Оглавление
-
Дорога к бессмертию
-
Бессмертие и религия
-
Философия бессмертия
-
Бессмертие и наука
-
История анабиоза
-
Смерть
-
Кора головного мозга
-
Бессмертие и анабиоз
-
Анабиоз, медицина и биология
-
Анабиоз и экономика
-
Анабиоз и закон
-
Анабиоз в Антарктиде
-
Техническое обеспечение анабиоза
-
Бессмертие и вера
-
Библиотека Ordo Deus
-
Контактная страница Ordo Deus
|
Спондилоартроз
Спондилоартроз (греческий spondylos позвонок (arthron сустав + -osis) — дистрофическое поражение межпозвоночных (дугоотростчатых) и реберно-поперечных суставов. Различают первичный Спондилоартроз, представляющий собой частную форму распространенного дистрофического заболевания костно-суставного аппарата — первичного деформирующего остеоартроза (смотри полный свод знаний: Артрозы), и вторичный Спондилоартроз, развивающийся в итоге перенесенных воспалительных, травматических или врождённых изменений позвонков.
Этиология и патогенез Спондилоартроз аналогичны артрозам других суставов (смотри полный свод знаний: Артрозы).
Морфологически при Спондилоартроз любой этиологии дистрофические изменения начинаются в суставных хрящах межпозвоночных суставов и в прилежащих к ним субхондральных отделах костной ткани, что ведёт к сужению суставных щелей, образованию остеофитов, которые могут оказывать механическое воздействие на корешки спинномозговых нервов и на сосуды, проходящие через межпозвоночные отверстия. Раздражение сосудисто-нервного пучка, лежащее в основе клинические, симптоматики Спондилоартроз, становится особенно выраженным при сочетанном дистрофическом поражении межпозвоночных суставов и меж- позвоночных дисков, что может обусловливать резкое сужение межпозвоночных отверстий.
В шейном отделе позвоночника в связи с особенностями его строения величина межпозвоночных отверстий зависит в значительной мере и от состояния так называемый унковертебральных суставов (суставов Лушки) — своеобразных сочленений между заднебоковыми отделами опорных площадок позвоночных тел. Дистрофический процесс в унковертебральных суставах (унковертебральный артроз) характеризуется частичным внедрением в эти щелевидные сочленения вещества измененного межпозвоночного диска и последующим развитием остеофитов (смотри полный свод знаний).
Клинические, картина Спондилоартроз многообразна. Дистрофический процесс может долгие годы протекать бессимптомно, но у значительной части больных, особенно при поражениях шейного и поясничного отделов, проявляется разнообразными синдромами: вегетативным, нейродистрофическим, сосудистым.
Клиника Спондилоартроз зависит от локализации процесса. Симптомы могут быть местными, чётко связанными с пораженным сегментом позвоночника, и отдаленными, локализованными на некотором расстоянии от позвоночника. При поражении шейного отдела позвоночника (шейный Спондилоартроз, цервикоартроз) первым симптомом обычно является боль, которая появляется или усиливается при движении головой. Боли иногда напоминают приступ мигрени и длятся в отдельных случаях до нескольких дней, сопровождаясь тошнотой и рвотой. Могут быть головные боли в области затылка по типу невралгии большого затылочного нерва. Они охватывают всю затылочную область или бывают односторонними. При пальпации отмечается болезненность в месте выхода большого затылочного нерва. В ряде случаев движения головой сопровождаются хрустом. При осмотре отмечают уменьшение шейного лордоза (смотри полный свод знаний), напряжение шейных мышц, ограничение движений, положительные симптомы натяжения корешков спинномозговых нервов. У больных с шейным Спондилоартроз, особенно в сочетании с остеохондрозом (смотри полный свод знаний), возможны разнообразные болевые ощущения в области шеи и верхних конечностей и синдром позвоночной артерии с признаками вертебробазилярной недостаточности (смотри полный свод знаний: Барре — Льеу синдром).
При Спондилоартроз грудного отдела позвоночника (грудной Спондилоартроз, дорсоартроз) боли локализуются как в месте поражения, так и на отдалении, иррадиируя в различные отделы грудной клетки или верхней половины живота. Они появляются или усиливаются после физических нагрузок, при кашле, чиханье, глубоком дыхании или после длительного пребывания в одном положении. Характерна межлопаточная Симпаталгия, проявляющаяся жгучими, ноющими или тупыми болями между лопаток. Отмечаются также межреберная невралгия, боли в области сердца (псевдоангинозный синдром). При локализации поражения на уровне V—XII грудных позвонков могут наблюдаться функциональные нарушения со стороны органов брюшной полости (желудка, желчного пузыря, толстой кишки). При ощупывании устанавливается болезненность в паравертебральных точках над поражёнными позвонками.
|
Спондилоартроз поясничного отдела позвоночника (поясничный Спондилоартроз, люмбоартроз) характеризуется в основном болями в поясничной и крестцовой областях, нередко иррадиирующими в ногу (люмбоишиалгия), или болями только в ноге (ишиалгия), нарушениями чувствительности, положительными симптомами натяжения корешков спинномозговых нервов (смотри полный свод знаний: Радикулит). При обычно сопутствующем Спондилоартроз остеохондрозе (смотри полный свод знаний) возможна симптоматика острого или хронический люмбаго (смотри полный свод знаний).
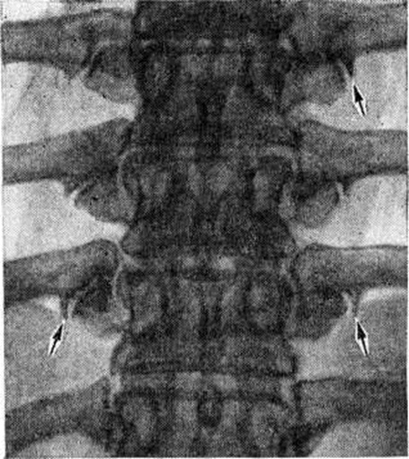
Диагноз Спондилоартроз ставят главным образом на основании клиники и данных рентгенологического исследования. На рентгенограммах определяется сужение суставных щелей, субхондральный остеосклероз (смотри полный свод знаний), краевые костные разрастания (рисунок), продолжающие суставные поверхности, удлинение и деформация суставных отростков.
Поскольку стандартная (в прямой и боковой проекциях) рентгенография не создает оптимальных условий для суждения о состоянии дугоотростчатых суставов, обычно применяют специальные прицельные снимки при повороте пациента вдоль продольной оси на 30—45°. Как дополнительные методики могут быть применены томография и рентгеновские снимки в положении максимального сгибания и разгибания позвоночника.
Лечение Спондилоартроз и профилактика обострений строятся по тем же принципам, что и терапия первичного деформирующего остеоартроза (смотри полный свод знаний: Артрозы): разгрузка, вытяжение позвоночника, воздействие на нарушенный обмен веществ в суставных хрящах, болеутоляющие средства, реабилитационные мероприятия.
Течение Спондилоартроз хроническое. Прогноз зависит как от степени выраженности изменений межпозвоночных суставов, так и, в большей степени, от механического раздражения спинномозговых нервов и сдавления сосудов, проходящих через межпозвоночные отверстия.
|
Агабабова Э.P.; Мылов H.М.
|
|
Все статьи в полном изложении, Вы можете найти в большой медицинской энциклопедии — Главный редактор: академик АН СССР (РАН) и АМН СССР (РАМН) Б.В. Петровский. — Москва издательство «Советская энциклопедия» 1989г.
|
|
Внимание! Вы находитесь в библиотеке «Ordo Deus». Все книги в электронном варианте, содержащиеся в библиотеке «Ordo Deus», принадлежат их законным владельцам (авторам, переводчикам, издательствам). Все книги и статьи взяты из открытых источников и размещаются здесь только для чтения.
|
|
Вся информация на сайте Ordo Deus находится в свободном доступе. Ordo Deus не предоставляет информацию на платной основе.
|
|
Все авторские права сохраняются за правообладателями. Если Вы являетесь автором данного документа и хотите дополнить его или изменить, уточнить реквизиты автора, опубликовать другие документы или возможно вы не желаете, чтобы какой-то из ваших материалов находился в библиотеке, пожалуйста, свяжитесь с нами по e-mail: info @ ordodeus. ru Формы для прямой связи с нами находятся в нижней части страниц: контакты и устав «Ordo Deus», для перехода на эти страницы воспользуйтесь кнопкой контакты вверху страницы или ссылкой в оглавлении сайта.
|
Вас категорически не устраивает перспектива безвозвратно исчезнуть из этого мира? Вы не желаете закончить свой жизненный путь в виде омерзительной гниющей органической массы пожираемой копошащимися в ней могильными червями? Вы желаете вернувшись в молодость прожить ещё одну жизнь? Начать всё заново? Исправить совершённые ошибки? Осуществить несбывшиеся мечты? Перейдите по ссылке:
«главная страница».
|