Спина бифида

Оглавление

  1. Дорога к бессмертию
  2. Бессмертие и религия
  3. Философия бессмертия
  4. Бессмертие и наука
  5. История анабиоза
  6. Смерть
  7. Кора головного мозга
  8. Бессмертие и анабиоз
  9. Анабиоз, медицина и биология
  10. Анабиоз и экономика
  11. Анабиоз и закон
  12. Анабиоз в Антарктиде
  13. Техническое обеспечение анабиоза
  14. Бессмертие и вера
  15. Библиотека Ordo Deus
  16. Контактная страница Ordo Deus

Спина бифида

Спина бифида (латынь spina шип, позвоночный столб + bifidus разделенный надвое, расщепленный) — порок развития позвоночника, характеризующийся незаращением позвонков и неполным закрытием позвоночного канала, часто сопровождающийся пороком развития спинного мозга. Спина бифида нередко сочетается с дисплазией внутренних органов и других отделов скелета.

Спина бифида может наблюдаться в различных отделах позвоночника, однако чаще всего в пояснично-крестцовом отделе. Дефекты в позвоночнике могут сочетаться с грыжевыми выпячиваниями спинного мозга и его оболочек (смотри полный свод знаний: Спинной мозг, пороки развития).

В 1641 год Тульпиус (N. Tulpius) впервые описал больного с опухолью на спине на месте незаращения позвонков и назвал это заболевание «spina bifida». Расщепление позвоночника без грыжевого выпячивания в 1875 год описал Р. Вирхов. Эта патология названа им скрытой позвоночной расщелиной (spina bifida occulta). Было установлено, что расщепленными могут быть дуги позвонков (spina bifida posterior) либо тела позвонков (spina bifida anterior).

Этиология и патогенез Спина бифида окончательно не выяснены. Существует мнение, что в возникновении этой патологии играют роль инфекция, травма, интоксикация в период внутриутробной жизни плода. К факторам риска относят возраст матери, особенно после 30 лет, гинекологическое заболевания, применение противозачаточных средств, злоупотребление алкоголем в первые месяцы беременности. Предполагают, что в основе этого порока развития лежат наследственные факторы. В отношении механизма развития Спина бифида существуют две точки зрения. Одни исследователи считают первичным порок развития нервной трубки и гидроцефалию; другие полагают, что вначале появляется порок развития мезобласта либо позвоночника на более поздних этапах развития зародыша, а формирование порока развития спинного мозга происходит вторично.

Классификации Спина бифида основаны на результатах патологоанатомических исследований. Наиболее полная и подробная классификация дана Ф. Реклингхаузепом. В настоящий, время в зависимости от степени недоразвития позвоночника, спинного мозга, его оболочек, покровных тканей различают следующие анатомические формы этого порока развития: рахисхизис (полный или частичный), спинномозговые грыжи, spina bifida complicata, spina bifida occulta, spina bifida anterior. Основным морфологический признаком рахисхизиса является незаращение мягких тканей, позвоночника, мозговых оболочек и спинного мозга (рисунок 1). Не сомкнувшийся в трубку спинной мозг лежит обнаженным; он представляет собой красноватую бархатистую плоскую массу, состоящую из большого количества расширенных сосудов и элементов мозговой ткани. При полном рахисхизисе описанная картина наблюдается на протяжении всего позвоночника, частичный рахисхизис обычно локализуется в поясничном отделе позвоночника. На месте дефекта дуг позвонков располагается не закрывшаяся в трубку зародышевая нервная пластинка — сосудисто-мозговая область (area medullovasculosa), которая лежит на мягкой оболочке спинного мозга. Участок последней от её края до края кожи, покрытый тонким слоем эпидермиса, был назван эпителиосерозной зоной (zona epithelioserosa). Кнаружи от этой зоны располагается кожа — кожная зона (zona dermatica). Если в субарахноидальном (подпаутинном) пространстве скапливается цереброспинальная жидкость, может возникнуть спинномозговая грыжа — миеломенингоцеле. Рахисхизис может сочетаться с расщеплением тел позвонков. При рахисхизисе, особенно полном, часто встречаются пороки развития головного мозга и других органов.

Спинномозговые грыжи представляют собой грыжевидные выпячивания мозговых оболочек, нервных корешков или спинного мозга через щель позвоночника. В зависимости от состава грыжевого выпячивания и расположения цереброспинальной жидкости (между оболочками спинного мозга или в центральном канале) различают несколько форм спинномозговых грыж: Менингоцеле, менингорадикулоцеле, миеломенингоцеле, миелоцистоцеле (смотри полный свод знаний: Спинной мозг, пороки развития).

Spina bifida complicata — незаращение дуг позвонков, сочетающееся с разрастаниями жировой и фиброзной ткани, а также опухолью типа липомы, фибромы и другие Последние располагаются под кожей, выполняют дефект в дугах позвонков, могут прорастать мозговые оболочки и срастаться с корешками спинномозговых нервов и спинным мозгом.

Spina bifida occulta — скрытая щель дуг позвонков. Локализуется чаще в области I крестцового позвонка. Концы незаращённой дуги нередко бывают вдавлены в просвет позвоночного канала и вызывают компрессию его содержимого. На уровне незаращения дуг могут выявляться различные патологический образования в виде фиброзных тяжей, а также состоящие из хрящевой и жировой ткани. Обнаруживают изменения и внутридурального мешка — необычно низкое расположение спинного мозга, разрастание жировой и фиброзной ткани, арахноидит.

Spina bifida anterior — незаращение тел позвонков. Встречается редко, является в основном рентгенологическое находкой. Локализуется чаще в нижних шейных и верхних грудных позвонках. Незаращение тел позвонков может сопровождаться расщеплением спинного мозга, грыжевидным выпячиванием мозговых оболочек, корешков и спинного мозга в грудную или брюшную полость.

Клиническая картина при Спина бифида складывается из местных изменений и неврологический расстройств. На уровне незаращения дуг позвонков имеется грыжевидное выпячивание, которое с возрастом ребёнка может увеличиваться в размерах. При этом покровы его истончаются, изъязвляются, возникают ликворные свищи. При скрытой форме Спина бифида кожа на уровне незаращения дуг позвонков может быть совершенно нормальной, либо имеются гипертрихоз (смотри полный свод знаний), рубцовые изменения, хвостовидные образования и другие Неврологический нарушения чаще всего связаны с поражением нижнего отдела спинного мозга и конского хвоста, могут встречаться в различных сочетаниях. Отмечаются вялые парезы или параличи нижних конечностей с атрофией мышц, расстройства чувствительности в зоне иннервации крестцовых, реже — поясничных корешков. Наиболее часто отмечаются нарушения функции тазовых органов: недержание мочи и кала, паралитические запоры, задержка мочеиспускания. Могут выявляться трофические и вазомоторные нарушения нижних конечностей. Отмечается понижение или отсутствие рефлексов (коленных, ахиллова, подошвенных), а также кремастерного и анального. Скрытая форма Спина бифида чаще протекает бессимптомно, однако при ней могут наблюдаться как симптомы выпадения, так и симптомы раздражения нервной системы в виде пояснично-крестцовых болей, гиперестезий, парестезий на нижних конечностях, ночного недержания мочи, императивных позывов к мочеиспусканию. При Спина бифида нередко наблюдаются различные деформации стоп, чаще косолапость. Цереброспинальная жидкость при скрытой форме Спина бифида имеет нормальный состав.

Диагноз. Скрытую позвоночную расщелину (spina bifida occulta), как и расщепление тел позвонков (spina bifida anterior), выявляют главным образом с помощью рентгенологическое исследования. Большие дефекты, сопровождающиеся выпадением содержимого позвоночного канала, могут быть заподозрены при клинические обследовании больного.

Локализация расщелины в теле или дуге позвонка может быть самой различной (рисунок 2). Рентгенологически легче распознаются расщелины, ориентированные в сагиттальной плоскости, которые лучше видны на рентгенограмме в прямой проекции. Расщелины в боковых отделах дуг и тел видны на рентгенограммах в боковой проекции, а иногда только на томограммах. При локализации в телах позвонков (spina bifida anterior) щель делит тело позвонка на две части, каждая из которых имеет на рентгенограмме в прямой проекции клиновидную форму. Чаще обе части тела позвонка расположены симметрично, напоминают по виду крылья бабочки — так называемый бабочковидный позвонок. Однако клиновидные части тела позвонка могут быть и асимметричными (рисунок 3). В процессе роста тела соседних позвонков приспосабливаются к форме аномальных позвонков.

Чаще встречаются дефекты в дугах позвонков, особенно нижних поясничных и крестцовых. Наиболее типично незаращение дуги по средней линии с расщеплением и недоразвитием, а иногда и отсутствием остистого отростка. Эта локализация Спина бифида легко выявляется на рентгенограмме в прямой проекции (рисунок 4). Реже расщелина локализуется в дуге между суставными отростками с одной или с обеих сторон — спондилолиз (рисунок 5). Диагностика Спина бифида этой локализации сложна, если она не сочетается со спондилолистезом (смотри полный свод знаний). При подозрении на спондилолиз обязательна рентгенография в двух проекциях, а при недостаточной информативности рентгенограмм необходимо томографическое исследование в боковой проекции (смотри полный свод знаний: Томография).



Информация об Ordo Deus Перейти в оглавление сайта

Рис. 1.
Схематическое изображение поперечного разреза позвоночника при рахисхизисе: 1 — кожная зона; 2 — эпителиосерозная зона; 3 — сосудисто-мозговая область; 4 — твердая оболочка спинного мозга; 5 — паутинная оболочка; 6 — мягкая оболочка спинного мозга; 7 — дуга позвонка; 8 — тело позвонка.





Информация об Ordo Deus Перейти в оглавление сайта

Рис. 2.
Схематическое изображение различных видов врождённых расщелин позвонка: 1,2 — задние; 3, 4 — боковые; 5, 6, 7 — передние.





Информация об Ordo Deus Перейти в оглавление сайта

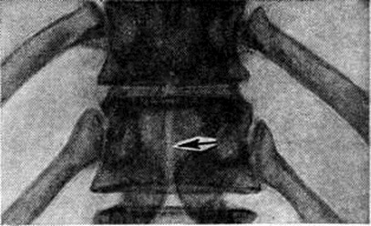
Рис. 3.
Томограмма части поясничного отдела позвоночника при spina bifida anterior (прямая проекция): тела III и IV поясничных позвонков имеют широкие передние расщелины (указаны стрелками).





Информация об Ordo Deus Перейти в оглавление сайта

Рис. 4.
Рентгенограмма части грудного отдела позвоночника при незаращении заднего участка дуги с отсутствием остистого отростка (прямая проекция): зона незаращения заднего участка дуги указана стрелкой.





Информация об Ordo Deus Перейти в оглавление сайта

Рис. 5.
Рентгенограмма части поясничного отдела позвоночника (прямая проекция) с симметричными расщелинами (указаны стрелками) в боковых участках дуг IV поясничного позвонка.





Информация об Ordo Deus Перейти в оглавление сайта

Рис. 6.
Рентгенограмма пояснично-крестцового отдела позвоночника при резко выраженной spina bifida: просветление на уровне тел поясничных позвонков и в средней части крестца обусловлено отсутствием задних отделов дуг, остистых отростков и задней стенки крестцового канала.



При выраженных нарушениях развития дуг позвонков на рентгенограммах обнаруживают их обширные дефекты с отсутствием изображения остистых отростков, задних отделов, а иногда и суставных отростков и даже ножек дуг (рисунок 6). Обнаружение Спина бифида должно побудить к поиску других проявлений спондилодисплазии (локальных сужений позвоночного канала, межпозвоночных отверстий, вариантов расположения суставных отростков, деформации тел позвонков, чаще клиновидной, и другие).

Лечение — оперативное вмешательство. При spina bifida complicate удаляют опухолевидные образования и выделяют из них по мере возможности нервные элементы. После иссечения грыжевого мешка закрывают щель в дугах позвонков. Для закрытия дефекта в дугах позвонков общепризнанным стал видоизмененный метод мышечно-фасциальной пластики, предложенный впервые Байером (К. Bayer, 1889). По краям дефекта в позвоночнике выкраивают два фасциальных лоскута полуовальной формы с небольшим слоем мышц. Лоскуты поворачивают на 180° фасцией внутрь и сшивают над культей грыжевого мешка. Этот метод, как правило, препятствует рецидиву спинномозговой грыжи. Заслуживает внимания метод пластики больших расщелин в позвоночнике, особенно в крестцовом отделе, у детей грудного возраста с помощью гомогенной твёрдой оболочки мозга, консервированной замораживанием. Для закрытия дефекта в дугах позвонков применяют также надкостнично-фасциальные лоскуты. полиэтиленовую пленку, протектор из пластмассы АКР-9. Операция при spina bifida occulta сводится к удалению незаращённых и вдавленных в просвет позвоночного канала дуг позвонков и всех патологический образований, находящихся на этом уровне. При подозрении на субдуральные изменения рекомендуется вскрыть твердую оболочку спинного мозга и освободить спинной мозг от спаек, сращений, разрастаний жировой ткани.

Для восстановления нарушенных функций центральная нервная система применяют лечебный физкультуру, грязелечение, общеукрепляющую терапию.

В послеоперационном периоде, особенно после операций по поводу спинномозговых грыж, возможны осложнения: нагноение раны, ликворея с последующим менингитом, скопление цереброспинальной жидкости под кожным лоскутом, пневмония, острое развитие гидроцефалии.

Прогноз зависит от формы и степени тяжести порока. При полном рахисхизисе плоды нежизнеспособны. При спинномозговых грыжах наиболее неблагоприятный прогноз у больных с миелоцеле и миеломенингоцеле и в значительной степени зависит от локализации кисты и состояния спинного мозга. Своевременное и успешное оперативное вмешательство предупреждает развитие осложнений, главным образом восходящую гнойную инфекцию, а также прогрессирование неврологический расстройств; существующие неврологический изменения обычно сохраняются. При других формах Спина бифида, даже с наличием вторичных изменений, оперативные вмешательства дают стойкий положительный эффект, а иногда приводят к полному выздоровлению.

Жарков П.Л.; Ростоцкая P.И.

⇐ Перейти на главную страницу сайта

⇑ Вернуться в начало страницы ⇑

Библиотека Ordo Deus ⇒

⇐ Сперматурия

⇓ Полный свод знаний. Том первый А. ⇓

Спина вентос ⇒

Все статьи в полном изложении, Вы можете найти в большой медицинской энциклопедии — Главный редактор: академик АН СССР (РАН) и АМН СССР (РАМН) Б.В. Петровский. — Москва издательство «Советская энциклопедия» 1989г.

Внимание! Вы находитесь в библиотеке «Ordo Deus». Все книги в электронном варианте, содержащиеся в библиотеке «Ordo Deus», принадлежат их законным владельцам (авторам, переводчикам, издательствам). Все книги и статьи взяты из открытых источников и размещаются здесь только для чтения.

Вся информация на сайте Ordo Deus находится в свободном доступе. Ordo Deus не предоставляет информацию на платной основе.

Все авторские права сохраняются за правообладателями. Если Вы являетесь автором данного документа и хотите дополнить его или изменить, уточнить реквизиты автора, опубликовать другие документы или возможно вы не желаете, чтобы какой-то из ваших материалов находился в библиотеке, пожалуйста, свяжитесь с нами по e-mail:
info @ ordodeus. ru
Формы для прямой связи с нами находятся в нижней части страниц: контакты и устав «Ordo Deus», для перехода на эти страницы воспользуйтесь кнопкой контакты вверху страницы или ссылкой в оглавлении сайта.

Вас категорически не устраивает перспектива безвозвратно исчезнуть из этого мира? Вы не желаете закончить свой жизненный путь в виде омерзительной гниющей органической массы пожираемой копошащимися в ней могильными червями? Вы желаете вернувшись в молодость прожить ещё одну жизнь? Начать всё заново? Исправить совершённые ошибки? Осуществить несбывшиеся мечты? Перейдите по ссылке: «главная страница».

© Ordo Deus, 2010. При копировании ссылка на сайт http://www.ordo-deus.ru обязательна.