Спланхноптоз

Оглавление

  1. Дорога к бессмертию
  2. Бессмертие и религия
  3. Философия бессмертия
  4. Бессмертие и наука
  5. История анабиоза
  6. Смерть
  7. Кора головного мозга
  8. Бессмертие и анабиоз
  9. Анабиоз, медицина и биология
  10. Анабиоз и экономика
  11. Анабиоз и закон
  12. Анабиоз в Антарктиде
  13. Техническое обеспечение анабиоза
  14. Бессмертие и вера
  15. Библиотека Ordo Deus
  16. Контактная страница Ordo Deus

Спланхноптоз

Спланхноптоз (splanchnoptosis; греческий splanchna внутренности + -ptosis падение; синонимы: visceroptosis, смещение внутренних органов, опущение внутренних органов, энтероптоз, болезнь Гленара) — смещение внутренних органов книзу по сравнению с их нормальным положением. От Спланхноптоз отличают вторичное смещение органа (возможное в любом направлении), обусловленное объемными патологический процессами, рубцеванием, интерпозицией органов и другие

Под Спланхноптоз обычно подразумевают опущение органов брюшной полости(смотри полный свод знаний) и забрюшинного пространства (смотри полный свод знаний), хотя возможно смещение легких, сердца и других органов. Спланхноптоз может быть общим и частичным.

В 1761 год Дж. Морганьи писал о различных отклонениях в расположении внутренних органов, а в 90-х годы 19 века Гленар (С. М. F. Glenard) первым описал клинику опущения внутренних органов, назвав его энтероптозом и спланхноптозом.

В этиологии и патогенезе Спланхноптоз могут играть роль аномалии развития органов, ослабление тканей (связок, брыжеек), прикрепляющих органы к задней брюшной стенке, понижение состояния диафрагмы, сужение нижней части грудной клетки, падение тонуса брюшных мышц, быстрое и резкое уменьшение количества жировой ткани в брюшной полости и забрюшинной клетчатке, уменьшение поясничного лордоза, которые нередко обусловлены наследственными и конституционными особенностями организма. Различают конституциональный и приобретенный Спланхноптоз

Конституциональный Спланхноптоз характерен для людей астенической конституции (смотри полный свод знаний), у которых чаще отмечается слабая мускулатура, недостаточность общего тонуса, пониженная упитанность, некоторая неполноценность эластических элементов. Живот при этом принимает характерную форму — так называемый отвислый живот девиц (рисунок 1). Конституциональный Спланхноптоз чаще наблюдается у женщин и высокорослых мужчин.

Приобретённый Спланхноптоз отмечается у очень тучных лиц после резкого похудания, особенно при наличии у них эмфиземы лёгких; у больных с длительно существовавшим асцитом после эвакуации асцитической жидкости; у больных после удаления больших опухолей, кист брюшной полости и другие Особое значение имеет приобретённый Спланхноптоз, развивающийся в связи с ослаблением мышц брюшного пресса после повторных беременностей и родов, чему способствуют слабая подготовка мышц живота в период беременности (особенно в последние её месяцы) и недостаточное их укрепление после родов, а также тяжёлая физическая работа до того, как восстановится нормальный мышечный тонус. При приобретённом Спланхноптоз живот также принимает своеобразную форму (рисунок 2).

Клинические, проявления при слабо выраженном Спланхноптоз чаще отсутствуют. Иногда возникают неопределённые боли в животе, которые проходят в положении лёжа, при подтягивании живота кверху руками или ношении бандажа. При наличии анатомических изменений, связанных со смещением того или иного органа, появляются симптомы нарушения функций этого органа, например, желудка (смотри полный свод знаний: Гастроптоз).

Склонность к запорам, диспептические явления характерны для опущения отделов толстой кишки — колоптоза. При развитии энтероколита запоры чередуются с поносами. Опущение слепой кишки нередко сопровождается чрезмерной её подвижностью (caecum mobile). В этих случаях больных беспокоят постоянное вздутие живота (смотри полный свод знаний: Метеоризм), тупые боли в правой подвздошной области, иногда напоминающие приступ острого аппендицита, явления перемежающейся кишечной непроходимости (смотри полный свод знаний: Непроходимость кишечника) вплоть до заворота подвижной слепой кишки. Значительно чаще встречается опущение более длинной поперечной ободочной кишки, которая к тому же имеет длинную брыжейку и фиксирована в правом (печёночном) и особенно прочно в левом (селезёночном) изгибах. При опущении поперечной ободочной кишки она приобретает U-образную форму, способствующую застою кишечного содержимого. При прогрессировании процесса происходит расширение и удлинение кишки, обусловливающие перемежающуюся кишечную непроходимость, вплоть до полной непроходимости на уровне левого (селезёночного) изгиба, вызванной резким перегибом или заворотом в этом месте чрезмерно длинной поперечной ободочной кишки (синдром Пайра).

Опущение сигмовидной кишки встречается при врождённом её удлинении и при наличии широкой брыжейки. В кишке происходит задержка плотных фекальных масс, отмечаются запоры с выраженным метеоризмом. Конфигурация живота при этом изменяется. В слизистой оболочке кишки развивается воспалительный процесс (смотри полный свод знаний: Сигмоидит), периодически появляются поносы со слизью и кровью. Удлинённая и опущенная сигмовидная кишка временами частично перекручивается, вызывая явления частичной непроходимости кишечника; нередко возникает полный (на 360°) заворот сигмовидной кишки.



Информация об Ordo Deus Перейти в оглавление сайта

Рис. 1.
Внешний вид, женщины с конституциональным спланхноптозом.





Информация об Ordo Deus Перейти в оглавление сайта

Рис. 2.
Внешний вид мужчины с приобретенным спланхноптозом.



Опущение печени (гепатоптоз) встречается относительно редко и наблюдается главным образом у женщин при общем Спланхноптоз Чаще имеет место изолированное опущение левой доли, реже правой доли, ещё реже опущение всей печени. Смещенная печень или её доли деформируются и приобретают значительную подвижность. Небольшой гепатоптоз практически не проявляется. При более значительном гепатоптозе возникают чувство тяжести, боли в правом подреберье, иногда иррадиирующие в плечо, лопатку, позвоночник, которые уменьшаются или проходят при ношении бандажа. Значительное опущение печени проявляется нарушением портального кровообращения и свободного поступления желчи в кишечник.

При опущении селезенки (спленоптозе) она довольно быстро увеличивается в объёме за счёт нарушения оттока крови. Появляются тупые боли в левом подреберье, которые уменьшаются в горизонтальном положении больного.

Диагноз и дифференциальный диагноз Спланхноптоз ставят на основании характерных данных клинического и рентгенологического исследований. Диагностике помогает, в частности, диагностический приём Гленара: врач, стоя сзади от больного, обеими кистями рук, помещенными над его лобком, отдавливает живот кверху; прекращение бывших до этого болей в животе говорит о возможном наличии Спланхноптоз

Рентгенодиагностика Спланхноптоз направлена на установление уровня расположения органов брюшной полости или забрюшинного пространства. Исследования проводят в горизонтальном и вертикальном положениях пациента как в естественных условиях, так и при искусственном контрастировании желудочно-кишечные тракта, печени или почек. При необходимости дополнительно вводят газ в брюшную полость (смотри полный свод знаний: Пневмоперитонеум) или забрюшинное пространство (смотри полный свод знаний: Пневморетроперитонеум).

При опущении желудка (гастроптозе) обнаруживают очень низкое его положение, увеличенные размеры, пониженный тонус, ослабленную перистальтику и обычно замедленную эвакуацию. Большая кривизна желудка располагается на 7—8 сантиметров ниже подвздошного гребня, достигая иногда входа в малый таз. Газовый пузырь удлинен, привратник и луковица (ампула) двенадцатиперстной кишки расположены вертикально, пассаж бария замедлен. Выраженность этих нарушений зависит от степени гастроптоза. Опущение желудка, устанавливаемое рентгенологически, может быть изолированным или сочетанным с опущением привратника и двенадцатиперстной кишки (гастроптоз с пилородуоденоптозом); последний сопровождается значительно меньшими нарушениями моторно-эвакуаторной функции желудка. В случае фиксированного гастроптоза, при котором желудок сращен с нижней частью брюшной стенки, отсутствует смещаемость и обнаруживается деформация стенок желудка, что может быть выявлено в латеропозиции больного на правом боку (смотри полный свод знаний: Полипозиционное исследование).

Низкое положение желудка, не сопровождающееся клинические, проявлениями (как это нередко бывает у астеников), обычно рассматривают как вариант анатомического строения. При гастроптозе обычно обнаруживают опущение и других органов — печени, почек, селезенки, кишечника. Гастроптоз дифференцируют с атонией желудка и его изменениями, возникающими при склеродермии, рубцово-спаечном процессе, после ваготомии и другие

При опущении толстой кишки определяется низкое положение печеночного и селезеночного её изгибов, а также слепой и поперечной ободочной кишок. При этом чрезмерно подвижная слепая кишка может находиться в малом тазу, куда нередко провисает и имеющая вид гирлянды поперечная ободочная кишка (рисунок 3). Рельеф слизистой оболочки остаётся нормальным. Смещаемость кишки при отсутствии спаек не нарушена. В опущенной и удлиненной кишке могут наблюдаться дополнительные петли, перегибы, повышение или понижение тонуса, замедление пассажа содержимого. Задержка контрастного содержимого может достигать 96 часов и более. Опущение отделов кишечника необходимо дифференцировать с их вторичным смещением, обусловленным объемным или рубцово-спаечным процессом в брюшной полости или забрюшинном пространстве.

Опущение почек (нефроптоз) обычно устанавливают уже при обзорной рентгенографии (томографии) забрюшинного пространства. Характер нефроптоза и состояние почек уточняют с помощью контрастного исследования чашечно-лоханочной системы и мочеточников (выделительная или ретроградная урография). По клинические, показаниям производят исследование сосудов почек (рисунок 4), радиоизотопное исследование (смотри полный свод знаний) или компьютерную томографию (смотри полный свод знаний: Нефроптоз). Нефроптоз дифференцируют с врождённой дистопией почки, для которой характерны низкое расположение ночки и короткий мочеточник, лишенный изгибов, свойственных нефроптозу. При компьютерной томографии нередко отмечается значительное уменьшение паранефральной жировой клетчатки, способствующее опущению почки (смотри полный свод знаний: Томография компьютерная).



Информация об Ordo Deus Перейти в оглавление сайта

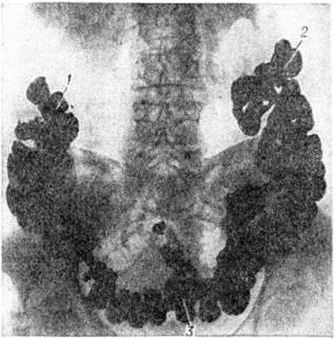
Рис. 3.
Рентгенограмма брюшной полости больного с колоптозом (прямая проекция) после перорального контрастирования толстой кишки: печеночный (1) и селезеночный (2) изгибы ободочной кишки расположены низко, поперечная ободочная кишка (3) провисает в малый таз.





Информация об Ordo Deus Перейти в оглавление сайта

Рис. 4.
Аорта больного с левосторонним нефроптозом (прямая проекция): нижний полюс левой почки (указан стрелкой) достигает уровня подвздошного гребня.



Гепатоптоз обычно сочетается с опущением желчного пузыря и печеночного изгиба толстой кишки. Поэтому его диагностируют при исследовании в вертикальном положении больного по изображению нижнего переднего края печени, а также желчного пузыря и толстой кишки при контрастном их исследовании. Гепатоптоз дифференцируют с истинным увеличением печени и вторичным её смещением книзу, обусловленным интерпозицией толстой кишки между диафрагмой и печенью или объемными патологический процессами в правом верхнем квадранте живота. При необходимости прибегают к радиоизотопному исследованию печени, исследованию её в условиях пневмоперитонеума или к компьютерной томографии.

Лечение Спланхноптоз в основном консервативное. Истощенным больным показаны диетическое питание, общеукрепляющие мероприятия, гидропроцедуры. Диспептические и моторные нарушения со стороны желудочно-кишечные тракта, неврогенные и другие расстройства требуют специального лечения в зависимости от характера нарушений. Состояние больного иногда улучшается при пользовании индивидуальным брюшным бандажом (смотри полный свод знаний), удерживающим отвислый живот.

Особое место в лечении Спланхноптоз занимает ЛФК. Регулярные занятия лечебной физкультурой (смотри полный свод знаний) оказывают общеукрепляющее воздействие, способствуют повышению тонуса мышечной системы, особенно мышц брюшного пресса и тазового дна, тонизируют нервную систему, стимулируют моторную функцию желудка. При Спланхноптоз применяют лечебную гимнастику (смотри полный свод знаний), утреннюю гигиеническую гимнастику (смотри полный свод знаний: Зарядка), неутомительные пешеходные или лыжные прогулки, Плавание и другие

Занятия начинают с исходного положения больного лежа на спине на кушетке с поднятым ножным концом или подложенными под таз подушкой, свернутым одеялом. Используют также положения лежа на животе, на боку, стоя на коленях. На исходное положение стоя переходят после заметного укрепления мышц живота и тазового дна, что достигается упражнениями в виде поворотов, отведений, приведений и вращений бедра, втягивания заднего прохода, ходьбы с напряжением мышц и другие Эти упражнения чередуют с общеукрепляющими и дыхательными. При этом очень полезно использовать диафрагмальное дыхание, сопровождаемое втягиванием живота на выдохе. Движения выполняют в медленном и среднем темпе с большой амплитудой и паузами для отдыха.

В первые две недели проводят одно занятие в день, повторяя каждое упражнение 3—5 раз. Примерно через месяц упражнения и самомассаж живота делают утром и после работы (до ужина или спустя 2 часа после него), число повторений каждого упражнения постепенно увеличивают до 10—15, избегая при этом утомления больного.

Через несколько месяцев систематических занятий можно включать упражнения в положении сидя и стоя, осуществляя переход из положения лежа (сначала в положение сидя, а потом в положение стоя), плавно, с помощью рук методиста. Продолжительность занятий постепенно доводят до 10—20 минут, после чего рекомендуют обтирание прохладной и холодной водой или душ с последующим растиранием тела полотенцем. Желательно также продолжать самомассаж мышц живота. Физические упражнения, вызывающие смещение органов брюшной полости вниз (прыжки, бег, упражнения с натуживанием, резкие наклоны туловища), исключаются.

При осложнениях Спланхноптоз (сращениях, перегибах и заворотах полых органов с явлениями частичной или полной их непроходимости, нарушении кровообращения в смещенных органах и другие) показано оперативное вмешательство. Операцию подшивания органов — спланхнопексию (например, гепатопексию, нефропексию, спленопексию и другие) в настоящий, время производят редко в связи с малой эффективностью.

Прогноз для жизни при неосложнённом Спланхноптоз благоприятный. При осложненном Спланхноптоз прогноз зависит от характера осложнения.

Профилактика Спланхноптоз у детей астенического телосложения заключается в рациональном питании с целью поддержания нормального веса тела, систематических занятиях ЛФК для укрепления мышечной и нервной системы. Взрослым необходимо предотвращать быстрое и чрезмерное похудание. Женщинам, особенно в последние месяцы беременности и после родов, рекомендуются занятия ЛФК и другие мероприятия для укрепления брюшного пресса, при показаниях — ношение индивидуального бандажа.

Илларионов В.П.; Кишковский А.Н. Розанов И.Б.

⇐ Перейти на главную страницу сайта

⇑ Вернуться в начало страницы ⇑

Библиотека Ordo Deus ⇒

⇐ Спирохетозы

⇓ Полный свод знаний. Том первый А. ⇓

Спленомегалия ⇒

Все статьи в полном изложении, Вы можете найти в большой медицинской энциклопедии — Главный редактор: академик АН СССР (РАН) и АМН СССР (РАМН) Б.В. Петровский. — Москва издательство «Советская энциклопедия» 1989г.

Внимание! Вы находитесь в библиотеке «Ordo Deus». Все книги в электронном варианте, содержащиеся в библиотеке «Ordo Deus», принадлежат их законным владельцам (авторам, переводчикам, издательствам). Все книги и статьи взяты из открытых источников и размещаются здесь только для чтения.

Вся информация на сайте Ordo Deus находится в свободном доступе. Ordo Deus не предоставляет информацию на платной основе.

Все авторские права сохраняются за правообладателями. Если Вы являетесь автором данного документа и хотите дополнить его или изменить, уточнить реквизиты автора, опубликовать другие документы или возможно вы не желаете, чтобы какой-то из ваших материалов находился в библиотеке, пожалуйста, свяжитесь с нами по e-mail:
info @ ordodeus. ru
Формы для прямой связи с нами находятся в нижней части страниц: контакты и устав «Ordo Deus», для перехода на эти страницы воспользуйтесь кнопкой контакты вверху страницы или ссылкой в оглавлении сайта.

Вас категорически не устраивает перспектива безвозвратно исчезнуть из этого мира? Вы не желаете закончить свой жизненный путь в виде омерзительной гниющей органической массы пожираемой копошащимися в ней могильными червями? Вы желаете вернувшись в молодость прожить ещё одну жизнь? Начать всё заново? Исправить совершённые ошибки? Осуществить несбывшиеся мечты? Перейдите по ссылке: «главная страница».

© Ordo Deus, 2010. При копировании ссылка на сайт http://www.ordo-deus.ru обязательна.