Сыпной тиф эпидемический

Оглавление

  1. Дорога к бессмертию
  2. Бессмертие и религия
  3. Философия бессмертия
  4. Бессмертие и наука
  5. История анабиоза
  6. Смерть
  7. Кора головного мозга
  8. Бессмертие и анабиоз
  9. Анабиоз, медицина и биология
  10. Анабиоз и экономика
  11. Анабиоз и закон
  12. Анабиоз в Антарктиде
  13. Техническое обеспечение анабиоза
  14. Бессмертие и вера
  15. Библиотека Ordo Deus
  16. Контактная страница Ordo Deus

Сыпной тиф эпидемический

Сыпной тиф эпидемический (синонимы typhus exanthematicus) — эпидемическая инфекционная болезнь, характеризующаяся циклическим течением с лихорадкой, специфической экзантемой, поражением центральной нервной системы и кровеносных сосудов.

В настоящее время чаще встречаются спорадические случаи Сыпной тиф эпидемический, отличающиеся более легким течением и получившие название болезни Брилла (смотри ниже).

Оглавление

История

Географическое распространение

Этиология

Эпидемиология

Патогенез

Патологическая анатомия

Иммунитет

Клиническая картина

Осложнения

Диагноз

Лечение

Прогноз

Профилактика

Особенности эпидемиологии и профилактики эпидемического сыпного тифа в войсках

Болезнь Брилла

История

Сыпной тиф эпидемический известен с глубокой древности. Считают, что повальная болезнь, наблюдавшаяся в 430—425 годы до нашей эры и описанная Фукидидом, была эпидемией Сыпной тиф эпидемический Похожие на Сыпной тиф эпидемический заболевания были описаны Киприаном из Карфагена в 253 год нашей эры.

Первое научное описание Сыпной тиф эпидемический под названием петехиальной лихорадки дано в 16 век Дж. Фракасторо, наблюдавшим эпидемию этой болезни во французских войсках в 1525— 1530 годы Однако до середины 19 век эпидемии Сыпной тиф эпидемический нередко смешивались с эпидемиями брюшного и возвратного тифов. В самостоятельную нозологическую форму Сыпной тиф эпидемический был выделен благодаря работам С. П. Боткина (1868), Герхарда (W. W. Gerhard, 1837), В. Гризингера. Инф. природа Сыпной тиф эпидемический и наличие возбудителя в крови больного были убедительно доказаны в 1876 год русским врачом О. О. Мочутковским в героическом опыте самозаражения кровью, взятой у больного Сыпной тиф эпидемический На связь Сыпной тиф эпидемический с вшивостью впервые указал в 1841 год русский военный врач И. А. Прибыль, который писал, что болезнь стала заразна с появлением вшивости у военнопленных, причём зараза увеличивалась с умножением вшей. Вероятность переноса Сыпной тиф эпидемический при помощи сосущих кровь насекомых отметил в 1878 год русский врач Г. Н Минх. К такому же выводу на основании эпидемиологические данных пришел и Н. Ф. Гамалея в 1908 год Франц. исследователь Ш. Николль в 1909 год в опытах на обезьянах показал, что переносчиком Сыпной тиф эпидемический является вошь.

Исследования по обнаружению возбудителя Сыпной тиф эпидемический вели в 1909— 1910 годы Г. Риккетс и Уайлдер (R. М. Wilder) в Мексике и в 1913— 1914 годы чешский исследователь С. Провачек. Г. Риккетс и С. Провачек, заразившись при проведении эксперимента, погибли от Сыпной тиф эпидемический Бразильский ученый Э. Роша-Лима в 1916 г., работая в Гамбургском тропическом ин-те, завершил работу Г. Риккетса и С. Провачека; он выделил возбудителя Сыпной тиф эпидемический, дав ему наименование — риккетсия Провачека.


Географическое распространение

В прошлом все войны сопровождались Сыпной тиф эпидемический Обычно от эпидемий Сыпной тиф эпидемический войска несли потери, намного превышающие боевые потери. Так, в русско-турецкую войну 1768— 1774 годы в русских войсках от Сыпной тиф эпидемический умерло около 44 тысяч человек, а от оружия погибло около 35 тысяч Наполеоновские войска разнесли Сыпной тиф эпидемический по всей Европе; в Германии в 1813—1814 годы Сыпной тиф эпидемический переболело 2—3 миллионов человек.

Первая мировая война привела к высокому подъему заболеваемости Сыпной тиф эпидемический в ряде государств. Например, в Сербии в 1915 год погибло от Сыпной тиф эпидемический свыше 150 тысяч человек Во время Гражданской войны и иностранной интервенции и в последующие годы (1918— 1922) на территории СССР, по данным различных исследователей, Сыпной тиф эпидемический переболело от 7 до 20 миллионов человек

Вторая мировая война также сопровождалась высокой заболеваемостью Сыпной тиф эпидемический во многих странах. Так, от эпидемий Сыпной тиф эпидемический в 1942—1944 годы пострадали страны Сев. Африки. Затем с войсками Сыпной тиф эпидемический проник в Италию (эпидемия в Неаполе), поразил Польшу, Германию, Румынию и другие, широко распространился в Иране и Ираке. Эпидемии Сыпной тиф эпидемический наблюдались и на территории СССР, временно оккупированной немецко-фашистскими войсками. Так, при освобождении от оккупации Великолукского района среди населения было выявлено 5205 больных, а на территории Невельского и соседнего районов — 5806. Заболеваемость Сыпной тиф эпидемический несколько повышалась и в тыловых районах СССР, что было связано с эвакуацией больших масс населения из западных районов страны на восток, со скученностью эвакуированных людей, живших нередко в не приспособленных для жилья помещениях (почти 70% больных приходилось на эвакуированных), однако болезнь не получила широкого распространения.

Этиология

Возбудителем сыпного тифа является риккетсия Провачека — Rickettsia prowazekii da Rocha-Lima, 1916, относящаяся к роду Rickettsia семейство Rickettsiaceae. Риккетсии грамотрицательны, размером 0,3—0,6 × 0,8—2,0 микрометров (иногда до 4,0 микрометров). В отличие от других видов риккетсий (смотри полный свод знаний) у риккетсий Провачека при культивировании наблюдается полиморфизм — они принимают форму кокков и палочек (смотри полный свод знаний: рисунок 1 к статье Риккетсии). Риккетсии Провачека при окраске по Гимзе или по Здродовскому (модификация окраски Маккиавелло) красного цвета и хорошо видны в световом микроскопе; их ультраструктура (смотри полный свод знаний: рисунок 2 к статье Риккетсии) сходна с субмикроскопической организацией грамотрицательных бактерий. Размножаются риккетсии Провачека поперечным бинарным делением, время генерации при оптимальных условиях около 12 часов

Риккетсии Провачека содержат протеины, углеводы, липиды, фосфолипиды, РНК, ДНК; в клеточной стенке обнаружены мурамовая и диаминопимелиновая кислоты, сахара, аминосахара, 17 аминокислот. Риккетсии Провачека, являясь внутриклеточными паразитами, располагаются в цитоплазме. Они хорошо размножаются в желточном мешке куриного эмбриона и на различных клеточных культурах; в культуре фибробластов куриного эмбриона образуют бляшки. Для риккетсий Провачека характерно наличие весьма лабильного токсина. Они чувствительны к действию высокой температуры, влажности, многих химический веществ. Вместе с тем они могут длительно сохраняться при низкой температуре в белковых субстратах, а также в высушенном виде. Особое значение имеет возможность длительного сохранения риккетсий в сухих фекалий зараженных вшей. Риккетсии Провачека чувствительны к действию ряда антибиотиков (левомицетина, тетрациклинов, эритромицина, рифампицина). Из лабораторный животных наиболее восприимчивы к риккетсиям Провачека хлопковые крысы и морские свинки (при всех способах заражения), белые мыши высокочувствительны к интраназальному заражению.

Эпидемиология

Единственным источником инфекции является больной человек, который остаётся источником заражения в течение 20— 21 дня, то есть последние два дня инкубации, весь лихорадочный период (до 17 дней) и первые два дня апирексии. До последних двух дней инкубационного периода и с третьего дня апирексии возбудителей Сыпной тиф эпидемический в крови больного, как правило, не обнаруживают.

Переносчиком возбудителей инфекции при Сыпной тиф эпидемический служит платяная вошь (Pediculus vestimenti). Головная и лобковая вши (Pediculus capitis и Phthirus pubis) также могут переносить возбудителя, но их эпидемиологические роль по сравнению с платяной вошью незначительна (смотри полный свод знаний: Вши). Риккетсиями Сыпной тиф эпидемический вошь заражается при кровососании на больном; способной передавать возбудителя она становится лишь на 5—6-й день, реже — на 9 — 10-й день. В это время происходит накопление возбудителя и внедрение его в эпителий кишечной стенки вши. Однажды заразившись, вошь способна передавать возбудителя до конца своей жизни (живет до 45—46 дней). Своему потомству насекомые риккетсий не передают.

Возбудители Сыпной тиф эпидемический, размножаясь и накапливаясь в большом количестве в эпителиальных клетках кишки вши, разрывают эти клетки и выделяются в просвет её кишечника. В других частях тела вши, в том числе в слюнных железах и в сосательном аппарате, риккетсий не содержится. Заражение человека Сыпной тиф эпидемический происходит следующим образом. Когда зараженная вошь прокалывает кожу человека и начинает сосать кровь, её кишечник постепенно наполняется кровью и одновременно происходит акт дефекации, при котором на поверхность кожи человека выделяются фекалии с большим количеством риккетсий. Укус вши сопровождается зудом. Человек, расчесывая место укуса, втирает заразный материал в образовавшиеся ссадины.

Таким образом, возникновение и распространение Сыпной тиф эпидемический всегда связано с вшивостью (смотри полный свод знаний: Вши), сопровождающей ухудшение санитарный состояния тех или иных групп населения. Сыпной тиф эпидемический в прошлом нередко назывался военным, голодным, тюремным тифом. Сами эти названия говорят о том, что наибольшее распространение Сыпной тиф эпидемический получал во время войн, голода и других социальных потрясений, когда ухудшалось материальное положение народа, усиливалась миграция населения, наблюдался недостаток белья, мыла и тому подобное

К Сыпной тиф эпидемический восприимчивы люди всех возрастов. В условиях распространения заболевания риску заражения наиболее подвержены работники транспорта, персонал бань, прачечных, дезинфекторы. В прошлом наблюдалась повышенная заболеваемость среди медперсонала. Внедрение в практику санобработки больных, дезинсекции вещей больного и санитарный транспорта снизило эту опасность.

Выраженная сезонность Сыпной тиф эпидемический для средних широт (февраль — апрель) определяется увеличением контактов среди населения за счёт скученности в жилищах в холодное время года.

Патогенез

Риккетсии Провачека, попадая в кровь человека, быстро проникают в клетки эндотелия кровеносных сосудов, где размножаются и выделяют эндотоксин. Под действием эндотоксина эндотелиальные клетки набухают, происходит их десквамация и разрушение. Риккетсии вновь поступают в кровь, часть из них гибнет, высвобождая эндотоксин, а остальные вновь проникают в клетки эндотелия сосудов. Такого рода процесс без видимых клинические, проявлений продолжается до тех пор, пока не наступит достаточное количественное насыщение организма риккетсиями и их эндотоксином. Последний обладает вазодилатационным эффектом, особенно в системе мелких сосудов — капилляров, прекапилляров, артериол, венул, в которых нарушается микроциркуляция (смотри полный свод знаний) вплоть до образования паралитической гиперемии и замедления тока крови. В результате этого создаются условия, способствующие развитию гиалиновых тромбов в местах паразитирования риккетсий, где произошла деструкция эндотелия сосудов, с последующим образованием в органах и тканях специфической гранулемы (смотри полный свод знаний). Такого рода изменения в сосудах выявляются с 6—8-го дня болезни практически во всех органах и тканях, но больше всего они выражены в головном мозге, в коже, конъюнктивах глазных яблок, надпочечниках, миокарде, почках. Известную роль в патогенезе Сыпной тиф эпидемический играет и аллергический компонент, но суть его пока не ясна. В процессе болезни наступает специфическая иммунная перестройка организма, ведущая в итоге к выздоровлению. Риккетсии могут обнаруживаться в органах и тканях в последние дни инкубации, во время всего лихорадочного периода и в первые дни апирексии. В организме больных возбудитель может длительно сохраняться и после клинического выздоровления, это явление ещё недостаточно изучено.

Обратное развитие морфологический изменений начинается с 18—20-го дня от начала болезни и завершается в основном к концу 4-й недели, а иногда и позже.

Патологическая анатомия

Патологическая анатомия сыпного тифа изучена главным образом отечественными исследователями И. В. Давыдовским, А. П. Авцыным, Ш. И. Криницким и другие На коже можно обнаружить следы сыпи в виде неясно контурированных пятен и точек розового, коричневатого, красного цвета. Более стойким признаком является конъюнктивальная сыпь (смотри полный свод знаний: Киари — Авцына симптом). Отмечается серозный менингит (смотри полный свод знаний), полнокровие ткани головного мозга, значительное полнокровие и увеличение массы лёгких (в 2—4 раза), увеличение размеров селезенки в 2—3 раза. При гистологический исследовании обнаруживают характерное поражение кровеносных сосудов капиллярного типа, получившее название эндотромбоваскулита, с набуханием и деструкцией эндотелия, слущиванием его клеток в просвет сосуда и формированием пристеночного или обтурирующего тромба (смотри полный свод знаний). Эти изменения сопровождаются пролиферацией адвентициальных гистиоцитов, к которым примешиваются немногочисленные нейтрофилы и лимфоидные элементы, что наряду с очаговой гиперемией капилляров лежит в основе формирования сыпнотифозной розеолы. Углубление деструктивных изменений в сосудах, диапедез эритроцитов характеризуют превращение розеолы в сыпнотифозную петехию. Аналогичные изменения можно обнаружить в различных органах и системах.

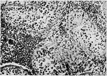
В головном мозге (смотри полный свод знаний) сыпнотифозные узелки, впервые описанные Л. В. Поповым (1875), обнаруживаются в варолиевом мосту (мост головного мозга), ножках мозга, коре головного мозга, базальных ядрах, таламусах (зрительных буграх), мозжечке, гипоталамусе, задней доле гипофиза. Как правило, сыпнотифозных узелков нет в белом веществе полушарий головного мозга. Сыпнотифозные узелки в ткани головного мозга построены из клеток микроглии, к к-рым, как правило, примешиваются сегментоядерные лейкоциты (рисунок 1). Важное диагностическое значение имеет скопление сыпнотифозных узелков в продолговатом мозге, в частности в области его нижних оливных ядер. Количество таких узелков в центральная нервная система зависит в основном от длительности лихорадочного периода. В случае смерти на 2—4-й неделе болезни их обнаруживают в 100%. У переболевших сыпнотифозные узелки регрессируют. Сохраняющиеся в более поздние периоды болезни гистологические изменения могут быть диагностическим признаком перенесённого в прошлом Сыпной тиф эпидемический

В центральная нервная система отмечается, как правило, гиперемия и стазы (нередко с формированием гиалиновых тромбов в капиллярах серого вещества), периваскулярные (главным образом перивенозные) муфты из плазматических клеток, диффузная и очаговая пролиферация микроглии. Этот патогистологический комплекс (стазы, характерные сыпнотифозные узелки в сером веществе головного мозга, особенно в продолговатом мозге, муфты из плазматических клеток вокруг мелких вен, пролиферация макрофагов в мягкой оболочке головного мозга) даёт право считать, что каждый-случай Сыпной тиф эпидемический сопровождается энцефалитом (смотри полный свод знаний: Энцефалиты), выраженность которого широко варьирует. Следует отметить, что в противовес указанным сосудистым и интерстициальным изменениям в центральная нервная система тяжёлое альтеративное поражение нервных клеток и нервных волокон для типичного течения Сыпной тиф эпидемический не характерно.



Информация об Ordo Deus Перейти в оглавление сайта

Рис. 1.
Микропрепарат головного мозга при сыпном тифе: стрелками указан сформированный сыпнотифозный узелок, состоящий из клеток микроглии и сегментоядерных лейкоцитов; окраска гематоксилин-эозином; ×120.





Информация об Ordo Deus Перейти в оглавление сайта

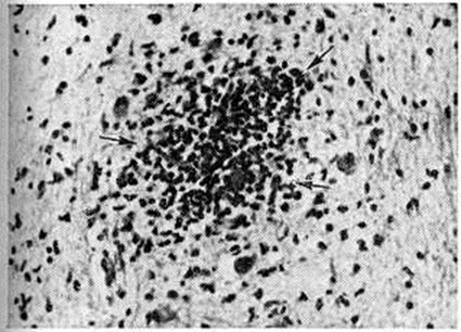
Рис. 2.
Микропрепарат миокарда при интерстициальном сыпнотифозном миокардите: инфильтрация стромы миокарда преимущественно плазматическими клетками (указаны стрелками); окраска гематоксилин-эозином; ×400.





Информация об Ordo Deus Перейти в оглавление сайта

Рис. 3.
Микропрепарат яичка при сыпнотифозном орхите: стрелками указаны крупные воспалительные инфильтраты в строме; окраска гематоксилин-эозином; ×220.



В симпатической и в меньшей степени в парасимпатической нервной системе при Сыпной тиф эпидемический наблюдается интерстициальный ганглионит с образованием узелков и инфильтратов, пролиферацией капсульных клеток. Тяжёлые деструктивные ганглиониты и специфические невриты встречаются как исключение.

Характерным признаком Сыпной тиф эпидемический является также и интерстициальный миокардит (смотри полный свод знаний), проявляющийся очаговой, реже диффузной инфильтрацией стромы миокарда плазматическими клетками в сочетании с большим или меньшим образованием сыпнотифозных узелков и слабыми изменениями кардиомиоцитов (рисунок 2).

Отмечается также сыпнотифозный интерстициальный орхит (рисунок 3) и интерстициальный нефрит (смотри полный свод знаний), которые могут быть очаговыми и диффузными. Поражение почечных клубочков проявляется главным образом гиалиновым тромбозом (иногда с некрозом отдельных петель) и много реже очаговым гломерулонефритом (смотри полный свод знаний).

При плохом уходе за полостью рта у больных, находящихся в прострации, наблюдаются гнойный паротит (смотри полный свод знаний) и воспаление подчелюстной железы (смотри полный свод знаний). Изредка встречаются небольшие инфильтраты, узелки и поражения сосудов желудка. Размеры печени увеличены, паренхима её мало изменена.

Слизистая оболочка дыхательных путей обычно полнокровна. Закономерное увеличение массы лёгких и их вишнево-красный цвет обусловлены главным образом депонированием крови в малом круге кровообращения. Возможен отёк легких. В мышцах гортани при микроскопическом исследовании наблюдается специфический интерстициальный миозит. Относительно редки перихондрит (смотри полный свод знаний) и флегмона гортани (смотри полный свод знаний). Весьма частым осложнением являются пневмонии (обычно лобулярные, но изредка и лобарные).

Своеобразную форму поражения более крупных сосудов представляют собой секторальные и реже циркулярные некрозы стенки артерий, сопровождающиеся явлениями плазморрагии (смотри полный свод знаний) и периваскулярными пролифератами. Они встречаются не ранее 3-й недели болезни, но могут наблюдаться и позже. Изредка они могут быть причиной тяжёлых локальных гемодинамических расстройств — размягчения мозга, сопровождающегося параличами (смотри полный свод знаний: Параличи, парезы), афазией (смотри полный свод знаний), клинические, картиной поперечного миелита (смотри полный свод знаний) и другие Эти же изменения в артериях сетчатки могут обусловить слепоту (смотри полный свод знаний). Очевидно, они же лежат в основе довольно редких внезапных кровоизлияний в мозг у реконвалесцентов. Эти поздние деструктивные изменения крупных артериальных стволов связывают с гиперсенсибилизацией организма. Интерстициальные инфильтраты могут наблюдаться в стенке аорты и в мышечной оболочке крупных вен. В эндокринных железах (гипофиз, надпочечники, щитовидная железа) можно обнаружить характерные сыпнотифозные узелки и очаговые инфильтраты.

В селезёнке (смотри полный свод знаний) выявляют резко выраженную пролиферацию гистиоцитов и плазматических клеток, десквамацию их и более крупных макрофагальных элементов, а также скопление сегментоядерных лейкоцитов, умеренные отложения гемосидерина. В цитоплазме макрофагов и эндотелиальных клеток обнаруживают азурофильную зернистость, морфологически неотличимую от риккетсий. В костном мозге (смотри полный свод знаний) также отмечают пролиферацию базофильных гистиоцитов и реже образование специфических периваскулярных узелков.

Иммунитет

Инфекционных процесс при Сыпной тиф эпидемический сопровождается развитием стойкого и длительного иммунитета. Повторные заболевания редки. В работах П. Ф. Здродовского с сотрудники (1972) показано, что иммунитет при Сыпной тиф эпидемический возникает вскоре после заражения. В течение лихорадочного периода иммунитет нестерильный, то есть развивается в присутствии микроба, а после перенесенной болезни, по мнению многих исследователей, стерильный, сохраняющийся длительно (до 40 лет). Ряд исследователей — К. Н. Токаревич, Г. С. Мосинг, В. М. Колотов, Р. А. Пшеничный с сотрудники, Ш. Николау и Константинеско (N. Constantinesco) допускают возможность длительного переживания риккетсий в организме перенесшего Сыпной тиф эпидемический человека. С учётом этого К. Н. Токаревич и Г. С. Мосинг рассматривали возникший после Сыпной тиф эпидемический иммунитет как нестерильный. Возможна активная иммунизация вакциной, приготовленной из культуры риккетсий Провачека (смотри полный свод знаний: ниже Профилактика).

Клиническая картина

Инкубационный период колеблется от 5 до 25 дней, чаще 10—12 дней. Различают легкое, среднетяжелое, тяжёлое и очень тяжёлое течение болезни.

При наиболее типичном среднетяжелом течении Сыпной тиф эпидемический, наблюдаемом у 60—65% больных, болезнь начинается с повышения температуры, появления чувства жара, головокружения и головной боли, слабости, лёгкого познабливания и потливости, ломоты во всем теле, жажды и потери аппетита. Все эти признаки быстро нарастают, особенно головная боль, которая с первых дней становится мучительной. Появляются бессонница, боль в мышцах и суставах, обостряются восприятия, отмечаются раздражительность и беспокойство, иногда переходящее в состояние эйфории и возбуждения; возможно состояние заторможенности. Наблюдается выраженная гиперемия лица и конъюнктив — красные глаза на красном лице, гиперемия кожи шеи и верхней части туловища, лёгкая амимия, одутловатость лица, умеренный цианоз губ. Кожа на ощупь горячая, повышенной влажности; симптомы щипка и жгута положительные (смотри полный свод знаний: Кончаловского — Румпеля — Лееде симптом). Иногда бывает герпес на губах (смотри полный свод знаний: Герпес).

С 3-го дня болезни можно обнаружить симптом Киари — Авцына — сыпь, располагающуюся на переходных складках конъюнктивы, то есть в области верхнего и нижнего сводов конъюнктивы, в виде единичных петехий, и симптом Розенберга — Винокурова — Лендорффа — энантема на мягком небе. Увеличивается селезенка, что выявляется перкуторно, а позднее и пальпаторно. Отмечаются умеренная одышка, умеренная тахикардия и приглушенность тонов сердца, гипотензия (смотри полный свод знаний). Может наблюдаться тремор языка (симптом Говорова — Годелье), нередко его девиация (отклонение), слабо выражен общий тремор (смотри полный свод знаний: Дрожание). Может наблюдаться бред (смотри полный свод знаний).

На 4—6-й день болезни появляется характерная обильная розеолезнопетехиальная сыпь на коже боковых поверхностей груди, живота, сгибательных поверхностей верхних конечностей. Элементы сыпи редко бывают более 3 миллиметров в диаметре. Иногда сыпь появляется на ладонях и очень редко на лице. Розеолы и петехии при Сыпной тиф эпидемический кажутся плоскими и расплывчатыми, с неровными краями, так как располагаются обычно внутрикожно. При применении жгута точечные петехии (смотри полный свод знаний) на предплечье можно обнаружить уже с 3-го дня болезни. Иногда же розеолы возвышаются над кожей и исключительно редко превращаются в папулы. Элементы сыпи в течение 3— 5 дней имеют розовую, ярко-красную или несколько цианотичную окраску, затем розеолы бледнеют, а петехии становятся пигментированными. Через 7—9 дней от начала высыпания сыпь исчезает, оставляя на короткое время нечеткую пигментацию. Новых высыпаний при Сыпной тиф эпидемический, как правило, не бывает. Сыпь обычно обильная, редко бывает скудная и совсем редко отсутствует полностью.

С появлением сыпи становятся более выраженными симптом щипка, конъюнктивальная сыпь и энантема, а также нарушения со стороны центральная нервная система Заметно понижается АД, усиливается тахикардия, отмечается глухость тонов сердца и расширение его границ; электрокардиографически регистрируются изменения, свидетельствующие о развитии миокардита. Нарастают слабость, головная боль и бессонница. Возможен, особенно по ночам, своеобразный сыпнотифозный делирий с галлюцинациями, бредом, характерны возбуждение беспокойство, суетливость. Иногда больные вскакивают с постели, пытаются бежать. Появляются симптомы поражения мозговых оболочек: слабо выраженные ригидность мышц затылка, симптомы Кернига — Брудзинского (смотри полный свод знаний: Кернига симптом, Менингит) при малоизмененной цереброспинальной жидкости (цитоз не превышает 100 клеток в 1 микролитров.). У многих больных становятся более четкими симптомы поражения черепно-мозговых нервов (черепных), в частности появляется сглаженность носогубных складок, могут наблюдаться снижение слуха, моно и полиневриты, умеренная гиперестезия кожи.

Аппетит у больного снижен или совершенно отсутствует, беспокоит жажда. Язык сухой, обложен серо-грязным налетом, который часто принимает бурую окраску (фулигинозный язык); нередко на нем появляются трещины. Печень и селезёнка у большинства больных увеличены, отмечаются запоры, метеоризм. Может быть олигурия, или мочеиспускание происходит каплями при переполненном мочевом пузыре (парадоксальная ишурия). Изменения в моче незначительны, в виде лихорадочной альбуминурии. Температура к 5-му дню болезни достигает максимальных цифр (39—40° и выше) и держится до 12—14-го дня болезни с последующей нормализацией в течение 2—3 дней.

Выздоровление начинается с понижения температуры и снижения интоксикации. Уменьшаются одутловатость лица и его гиперемия. Появляется интерес к окружающему, улучшаются сон и аппетит, усиливается мочеотделение. К 3— 5-му дню нормальной температуры размеры печени и селезенки приходят к норме. Яснее становятся тоны сердца и нормализуется АД. Однако у больных ещё отмечаются значительная адинамия и слабость, сохраняется гиперестезия кожи. Полное выздоровление наступает примерно через месяц после нормализации температуры.

Легкое течение Сыпной тиф эпидемический обычно свойственно лицам молодого возраста. Явления общей интоксикации в этих случаях незначительны температура обычно не превышает 38°, сознание не изменено, иногда отмечается заторможенность. Бред наблюдается лишь у отдельных больных. Выражены головная боль и бессонница. Преобладает розеолезная сыпь, петехии немногочисленны. Печень и селезёнка увеличиваются примерно у трети больных. Более постоянны гиперемия и одутловатость лица, гиперемия конъюнктив, симптом Киари — Авцына, Говорова — Годелье. Лихорадочный период длится в среднем 9 дней.

При тяжёлом течении Сыпной тиф эпидемический, которое встречается у 15—20% больных, наблюдается более интенсивное развитие сосудистых и мозговых симптомов вследствие выраженной интоксикации. Пульс частый, до 140 ударов в минуту, нередка аритмия, систолическое АД снижается до 70— 80 миллиметров. Тоны сердца глухие. Выражен акроцианоз. Наблюдается тахипноэ (смотри полный свод знаний), возможно нарушение ритма дыхания по типу биотовского (смотри полный свод знаний: Биотовское дыхание) или Чейна — Стокса (смотри полный свод знаний: Чейна — Стокса дыхание). Особенно значительны изменения в центральная нервная система Рано появляются психические расстройства, резкое возбуждение, делирий, быстро сменяющиеся заторможенностью. Выражены признаки поражения мозговых оболочек и дрожательный синдром вплоть до появления судорог (смотри полный свод знаний), наблюдаются нарушение глотания (смотри полный свод знаний: Дисфагия), дизартрия (смотри полный свод знаний). Температура достигает 41—42°. Сыпь преимущественно петехиальная с возможными значительными геморрагиями, что является грозным признаком. Выражена конъюнктивальная сыпь. Высшим проявлением тяжёлого течения Сыпной тиф эпидемический является глубокая кома (смотри полный свод знаний), в этом состоянии больные часто погибают.

Как очень тяжёлая форма описывался так называемый молниеносный тиф — typhus siderans, когда вследствие тяжёлой интоксикации возникали изменения в надпочечниках и больные погибали в состоянии токсико-инфекционного шока (смотри полный свод знаний). Тяжелое и очень тяжёлое течение чаще всего наблюдается у пожилых людей.

Встречаются атипичные формы болезни, при которых отдельные клинические, признаки Сыпной тиф эпидемический отсутствуют или нерезко выражены.

У детей Сыпной тиф эпидемический протекает значительно легче и выздоровление наступает быстрее. Интоксикация, поражение сердечно-сосудистой системы и центральная нервная система у детей менее выражены, чем у взрослых. Болезнь начинается также менее остро. В начале заболевания обычно наблюдается умеренная общая интоксикация с несильной головной болью, катаральными явлениями, умеренными изменениями со стороны органов кровообращения, у части больных — дисфункция кишечника. Лихорадка бывает постоянной, ремиттирующей и неправильной; длительность лихорадочного периода не более 11— 13 дней. У большинства на 4—5-й день болезни появляется сыпь, преимущественно розеолезно-петехиальная; около 20% детей переносят Сыпной тиф эпидемический без сыпи. Потеря сознания, бред, галлюцинации, общее возбуждение не часты, а если и бывают, то выражены слабее, чем у взрослых. Печень и селезёнка увеличиваются не более чем у 40% больных. У большинства детей Сыпной тиф эпидемический протекает в лёгкой форме, реже — в форме средней тяжести и почти никогда — тяжело. Летальность при Сыпной тиф эпидемический у детей почти не регистрировалась. Период реконвалесценции протекает более благоприятно и быстрее, чем у взрослых.

Осложнения

Осложнения Сыпной тиф эпидемический— коллапс (смотри полный свод знаний), пневмония (смотри полный свод знаний), миокардит (смотри полный свод знаний), тромбофлебиты (смотри полный свод знаний), тромбозы (смотри полный свод знаний), тромбоэмболии, нарушения мозгового кровообращения (смотри полный свод знаний: Инсульт, Тромбоэмболия), инфаркт миокарда (смотри полный свод знаний), позднее психозы, вторичная гнойная инфекция — отиты (смотри полный свод знаний), паротит (смотри полный свод знаний), пиелит (смотри полный свод знаний: Пиелонефрит) и другие У детей осложнения редки.

Диагноз

Диагноз основывается на эпидемиологические данных (вшивость, контакт с больными Сыпной тиф эпидемический), характерной клинические, картине и данных лабораторный исследований, положительные результаты которых могут быть получены не ранее 6—7-го дня болезни.

При Сыпной тиф эпидемический в разгар болезни в крови наблюдаются незначительное снижение количества эритроцитов, тромбоцитопения, умеренный лейкоцитоз с нейтрофилезом и палочкоядерным сдвигом (отмечается уже в начальном периоде), эозинопения, лимфопения, появление плазматических клеток, ускоренная РОЭ.

Лабораторная диагностика осуществляется в основном путём определения в сыворотке крови антител к риккетсиям Провачека. Основные серологический реакции (смотри полный свод знаний: Серологические исследования) в лабораторный диагностике Сыпной тиф эпидемический: РСК — реакция связывания комплемента (смотри полный свод знаний), РИГА — реакция непрямой гемагглютинации (смотри полный свод знаний: Гемагглютинация), реакция агглютинации (смотри полный свод знаний: Агглютинация), метод иммунофлюоресценции (смотри полный свод знаний: Иммунофлюоресценция).

РСК является одной из наиболее употребительных для распознавания сыпнотифозной инфекции как клинически выраженных случаев, так и стертых форм. С её помощью возможно также ретроспективное выявление инфекции, перенесенной в прошлом, так как комплементсвязывающие антитела к риккетсиям Провачека сохраняются до 10 лет и более. Комплементсвязывающие антитела обнаруживаются обычно с 5—7-го дня болезни у 50—60%, а с 10-го дня — у 100% больных сыпным тифом. Максимальные титры антител (1:320—1:5120) регистрируются на 2—3-й неделе заболевания. Диагностическим титром при однократном определении следует считать 1:160. Более достоверным является определение антител в динамике (через 5—7 дней после предыдущего исследования). Для ретроспективной диагностики Сыпной тиф эпидемический диагностическим титром является 1:10—1:20. Широкое распространение получила модификация РСК, предложенная Физе (P. Fiset), позволяющая ставить её с небольшими количествами ингредиентов.

РНГА является высокочувствительной пробой. Для постановки этой реакции используют выпускаемый эритроцитарный диагностикум. РНГА даёт возможность диагностировать свежие случаи сыпного тифа, она положительна в большинстве случаев Сыпной тиф эпидемический; максимальные титры антител (1:6400—1:12800) регистрируются на 2—3-й неделе болезни, диагностический титр при однократном определении — 1:1000. Наиболее достоверным является определение антител в динамике.

Реакция агглютинации является наиболее простой, но применяется редко, так как менее чувствительна, чем РСК и РНГА; диагностический титр реакции 1:160. Она высокочувствительна при применении антигена, полученного из риккетсий, выращенных во вшах (реакция Вейгля).

Для обнаружения антител против риккетсий может быть использован непрямой люминесцентно-серологический метод.

Дифференциальный диагноз. Сыпной тиф эпидемический дифференцируют с болезнью Брилла (смотри полный свод знаний: ниже), гриппом (смотри полный свод знаний), пневмонией (смотри полный свод знаний), менингитами (смотри полный свод знаний), геморрагическими лихорадками (смотри полный свод знаний), брюшным тифом (смотри полный свод знаний) и паратифами (смотри полный свод знаний), североазиатским клещевым риккетсиозом (смотри полный свод знаний), лекарственной болезнью (смотри полный свод знаний), трихинеллезом (смотри полный свод знаний), различными эритемами (смотри полный свод знаний: Эритема).

Для дифференциальной диагностики Сыпной тиф эпидемический с болезнью Брилла важны данные анамнеза (для болезни Брилла — повторное заболевание); следует учитывать, что болезнь Брилла может возникнуть на фоне эпидемического благополучия. Дифференциальная диагностика Сыпной тиф эпидемический и болезни Брилла основана на известном в иммунологии положении о формировании различных классов иммуноглобулинов в результате первичного и повторного заболеваний и сопряженных с ними антигенных стимулов, которое в принципе применимо к этим заболеваниям. При Сыпной тиф эпидемический происходит формирование сначала IgM (198-антител), а затем IgG (78-антител), при болезни Брилла — быстрое формирование только IgG (78-антител). Поскольку IgM является более лабильным, его удаётся разрушить, например, применяя ряд редуцирующих веществ (2-меркаптоэтанол, цистеин и другие). Если при исследовании сыворотки крови больного такая обработка приводит к снижению титра антител в 4—8 раз и более, можно предположить, что в сыворотке крови находился в основном IgM, который затем разрушился; если титр сыворотки остался без изменений, можно предположить наличие IgG. Надо отметить, что при дифференцировании Сыпной тиф эпидемический и болезни Брилла основываться только на серологических методах не следует; необходимо учитывать весь комплекс клинические, и эпидемиологические показателей (например, заболевание Сыпной тиф эпидемический в прошлом).

Чаще всего в начале заболевания Сыпной тиф эпидемический диагностируется как грипп. Однако грипп отличается от Сыпной тиф эпидемический более острым началом (больной называет не только день, но и час начала болезни), резкой слабостью в первый же день болезни, постоянной обильной потливостью, отсутствием одутловатости и амимии лица и симптома Говорова — Годелье. Головная боль локализуется обычно в области лба, надбровных дуг и височных областей, легко снимается анальгетиками, при надавливании на глазные яблоки и при движении ими возникает боль; для гриппа не характерны сыпь, увеличение печени и селезенки. При пневмонии отсутствуют сыпь, гепатолиенальный синдром, симптом Киари — Авцына, а также симптомы поражения ядер черепно-мозговых нервов.

Менингиты различной этиологии отличаются от Сыпной тиф эпидемический наличием выраженного менингеального синдрома (ригидность мышц затылка, положительные симптомы Кернига и Брудзинского и другие). Решающим в диагностике может явиться анализ цереброспинальной жидкости (смотри полный свод знаний).

При геморрагических лихорадках, особенно с почечным синдромом, более выражена гиперемия лица и конъюнктив, сыпь носит характер необильных точечных геморрагий, чаще на боковых поверхностях туловища и в подмышечных областях; обычны рвота и икота, боли в пояснице и животе; типичны жажда и олигурия, резко положительный симптом Пастернацкого (смотри полный свод знаний: Пастернацкого симптом). Характерны эритроцитоз, нормальная или ускоренная РОЭ, значительное повышение остаточного азота и мочевины крови, гематурия, альбуминурия, цилиндрурия.

Для брюшного тифа и паратифов характерны бледность лица, адинамия и вялость. Язык утолщен, обложен, с отпечатками зубов по краям и на кончике. Часто отмечается брадикардия с дикротией пульса. Обычны метеоризм и урчание в правой подвздошной области, более позднее увеличение печени и селезенки. Сыпь скудная розеолезная, появляется не ранее 8-го дня болезни на груди, животе и боковых поверхностях туловища. В крови лейкопения с эозинопенией, палочкоядерный сдвиг с относительным лимфоцитозом, тромбоцитопенией.

При североазиатском клещевом риккетсиозе, встречающемся в районах Сибири и Дальнего Востока, дифференциация основывается на наличии у большинства больных клещевым риккетсиозом первичного аффекта, представляющего собой плотный инфильтрат коричневого или бурого цвета чаще до 1,5 сантиметров в диаметре с возможным некрозом в центре; регионарного лимфаденита, который развивается почти одновременно с первичным аффектом; розеолезно-папулезной яркой сыпи по всему телу, появляющейся на 2— й день болезни.

Аллергическая экзантема (смотри полный свод знаний: Сыпи), возникающая при лечении сульфаниламидами и антибиотиками больных различными остролихорадочными заболеваниями (грипп, пневмония и так далее), нередко смешивается с Сыпной тиф эпидемический, особенно при появлении сыпи на 4— й день от начала болезни. Элементы сыпи при этом чаще экссудативного характера, иногда розеолезно-папулезные, выступают над кожей, весьма обильны на всех участках тела, но больше на разгибательной поверхности суставов и имеют тенденцию к слиянию. Отмечается лимфаденопатия. Селезёнка обычно увеличена.

Для клинические, картины трихинеллеза характерны отёк лица и век (одутловатка), головная боль и боль во всех группах мышц при движении и при их пальпации, умеренный конъюнктивит, иногда отёк конъюнктивы глазного яблока, болезненность при движении глаз. Сыпь обильная, может быть розеолезной, розеолезно-папулезной, уртикарной и даже петехиальной. Возможно нарастание сыпи. Типична гиперэозинофилия. В анамнезе — указание на употребление в пищу недостаточно термически обработанной свинины и нередко групповое заболевание.

Различные эритемы — экссудативная и многоформная — отличаются от Сыпной тиф эпидемический тем, что сыпь при них покрывает все тело и лицо. Эритематозно-экссудативные элементы обычно крупных размеров и часто сливаются. Увеличиваются периферические лимфатических, узлы и селезенка. Выражены потливость, озноб, боли в суставах. Для многоформной эритемы характерна симметричность расположения сыпи. После её отцветания отмечается шелушение.

Лечение

Наиболее эффективными средствами являются препараты тетрациклинового ряда (тетрациклин, окситетрациклин, доксициклин — полусинтетическое производное окситетрациклина пролонгированного действия, сигмамицин, олететрин), а также левомицетин (хлороцид, хлорамфеникол). Тетрациклиновые препараты взрослым назначают по 0,3—0,4 грамм, а левомицетин — по 0,5 грамм 4 раза в сутки до 2-го дня нормальной температуры (детям антибиотики назначают соответственно возрасту). Тетрациклины (тетрациклин, окситетрациклин, сигмамицин и другие) можно вводить внутримышечно или внутривенно по 250 миллиграмм 2 раза в сутки при очень тяжёлом и тяжёлом течении болезни. Доксициклин назначают также внутрь в 1-е сутки по 0,1 грамм каждые 12 часов, в последующие дни — по 0,1 грамм 1 раз в сутки. При лечении антибиотиками температура нормализуется через 1½—2 суток При лечении тяжёлых и очень тяжёлых форм Сыпной тиф эпидемический проводится интенсивная терапия с использованием стероидных гормонов. Наряду с этим необходима и патогенетическая терапия, в частности применение сердечных и сосудистых, особенно прессорных, средств (камфоры, кордиамина, кофеина, норадреналина, эфедрина, гипертензина, мезатона), по показаниям — коргликона и строфантина. В случае выраженного возбуждения или делирия назначают бромиды, барбитураты, хлоралгидрат, аминазин, дроперидол, диазепам (седуксен).

Лечение антибиотиками значительно сократило число осложнений, особенно связанных с вторичной микрофлорой. Возникающие осложнения другого рода требуют лечения в соответствии с их характером, например, антикоагулянтами при тромбозах и тромбоэмболиях. Все виды лечения должны сочетаться с соответствующей диетой в разгар болезни, полным покоем больного до 5—6-го дня нормальной температуры и тщательным уходом за ним. С 7—8-го дня нормальной температуры больным можно разрешить ходить. На 12-й день больного выписывают при условии нормального периода реконвалесценции.

Прогноз

Летальность в прошлом в отдельные эпидемии достигала 80%, в настоящее время благодаря антибиотикотерапии летальность резко снизилась и составляет менее 1%.

Профилактика

Рост материального и культурного уровня населения, а вслед за этим исчезновение вшивости исключили возможность циркуляции возбудителя и эпидемический характер распространения Сыпной тиф эпидемический в нашей стране.

Встречающиеся отдельные случаи болезни Брилла требуют проведения неослабных профилактических мероприятий, поскольку эта форма болезни в эпидемическом отношении не отличается от Сыпной тиф эпидемический В первую очередь необходима повседневная профилактика вшивости. При наличии эпидемических показаний проводят регулярные осмотры детей в школах и дошкольных учреждениях, больных, поступающих в лечебный учреждения. При обнаружении вшивости проводят санитарную обработку (смотри полный свод знаний). Важное значение в профилактике вшивости, а следовательно, и Сыпной тиф эпидемический имеет санитарный просвещение, пропаганда мер по предупреждению вшивости и Сыпной тиф эпидемический

В борьбе с возникшими заболеваниями ведущее место принадлежит раннему выявлению и изоляции больных Сыпной тиф эпидемический, ликвидации вшивости у них, а также изоляции лиц с подозрением на заболевание. Так как заразившаяся вошь становится способной передавать риккетсии людям лишь на 5—6-й день, выявление и госпитализация (изоляция) больного, его санобработка не позднее 5-го дня от начала болезни исключают возможность новых заболеваний, связанных с этим больным. В эпидемический очаге подворные обходы позволяют обеспечить раннее выявление лихорадящих больных, среди которых могут оказаться и больные Сыпной тиф эпидемический С этой же целью в течение 25 дней ведется медицинский наблюдение (с ежедневной термометрией) за лицами, общавшимися с больным Сыпной тиф эпидемический

Вторым важным мероприятием в эпидемический очаге является ликвидация вшивости. Обязательной санобработке подвергается госпитализируемый больной, все лица, соприкасавшиеся с ним, постельные принадлежности и вещи, которыми пользовался больной, и помещение, где он жил.

Специфическая профилактика имеет вспомогательное значение. Вейгль (R. Weigl, 1924) разработал метод изготовления вакцины из содержимого кишечника зараженных вшей, обработанного 0,5% раствором фенола. А. В. Пшеничнов и Б. М. Райхер в 1943 год использовали в качестве вакцины формалинизированную взвесь из растертых личинок вшей, зараженных риккетсиями Провачека. В 1940 год Кокс (Н. R. Сох) предложил приготовлять вакцину из риккетсий Провачека, накопленных в желточных мешочках куриных эмбрионов.

М. К. Кронтовская с сотрудники и М. М. Маевский с сотрудники разработали и в 1941 год предложили метод изготовления лёгочной вакцины типа Дюрана — Жиру. Наилучшими продуцентами оказались белые мыши. Риккетсии накапливались в лёгких зараженных мышей; лёгкие соответствующим способом измельчали, обрабатывали формалином. Затем риккетсий извлекали центрифугированием. Вакцина Кронтовской — Маевского применялась во время Великой Отечественной войны как в войсках, так и среди населения. По мнению большинства специалистов, изучавших эффективность вакцины, она снижает заболеваемость и тяжесть течения болезни у привитых. При иммунизации населения заболеваемость у привитых была примерно в 2,5—3 раза ниже, чем среди непривитых. В настоящее время в СССР для специфической профилактики Сыпной тиф эпидемический изготовляется сухая химическая сыпнотифозная вакцина, представляющая собой очищенную концентрированную иммуногенную субстанцию поверхностного антигена риккетсий Провачека (смотри полный свод знаний: Иммунизация). Прививки этой вакциной проводятся лишь по эпидемический показаниям в случаях, когда трудно осуществимы обычные мероприятия по ликвидации очагов Сыпной тиф эпидемический Показаны также прививки медицинскому персоналу, работающему в условиях эпидемий Сыпной тиф эпидемический

Особенности эпидемиологии и профилактики эпидемического сыпного тифа в войсках

В прошлом Сыпной тиф эпидемический именовали военным тифом, так как эпидемии Сыпной тиф эпидемический всегда сопровождали войны, производили опустошения среди населения и поражали войска, выводя из строя целые соединения и армии. Массивные эпидемии его отмечены в войсках ряда стран Европы в 18—19 веков Высокая заболеваемость Сыпной тиф эпидемический имела место и в русской армии. Так, армия Кутузова в период преследования наполеоновских войск в 1812 год понесла от Сыпной тиф эпидемический большие потери. В Крымскую войну, по данным Т. Е. Болдырева, с ноября 1853 год по ноябрь 1855 год только в южной (русской) армии заболело тифами 29 411 человек, из них умерло 6929 человек В русско-турецкую войну 1877 — 1878 годы в Дунайской и Кавказской армиях заболело 36 656 человек, из них умерло 12 071 человек Высокой была заболеваемость Сыпной тиф эпидемический и в период русско-японской войны 1904— 1905 годы (5,0—5,3 на 1000 человек личного состава), а в годы гражданской войны она достигла 130,67 на 1000 человек личного состава (1919). В послевоенные годы мирного строительства заболеваемость Сыпной тиф эпидемический в Красной Армии практически была ликвидирована.

В 1941—1945 годы на территории, оккупированной немецко-фашистской армией, Сыпной тиф эпидемический получил широкое распространение среди местного населения. Немецко-фашистское командование не только не проводило никаких мер борьбы с Сыпной тиф эпидемический, но умышленно концентрировало больных Сыпной тиф эпидемический в населенных пунктах на пути предполагаемого наступления советских войск, создавая угрозу заноса и распространения Сыпной тиф эпидемический среди наших войск. Благодаря чётко организованным противоэпидемическим мероприятиям (смотри полный свод знаний: Система противоэпидемического обеспечения Вооруженных Сил) в войсках удалось сохранить эпидемическое благополучие, в то время как армия оккупантов несла значительные потери от Сыпной тиф эпидемический

Вследствие специфических условий размещения личного состава войск в действующей армии (скученность, возможные временные перебои в банно-прачечном обслуживании и другие) создаются условия для распространения занесенного в войска Сыпной тиф эпидемический Поэтому в системе противоэпидемического обеспечения войск, как в мирное, так и в военное время, предусмотрен комплекс профилактических мероприятий, направленных на недопущение заноса Сыпной тиф эпидемический в войска и предупреждение вшивости: соблюдение уставных требований личной и общественной гигиены; еженедельное мытье в бане со сменой белья; регулярные медосмотры личного состава, изоляция и полная санитарная обработка (смотри полный свод знаний) лиц с выявленной вшивостью, а также контактировавших с ними; медицинский контроль за прибывающим пополнением и возвращающимися из командировок, отпусков, их санобработка, а при необходимости карантинизация на 14 дней (смотри полный свод знаний: Карантин, карантинизация); контроль за санитарный состоянием личного состава и транспортных средств при перевозках по железнодорожные, водным и автомобильным путям сообщения, своевременная санобработка в пути следования; в военное время — недопущение контакта с местным населением в случае размещения или ведения боевых действий на территории, неблагополучной по Сыпной тиф эпидемический Своевременная информация об эпидемический обстановке достигается непрерывным проведением санитарно-эпидемиологический разведки (смотри полный свод знаний: Медицинская разведка, Санитарно-эпидемиологическое наблюдение). При явной угрозе заноса Сыпной тиф эпидемический в войска личный состав подвергается иммунизации.

При выявлении в части больного Сыпной тиф эпидемический его следует немедленно изолировать, провести санобработку, а также дезинсекцию обмундирования, белья, постельных принадлежностей больного и транспорта, на котором он был доставлен (смотри полный свод знаний: Дезинсекция). Больных в военное время эвакуируют в инфекционные госпиталь (смотри полный свод знаний: Инфекционный полевой подвижной госпиталь). Эвакуацию следует осуществлять на санитарный транспорте, который после доставки больного в госпиталь должен обеззараживаться. Личный состав, имевший контакт с больным, обязан пройти полную санобработку, за ним устанавливается наблюдение с ежедневной термометрией. Для установления источника заражения с целью принятия радикальных мер для прекращения дальнейшего распространения Сыпной тиф эпидемический необходимо проводить санитарно-эпидемический обследование (смотри полный свод знаний: Эпидемиологическое обследование).

Болезнь Брилла

Болезнь Брилла (синонимы: повторный сыпной тиф, рецидивный сыпной тиф, болезнь Брилла — Цинссера) — острая циклическая инфекционная болезнь, проявляющаяся через многие годы у лиц, переболевших Сыпной тиф эпидемический Она характеризуется спорадичностью заболеваний при отсутствии вшивости, более легким, чем при Сыпной тиф эпидемический, течением и типичным клиническим симптомокомплексом.

Впервые острую инфекционные болезнь неясной природы, напоминающую сыпной тиф, наблюдал Брилл (N. Е. Brill) в 1898 и 1910 годы в Нью-Йорке. Позже её описали и другие исследователи, которые особо подчеркивали отсутствие связи с источником инфекции и вшивостью среди лиц из окружения больного. В 1934 год Г. Цинссер выдвинул гипотезу, что данная болезнь является рецидивом перенесённого многие годы назад Сыпной тиф эпидемический вследствие активизации риккетсий Провачека, сохранившихся в латентном состоянии в тканях организма. Позже Прайс (W. Н. Price, 1955) выделил два штамма риккетсий Провачека из лимфатических, узлов двух умерших, перенёсших Сыпной тиф эпидемический за 20 лет до смерти. В последующем Ш. Николау и Константинеско (N. Constantinesco, 1965) сообщили о выделении более 20 штаммов риккетсий Провачека от лиц, страдавших различными сердечно-сосудистыми болезнями и переболевших ранее Сыпной тиф эпидемический Гипотеза эндогенного происхождения болезни Брилла была поддержана в нашей стране П. Ф. Здродовским, Г. С. Мосингом, К. Н. Токаревичем и другие Вместе с тем Л. В. Громашевский, М. Н. Соловьев, И. И. Елкин и другие считали, что случаи повторного заболевания Сыпной тиф эпидемический связаны с реинфекцией лиц, перенёсших Сыпной тиф эпидемический в прошлом, но утративших иммунитет к нему.

В условиях завшивленности больные болезнью Брилла могут явиться источником заболеваний Сыпной тиф эпидемический

Патогенез и патологическая анатомия при болезни Брилла те же, что и при Сыпной тиф эпидемический, но относительно менее выражена риккетсиозная интоксикация.

Развивается стойкий и длительный иммунитет.

Болезнь Брилла начинается остро, с чувства жара, иногда с легким познабливанием, слабости, головной боли, бессонницы, потери аппетита, повышения температуры. Эти явления прогрессируют в течение первых 2—3 дней. В первые дни головная боль почти всегда сильная, бессонница стойкая. К 4—5-му дню болезни температура достигает 38—40°. Средняя длительность лихорадочного периода 8—10 дней, снижение температуры происходит обычно в течение двух суток. С первых дней болезни обычно на фоне лихорадочного возбуждения выявляются гиперемия и одутловатость лица, гиперемия конъюнктив, блеск глаз, гиперемия кожи шеи и верхней трети туловища, умеренный цианоз губ, положительный симптом щипка, элементы конъюнктивальной сыпи (симптом Киари — Авцына), энантемы на слегка гиперемированной слизистой оболочке мягкого неба (симптом Розенберга — Винокурова — Лендорффа). На 4—6-й, а иногда на 7—8-й день болезни у большинства больных появляется обильная розеолезно-петехиальная сыпь с локализацией на груди, боковых поверхностях туловища, спине, сгибательных поверхностях рук. Сохраняется она в течение 5—7 дней, после чего бесследно исчезает. Примерно у трети больных наблюдается только розеолезная или розеолезно-папулезная сыпь, иногда сыпь может и отсутствовать. Возможна одышка, но обычно дыхание соответствует температуре, как и пульс. Тахикардия отмечается не более чем у 25% больных, нередко имеет место и брадикардия. Более постоянна гипотензия. Тоны сердца приглушены, иногда значительно, может выслушиваться систолический шум. Электрокардиографически выявляются признаки диффузного миокардита. Язык обложенный, сухой. Печень и селезёнка умеренно увеличены у большинства больных. Возможна олигурия, незначительная альбуминурия и изредка парадоксальная ишурия. Многообразна характерная симптоматика, связанная с поражением центральная нервная система Головная боль и бессонница столь же мучительны, как и при классическом Сыпной тиф эпидемический Почти так же выражена эйфория.

Серьезные психические нарушения наблюдаются редко, но возбужденность или заторможенность, умеренный сноподобный делирий, иногда деперсонализация, двигательное возбуждение в той или иной степени отмечаются часто. Возможен общий тремор (дрожание губ и конечностей, особенно пальцев рук, незначительная дизартрия), лёгкая сглаженность носогубных складок, девиация языка, симптом Говорова — Годелье, симптомы менингизма. Один или несколько из этих симптомов, чаще симптом Говорова — Годелье и гиперестезия кожи, появляются уже на 3—4-й день болезни. Нередко отмечается неврит слухового нерва. Обычно болезнь бывает средней тяжести или протекает легко; тяжёлое течение встречается редко, как правило, у пожилых лиц. Изменения крови не характерны.

Реконвалесценция начинается с 10—12-го дня болезни и протекает быстрее, чем при Сыпной тиф эпидемический Сердечнососудистая деятельность восстанавливается к 5—7-му дню нормальной температуры, и лишь у некоторых больных в более поздние сроки наблюдается постинфекционный миокардит. Восстановление функций центральной нервной системы наступает к 15—17-му дню нормальной температуры. Размеры печени и селезенки нормализуются к 3—4-му дню периода реконвалесценции. Выписка больных допускается после нормализации температуры на 11 — 12-й день.

Осложнения, диагноз, дифференциальный диагноз и лечение те же, что и при Сыпной тиф эпидемический

Прогноз обычно благоприятный. Редкие летальные исходы обусловлены развитием тромбозов, тромбоэмболий, коллапса, инфаркта миокарда, пневмонии.

При возникновении болезни Брилла проводятся мероприятия, направленные на предупреждение распространения эпидемического сыпного тифа.

Смотри полный свод знаний: Риккетсиозы.

Авцын А.П.; Агафонов В.И.; Елкин И.И.; Кекчеева Н.Г.; Лобан К.М.; Рождественский В.М.

⇐ Перейти на главную страницу сайта

⇑ Вернуться в начало страницы ⇑

Библиотека Ordo Deus ⇒

⇐ Сывороточная болезнь

⇓ Полный свод знаний. Том первый А. ⇓

Табопаралич ⇒

Все статьи в полном изложении, Вы можете найти в большой медицинской энциклопедии — Главный редактор: академик АН СССР (РАН) и АМН СССР (РАМН) Б.В. Петровский. — Москва издательство «Советская энциклопедия» 1989г.

Внимание! Вы находитесь в библиотеке «Ordo Deus». Все книги в электронном варианте, содержащиеся в библиотеке «Ordo Deus», принадлежат их законным владельцам (авторам, переводчикам, издательствам). Все книги и статьи взяты из открытых источников и размещаются здесь только для чтения.

Вся информация на сайте Ordo Deus находится в свободном доступе. Ordo Deus не предоставляет информацию на платной основе.

Все авторские права сохраняются за правообладателями. Если Вы являетесь автором данного документа и хотите дополнить его или изменить, уточнить реквизиты автора, опубликовать другие документы или возможно вы не желаете, чтобы какой-то из ваших материалов находился в библиотеке, пожалуйста, свяжитесь с нами по e-mail:
info @ ordodeus. ru
Формы для прямой связи с нами находятся в нижней части страниц: контакты и устав «Ordo Deus», для перехода на эти страницы воспользуйтесь кнопкой контакты вверху страницы или ссылкой в оглавлении сайта.

Вас категорически не устраивает перспектива безвозвратно исчезнуть из этого мира? Вы не желаете закончить свой жизненный путь в виде омерзительной гниющей органической массы пожираемой копошащимися в ней могильными червями? Вы желаете вернувшись в молодость прожить ещё одну жизнь? Начать всё заново? Исправить совершённые ошибки? Осуществить несбывшиеся мечты? Перейдите по ссылке: «главная страница».

© Ordo Deus, 2010. При копировании ссылка на сайт http://www.ordo-deus.ru обязательна.