекции, анемия, эндокринные заболевания и другие При наличии перечисленных факторов женщин относят к группе высокого риска возникновения послеродовых заболеваний с возможным развитием Сепсис и проводят соответствующие превентивные и лечебные мероприятия. При этом учитывают, что даже у здоровых женщин во время беременности и в ранние сроки послеродового периода наблюдается частичный транзиторный иммунодефицит, а при послеродовых заболеваниях — угнетение иммунной системы.

Акушерско-гинекологический Сепсис может протекать в форме молниеносного, острого, подострого и хронического Сепсис, в фазе септицемии или септикопиемии. Послеродовой сепсис по типу септицемии характеризуется преимущественно ранним (на 2—3-и сутки после родов) началом, высокой температурой тела (до 40—41°), повторным ознобом, быстро нарастающей интоксикацией, тахикардией, олигурией и другими симптомами, свойственными острому Сепсис Местные изменения в области первичного очага инфекции (чаще в матке) могут варьировать от слабых признаков воспаления до тяжёлого эндометрита (смотри полный свод знаний: Метроэндометрит). В связи с широким применением антибиотиков наблюдаются случаи сепсиса с постепенным повышением температуры тела и её значительными размахами в течение суток, единичными приступами озноба, с другими нерезко выраженными клиническими проявлениями. Иногда встречается латентное течение септицемии после родов. Под воздействием адекватной комплексной терапии у родильниц с септицемией обычно быстро достигается положительный эффект. Исключение составляют больные молниеносным сепсисом.

Септикопиемия чаще начинается на 10—17-й день после родов и характеризуется появлением (на фоне септицемии) вторичных септических очагов в различных органах. В сосудах матки и параметрия образуются инфицированные тромбы, при расплавлении которых микроорганизмы поступают в кровоток и заносятся в отдалённые органы, где возникают гнойные метастазы; развивается клиническая картина сепсиса, во многом зависящая от гнойного поражения тех или иных органов.

Послеабортный сепсис, возникающий обычно после внебольничных (так называемый криминальных) абортов, протекает, как правило, более тяжело, чем послеродовой, и отличается менее благоприятными исходами. Септический шок в акушерской практике наиболее часто развивается именно при внебольничных абортах. Крайне редко после внебольничных абортов встречается анаэробный Сепсис, возбудителем которого является преимущественно Clostridium регfringens. Развивается гангрена стенки матки, тяжёлый общий резорбтивно-токсический процесс, обусловленный резорбцией из матки экзотоксинов, продуктов распада задержавшихся в ней частей плодного яйца и тканей самой матки. Характерны быстрое развитие заболевания, триада признаков — желтуха с бронзовым оттенком, гемоглобинемия и гемоглобинурия. Отмечается олигурия, вплоть до анурии (смотри полный свод знаний), цвет мочи — темно-шоколадный или коричневый. Нарастают беспокойство, одышка, отмечается цианоз. В клинической картине доминируют проявления септического шока (смотри полный свод знаний: выше), а затем — острой почечной недостаточности (смотри полный свод знаний).

Диагноз акушерско-гинекологического Сепсис устанавливают на основании общих симптомов Сепсис и клинических проявлений септического очага в половых органах. При подозрении на Сепсис проводят осторожное двуручное исследование (влагалищно-брюшно-стеночное, реже прямокишечно-брюшно-стеночное), осмотр влагалища и шейки матки в зеркалах (смотри полный свод знаний: Гинекологическое исследование). Производят необходимые лабораторные анализы. Клиническое исследование мочи позволяет выявить или исключить пиелонефрит, нередко осложняющий течение послеродового периода, что важно для дифференциальной диагностики. До начала антибактериальной терапии, в процессе лечения и перед выпиской производят бактериологический анализ соответствующего материала — крови, лохий, раневого отделяемого, экссудата, молока, мочи.

При возникновении затруднений в диагностике акушерско-гинекологического Сепсис наряду с традиционными применяют современные аппаратные и инструментальные методы исследования. С целью совершенствования диагностики и прогнозирования послеродовых заболеваний предпринимаются попытки к использованию математических методов с применением ЭВМ.

Дифференциальный диагноз акушерско-гинекологического Сепсис следует проводить с маститом, пиелонефритом, а также с сепсисом другого происхождения (уросепсис, сепсис при инфекционных болезнях и другие). Однако клиническая практика показывает, что большинство случаев высокой лихорадки у родильниц обусловлено послеродовой инфекцией.

Лечение акушерско-гинекологического Сепсис, как и других разновидностей Сепсис, должно быть этиотропным, комплексным, систематическим и активным; его начинают как можно раньше и проводят по общим правилам лечения Сепсис Септический очаг ликвидируют оперативным путём; применяют противобактериальные средства, главным образом антибиотики. Оперативные методы варьируют в зависимости от характера и локализации первичных и вторичных очагов инфекции. При наличии гноя способствуют его эвакуации путём разрезов, дренирования, раскрытия послеоперационной раны. При акушерском перитоните (например, после кесарева сечения), перфорации стенки матки (например, после криминального аборта) показана экстирпация матки (смотри полный свод знаний), при наличии пиосальпинкса (смотри полный свод знаний: Аднексит) — удаление патологически изменённых придатков (смотри полный свод знаний: Маточные трубы; Яичники, операции).

Поскольку выделение и идентификация возбудителей, определение их чувствительности к антибиотикам занимают известное время, антибиотикотерапию начинают исходя из имеющихся сведений о преимущественных возбудителях при различных формах Сепсис с учётом характера первичного очага инфекции. Ориентировочное представление о микроорганизмах, содержащихся в очаге, можно получить с помощью бактериоскопии с окраской по Граму (смотри полный свод знаний: Бактериологические методики, Грама метод). Результаты микробиологического анализа используют для коррекции антибиотикотерапии. Для лечения акушерско-гинекологического Сепсис обычно применяют современные антибиотики широкого спектра действия — полусинтетические пенициллины, аминогликозиды, цефалоспорины. Их назначают в сочетании с противогрибковыми антибиотиками (нистатин). Высокоэффективны сочетания антибиотиков: гентамицин с бензилпенициллином или полусинтетическими пенициллинами, тентамицин с линкомицином, ампициллин с оксациллином. При сепсисе, вызванном неспорообразующими анаэробами, в частности бактероидами, используют линкомицин, левомицетин, эритромицин, рифамлицин или препарат, применяемый для лечения трихомоноза, — метронидазол.

Профилактика акушерско-гинекологического Сепсис сводится к предупреждению послеродовых заболеваний и абортов (особенно внебольничных). В женской консультации выявляют беременных, относящихся к группе высокого риска развития гнойно-инфекционных процессов или уже заболевших, и проводят превентивные и лечебные мероприятия.

Профилактика послеабортного Сепсис предусматривает проведение борьбы с внебольничными абортами (смотри полный свод знаний: Аборт искусственный, криминальный) путём санитарно-разъяснительной работы, пропаганды современных методов контрацепции (смотри полный свод знаний: Противозачаточные средства), а также возможно раннюю госпитализацию и лечение женщин после таких абортов.

Сепсис при инфекционных болезнях. При ряде инфекционных болезней обычное циклическое течение в силу изменённого иммунного •состояния макроорганизма может переходить в септическое, ацикличное. Возбудителями такого Сепсис являются возбудители основного инфекционного заболевания, развивается он по общим законам развития Сепсис, начинаясь с формирования местного септического очага, который обусловливает развёртывание клинической картины Сепсис Возникновение Сепсис при инфекционных болезнях происходит при высокой вирулентности возбудителя и резко нарушенном (извращённом) состоянии гуморального и клеточного иммунитета и неспецифических факторов защиты организма. Поэтому заболевание наблюдается чаще у новорожденных, маленьких детей, стариков, беременных женщин и рожениц, лиц с иммунными и эндокринными заболеваниями. Так, септические формы дизентерии (смотри полный свод знаний), вызванной шигеллами Григорьева — Шиги (смотри полный свод знаний: Шигелла), наблюдаются обычно у истощённых, часто страдающих алиментарной дистрофией (смотри полный свод знаний), жителей Азии и Африки, особенно у детей. В особенно тяжёлых случаях местные клинические проявления инфекционной болезни (а следовательно, и септический очаг) не могут быть обнаружены и заболевание протекает в виде так называемый первичного Сепсис, или они отступают в клинической картине на второй план.

Септические формы могут наблюдаться при многих инфекционных болезнях —, кишечных инфекциях, брюшном тифе (смотри полный свод знаний), роже (смотри полный свод знаний), скарлатине (смотри полный свод знаний), чуме (смотри полный свод знаний), сибирской язве (смотри полный свод знаний), бруцеллёзе (смотри полный свод знаний), менингококковой инфекции (смотри полный свод знаний) и другие Однако в современной клинической практике они наблюдаются крайне редко. Сепсис, обусловленный возбудителями кишечных инфекционных болезней, как правило, начинается с выраженных симптомов острого гастроэнтерита (смотри полный свод знаний) или гастроэнтероколита (смотри полный свод знаний). Затем появляются гектическая лихорадка, ознобы; определяется гепато-лиенальный синдром (смотри полный свод знаний), возможны поражения почек, печени, мозговых оболочек, сердца, надпочечников и другие Течение может быть длительным. Сепсис при неосложнённой роже бывает редко, обычно промежуточным звеном являются подкожные абсцессы, флегмоны, осложняющие рожу. Сепсис при скарлатине в большинстве случаев возникает в связи с возникновением тромбофлебита вен шеи и синусов твёрдой мозговой оболочки. Септическая форма чумы развивается вслед за бубонной формой, но встречается также и при отсутствии бубонов. Сибиреязвенный Сепсис возникает при поражении верхних дыхательных путей, бронхов, пищевода и редко при кожной форме сибирской язвы. Сепсис с образованием метастатических абсцессов и очагов гнойного расплавления в мышцах и внутренних органах типичен для сапа (смотри полный свод знаний) и мелиоидоза (смотри полный свод знаний). Описаны единичные случаи Сепсис, вызванные микоплазмой, гонококками и другие

Некоторые инфекционные болезни (сыпной тиф, холера, висцеральный лейшманиоз и другие) вследствие снижения или извращения иммунобиологической реактивности больного могут осложняться сепсисом, вызванным микроорганизмами, не являющимися возбудителями основного заболевания. У больных брюшным тифом сепсис такого генеза развивается вследствие генерализации микрофлоры из нагноившихся мезентериальных лимфатических, узлов, у других больных вторичная микрофлора поступает из септических очагов в лёгких (например, при пневмонии), мочевыводящих путях (например, при пиелоцистите), коже (например, при пиодермии) и другие В этих случаях заболевание протекает чаще как тяжёлый септико-пиемический процесс.

Диагностика Сепсис при инфекционных болезнях основывается на наличии септических явлений, развившихся на фоне инфекционного заболевания. От сепсиса следует дифференцировать бактериемию, являющуюся непременным звеном патогенеза многих инфекционных болезней (например, брюшного тифа, бруцеллёза, менингококковой инфекции и другие).

Лечение проводится в соответствии с общепринятыми принципами терапии Сепсис

Сепсис у детей

Основной особенностью Сепсис у детей является высокая частота и тяжесть этого инфекционного процесса, связанная преимущественно с транзиторной незрелостью иммунной системы, особенно выраженной в первое полугодие жизни. Любая внутриутробная бактериальная или грибковая флора (смотри полный свод знаний: Внутриутробная инфекция) может приводить к развитию внутриутробного Сепсис; у новорожденных, недоношенных и детей первых трёх месяцев жизни Сепсис встречается чаще, чем у детей другого возрастного периода.

Этиология. Как и у взрослых, Сепсис у детей может вызываться различными микроорганизмами; точно так же весьма разнообразны и ворота для возбудителей инфекции (кожа, полость рта, уши, пупок, лёгкие, кишечник). У новорожденных, реже у грудных детей входными воротами может служить пупочная или операционная рана, а также катетеризированные магистральные вены (в этом случае микрофлора особенно вирулентна и устойчива к большинству антибиотиков). Чаще возбудителями Сепсис у детей являются стафилококки, к которым не вырабатывается иммунитет; кроме того, они способствуют сенсибилизации организма и отличаются устойчивостью к антибиотикам. Организм ребёнка имеет повышенную восприимчивость к действию стафилококкового токсина. Участились случаи Сепсис у детей, вызванные другими микроорганизмами: кишечной палочкой, пневмококком, менингококком, синегнойной палочкой, клебсиеллой, протеем, сальмонеллой, листериями и грибками.

Учащение стафилококковой инфекции у новорожденных в значительной степени объясняется увеличением числа здоровых носителей патогенного стафилококка, особенно среди персонала родильных домов и больниц. Основным резервуаром носительства является слизистая оболочка носоглотки. Источником возбудителя инфекции могут быть также лица из обслуживающего персонала, или матери и дети, больные стафилококковыми заболеваниями. Нередко заражение происходит через предметы ухода, пелёнки, воздушную пыль и другие

Имеет значение анте и интранатальное заражение (смотри полный свод знаний: Антенатальная патология). Антенатальное заражение плода может возникнуть в тех случаях, когда женщина во время беременности перенесла пиодермию, стафилококковую ангину, тяжёлое септическое заболевание с нарушением проницаемости плаценты для кокковой флоры или имеет инфекционные очаги (кариес зубов, хронический отит), сопровождающиеся транзиторной бактериемией. В этих случаях возможна внутриутробная гибель плода или рождение ребёнка с пиодермией или тяжёлыми септическими заболеваниями. Интранатальное заражение плода наблюдается чаще, чем антенатальное; оно происходит при патологических родах, особенно затяжных, с длительным безводным промежутком, при которых применялись оперативные пособия, а также при наличии у роженицы эндометрита, кольпита, пиелоцистита и другие Во время родов создаются условия для восходящего заражения околоплодных вод, плаценты, плода, его оболочек, пуповины, в результате чего, по данным И. А. Штерн, Г. И. Митрофановой, в этих случаях до 40—80% детей родятся заражёнными стафилококками.

В послеродовом периоде (смотри полный свод знаний) уже в первые часы и дни жизни ребёнка его кожа, нос, зев и кишечник заселяются стафилококками: к концу первых суток от 40 до 70% новорожденных становятся носителями патогенных штаммов стафилококка. У 60—80% этих детей после выписки из родильного дома носительство патогенных стафилококков продолжается. Однако в большинстве случаев действие этой микрофлоры не проявляется или ограничивается лишь местными поражениями кожи (везикулопустулез, псевдофурункулез и другие) пупочной ранки (омфалит), конъюнктивы, так как характер и тяжесть инфекционного процесса зависят главным образом от состояния организма ребёнка; при ослаблении его могут формироваться и септические очаги.

Патогенез. Возникновению и развитию Сепсис у детей способствует ряд анатомо-физиологических особенностей их организма: незрелость многих органов и систем, в частности центральная нервная система, слабость иммунобиологических и ферментативных реакций. Большое значение имеет незрелость гипофизарно-адреналовой системы, принимающей участие в адаптационно-обменных процессах. Характерна повышенная проницаемость различных физиологических барьеров — эпителиального, эндотелиального и соединительнотканного, что обеспечивает склонность к генерализации патологических процессов. Способствует тяжести течения Сепсис незрелость выделительного аппарата (почек, лёгких, кишечника), а также сниженная способность печени к детоксикации.

Большую роль в повышении восприимчивости к инфекции вообще, и стафилококковой в частности, у детей первых недель жизни играет иммунологическая недостаточность в периоде новорожденности, о чем свидетельствует более низкое у них, чем у взрослых, количество зрелых Т-лимфоцитов, низкая способность В-лимфоцитов в течение первых двух недель жизни трансформироваться в клетки, продуцирующие антитела, снижение гуморальных факторов иммунитета. У новорожденных (смотри полный свод знаний: Новорожденный) и детей грудного возраста (смотри полный свод знаний: Грудной ребёнок) отмечается также функциональная несостоятельность системы фагоцитоза (незавершённость), низкая хемотаксическая активность нейтрофилов, низкий уровень содержания антитоксина в сыворотке крови. В возрасте от 2 до 6 месяцев у детей отмечается фаза так называемый физиологического иммунодефицита, обусловленная исчезновением материнских антител и недостаточным синтезом собственных. Иммунологическая недостаточность у новорожденных усугубляется также при врождённой или приобретённой гипотрофии (смотри полный свод знаний: Дистрофия) и искусственном вскармливании детей (смотри полный свод знаний).

Патологическая анатомия. У недоношенных, новорожденных и грудных детей Сепсис чаще протекает в фазе септицемии, для которой, кроме наличия септического очага, характерны миелоидная метаплазия и гиперплазия селезёнки, костного мозга, лимфатических, узлов, тимуса. В интерстиции печени, почек, миокарда, лёгких обнаруживается миелоидная инфильтрация, в сосудах — лейкостазы. В микроциркуляторном русле — продуктивные и продуктивно-некротические васкулиты, которые являются источниками геморрагий наряду с такими осложнениями Сепсис, как диссеминированное внутрисосудистое свёртывание. При этом бывает геморрагическая сыпь на коже, кровоизлияния в слизистые и серозные оболочки, в ткань внутренних органов, в полость желудка, кишечника. Отмечается отёк, полнокровие лёгких, головного мозга и его оболочек. В паренхиматозных органах наблюдаются выраженные дистрофические изменения вплоть до некроза отдельных клеток, в слизистых оболочках дыхательных путей и желудочно-кишечные тракта — явления катара, связанные с присоединением вторичной инфекции. Относительно часто, особенно при длительном лечении антибиотиками, встречаются язвенные энтериты и энтероколиты, обусловленные аутофлорой в условиях дисбактериоза (смотри полный свод знаний). Иногда наблюдается желтушное окрашивание кожи как следствие токсического гемолиза эритроцитов и септического гепатита. Решающее значение для патологоанатомического диагноза имеет обнаружение септического очага, особенно если этот очаг сам по себе не играл заметной роли в клинической картине болезни.

Для септикопиемии у детей характерно развитие преимущественно гематогенных метастатических некрозов или абсцессов, в центре которых обнаруживаются бактериальные эмболы. Часто возникают гнойные метастазы в серозные оболочки с развитием гнойного метастатического менингита (смотри полный свод знаний), артрита (смотри полный свод знаний), плеврита (смотри полный свод знаний), перикардита (смотри полный свод знаний), перитонита (смотри полный свод знаний). Как правило, наблюдаются бронхопневмония (смотри полный свод знаний: Пневмония), которая в этих условиях может принимать абсцедирующий характер, а также катаральный или гнойный отит. Септический (инфекционный) полипозно-язвенный эндокардит клапанов аорты наблюдается преимущественно у детей после 3 лет; у грудных детей он является казуистикой. Для него характерны гиперплазия селезёнки, диффузный продуктивный интракапиллярный гломерулонефрит (смотри полный свод знаний), инфаркты в селезёнке, почках, головном мозге. У новорожденных и детей грудного возраста встречается полипозно-язвенный эндокардит трёхстворчатого клапана как следствие тромбофлебита подключичной вены после её катетеризации. При этом наблюдаются тромбоэмболии ветвей лёгочной артерии и некротические или гнойные метастазы в лёгких.

Внутриутробный Сепсис характеризуется наличием септического очага в тканях последа (в пупочном канатике, плодных оболочках, плаценте) в виде абсцессов или диффузной лейкоцитарной инфильтрации. При гематогенном пути заражения наблюдается тромбофлебит пупочной вены с распространением процесса на сосуды системы воротной вены (смотри полный свод знаний: Пилефлебит). У новорожденных или мертворождённых, погибших от внутриутробного Сепсис, наблюдается желтуха (смотри полный свод знаний), выраженный геморрагический диатез, гепатои спленомегалия, при септикопиемии — множественные гнойные или гнойно-некротические метастазы в органах. В метастазах возбудитель обнаруживается, как правило, в большом количестве. Для внутриутробного Сепсис, вызванного листериями (смотри полный свод знаний: Листериоз), типично образование гранулем, для микотического Сепсис характерны некротический энцефалит и множественные некрозы в органах.

По локализации первичного очага у детей чаще наблюдается пупочный, кишечный, лёгочный и кожный сепсис. Пупочный Сепсис— самая частая форма Сепсис у новорожденных и детей раннего грудного возраста. Входными воротами для возбудителей инфекции являются не отпавшая культя пуповины (смотри полный свод знаний), пупочные артерии, пупочная вена (в случаях проведения на ней внутрисосудистых манипуляций) или неполностью эпителизованная гранулирующая поверхность дна пупочной ямки, образовавшаяся после отпадения культи пуповины. Септический очаг может располагаться в дне пупочной ямки, в пупочных артериях или вене. Возможна комбинация одновременного поражения дна пупочной ямки и пупочных сосудов. При локализации септического очага в дне пупочной ямки наблюдается язвенный или язвенно-некротический омфалит (смотри полный свод знаний) вплоть до развития флегмоны передней брюшной стенки (смотри полный свод знаний); изредка встречается продуктивный омфалит с образованием гигантских клеток инородных тел, преимущественно как ответ на инфицирование грибками. В пупочных артериях септический очаг проявляется в виде гнойного или гнойно-продуктивного тромбартериита, причём поражается чаще дистальный отрезок артерии. В пупочной вене (рисунок 5) наблюдается преимущественно продуктивный или гнойно-продуктивный флебит (смотри полный свод знаний), локализующийся у ворот печени (у места стояния конца катетера при внутривенных манипуляциях). Ввиду небольшого объёма септического очага в пупочных сосудах распознаванию его помогает гистологическое исследование и мазки, взятые из просвета сосудов. Метастатические абсцессы при пупочном Сепсис встречаются в печени, лёгких, реже — в почках, надпочечниках. Чаще, чем абсцессы, наблюдаются метастатические гнойные менингиты, а при микотическом пупочном Сепсис — некротические энцефалиты.

Кишечный и лёгочный Сепсис в фазе септицемии встречаются у новорожденных и в раннем грудном возрасте: кишечный — при наличии язвенно-некротического энтерита или энтероколита, лёгочный — при абсцедирующей пневмонии (рисунок 6). Чаще возбудителями являются сальмонеллы, иерсинии, патогенные штаммы кишечной палочки. Кишечный Сепсис может протекать как в фазе септицемии, так и септикопиемии.



Информация об Ordo Deus Перейти в оглавление сайта

Рис. 5.
Микропрепарат пупочной вены новорожденного при пупочном сепсисе (поперечный срез): 1 — зона некроза; 2 — колонии стафилококка; з — зона выраженной инфильтрации стенки вены (гнойно-продуктивный флебит); окраска гематоксилин-эозином; ×160.





Информация об Ordo Deus Перейти в оглавление сайта

Рис. 6.
Макропрепарат лёгкого ребёнка при стафилококковом лёгочном сепсисе (фронтальный разрез): видна картина абсцедирующей пневмонии (I— пневмонические очаги; 2 — полости абсцессов).



Кожный Сепсис развивается при гнойных процессах в коже и подкожной клетчатке.

Клиническая картина. Сепсис у детей (септицемия или септикопиемия) складывается из общих симптомов заболевания и наличия пиогенных очагов. Проявления Сепсис зависят от возраста ребёнка, вирулентности микроорганизма, характера пиогенного очага. Однако среди разнообразных проявлений Сепсис есть такие, которые в той или иной степени характерны для всех разновидностей заболевания.

Внутриутробный сепсис возникает в результате внутриутробного заражения плода. Распознают внутриутробный Сепсис при рождении ребенка, у него обнаруживаются септические явления с наличием желтухи, выраженного геморрагического диатеза, увеличение печени и селезёнки; при септикопиемии нередко диагностируют очаговую пневмонию, менингит, язвенный энтероколит, перитонит, множественные гнойные и некротические метастазы в органах. В более лёгких случаях у ребёнка с внутриутробным заражением в первые часы и дни жизни возникают гнойные поражения кожи стафилококковой этиологии (везикулопустулез, пузырчатка, абсцессы, паронихии), отит, назофарингит, гнойный конъюнктивит, дакриоцистит, инфекционный процесс в пупочной ранке, которые могут привести, к развитию Сепсис Внутриутробный Сепсис нередко приводит к гибели плода.

Сепсис у новорожденных возникает чаще в результате заражения во время и после родов, реже — во внутриутробном периоде. Различают предвестники, ранние симптомы и развёрнутую картину Сепсис Предвестниками являются задержка нарастания веса, запоздалое (позже 10 дней) отпадение пуповины и осложнённое течение заживления пупочной ранки. К ранним симптомам относятся: вялость, отсутствие аппетита, срыгивание, изменение цвета кожи (бледность или бледно-серый цвет, акроцианоз, цианоз носогубного треугольника). Для развёрнутой картины септицемии характерен резкий токсикоз (смотри полный свод знаний: Токсический синдром), острое (иногда молниеносное) течение. Ребёнок быстро теряет в весе, черты лица заостряются, кожа становится восковидной, желтоватой, нередко отмечается желтуха. Нарастают вялость и адинамия, которые в ряде случаев сменяются беспокойством и судорогами. Возникают рвота, понос. Температура тела обычно не достигает высоких цифр, чаще бывает субфебрильной, а в наиболее тяжёлых случаях даже нормальной. Печень часто увеличена; спленомегалия (смотри полный свод знаний), столь характерная для Сепсис взрослых, отмечается у детей в более позднем периоде Сепсис Первоначальная пастозность тканей быстро сменяется общим отёком (смотри полный свод знаний). Иногда развивается склерема (смотри полный свод знаний: Склерема, новорожденных). В тяжёлых случаях развиваются синдром диссеминированного внутрисосудистого свёртывания с точечными геморрагиями и кровоточивостью, сердечно-сосудистая и дыхательная недостаточность. Уже через 7—14 дней могут появиться признаки септикопиемии — метастатические гнойники в костях, суставах, лёгких, среднем ухе, почках, печени, кишечнике и другие, приводящие нередко к летальному исходу. Для септического шока характерно быстро прогрессирующее крайне тяжёлое состояние, серая или мраморная окраска кожи, одышка, нарушение кровообращения, низкий диурез, кровоизлияния на коже и слизистых оболочках, кровоточивость. Коагулограмма (смотри полный свод знаний) в большей степени, чем при сепсисе, типична для синдрома диссеминированного внутрисосудистого свёртывания, в частности резко снижается число тромбоцитов. Нередко обнаруживаются признаки так называемый шокового лёгкого (смотри полный свод знаний: Легкие).

Пупочный Сепсис возникает обычно в конце первой — начале третьей недели жизни. При этом отмечаются позднее (через 10 дней и больше) отпадение пуповинного остатка и замедленная эпителизация пупочной ранки из-за явлений омфалита (смотри полный свод знаний). Часто наблюдаются катаральный омфалит(так называемый мокнущий пупок), пиорея, язва пупка, повторные вскрытия ранки; иногда долго не отпадает кровянистая корочка в центре пупка, свидетельствующая о наличии дремлющей инфекции в пупочных сосудах. Отмечается вздутие живота, отёчность брюшной стенки, расширенные (застойные) вена и артерии в окружности пупка, которые пальпируются в виде утолщённых и напряжённых шнуров (симптом Краснобаева), увеличенные паховые лимфатических узлы.

В связи с учащением заболеваний детей язвенно-некротическими, иногда перфоративными, энтеритом, колитом, энтероколитом, которые вызываются антибиотико-устойчивыми стафилококками, участились случаи кишечного Сепсис Особенно тяжёлые поражения кишечника вызывают стафилококки в ассоциации с вирусами и грибковой флорой, а также при наслоении на другую инфекцию (например, пневмонию, дизентерию и другие).

Поражение желудочно-кишечные тракта стафилококковой этиологии у новорожденных детей является вторичным после таких заболеваний, как стафилодермия, омфалит, гнойный отит, пневмония и другие При кишечном Сепсис состояние ребёнка тяжёлое, выражены явления токсикоза, температура тела повышается, отмечается рвота, учащается стул, испражнения энтеритического (жидкие, водянистые, жёлтого цвета) или энтероколитического (жидкие, с примесью зелени, иногда крови) характера. При перитоните рвота учащается, в рвотных массах появляется примесь кишечного содержимого. Живот резко вздут, напряжён, кожа на нем лоснится, отёчна; перистальтика кишечника не прослушивается.

Сепсис у недоношенных, как правило, связан с осложнённым течением беременности и родов, нередко с внутриутробным заражением плода. Проявления Сепсис у недоношенных детей (смотри полный свод знаний: Недоношенные дети) менее выражены, чем у детей других возрастов, течение болезни более затяжное. Температура тела часто нормальная. В этих случаях Сепсис может быть заподозрен на основании так называемый микросимптомов — необъяснимого снижения массы тела (до 18—22%), наличия пиогенных очагов, вялости, сероватого оттенка кожи, срыгиваний желчью, стула диспептического характера и другие Иногда наблюдается увеличение печени и селезёнки. Пиемические очаги появляются чаще на первом — втором месяце жизни. Чаще отмечаются поражение почек с выраженной гематурией (смотри полный свод знаний), гнойный менингит, парапроктит (смотри полный свод знаний), язвенно-некротический энтероколит, остеомиелит и другие

Сепсис у детей грудного возраста встречается реже, чем у новорожденных и недоношенных. Проявляется он более ярко, чем у недоношенных,— высокой температурой, токсическими явлениями, высоким лейкоцитозом, нейтрофилезом. Наиболее тяжёлое течение наблюдается при бактериальной деструкции лёгких, остром гематогенном остеомиелите.

Сепсис у детей старшего возраста встречается относительно редко; по клиническим проявлениям он мало отличается от сепсиса у взрослых.

Диагноз Сепсис у детей, как и у взрослых, основывается на анализе и сопоставлении имеющихся проявлений заболевания (смотри полный свод знаний: выше) и применении современных лабораторных, аппаратных и инструментальных методов исследования. Диагностике внутриутробного Сепсис могут способствовать данные, полученные при исследовании беременных женщин и рожениц, предварительно отобранных в группу риска по возможному заражению плода, а также гистологическое исследование плаценты. У больных детей производят тщательные поиски пиогенных очагов с помощью рентгеновских методов исследования, иногда пункций с цитологическим и бактериологическим исследованием пунктата.

Дифференциальную диагностику проводят с внутриутробной гипоксией и родовой травмой (смотри полный свод знаний), внутриутробной пневмонией, внутриутробными инфекциями — цитомегалией (смотри полный свод знаний), токсоплазмозом (смотри полный свод знаний), листериозом (смотри полный свод знаний) и другие Ранним дифференциально-диагностическим признаком в этих случаях может служить, в частности, высокая при сепсисе экскреция с мочой дезоксирибонуклеозидов. Тщательная оценка клинических особенностей заболевания, данных клинического исследования крови, биохимических и бактериологических исследований позволяет в большинстве случаев поставить правильный диагноз.

Лечение Сепсис у детей, как и у взрослых, должно быть направлено на ликвидацию септических очагов, проведение противобактериальной и дезинтоксикационной терапии и повышение иммунологических сил больного ребёнка. При хирургическом Сепсис ликвидацию септических очагов осуществляют оперативными методами. Пиогенные очаги, требующие оперативного вмешательства, локализуются чаще всего в лёгких и плевре, брюшине, жировой клетчатке (подкожной, средостения, околопочечной), костях и суставах, ранах и ожоговых поверхностях. Оперативное вмешательство выполняют сразу после выявления очага, так как никакая интенсивная терапия без санации гнойника не принесёт излечения. Хирургическая тактика зависит от возраста ребёнка и характера гнойного процесса.

У новорожденных ограничиваются минимальным объёмом вмешательства. При перитоните лапаротомию целесообразнее производить лишь при обнаружении перфорации. При флегмоне, которая носит в этом возрасте некротический характер, выполняют мелкие разрезы кожи (смотри полный свод знаний: Флегмона, новорожденных). При отите достаточно эффективны парацентез (смотри полный свод знаний) и антропункция (смотри полный свод знаний). Щадящими должны быть и дренирующие операции при остром гематогенном остеомиелите (смотри полный свод знаний). При бактериальной деструкции лёгких, наблюдаемой главным образом у детей первых месяцев жизни, применяют дренирование плевральной полости (смотри полный свод знаний: Аспирационное дренирование) и временную окклюзию бронха (бронхоблокация) поражённой доли. Хороший эффект можно получить при необширной торакотомии (смотри полный свод знаний), при которой производят освобождение лёгкого от спаек и пневмоабсцессотомию.

У детей более старшего возраста для санации гнойных очагов прибегают к более обширным вмешательствам. Радикальной должна быть операция при разлитом перитоните, которую, как правило, оканчивают промыванием брюшной полости антисептическими растворами (смотри полный свод знаний: Перитонеальный диализ). Эффективна санация гнойных очагов в мягких тканях, костях и серозных полостях методами однократного или длительного промывания антисептическими растворами. К таким методам относятся длительное проточное промывание из трепанационных отверстий очагов гематогенного остеомиелита, суставных полостей при гнойном артрите, глубоких пиогенных затёков в мягких тканях, послеоперационных ранах.

В послеоперационном периоде (смотри полный свод знаний) контролируют состояние раны, ищут и санируют возможные новые гнойные очаги.

Общее лечение Сепсис у детей должно быть многоплановым. Антибактериальную терапию проводят с учётом данных микробиологического исследования крови, пунктата, гноя из очага, раскрытого во время оперативного вмешательства, и другие Основными принципами назначения антибиотиков должны быть рациональное сочетание и своевременная замена одних другими. Длительность каждого курса не должна превышать 10—14 дней. Лучшими сочетаниями являются эритромицин с мономицином, эритромицин со стрептомицином, олеандомицин с тетрациклином, олететрин с сигмамицином. Пенициллин в обычных терапевтических дозировках без сочетания с другими антибиотиками не должен применяться при стафилококковой инфекции, так как почти 80% стафилококков устойчивы к нему, однако имеется положительный опыт применения больших доз пенициллина (200 000 ЕД на 1 килограмм веса в сутки в 3—4 инъекциях, курс 5—7 дней) при тяжёлых формах стафилококкового Сепсис Эффективны полусинтетические пенициллины (метициллин, оксациллин, орбенин, целбенин), которые не инактивируются пенициллиназой стафилококка. С целью профилактики грибковой инфекции при длительной антибиотикотерапии (свыше 2—3 недель) назначают нистатин.

Необходимость длительной инфузионной терапии вынуждает катетеризировать центральные вены (смотри полный свод знаний: Катетеризация вен пункционная). Это позволяет восстановить водноэлектролитный баланс, обеспечить парентеральное питание, вводить лекарственные средства и другие

С целью детоксикации вводят низкомолекулярные растворы (реополиглюкин, гемодез), проводят форсированный диурез; хороший лечебный эффект получен при гемосорбции (смотри полный свод знаний: т. 10, доп. материалы). Назначают питье 5% раствора и ежедневное внутривенное введение 20% раствора глюкозы, через день вливают плазму, раствор Рингера и другие в течение всего периода токсикоза. В начальной стадии токсикоза проводят гормонотерапию (преднизолон по 1 миллиграмм на 1 килограмм веса в сутки, в течение 5— 6 дней и другие). При резко выраженном токсикозе используют нейролептические средства (аминазин и другие).

Для повышения иммунобиологических сил организма назначают переливание крови, вливание плазмы, гамма-глобулина; проводят гемотерапию; назначают витамины В12, В1, В2, В6, С, нуклеиновокислый натрий, пентоксил и другие В качестве специфической иммунотерапии (смотри полный свод знаний) используют (в зависимости от этиологического фактора) стафилококковый гамма-глобулин, стафилококковую плазму, плазму, содержащую антитела против синегнойной палочки, колибактерий, нативный стафилококковый анатоксин (у детей после 3 недель жизни) и другие С целью гипосенсибилизации организма назначают димедрол или пипольфен.

Для профилактики и лечения синдрома диссеминированного внутрисосудистого свёртывания вводят гепарин с таким расчётом, чтобы обеспечить увеличение времени свёртывания крови в два раза по сравнению с временем свёртывания у здорового ребёнка.

С первых дней лечения назначают сердечные средства: при выраженной тахикардии — строфантин с глюкозой внутривенно, не более 2 раз в сутки, кордиамин подкожно 2—3 раза в день (при наличии показаний можно чаще), при вялости ребёнка — кофеин внутрь или подкожно 2—3 раза в день.

В борьбе с дыхательной недостаточностью ведущее место занимают аэротерапия (смотри полный свод знаний) и кислородная терапия (смотри полный свод знаний). У новорожденных и недоношенных при резкой дыхательной недостаточности начинают с оксигенотерапии (дача увлажнённого кислорода через аппарат Боброва, применение кислородной палатки и другие), а затем переходят к аэротерапии.

Аэротерапию в зимнее время проводят в условиях утеплённых веранд или прогулочных комнат; время пребывания в них постепенно увеличивают (с 15—25 минут до 1—2 часов, 2—3 раза в день).

При стафилодермиях (везикулопустулез, абсцессы кожи) используют физиотерапевтические методы (УФ-облучение, УВЧ, лечебные ванны и другие). Физиотерапевтические методы применяют также при тенденции пневмонии к затяжному течению, для ускорения рассасывания плеврокостальных наложений, при заболеваниях пупочной ранки (мокнущий пупок, омфалит) и другие

Большое значение имеют правильное вскармливание и уход за детьми (смотри полный свод знаний: Грудной ребёнок), так как эти факторы являются одними из ведущих в повышении сопротивляемости организма ребёнка. При резко выраженной дыхательной недостаточности кормление следует проводить сцеженным грудным молоком с ложечки. Ограничение количества пищи производится только при диспептических расстройствах.

Прогноз при Сепсис у детей зависит от вирулентности возбудителей, состояния иммунобиологических сил и возраста ребёнка, своевременности и адекватности лечения. При современных методах диагностики и лечения Сепсис прогноз улучшается, однако остаётся ещё серьёзным, особенно у новорожденных и ещё более у недоношенных.

Профилактика Сепсис у детей начинается в женской консультации во время наблюдения за беременной женщиной (смотри полный свод знаний: Патронаж). Беременной рекомендуют полноценное питание, витамины, соблюдение режима и достаточное пребывание на свежем воздухе, что способствует поддержанию иммунитета; выявляют гнойные заболевания и своевременно назначают комплексное лечение.

В родильном доме в меры профилактики включают строгое соблюдение санитарно-гигиенического и противоэпидемического режима. Новорожденных и их матерей обеспечивают индивидуальными комплектами белья и одеял. Сотрудников, заболевших острыми респираторными, гнойно-воспалительными и другими заболеваниями, отстраняют от работы; родильниц и новорожденных с этими заболеваниями изолируют. Персонал и больные в целях предупреждения рассеивания микробов при кашле, чиханье и разговоре пользуются полимерными масками. Проводят борьбу с носительством полигенных штаммов стафилококка у медицинского персонала. Для создания достаточно напряжённого активного антитоксического иммунитета против стафилококка беременным группы риска (с 32-й недели беременности) вводят стафилококковый анатоксин.

После выписки из родильного дома профилактические мероприятия проводят участковый врач и патронажная сестра, которые следят за организацией и правильным проведением вскармливания и соблюдением санитарно-гигиенического режима, а также за своевременным выявлением и лечением гнойные очагов местной локализации.

Гуртовой Б.Л.; Золотарев И.И.; Ивановская Т.Е.; Каем Р.И.; Лыткин М.И.; Мишарев О.С.; Овруцкий Г.Д.; Пальчун В.Т.; Покровский В.И.; Саркисов Д.С.; Таболин В.А.; Цивильно М.А.

⇐ Перейти на главную страницу сайта

⇑ Вернуться в начало страницы ⇑

Библиотека Ordo Deus ⇒

⇐ Сенестопатии

⇓ Полный свод знаний. Том первый А. ⇓

Сердечная астма ⇒

Все статьи в полном изложении, Вы можете найти в большой медицинской энциклопедии — Главный редактор: академик АН СССР (РАН) и АМН СССР (РАМН) Б.В. Петровский. — Москва издательство «Советская энциклопедия» 1989г.

Внимание! Вы находитесь в библиотеке «Ordo Deus». Все книги в электронном варианте, содержащиеся в библиотеке «Ordo Deus», принадлежат их законным владельцам (авторам, переводчикам, издательствам). Все книги и статьи взяты из открытых источников и размещаются здесь только для чтения.

Вся информация на сайте Ordo Deus находится в свободном доступе. Ordo Deus не предоставляет информацию на платной основе.

Все авторские права сохраняются за правообладателями. Если Вы являетесь автором данного документа и хотите дополнить его или изменить, уточнить реквизиты автора, опубликовать другие документы или возможно вы не желаете, чтобы какой-то из ваших материалов находился в библиотеке, пожалуйста, свяжитесь с нами по e-mail:
info @ ordodeus. ru
Формы для прямой связи с нами находятся в нижней части страниц: контакты и устав «Ordo Deus», для перехода на эти страницы воспользуйтесь кнопкой контакты вверху страницы или ссылкой в оглавлении сайта.

Вас категорически не устраивает перспектива безвозвратно исчезнуть из этого мира? Вы не желаете закончить свой жизненный путь в виде омерзительной гниющей органической массы пожираемой копошащимися в ней могильными червями? Вы желаете вернувшись в молодость прожить ещё одну жизнь? Начать всё заново? Исправить совершённые ошибки? Осуществить несбывшиеся мечты? Перейдите по ссылке: «главная страница».

© Ordo Deus, 2010. При копировании ссылка на сайт http://www.ordo-deus.ru обязательна.