Тиреоидит

Оглавление

  1. Дорога к бессмертию
  2. Бессмертие и религия
  3. Философия бессмертия
  4. Бессмертие и наука
  5. История анабиоза
  6. Смерть
  7. Кора головного мозга
  8. Бессмертие и анабиоз
  9. Анабиоз, медицина и биология
  10. Анабиоз и экономика
  11. Анабиоз и закон
  12. Анабиоз в Антарктиде
  13. Техническое обеспечение анабиоза
  14. Бессмертие и вера
  15. Библиотека Ordo Deus
  16. Контактная страница Ordo Deus

Тиреоидит

Тиреоидит [thyreoiditis; латынь (glandula) thyreoidea щитовидная железа + -itis] — воспаление щитовидной железы. Термин тиреоидит объединяет несколько различных по этиологии и патогенезу заболеваний.

Одной из наиболее принятых классификаций Тиреоидит является классификация, предложенная в 1980 год Херменом (J. Heriman) и составленная с учётом характера течения процесса, различий в клинические, картине, этиологического факторах, морфологии и другие В основе этой классификации лежит деление Тиреоидит на острый, подострый и хронический.

Острый тиреоидит встречается редко. В его этиологии существенную роль играют острые или хронические инфекционные заболевания верхних дыхательных путей (ангина, дифтерия), остеомиелит, стафилококковый и стрептококковый сепсис. Возбудители инфекции распространяются лимфогенным, реже гематогенным путем. Чаще поражается одна доля щитовидной железы, редко процесс бывает диффузным.

Гистологически обнаруживают лейкоцитарную инфильтрацию стромы железы с примесью макрофагов и лимфоцитов, кровоизлияния, формирование очагов некроза. В тиреоцитах отмечается набухание митохондрий, разрушение крист, изменение формы и величины цистерн эндоплазматической сети.

Начало острого гнойного Тиреоидит характеризуется появлением боли в области щитовидной железы сначала при глотании, а затем постоянной, иррадиирующей в ушп, шею нижнюю челюсть, реже в плечо. Боль усиливается при глотании, кашле, повороте головы. Отмечается озноб, лихорадка с подъемами температуры тела до 39—40°, тахикардия. Чтобы несколько успокоить боль в шее, больные занимают в постели полусидячее положение с опущенным на грудь подбородком. При остром гнойном воспалении зобно-измененной железы — струмите снижение сопротивляемости организма больного ведёт к повреждению ткани и клеток в фазе альтерации в большей степени и объеме, чем при воспалении интактной щитовидной железы, а фаза пролиферации — репаративная стадия воспаления — отличается затяжным течением. В фазе альтерации у таких больных может отмечаться транзиторный тиреотоксикоз (смотри полный свод знаний) в результате поступления в кровоток большого количества тиреоидных гормонов из разрушенных фолликулов.

Продолжительность острого Тиреоидит от нескольких дней до нескольких недель. Воспалительный процесс, если он не претерпевает обратного развития, ведёт к абсцедированию с возможным самопроизвольным вскрытием абсцесса и формированием свища. Среди других осложнений, наступающих, как правило, при несвоевременном лечении Тиреоидит, отмечаются отёк гортани и трахеи, ларингит (смотри полный свод знаний), трахеит (смотри полный свод знаний), эзофагит (смотри полный свод знаний). Острый гнойный Тиреоидит может также осложниться септицемией (смотри полный свод знаний: Сепсис) и тромбофлебитом.

Диагноз острого гнойного Тиреоидит ставят на основании характерной клинические, картины, подтверждают исследованием материала, полученного при пункции щитовидной железы, и выделением возбудителя. Из лабораторный исследований при остром Тиреоидит наиболее информативны изменения показателей гемограммы (смотри полный свод знаний): РОЭ резко ускорена, лейкоцитоз достигает 30 000, в формуле крови отмечают сдвиг влево. Тиреоидные аутоантитела в крови при остром Тиреоидит, как правило, не определяются, концентрация белково-связанного йода (смотри полный свод знаний) чаще всего остаётся в норме, как и захват железой131I. Наиболее часто приходится дифференцировать острый Тиреоидит с подострым Тиреоидит В этом случае имеют значение результаты биопсии и отсутствие эффекта от лечения антибиотиками при подостром Тиреоидит

Лечение проводят антибиотиками и сульфаниламидными препаратами. При сформировавшемся абсцессе необходимо оперативное вмешательство: вскрытие абсцесса или удаление всей поражённой доли щитовидной железы.

Прогноз при своевременной диагностике и правильном лечении благоприятный. В редких случаях при обширном разрушении паренхимы щитовидной железы развивается гипотиреоз (смотри полный свод знаний).

Подострый тиреоидит (синонимы: тиреоидит де Кервена, гранулематозный тиреоидит, псевдогранулематозный тиреоидит, псевдотуберкулезный тиреоидит, гигантоклеточный тиреоидит) встречается у 1—2% лиц, страдающих заболеваниями щитовидной железы.

Болеют чаще женщины в возрасте 20—50 лет, редко дети. Подострый Тиреоидит развивается, как правило, в нормальной щитовидной железе и почти никогда — в в зобно-измененной.

Этиология подострого Тиреоидит окончательно не выяснена, однако предполагают, что заболевание имеет вирусную природу, так как обычно оно развивается вскоре после вирусных инфекций — гриппа (смотри полный свод знаний), кори (смотри полный свод знаний), эпидемического паротита (смотри полный свод знаний: Паротит эпидемический) и другие, а в крови больных в разгаре болезни могут определяться антитела к соответствующим вирусам.

В течении подострого Тиреоидит в зависимости от содержания в крови тиреоидных гормонов выделяют несколько стадий. В I стадии подострого Тиреоидит в результате нарушения целостности мембран тиреоцитов и фолликулов щитовидной железы и выхода их содержимого в строму железы в крови повышается концентрация тироксина (смотри полный свод знаний) — Т4 и трийодтиронина (смотри полный свод знаний) — Т3, а также негормональных соединений йода, что увеличивает разницу между количеством белково-связанного йода (смотри полный свод знаний) и бутанолэкстрагируемого йода (смотри полный свод знаний) и блокирует захват йода щитовидной железой. Строма щитовидной железы инфильтрирована сегментоядерными лейкоцитами, лимфоцитами и тканевыми макрофагами. У некоторых больных в крови появляются антитиреоидные антитела. Во II стадии происходит снижение интенсивности деструктивных процессов в щитовидной железе, что ведёт к уменьшению концентрации негормональных соединений йода в крови и восстановлению механизма захвата йода железой. В строме железы отмечается скудная инфильтрация макрофагами и лимфоцитами с примесью плазматических клеток и исчезновение нейтрофилов. Массы излившегося в строму из разрушенных фолликулов коллоида окружены гистиоцитами и гигантскими клетками (смотри полный свод знаний), сходными с так называемый клетками инородных тел (рисунок 1). Для III стадии в связи с уменьшением объёма функционирующей железистой ткани характерны понижение содержания в крови тиреоидных гормонов и иногда транзиторный гипотиреоз. В этой стадии воспалительный процесс стихает, выявляются очаги регенерации фолликулов. В IV стадии — стадии выздоровления — нередко отмечается повышенный захват йода железой, которая прежде была обеднена им, поэтому данное явление носит компенсаторный характер. В то же время содержание Т3 и Т4 в крови снижено или находится в норме. При электронно-микроскопическом исследовании щитовидной железы у больных подострым тиреоидитом III —IV стадии отмечают признаки повышения функциональной активности тиреоцитов, но апикальных псевдоподий, содержащих капли коллоида, нет, а гигантские клетки мезенхимного происхождения представляют собой группы гистиоцитов без признаков фагоцитоза частиц коллоида. В конце стадии выздоровления все показатели нормализуются.



Информация об Ordo Deus Перейти в оглавление сайта

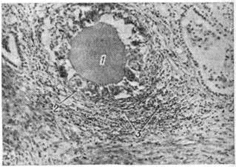
Рис. 1.
Микропрепарат щитовидной железы при подостром тиреоидите: 1 — коллоид, излившийся из фолликула в строму; 2 — гигантская клетка; 3 — лимфоплазмоцитарная инфильтрация стромы; окраска гематоксилин-эозином; ×70.



Клинические, картина подострого Тиреоидит характеризуется острым началом, появлением болей, часто интенсивных, в области щитовидной железы, иррадиирующих в уши, нижнюю челюсть, затылок и шею. Иногда отмечают боль при глотании и повороте головы. Общее самочувствие ухудшается, температура тела повышена (иногда значительно). Щитовидная железа увеличена диффузно или очагово (чаще увеличивается одна её доля), плотна на ощупь, резко болезненна при пальпации. Иногда в начале поражается одна доля (чаще правая) с последующим вовлечением в процесс другой доли железы. Кожа над щитовидной железой горячая на ощупь. Регионарные лимфатических, узлы не увеличены. РОЭ обычно ускорена, иногда до 60— 90 миллиметров/час, может наблюдаться лимфоцитоз, лейкоцитарная формула обычно не изменена, количество лейкоцитов в норме, в сыворотке крови повышено относительное содержание γ-глобулинов и фибриногена. Характерным признаком подострого Тиреоидит является снижение захвата железой 131I. На последующих стадиях функциональные способности и состояние щитовидной железы постепенно нормализуются. Общее самочувствие также возвращается к норме. Продолжительность подострого Тиреоидит от 1 месяцев до 1½—2 лет.

Диагноз устанавливают на основании характерной клинические, картины (плотная, болезненная щитовидная железа, не спаянная с окружающими тканями при интактных регионарных лимфатических, узлах), результатов лабораторный исследований, а также анамнестических данных (перенесенное 6—8 недель назад вирусное заболевание и другие). Подтверждает диагноз блокада захвата щитовидной железой 131I.

Дифференциальный диагноз проводят с острым гнойным Тиреоидит в основном по характеру гемограммы (отсутствие лейкоцитоза), с ангиной (смотри полный свод знаний), при которой отсутствуют характерные изменения щитовидной железы, с диффузным токсическим зобом (смотри полный свод знаний: Зоб диффузный токсический) и токсической аденомой щитовидной железы. С опухолями щитовидной железы, которые также могут сопровождаться выраженным болевым синдромом, подострый Тиреоидит дифференцируют по показателям функциональной активности железы, в том числе по захвату ею 131I, а также по отсутствию спаяния с соседними тканями шеи и местного лимфаденита (см..). Диагностически важным тестом служит реакция на лечение глюкокортикоидами, высокие дозы которых (до 60 миллиграмм преднизолона в сутки) в течение 14— 18 дней приводят к улучшению состояния больного подострым тиреоидитом.

В дифференциальной диагностике со специфическим Тиреоидит при туберкулёзе (смотри полный свод знаний) и сифилисе (смотри полный свод знаний) важную роль играют реакции Манту (смотри полный свод знаний: Туберкулинодиагностика) и Вассермана (смотри полный свод знаний: Вассермана реакция), а также данные биопсии (смотри полный свод знаний).

Лечение подострого Тиреоидит обычно консервативное, назначают в основном преднизолон (начальная доза 20—30 миллиграмм в сутки). Уменьшение дозы преднизолона часто вызывает рецидив заболевания, поэтому постепенное снижение дозы следует проводить под постоянным контролем РОЭ и наличия болевого синдрома. Уменьшать дозу преднизолона при отсутствии болезненности в щитовидной железе надо приблизительно на 5 миллиграмм каждые 7—10 дней, однако все-таки основным показателем служит снижение РОЭ. В лёгких случаях можно ограничиться назначением салицилатов (ацетилсалициловой кислоты 2—4 грамм и более в сутки) или индометацина, бруфена, бутадиона, амидопирина. Назначение антибиотиков и антитиреоидных средств неэффективно.

Прогноз благоприятный; как правило, наступает выздоровление. Рецидивы и упорное течение заболевания могут привести к склерозу щитовидной железы и, как следствие, к гипотиреозу.

Хронический тиреоидит. К хронический Тиреоидит относят лимфоцитарный (аутоиммунный) Тиреоидит, или болезнь Хасимото (смотри полный свод знаний: Хасимото болезнь), фиброзно-инвазивный Тиреоидит и специфические Тиреоидит

Фиброзно-инвазивный тиреоидит [синонимы: тиреоидит Риделя (наиболее употребимый синоним), зоб Риделя, деревянистый тиреоидит, хронический инвазивный тиреоидит, хронический фиброзный тиреоидит] — заболевание неясной этиологии, при котором паренхиму щитовидной железы замещает фиброзная ткань. Впервые описан в 1896 год Б. Риделем.

Фиброзно-инвазивный Тиреоидит чаще встречается у лиц старше 50 лет, преимущественно у женщин. По данным, приведенным в 1957 год Вулнером (L. В. Woolner) и другие, он выявлен у 0,05% больных, оперированных по поводу заболеваний щитовидной железы.

Щитовидная железа увеличена, плотная и при выраженном процессе кольцом охватывает трахею. Паренхиматозные элементы имеют вид отдельных островков в фиброзной, иногда гиалинизированной соединительной ткани (рисунок 2). Отмечают полное исчезновение дольчатости. Тиреоциты сохранившихся фолликулов уплощены. Коллоида в просвете фолликулов нет или его очень мало. Выявляются очаговые лимфоидные скопления, иногда с примесью многоядерных гигантских клеток.

Фиброз при фиброзно-инвазивном Тиреоидит носит агрессивный характер и характеризуется обширными разрастаниями фиброзной ткани. Последняя распространяется за пределы капсулы щитовидной железы и поражает соседние мышцы, нервы, сосуды, нередко сочетается с идиопатическим фиброзом других областей (ретроперитонеальным, медиастинальным и другие). При фиброзно-инвазивном Тиреоидит происходит смещение и сдавление трахеи, в результате которого развивается выраженное изменение голоса. При вовлечении в процесс обоих возвратных гортанных нервов может развиться паралич гортани. Иногда фиброз распространяется на средостение.



Информация об Ordo Deus Перейти в оглавление сайта

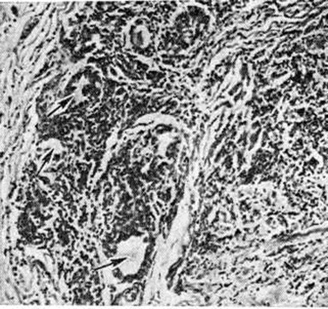
Рис. 2.
Микропрепарат щитовидной железы при фиброзно-инвазивном тиреоидите: единичные атрофичные фолликулы (указаны стрелками) окружены разрастаниями фиброзной ткани, инфильтрированной лимфоидными клетками; окраска гематоксилин-эозином; ×400.



Больные жалуются на сдавление в области шеи, затруднение дыхания и глотания. Кожа над щитовидной железой не изменена и легко собирается в складки.

Осложнением фиброзно-инвазивного Тиреоидит может быть гипотиреоз, хотя неповрежденные участки паренхимы щитовидный железы обычно обеспечивают эутиреоидное состояние. Фиброзно-инвазивный Тиреоидит может сочетаться с фиброзом околоушных желёз, языка, ретробульбарным и ретроперитонеальным фиброзом (синдромом Ормонда).

Диагноз ставят на основании специфической клинические, картины, наличия плотного зоба (смотри полный свод знаний), спаянного с окружающими тканями и медленно увеличивающегося в размерах. При сканировании железы обнаруживают так называемый холодные очаги. Тиреоидные аутоантитела определяют редко и в низких титрах. Диагностически особенно информативна биопсия щитовидной железы.

Дифференциальный диагноз с амилоидозом и раком щитовидной железы основывается главным образом на результатах гистологический исследования. От узлового нетоксического зоба фиброзно-инвазивный Тиреоидит отличает чрезвычайная плотность щитовидной железы и её спаяние с соседними тканями; от болезни Хасимото — спаяние зоба с соседними тканями, отсутствие в организме выраженных иммуно л. сдвигов, редкое и позднее развитие гипотиреоза; от подострого Тиреоидит— течение заболевания. отсутствие специфических изменений картины крови, характерных для подострого Тиреоидит, отсутствие болевого синдрома и спаяние зоба с соседними тканями.

Лечение оперативное. Показаниями к операции являются большие размеры зоба, смещение и сдавление соседних органов. При диффузном поражении рекомендуется удаление части обеих долей и экстирпация перешейка железы, при одностороннем процессе — резекция соответствующей доли. Оперативное удаление частей щитовидной железы, кроме того, задерживает фиброз. Описаны случаи спонтанного прекращения такого процесса, а также обратного его развития после биопсии железы. При развившемся гипотиреозе необходима заместительная терапия тиреоидными гормонами.

Прогноз при наличии симптомов сдавления зависит от своевременности операции, так как при значительном прорастании фиброзной ткани в соседние органы послеоперационный период может протекать особенно тяжело.

Специфические тиреоидиты (туберкулезный, сифилитический, актиномикозный и другие) встречаются крайне редко и обычно являются локальными проявлениями системных заболеваний.

Туберкулёзный Тиреоидит развивается в результате гематогенной диссеминации. Щитовидная железа имеет плотную консистенцию, иногда с бугристой поверхностью. В ней обнаруживаются туберкулёзные гранулемы или более крупные казеозные очаги, окруженные специфической грануляционной тканью. Характерно увеличение регионарных лимфатических, узлов. Обнаружение первичного очага и положительные реакции на туберкулин позволяют поставить правильный диагноз.

При сифилитическом Тиреоидит щитовидная железа плотна и малоподвижна в связи с её сращением с окружающими тканями. Диагноз подтверждается положительными серологический пробами.

При актиномикозе (смотри полный свод знаний) щитовидная железа вначале уплотняется, затем появляются характерные свищи и гной. Обнаружение в гное друз актиномицетов позволяет подтвердить диагноз.

Лечение специфических Тиреоидит направлено на основное заболевание. Прогноз зависит от своевременной диагностики и рационального лечения.

Смотри полный свод знаний: Щитовидная железа.

Бронштейн М.Э.; Левит И.Д.; Одинокова В.А.; Талантов В.В.

⇐ Перейти на главную страницу сайта

⇑ Вернуться в начало страницы ⇑

Библиотека Ordo Deus ⇒

⇐ Тимпаносклероз

⇓ Полный свод знаний. Том первый А. ⇓

Тиреотоксикоз ⇒

Все статьи в полном изложении, Вы можете найти в большой медицинской энциклопедии — Главный редактор: академик АН СССР (РАН) и АМН СССР (РАМН) Б.В. Петровский. — Москва издательство «Советская энциклопедия» 1989г.

Внимание! Вы находитесь в библиотеке «Ordo Deus». Все книги в электронном варианте, содержащиеся в библиотеке «Ordo Deus», принадлежат их законным владельцам (авторам, переводчикам, издательствам). Все книги и статьи взяты из открытых источников и размещаются здесь только для чтения.

Вся информация на сайте Ordo Deus находится в свободном доступе. Ordo Deus не предоставляет информацию на платной основе.

Все авторские права сохраняются за правообладателями. Если Вы являетесь автором данного документа и хотите дополнить его или изменить, уточнить реквизиты автора, опубликовать другие документы или возможно вы не желаете, чтобы какой-то из ваших материалов находился в библиотеке, пожалуйста, свяжитесь с нами по e-mail:
info @ ordodeus. ru
Формы для прямой связи с нами находятся в нижней части страниц: контакты и устав «Ordo Deus», для перехода на эти страницы воспользуйтесь кнопкой контакты вверху страницы или ссылкой в оглавлении сайта.

Вас категорически не устраивает перспектива безвозвратно исчезнуть из этого мира? Вы не желаете закончить свой жизненный путь в виде омерзительной гниющей органической массы пожираемой копошащимися в ней могильными червями? Вы желаете вернувшись в молодость прожить ещё одну жизнь? Начать всё заново? Исправить совершённые ошибки? Осуществить несбывшиеся мечты? Перейдите по ссылке: «главная страница».

© Ordo Deus, 2010. При копировании ссылка на сайт http://www.ordo-deus.ru обязательна.